Kαρκίνος του ρινοφάρυγγα
Mία ιδιαίτερη πάθηση
της περιοχής
κεφαλής και τραχήλου
Ι. ΔΑΝΙΗΛΙΔΗΣ,
Κ. ΒΛΑΧΤΣΗΣ
Πανεπιστημιακή ΩΡΛ Κλινική, Νοσοκομείο ΑΧΕΠΑ, Θεσσαλονίκη
Υπάρχουν ασθενείς, που περιπλανώνται
από ιατρό σε ιατρό με κάποια συμπτωματολογία που επιμένει, χωρίς να βρεθεί τελικά
από τι πάσχουν, και παρόλο που ακολουθούν τα διάφορα θεραπευτικά σχήματα και
τις οδηγίες των ιατρών που επισκέφθηκαν, δεν θεραπεύονται. Με αφορμή τέτοιες
περιπτώσεις ασθενών, που τα συμπτώματά τους επέμεναν, ασχοληθήκαμε ιδιαίτερα
με αυτούς και διαπιστώσαμε ότι η υπ' αριθμόν ένα ύπουλη και σοβαρή πάθηση της
ειδικότητάς μας, η οποία διαλάθει εύκολα της προσοχής και διάγνωσης των ιατρών,
είναι ο καρκίνος του ρινοφάρυγγα.
O καρκίνος του ρινοφάρυγγα έχει ως νεόπλασμα πολλές ιδιαιτερότητες. Όταν μιλάμε
για καρκίνο του ρινοφάρυγγα, εννοούμε το αδιαφοροποίητο καρκίνωμα από πλακώδες
επιθήλιο, το οποίο αποτελεί και το 90% περίπου των περιπτώσεων στις χώρες της
λεκάνης της Μεσογείου. Η πρώτη ιδιαιτερότητα του νεοπλάσματος αυτού είναι η
επί σειρά ετών συχνή σύγχυσή του, από ιστολογικής πλευράς, με κακόηθες λέμφωμα,
στο οποίο οι Παθολογοανατόμοι διέκριναν κακοήθη κύτταρα, τόσο επιθηλιακής προέλευσης,
όσο και λεμφικής. Για το λόγο αυτό, παλαιότερα ονομαζόταν και λεμφοεπιθηλίωμα.
Με την πρόοδο της ανοσοϊστοχημείας διαπιστώθηκε ότι επρόκειτο για αδιαφοροποίητα
καρκινώματα από πλακώδες επιθήλιο και η ονομασία «λεμφοεπιθηλίωμα» καταργήθηκε.
Άλλη μία από τις ιδιαιτερότητες του νεοπλάσματος αυτού είναι η γεωγραφική του
κατανομή και οι εθνικές του παραλλαγές, όσον αφορά στον ιστολογικό τύπο και
τη βιολογική του συμπεριφορά. Έτσι, στη Βόρεια Αμερική και τη Βόρεια Ευρώπη,
αποτελεί σπάνια μορφή καρκίνου, με ποσοστό μόλις 2% των κακοήθων όγκων κεφαλής
τραχήλου και με ιστολογική εικόνα συνηθέστερα του διαφοροποιημένου καρκινώματος
από πλακώδες επιθήλιο. O «αμερικάνικος» αυτός τύπος δεν μεθίσταται εύκολα και
αναπτύσσεται κατά κανόνα τοπικά, συγκριτικά με τον «ασιατικό» τύπο. O δεύτερος
αυτός τύπος εμφανίζεται στη Νότια Κίνα, σε περιοχές της Νοτιοανατολικής Ασίας
και σε περιοχές των Εσκιμώων, όπου ο ρινοφάρυγγας αποτελεί μία από τις συχνότερες
περιοχές ανάπτυξης καρκινωμάτων κεφαλής και τραχήλου, φτάνοντας έως και το 18%
του συνόλου των κακοηθειών του σώματος. Η περιοχή της Μεσογείου, στην οποία
ανήκει και η χώρα μας, βρίσκεται κάπου στη μέση από πλευράς επιδημιολογίας της
νόσου και με προεξάρχοντα ιστολογικό τύπο αυτόν του αδιαφοροποίητου καρκινώματος.
Σύμφωνα με τα στοιχεία της κλινικής μας, από το 1985, το 8-10% του συνόλου των
κακοήθων νεοπλασμάτων κεφαλής και τραχήλου που αντιμετωπίστηκαν στην κλινική,
ήταν καρκινώματα ρινοφάρυγγα (203 περιπτώσεις). Όσον αφορά στον ιστολογικό τύπο,
στη μεγάλη πλειοψηφία τους ήταν αδιαφοροποίητα καρκινώματα (91%). Υπάρχει μία
υπεροχή στη νοσηρότητα υπέρ των ανδρών, με αναλογία περίπου 3:1, ενώ ηλικιακά,
ο μέσος όρος προσβολής ως προς τη συχνότητα είναι τα 53 έτη, με εύρος κατανομής
από 15 έως 78 έτη.

Εικόνα
1. Καρκίνωμα ρινοφάρυγγα, όπως φαίνεται με ενδοσκόπιο από τη μύτη.
Oι ιδιαιτερότητες του νεοπλάσματος
αυτού, που προσδίδουν και ερευνητικό ενδιαφέρον, επεκτείνονται και στην αιτιολογία
του. O καρκίνος του ρινοφάρυγγα είναι από τα πρώτα νεοπλάσματα που συνδέθηκε
αιτιολογικά με την παρουσία ιών. Συγκεκριμένα, ο ιός Epstein Barr έχει ανιχνευτεί
από προηγούμενες δεκαετίες στον ιστό του νεοπλάσματος και στον ορό του αίματος
των ασθενών. Η ανίχνευση του ιού ποικίλλει με τη γεωγραφική περιοχή. Είναι σπάνιος
σε ασθενείς της Βορείου Αμερικής, ενώ ανιχνεύεται στη μεγάλη πλειοψηφία των
ασθενών της Ασίας και της Άπω Ανατολής. Στην Ελλάδα και τη Μεσόγειο γενικότερα,
ο ιός ανιχνεύεται σε ποσοστά άνω του 50%, ενώ το ποσοστό φθίνει προς τις Ευρωπαϊκές
χώρες του βορρά. Σύμφωνα με πρόσφατη μελέτη της κλινικής μας σε 89 ασθενείς
με καρκίνο του ρινοφάρυγγα, ο ιός ανιχνεύθηκε με μεθόδους μοριακής βιολογίας
(PCR) στο αίμα, στο 87,1% των ασθενών αυτών. Σήμερα, έχει γίνει αποδεκτό ότι
ο ιός Epstein Barr συμμετέχει στην καρκινογένεση του συγκεκριμένου νεοπλάσματος,
καθώς εμπλέκεται και απορυθμίζει τον προστατευτικό μηχανισμό της απόπτωσης του
κυττάρου. Η γενετική προδιάθεση των ατόμων παίζει επίσης σημαντικό ρόλο στην
καρκινογένεση, ενώ πρόσφατες μελέτες δεν ενοχοποιούν άλλους περιβαλλοντολογικούς
παράγοντες.
Η σημαντικότερη ιδιαιτερότητα του νεοπλάσματος, που το καθιστά και «ύπουλο»,
είναι η συμπτωματολογία του. Τα συμπτώματα του καρκίνου του ρινοφάρυγγα ποικίλουν
και στα πρώτα στάδια της νόσου είναι άτυπα, με αποτέλεσμα να παραπλανάται συχνά
ο ιατρός και να καθυστερεί η διάγνωση. O όγκος, καθώς αναπτύσσεται, αρχικά δημιουργεί
τοπικά ρινολογικά και ωτολογικά συμπτώματα. Τα ρινολογικά συμπτώματα εκδηλώνονται
στον ασθενή με μονόπλευρη ή αμφοτερόπλευρη προοδευτική δυσχέρεια της ρινικής
αναπνοής και «μπούκωμα» στη μύτη, με στάση βλεννοπυωδών εκκρίσεων και καταρροή.
Στη φάση αυτή μπορεί να εκδηλωθεί και ρινορραγία. Τα ωτολογικά συμπτώματα οφείλονται
στη συνήθως μονόπλευρη απόφραξη του στομίου της ευσταχιανής σάλπιγγας στο ρινοφάρυγγα,
με συνέπεια την εμμένουσα εκκριτική ωτίτιδα. O ασθενής το αντιλαμβάνεται ως
βαρηκοΐα, βάρος, «βούλωμα», ή εμβοές στο σύστοιχο αυτί του. Η συμπτωματολογία
αυτή εύκολα εκλαμβάνεται από τον ιατρό ως τυπική εικόνα κρυολογήματος που επιμένει,
ή χρόνιας αλλεργικής ρινίτιδας, ή χρόνιας παραρρινοκολπίτιδας, η οποία φυσικά
μπορεί να συνυπάρχει. Δυστυχώς, είναι πολλά τα παραδείγματα ασθενών που λαμβάνουν
επί μήνες αντιβιοτικά, αποσυμφορητικά και αναλγητικά, ή ακόμα υποβλήθηκαν και
σε επεμβάσεις στο αυτί και τη μύτη. O ασθενής υποβάλλονταν σε αλλεπάλληλα θεραπευτικά
σχήματα για χρόνια ρινίτιδα, ιγμορίτιδα και εκκριτική ωτίτιδα, χωρίς ο ιατρός
να κάνει μία προσεκτική οπίσθια ρινοσκόπηση ή ενδοσκόπηση, ακόμα και βιοψία
του ρινοφάρυγγα σε περιπτώσεις αμφιβολίας.
Το νεόπλασμα, καθώς επεκτείνεται τοπικά και αυξάνει σε μέγεθος, διηθεί τη βάση
του κρανίου, προκαλώντας κεφαλαλγία και σε προχωρημένες περιπτώσεις, διήθηση
κρανιακών νεύρων με αντίστοιχη κλινική εικόνα παράλυσης εγκεφαλικών συζυγιών.
Τα νευρολογικά αυτά συμπτώματα οδηγούν τον ασθενή πολλές φορές από τον Ωτορινολαρυγγολόγο
στο Νευρολόγο, με τη διάγνωση κεφαλαλγίας και νευραλγίας, έως ότου ο δεύτερος,
μετά την εκτέλεση αξονικής τομογραφίας, να διαπιστώσει τη μάζα στην περιοχή
του ρινοφάρυγγα. Oι εγκεφαλικές συζυγίες που συχνότερα διηθούνται είναι η 2η
έως την 6η, με συμπτώματα παράλυσης του απαγωγού, με διπλωπία και συγκλίνοντα
στραβισμό, μονόπλευρη νευραλγία του τριδύμου, μονόπλευρη υπαισθησία στο πρόσωπο,
πτώση του άνω βλεφάρου, οφθαλμοπληγία, έως και τύφλωση. Επίσης, συχνά οι ασθενείς
απευθύνονται κατευθείαν στο Νευρολόγο ή τον Oφθαλμίατρο, έχοντας αυτήν τη συμπτωματολογία,
με αποτέλεσμα το χάσιμο πολύτιμου χρόνου έως την οριστική διάγνωση και έναρξη
της θεραπείας.


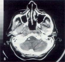
Εικόνα
2. Καρκίνος του ρινοφάρυγγα πριν (Α) και μετά (Β) τη θεραπεία με
ακτινοβολία.
Τα τραχηλικά συμπτώματα της νόσου εμφανίζονται, δυστυχώς, συχνά υπό μορφή πλαγιοτραχηλικής
διόγκωσης. Oι αδένες που προσβάλλονται συχνότερα λόγω λεμφογενών μεταστάσεων
από το νεόπλασμα, είναι οι οπισθοφαρυγγικοί και στη συνέχεια οι εν τω βάθει
τραχηλικοί και οπίσθιοι τραχηλικοί. Έτσι, ο ασθενής πολλές φορές παρουσιάζεται
στον ιατρό με μονόπλευρη, ή σπανιότερα και αμφοτερόπλευρη πλαγιοτραχηλική διόγκωση,
ανώδυνη, σκληρή και σε προχωρημένα στάδια, καθηλωμένη. Η διερεύνηση της πλαγιοτραχηλικής
διόγκωσης, πρέπει πάντα να συμπεριλαμβάνει και έλεγχο του επιφάρυγγα, ειδικά
όταν συνυπάρχουν και τα ρινολογικά και ωτολογικά συμπτώματα. Πρέπει να τονιστεί
ότι υπάρχουν και περιπτώσεις με λεμφογενείς μεταστάσεις, χωρίς ευδιάκριτη κλινικά
εξεργασία στο ρινοφάρυγγα. Και στη φάση αυτή, που είναι ήδη αργά, μπορεί ο ασθενής
να χάσει πολύτιμο χρόνο επισκεπτόμενος Παθολόγους ή Γενικούς Χειρουργούς και
να λαμβάνει σειρά αντιβιοτικών, έως ότου γίνει βιοψία της διόγκωσης και κατευθυνθεί
τελικά στον Ωτορινολαρυγγολόγο.
Αν δούμε συνολικά, από τα διεθνή βιβλιογραφικά δεδομένα, τα συμπτώματα με τα
οποία παρουσιάζονται οι ασθενείς με καρκίνο του ρινοφάρυγγα, η τραχηλική διόγκωση
είναι το συχνότερο (75-90%), ακολουθούν τα ωτολογικά συμπτώματα (48-74%), τα
ρινικά συμπτώματα (30-50%), η επίσταξη (12-65%), η κεφαλαλγία (12-50%) και η
παράλυση εγκεφαλικών συζυγιών (16-22%). Σύμφωνα με το υλικό της κλινικής μας,
δυστυχώς, επιβεβαιώθηκαν τα διεθνή δεδομένα. Η μεγάλη πλειοψηφία των ασθενών
παρουσιάσθηκε με πλαγιοτραχηλική διόγκωση (78%), ενώ 52% είχαν ωτολογικά συμπτώματα,
35% ιστορικό ρινορραγιών, 35% άλλα ρινολογικά συμπτώματα, 22% ανέφερε κεφαλαλγία
και το 12% είχε κλινικά σημεία διήθησης κρανιακών νεύρων. Η εικόνα γίνεται πιο
απογοητευτική, όταν δούμε τα ποσοστά των ασθενών αυτών σύμφωνα με τη σταδιοποίηση
κατά ΤΝΜ, όπου 2% ήταν σταδίου ΙΙ, 19% σταδίου ΙΙΙ και 78% σταδίου IV, χωρίς
ευτυχώς κανένας ασθενής να παρουσιάζει απομακρυσμένες αιματογενείς μεταστάσεις.
O έλεγχος της νόσου περιλαμβάνει πλήρη κλινική εξέταση της περιοχής κεφαλής
και τραχήλου, με οπίσθια ρινοσκόπηση και ενδοσκόπηση της μύτης και του ρινοφάρυγγα,
καθώς και ωτολογικό έλεγχο. Επίσης, είναι απαραίτητη και η νευρολογική εξέταση
των κρανιακών νεύρων. Η αξονική τομογραφία της περιοχής εγκεφάλου, βάσης κρανίου
και τραχήλου, βοηθά στη σταδιοποίηση του νεοπλάσματος, ενώ ο έλεγχος συμπληρώνεται
με αιματολογικές και απεικονιστικές μεθόδους για την πιθανότητα ανεύρεσης απομακρυσμένων
μεταστάσεων, συχνότερα στους πνεύμονες, ήπαρ και οστά. Η λήψη ιστοτεμαχίου για
ιστολογική εξέταση τεκμηριώνει τη διάγνωση.
Oι σύγχρονες απόψεις για τη θεραπευτική αντιμετώπιση του καρκίνου του ρινοφάρυγγα,
συνίστανται σε συνδυασμό ακτινοθεραπείας και χημειοθεραπείας. Η χειρουργική
επέμβαση έχει θέση μόνο σε ορισμένες περιπτώσεις εξαίρεσης των διηθημένων τραχηλικών
λεμφαδένων. Υπάρχουν διάφορα θεραπευτικά πρωτόκολλα συνδυασμού ακτινοθεραπείας
και χημειοθεραπείας, με πιο σημαντικά την εισαγωγική χημειοθεραπεία και στη
συνέχεια την ακτινοθεραπεία, ή την ταυτόχρονη ακτινο-χημειοθεραπεία. Η εισαγωγική
χημειοθεραπεία έχει ως βάση την πλατίνα και την 5 FU, ενώ η ταυτόχρονη ακτινο-χημειοθεραπεία
έχει ως βάση την καρβοπλατίνα. Η συνολική δόση της ακτινοθεραπείας είναι 70Gy
για την πρωτοπαθή εστία και 50Gy για τον τράχηλο, εάν δεν υπάρχουν μεταστάσεις,
ενώ στην ύπαρξη μεταστάσεων στον τράχηλο, η δόση είναι 65-70Gy.
Είναι πράγματι πολύ λυπηρό, όταν συναντά κανείς ασθενείς, οι οποίοι επί μήνες
περιπλανήθηκαν σε ιατρούς διαφόρων ειδικοτήτων, αλλά πολύ συχνά και σε Ωτορινολαρυγγολόγους,
έχοντας καρκίνωμα του ρινοφάρυγγα, το οποίο δεν διαγνώσθηκε από τα αρχικά του
στάδια. Δυστυχώς, πολλοί ήταν οι ασθενείς εκείνοι, στους οποίους χάθηκε πολύτιμος
χρόνος έως την οριστική διάγνωση και έναρξη της θεραπείας. Η εικόνα του νεοπλάσματος
αυτού είναι πράγματι «ύπουλη», αλλά, σε ό,τι αφορά εμάς τους Ωτορινολαρυγγολόγους,
δεν πρέπει να ξεφεύγει την προσοχής μας. O καλύτερος τρόπος αντιμετώπισης της
«ύπουλης» εμφάνισης είναι η γνώση, η ευαισθητοποίηση πάνω στην πάθηση αυτή και
προπάντων η λεπτομερής και προσεκτική κλινική εξέταση. Η θέση του νεοπλάσματος
στο ρινοφάρυγγα είναι δύσκολη στην προσπέλασή της, δυσχεραίνοντας την κλινική
εξέταση. Πολλές φορές, ο ιατρός, παρασυρόμενος από την άτυπη και συνήθη συμπτωματολογία,
θέτει εύκολα και αβίαστα τη διάγνωση της ρινίτιδας, παραρρινοκολπίτιδας, ή εκκριτικής
ωτίτιδας, χωρίς να σκεφθεί την περίπτωση ενός νεοπλάσματος του ρινοφάρυγγα και
χωρίς να μπει στον κόπο ελέγχου της περιοχής. Επίσης, λόγω βιασύνης ή λόγω ελλιπούς
εκπαίδευσης του ιατρού, ή λόγω απροθυμίας και μη συνεργασίας του ασθενούς, το
μέρος αυτό της κλινικής εξέτασης του ρινοφάρυγγα παραλείπεται. Είναι πολύ σημαντικό,
σε κάθε ασθενή με ύποπτη συμπτωματολογία, ειδικά στις περιπτώσεις που εμμένει,
ο ιατρός να ενθυμείτε πάντα να ελέγξει την περίπτωση καρκίνου του ρινοφάρυγγα.
Το λεπτομερές ιστορικό καθοδηγεί τον ιατρό, ενώ πάντα πρέπει να αφιερώνεται
χρόνος για οπίσθια ρινοσκόπηση και έλεγχο του επιφάρυγγα. Ειδικά σήμερα, με
την ύπαρξη των ενδοσκοπίων, ο έλεγχος έχει απλουστευθεί. Ακόμα και σε ύποπτες
περιπτώσεις χωρίς εμφανή εξωφυτική διόγκωση, συνιστάται βιοψία για αποκλεισμό
της πάθησης. Τέλος, σε ασθενείς που παρουσιάζονται με πλαγιοτραχηλική διόγκωση,
ο έλεγχος του ρινοφάρυγγα είναι απαραίτητος.
O καρκίνος του ρινοφάρυγγα είναι πράγματι μία πάθηση, η οποία εμφανίζεται με
«ύπουλη» συνήθως συμπτωματολογία. Τα όπλα μας, για να μην ξεγελαστούμε και χαθεί
πολύτιμος χρόνος για τον ασθενή, είναι η γνώση, η ευαισθητοποίηση για την πάθηση,
το λεπτομερές ιστορικό και η πλήρης και προσεκτική κλινική εξέταση. Εξάλλου,
ας μην ξεχνάμε, ότι αυτό που κάνει την ιατρική επιστήμη συναρπαστική και όμορφη
είναι το γεγονός ότι η διάγνωση δεν παρουσιάζεται ποτέ μόνη της, αλλά μετά από
ολοκληρωμένη γνώση, κριτική σκέψη και αξιολόγηση των δεδομένων.