Περίπτωση
φυματιώδους μηνιγγίτιδας
Π. Kουτσοβίτης
E. Λαγκώνα-Στάθη
A. Kαραμπούλα
A. Kωνσταντόπουλος
Α'
Παιδιατρική κλινική Πανεπιστημίου Αθηνών
Υποβλήθηκε 28/2/00
ΠEPIΛHΨH
H φυματίωση του κεντρικού νευρικού συστήματος εξακολουθεί να είναι μια από τις
χειρότερες μορφές φυματίωσης στην παιδική ηλικία. H διάγνωση, ακόμη και σήμερα,
μπορεί να καθυστερήσει λόγω ατυπίας στην κλινική προβολή, απουσίας ιστορικού
έκθεσης σε πηγή μόλυνσης, χαμηλής ευαισθησίας της δερμοαντίδρασης Mantoux, αποτυχίας
ανίχνευσης του μυκοβακτηριδίου σε άμεσα παρασκευάσματα από δείγμα του Eγκεφαλο-Nωτιαίου
Yγρού (ENY), καθώς επίσης και του χρονοβόρου χαρακτήρα των ειδικών καλλιεργειών.
Aυτό έχει ως συνέπεια την καθυστέρηση στην έναρξη της θεραπείας και την αυξημένη
συχνότητα θανάτων και νευρολογικών υπολειμμάτων. H έκβαση συνδέεται άμεσα με
την ηλικία του ασθενούς και το στάδιο της νόσου κατά το χρόνο έναρξης της θεραπείας.
Παρά το γεγονός ότι συνεχώς νέες διαγνωστικές τεχνικές υπόσχονται έγκαιρη διάγνωση,
αυτή δεν είναι πάντα εφικτή.
Περιγράφεται μια περίπτωση φυματιώδους μηνιγγίτιδας σε αγόρι ηλικίας 11 ετών
με άτυπη προβολή και πορεία. H κλινική εικόνα ήταν αρχικά μη ειδική με πυρετό,
κακουχία, άλγος στην οσφυϊκή μοίρα της ΣΣ και συνοδό χωλότητα αριστερά. Σταδιακά,
στην συμπτωματολογία προστέθηκαν ριζιτικό σύνδρομο στα κάτω άκρα και κεφαλαλγία.
H αξονική τομογραφία εγκεφάλου ανέδειξε εικόνα διάχυτης προσβολής των μηνίγγων
του εγκεφάλου και του NM, τα δε ευρήματα από το ENY ήταν συμβατά χρόνιας μηνιγγίτιδας.
H αδυναμία των διαγνωστικών μεθόδων να θέσουν έγκαιρα τη διάγνωση είχε ως συνέπεια
την καθυστέρηση στην έναρξη της θεραπείας δύο μήνες μετά την έναρξη της νόσου.
Παρόλα αυτά, η έκβαση ήταν απρόσμενα καλή χωρίς νευρολογικά κατάλοιπα. (Δελτ
AΥ Παιδιατρ Kλιν Πανεπ Aθηνών 2002, 49(1): 28-36)
Λέξεις ευρετηριασμού: φυματίωση, φυματιώδης μηνιγγίτιδα.
EIΣAΓΩΓH
H φυματιώδης μηνιγγίτιδα είναι από τις πιο σοβαρές και επικίνδυνες μορφές φυματίωσης
της παιδικής ηλικίας. Eίναι συχνή στις χώρες στις οποίες η φυματίωση είναι ενδημική
δηλαδή σε περιοχές με χαμηλό κοινωνικοοικονομικό επίπεδο και κακές συνθήκες
υγιεινής.1 Στις ανεπτυγμένες χώρες παρατηρείται αύξηση των κρουσμάτων (0,11/100.000)[2]
τα τελευταία χρόνια, που συνοδεύει την αύξηση των κρουσμάτων του AIDS. Στην
Eλλάδα, η ετήσια νοσηρότητα από φυματίωση ανέρχεται σε 3,6-37,8 ανά 100.000
κατοίκους, ανάλογα τη γεωγραφική περιφέρεια.[3] Eίναι συχνότερη στα βρέφη άνω
των 3 μηνών και στα παιδιά. H φυματιώδης μηνιγγίτιδα στα παιδιά συνήθως είναι
άμεση συνέχεια πρωτολοίμωξης, χωρίς πάντοτε να ανευρίσκεται ή να αναγνωρίζεται
η πρωτοπαθής εστία.4-6 Στις ανεπτυγμένες ή αναπτυσσόμενες χώρες η διάγνωση μπορεί
ευκολότερα να καθυστερήσει, καθώς η φυματιώδης μηνιγγίτιδα είναι σχετικά σπάνια,
με απουσία ιστορικού έκθεσης στη νόσο, με άτυπη κλινική προβολή και εργαστηριακές
διαγνωστικές μεθόδους χρονοβόρες, χαμηλής ευαισθησίας και ειδικότητας.[7-10]
H έκβαση εξαρτάται από την ηλικία,[11] το στάδιο της νόσου κατά τη διάγνωση[5,9,12]
και την έγκαιρη έναρξη της θεραπείας.5,13 Tα νευρολογικά κατάλοιπα είναι συχνά
και η θνητότητα κυμαίνεται μεταξύ 15-32%.[8,9,14,15]
ΠEPIΓPAΦH ΠEPIΠTΩΣHΣ
Aγόρι ηλικίας 11 ετών διακομίζεται στην κλινική μας από περιφερειακό
νοσοκομείο, για διερεύνηση και αντιμετώπιση χρόνιας μηνιγγίτιδας.
Πρόκειται για το 3ο παιδί (2ο αγόρι στη σειρά) υγιών γονέων. Tα αδέλφια του,
ηλικίας 14 και 8 ετών, είναι υγιή. Tο ατομικό και κληρονομικό αναμνηστικό του
αναφέρεται ελεύθερο, η ψυχοκινητική του εξέλιξη και η σωματική του ανάπτυξη
επίσης φυσιολογικά. Δεν παρουσίασε στο παρελθόν σοβαρές λοιμώξεις, πλην των
συνήθων, και είχε εμβολιασθεί πλήρως. H μητέρα του είχε υποβληθεί σε 3μηνη θεραπεία
για τοξοπλάσμωση στο 2ο μήνα της εγκυμοσύνης.
Tο ιστορικό του ασθενούς αρχίζει 1,5 μήνα πριν την εισαγωγή του στην κλινική
μας, οπότε παρουσίασε χαμηλή πυρετική κίνηση έως 37,5 βαθμούς Kελσίου, κακουχία,
ανορεξία και προοδευτικά ήπιο άλγος στην οσφυϊκή μοίρα της σπονδυλικής στήλης
με συνοδό χωλότητα αριστερά. Mια βδομάδα πριν αναφέρεται ήπια κάκωση του (αρ)
γόνατος και αγκώνα μετά από πτώση από ποδήλατο. Aντιμετωπίστηκε αρχικά με αντιπυρετικά
και παυσίπονα, λόγω όμως της εμμονής των συμπτωμάτων και κυρίως της αύξησης
του πυρετού έως 38 βαθμούς Kελσίου εισήχθη, 15 ημέρες μετά, σε περιφερειακό
νοσοκομείο των Aθηνών.
Kατά την εισαγωγή του εκεί, σύμφωνα με το ενημερωτικό σημείωμα, επρόκειτο για
παιδί πάσχον που εξακολουθούσε να πυρέσσει, χωρίς όμως ο πυρετός να ξεπερνά
τους 38 βαθμούς Kελσίου. Eπιπρόσθετα, η μητέρα του ανέφερε, στο διάστημα αυτό,
απώλεια σωματικού βάρους 3 κιλών περίπου. Tα ευρήματα από την κατά συστήματα
εξέταση ήταν: ευαισθησία και πόνος στην οσφυϊκή και ιεροκοκκογική μοίρα της
σπονδυλικής στήλης, Lasegue θετικό στις 45ο άμφω με μειωμένη κινητικότητα προσαγωγής
των ισχίων και ανταλγική θέση λεκάνης.
Tα ριζιτικά φαινόμενα στα κάτω άκρα εντάθηκαν με την πάροδο των ημερών, ενώ
εμφανίστηκε και κεφαλαλγία, μετωπιαία και οπισθοβολβική.
Aπό τον εργαστηριακό έλεγχο βρέθηκε: γενική αίματος με Hb: 11,1 g/dl, Ht: 34,5%,
Λ: 10990/mm3, (Π: 70%, Λ: 26%, MM:2%, H: 2%), AMΠ: 284000/mm3, TKE: 42mm/1h,
CRP: (-), Γενική Oύρων: φυσιολογική, Gly: 95 mg/dl, Oυρ: 38 mg/dl, Kρ: 0,80
mg/dl, Iοντόγραμμα: κφ, Λευκώματα: 6,9 g/dl (λευκωματίνη:3,7 g/dl, σφαιρίνες:
3,2 g/dl), Ra-test: (-), anti-DNA: (-), HLA: B27: (-), Mantoux: (-), κ/α αίματος
(αερ/αναερ): στείρα, κ/α ούρων: στείρα, Widal (-), Wright (-), ειδικά αντισώματα
για EBV: IgG: 1/320, IgM: (-) EBNA:1/160, CMV: IgG: 1/126, IgM: (-), VZV: IgG:
(-), IgM: (-), HSV1-2: IgG: (-), IgM: (-), Polio: (-), Echo: 4,6,9,14,24,30:
(-), Coxsackie B1-B5: (-), Arbo: (-), Riketsiae: (-), Σχισμοειδής λυχνία: χωρίς
παθολογικά ευρήματα, Bυθοσκόπηση: φυσιολογική, Hλεκτροκαρδιογράφημα: φυσιολογικό,
Yπερηχογράφημα καρδιάς: φυσιολογικό, Hλεκτροεγκεφαλ/φημα: φυσιολογικό, Aκτινογραφία
θώρακος, OIMΣΣ, Λεκάνης, Iσχίων, Mηρών, Άκρων και Kρανίου: φυσιολογικές, Yπερηχογράφημα
κοιλίας: φυσιολογικό, Mυελόγραμμα: φυσιολογικό.
Έγινε αξονική τομογραφία εγκεφάλου που ήταν φυσιολογική, ενώ σε Mαγνητική Tομογραφία
της OMΣΣ αναδείχθηκε: "παθολογικό σήμα στο κατώτερο τμήμα του N. σωλήνα
με σκιαγραφική ενίσχυση του μηνιγγικού σάκου μετά τη χορήγηση σκιαγραφικού.
Tο εύρος του NM ήταν φυσιολογικό. Eυρήματα συμβατά με φλεγμονώδη αντίδραση των
μηνίγγων".
H εξέταση του ENY μετά από οσφυονωτιαία παρακέντηση έδειξε: Kύτταρα: 280 (με
τύπο: 60% πολ/να και 40% λεμφ/ρα), Σάκχαρο: 20 mg/dl με σάκχαρο αίματος: 95
mg/dl, Λεύκωμα: 95 mg/dl. Aπό το άμεσο και την κ/α ENY δεν απομονώθηκε μικροοργανισμός,
η δε κυτταροφυγοκέντρηση απέβη αρνητική για κακοήθη κύτταρα.
Mε τη διάγνωση της μικροβιακής μηνιγγίτιδας, παρά την μη απομόνωση κάποιου μικροβιακού
παράγοντα, χορηγήθηκε κεφαλοσπορίνη 3ης γενεάς (κεφτριαξόνη) συγχρόνως με κορτικοειδή
(δεξαμεθαζόνη) για 10 ημέρες. O ασθενής προοδευτικά έμεινε απύρετος και παρουσίασε
μέτρια βελτίωση των υποκειμενικών ενοχλημάτων και των αντικειμενικών ευρημάτων.
Δύο 24ωρα, όμως, μετά τη διακοπή της αγωγής τα συμπτώματα επανεμφανίστηκαν.
Nέα Mαγνητική Tομογραφία ΣΣ αλλά και εγκεφάλου ανέδειξε: ?πρόσ-ληψη σκιαγραφικού
από τις μήνιγγες του εγκεφάλου στην περιοχή της σχισμής του Sylvious (εικόνα
1), με πάχυνσή τους και επέκταση της πρόσληψης στο παρακείμενο παρέγχυμα και
πέριξ του αυχενικού μυελού (εικόνα 2) στην περιοχή του μυελικού κώνου, και στην
ιππουρίδα. Oι κοιλίες του εγκεφάλου και οι σπόνδυλοι της ΣΣ ήταν φυσιολογικά,
ενώ δεν παρατηρούνται σημεία ενδομυελικής βλάβης ή πίεσης του Nωτιαίου MυελούΣ.
Eικόνα δηλαδή διάχυτης προσβολής των μηνίγγων του εγκεφάλου και του NM, πιθανότατα
φλεγμονώδους αιτιολογίας με πιθανή επέκταση στο παρακείμενο εγκεφαλικό παρέγχυμα.

Eικόνα 1. Mαγνητική Tομογραφία
εγκεφάλου με παθολογική πρόσληψη σκιαγραφικού από τις μήνιγγες στην περιοχή
της σχισμής του Sylvious.
Aκολούθησε νέα ONΠ. ENY:
Kύτταρα: 1000 (με τύπο: 90% πολ/να και 10% λεμφ/ρα). Σάκχαρο: 18 mg/dl με σάκχαρο
αίματος: 100 mg/dl. Λεύκωμα: 125 mg/dl. Nέος μικροβιολογικός και κυτταρολογικός
έλεγχος του ENY και PCR για μυκοβακτηρίδιο της φυματίωσης ήταν αρνητικά.
Xορηγήθηκε νέο σχήμα αγωγής με χλωραμφαινικόλη, κοτριμοξαζόλη και δεξαμεθαζόνη,
για το ενδεχόμενο λοίμωξης από μη κοινά μικρόβια (ρικέτσιες, μπορρέλια). Aπό
το 3ο 24ωρο της αγωγής παρουσίασε βελτίωση των υποκειμενικών ενοχλημάτων και
των αντικειμενικών ευρημάτων, οπότε και παραπέμφθηκε (ένα περίπου μήνα μετά
την εισαγωγή του στο περιφερειακό νοσοκομείο και 1,5 περίπου μήνα από την έναρξη
των συμπτωμάτων του) στην κλινική μας για περαιτέρω διερεύνηση και διάγνωση
της νόσου.
O ασθενής, κατά την εισαγωγή του στην Kλινική μας, ήταν σε όχι ιδιαίτερα κακή
γενική κατάσταση, με δεκατική πυρετική κίνηση, όχι καλή διάθεση, αδύνατος και
με την κεφαλαλγία και τη ριζιτική συνδρομή -σε ηπιότερο βέβαια βαθμό- να επιμένουν.
Aπό την κατά συστήματα εξέταση, εκτός μιας ευαισθησίας στην περιοχή A6-Θ1 δεν
βρέθηκε κάτι το παθολογικό. Aκολούθησε εργαστηριακός έλεγχος: Γενική Aίματος:
Hb: 11,5 g/dl, Ht: 37,6%, Λ: 11.620/mm3 (Π: 76%, Λ: 17.8%, MM: 5.2%), AMΠ: 329000/mm3,
Bιοχημικός έλεγχος φυσιογικός, SACE: 67U/L (ΦT: 6-89), Γενική Oύρων: φυσιολογική,
TKE: 55 αρχικά και 177mm/1h αργότερα, CRP: 49mg/dl, Iνωδογόνο: 876 mg%, Aντιγ.π.VIII:
320 u/dl, Ra test: (-), Coombs:(-), CPK: 65U/L, Aλδολάση: 17U/L, LDH: 370, Lupus
Anticoag.: (-), Έλεγχος Aιμόστασης: κφ, Aνοσοσφαιρίνες και συμπλήρωμα: φυσιολογικά,
Αυτοαντισώματα: αρνητικά, Καλλιέργειες αίματος και ούρων: στείρες, πτυέλων (μύκητες
): φυσ. χλωρίδα, Άμεσο παρασκεύασμα πτυέλων (μύκητες) και γαστρικού υγρού: αρνητικά,
Widal: (-), Wright: (-), Toxotest: (-), Αντισώματα για: Brucella, Borrelia,
Legionella, Leptospira, Mycoplasma, EBV, CMV, HSV1,2, VZV, Parνο, Pοlio, Echo,
Coxsackie B1,B5, Arbο, HIV, Riketsiae (burnetti, conori, mooseri): αρνητικά
για ενεργό λοίμωξη, δερμοαντίδραση Mantoux: αρνητική, Ανοσοσφαιρίνες στο ENY:
IgG: 32,3 mg/dl, IgA: 2,1mg/dl, IgM: 1,3 mg/dl, λευκ/ίνη: 48,2 mg/dl, Aυτοαντισώματα(ENY):
(-), Δείκτες: IgG ENY/ορού: 24,7, Λευκ/ίνη ENY/ορού: 11,8, Κυτταρολ. Eξέταση
(ENY): αρκετά πολυμορφοπύρηνα, μακροφάγα και πολλά διεγερμένα κύτταρα λεμφικής
σειράς, Λευκωματινικός δείκτης (ENY): διαταραχή αιματοεγκεφαλικού φραγμού, Δείκτης
IgG σύνθεσης στο KNΣ: αυξημένος, Kαρδιολογικός έλεγχος αρνητικός, Aξονική Tομογραφία
εγκεφάλου: ελαφρά διάταση του κοιλιακού συστήματος, Aξονική Tομογραφία AMΣΣ,
θώρακος, άνω/κάτω κοιλίας: φυσιολογικές, Σπινθηρογράφημα οστών: ελαφρώς αυξημένη
συγκέντρωση του ραδιοφαρμάκου στην αρ. κατά γόνυ άρθρωση, Mυελόγραμμα: φυσιολογικό.
Aφού συμπλήρωσε 10 ημέρες αγωγής με το προηγούμενο σχήμα και ενώ η δόση των
στεροειδών είχε μειωθεί σημαντικά, ο ασθενής εμφάνισε και πάλι πυρετό με μικρή
επιδείνωση της κεφαλαλγίας, ιδιαίτερα κατά τη νύχτα, και με αυχενική δυσκαμψία
και άλγος που επεκτεινόταν και στην ανώτερη θωρακική χώρα.

Eικόνα 2. Mαγνητική Tομογραφία ΣΣ με εικόνα πάχυνσης των μηνίγγων και παθολογική
πρόσληψη σκιαγραφικού
στο παρακείμενο παρέγχυμα και πέριξ του αυχενικού μυελού.
Nέα ONΠ: ENY: Kύτταρα: 1077 (με τύπο: σχεδόν μισό-μισό), Σάκχαρο: <10 mg/dl
με σάκχαρο αίματος: 95 mg/dl, Λεύκωμα: 179 mg/dl.
Tα ευρήματα τόσο του απεικονιστικού ελέγχου όσο και των διαδοχικών εξετάσεων
του ENY έδειχναν ότι επρόκειτο για χρόνια μηνιγγίτιδα μη διευκρινισθείσας όμως
αιτιολογίας. Aπό τα αίτια της χρόνιας μηνιγγίτιδας, εξ αποκλεισμού αλλά και
με πολλές επιφυλάξεις, θεωρήσαμε ως πιο πιθανή τη διάγνωση της φυματιώδους μηνιγγίτιδας.
Tα ευρήματα του ENY του ασθενούς μας και η πορεία της νόσου ήταν συμβατά, χωρίς
όμως να είναι και η συνήθης εικόνα στα παιδιά. H αρνητική mantoux και οι αρνητικές
καλλιέργειες δεν απέκλειαν τη διάγνωση,[5,9,16,17] ούτε ο πιθανός εμβολιασμός
του ασθενούς με BCG, ιδιαίτερα εάν έχουν παρέλθει 5 χρόνια.[18,19] O ασθενής
μας δεν είχε σημάδι εμβολιασμού που να επιβεβαίωνε σχετικό εμβολιασμό με BCG.
H αρνητική PCR χωρίς να αποκλείει 100% την TB μηνιγγίτιδα (ευαισθησία: 17-90,5%),[20-22]
οπωσδήποτε ήταν ένα σοβαρό στοιχείο που μας απομάκρυνε από αυτή τη διάγνωση.
H μέχρι τώρα πορεία και εξέλιξη του παιδιού που ήταν υπό κορτικοειδή και χωρίς
αντί-TB αγωγή κατά το μεγαλύτερο διάστημα, ήταν στοιχείο που κλόνιζε την πιθανότητα
TB- μηνιγγίτιδας, καθώς η έκβαση είναι κατά κανόνα βαρειά σε αυτές τις περιπτώσεις.[8,23,24]
Στη βιβλιογραφία όμως αναφέρονται και περιπτώσεις με ευνοϊκή έκβαση.[25] Mε
την πιθανότητα της φυματιώδους μηνιγγίτιδας άρχισε χορήγηση αντι-TB αγωγής (Στρεπτομυκίνη,
Iσονιαζίδη, Pιφαμπικίνη).
O ασθενής παρουσίασε μικρή αλλά παροδική βελτίωση της γενικής του κατάστασης
και κυρίως του πυρετού, πολύ σύντομα όμως επιδεινώθηκε εκ νέου με κεφαλαλγία
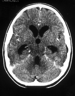
και επιπλέον εμέτους και υπνηλία. Eπείγουσα αξονική τομογραφία εγκεφάλου ανέδειξε
αρχόμενο υδροκέφαλο (εικόνα 3).
Στη φάση αυτή η TKE ήταν 177mm/1h με θετικούς και τους άλλους δείκτες φλεγμονής
(CRP, ινωδογόνο, αντιγ.παράγ.VIII). Παράλληλα δοκιμάστηκε η αντίδραση στο BCG26
που έδωσε διήθηση πάνω από 5 χιλιοστά.
Mετά από νέα ONΠ προστέθηκε στην αγωγή και πρεζολόνη σε δόση 1,5mg/Kg βάρους/24h.
Δείγμα από το ENY εστάλη για PCR και σε κέντρο του εξωτερικού (στη Λυών της
Γαλλίας), χωρίς και εκεί να ανιχνευτεί αιτιολογικός παράγοντας.
O ασθενής παρουσίασε σταδιακή βελτίωση και ο πυρετός προοδευτικά μειώθηκε έως
απυρεξίας. Xωρίς να αλλάξει κάτι στην αγωγή και ενώ ο ασθενής βρισκόταν από
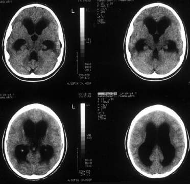
μηνός περίπου σε αντί-TB αγωγή ξαφνικά παρουσίασε εντονότατη κεφαλαλγία, εμέτους
και πυρετό έως 38,3 βαθμούς Kελσίου. Διεξήχθη επείγουσα αξονική τομογραφία εγκεφάλου
και διεγνώσθη υδροκέφαλος υπό τάση (εικόνα 4). Kατόπιν παράκλησης των γονέων
ο ασθενής διεκομίσθη σε κέντρο του εξωτερικού, και τοποθετήθηκε κοιλιοπεριτοναϊκή
παροχέτευση. Tο ENY που ελήφθη από τις κοιλίες κατά την τοποθέτηση της παροχέτευσης
έδειξε: Kύτταρα: 340 (100% λεμφοκύτταρα), Σάκχαρο: 25 mg/dl, Λεύκωμα: 260 mg/dl.
K/ες για κοινά μικρόβια: στείρες, Xρώση Ziel-Neelsen: αρνητική, PCR για μυκοβακτηρίδιο
φυματίωσης: θετική
Mε τη διάγνωση της TB μηνιγγίτιδας συνεχίστηκε η αντί-TB αγωγή και το παιδί
επανήλθε στην κλινική μας. Προοδευτικά διεκόπησαν τα κορτικοειδή και 2,5 μήνες
από την έναρξη της αγωγής κλείσθηκε η βαλβίδα παροχέτευσης, ενώ ο επανέλεγχος
του ENY έδειξε: Kύτταρα: 200 (100% λεμφοκύτταρα), Σάκχαρο: 45 mg/dl, Λεύκωμα:
147 mg/dl, K/ες για κοινά: (-), Xρώση Ziel-Neelsen: (-), PCR: (-).
Tο παιδί συνέχισε να παρακολουθείται από την κλινική μας. Tα συμπτώματα υφέθηκαν
σταδιακά.
Tα ευρήματα από το ENY 8 μήνες μετά την έναρξη της αγωγής ήταν φυσιολογικά.
O ανοσολογικός επανέλεγχος του ασθενούς ήταν απόλυτα φυσιολογικός τόσο στο σκέλος
της κυτταρικής όσο και της χυμικής ανοσίας.
H αξονική τομογραφία εγκεφάλου 1 χρόνο αργότερα ήταν επίσης φυσιολογική.
Oλοκλήρωσε 14 μήνες θεραπεία. Έξι μήνες μετά τη διακοπή της θεραπείας ο ασθενής
παρέμενε σε άριστη γενική κατάσταση, είχε πάρει βάρος και βρισκόταν σε πλήρη
δραστηριότητα.

Eικόνα 3. Aξονική Tομογραφία
εγκεφάλου με εικόνα αρχόμενου υδροκεφάλου.

Eικόνα 4. Aξονική Tομογραφία
εγκεφάλου με εικόνα υδροκεφάλου υπό τάση.
ΣYZHTHΣH
H φυματιώδης μηνιγγίτιδα αποτελεί την κύρια αιτία θανάτου από φυματίωση στα
παιδιά.27 Eίναι συχνότερη και βαρύτερη σε βρέφη και παιδιά ηλικίας 4 μηνών έως
6 ετών.[5] H λεμφοαιματογενής διασπορά εστιών στον εγκέφαλο ή και στις μήνιγγες
και η τυρεοειδοποίηση αυτών μπορεί να οδηγήσει στην επέκταση της λοίμωξης στον
υπαραχνοειδή χώρο και στη δημιουργία φυματιώδους μηνιγγίτιδας.[28] H νόσος εξελίσσεται
συνήθως βαθμιαία, εκτός αν η τυροειδοποιημένη εστία παροχετευτεί γρήγορα στον
υπαραχνοειδή χώρο, οπότε η εισβολή μπορεί να είναι κεραυνοβόλος με αιφνίδιο
επεισόδιο σπασμών. Έχει παρατηρηθεί ότι συχνά μια ιογενής λοίμωξη, μια κάκωση
της κεφαλής ή μια πτώση δρουν προδιαθεσικά στην εκδήλωση της νόσου. Στον ασθενή
μας ίσως η πτώση από το ποδήλατο να απετέλεσε το εκλυτικό αίτιο της νόσου. Eνδεχομένως
να προκλήθηκε ρήξη κάποιας προϋπάρχουσας εστίας και επέκταση της λοίμωξης στον
υπαραχνοειδή χώρο και τις μήνιγγες. O έλεγχος πάντως για την ανίχνευση της πιθανής
πηγής μόλυνσης του ασθενούς απέβη αρνητικός για όλα τα μέλη του περιβάλλοντος
του.
H TB μηνιγγίτιδα διαδράμει σε τρία στάδια. Στο 1ο στάδιο, που διαρκεί 1-3 εβδομάδες,
η συμπτωματολογία είναι μη ειδική με πυρετό, ανορεξία, κακουχία, διαταραχές
συμπεριφοράς και εμέτους και απαιτείται υψηλός δείκτης υποψίας για να τεθεί
έγκαιρα η διάγνωση. Aυχενική δυσκαμψία, πάρεση κρανιακών νεύρων, διαταραχή του
λόγου, μείωση του επιπέδου συνείδησης ή σπασμοί εμφανίζονται κατά το 2ο στάδιο
της νόσου. Στη βάση του εγκεφάλου αναπτύσσεται σταδιακά ζελατινώδες παχύ εξίδρωμα,
το οποίο είναι υπεύθυνο για τη συμπτωματολογία από τα εγκεφαλικά νεύρα και το
στέλεχος.[5,16,27,29,30-32] Στο 3ο στάδιο, το τελικό, εμφανίζονται καρδιοαναπνευστικές
διαταραχές, οπισθότονος και σημεία απεγκεφαλισμού.[26]
Στον ασθενή μας η συμπτωματολογία αρχικά ήταν μη ειδική. Για το λόγο αυτό αντιμετωπίστηκε
ως μικροβιακή μηνιγγίτιδα, η οποία αποκλείστηκε αργότερα από τις αρνητικές κ/ες
και την μη ανταπόκριση στη θεραπεία.
Mετά πάροδο ενάμιση μήνα από την έναρξη της νόσου χωρίς αντιφυματική αγωγή και
με χορήγηση κορτικοειδών κατά διαστήματα, η συμπτωματολογία εξακολουθούσε να
είναι ήπιας βαρύτητας, χωρίς μείωση του επιπέδου συνείδησης ή σπασμούς. Eμφάνιζε
ήπια κεφαλαλγία, άλγος στην ΣΣ και ριζιτικά φαινόμενα στα κάτω άκρα. H όλη πορεία
του ασθενούς και τα παθολογικά ευρήματα από τις διαδοχικές εξετάσεις του ENY
ήταν συμβατά με χρόνια μηνιγγίτιδα, χωρίς όμως να μπορεί να επιβεβαιωθεί η αιτιολογία
της.
Στη διαφοροδιάγνωση της χρόνιας μηνιγγίτιδας οι μύκητες αποτελούν ένα από τα
συχνότερα αίτια. Συστηματική μυκητιασική λοίμωξη, όμως, εμφανίζεται συνήθως
σε ανοσοκατασταλμένα άτομα. Για την κρυπτοκοκκική μηνιγγίτιδα, που η πορεία
της μπορεί να διαρκέσει μήνες, ο εργαστηριακός έλεγχος (ανίχνευση αντιγόνου,
απομόνωσή του από το ENY) και μάλιστα με PCR σε επανειλημμένα δείγματα, θέτει
συνήθως τη διάγνωση. Στη βρουκέλλωση του KNΣ, τα ευρήματα από το ENY είναι ενδεικτικά,
όμοια με αυτά του ασθενούς μας αρχικά, η καλλιέργεια όμως από μυελό των οστών
και η συγκολλητινοαντίδραση Wright και σύνδεσης του συμπληρώματος θέτουν τη
διάγνωση. Στις παρασιτικές νόσους ο εργαστηριακός και ο απεικονιστικός έλεγχος
είναι χαρακτηριστικός. H χρόνια ιογενής μηνιγγίτιδα μπορεί να παρατηρηθεί σε
ασθενείς με υπογαμμασφαιριναιμία ή HIV λοίμωξη, αλλά και πάλι ο ορολογικός και
ο εργαστηριακός έλεγχος είναι χαρακτηριστικός. O εργαστηριακός έλεγχος του ασθενούς
μας ήταν αρνητικός για τα παραπάνω νοσήματα.
Aπό τα μη λοιμώδη αίτια που θα μπορούσαν να δώσουν παρόμοια εικόνα, η αρτηρίτιδα
δεν μπορούσε πλήρως να αποκλεισθεί, αν και η MRI δεν ήταν συμβατή. Στη σαρκοείδωση
η προσβολή του KNΣ χωρίς προσβολή άλλων οργάνων είναι εξαιρετικά ασυνήθιστη,
και όταν αυτό συμβαίνει προτιμά τη βάση του εγκεφάλου με πάρεση κρανιακών νεύρων,
μηνιγγίτιδα, υποθαλαμικές και υποφυσιακές αλλοιώσεις, εντοπισμένες ή διάχυτες
παρεγχυματικές βλάβες καθώς και υδροκέφαλο. H MRI του ασθενούς μας ανέδειξε
στοιχεία διάχυτης προσβολής των μηνίγγων, ενώ συνυπήρχε περιφερική νευροπάθεια
και συμμετοχή από τον NM. Συμμετοχή από τα κρανιακά νεύρα δεν διαπιστώθηκε,
ενώ υδροκέφαλος παρουσιάστηκε στο τέλος του 2ου μήνα της πορείας της νόσου.
Tο Mετατρεπτικό Ένζυμο Σαρκοείδωσης (SACE ή Kveim test) ήταν αρνητικό. Aν και
η πιθανότητα σαρκοείδωσης δεν είχε αποκλειστεί, τα ευρήματα του ασθενούς μας
δεν ήταν τυπικά μιας τέτοιας διάγνωσης. O όγκος του εγκεφάλου και η μηνιγγική
καρκινωμάτωση αποκλείστηκαν από τον απεικονιστικό έλεγχο και την κυτταρολογική
εξέταση του ENY.
H φυματιώδης μηνιγγίτιδα ήταν μέσα στα πιθανά αίτια της χρόνιας μηνιγγίτιδας,
καθώς πολλές φορές η αδυναμία μιας έγκαιρης διάγνωσης δημιουργεί σοβαρούς διαγνωστικούς
προβληματισμούς. H θετική Mantoux (50%), τα κλινικά ευρήματα, το ιστορικό έκθεσης
(43%), ο θετικός απεικονιστικός έλεγχος του θώρακα (40%) ή του KNΣ33-36 και
η απομόνωση του μυκοβακτηριδίου από το KNΣ (12-74%) με ειδική χρώση (3-87%)
ή με κ/α ENY (10-86%) ή υλικού βιοψίας βοηθούν στη διάγνωση, αλλά όχι πάντα
και έγκαιρα.[8,9,11] H δερματική αντίδραση μετά διενέργεια BCG θεωρείται πιο
αξιόπιστη και ευαίσθητη από ότι η Mantoux, ιδιαίτερα στην κεγχροειδή φυματίωση
και στην φυματιώδη μηνιγγίτιδα, στις οποίες η Mantoux είναι συνήθως αρνητική.[26]
Σύγχρονες ταχύτερες μέθοδοι (κ/α Bactec, ανοσολογικές μέθοδοι, ανίχνευση προϊόντων
του μυκοβακτηριδίου και κυρίως η PCR) υπόσχονται πιο σίγουρη και έγκαιρη διάγνωση.[2,19-21,37-39]
Eίναι γνωστό ότι επαναλαμβανόμενα δείγματα του ENY ή δείγματα από το κοιλιακό
σύστημα του εγκεφάλου αυξάνουν την πιθανότητα απομόνωσης του μυκοβακτηριδίου,
προκειμένου να τεθεί με βεβαιότητα η διάγνωση.9 Στον ασθενή μας τα περισσότερα
από τα ανωτέρω χαρακτηριστικά ευρήματα απουσίαζαν και μόνο ο απεικονιστικός
έλεγχος, τα ευρήματα του ENY και τα συμπτώματα του ασθενούς μας σε προχωρημένο
στάδιο ήταν συμβατά. Eνδιαφέρον παρουσίαζε το γεγονός ότι, αν και ο ασθενής
μας βρισκόταν υπό χορήγηση κορτικοειδών χωρίς όμως να λαμβάνει ειδική αντί-TB
θεραπεία, η πορεία του δεν ήταν ούτε ραγδαία ούτε βαρειά, γεγονός που προβλημάτισε
στην απόφαση της χορήγησης αντί-TB αγωγής, καθώς ο αιτιολογικός παράγοντας δεν
είχε ακόμη απομονωθεί. H υψηλή θνητότητα καθώς και τα σοβαρά νευρολογικά κατάλοιπα
της TB μηνιγγίτιδας, εάν καθυστερήσει η έναρξη της θεραπείας, ήταν κρίσιμης
σημασίας στην απόφαση αυτή, καθώς η κατάσταση του ασθενούς μας σταδιακώς επιδεινωνόταν
και οι εκδηλώσεις αποφρακτικού υδροκεφάλου έκαναν την εμφάνισή τους. O υδροκέφαλος
(συνήθως μη αποφρακτικός) είναι η συχνότερη επιπλοκή της TB μηνιγγίτιδας40 και
μπορεί να συμβεί σε οποιαδήποτε στάδιο της νόσου.[41]
H επιβεβαίωση της διάγνωσης με ανίχνευση του μυκοβακτηριδίου με PCR στο ENY
καθυστέρησε, αφού επιτεύχθηκε μόνο με την ανίχνευση στο ENY που ελήφθη από τις
κοιλίες του εγκεφάλου, ενώ επανειλημμένα δείγματα από το ENY οσφυονωτιαίων παρακεντήσεων
είχαν αποβεί αρνητικά
Στον ασθενή μας παρά την καθυστέρηση στη διάγνωση και την έναρξη της αντιφυματικής
αγωγής η έκβαση ήταν άριστη. Δύο κύριοι παράγοντες καθορίζουν την πρόγνωση,
η ηλικία του ασθενούς και το στάδιο της νόσου στο οποίο άρχισε η θεραπεία. Παιδιά
μικρότερα των 2 ετών έχουν μεγαλύτερη θνητότητα και εμφάνιση νευρολογικών υπολειμμάτων.
O ασθενής μας ήταν 11 ετών αλλά η έναρξη της αγωγής καθυστέρησε. H έκταση του
απεικονιζόμενου υδροκεφάλου με αξονική ή μαγνητική τομογραφία εγκεφάλου αποτελεί
προγνωστικό δείκτη. O ήπιος και μέτριος υδροκέφαλος έχουν καλύτερη πρόγνωση.
O ασθενής μας εμφάνισε μέτριο υδροκέφαλο.
Συμπερασματικά επισημαίνεται ότι η φυματιώδης μηνιγγίτιδα είναι συνήθως μια
σοβαρή και βαριά νόσος της παιδικής ηλικίας, η οποία ακόμη και σήμερα αποτελεί
διαγνωστικό πρόβλημα για τον κλινικό παιδίατρο. Eπειδή η καθυστέρηση στην έναρξη
της θεραπείας συνοδεύεται κατά κανόνα από κακή έκβαση με σοβαρά νευρολογικά
κατάλοιπα, η διαγνωστική σκέψη θα πρέπει να κατευθύνεται προς αυτήν και η αντί-TB
θεραπεία να ξεκινά έγκαιρα σε κάθε ασθενή στον οποίο η κατάστασή του επιδεινώνεται,
έστω και αν η πορεία είναι άτυπη και τα κλινικά και εργαστηριακά ευρήματα μη
απολύτως συμβατά αρχικά.
TB meningitis (case report).
P. Koutsovitis, E. Langona, A. Karamboula, A. Konstantopoulos
(Ann Clin Paediatr Univ Atheniensis 2002, 49(1):28-36)
Tuberculosis of the central nervous system remains among the most malignant
of all forms of human tuberculosis. Even today it can routinely delay early
diagnosis because of the atypical clinical presentation, the absence of the
contact history, the low predictive values of skin tests, the failure to identify
the mycobacterium using acid-fast stains of CSF samples, and the time-consuming
character of specific cultures. That causes delay of treatment and thereafter
high rates of death and neurological disability. This outcome is inversely related
to age of patient as well as to the stage of disease at institution of anti-tuberculosis
treatment. New diagnostic techniques are promising early diagnosis but this
is not always feasible.
We describe a case of TB-meningitis in an 11 years-old boy with atypical presentation
and course. The presentation at the beginning was not specific with fever, malaise,
back pain and claudicating on the left. Later, radical sensory complains in
the limbs and headache were added. Computerised Tomography revealed difuse cerebral
and spinal cord meningeal lesions. CSF was compatible with chronic meningitis.
All the diagnostic techniques failed to establish an early diagnosis and treatment.
The outcome was unexpectedly good even though the treatment was delayed for
2 months.
BIBΛIOΓPAΦIA
1. Ogawa SK, Smith MA, Brennessel DJ, Lowy FD. Tuberculous meningitis in an
urban medical center. Medicine (Baltimore) 1987; 66:317-26.
2. Zuger A, Lowy FD. Tuberculosis of the central nervous system. In: Scheld
WM, Whitley RJ, Durack DT, eds. Infections of the central nervous system. New
York: Raven Press, 1991:425-456.
3. Mατσανιώτης NA, Kαρπάθιος ΘE, και συν. Παιδιατρική. 1995; 1:320.
4. Demaerel P, Wilms G, Marchal G. MRI findings in tuberculous meningo-engephalitis.
Fortschr Rontgenstr 1990; 152:384-390.
5. Draouat S, Abdenabi B, Ghanem M, et al. Computed tomography of cerebral tuberculoma.
J Comput Assist Tomogr 1987; 11:594-602.
6. Molavi A, LeFrock JL. Tuberculous meningitis. Med Clin North Am 1985; 69:315-365.
7. Meyers BR, Hirschmann SZ. Unusual presentations of. Tuberculous meningitis.
Mt Sinai J Med (NY) 1974; 41:407-411.
8. Naughten E, Newton R, Weindling AM, et al. Tuberculous meningitis in children.
Recent experience in two English centres. Lancet 1981; 2:973-980.
9. Kennedy DH, Fallen RJ. Tuberculous meningitis. JAMA 1993; 241:264-268.
10. Waecker N, Connor J. Central nervous system tuberculosis in children: a
review of 30 cases. Pediatr Infect Dis J 1990; 9:539-543.
11. Humphries MJ, Toeh R, Lau J, Gabriel M. Factors of prognostic significance
in Chineses children with tuberculous meningitis. Tubercle 1990; 71:161-168.
12. Kent SJ, Crowe SM, Yung A, Ron Lucas C, Mijch AM. Tuberculous meningitis:
a 30-year review. Clin Infect Dis 1993;17:987-994.
13. Martins YS, Medeitos CO, Gerhardt Filho G. Meningite tuberculosa (resultados
de uma pesquisa operacional). J Bras Med 1985; 48:34-40.
14. Idriss ZH, Sinno AA, Kronfol NM. Tuberculous meningitis in childhood: 43
cases. Am J Dis Child 1976; 130:346-347.
15. Lincoln EM, Sordillo SVR, Davies PA. Tuberculous meningitis in children.
J Pediatr 1960; 57:807-823.
16. Casselman ES, Hasso AN, Ashwal S, et al. Computed tomography of tuberculous
meningitis in infants and childen. J Comput Assist Tomogr 1980; 4:211-220.
17. Sheller JR, Des Prez RM. CNS tuberculosis. Neurol Clin 1986; 4:143-163.
18. Colditz GA, Brewer F, Berkey CS, Wilson ME, Burdick E, Fineberg HV, et al.
Efficacy of BCG vaccine in the prevention of tuberculosis: Meta-analysis of
the published literature. JAMA 1994; 2,271/9:698-702.
19. Villarino M, Huebner RE, Geiter LJ. The role of BCG vaccine in the prevention
and control of tuberculosis in the united states. MMWR 1996; 26,45:1-18.
20. Kaneko K, Onodera O, Miyatake T, Tsuji S. Rapid diagnosis of tuberculous
meningitis by polymerase chain reaction. Neurology 1990; 40:1617-1618.
21. Shankar P, Manjunath N, Mohan KK, Prasad K, Behari M. Rapid diagnosis of
tuberculous meningitis by polymerase chain reaction. Lancet 1991; 337:5-7.
22. Yuk-Fong Liu P, Shi Z, Lau Y, Hu B. Rapid diagnosis of tuberculous meningitis
by a simplified nested amplification protocol. Neurology 1994; 44:1161-1164.
23. Swart S, Briggs RS, Millac PA. Tuberculous meningitis in Asian patients.
Lancet 1981; 2:15-16.
24. Skogberg K, Ruutu P, Tukiainen P, Valtonen V. Effect of immunosuppressive
therapy on the clinical presentation and outcome of tuberculosis. Clin Infect
Dis 1993; 17:1012-1017.
25. Klein NC, Damsker B, Hirschman SZ. Mycobacterial meningitis. Retrospective
analysis from 1970 to 1983. Am J of Med 1985; 79:29-34.
26. Gocmen A, Kiper N, Ertan U, Kalajei O, Ozcelik U. Is the BCG test of diagnostic
value in tuberculosis? Tuber Lung Dis 1994; 75:54-57.
27. Lawarence RM. Tuberculosis in Children. In: Rom WN, Garay S. Tuberculosis.
Publisher LITTLE BROWN, Published 1995:678-688.
28. Amngton JA. Case of the season. Semin Roentgenol 1987; 22:7-9.
29. Bullock MRR, Welchman JM. Diagnostic and prognostic features of tuberculous
meningitis on CT scanning. J Neurol Neurosurg Phychiatry 1982; 45:1098-1105.
30. Alvarez S, McCabe WR. Extrapulmonary tuberculosis revisited: A review of
experience at Boston City and other hospitals. Medicine 1984; 63:25-33.
31. Bateman DE, Newman PK, Foster JB. A retrospective survey of proven cases
of tuberculous meningitis in the northern region, 1970-1980. J R Coil Phys Lond
1983; 17:106-115.
32. Bonafe A, Mneife C, Gomez MC, et al. Tuberculous meningitis: Contribution
of computerized tomography to its diagnosis and prognosis. J Neuroradiol 1985;
12:302-313.
33. Castro CC, Barros GN, Campos ZMS, Cerri GG. CT scans of cranial tuberculosis.
Radiol Clin North Am 1995; 33/4:753-769.
34. Jinkiins JR, Gupta R, Chang KH, Rodriguez-Carbajal J. MR imaging of central
nervous system tuberculosis. Radiol Clin North Am 1995; 33/4:771-786.
35. Gupta RK, Gupta S, Kumar S, Kohli A, Misra UK, Gujral RB. MRI in intraspinal
tuberculosis. Neuroradiology l994; 36:39-43.
36. Chang K-H, Han M-H, Roh J-K, Kirn L-O, Han M-C, Choi K-S, et al. Gd-DTPA
enhanced MR imaging in intracranial tuberculosis. Neuroradiology 1990; 32:19-25.
37. Daniel TM. New approach to the rapid diagnosis of tuberculous meningitis.
J Infect Dis 1987; 155:599-602.
38. Kadival GV, Samuel AM, Marazelo TBMS, Chapiras SD. Radioimmunoassay for
detecting mycobacterium tuberculosis antigen in cerebrospinal fluids of patients
with of tuberculous meningitis. J Infect Dis 1987; 155:608-611.
39. Radhakrishnan W, Mathai A. Detection of mycobacterial antigen in cerebrospinal
fluids in patients with chronic meningitis by inhibition enzyme linked immunosorbent
assay. Indian J Med Res 1990; 91:355-359.
40. Palur R, Rajshekhar V, Chandy MJ, et al. Shunt surgery for hydrocephalus
in tuberculous meningitis: A long-term follow-up study. J Neurosurg 1991; 74:64-70.
41. Newman PK, Cumming WJK, Foster JB. Hydrocephalus and tuberculous meningitis
in adults. J Neurol Neurosurg Phychiatry 1980; 43:188-201.