ΕΝΔΙΑΦΕΡΟΥΣΑ ΠΕΡΙΠΤΩΣΗ
Ασυμπτωματικό ουρίνωμα
σε κορίτσι ηλικίας 5 ετών
Γ. Τσαχουρίδης
Α. Στεφανίδης
Φ. Ανδρουλακάκης
Ουρολογική
Κλινική Νοσοκομείου
Παίδων "Αγία Σοφία"
Υποβλήθηκε: 25/9/2003
ΠΕΡΙΛΗΨΗ
Περιγράφεται η περίπτωση ασυμπτωματικού ουρινώματος, δύο μήνες μετά από επέμβαση
πυελοπλαστικής για στένωση πυελοουρητηρικής συμβολής, σε κορίτσι ηλικίας 5 ετών.
Περιγράφονται επίσης τα σημεία της κλινικής εξέτασης που οδήγησαν στη διάγνωση,
καθώς και τα ευρήματα του απεικονιστικού ελέγχου.
Τα ασυμπτωματικά μετεγχειρητικά ουρινώματα στην παιδική ηλικία είναι εξαιρετικά
σπάνια. (Δελτ Α΄ Παιδιατρ Κλιν Πανεπ Αθηνών 2004, 51(2): 160-163)
Λέξεις ευρετηριασμού: ουρίνωμα, υδρονέφρωση, πυελοπλαστική.
ΕΙΣΑΓΩΓΗ
Ουρίνωμα είναι η συλλογή των ούρων εκτός της αποχετευτικής οδού του ουροποιητικού
συστήματος και εντός του οπισθοπεριτιναϊκού χώρου. Τα ουρινώματα χωρίζονται
σε: α) αυτόματα (σε οξεία απόφραξη, π.χ. σε λίθο του ουροποιητικού), β) τραυματικά
(σε μεγάλο τραυματισμό του νεφρού) και γ) μετεγχειρητικά (μετά από χειρουργική
επέμβαση που αφορά στο αποχετευτικό σύστημα). Τα μετεγχειρητικά ουρινώματα,
στη μεγάλη τους πλειοψηφία, παρουσιάζονται με συμπτώματα όπως άλγος, εμέτους,
ηλεκτρολυτικές διαταραχές. Η γενική κατάσταση μπορεί πολλές φορές να γίνει πολύ
σοβαρή και αυτός είναι και ο λόγος που χρειάζεται άμεση χειρουργική παροχέτευση.
Η περίπτωση που θα περιγραφεί χαρακτηρίζεται ως εξαιρετικά σπάνια, λόγω της
έλλειψης συμπτωμάτων.

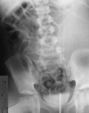
Εικόνα
1. Κυστεογραφία αρνητική για ΚΟΠ.

Εικόνα
2. DTPA: Αποφρακτική η καμπύλη του αριστερού νεφρού.
ΠΕΡΙΓΡΑΦΗ
ΠΕΡΙΠΤΩΣΗΣ
Το περιστατικό που θα περιγραφεί αφορά σε κορίτσι ηλικίας 5 ετών, που μετά από
επεισόδιο οξείας πυελονεφρίτιδας, εισήχθη σε νοσοκομείο της περιοχής της για
να αντιμετωπισθεί. Μετά την αντιμετώπιση της οξείας φάσης, ακολούθησε ο συνήθης
απεικονιστικός έλεγχος αποτελούμενος από υπερηχογράφημα, το οποίο έδειξε υδρονέφρωση
αριστερά χωρίς διάταση του συστοίχου ουρητήρα, ανιούσα κυστεοουρηθρογραφία στην
οποία δεν διαπιστώθηκε ΚΟΠ (εικόνα 1), DTPA στο οποίο διακρίνεται καθαρά η αποφρακτική
καμπύλη του αριστερού νεφρού, ειδικά μετά την έγχυση φουροσεμίδης (εικόνα 2).
Ετέθη η διάγνωση της στένωσης της πυελοουρητηρικής συμβολής και με τα ευρήματα
αυτά, προγραμματίσθηκε χειρουργική διόρθωση της ανατομικής ανωμαλίας, στην Ουρολογική
Κλινική του Νοσοκομείου Παίδων "Αγία Σοφία".
Η χειρουργική τεχνική που επιλέχτηκε ήταν η Hynes - Anderson, κατά την οποία
γίνεται εκτομή του σημείου της στένωσης και αναστόμωση της πυέλου με τον υγιή
ουρητήρα. Στο τέλος της επέμβασης τοποθετείται ειδικός καθετήρας τύπου Blue
Stent (εικόνα 3), ο οποίος διέρχεται της αναστόμωσης, της πυέλου και του νεφρικού
παρεγχύματος, για να καταλήξει στο δέρμα.
Ο καθετήρας αυτός έχει τριπλή χρησιμότητα: α) παροχετεύει τα ούρα του νεφρού,
β) λειτουργεί ως νάρθηκας της αναστόμωσης και γ) παροχετεύει το τραύμα.
Ο καθετήρας αυτός παραμένει περίπου δύο εβδομάδες, οπότε και αφαιρείται εύκολα
από το δέρμα.
Ακολούθησε ομαλή μετεγχειρητική πορεία και την έκτη ημέρα το παιδί εξήλθε, για
να επιστρέψει μετά από δύο εβδομάδες για την αφαίρεση του καθετήρα. Οι οδηγίες
ήταν να εξετασθεί σε δύο μήνες στο νοσοκομείο της περιοχής της και να ακολουθήσει
ενημέρωση της ουρολογικής κλινικής από τον εκεί παιδίατρο.
Πράγματι, μετά το δίμηνο και ενώ το κορίτσι βρισκόταν σε άριστη κλινική κατάσταση,
επισκέφτηκε τον παιδίατρο, ο οποίος κατά την κλινική εξέταση διαπίστωσε τα ακόλουθα:
α) στην επισκόπηση, μεγάλη διόγκωση της αριστεράς κοιλίας, β) κατά την ψηλάφηση,
η διόγκωση αυτή έδινε την εντύπωση ελαστικής μάζας που έφτανε μέχρι τα λαγόνια
αριστερά, και γ) στην επίκρουση, ο ήχος ήταν οξύς.
Το καλό ιστορικό και τα κλινικά ευρήματα συνηγορούσαν υπέρ της ύπαρξης ευμεγέθους
μετεγχειρητικού ουρινώματος αριστερά. Η διάγνωση επιβεβαιώθηκε και με υπερηχογράφημα
κοιλίας, όπου διακρίνεται καθαρά μεγάλη διάταση του πυελοκαλυκικού συστήματος
του αριστερού νεφρού και παρουσία μεγάλης ποσότητας υγρού, περιχαρακωμένο από
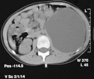
πεπαχυσμένη κάψα (εικόνα 4). Το ίδιο παρατηρείται και στην αξονική τομογραφία
άνω και κάτω κοιλίας (εικόνα 5).
Μετά τη διάγνωση του μετεγχειρητικού ουρινώματος και κατόπιν συνεννοήσεως με
την Ουρολογική Κλινική του "Αγία Σοφία", το κορίτσι διακομίστηκε εδώ
για να αντιμετωπιστεί.
Υπό γενική αναισθησία καταρχήν πραγματοποιείθηκε κυστεοσκόπηση και καθετηριασμός
του αριστερού ουρητήρα, με καθετήρα τύπου pig-tail (εικόνα 6). Με αυτόν τον
τρόπο διασφαλίστηκε η ελεύθερη δίοδος των ούρων προς την κύστη και ελέγχθηκε
η βατότητα του ουρητήρα και της αναστόμωσης, η οποία ήταν καλή. Κατόπιν αυτού,
η ασθενής τοποθετήθηκε σε θέση νεφρού και έγινε διάνοιξη του τραύματος και παροχέτευση
του ουρινώματος. Η επιλογή της ανοικτής παροχέτευσης έγινε λόγω της μακροχρόνιας
παραμονής του ουρινώματος και της παρουσίας διαφραγμάτων, γεγονός που καθιστούσε
τη διαδερμική παροχέτευση δύσκολη και επικίνδυνη.1 Η μετεγχειρητική πορεία ήταν
ομαλή και την τέταρτη ημέρα το κορίτσι εξήλθε, με οδηγίες να επιστρέψει σε 3
μήνες για την αφαίρεση του pig-tail.
Μετά 3 μήνες, η ασθενής επέστρεψε και έγινε η αφαίρεση του pig-tail. Την επόμενη
ημέρα εξήλθε χωρίς κανένα πρόβλημα.

Εικόνα
3. Μπλε: Καθετήρας Blue Stent. Κόκκινο: Αναστόμωση πυέλου και ουρητήρα.
Εικόνα
4. Υπερηχογράφημα (διάταση πυέλου και καλύκων, παρουσία υγρού στα
δεξιά της εικόνας).

Εικόνα
5. Αξονική Τομογραφία κοιλίας. Ευμέγεθες ουρίνωμα αριστερά (δεξιά
στην εικόνα).

Εικόνα
6. Τοποθέτηση του pig-tail αριστερά.
ΣΥΖΗΤΗΣΗ
Το ουρίνωμα, ως επιπλοκή της πυελοπλαστικής, είναι λιγότερο του 4% διεθνώς.[1]
Στην Ουρολογική Κλινική του Νοσοκομείου Παίδων "Αγία Σοφία", μεταξύ
του 1982 και του 2002, έγιναν 404 πυελοπλαστικές. Τα ουρινώματα που παρουσιάστηκαν
ως μετεγχειρητική επιπλοκή ήταν 5 (1.2%). Το κλινικό χαρακτηριστικό του ουρινώματος
είναι η παρουσία έντονης συμπτωματολογίας που αποτελείται από πυρετό, κοιλιακό
ή οσφυϊκό άλγος και ηλεκτρολυτικές διαταραχές. Αυτό είναι το πρώτο ασυμπτωματικό.
Σε αναζήτηση στη διεθνή βιβλιογραφία βρέθηκε άλλο ένα ουρίνωμα σε παιδί, που
εκδηλώθηκε μετά από δύο μήνες, ήταν όμως μετατραυματικό και παρουσιάστηκε, τελικά,
με έντονη συμπτωματολογία.[2]
Το περιστατικό αυτό περιγράφτηκε λόγω του ενδιαφέροντος ως προς την σπανιότητά
του και προκειμένου να τονισθεί για μια ακόμη φορά η μεγάλη σημασία του προσεκτικού
ιστορικού και της λεπτομερούς κλινικής εξέτασης, στοιχεία που οδήγησαν το συνάδελφο
παιδίατρο στη σωστή διάγνωση, πριν ακόμη πραγματοποιηθεί ο απεικονιστικός έλεγχος.
Asymptomatic
urinoma in 5 years old girl
G. Tsahouridis, A. Stefanidis, Ph. Androulakakis
(Ann Clin Paediatr Univ Atheniensis 2004, 51(2):160-163)
This is a case of a 5 years old girl that after an episode of an acute pyelonephritis, she had the usual image examinations of the urinary tract composed by ultrasound of the kidney and the bladder, voiding cystogram and DTPA. The diagnosis was ureteropelvic junction obstruction and for that reason she was admitted in our department for surgical correction. Two months after she has been discharged and for a control visit to her local hospital, the pediatrician that has admitted her, after a meticulous clinical examination came to the decision that the child had a completely asymptomatic post-operative urinoma, a very rare complication in the childhood, diagnosis that was confirmed later by ultrasound and CT scan of the abdomen. After that the child was admitted to our clinic for surgical drainage of the urinoma.
Key Words: urinoma, Hydronephrosis, Pyeloplasty
ΒΙΒΛΙΟΓΡΑΦΙΑ
1. James Morano and James Burkhalter. Percutaneus catheter drainage of post-traumatic
urinoma. Journal of Urology 1985, 134:319-321
2. C.C. Chu K.-C Chen T.-Y. Ou. Delayed presentation of a post-traumatic perirenal
urinoma in a 6- year old boy. Pediatr Surg Int 2000, 16:140-141.