ΕΠΙΚΑΙΡΑ ΘΕΜΑΤΑ IΙI
ΣΥΝΤΟΝΙΣΤΡΙΑ: Β. ΣΥΡΙΟΠΟΥΛΟΥ
Κατευθυντήριες
οδηγίες στη θεραπεία λοιμώξεων:
Aνώτερου αναπνευστικού
Β. ΣΥΡΙΟΠΟΥΛΟΥ
Kατώτερου αναπνευστικού
Α. ΛΟΥΡΙΔΑ
Ουροποιητικού
Ε. ΛΑΓΚΩΝΑ
Νεότερα δεδομένα
για παλαιά και νέα εμβόλια
Ι. ΠΑΥΛΟΠΟΥΛΟΥ
ΚΑΤΕΥΘΥΝΤΗΡΙΕΣ ΟΔΗΓΙΕΣ
ΣΤΗ ΘΕΡΑΠΕΙΑ ΛΟΙΜΩΞΕΩΝ ΤΟΥ ΑΝΩΤΕΡΟΥ ΑΝΑΠΝΕΥΣΤΙΚΟΥ
Β. Συριοπούλου:
Οι κατευθυντήριες οδηγίες σχεδιάζονται να βοηθήσουν στην ακριβή διάγνωση και
κατάλληλη θεραπεία λοιμώξεων ή άλλων παθολογικών καταστάσεων, κυρίως στην πρωτοβάθμια
ιατρική φροντίδα. Δεν μπορεί να αποτελέσουν μοναδικά πρωτόκολλα αντιμετώπισης
και δεν αποσκοπούν στο να καταργήσουν την κρίση ή την απόφαση του κλινικού ιατρού
για κάθε άρρωστο.
Καθορίζονται από "ομάδα ειδικών" σε συνεργασία με επιστημονικές εταιρίες
και βασίζονται σε "Evidence Based Medicine" δηλαδή "Τεκμηριωμένη
Ιατρική Γνώση ή Ιατρική που Βασίζεται σε Ενδείξεις", που προέρχονται από
μετανάλυση ερευνητικών μελετών με αποδεδειγμένη καλή, μέτρια ή πτωχή αποτελεσματικότητα
στη διάγνωση και αντιμετώπιση νόσων, η οποία επιτρέπει ή απαγορεύει την εφαρμογή
τους. Παρέχουν συστάσεις για ακριβή διάγνωση και κατάλληλη θεραπεία, με σκοπό
την ταχεία βελτίωση του ασθενούς και την καλή έκβαση της νόσου, την αποφυγή
νοσηλείας, τον περιορισμό στην κατανάλωση των αντιβιοτικών και την πρόληψη της
μικροβιακής αντοχής.
Η Αμερικανική Εταιρεία Λοιμώξεων και η Αμερικανική Παιδιατρική Εταιρεία έχουν
ταξινομήσει τις συστάσεις των κατευθυντηρίων οδηγιών ανάλογα με την καλή, μέτρια
ή πτωχή τεκμηρίωσή τους, σε κατηγορίες A, B και C αντίστοιχα, βάσει των οποίων
συστήνεται η εφαρμογή τους, σε κατηγορίες D και E όταν απαγορεύεται και σε αυτές
με ισχυρή ή όχι ισχύ. Επίσης, ανάλογα με την ποιότητα των μελετών που χρησιμοποιήθηκαν
για την καλή ή πτωχή τεκμηρίωση των κατευθυντηρίων οδηγιών, ταξινομούνται σε
Ι, αν η τεκμηρίωση γίνεται από >_1 τυχαιοποιημένες μελέτες, ΙΙ αν η τεκμηρίωση
γίνεται από >_1 καλά σχεδιασμένες μελέτες και ΙΙΙ αν η τεκμηρίωση γίνεται
από την κλινική εμπειρία των ειδικών.

ΔΙΑΓΡΑΜΜΑ 1. Διάγνωση και αντιμετώπιση της οξείας φαρυγγίτιδας. Ο αλγόριθμος
εφαρμόζεται για τις περιπτώσεις χωρίς επιπλοκές.
Στρεπτοκοκκική
φαρυγγίτιδα
Οι κατευθυντήριες οδηγίες για την αντιμετώπιση της στρεπτοκοκκικής φαρυγγίτιδας
προτείνονται από την Αμερικανική Εταιρία Λοιμώξεων, με σκοπό να διευκολύνουν
στη σωστή διάγνωση και τη χορήγηση της κατάλληλης θεραπείας για να προληφθούν
οι επιπλοκές της νόσου (πυώδεις επιπλοκές, ρευματικός πυρετός, σπειραματονεφρίτιδα,
παιδιατρικό αυτοάνοσο νευροψυχιατρικό σύνδρομο "Pediatric Autoimmune Neuropsychiatric
Disorders Associated with Streptococcal Infection"-PANDAS), να βελτιωθούν
γρήγορα τα κλινικά συμπτώματα, να περιοριστεί η μετάδοση του στρεπτοκόκκου σε
άλλα άτομα και να ελαχιστοποιηθούν οι ανεπιθύμητες ενέργειες από άσκοπη χορήγηση
αντιβιοτικών.
Η οξεία φαρυγγίτιδα ή κυνάγχη ή φαρυγγοαμυγδαλίτιδα είναι συχνή νόσος της παιδικής
ηλικίας και οφείλεται σε πολλά αίτια (πίνακας 1). Ο β αιμολυτικός στρεπτόκοκκος
της ομάδας Α, αποτελεί το συχνότερο μικροβιακό αίτιο οξείας στρεπτοκοκκικής
φαρυγγίτιδας, μικρό ποσοστό ασθενών, όμως νοσεί από αυτόν σε σχέση με τα υπόλοιπα
αίτια. Επειδή η στρεπτοκοκκική φαρυγγίτιδα απαιτεί θεραπεία με αντιμικροβιακή
αγωγή, ο κλινικός ιατρός είναι απαραίτητο να αποφασίζει άμεσα για τη διάγνωση
από τα κλινικά συμπτώματα, την οποία πρέπει να επιβεβαιώνει εργαστηριακά.
Κλινική διάγνωση: Η οξεία στρεπτοκοκκική φαρυγγίτιδα έχει ειδικά κλινικά και
επιδημιολογικά χαρακτηριστικά που βοηθούν στη διάγνωση. Η νόσος προσβάλλει κυρίως
παιδιά ηλικίας 5-15 ετών, συχνότερα το χειμώνα και νωρίς την άνοιξη. Οι ασθενείς
με οξεία στρεπτοκοκκική φαρυγγίτιδα συνήθως εμφανίζουν άλγος στο φάρυγγα, δυσκαταποσία
και πυρετό. Άλλα συμπτώματα, που μπορεί να εμφανίσουν κυρίως τα παιδιά, είναι
κεφαλαλγία, ναυτία, έμετος και κοιλιακά άλγη. Στην αντικειμενική εξέταση διαπιστώνεται
ερυθρότητα, οίδημα και υπερπλασία του λεμφικού ιστού στον οπίσθιο φάρυγγα και
τις αμυγδαλές που συχνά συνοδεύεται με φλεγμονώδη στοιχεία και παρουσία επιχρίσματος.
Επίσης παρατηρείται διόγκωση και άλγος στους τραχηλικούς λεμφαδένες, ενίοτε
δε οστρακιώδες εξάνθημα.
Η διάγνωση της στρεπτοκοκκικής φαρυγγίτιδας δεν μπορεί να βασιστεί με βεβαιότητα
σε κλινικά συμπτώματα, διότι κανένα από αυτά δεν είναι παθογνωμονικό. Συνήθως
τα ίδια συμπτώματα απαντούν και σε άλλες λοιμώξεις του ανώτερου αναπνευστικού,
γι αυτό συχνά η διάγνωση πρέπει να επιβεβαιώνεται εργαστηριακά. Η απουσία πυρετού
ή η εμφάνιση συμπτωμάτων, όπως επιπεφυκίτιδα, βράγχος φωνής, λαρυγγίτιδα, βήχας,
στοματίτιδα, μικροκηλιδώδες εξάνθημα και διάρροια συνηγορούν για ιογενή λοίμωξη.
Εργαστηριακές εξετάσεις: Η απομόνωση του στρεπτοκόκκου στην καλλιέργεια του
φαρυγγικού επιχρίσματος, αποτελεί την πλέον αξιόπιστη μέθοδο για τη διάγνωση
της οξείας στρεπτοκοκκικής φαρυγγίτιδας, απαιτεί, όμως, χρόνο 2-3 ημερών. Η
σωστή λήψη της καλλιέργειας με βαμβακοφόρο στυλεό από την επιφάνεια των δύο
αμυγδαλών και από το οπίσθιο τοίχωμα του φάρυγγα, αυξάνει το ποσοστό απομόνωσης
του στρεπτοκόκκου σε 90-95% των περιπτώσεων. Ψευδώς αρνητική καλλιέργεια μπορεί
να έχουμε αν η λήψη δεν γίνει σωστά ή αν έχει προηγηθεί χορήγηση αντιβιοτικών.
Η ανίχνευση του μικροβιακού αντιγόνου (Strep test) είναι μέθοδος ταχεία και
απαιτεί βραχύ χρόνο (<30΄). Διατίθενται στο εμπόριο διάφορα τυποποιημένα
αντιδραστήρια (Kit) για την ανίχνευση του αντιγόνου του β αιμολυτικού στρεπτοκόκκου
της ομάδας Α. Τα περισσότερα απ' αυτά έχουν ευαισθησία και ειδικότητα σε ποσοστό
80-90% και >95%, αντίστοιχα. Το θετικό αποτέλεσμα του Strep test, σε υψηλό
ποσοστό, θέτει τη διάγνωση και πρέπει να αξιολογείται για την έγκαιρη έναρξη
της θεραπείας, ενώ το αρνητικό δεν αποκλείει τη στρεπτοκοκκική φαρυγγίτιδα γι'
αυτό, επί ισχυρής υποψίας, πρέπει να επιβεβαιώνεται με καλλιέργεια.

Συστάσεις
για την αντιμετώπιση της στρεπτοκοκκικής φαρυγγίτιδας
Αφορούν στη διάγνωση και αντιμετώπιση της στρεπτοκοκκικής φαρυγγίτιδας.
α) Συστάσεις για τη διάγνωση: Η διάγνωση της στρεπτοκοκκικής φαρυγγίτιδας πρέπει
να βασίζεται στην κλινική εικόνα και τα επιδημιολογικά δεδομένα και να επιβεβαιώνεται
με εργαστηριακές εξετάσεις. Θετική καλλιέργεια ή θετικό αντιγόνο με "Strep
test" δηλώνουν την παρουσία του β-αιμολυτικού στρεπτοκόκκου στο φάρυγγα.
Στις περιπτώσεις που το αντιγόνο είναι αρνητικό με "Strep test", αν
πρόκειται για παιδιά και εφήβους με συμβατή κλινική εικόνα το αποτέλεσμα πρέπει
να επιβεβαιώνεται με καλλιέργεια φαρυγγικού επιχρίσματος, ενώ αν πρόκειται για
ενήλικες που η στρεπτοκοκκική κυνάγχη είναι σπάνια και η πιθανότητα εμφάνισης
ρευματικού πυρετού πολύ μικρή, η διάγνωση μπορεί να στηριχθεί μόνο στα αποτελέσματα
ανίχνευσης του αντιγόνου και δεν συνιστάται καλλιέργεια φαρυγγικού επιχρίσματος
επί αρνητικού "Strep test" (διάγραμμα 1).
Επανάληψη των εργαστηριακών εξετάσεων ("Strep test", καλλιέργεια φάρυγγος)
δεν κρίνεται σκόπιμη μετά τη θεραπεία. Τα περισσότερα άτομα που είναι ελεύθερα
κλινικών συμπτωμάτων και έχουν θετική καλλιέργεια φάρυγγος μετά τη συμπλήρωση
της κατάλληλης θεραπείας, είναι φορείς του στρεπτοκόκκου.
β) Συστάσεις για τη θεραπεία: Η οξεία συμπτωματική στρεπτοκοκκική φαρυγγίτιδα
που έχει επιβεβαιωθεί με "Strep test" ή καλλιέργεια πρέπει να αντιμετωπίζεται
με αντιμικροβιακή θεραπεία για την ταχεία βελτίωση των κλινικών συμπτωμάτων
και την πρόληψη των επιπλοκών.
Θεραπεία εκλογής της στρεπτοκοκκικής φαρυγγίτιδας θεωρείται η δεκαήμερη χορήγηση
πενικιλλίνης. Εκτός από την πενικιλλίνη, η στρεπτοκοκκική φαρυγγίτιδα μπορεί
να αντιμετωπιστεί με αμπικιλλίνη ή αμοξικιλλίνη, αμπικιλλίνη/σουλμπακτάμη, με
αμοξικιλλίνη/κλαβουλανικό, με κεφαλοσπορίνες και μακρολίδες (πίνακας 2). Πρόσφατες
συγκριτικές κλινικές μελέτες δείχνουν ότι τα νεότερα φάρμακα, ακόμη και όταν
χορηγούνται για βραχύτερα χρονικά διαστήματα (5-7 ημέρες), είναι εξίσου αποτελεσματικά
με τη 10ήμερη θεραπεία της πενικιλλίνης.
Η αζιθρομυκίνη, νεώτερη μακρολίδη, έχει το βραχύτερο δοσολογικό σχήμα (20mg/kg/24ωρο
1 δόση x 3 ημέρες), το οποίο έχει αποδειχθεί εξίσου αποτελεσματικό με τα άλλα
αντιβιοτικά που χρησιμοποιούνται στη θεραπεία της στρεπτοκοκκικής φαρυγγίτιδας.
Πρέπει να σημειωθεί ότι σε ορισμένες περιοχές, η αντοχή του στρεπτοκόκκου στις
μακρολίδες είναι υψηλή (>20%). Στην Ελλάδα υπολογίζεται σε 15-25%.
γ) Αντιμετώπιση φορέων και ατόμων που βρίσκονται σε στενή επαφή με τους πάσχοντες.
Στους φορείς δεν συνιστάται θεραπεία, εκτός από μερικές περιπτώσεις όπως τα
άτομα: 1) με οικογενειακό ιστορικό ρευματικού πυρετού, 2) που νοσούν από οξεία
στρεπτοκοκκική φαρυγγίτιδα σε περιόδους επιδημίας ρευματικού πυρετού ή μεταστρεπτοκοκκικής
σπειραματονεφρίτιδας και 3) που στο οικογενειακό τους περιβάλλον νόσησαν και
άλλοι με οξεία στρεπτοκοκκική κυνάγχη. Στις περιπτώσεις αυτές η εκρίζωση του
στρεπτοκόκκου από το φάρυγγα των φορέων μπορεί να γίνει με την ακόλουθη αντιμικροβιακή
θεραπεία: α) Clindamycin 20-30 mg/kg/24ωρο (3 δόσεις) x 10 ημέρες για τα παιδιά
και 600 mg/24ωρο (2-3 δόσεις) x 10 ημέρες για τους ενηλίκους, β) Penicillin
+ Rifampicin x 10 ημέρες, γ) Αμοξικιλλίνη/Κλαβουλανικό και δ) κεφαλοσπορίνες
ή μακρολίδες.
Στις περιπτώσεις ατόμων σε στενή επαφή με πάσχοντες με διεισδυτική λοίμωξη από
β αιμολυτικό στρεπτόκοκκο της ομάδας Α, όπως νεκρωτική μυοπεριτονιιτιδα ή σύνδρομο
τοξικού shock, συνιστάται εκρίζωση των φορέων για να περιοριστεί η διασπορά
στελεχών που προκαλούν διεισδυτικές θανατηφόρες λοιμώξεις.
δ) Αντιμετώπιση ασθενών με επανειλημμένες υποτροπές και με θετική καλλιέργεια
ή θετικό αντιγόνο. Μικρό ποσοστό παιδιών εμφανίζουν υποτροπή της φαρυγγίτιδας
με κλινικά συμπτώματα και θετικό Strep test ή καλλιέργεια σε βραχύ χρονικό διάστημα
μετά τη συμπλήρωση της 10ήμερης θεραπείας. Στις περιπτώσεις αυτές συνιστάται
να επαναλάβουν τη θεραπεία με το ίδιο ή άλλο αντιβιοτικό.
Στα άτομα με επανειλημμένες υποτροπές, με καλλιέργεια φάρυγγος θετική, πρέπει
να γίνεται διαφορική διάγνωση από την ιογενή φαρυγγίτιδα σε χρόνιους φορείς.
Γι' αυτό, θα πρέπει να λαμβάνονται υπόψη: 1) τα κλινικά σημεία εάν αντιστοιχούν
σε ιογενή λοίμωξη ή σε στρεπτοκοκκική φαρυγγίτιδα, 2) τα επιδημιολογικά δεδομένα
μιας περιοχής αν συνηγορούν για ιογενή επιδημία ή από στρεπτόκοκκο, 3) η ανταπόκριση
στα αντιβιοτικά, η οποία αν είναι ταχεία συνηγορεί για στρεπτοκοκκική φαρυγγίτιδα,
4) η καλλιέργεια φάρυγγος αν είναι θετική ή όχι μεταξύ των επεισοδίων (το θετικό
αποτέλεσμα ενισχύει τη φορεία) και 5) η άνοδος του τίτλου αντιστρεπτολυσίνης
(TASO), η οποία συνηγορεί για στρεπτοκοκκική λοίμωξη. Η αντιμετώπιση της συμπτωματικής
υποτροπιάζουσας στρεπτοκοκκικής φαρυγγίτιδας πρέπει να γίνεται με κλινδαμυκίνη,
με το συνδυασμό αμοξικιλλίνης/κλαβουλανικού ή αμπικιλλίνης/σουλμπακτάμης. Η
αμυγδαλεκτομή συνιστάται για άτομα με συχνές υποτροπές, ιδιαίτερα όταν τα επεισόδια
δεν ελαττώνονται με την πάροδο των ετών.

Οξεία μέση πυώδης
ωτίτιδα
Οι ισχύουσες σήμερα κατευθυντήριες οδηγίες για την οξεία μέση πυώδη ωτίτιδα
(ΟΜΠΩ) έχουν σχεδιαστεί από την Αμερικανική Παιδιατρική Εταιρεία και την Αμερικανική
Εταιρεία Οικογενειακών Παιδιάτρων και παρέχουν συστάσεις κυρίως στην πρωτοβάθμια
ιατρική φροντίδα για τη διάγνωση και αντιμετώπιση της ΟΜΠΩ χωρίς επιπλοκές.
Η οξεία μέση πυώδης ωτίτιδα (ΟΜΠΩ) αποτελεί τη συχνότερη αιτία για την οποία
επισκέπτονται τα παιδιά το γιατρό τα πρώτα 5 χρόνια της ζωής τους. Είναι νόσος
της βρεφικής και πρώτης παιδικής ηλικίας, με μεγαλύτερη επίπτωση στην ηλικία
των 6-18 μηνών.
Τα μικρόβια που ευθύνονται για ΟΜΠΩ είναι: α) ο πνευμονιόκοκκος (25-50%), β)
ο αιμόφιλος της ινφλουέντζας χωρίς κάψα (15-30%), γ) η μοραξέλλα η καταρροϊκή
(3-20%), δ) ο στρεπτόκοκκος της ομάδας Α και ε) ο σταφυλόκοκκος (2-3%). Σπάνια
απομονώνονται άλλα Gram θετικά ή αρνητικά μικρόβια, ιοί που προκαλούν αναπνευστικές
λοιμώξεις, καθώς και μυκόπλασμα της πνευμονίας και χλαμύδια τραχώματος.
Μετά από κάθε επεισόδιο οξείας ωτίτιδας, άσχετα με το αντιβιοτικό που χρησιμοποιείται
για τη θεραπεία, παραμένει στο μέσο ους διάχυτο υγρό για εβδομάδες ή μήνες.
Ελάττωση της ακοής παρατηρείται όταν το υγρό καταλαμβάνει πλήρως την κοιλότητα
του μέσου ωτός. Οι πυώδεις επιπλοκές είναι σπάνιες όταν γίνεται σωστή αντιμετώπιση
και παρακολούθηση των παιδιών με ΟΜΠΩ, στις περιπτώσεις, όμως, με υποτροπιάζουσα
ωτίτιδα, λόγω της βαρηκοΐας, μπορεί να υπάρχουν διαταραχές της ομιλίας και της
μάθησης.
Η ΟΜΠΩ αποτελεί τη συχνότερη παιδιατρική λοίμωξη για την οποία συνταγογραφούνται
αντιβιοτικά και είναι η πρώτη σε κατανάλωση και κόστος. Η εφαρμογή των συστάσεων
των κατευθυντηρίων οδηγιών αποσκοπεί στη σωστή διάγνωση και αντιμετώπιση της
ΟΜΠΩ σε φυσιολογικά παιδιά ηλικίας 2μηνών έως 12 ετών με οξεία μέση πυώδη ωτίτιδα.
Οι συστάσεις αυτές αφορούν: 1) Κλινικά διαγνωστικά κριτήρια για τη ΟΜΠΩ. 2)
Ανακούφιση της ωταλγίας. 3) Παρακολούθηση ή χορήγηση αντιμικροβιακής θεραπείας.
4) Κλινική επανεκτίμηση μετά 48-72 ώρες. 5) Πρόληψη ΟΜΠΩ.
Κλινικά διαγνωστικά κριτήρια για την ΟΜΠΩ: Η ΟΜΠΩ απαιτεί οξεία έναρξη συμπτωμάτων,
με έντονη ωταλγία, ανησυχία, πυρετό, τράβηγμα του αυτιού, λήθαργο και διαταραχές
του ύπνου. Κατά την ωτοσκόπηση πρέπει να διαπιστώνονται φλεγμονή της τυμπανικής
μεμβράνης (ΤΜ), η οποία συνήθως προβάλλει, είναι ερυθρά και έχει ελαττωμένη
κινητικότητα μετά εμφύσηση αέρος. Μπορεί να διαπιστωθεί υδραερικό επίπεδο πίσω
από την ΤΜ ή ωτόρροια. Η φυσιολογική τυμπανική μεμβράνη δεν προβάλει, έχει ελαφρώς
γκρίζο χρώμα, είναι διαφανής και αντιδρά στη θετική και αρνητική πίεση, σημείο
που υποδηλώνει την ύπαρξη αέρα στο μέσο ους.
2) Ανακούφιση της ωταλγίας: Η ανακούφιση του πόνου είναι σημαντική. Συνιστώνται
παυσίπονα κυρίως συστηματικά όπως παρακεταμόλη, μεφεναιμικό οξύ και κωδεϊνούχα
σκευάσματα, ή τοπικά για να ανακουφίζεται ο πόνος και το παιδί να είναι ήρεμο,
να μην υποφέρει και να μπορεί να κοιμηθεί.
3) Παρακολούθηση ή χορήγηση αντιμικροβιακής θεραπείας: Μετά τη διάγνωση της
ΟΜΠΩ ανάλογα με την ηλικία του παιδιού, τα κλινικά ευρήματα και τη σοβαρότητα
της λοίμωξης, συνιστάται άμεση χορήγηση θεραπείας με αντιβιοτικά ή παρακολούθηση
και επανεκτίμηση του ασθενούς και στις δύο περιπτώσεις σε 48-72 ώρες. (πίνακας
3). Συγκεκριμένα, όσο μικρότερη είναι η ηλικία του ασθενούς (παιδιά μέχρι 6
μηνών) συνιστάται άμεσα αντιμικροβιακή θεραπεία ανεξάρτητα αν η διάγνωση είναι
βεβαία ή πόσο σοβαρή είναι η λοίμωξη. Για παιδιά 6 μηνών έως 2 ετών, αν η διάγνωση
είναι βεβαία συνιστάται θεραπεία, ενώ στις περιπτώσεις που είναι αμφίβολη συνιστάται
παρακολούθηση, εκτός εάν υπάρχει έντονη ωταλγία και πυρετός. Τέλος, σε παιδιά
>2 ετών χορηγείται θεραπεία αν η διάγνωση είναι βεβαία ή όταν υπάρχουν έντονα
κλινικά συμπτώματα, διαφορετικά συστήνεται παρακολούθηση. Σε όλες τις παραπάνω
περιπτώσεις συνιστάται επανεκτίμηση του ασθενούς σε 48-72 ώρες, ανεξάρτητα αν
χορηγήθηκε ή όχι θεραπεία. Τα αντιβιοτικά που συνιστώνται φαίνονται στον πίνακα
4.
4) Κλινική επανεκτίμηση μετά 48-72 ώρες: Σε όλα τα παιδιά με ΟΜΠΩ, ανεξάρτητα
αν χορηγήθηκε ή όχι αντιμικροβιακή θεραπεία στην πρώτη ιατρική επίσκεψη, συνιστάται
επανεκτίμηση μετά 48-72 ώρες. Ανάλογα με τα κλινικά συμπτώματα και ευρήματα
κατά την εξέταση στα παιδιά που έλαβαν αρχικά θεραπεία, θα συνεχιστεί η ίδια
αντιμικροβιακή θεραπεία ή θα τροποποιηθεί (πίνακας 4). Στα παιδιά που είχε αρχικά
συστηθεί παρακολούθηση, αν κριθεί σκόπιμη η θεραπεία χορηγείται αμοξικιλλίνη
80-90mg/kg ΒΣ/24ωρο και επανεκτίμηση μετά 48-72 ώρες για πιθανή τροποποίηση
της αγωγής (πίνακας 5).
Μετά από κάθε επεισόδιο ΟΜΠΩ παραμένει υγρό στο μέσο ους για εβδομάδες μέχρι
και 3 μήνες, αλλά δεν απαιτεί αντιμετώπιση. Στις περιπτώσεις που το υγρό παραμένει
για διάστημα >3 μήνες μετά την ΟΜΠΩ και προκαλεί βαρηκοΐα που μπορεί να οδηγήσει
σε καθυστέρηση στην εξέλιξη πνευματικών λειτουργιών, όπως της ομιλίας, συνιστάται
αντιμετώπιση. Αρχικά χορηγείται αντιμικροβιακή αγωγή και αν δεν αποδώσει τοποθετούνται
σωληνίσκοι για παροχέτευση και αερισμό του μέσου ωτός.
5) Πρόληψη της ΟΜΠΩ: Συνιστάται εμβολιασμός με το συζευγμένο αντιπνευμονιοκοκκικό
εμβόλιο και σε πολλές χώρες, όπως τις ΗΠΑ, και με το εμβόλιο της γρίπης. Η πρόληψη
της ΟΜΠΩ με χημειοπροφύλαξη φαίνεται να ελαττώνει τα επεισόδια κατά 40-80%.
Η πρόληψη της νόσου με εμβολιασμό είναι δυνατή σε μικρό ακόμη ποσοστό με τη
χρήση του αντιπνευμονιοκοκκικού εμβολίου.
Η χημειοπροφύλαξη έχει αποδειχτεί ευεργετική στην ελάττωση των συμπτωματικών
επεισοδίων της ΟΜΠΩ σε παιδιά με ιστορικό υποτροπιάζουσας λοίμωξης.


Παραρινοκολπίτιδα
Η παραρινοκολπίτιδα είναι συχνή νόσος της παιδικής ηλικίας. Υπολογίζονται 5
εκατομμύρια ιατρικές επισκέψεις ανά έτος στις ΗΠΑ. Το 5-10% των ιογενών λοιμώξεων
του αναπνευστικού εξελίσσονται σε παραρινοκολπίτιδα.
Τα κύρια παθογόνα αίτια είναι ίδια με της οξείας μέσης πυώδους ωτίτιδας (πνευμονιόκοκκος
30%, αιμόφιλος ινφλουέντζας 20%, στρεπτόκοκκος 15%, μοραξέλλα καταρροϊκή 12%,
αναερόβια μικρόβια 3-5%, σταφυλόκοκκος 3%). Σε χρόνια ή υποτροπιάζουσα ιγμορίτιδα
κύρια αίτια είναι ο πνευμονιόκοκκος, ο αιμόφιλος της ινφλουέντζας, μεγαλύτερη
συμμετοχή του σταφυλοκόκκου και των αναεροβίων, η ψευδομονάδα και σπάνια μύκητες
σε ανοσοκατασταλμένα άτομα.
Οι κατευθυντήριες οδηγίες για τη διάγνωση και αντιμετώπιση της παραρινοκολπίτιδας
σε παιδιά 1-21 ετών συστήνονται από την Αμερικανική Παιδιατρική Εταιρεία και
την Αμερικανική Εταιρεία Οικογενειακών Παιδιάτρων.
1) Διάγνωση: Η διάγνωση της παραρινοκολπίτιδας στηρίζεται σε κλινικά χαρακτηριστικά
που είναι η βλεννοπυώδης ρινική έκκριση και ο βήχας που επιμένουν για περισσότερο
από 10-14 ημέρες. Μπορεί να συνυπάρχουν υψηλός πυρετός, οίδημα προσώπου ή πόνος.
Η απεικονιστικές μέθοδοι δεν είναι απαραίτητες για τη διάγνωση της νόσου σε
παιδιά <_6ετών και δεν συνιστώνται, εκτός αν υποπτευόμαστε επιπλοκή, υπάρχει
συμμετοχή από τους οφθαλμικούς κόγχους ή πρόκειται ο ασθενής να υποβληθεί σε
χειρουργική επέμβαση.
2) Θεραπεία: Η παραρινοκολπίτιδα πρέπει να αντιμετωπίζεται με αντιμικροβιακή
θεραπεία κυρίως για την πρόληψη των επιπλοκών από το κεντρικό νευρικό σύστημα
και για την πρόληψη χρόνιας παραρινοκολπίτιδας. Μπορεί να χρησιμοποιηθεί ένα
από τα αντιβιοτικά που δίδουμε για τη θεραπεία της οξείας μέσης πυώδους ωτίτιδας.
Συνήθως προτιμάμε αμοξικιλλίνη/κλαβουλανικό (Augmentin) ή αμπικιλλίνη/σουλμπακτάμη
(Begalin), που είναι δραστικά και στα αναερόβια μικρόβια. Η αποτελεσματικότητα
των διαφόρων αντιβιοτικών στη θεραπεία της παραρινοκολπίτιδας, σύμφωνα με κλινικές
μελέτες, φαίνεται στον πίνακα 6. Η διάρκεια της θεραπείας κυμαίνεται από 10
ημέρες έως 3-6 εβδομάδες και εξαρτάται από την ταχύτητα που θα υποχωρήσουν τα
κλινικά συμπτώματα και αν ο ασθενής εμφανίσει ή όχι επιπλοκές. Σε σοβαρές επιπλοκές
(πίνακας 7), η θεραπεία πρέπει να συνεχίζεται για 4-6 εβδομάδες. Αποσυμφορητικά,
αποχρεπτικά, αντι ισταμινικά, εισπνοές υδρατμών, πλύσεις ρινικής κοιλότητας
με φυσιολογικό ορό και παυσίπονα μερικές φορές ανακουφίζουν τον άρρωστο.
ΚΑΤΕΥΘΥΝΤΗΡΙΕΣ ΟΔΗΓΙΕΣ
ΣΤΗ ΘΕΡΑΠΕΙΑ
ΛΟΙΜΩΞΕΩΝ ΤΟΥ ΚΑΤΩΤΕΡΟΥ ΑΝΑΠΝΕΥΣΤΙΚΟΥ
Α. Λουρίδα:
Η ιατρική πρακτική σήμερα, βασίζεται όλο και περισσότερο σε κατευθυντήριες οδηγίες
και πρωτόκολλα.
Η τακτική αυτή έχει ως αποτέλεσμα την ορθολογική χρήση των αντιβιοτικών, τη
μείωση των εισαγωγών στο νοσοκομείο και γενικά την καλύτερη φροντίδα των μικρών
ασθενών μας.
Οι λοιμώξεις του κατώτερου αναπνευστικού αποτελούν σημαντική αιτία νοσηρότητας
των παιδιών στις ανεπτυγμένες χώρες και την πρώτη αιτία θανάτου των παιδιών
στον αναπτυσσόμενο κόσμο. Η πνευμονία της κοινότητας αφορά σε υγιή παιδιά που
νόσησαν εκτός νοσοκομείου (πίνακας 1).
Οι κατευθυντήριες οδηγίες για κάθε παιδί με πιθανή πνευμονία επικεντρώνονται
στα εξής:
- Αιτιολογία και επιδημιολογία.
- Κλινική εικόνα.
- Ακτινολογικό έλεγχο.
- Εργαστηριακή διερεύνηση.
- Εκτίμηση της βαρύτητας.
- Χορήγηση αντιβιοτικών και διάρκεια θεραπείας.
- Γενική υποστηρικτική αγωγή.
- Επιπλοκές και πρόληψη.

Η αιτιολογική διάγνωση της πνευμονίας στα παιδιά είναι δύσκολη και η χορήγηση
της θεραπείας είναι συνήθως εμπειρική, βασιζόμενη στην ηλικία του παιδιού και
σε κλινικά και επιδημιολογικά δεδομένα.
Tα παθογόνα αίτια σχετίζονται σημαντικά με την ηλικία του παιδιού. Στα βρέφη
ηλικίας 3 εβδομάδων - 3 μηνών, η πνευμονία είναι συνήθως μικροβιακή, με κύριο
παθογόνο τον πνευμονιόκοκκο. Σπανιότερα ενοχοποιούνται τα χλαμύδια του τραχώματος
και ο χρυσίζων σταφυλόκοκκος (πίνακας 2).
Στα μεγαλύτερα βρέφη και στα παιδιά προσχολικής ηλικίας ενοχοποιούνται συχνότερα
οι αναπνευστικοί ιοί, όπως ο αναπνευστικός συγκυτιακός (RSV), οι ρινοϊοί, οι
ιοί παραϊνφλουέντζας 1,2,3, κ.ά. (πίνακας 3). Αξίζει να σημειωθεί ότι τα λεγόμενα
άτυπα παθογόνα, όπως το μυκόπλασμα και τα χλαμύδια της πνευμονίας προκαλούν
λοίμωξη ακόμη και σε μικρά παιδιά, <5 ετών (πίνακας 4). Όμως, η συχνότητά
τους αυξάνει σημαντικά στα παιδιά σχολικής ηλικίας και στους εφήβους (πίνακας
5). Οι σοβαρότερες πνευμονίες που συνήθως χρειάζονται νοσοκομειακή νοσηλεία
οφείλονται σε παθογόνα βακτήρια όπως ο πνευμονιόκοκκος, ο χρυσίζων σταφυλόκοκκος,
και ο πυογόνος στρεπτόκοκκος. Ο πνευμονιόκοκκος αποτελεί το συχνότερο αίτιο
βακτηριακής πνευμονίας για όλες τις ηλικίες, με εξαίρεση τη νεογνική περίοδο
(σχήματα 1, 2). Η πνευμονία από χρυσίζοντα σταφυλόκοκκο είναι σπάνια στα παιδιά
και τους εφήβους και αποτελεί συνήθως επιπλοκή της γρίππης, ενώ η πνευμονία
από πυογόνο στρεπτόκοκκο είναι σε ορισμένες περιπτώσεις επιπλοκή της ανεμευλογιάς.
Αξίζει, επίσης, να σημειωθεί ότι 8-40% των ασθενών με πνευμονία έχουν μικτή
λοίμωξη, δύο ιούς ταυτόχρονα, ή ιό - βακτήριο μαζί. Οι ιογενείς λοιμώξεις ενοχοποιούνται
για το 14-35% των περιπτώσεων που έχει τεθεί αιτιολογική διάγνωση, ενώ σε σημαντικό
ποσοστό των ασθενών δεν προσδιορίζεται το παθογόνο αίτιο (πίνακας 6).
Η κλινική εικόνα της πνευμονίας είναι γνωστή. Ο Παγκόσμιος Οργανισμός Υγείας
(WHO) θεωρεί την ταχύπνοια το πιο αξιόπιστο από τα κλινικά σημεία, ενώ τα στηθακουστικά
ευρήματα δεν είναι πάντοτε διαγνωστικά. Για την αξιολόγηση της ταχύπνοιας χρειάζεται
μέτρηση των αναπνοών για ένα ολόκληρο λεπτό, ενώ το παιδί είναι ήρεμο (πίνακας
7).



Η ταχύπνοια αξιολογείται περισσότερο στα βρέφη και τα νήπια, ενώ τα μεγαλύτερα
παιδιά έχουν συνήθως δυσκολία στην αναπνοή (δύσπνοια).
Η απουσία ταχύπνοιας δεν αποκλείει την πνευμονία.
Η βακτηριακή πνευμονία προβάλλει συνήθως με υψηλό πυρετό και ρίγος, βήχα, δύσπνοια,
ταχύπνοια και εντοπισμένο θωρακικό άλγος.
Παιδιά προσχολικής ηλικίας με συρίττουσα αναπνοή (wheezing), είναι απίθανο να
έχουν πρωτοπαθή βακτηριακή πνευμονία.
Η απουσία πυρετού και οξέων αναπνευστικών συμπτωμάτων καθιστούν ελάχιστα πιθανή
την ύπαρξη πνευμονίας.
Ακτινολογικός έλεγχος: Ενδείκνυται και πότε;
Η ακτινογραφία θώρακος δεν πρέπει να αποτελεί εξέταση ρουτίνας σε παιδιά με
ήπια, χωρίς επιπλοκές λοίμωξη του κατώτερου αναπνευστικού. Ωστόσο, οι περισσότεροι
ερευνητές συστήνουν να γίνεται ακτινογραφία θώρακος σε:
- Παιδιά μικρότερα των 5 χρόνων.
- Με υψηλό πυρετό (Θ >_39°C).
- Λευκοκυττάρωση (Λευκά >20.000/mm3).
- Όταν δεν υπάρχει εμφανής εστία πυρετού.
Ακτινογραφία θώρακος δεν είναι απαραίτητη όταν οι ασθενείς με τα παραπάνω κριτήρια
έχουν κλασσικά ευρήματα βρογχιολίτιδας.
Η ακτινογραφία θώρακος δεν βοηθά ιδιαίτερα στη διαφορική διάγνωση μεταξύ βακτηριακής
και ιογενούς πνευμονίας (πίνακας 8). Ωστόσο, η τμηματική ή λοβώδης πύκνωση αποτελεί
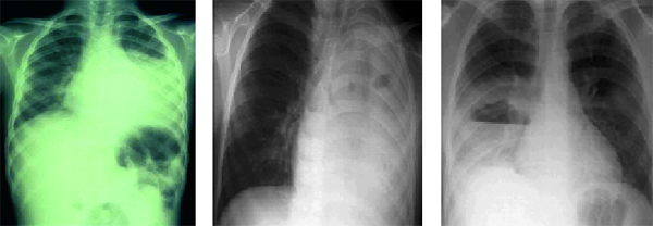
ισχυρή ένδειξη πνευμονιοκοκκικής πνευμονίας (εικόνα 1), ενώ οι διάμεσες διηθήσεις
συσχετίζονται με ιογενείς λοιμώξεις.
Δεν υπάρχουν παθογνωμονικά ακτινολογικά ευρήματα για τη μυκοπλασματική πνευμονία.
Στο 33% των περιπτώσεων μυκοπλασματικής λοίμωξης υπάρχει πυλαία αδενίτις. Συνήθως
προβάλλει με αμφοτερόπλευρες διάμεσες ή περιβρογχικές διηθήσεις, αλλά και με
τμηματική ή λοβώδη πύκνωση. Πλευριτικό υγρό αναπτύσσεται σπάνια και συνήθως
σε μικρή ποσότητα.
Οι πλάγιες ακτινογραφίες θώρακος δε βοηθούν στη διάγνωση της πνευμονίας και
πρέπει να αποφεύγονται.
Δεν χρειάζεται επανάληψη της ακτινογραφίας θώρακος σε παιδί με πνευμονία και
ικανοποιητική κλινική ανταπόκριση, που έχει φυσιολογικά στηθακουστικά ευρήματα
στο τέλος της θεραπείας.
Όμως, ακτινολογική παρακολούθηση είναι απαραίτητη σε: ατελεκτασία, στρογγύλη
πνευμονία, παρατεινόμενη πνευμονία που δεν ανταποκρίνεται στη θεραπεία και επί
επιπλοκών.
Εργαστηριακός έλεγχος δεν χρειάζεται στις περισσότερες περιπτώσεις πνευμονίας
της κοινότητας. Ο αριθμός των λευκών και οι παράγοντες οξείας φάσης, όπως η
C-αντιδρώσα πρωτεΐνη (CRP) και η ταχύτητα καθίζησης των ερυθρών (ΤΚΕ), έχουν
μικρή διαγνωστική αξία. Παρά το γεγονός ότι η λευκοκυττάρωση και η αυξημένη
CRP συσχετίζονται κατά κανόνα με μικροβιακές λοιμώξεις, ορισμένες ιογενείς πνευμονίες,
όπως η πνευμονία από ιούς γρίππης Α, Β και από αδενοϊούς, συνοδεύονται από μεγάλη
αύξηση των παραπάνω δεικτών. Ωστόσο, σε ασθενείς με σοβαρή συμπτωματολογία ή
με επιπεπλεγμένη κλινική πορεία που χρειάζονται νοσοκομειακή νοσηλεία, είναι
σκόπιμη η μικροβιολογική διερεύνηση για τον προσδιορισμό του παθογόνου αιτίου
(πίνακας 9). Από τις εργαστηριακές εξετάσεις που αναγράφονται στον πίνακα 9,
αξίζει να αναφερθεί ότι η ανίχνευση αντιγόνων ιών στο ρινοφαρυγγικό έκπλυμα
των βρεφών είναι ταχεία και αξιόπιστη μέθοδος για τη διάγνωση λοίμωξης από αναπνευστικό
συγκυτιακό ιό (RSV), από αδενοϊούς, από ιούς γρίππης κ.ά. Στην κλινική μας γίνεται
ανίχνευση του αντιγόνου του πνευμονιοκόκκου στα ούρα, με ανοσοχρωματογραφική
μέθοδο (πίνακας 10). Είναι μέθοδος με υψηλή ειδικότητα (94%) και ικανοποιητική
ευαισθησία (86%) και έχει βοηθήσει αποτελεσματικά στη διάγνωση της πνευμονιοκοκκικής
πνευμονίας (πίνακας 11). Η διαθωρακική παρακέντηση του πνεύμονα δια βελόνης,
είναι εξέταση με υψηλή διαγνωστική αξία ,αλλά είναι επεμβατική μέθοδος και δε
συστήνεται από τους περισσότερους συγγραφείς.
Η εκτίμηση της βαρύτητας της πνευμονίας και οι ενδείξεις εισαγωγής στο νοσοκομείο,
προκαλούν σημαντικό προβληματισμό στην πρωτοβάθμια φροντίδα (πίνακας 12).
Η υποξαιμία, δηλ. κορεσμός Ο2 αρτηριακού αίματος <_92% σε ατμοσφαιρικό αέρα
αποτελεί σημαντικό δείκτη της βαρύτητας της πνευμονίας.

ΣΧΗΜΑ 1. Αιτιολογία πνευμονίας
κοινότητας.

ΣΧΗΜΑ 2. Αιτιολογία της πνευμονίας της κοινότητας.

EIKONA 1. Λοβώδης πύκνωση.
Tα βρέφη με υποξαιμία έχουν χαρακτηριστικά έντονη ανησυχία.
Ο κορεσμός του Ο2 πρέπει να παρακολουθείται ανά 4ωρο με παλμική οξυμετρία σε
όλα τα νοσηλευόμενα παιδιά και συχνότερα σε εκείνα που παρουσιάζουν σημαντική
ταχύπνοια, δύσπνοια ή ωχρότητα. Όταν η διατήρηση επαρκούς οξυγόνωσης είναι αδύνατη,
ή ο ασθενής βρίσκεται σε shock ή σε αναπνευστική ανεπάρκεια, πρέπει να νοσηλεύεται
στη Μονάδα Εντατικής Νοσηλείας (πίνακας 13).
Το σημαντικότερο ερώτημα στην αντιμετώπιση του παιδιού με την πνευμονία, είναι
πότε θα χορηγηθεί αντιμικροβιακή θεραπεία και ποια είναι η ορθότερη επιλογή,
ως προς το είδος του αντιβιοτικού και τον τρόπο χορήγησης (πίνακας 14). Στη
θεραπευτική μας επιλογή πρέπει να ληφθούν σοβαρά υπ' όψιν, η μεγάλη συχνότητα
των ιογενών λοιμώξεων, η δυσχέρεια στην αιτιολογική διάγνωση, καθώς και η αυξανόμενη
αντοχή των παθογόνων βακτηρίων στα αντιμικροβιακά και ιδιαίτερα του πνευμονιοκόκκου
στην πενικιλλίνη (σχήμα 3, εικόνα 2). Στις περισσότερες χώρες που έχουν γίνει
αξιόπιστες μελέτες, η αντοχή του πνευμονιοκόκκου στην πενικιλλίνη φθάνει να
υπερβαίνει το 20%, ενώ σε ορισμένες ευρωπαϊκές χώρες όπως η Γαλλία και η Ισπανία,
φθάνει το 60% (εικόνα 2).
Όταν πιθανολογείται ιογενής λοίμωξη σε βρέφη μεγαλύτερα των 4 μηνών και παιδιά
προσχολικής ηλικίας με χαμηλό πυρετό, ήπια συμπτωματολογία και καλή γενική κατάσταση,
δεν είναι απαραίτητο να χορηγείται αντιμικροβιακή αγωγή (πίνακας 15). Όμως,
απαιτείται προσεκτική παρακολούθηση των ασθενών αυτών, γιατί συχνά η βακτηριακή
πνευμονία αποτελεί επιπλοκή ιογενών λοιμώξεων. Η προτεινόμενη θεραπεία βακτηριακής
πνευμονίας σε εξωτερικούς ή νοσηλευόμενους ασθενείς, για ηλικίες <5 ετών
και >5 ετών, αναγράφεται στους πίνακες 16 και 17 αντίστοιχα.
Όλοι οι εξωτερικοί ασθενείς πρέπει να παρακολουθούνται στενά από τους γονείς
τους και να επανεξετάζονται από το θεράποντα ιατρό σε 48 έως 72 ώρες. Επί επιμονής
του πυρετού ή επιδείνωσης της κλινικής εικόνας, συστήνεται εισαγωγή στο νοσοκομείο.

ΕΙΚΟΝΑ 2. Αντοχή πνευμονιόκοκκου
στα αντιβιοτικά.

ΣΧΗΜΑ 3. Αυξανόμενες δημοσιεύσεις που αφορούν σε πνευμονιοκόκκους ανθεκτικούς
στα αντιβιοτικά.
Σε όλους τους ασθενείς εξασφαλίζεται επαρκής οξυγόνωση, σίτιση και ενυδάτωση.
Χορηγούνται αντιπυρετικά και αναλγητικά για να διευκολύνεται ο βήχας.
Κάθε χειρισμός που μπορεί να επιβαρύνει την αναπνευστική λειτουργία, πρέπει
να αποφεύγεται.
Αξίζει να σημειωθεί ότι η φυσιοθεραπεία δεν έχει θέση στην αντιμετώπιση της
πνευμονίας.
Η διάρκεια της θεραπείας είναι 7-10 ημέρες σε νόσο χωρίς επιπλοκές. Ορισμένοι
συγγραφείς συστήνουν να συνεχίζεται η αγωγή τουλάχιστον μία (1) εβδομάδα μετά
την πτώση του πυρετού. Η παράταση του πυρετού και η απουσία κλινικής βελτίωσης,
παρά τη χορήγηση της κατάλληλης αντιμικροβιακής αγωγής, μπορεί να οφείλεται
σε ανθεκτικό παθογόνο στέλεχος, σε μειωμένη άμυνα του ασθενούς, ή στη δημιουργία
επιπλοκών. Επιπλοκές παρατηρούνται συχνότερα σε παιδιά μικρής ηλικίας με βακτηριακή
πνευμονία που συνοδεύεται από μικροβιαιμία και οι σπουδαιότερες είναι: πλευριτική
συλλογή, εμπύημα, πνευματοκήλες με ή χωρίς πνευμοθώρακα, νεκρωτική πνευμονία
και απόστημα πνεύμονος. Στις περιπτώσεις αυτές χρειάζεται συνήθως και χειρουργική
αντιμετώπιση.
Επί επιπλοκών, η διάρκεια της θεραπείας παρατείνεται έως 6 εβδομάδες, με αρχική
ενδοφλέβια θεραπεία και στη συνέχεια από του στόματος.
Τα επιδημιολογικά δεδομένα για την πνευμονία σήμερα έχουν αλλάξει. Ο εμβολιασμός
των παιδιών έχει συμβάλλει σημαντικά στην πρόληψη της νόσου. Έτσι, η πνευμονία
ως επιπλοκή κοινών λοιμωδών νοσημάτων όπως η ιλαρά και ο κοκκύτης, έχει ελαχιστοποιηθεί,
ενώ η πνευμονία από αιμόφιλο ινφλουέντζας τύπου β έχει σχεδόν εξαφανιστεί από
τις χώρες που εφαρμόστηκε το συζευγμένο εμβόλιο. Ωστόσο, η βακτηριακή πνευμονία
εξακολουθεί να προβληματίζει, με την ανάδυση νέων ανθεκτικών στελεχών παθογόνων
μικροβίων και ιδιαίτερα του πνευμονιόκοκκου, λόγω της αλόγιστης χρήσης των αντιβιοτικών.
Το νέο επταδύναμο συζευγμένο εμβόλιο κατά του πνευμονιοκόκκου στις χώρες που
έχει ήδη εφαρμοσθεί, έχει μειώσει σημαντικά τη διεισδυτική πνευμονιοκοκκική
νόσο, τη φορεία ανθεκτικών στελεχών, αλλά και την επίπτωση της πνευμονίας (πίνακες
18, 19).
Η χρησιμοποίηση στο μέλλον νεότερων εμβολίων κατά του πνευμονιοκόκκου, που περιλαμβάνουν
περισσότερους ορότυπους, εννεαδύναμο, εντεκαδύναμο, αναμένεται ότι θα συνεισφέρει
ακόμα περισσότερο στη μείωση των σοβαρότερων περιπτώσεων πνευμονίας της κοινότητας.

KΑΤΕΥΘΥΝΤΗΡΙΕΣ ΟΔΗΓΙΕΣ
ΣΤΗ ΘΕΡΑΠΕΙΑ ΛΟΙΜΩΞΕΩΝ ΤΟΥ ΟΥΡΟΠΟΙΗΤΙΚΟΥ
Ε. Λαγκώνα:
Οι λοιμώξεις του ουροποιητικού αποτελούν ένα από τα προβλήματα που πολύ συχνά
αντιμετωπίζει ο παιδίατρος. Υπολογίζεται ότι 8% των κοριτσιών και περίπου 2%
των αγοριών θα παρουσιάσει ένα τουλάχιστον επεισόδιο συμπτωματικής ουρολοίμωξης
μέχρι την ηλικία των 6 ετών. Oι συμπτωματικές ουρολοιμώξεις είναι δυνατόν να
εντοπίζονται στο κατώτερο ουροποιητικό (κυστίτιδες) ή στο ανώτερο ουροποιητικό
σύστημα, ουρητήρα - πύελο - νεφρικό παρέγχυμα (πυελονεφρίτιδες), οπότε εκδηλώνονται
συνήθως με υψηλό πυρετό και ρίγος. Οι λοιμώξεις που εντοπίζονται στο νεφρικό
παρέγχυμα είναι δυνατόν να προκαλέσουν μόνιμες νεφρικές βλάβες με απώτερες επιπτώσεις
την υπέρταση, τις επιπλοκές στην κύηση και σπανιότερα τη νεφρική ανεπάρκεια.
Ο κίνδυνος νεφρικής βλάβης είναι μεγαλύτερος όσο μικρότερη είναι η ηλικία του
παιδιού. Μελέτες έχουν δείξει ότι η πιο επικίνδυνη ηλικία είναι ο 1ος χρόνος
ζωής. Μετά τα 3 χρόνια ο κίνδυνος περιορίζεται σημαντικά, ενώ μετά τα 5 είναι
υπαρκτός αλλά πολύ μικρός.
Σε παιδιά μικρής ηλικίας με 1ο επεισόδιο ουρολοίμωξης, ανακαλύπτονται σε υψηλότερο
ποσοστό ανατομικές ανωμαλίες, αποφρακτική ουροπάθεια ή συχνότερα κυστεοουρητηρική
παλινδρόμηση. Η συχνότητα της παλινδρόμησης σε παιδιά ηλικίας κάτω του έτους
ξεπερνά το 50% (σχήμα 1). Βρέφος ή μικρό παιδί με ανατομική ανωμαλία του ουροποιητικού
και λοίμωξη είναι σε αυξημένο κίνδυνο για ανάπτυξη νεφρικής βλάβης.

ΣΧΗΜΑ 1: Συχνότητα κυστεοουρητηρικής
παλινδρόμησης σε παιδιά με ουρολοίμωξη ανά ηλικία.
- Pediatrics 1999 AAP (αποτελέσματα από 54 μελέτες)






Οι ουρολοιμώξεις στα βρέφη και τα μικρά παιδιά προβάλουν άτυπα ή μόνο με πυρετό,
με αποτέλεσμα να διαφεύγει ή να καθυστερεί η διάγνωση. Κλινικά και πειραματικά
δεδομένα δείχνουν ότι η καθυστέρηση στην έναρξη της θεραπείας αυξάνει σημαντικά
το κίνδυνο βλάβης του νεφρικού παρεγχύματος.
Με βάση τα δεδομένα αυτά, παιδιά ηλικίας <2 ετών με συμπτωματική ουρολοίμωξη
αποτελούν παιδιατρικό υποπληθυσμό υψηλού κινδύνου για ανάπτυξη νεφρικής βλάβης.
Η Αμερικανική Ακαδημία Παιδιατρικής, λαμβάνοντας υπόψη τα ανωτέρω, συστήνει
ευαισθητοποίηση των παιδιάτρων για την αναγνώριση του νεογνού - βρέφους ή μικρού
παιδιού με τη συμπτωματική ουρολοίμωξη, αφού σε μικρά παιδιά με πυρετό χωρίς
σαφή εστία διαγιγνώσκεται λοίμωξη του ουροποιητικού σε ποσοστό που αγγίζει το
5%, με τα κορίτσια να υπερτερούν και τον 1ο και το 2ο χρόνο (πίνακας 1).
Η λήψη λεπτομερούς ιστορικού, ατομικού και οικογενειακού, βοηθάει στη διάγνωση.
Η ύπαρξη παλινδρόμησης στο οικογενειακό περιβάλλον πρέπει να λαμβάνεται σοβαρά
υπ' όψη, αφού είναι γνωστή η κληρονομική επιβάρυνση. Η λεπτομερής κλινική εξέταση
είναι απαραίτητη για αναγνώριση προδιαθεσικών παραγόντων για ουρολοίμωξη, όπως
σύμμυση των χειλέων του αιδοίου στα κορίτσια, η φίμωση στα αγόρια και οπωσδήποτε
σωστή εκτίμηση της γενικής κατάστασης του παιδιού, αφού η σοβαρότητα των συμπτωμάτων
καθορίζει και τον τρόπο αντιμετώπισης.
Η ακριβής διάγνωση είναι εξαιρετικά σημαντική γιατί: α) εντοπίζει τη λοίμωξη,
β) καθορίζει τη θεραπεία και την περαιτέρω διερεύνηση του παιδιού με ουρολοίμωξη
και γ) αποφεύγεται η άσκοπη χορήγηση φαρμάκων και η υποβολή του παιδιού σε απεικονιστικό
έλεγχο, που και ταλαιπωρία για το παιδί είναι και κόστος έχει και είναι δυνητικά
βλαβερή. Η διάγνωση απαιτεί λήψη δείγματος ούρων για κ/α με μέθοδο που να ελαχιστοποιεί
τα ψευδώς θετικά και ψευδώς αρνητικά αποτελέσματα.
Για βρέφη και μικρά παιδιά που δεν ελέγχουν τους σφιγκτήρες και χρειάζονται
άμεση χορήγηση αντιμικροβιακής αγωγής παρεντερικά, συστήνεται η λήψη δείγματος
ούρων για κ/α με υπερηβική παρακέντηση (μέθοδος εκλογής για νεογνά και μικρά
βρέφη) ή με καθετηριασμό της κύστεως. Για τα μεγαλύτερα παιδιά, το δείγμα των
ούρων λαμβάνεται στο μέσο της ούρησης μετά από σχολαστικό καθαρισμό της περιοχής.
Κατά τη διαδικασία λήψης δείγματος ούρων με υπερηβική παρακέντηση, πρέπει να
υπάρχει πάντα διαθέσιμο αποστειρωμένο σωληνάριο για άμεση συλλογή ούρων σε περίπτωση
που το βρέφος ή το παιδί κατά τους χειρισμούς, λόγω έντονου ερεθισμού, ουρήσει
μόνο του. Η λήψη ούρων με ουροσυλλέκτη, το γνωστό σακουλάκι, έχει υψηλό ποσοστό
ψευδώς θετικών αποτελεσμάτων ~_85%. Ο κλινικός γιατρός κατά την κρίση του μπορεί
να χρησιμοποιεί και αυτή τη μέθοδο, με την προϋπόθεση ότι θα τηρούνται επακριβώς
οι οδηγίες σωστής λήψης και άμεσης εξέτασης του δείγματος και θα λαμβάνονται
οπωσδήποτε 2 δείγματα ούρων για κ/α πριν την έναρξη θεραπείας. Πρακτικά, μια
στείρα κ/α ούρων με σακουλάκι αποκλείει τη λοίμωξη, μια θετική όμως χρειάζεται
επιβεβαίωση. Η αξιολόγηση της κ/ας ούρων, ανάλογα με τη μέθοδο λήψης, αναγράφεται
στον πίνακα 2.
Η γενική ούρων πιθανολογεί τη διάγνωση της ουρολοίμωξης. Τα νιτρώδη έχουν υψηλή
ειδικότητα, με την προϋπόθεση ότι τα ούρα εξετάσθηκαν αμέσως μετά τη λήψη. Ο
συνδυασμός >5 πυοσφαίρια ανά οπτικό πεδίο σε μη φυγοκεντρημένο δείγμα ούρων
και η ανεύρεση μικροοργανισμών πιθανολογεί την ουρολοίμωξη σε υψηλό ποσοστό
~_85% και δικαιολογεί την έναρξη αγωγής πριν το αποτέλεσμα της κ/ας. Πρέπει
να τονιστεί ότι σε μικρά βρέφη, μια αρνητική γενική ούρων δεν αποκλείει τη λοίμωξη.
Η ευαισθησία και η ειδικότητα των στοιχείων της γενικής ούρων, μόνα τους ή σε
συνδυασμό, αναγράφονται στον πίνακα 3.


Εισάγονται πάντα στο νοσοκομείο λόγω ουρολοίμωξης όλα τα νεογνά και τα βρέφη
ηλικίας <2 μηνών, τα βρέφη ηλικίας άνω των 2 μηνών και τα παιδιά που είναι
σοβαρά άρρωστα, με επηρεασμένη γενική κατάσταση, τοξική εμφάνιση ή αφυδατωμένα,
αλλά και τα βρέφη και τα παιδιά που αδυνατούν να λάβουν φάρμακο από το στόμα.
Απαιτείται άμεση έναρξη εμπειρικής θεραπείας αμέσως μετά τη λήψη κ/ας ούρων
με τρόπο κατάλληλο για την ηλικία του παιδιού και τη λήψη οπωσδήποτε πλήρους
βιοχημικού ελέγχου και κ/ας αίματος (πίνακας 4).
Η επιλογή του αντιβιοτικού για την εμπειρική θεραπεία βασίζεται στη γνώση της
αντοχής των ουροπαθογόνων στην κοινότητα και στο ιστορικό αλλεργίας. Η εμπειρική
θεραπεία περιλαμβάνει, για βρέφη ηλικίας άνω των 2 μηνών και παιδιά, κεφαλοσπορίνη
3ης γενιάς (αφού καλύπτει το σύνολο των συνήθων ουροπαθογόνων). Επί αλλεργίας
μπορεί να χορηγηθεί αμινογλυκοσίδη, αφού το κολοβακτηρίδιο αποτελεί το μικροβιακό
παράγοντα που απομονώνεται στο 80-90% των περιπτώσεων ουρολοίμωξης, ή αζτρεονάμη.
Για νεογνά και βρέφη ηλικίας <2 μηνών προτιμάται συνδυασμός κεφαλοσπορίνης
3ης γενιάς και αμπικιλλίνης για το ενδεχόμενο λοίμωξης από εντερόκοκκο. Τα φάρμακα
για παρεντερική χορήγηση και οι δόσεις τους αναγράφονται στον πίνακα 5.
Η αύξηση των λευκών, της ΤΚΕ και της CRP κάνουν πιθανή τη διάγνωση λοίμωξης
του ανώτερου ουροποιητικού. Σύμφωνα με τελευταίες μελέτες, καλύτερη προγνωστική
αξία για προσβολή του νεφρού από τους εργαστηριακούς δείκτες έχει η CRP και
η προκαλσιτονίνη. Πιο χρήσιμος δείκτης είναι η προκαλσιτονίνη για την αναγνώριση
του παιδιού που είναι σε κίνδυνο για μόνιμη νεφρική βλάβη (υψηλή ειδικότητα).
Η λοίμωξη του ουροποιητικού στο νεογνό ή το βρέφος ηλικίας <2 μηνών κατά
κανόνα αναπτύσσεται στο πλαίσιο γενικευμένης λοίμωξης. Η θεραπεία δεν διαφέρει
από εκείνη της σηψαιμίας (πίνακας 6). Χορηγείται αντιβίωση ενδοφλέβια για 10-14
ημέρες αρχικά εμπειρικά αμέσως μετά τη λήψη κ/ας ούρων και στη συνέχεια βάσει
ευαισθησίας. Μετά τη συμπλήρωση της θεραπείας χορηγείται χημειοπροφύλαξη μέχρι
τη συμπλήρωση του απεικονιστικού ελέγχου. Για βρέφη ηλικίας >2 μηνών και
παιδιά, η επιλογή του τρόπου αντιμετώπισης θα εξαρτηθεί από τη σοβαρότητα των
συμπτωμάτων (πίνακας 7). Σε σοβαρά άρρωστα βρέφη και παιδιά με επηρεασμένη γενική
κατάσταση, χορηγείται ενδοφλεβίως αγωγή, αρχικά εμπειρικά και μετά τροποποιείται,
εάν χρειάζεται, με βάση την ευαισθησία. Συνεχίζεται IV μέχρι 2-3 24ωρα μετά
την κλινική βελτίωση και την πτώση του πυρετού και ακολουθεί θεραπεία από το
στόμα. Η συνολική διάρκεια θεραπείας είναι 10-14 ημέρες.
Επανάληψη της κ/ας ούρων ρουτίνα, δύο 24ωρα μετά την έναρξη της αγωγής, γενικά
δεν συστήνεται εφ' όσον υπάρχει κλινική βελτίωση, πτώση του πυρετού και το μικρόβιο
είναι ευαίσθητο στο φάρμακο που χορηγείται. Εάν δεν παρατηρηθεί κλινική βελτίωση
και ο πυρετός δεν υποχωρήσει, συνεχίζεται η αγωγή IV για περισσότερες ημέρες,
λαμβάνεται νέα κ/α ούρων για το ενδεχόμενο αντοχής του μικροβίου in vivo στο
χορηγούμενο φάρμακο και γίνεται άμεσα U/S νεφρών για τον αποκλεισμό αποφρακτικής
ουροπάθειας, η οποία απαιτεί άμεση ουρολογική αντιμετώπιση. Δύο έως τρία 24ωρα
μετά την κλινική βελτίωση συνεχίζεται η θεραπεία από το στόμα και μετά την ολοκλήρωσή
της χορηγείται χημειοπροφύλαξη μέχρι τον απεικονιστικό έλεγχο.
Πρόσφατες μελέτες καταλήγουν στο συμπέρασμα ότι η μη υποχώρηση του πυρετού σε
48 ώρες από την έναρξη της αγωγής, δεν αποτελεί κριτήριο λήψης νέας κ/ας ούρων.
Από 364 παιδιά με εμπύρετη ουρολοίμωξη, σε μια μελέτη του 2003 από το Milwaukee,
το 32% συνέχιζε να πυρέσσει μετά από 48 ώρες και σε όλα η κ/α ούρων ήταν στείρα
δύο 24ωρα μετά την έναρξη της θεραπείας.
Σε βρέφη και παιδιά σε καλή γενική κατάσταση, με συμμόρφωση στη θεραπεία και
σωστή παρακολούθηση, συστήνεται θεραπεία από του στόματος για 10-14 ημέρες,
αμέσως μετά τη λήψη γενικής ούρων και κ/ας ούρων. Η γενική ούρων με ευρήματα
ενδεικτικά ουρολοίμωξης δικαιολογεί την έναρξη εμπειρικής θεραπείας πριν το
αποτέλεσμα της κ/ας. Η εμπειρική θεραπεία τροποποιείται βάσει του αντιβιογράμματος,
εάν χρειάζεται και οπωσδήποτε επανεκτίμηση του παιδιού σε 48 ώρες. Επί κλινικής
βελτίωσης συνεχίζεται η αγωγή από το στόμα μέχρι την ολοκλήρωσή της, επί μη
βελτίωσης ή επιδείνωσης, απαιτείται εισαγωγή στο νοσοκομείο.
Αναγνωρίζοντας την ανθεκτικότητα του κολοβακτηριδίου στην αμπικιλλίνη ή την
αμοξικιλίνη, προτιμάται η χορήγηση εμπειρικής θεραπείας με κεφαλοσπορίνη 2ης
ή 3ης γενιάς, όπως η κεφιξίμη που μπορεί να δοθεί και σε μια δόση την ημέρα,
ή και άλλων φαρμάκων που αναγράφονται στον πίνακα 8.
Ο Hoberman και συνεργάτες του, σε διπλή - τυφλή μελέτη που περιελάμβανε 306
παιδιά ηλικίας 1 μην. - 2 ετών, συνέκρινε την αποτελεσματικότητα και την ασφάλεια
της από του στόματος θεραπείας με την ενδοφλέβια. Δεν βρέθηκε στατιστικά σημαντική
διαφορά, ούτε στις υποτροπές των ουρολοιμώξεων, ούτε στην ανάπτυξη νέων ουλών
στο νεφρικό παρέγχυμα (πίνακας 9).
Θα πρέπει να τονιστεί ότι τα αποτελέσματα κάποιων μελετών δεν θα πρέπει να αλλάξουν
την ακολουθούμενη πρακτική, ιδιαίτερα στα μικρά βρέφη όπου η συμπτωματολογία
είναι άτυπη και η διάκριση μεταξύ πυελονεφρίτιδας και κυστίτιδας δύσκολη. Καλύτερα
να υπερθεραπεύονται παρά να υποθεραπεύονται μικρά βρέφη, όπου ο κίνδυνος νεφρικής
βλάβης είναι μεγαλύτερος και το ποσοστό γενίκευσης της λοίμωξης (σηψαιμία) υπολογίζεται
περίπου στο 3-5%. Πρέπει ο παιδίατρος να είναι προσεκτικός στην εκτίμηση της
γενικής κατάστασης των μικρών βρεφών και στην απόφαση όσον αφορά στον τρόπο
αντιμετώπισης της λοίμωξης.


Για τη διάρκεια της θεραπείας,
8 στις 10 συγκριτικές μελέτες δείχνουν καλύτερα αποτελέσματα με μακράς διάρκειας
θεραπεία (10-14 ημέρες). Δεδομένα για 10 συγκριτικά, με 14 ημέρες, δεν υπάρχουν.
Η θεραπεία της κυστίτιδας των μεγάλων παιδιών δεν παρουσιάζει ιδιαίτερη δυσκολία,
χορηγείται από του στόματος θεραπεία για 5-7 ημέρες.
Σε όλα τα νεογνά - βρέφη και παιδιά με 1ο επεισόδιο ουρολοίμωξης, θα πρέπει
να γίνεται απεικονιστικός έλεγχος του ουροποιητικού. Ο έλεγχος διαφοροποιείται
ανάλογα με την ηλικία του παιδιού και τη βαρύτητα της λοίμωξης. Οι μέθοδοι που
χρησιμοποιούνται για τον έλεγχο του ουροποιητικού συστήματος και οι πληροφορίες
που παρέχει η κάθε μία χωριστά, αναγράφονται στον πίνακα 10.
Τα αποτελέσματα πολλαπλών μελετών και μιας πολυκεντρικής μελέτης από τα πανεπιστήμια
Pittsburgh - Columbus και Harvard αμφισβητούν την αξία του υπερηχογραφήματος
(U/S) νεφρών - κύστεως - ουρητήρων, τόσο για τον καθορισμό της θεραπείας, όσο
και για την πρόγνωση της ουρολοίμωξης.
Στο 88% παιδιών με εμπύρετη ουρολοίμωξη βρέθηκε φυσιολογικό U/S νεφρών, ενώ
στο 39% από αυτά βρέθηκε παλινδρόμηση στην κυστεογραφία και το 61% παρουσίαζε
πυελονεφριτιδικές αλλοιώσεις στο στατικό σπινθηρογράφημα (DMSA) στην οξεία φάση
της λοίμωξης. Σε μια άλλη μελέτη από τον Καναδά που περιελάμβανε 162 παιδιά
ηλικίας κάτω των 5 ετών με συμπτωματική ουρολοίμωξη, 21 παιδιά είχαν φυσιολογικό
U/S νεφρών, ενώ από την κυστεογραφία βρέθηκε σε όλα παλινδρόμηση και μάλιστα
από τα 21, τα 14 είχαν παλινδρόμηση ΙΙ βαθμού, τα 5 ΙΙΙ και 2 IV βαθμού. Τα
αποτελέσματα των μελετών δείχνουν ότι η ευαισθησία και η ειδικότητα του U/S
στην ανίχνευση παλινδρόμησης ή πυελονεφριτιδικών αλλοιώσεων είναι μικρή. Παρά
ταύτα, το U/S συστήνεται από όλους, αφού είναι μια μέθοδος ελέγχου μη επεμβατική
και παρέχει αρχικά σημαντικές πληροφορίες όταν γίνεται ιδιαίτερα από έναν γιατρό
έμπειρο και γνώστη της μεθόδου. Άλλωστε, είναι γνωστή σε όλους μας η προσφορά
του U/S στην προγεννητική διάγνωση ανατομικών ανωμαλιών του ουροποιητικού.
Το σπινθηρογράφημα νεφρού (99Tc-DMSA) παρουσιάζει μεγάλη ευαισθησία και ειδικότητα
για τη διάγνωση πυελονεφριτιδικών αλλοιώσεων ή ουλών στο νεφρικό παρέγχυμα.
Σύμφωνα με τα αποτελέσματα κλινικών μελετών και άλλες τεχνικές, όπως η CT υψηλής
ευκρίνειας και ο μαγνητικός συντονισμός των νεφρών, φαίνεται να έχουν μεγάλη
ευαισθησία στην αναγνώριση πυελονεφριτιδικών βλαβών. Η σημαντική, όμως, ποσότητα
ακτινοβολίας που δέχεται το παιδί με την αξονική τομογραφία, το υψηλό κόστος
του μαγνητικού συντονισμού και η ανάγκη καταστολής του παιδιού για τη διενέργεια
των εξετάσεων αυτών περιορίζουν προς το παρόν τη χρήση τους. Το 99Tc-DTPA και
99Tc-MAG3 χρησιμοποιούνται για τη διερεύνηση πιθανής απόφραξης του ουροποιητικού,
ενώ παράλληλα ελέγχεται και η απεκκριτική λειτουργία του νεφρού.
Παρά την πληθώρα των μελετών, με στόχο τον καθορισμό με όσο γίνεται περισσότερη
σαφήνεια της πρακτικής που θα πρέπει να ακολουθείται όσον αφορά στον απεικονιστικό
έλεγχο παιδιών με ουρολοίμωξη, δεν υπάρχει ομοφωνία ούτε για το χρόνο που πρέπει
να γίνεται, ούτε για το τι πρέπει να περιλαμβάνει. Έτσι, οι κατευθυντήριες οδηγίες
αποτελούν συγκερασμό απόψεων επιστημονικών φορέων της Αμερικής και της Ευρώπης
και είναι αυτές που ακολουθούμε στην Κλινική μας. Κρίνεται σκόπιμο να δοθούν
κατευθύνσεις ανά ηλιακές ομάδες, παιδιά ηλικίας <2 ετών, 2-5 ετών και >5
ετών, λαμβάνοντας υπ' όψη τα συμπεράσματα πολλών μελετών, ότι ο κίνδυνος νεφρικής
βλάβης μετά από επεισόδιο συμπτωματικής ουρολοίμωξης υφίσταται για τα πρώτα
5 χρόνια, ενώ μετά τα 5 είναι υπαρκτός αλλά πολύ μικρός.



Ο απεικονιστικός έλεγχος
σε παιδιά κάτω των 2 ετών περιλαμβάνει: U/S νεφρών - κύστεως - ουρητήρων το
συντομότερο, κυστεοουρηθρογραφία κλασσική στα αγόρια - ραδιοϊσοτοπική στα κορίτσια
στη διάρκεια της θεραπείας, μετά την αποστείρωση των ούρων και στατικό σπινθηρογράφημα
99Τc-DMSA (συμφωνούν οι περισσότεροι) 6 μήνες μετά τη λοίμωξη. Εάν υπάρχει υποψία
αποφρακτικής ουροπάθειας βάσει των ευρημάτων του U/S, ενώ έχει αποκλεισθεί η
κυστεοουρητική παλινδρόμηση, κρίνεται απαραίτητο το διουρητικό νεφρόγραμμα άμεσα
(99TcMAG3) (πίνακας 11).
Τα ευρήματα του απεικονιστικού ελέγχου καθορίζουν και την περαιτέρω αντιμετώπιση
του παιδιού (πίνακας 12).
Εάν το U/S νεφρών - κύστεως - ουρητήρων και η κυστεοουρηθρογραφία είναι χωρίς
παθολογικά ευρήματα, χορηγείται χημειοπροφύλαξη μέχρι τη συμπλήρωση του ελέγχου
με 99Tc-DMSA 6 μήνες μετά τη λοίμωξη, για την τεκμηρίωση ή μη της φλεγμονής
του νεφρικού παρεγχύματος. Εάν το U/S είναι φυσιολογικό ή παθολογικό (διάταση)
και η κυστεογραφία δείξει παλινδρόμηση, συστήνεται 99Tc-DMSA 6 μήνες μετά τη
λοίμωξη και μακροχρόνια χημειοπροφύλαξη λόγω ΚΟΠ, αναπροσαρμογή της δόσης του
φαρμάκου με το Βάρος Σώματος του παιδιού, κ/ες ούρων ανά τρίμηνο και επί πυρετού
ή συμπτωμάτων (πολλοί συστήνουν μόνο επί πυρετού ή συμπτωμάτων). Επανάληψη της
κυστεογραφίας (ραδιοϊσοτοπική πάντα) πρέπει να γίνει σε 18 μήνες. Ο χρόνος επανάληψης
του 99Τc-DMSA ποικίλει ανάλογα των υποτροπών (εμπύρετων ουρολοιμώξεων). Εάν
υπάρχει υποψία απόφραξης, τότε γίνεται άμεσα 99Τc-MAG3, χορηγείται ΧΠ και παραπέμπεται
το παιδί σε ουρολόγο. Τα φάρμακα που χορηγούνται για χημειοπροφύλαξη και οι
δόσεις τους αναγράφονται στον πίνακα 13.
Σε παιδιά ηλικίας 2-5 ετών με εικόνα πυελονεφρίτιδας, ο έλεγχος περιλαμβάνει
U/S νεφρών - κύστεως και ουρητήρων το συντομότερο. Κυστεογραφία στη διάρκεια
της θεραπείας, πάντα ραδιοϊσοτοπική στα κορίτσια και DMSA 6 μήνες μετά τη λοίμωξη
(ενώ το παιδί θα λαμβάνει χημειοπροφύλαξη) για την ανίχνευση τυχόν μόνιμων νεφρικών
ουλών (στοιχείο καθοριστικό για την περαιτέρω παρακολούθηση του παιδιού). Για
τα παιδιά αυτής της ηλικίας που εμφανίζουν το 1ο επεισόδιο κυστίτιδας, οι περισσότεροι
συστήνουν U/S νεφρών και κυστεογραφία και ανάλογα των ευρημάτων, περαιτέρω έλεγχο.
Στατικό σπινθηρογράφημα (99Tc-DMSA) 6 μήνες μετά τη λοίμωξη σε παιδί με παλινδρόμηση,
διουρητικό νεφρόγραμμα επί υποψίας απόφραξης. Μερικοί συστήνουν απεικονιστικό
έλεγχο μόνο στα αγόρια από το πρώτο επεισόδιο κυστίτιδας, ενώ στα κορίτσια,
όπου οι κυστίτιδες είναι συχνές στο πρώτο επεισόδιο, μόνο U/S νεφρών και επί
εμφανίσεως 2ου επεισοδίου να γίνεται πλήρης ο έλεγχος. Εάν στο U/S προ και μετά
την ούρηση, παραμένει υπόλειμμα ούρων στην κύστη, στοιχείο ύποπτο για δυσλειτουργία
της κύστης, συνήθως σε μεγάλα παιδιά ηλικίας >4-5 ετών ο έλεγχος θα περιλαμβάνει
και ουροδυναμική μελέτη (πίνακας 14).
Σε παιδιά ηλικίας >5ετών με οξεία πυελονεφρίτιδα, κρίνεται απαραίτητο το
U/S νεφρών - κύστεως - ουρητήρων και επί θετικών ευρημάτων κυστεογραφία. Πολλοί
συστήνουν πάντα κυστεογραφία, αφού σε παιδί με τεκμηριωμένη πυελονεφρίτιδα ανακαλύπτεται
σε υψηλό ποσοστό παλινδρόμηση και 99Tc-DMSA 6 μήνες μετά τη λοίμωξη για την
ανίχνευση ή μη μόνιμων ουλών. Σουηδοί ειδικοί προτείνουν πρώτα 99Τc-DMSA και
εάν υπάρχουν ευρήματα και κυστεογραφία. Σε παιδί ηλικίας >5 ετών με κυστίτιδα,
αρκεί μόνο U/S νεφρών - κύστεως - ουρητήρων προ και μετά την ούρηση και μόνο
επί παθολογικών ευρημάτων του υπερηχογραφήματος συστήνεται περαιτέρω έλεγχος.
Στα παιδιά αυτής της ηλικιακής ομάδας είναι συχνές οι λειτουργικές διαταραχές
της κύστεως -ιδιαίτερα στα κορίτσια- και όπου αναγνωρίζονται, κρίνεται απαραίτητος
ο ουροδυναμικός έλεγχος (πίνακας 15).
Σε όλα τα παιδιά, ιδιαίτερα ηλικίας <5 ετών, με κυστεοουρητηρική παλινδρόμηση,
απαιτείται χορήγηση χημειοπροφύλαξης, αφού σε παιδιά με ΚΟΠ, οι ουρολοιμώξεις
υποτροπιάζουν σε ποσοστό 35-45%. Παράγοντες κινδύνου για την εμφάνιση υποτροπών
είναι η μικρή ηλικία (<6 μηνών) εμφάνισης 1ου επεισοδίου ουρολοίμωξης και
η σημαντικού βαθμού ΚΟΠ (ΙΙΙ-V βαθμού). Η συσχέτιση μεταξύ υποτροπών από εμπύρετες
ουρολοιμώξεις και ανάπτυξης νεφρικών ουλών ακολουθεί μια αντιπροσωπευτική καμπύλη
(σχήμα 2). Χημειοπροφύλαξη συστήνεται σε όλα τα παιδιά με 1ο επεισόδιο ουρολοίμωξης,
μέχρι να συμπληρωθεί ο απεικονιστικός έλεγχος και σε παιδιά, κυρίως κορίτσια,
με φυσιολογικό ανατομικά ουροποιητικό σύστημα και υποτροπιάζουσες ουρολοιμώξεις.
Δεν υπάρχει ομοφωνία για τη διάρκεια χορήγησής της σε παιδιά με παλινδρόμηση.
|
ΣΧΗΜΑ 2: Συσχέτιση αριθμού εμπύρετων υποτροπών ουρολοίμωξης και ανάπτυξης νεφρικών
ουλών.
Pediatrics 1999 ΑΑΡ
Υπάρχουν μελέτες με αντικρουόμενα αποτελέσματα. Στις ΗΠΑ προτείνεται μακροχρόνια
χημειοπροφύλαξη σε παιδιά με ΚΟΠ μέχρι την υποχώρησή της. Στη Σουηδία συστήνεται
προφύλαξη μόνο σε παιδιά με ΚΟΠ >ΙΙΙ βαθμού. Πρόσφατες μελέτες συνηγορούν
στη διακοπή της χημειοπροφύλαξης σε παιδιά μεγαλύτερα των 5 ετών, παρά την παραμονή
της ΚΟΠ, αφού η έγκαιρη θεραπεία των υποτροπών της ουρολοίμωξης είναι εξίσου
αποτελεσματική με την προφύλαξη όσον αφορά στις επιπτώσεις.
Η συντηρητική αντιμετώπιση της παλινδρόμησης στηρίζεται στη γνώση ότι η παλινδρόμηση
υποχωρεί με το χρόνο. Υποχωρεί το 80% των παλινδρομήσεων Ι-ΙΙ βαθμού, το 50%
ΙΙΙ βαθμού και το 25% IV βαθμού. Από 231 παιδιά στη Σουηδία με ΚΟΠ, 75% έμειναν
μετά από 10 χρόνια ελεύθερα ΚΟΠ και μόνο 21 χειρουργήθηκαν. Η παρακολούθηση
του παιδιού με ΚΟΠ περιλαμβάνει: α) Μακροχρόνια χημειοπροφύλαξη και οπωσδήποτε
μέχρι την ηλικία των 5 ετών εάν δεν έχει υποχωρήσει. β) Κ/ες ούρων ανά τρίμηνο
και επί πυρετού ή συμπτωμάτων. γ) Ραδιοϊσοτοπική κυστεογραφία κάθε 18 μήνες
εφόσον παραμένει η παλινδρόμηση. δ) Επανάληψη 99Τc-DMSA ανάλογα με τις υποτροπές
από εμπύρετες ουρολοιμώξεις.
Παιδιά με εμπύρετες ουρολοιμώξεις και νέες ουλές στο 99Τc-DMSA παρά τη χημειοπροφύλαξη,
πρέπει να αντιμετωπίζονται χειρουργικά. Η διόρθωση της παλινδρόμησης προλαβαίνει
τις νεφρικές βλάβες, αλλά δεν μειώνει τη συχνότητα των υποτροπών. Σε παιδιά
με νεφρικές ουλές στο 99Tc-DMSA απαιτείται: α) Μέτρηση αρτηριακής πίεσης κάθε
χρόνο. β) Μέτρηση ουρίας κρεατινίνης. γ) Γενική ούρων.
Σημαντικός είναι ο ρόλος των λειτουργικών διαταραχών της κύστεως και της δυσκοιλιότητας
στις υποτροπιάζουσες ουρολοιμώξεις, σε κορίτσια κυρίως σχολικής ηλικίας με φυσιολογικό
ανατομικά ουροποιητικό σύστημα. Οι λειτουργικές διαταραχές της κύστεως θα πρέπει
να αναζητούνται από το ιστορικό και να επιβεβαιώνονται με U/S νεφρών προ και
μετά την ούρηση και με ουροδυναμικό έλεγχο. Σημαντική είναι και η αντιμετώπιση
της δυσκοιλιότητας με τροποποίηση του διαιτολογίου. Για παιδιά, κυρίως κορίτσια,
με ασυμπτωματική βακτηριουρία δεν υπάρχει ομοφωνία όσον αφορά στην αντιμετώπισή
τους. Οι περισσότεροι δεν συνιστούν θεραπεία. Σε παιδιά <5 ετών πρέπει να
αποκλείονται με απεικονιστικό έλεγχο ανατομικές ανωμαλίες ουροποιητικού.
ΝΕΟΤΕΡΑ ΔΕΔΟΜΕΝΑ ΓΙΑ
ΠΑΛΑΙΑ ΚΑΙ ΝΕΑ ΕΜΒΟΛΙΑ
Ι. Παυλοπούλου:
Η πρόληψη των λοιμωδών νοσημάτων με εμβολιασμό αποτελεί αναμφίβολα ένα από τα
σημαντικότερα επιτεύγματα της ιατρικής. Η ευεργετική επίδραση των εμβολιασμών
είναι διπλή και αφορά στον ίδιο τον εμβολιαζόμενο, ο οποίος προστατεύεται μετά
από έκθεση στον αντίστοιχο λοιμώδη παράγοντα, αλλά και στην κοινότητα, στην
οποία πετυχαίνει σημαντική μείωση ή και εκρίζωση της νόσου.
Για να εξαφανιστεί μια νόσος απαιτείται υψηλό ποσοστό εμβολιαστικής κάλυψης
(>90%) του πληθυσμού από τη βρεφική ή την παιδική ηλικία. Εξίσου σημαντική
είναι και η εφαρμογή των επαναληπτικών δόσεων, όταν αυτές είναι απαραίτητες.
Ο τομέας των εμβολίων παρουσιάζει συνεχές και εξελισσόμενο ενδιαφέρον με τα
νεότερα δεδομένα που προκύπτουν από την επιδημιολογική παρατήρηση των λοιμωδών
νοσημάτων στις ανεπτυγμένες χώρες, αλλά και από την παρασκευή νεότερων εμβολίων.

ΣΧΗΜΑ 1. Ετήσια επίπτωση
κοκκύτη στις ΗΠΑ (1922-2002).
Hewlett EL et al. N Engl J Med 2005; 352:1215-1222.

ΣΧΗΜΑ 2. Επίπεδα αντισωμάτων
έναντι της τοξίνης του κοκκύτη (anti-PT) ανάλογα με την ηλικία, σε δείγμα ελληνικού
πληθυσμού* (2004-2005, Ν=1001)
Pavlopoulou et al, ESPID 2005: abstr.308.
* Τιμές αντισωμάτων <19 FDA U/ml (μπλε και κόκκινες στήλες) είναι ενδεικτικές
μη ικανοποιητικής ανοσίας.
Εμβόλιο κοκκύτη
σε εφήβους και ενήλικες (Tdap)
Παρά τα υψηλά ποσοστά εμβολιασμού έναντι του κοκκύτη που έχουν επιτευχθεί στα
μικρά παιδιά στις ανεπτυγμένες χώρες, ο αριθμός των κρουσμάτων κοκκύτη που καταγράφονται
ετήσια στις ΗΠΑ έχει εξαπλασιασθεί τα τελευταία χρόνια, ενώ ανάλογα φαινόμενα
έχουν περιγραφεί και έχουν προβληματίσει και αρκετές χώρες της Ευρώπης. Η αύξηση
αυτή δεν αφορά στα παιδιά <7 ετών, όπου η επίπτωση της νόσου παραμένει σταθερή,
αλλά στις μεγαλύτερες ηλικίες (σχήμα 1).
Το αληθινό μέγεθος του προβλήματος υποεκτιμάται, αφού η νόσος δεν καταγράφεται
αλλά ούτε και αναγνωρίζεται τις περισσότερες φορές από τους γιατρούς στις μεγαλύτερες
ηλικίες. Η διάγνωση του κοκκύτη πολλές φορές ξεφεύγει, ως συνέπεια της λανθασμένης
αντίληψης που επικρατεί, ότι είναι νόσος μόνο της παιδικής ηλικίας, η οποία
μπορεί να περιοριστεί με τον παιδικό εμβολιασμό ρουτίνας που προσφέρει μακροχρόνια
"δια βίου" προστασία, όπως ακριβώς και η φυσική νόσος.
Η αλήθεια είναι ότι ούτε το εμβόλιο, αλλά ούτε και η φυσική νόσος προσφέρουν
προστασία που να διαρκεί πάνω από 5-10 χρόνια. Επιπλέον, τα εμβολιασμένα άτομα
παρουσιάζουν συχνά άτυπη συμπτωματολογία, αποτελώντας ένα ακόμα λόγο που αποπροσανατολίζει
από τη σωστή διάγνωση. Αναφέρεται ότι περίπου το 1/3 των εφήβων και ενηλίκων
με "χρόνιο βήχα", διάρκειας άνω των δύο εβδομάδων, πάσχει από κοκκύτη.
Από μία οροεπιδημιολογική μελέτη που έγινε πρόσφατα στην κλινική μας σε 1001
άτομα διαφόρων ηλικιών από την περιοχή της Αττικής, προέκυψαν στοιχεία ενδεικτικά
εξασθένησης της ανοσίας στην προσχολική ηλικία, πιθανώς λόγω της αντικατάστασης
του τριπλού εμβολίου (DTaP) με το διπλό (DT), ή λόγω της καθυστέρησης στη χορήγηση
της αναμνηστικής δόσης. Αργότερα, τα ποσοστά των "προστατευτικών"
αντισωμάτων παρουσιάζουν αύξηση στην εφηβική και στη νεαρή ενήλικο ζωή, αυτή
τη φορά όχι εξαιτίας εμβολιασμού, αλλά λόγω φυσικής νόσου (σχήμα 2). Θα πρέπει
να σημειωθεί ότι η ανοσία έναντι του κοκκύτη δεν εξαρτάται μόνο από την ύπαρξη
υψηλού τίτλου προστατευτικών αντισωμάτων, αλλά και από την κυτταρική ανοσία.
Η ανησυχία που έχει προκαλέσει η αύξηση των κρουσμάτων κοκκύτη στις μεγαλύτερες
ηλικίες οφείλεται στο γεγονός, ότι οι πληθυσμοί αυτοί αποτελούν την κύρια δεξαμενή
μόλυνσης "ευαίσθητων" ομάδων, όπως είναι τα μικρά βρέφη και νεογνά
που δεν έχουν ακόμα εμβολιασθεί και κινδυνεύουν από τις σοβαρές επιπλοκές της
νόσου όπως εγκεφαλοπάθεια, σπασμούς, πνευμονία ή ακόμα και θάνατο. Εύλογη είναι,
λοιπόν, η θέση που έχει πάρει η διεθνής επιστημονική κοινότητα, να αναθεωρήσει
το υπάρχον χρονοδιάγραμμα εμβολιασμού, το οποίο σταματά τη χορήγηση αντικοκκυτικού
εμβολίου στην προσχολική ηλικία ή σε ορισμένες χώρες και νωρίτερα και να στοχεύσει
στη χορήγηση αναμνηστικών δόσεων σε εφήβους ή και σε ενήλικες. Άλλες προτάσεις
αφορούν στον εμβολιασμό ενηλίκων που έχουν επαγγελματική ενασχόληση με βρέφη
(βρεφονηπιοκόμοι, νοσηλεύτριες, παιδίατροι) ή και εγκύων. Απλούστερη φαίνεται
να είναι η τακτική του εμβολιασμού του άμεσου οικογενειακού περιβάλλοντος του
νεογνού, όπως τα αδέλφια και ο πατέρας, και της μητέρας αμέσως μετά τον τοκετό
(cocoon vaccination).
Εμπόδιο στην παραπάνω στρατηγική αποτελούσε μέχρι τώρα η έλλειψη κατάλληλου
εμβολίου για τις μεγαλύτερες ηλικίες, αφού, όπως είναι γνωστό, το ήδη υπάρχον
ολοκυτταρικό ή ακυτταρικό αντικοκκυτικό εμβόλιο συνδυασμένο με τοξοειδές διφθερίτιδας
και τετάνου (DTP ή DTaP) δεν έχει άδεια χορήγησης σε άτομα >7 ετών, διότι
παρουσιάζει αυξημένο ποσοστό ανεπιθυμήτων ενεργειών. Μετά την παρασκευή, όμως,
ειδικού εμβολίου Tdap, το οποίο περιέχει τοξοειδές τετάνου και μειωμένα ποσά
ακυτταρικού αντιγόνου κοκκύτη και διφθερίτιδας, χώρες όπως ο Καναδάς, η Γαλλία
και η Γερμανία το χορηγούν ως αναμνηστική δόση σε εφήβους, ενώ τον Ιούνιο αναμένεται
και η οριστική έγκρισή του από το FDA των ΗΠΑ (πίνακας 1).
Το εμβόλιο αυτό έχει παρασκευαστεί από 2 φαρμακευτικές εταιρείες (Sanofi Pasteur
με την ονομασία Adacel και άδεια χορήγησης από 11-64 ετών και Glaxo Smithkline
ως Boostrix με άδεια χορήγησης από 10-18 ετών) και δεν διατίθεται προς το παρόν
στην Ελλάδα. Για το λόγο αυτό, οι γιατροί θα πρέπει να είναι ευαισθητοποιημένοι
να αναγνωρίζουν και να θεραπεύουν έγκαιρα τα κρούσματα κοκκύτη σε εφήβους και
ενήλικες, ώστε να σταματά ο κύκλος μετάδοσης της νόσου στις ευαίσθητες ομάδες.
Η καταλληλότερη ηλικία χορήγησης μίας ή περισσοτέρων αναμνηστικών δόσεων του
Tdap θα πρέπει να αποφασίζεται με βάση τα επιδημιολογικά στοιχεία της κάθε χώρας.

Τετραδύναμο συζευγμένο
εμβόλιο μηνιγγιτιδοκόκκου (A+C+Y+W135)
Η μηνιγγιτιδοκοκκική νόσος αποτελεί ένα σημαντικό πρόβλημα δημόσιας
υγείας, αφού είναι από τα συχνότερα αίτια βακτηριακής μηνιγγίτιδας. Η επίπτωση
της νόσου είναι μεγαλύτερη στα μικρά βρέφη, στους εφήβους και σε κλειστούς πληθυσμούς,
όπως οι στρατιώτες. Η θνητότητα υπολογίζεται συνολικά γύρω στο 8-13% και οι
μόνιμες επιπτώσεις, όπως κώφωση, επιληψία, ακρωτηριασμοί και νοητική καθυστέρηση,
που μπορεί να προκληθούν στους ασθενείς που επιβιώνουν της νόσου, προσεγγίζουν
ποσοστά 12-19%. Οι παθογόνες οροομάδες για τον άνθρωπο είναι 5 (A, B, C, Y και
W135) και η κατανομή τους διαφέρει ανάλογα με τη γεωγραφική περιοχή. Η σοβαρότητα
της μηνιγγιτιδοκοκκικής νόσου στα παιδιά οδήγησε δικαιολογημένα στην εντατική
προσπάθεια πρόληψής της με την εφαρμογή εμβολίων. Τα πολυσακχαριδικά εμβόλια
που παρασκευάστηκαν αρχικά, δεν θεωρήθηκαν ικανοποιητικά για μαζική εφαρμογή,
διότι δεν ήταν αποτελεσματικά σε βρέφη <2 ετών και δεν προσέφεραν μακροχρόνια
προστασία. Αντίθετα, σημαντική ήταν η παρασκευή και η μαζική εφαρμογή του συζευγμένου
εμβολίου μηνιγγιτιδοκόκκου C στο Ηνωμένο Βασίλειο μετά την επιδημική έξαρση
που σημειώθηκε και είχε ως αποτέλεσμα τη μείωση κατά 80-100%, ανάλογα με την
ηλικιακή ομάδα, στη συχνότητα νόσου από οροομάδα C. Είναι αξιοσημείωτο ότι η
νόσος ελαττώθηκε όχι μόνο στα άτομα που εμβολιάσθηκαν, αλλά και στον υπόλοιπο
πληθυσμό, εξαιτίας του φαινομένου της συλλογικής ανοσίας (σχήμα 3). Το ίδιο
εμβόλιο κυκλοφορεί και στην Ελλάδα από το 2000 και έχει περιληφθεί στο Εθνικό
Πρόγραμμα Εμβολιασμών, συμβάλλοντας στη σημαντική μείωση της μηνιγγιτιδοκοκκικής
νόσου C (σχήμα 4).
Τον Φεβρουάριο του 2005 εγκρίθηκε από τον Εθνικό Οργανισμό Φαρμάκων των ΗΠΑ
το συζευγμένο τετραδύναμο εμβόλιο μηνιγγιτιδοκόκκου Menactra για ηλικίες 11-55
ετών, ενώ φαίνεται ότι σύντομα θα πάρει έγκριση και για μικρότερες ηλικίες.
Το εμβόλιο αυτό προκαλεί ικανοποιητική αντισωματική απάντηση με μία δόση και
προσφέρει διεύρυνση της προστασίας έναντι των οροομάδων A, C, Y, W135. Προς
το παρόν, οι ενδείξεις χορήγησής του περιλαμβάνουν σπουδαστές που διαμένουν
σε εστίες, ταξιδιώτες, άτομα αυξημένου κινδύνου και καταστολή επιδημιών. Από
τα υπάρχοντα δεδομένα φαίνεται ότι η ευρεία χορήγησή του θα συμβάλλει στην πρόληψη
σημαντικού ποσοστού νοσηρότητας και θνητότητας, ενώ τη σημαντική πρόκληση για
το μέλλον θα αποτελέσει η πρόληψη νόσου οροομάδας Β, που είναι και η συχνότερη
στις περισσότερες ανεπτυγμένες χώρες, για την οποία δεν υπάρχει προς το παρόν
διαθέσιμο εμβόλιο.

ΣΧΗΜΑ 3. Μηνιγγιτιδοκοκκική νόσος C ανά ηλικία και έτος στην Αγγλία - Το φαινόμενο
της συλλογικής ανοσίας.

ΣΧΗΜΑ 4. Μηνιγγιτιδοκοκκική
νόσος στην Ελλάδα - Οροομάδες (1993-2004).
ΕΘΝΙΚΟ ΚΕΝΤΡΟ ΑΝΑΦΟΡΑΣ ΜΗΝΙΓΓΙΤΙΔΑΣ

ΣΧΗΜΑ 5. Ετήσια επίπτωση
θανάτων από ανεμευλογιά ανά ηλικία, ΗΠΑ: 1990-2001.
Εμβόλιο
ανεμευλογιάς - έρπητα ζωστήρα και συνδυασμός του με το εμβόλιο ιλαράς - παρωτίτιδας
- ερυθράς (MMR-V)
Ο ιός της ανεμευλογιάς - έρπητα ζωστήρα είναι το αίτιο της ανεμευλογιάς που
προσβάλλει συνήθως τα παιδιά, αλλά και του έρπητα ζωστήρα, ο οποίος αποτελεί
εκδήλωση αναζωπύρωσης του ιού και εμφανίζεται συνήθως στις μεγαλύτερες ηλικίες
>50 ετών, που εξασθενεί η κυτταρική ανοσία. Η ανεμευλογιά είναι συνήθως ήπιο
νόσημα στα υγιή παιδιά, μπορεί όμως να προκαλέσει και σοβαρές επιπλοκές, σπανιότερα
στα παιδιά και συχνότερα σε εφήβους, σε ενήλικες και σε άτομα με ανοσοκαταστολή.
Το πρώτο εμβόλιο ανεμευλογιάς παρασκευάσθηκε από ζώντα εξασθενημένο ιό στην
Ιαπωνία, το 1974, ενώ το 1995 εντάχθηκε στο βασικό χρονοδιάγραμμα εμβολιασμών
των ΗΠΑ για παιδιά ηλικίας 12-18 μηνών σε μία δόση και σε επίνοσους εφήβους
και ενήλικες σε 2 δόσεις, με μεσοδιάστημα 1-2 μηνών. Στην Ευρώπη, όπου μέχρι
τώρα ακολουθείτο επιλεκτικός εμβολιασμός ειδικών ομάδων, μετά τη συλλογή επιδημιολογικών
και φαρμακο-οικονομικών δεδομένων από την ευρωπαϊκή ομάδα μελέτης της ανεμευλογιάς
Eurovar, η στάση για καθολικό εμβολιασμό των βρεφών είναι θετική και ήδη εφαρμόζεται
στην Φινλανδία. Το εμβόλιο κυκλοφορεί και στη χώρα μας εδώ και μερικούς μήνες,
χωρίς όμως να έχει ενταχθεί ακόμα στο Εθνικό Πρόγραμμα Εμβολιασμών, ενώ η θέση
της Εθνικής Επιτροπής Εμβολιασμών είναι να χορηγείται σε όλα τα παιδιά >12
μηνών και στους επίνοσους εφήβους και ενήλικες.
Στα χρόνια που ακολούθησαν το μαζικό εμβολιασμό στις ΗΠΑ, η επιδημιολογία της
νόσου μεταβλήθηκε σημαντικά. Έτσι, η συχνότητα της νόσου μειώθηκε κατά 90% και
η θνητότητα κατά 66%. Τα μεγαλύτερα ποσοστά μείωσης παρατηρήθηκαν σε παιδιά
ηλικίας 1-4 ετών, τα οποία αποτελούσαν και την κύρια ομάδα όπου χορηγήθηκε το
εμβόλιο. Ενδιαφέρον, όμως, είναι ότι η συχνότητα της νόσου και η θνητότητα παρουσίασαν
μείωση και σε ομάδες που δεν είχαν εμβολιασθεί, ως αποτέλεσμα της ελαττωμένης
κυκλοφορίας του ιού στην κοινότητα (σχήμα 5).
Η μακροπρόθεσμη επίδραση του εμβολιασμού στη συχνότητα του έρπητα ζωστήρα χρειάζεται
μεγαλύτερο χρόνο παρακολούθησης, μολονότι οι μέχρι τώρα παρατηρήσεις είναι ενθαρρυντικές.
Επιπλέον, κλινικές μελέτες δείχνουν ότι η χορήγησή του σε ηλικιωμένα άτομα μειώνει
τη συχνότητα εμφάνισης υποτροπών έρπητα ζωστήρα μέσω της ενίσχυσης της κυτταρικής
ανοσίας. Όλα τα διαθέσιμα δεδομένα υποστηρίζουν ότι το εμβόλιο VZV προκαλεί
μακράς διάρκειας χυμική και κυτταρική ανοσία στην πλειοψηφία των υγιών παιδιών
και ενηλίκων. Ανησυχία έχουν προκαλέσει οι περιπτώσεις ανεμευλογιάς που έχουν
παρατηρηθεί σε υγιή παιδιά παρά τον εμβολιασμό. Αξίζει, όμως, να σημειωθεί ότι
όλα τα κρούσματα αυτά νόσησαν ήπια. Με αφορμή τις περιπτώσεις "νόσου παρά
τον εμβολιασμό" συζητείται η ανάγκη εφαρμογής αναμνηστικής δόσης του εμβολίου
σε όλα τα παιδιά ανεξαρτήτως ηλικίας. Τελευταία παρασκευάστηκε συνδυασμένο εμβόλιο
ανεμευλογιάς και ιλαράς-παρωτίτιδας-ερυθράς (MMR-V). Η εφαρμογή του σε κλινικές
μελέτες σε παιδιά ηλικίας 12-24 μηνών σε μία ή δύο δόσεις φαίνεται να είναι
ασφαλής και να εξασφαλίζει ικανοποιητική αντισωματική απάντηση και γιά τους
4 ιούς. Το γεγονός αυτό αναμένεται να συμβάλλει στην καθολική αποδοχή του εμβολιασμού
κατά της ανεμευλογιάς και στην Ευρώπη, αφού η ταυτόχρονη ανοσοποίηση για 4 νοσήματα
θα είναι λιγότερο επώδυνη για το παιδί και συγχρόνως θα εξασφαλίζει υψηλότερα
ποσοστά εμβολιαστικής κάλυψης.
Επειδή ο ιός της ανεμευλογιάς - έρπητα ζωστήρα έχει την ικανότητα να παραμένει
σε λανθάνουσα κατάσταση μετά από τη φυσική νόσο, όπως και μετά τη νόσο "παρά
τον εμβολιασμό", δεν αναμένουμε ότι ένα μαζικό πρόγραμμα εμβολιασμού θα
εξαλείψει τελείως την κυκλοφορία του ιού στην κοινότητα. Παρόλα αυτά, η εφαρμογή
του εμβολίου θα βελτιώσει την ποιότητα ζωής πολλών παιδιών, εφήβων αλλά και
ενηλίκων, οι οποίοι δεν θα είναι υποχρεωμένοι να νοσούν από ανεμευλογιά και
στο μέλλον πιθανόν ούτε από έρπητα ζωστήρα.

ΣΧΗΜΑ 6. Κατανομή οροτύπων πνευμονιοκόκκου σε διεισδυτικές λοιμώξεις πριν και
μετά την εφαρμογή του 7-δύναμου συζευγμένου εμβολίου.

ΣΧΗΜΑ 7. Το Prevenar ως "εργαλείο" μείωσης της αντοχής στα αντιβιοτικά.
Talbot et al. CID 2004; 39:641-648.
Συζευγμένο 7-δύναμο
εμβόλιο πνευμονιοκόκκου (Prevenar)
Ορόσημο στην πρόληψη των πνευμονιοκοκκικών λοιμώξεων οι οποίες προσβάλλουν ένα
σημαντικό αριθμό παιδιών κάθε χρόνο, προκαλώντας μέση ωτίτιδα, πνευμονία, βακτηριαιμία
και μηνιγγίτιδα, αποτέλεσε ο μαζικός εμβολιασμός με 7-δύναμο πνευμονιοκοκκικό
εμβόλιο Prevenar από τον Απρίλιο του 2000 στις ΗΠΑ και η κυκλοφορία και εφαρμογή
του και σε άλλες χώρες αργότερα, μεταξύ των οποίων και η δική μας. Τα συγκεντρωτικά
αποτελέσματα του εμβολιασμού με Prevenar στις ΗΠΑ, παιδιών ηλικίας <5 ετών,
έδειξαν ότι το εμβόλιο όχι μόνο μείωσε σημαντικά τις σοβαρές πνευμονιοκοκκικές
λοιμώξεις στις ηλικίες που εμβολιάστηκαν, αλλά μειώνοντας τη ρινοφαρυγγική φορία,
μείωσε τη μετάδοση της νόσου και συνέβαλλε στην ελάττωση των διεισδυτικών λοιμώξεων
και στις μεγαλύτερες ηλικίες, προκαλώντας συλλογική ανοσία (σχήμα 6).
Αξιοσημείωτη είναι η συμβολή του εμβολίου ως "όπλου" κατά της εμφάνισης
αντοχής στα αντιβιοτικά, αφού με την ελλάττωση της φορείας στους οροτύπους του
εμβολίου που είναι και οι συχνότερα συσχετιζόμενοι με την αντοχή, ελαττώθηκε
η μετάδοσή τους στην κοινότητα και συνεπώς μειώθηκε η κατανάλωση των αντιβιοτικών
(σχήμα 7). Τα ευεργετικά αποτελέσματα του εμβολιασμού όπως προκύπτουν, θα πρέπει
να ληφθούν υπόψη από τους Κρατικούς Φορείς ώστε παρά το υψηλό κόστος, το εμβόλιο
να χορηγείται δωρεάν στα μικρά παιδιά.
Η συνεχής επιτήρηση της πνευμονιοκοκκικής νόσου σε κάθε χώρα μετά την εφαρμογή
του εμβολίου είναι επιβεβλημένη, ώστε να είναι δυνατή η έγκαιρη καταγραφή της
επικράτησης νέων οροτύπων του μικροβίου. Στο μέλλον, πιθανόν να υπάρξει ανάγκη
αντικατάστασης του 7-δύναμου από νέα πολυδύναμα (9-δύναμο, 11-δύναμο) συζευγμένα
εμβόλια, κανένα όμως από τα οποία δεν θα είναι σε θέση να αντιμετωπίσει το πρόβλημα
της αντοχής, εάν δεν γίνεται ορθολογική χρήση των αντιβιοτικών στην κοινότητα.
ΒΙΒΛΙΟΓΡΑΦΙΑ
Β. ΣΥΡΙΟΠΟΥΛΟΥ
American Academy of Family Physicians; [American Academy of Otolaryngology-Head
and Neck Surgery;] American Academy of Pediatrics Subcommittee on Otitis Media
With Effusion. Otitis media with effusion Pediatrics 2004; 113:1412-1429.
American Academy of Pediatrics Subcommittee on Management of Acute Otitis Media.
Diagnosis and management of acute otitis media. Pediatrics 2004; 113:1451-65.
Review.
American Academy of Pediatrics. Subcommittee on Management of Sinusitis and
Committee on Quality Improvement Clinical practice guideline: management of
sinusitis. Pediatrics 2001; 108:798-808.
Bisno AL, Gerber MA, Gwaltney JM Jr, Kaplan EL, Schwartz RH. Infectious Diseases
Society of America. Practice guidelines for the diagnosis and management of
group A streptococcal pharyngitis. Infectious Diseases Society of America. Clin
Infect Dis 2002;35:113-125.
Α.
ΛΟΥΡΙΔΑ
Bachur R, Perry H, HarperMB. Occult pneumonias: empiric chest radiographs in
febrile children with leukocytosis. Ann Emerg Med 1999; 33:166-73.
Black S, Shinefield H, BaxterR, et al. Postlicensure Surveillance for Pneumococcal
Invasive Disease After Use of Heptavalent Pneumococcal Conjugate Vaccine in
Northern California Kaiser Permanente. Pediatr Infect Dis J 2004; 23(6):485-489.
Black S, Shinefield H, Fireman B, et al. Efficacy, safety and immunogenicity
of heptavalent pneumococcal conjugate vaccine in children. Pediatr Infect Dis
J 2000; 19:187-95.
Black S, Shinefield H, Ling S, et al. Effectiveness of heptavalent pneumococcal
conjugate vaccine in children younger than five years of age for prevention
of pneumonia. Pediatr Infect Dis J 2002; 21:810-15.
Bradley JS. Management of community-acquired pediatric pneumonia in an era of
increasing antibiotic resistance and conjugate vaccines. Pediatr Infect Dis
J 2002; 21:592-598.
British Thoracic Society Guidelines for the Management of Community Acquired
Pneumonia in Childhood. Thorax 2002; 57(Supp 1):1-24.
Colice GL, Curtis A, Deslauriers J, et al. Medical and surgical treatment of
parapneumonic effusions: An evidence-based guidline. Chest 2000; 118:1158.
Juv?en T, Mertsola J, Toikka P, et al. Clinical profile of serologically diagnosed
pneumococcal pneumonia. Pediatr Infect Dis J 2001; 20:1028-33.
Juve?n T, Mertsola J, Waris M, et al. Etiology of community-acquired pneumonia
in 254 hospitalized children. Pediatr Infect Dis J 2000; 19:293-8.
Kumar P, McKean MC. Evidence based paediatrics: review of BTS guidelines for
the management of community acquired pneumonia in children. J Infect 2004; 48:134-138.
McCracken G. Etiology and treatment of pneumonia. Pediatr Infect Dis J 2000;
19:373-377.
Mc Cracken G. Diagnosis and management of pneumonia in children. Pediatr Infect
Dis J 2000; 19:924-928.
McIntosh K. Community-Acquired Pneumonia in Children. N Engl J Med 2002; 346:429-437.
Michelow I, Olsen K, Losano J, et al. Epidemiology and Clinical Characteristics
of Community-Acquired Pneumonia in Hospitalized Children. Pediatrics 2004; 113:701-707.
Ostapchuk M, Roberts D, Haddy R. Community-Acquired Pneumonia in Infants and
Children. Am Fam Physician 2004; 70:899-908.
Schultz K, Fan L, Pinsky J, et al. The changing face of Pleural Empyemas in
children: Epidemiology and Management. Pediatrics 2004; 113:1735-1740.
Tan T, Mason E, Barson W, et al. Clinical characteristics and outcome of children
with pneumonia attributable to Penicillin-suspeptible and Penicillin - nonsusceptible
streptococcus pneumonia. Pediatrics 1998; 102:1369-1375.
Tan T, Mason E, Wald E, et al. Clinical characteristics of children with complicated
pneumonia caused by streptococcus pneumonia. Pediatrics 2002; 110:1-6.
Whitney C, Farley M, Hadler G, et al. Increasing prevalence of multidrug - resistant
Streptococcus pneumonia in the United States. N Engl J Med 2000; 343:1917-24.
Whitney C, Farley M, Hadler J, et al. Decline in invasive pneumococcal disease
after the introduction of Protein-Polysaccharide Conjugate Vaccine. N Engl J
Med 2003; 348:1737-1746.
Wubbel L, Muniz L, Ahmed A, et al. Etiology and treatment of community-acquired
pneumonia in ambulatory children. Pediatr Infect Dis J 1999; 18:98.
Ε.
ΛΑΓΚΩΝΑ
American Academy of Pediatrics. The diagnosis, treatment and evaluation of the
initial urinary tract infection in febrile infants and young children. Pediatrics
1999; 103:843-852.
Biggi A, Dardanelli L, Pomero J, et al. Acute renal cortical scintigraphy in
children with a first urinary tract infection. Pediatr Nephrol 2001; 16:733-738.
Bollgren I. Antibacterial prophylaxis in children with urinary tract infection.
Acta Paediatr 1999; (suppl)88:48-52.
Cooper CS, Chung BI, Kirsch AJ, et al. The outcome of stopping prophylactic
antibiotics in older children with vesicoureteral reflux. J Urol 2000; 163:269-273.
Currie M, Mitz Lindsay BA, et al. Follow-up urine cultures and fever in children
with urinary tract infection. Arch Pediatr Adolesc Med 2003; 157:1237-1240.
Elder JS, Peters CA, Arant BS, et al. Pediatric Vesicoureteral Reflux Guidelines
Panel summary report on the management of primary vesicoureteral reflux in children.
J Urol 1997; 157:1846-1851.
Fanos V, Cataldi L. Antibiotics or surgery for vesicoureteric reflux in children.
Lancet 2004; 364:1720-1722.
Gauthier M, Chevalier I, Sterescu A, et al. Treatment of Urinary Tract Infections
among febrile young children with daily intravenous antibiotic therapy at a
day treatment center. Pediatrics 2004; 114(4):469-476.
Hellstrom M, Jacobson B. Diagnosis of vesicoureteric reflux. Acta Paediatr 1999;
(suppl)431:3-12.
Hoberman A, Wala ER, Hickey RW. Oral versus intravenous therapy for urinary
tract infections in young febrile children. Pediatrics 1999; 104(1):79-86.
Ilyas M, Mastin ST, Richard GA, et al. Age related radiological imaging in children
with acute pyelonephritis. Pediatr Nephrol 2002; 17:30-34.
Jodal U, Lindberg U. Guidelines for management of children with urinary tract
infection and vesico-ureteric reflux. Recommendations from a Swedish state -
of - the art conference. Acta Paediatr 1999; (suppl)431:87-89.
Mahant S, Friedman J and Mac Arthur C. Renal ultrasound findings and vesicoureteral
reflux in children hospitalized with urinary tract infection. Arch Dis Child
2002; 86(6):419-420.
Nicolle LE. Asymptomatic bacteriuria. When to screen and when to tract. Infect
Dis Clin Nort Am 2003; 17:367-394.
Panaretto KS, Craig JC, Knight JF, et al. Risk factors for recurrent urinary
tract infection in preschool children. J Pediatr Child Health 1999; 35:454-459.
Pecile P, Miorin E, et al. Procalcitonin: A Marker of severity of acute pyelonephritis
among children. Pediatrics 2004; 114(2):2499-254.
Roberts KB, Akindemi OB. The epidemiology and clinical presentation of urinary
tract infections in children younger than 2 years of age. Pediatr Ann 1999;
28:644-649.
Rushton HJ. Urinary tract infections in children: Epidemiology, evaluation and
management. Pediatr Clin North Am 1997; 44:1133-1169.
Schlager TA. Urinary tract infections in infants and children. Infect. Dis Clin
North Am 2003; 17:353-365.
Shortliffe LD. Urinary tract infections in infants and children. In: P Walsh,
A. Retik, E. Vaughan and A. Wein, Editors, (7th ed.), Campbell's Urology vol.
2, WB Saunders, Philadelphia (2001).
Smellie JM, Jodal U, Lax H, et al. Outcome at 10 years of severe vesicoureteric
reflux managed medically: Report of the International Reflux Study in Children.
J Pediatr 2001; 139(5):656-663.
Stapleton FB. Imaging studies for childhood urinary infections. N Engl J Med
2003; 348(3):251-252.
Ι.
ΠΑΥΛΟΠΟΥΛΟΥ
Εμβόλιο κοκκύτη
Campins-Marti M, Cheng HK, Forsyth K, et al. Recommendations are needed for
adolescent and adult pertussis immunisation: rationale and strategies for consideration.
Vaccine 2002; 20:641-46.
Cattaneo LA, Reed GW, Haase DH, et al. The seroepidemiology of Bordetella pertussis
infections: a study of persons aged 1-65 years. J Infect Dis 1996; 173:1256-9.
Konda T, Kamachi K, Iwaki M, Matsunaga Y. Distribution of pertussis antibodies
among different age groups in Japan. Vaccine 2002; 20:1711-17.
Hewlett EL, Edwards KM. Pertussis- Not just for kids. N Engl J Med 2005; 352(12):1215-22.
Hewlett EL, Halperin SA. Serological correlates of immunity to Bordetella pertussis.
Vaccine 1998; 16(20):1899-900.
Van der Wielen M, Van Damme P, Van Herck K, et al. Seroprevalence of Bordetella
pertussis antibodies in Flanders (Belgium). Vaccine 2003; 21:2412-17.
Τετραδύναμο
συζευγμένο εμβόλιο μηνιγγιτιδοκόκκου
Healy CM, Baker CJ. The future of meningococcal vaccines. Ped Infect Dis J 2005;
24(2):175-76.
Offit PA, Peter G. The meningococcal vaccine- public policy and individual choices.
N Engl J Med 2003; 349 (24):2353-356.
Offit PA, Peter G. Meningococcal conjugate vaccine in the UK: an update. Lancet
2004; 364:309-10.
Snape MD, Kelly DF, Green B, et al. Lack of serum bactericidal activity in preschool
children two years after a single dose of serogroup C meningococcal polysaccharide-protein
conjugate vaccine. Ped Infect Dis J 2005; 24(2):128-31.
Trotter CL, Andrews NJ, Kaczamarski EB, et al. Effectiveness of meningococcal
serogroup C conjugate vaccine 4 years after introduction. Lancet 2004; 364:365-67.
Εμβόλιο
ανεμευλογιάς
Hambleton S, Phil D, Gershon AA. The impact of varicella vaccination in the
United States. Semin Ped Infect Dis 2005; 16(1):38-43.
Nguyen HQ, Jumaan AO, Seward JF. Decline in mortality due to varicella after
implementation of varicella vaccination in the United States. N Engl J Med 2005;
352(5):450-58.
Rentier B, Gershon AA and the Members of the European Working Group of Varicella
(EuroVar). Consensus: Varicella vaccination of healthy children- a challenge
for Europe. Ped Infect Dis J 2004; 23(5):379-89.
Vazquez M, Shapiro ED. Varicella vaccine and infection with varicella-zoster
virus. N Engl J Med 2005; 352(5):439-40.
7-δύναμο
συζευγμένο εμβόλιο πνευμονιοκόκκου
Hsu K, Pelton S, Karumuri S, et al. Population-based surveillance for childhood
invasive pneumococcal disease in the era of conjugate vaccine. Ped Infect Dis
J 2005; 24(1):17-23.
Zissis NP, Syriopoulou V, Kafetzis D, et al. Serotype distribution and antimicrobial
of Streptococcus pneumoniae causing invasive infections and acute otitis media
in children. Eur J Pediatr 2004; 163:364-68.
Whitney CG, Klugman KP. Vaccines as tools against resistance: The example of
pneumococcal conjugate vaccine. Semin Pediatr Infect Dis 2004; 15(2):86-93.