ΕΠΙΚΑΙΡΑ ΘΕΜΑΤΑ II
ΣΥΝΤΟΝΙΣΤΡΙΑ: Ε. ΡΩΜΑ - ΓΙΑΝΝΙΚΟΥ
Βιολογικές θεραπείες
στα αυτοάνοσα νοσήματα
Φ. ΨΥΧΟΥ
Παρακολούθηση
του πρόωρου νεογνού μετά το νοσοκομείο
Τ. ΣΙΑΧΑΝΙΔΟΥ
Σύγχρονη διαγνωστική
προσπέλαση νοσημάτων πεπτικού
Ι. ΠΑΝΑΓΙΩΤΟΥ - ΑΓΓΕΛΑΚΟΠΟΥΛΟΥ
Ο ρόλος της
διατροφής των πρώτων ημερών και το ανοσοποιητικό σύστημα
Μ. Α. ΜΑΛΛΙΑΡΟΥ
ΒΙΟΛΟΓΙΚΕΣ ΘΕΡΑΠΕΙΕΣ
ΣΤΑ ΑΥΤΟΑΝΟΣΑ ΝΟΣΗΜΑΤΑ
Φ. Ψύχου: Τα αυτοάνοσα
νοσήματα είναι χρόνια νοσήματα, άγνωστης αιτιολογίας, με επιφυλακτική πρόγνωση.
Τα κλινικά αυτά σύνδρομα χαρακτηρίζονται από ενεργοποίηση των Τ ή και Β λεμφοκυττάρων
χωρίς να υπάρχει ενεργός λοίμωξη ή άλλη γνωστή αιτία.
Καλύτερη θεραπεία είναι πάντα η αιτιολογική. Οι υπάρχουσες για τα αυτοάνοσα
νοσήματα θεραπευτικές προσεγγίσεις όχι μόνο δεν είναι αιτιολογικές, αλλά επιπλέον
μη ειδικές. Καταστέλλουν τη λειτουργία του ανοσοποιητικού συστήματος συνολικά,
επιχειρώντας, με τον ατελή αυτό τρόπο, να τιθασεύσουν την ενεργότητα του αυτοάνοσου
νοσήματος. H μη ειδική θεραπεία αργεί να αποδώσει, έχει υποδεέστερα αποτελέσματα,
πολλές και σοβαρές ανεπιθύμητες ενέργειες. Συχνά απαιτείται συνδυασμός περισσοτέρων
φαρμάκων για να επιτευχθεί έλεγχος της νόσου. Η εμβάθυνση των γνώσεών μας για
την παθογένεια των αυτοάνοσων νοσημάτων και η πρόοδος της βιοτεχνολογίας έχουν
ανοίξει νέους δρόμους που υπόσχονται, μέχρις ότου επιτευχθεί η αιτιολογική,
ειδικότερη θεραπεία λιγότερες, τουλάχιστον βραχυπρόθεσμα, ανεπιθύμητες ενέργειες,
καλύτερο και γρηγορότερο θεραπευτικό αποτέλεσμα. Με τις στοχευμένες αυτές θεραπείες
φιλοδοξούμε να επιτύχουμε, πέραν της ύφεσης των συμπτωμάτων, ύφεση της νόσου.
Οι μηχανισμοί αναγνώρισης του αυτοαντιγόνου, ενεργοποίησης της παραγωγής αυτοαντισωμάτων
και αυτοδραστικών λεμφοκυττάρων δεν είναι διαφορετικοί από εκείνους με τους
οποίους το ανοσοποιητικό σύστημα χειρίζεται τα ξένα αντιγόνα. Μετά την αναγνώριση
του αντιγόνου από το αντιγονοπαρουσιαστικό κύτταρο, ενεργοποιείται το ειδικό
για το αντιγόνο Τ λεμφοκύτταρο και στη συνέχεια κινητοποιείται ένα είδος επικοινωνιακού
δικτύου του ανοσοποιητικού συστήματος, οι κυτταροκίνες και μέσω αυτών, κύτταρα
και μηχανισμοί του ανοσοποιητικού συστήματος. Παρεμβολές στη δράση, άλλοτε άλλων
ανάλογα με το νόσημα, κυτταροκινών, μπορούν να επηρεάσουν την πορεία του αυτοάνοσου
μηχανισμού.
Οι κυτταροκίνες δρουν συνδεόμενες με επιφανειακούς κυτταρικούς υποδοχείς. Τα
κύτταρα, όμως, του ανοσοποιητικού συστήματος, επικοινωνούν, πλην των κυτταροκινών
και μέσω ειδικών δομών της κυτταρικής τους μεμβράνης. Eκτός, λοιπόν, από τη
δέσμευση των κυτταροκινών με μονοκλωνικά αντισώματα ή διαλυτούς υποδοχείς, η
δέσμευση των υποδοχέων τους στην επιφάνεια των κυττάρων που αποτελούν στόχο
τους (εικόνα 1), η δέσμευση επιφανειακών μορίων μέσω των οποίων επικοινωνούν
κύτταρα του ανοσοποιητικού συστήματος και τέλος, η ενεργοποίηση ανταγωνιστικών
κυτταροκινών (εικόνες 1 και 2) θα μπορούσαν να αποτελέσουν καλές εναλλακτικές
λύσεις στην υπάρχουσα μη ειδική ανοσοκατασταλτική αντιμετώπιση.
Τίποτε από τα παραπάνω δεν θα μπορούσε να επιτευχθεί χωρίς την τεράστια πρόοδο
που παρατηρήθηκε τα τελευταία 30 χρόνια στη γενετική και εμβιομηχανική. Βασικός
σταθμός στη διαδρομή αυτή υπήρξε η τεχνολογία παραγωγής υβριδωμάτων (1975) από
τους Kohler και Milstein (βραβείο Νobel 1984), με την οποία έγινε δυνατή η παραγωγή
μεγάλων ποσοτήτων απόλυτα ειδικών αντισωμάτων, των μονοκλωνικών (εικόνα 3).
Τα πλασματοκύτταρα ποντικού που εμβολιάσθηκε με κάποιο αντιγόνο παράγουν το
επιθυμητό ειδικό αντίσωμα για κάποιον από τους πολλούς επίτοπους του αντιγόνου.
Απομονώνονται τα πλασματοκύτταρα που το παράγουν και συντήκονται με κύτταρα
πολλαπλού μυελώματος, τα οποία έχουν την ικανότητα συνεχών πολλαπλασιασμών in
vitro. Τα υβριδώματα που προκύπτουν έχουν την ικανότητα πολλαπλασιασμού in vitro
και συνεχούς παραγωγής μεγάλων ποσοτήτων του επιθυμητού ειδικού μονοκλωνικού
αντισώματος.
Τα αντισώματα ποντικού έχουν σοβαρά μειονεκτήματα. Η χορήγησή τους στον άνθρωπο
συνεπάγεται την παραγωγή αντισωμάτων που μειώνουν την αποτελεσματικότητά τους
και προκαλούν αντιδράσεις, μερικές φορές πολύ σοβαρές, κατά την έγχυση.

ΕΙΚΟΝΑ 1. Στοχευμένη θεραπεία.
ΕΙΚΟΝΑ 2. Ανταγωνιστικές κυτταροκίνες.
ΕΙΚΟΝΑ 3. Παρασκευή μονοκλωνικών αντισωμάτων μέσω υβριδωμάτων.
Η τεχνολογία ανασυνδυασμού του DNA βοήθησε να ξεπεραστεί το σημαντικό αυτό μειονέκτημα.
Έτσι, κατασκευάσθηκαν χιμαιρικά, εξανθρωποποιημένα και τελικά, με τη βοήθεια
διαγονιδιακών ποντικών (εικόνα 4), ανθρώπινα μονοκλωνικά αντισώματα. Η τεχνολογία
παραγωγής ανθρώπινων μονοκλωνικών αντισωμάτων μέσω υβριδωμάτων έχει σήμερα σε
σημαντικό βαθμό ξεπερασθεί με τη βοήθεια κυρίως φάγων και τη δημιουργία τραπεζών
με μεγάλα αποθέματα φυσικών ή κατασκευασμένων αντισωμάτων, από τις οποίες, θα
μπορούσε να πει κανείς, ότι αλιεύουμε το αντίσωμα που θέλουμε, χρησιμοποιώντας
ως δόλωμα το αντίστοιχο αντιγόνο.
Στα χιμαιρικά αντισώματα (εικόνα 5), οι μεταβλητές περιοχές, 25% του αντισώματος,
προέρχονται από τον ποντικό, ενώ στα εξανθρωποποιημένα μόλις το 10%, οι ειδικές
περιοχές σύνδεσης του αντιγόνου. Ήδη παρασκευάζονται πρωτεολυτικά τμήματα αντισωμάτων
(Fabs), τα οποία εμφανίζουν καλύτερη διείσδυση στους ιστούς και άριστη σύνδεση
με το αντίστοιχο αντιγόνο.
Οι βιολογικοί παράγοντες χρησιμοποιούνται εδώ και πολλά χρόνια αρχικά στις μεταμοσχεύσεις
οργάνων και για τη θεραπεία ανθεκτικών στη συνήθη αγωγή κακοηθειών, κυρίως του
λεμφικού ιστού. Το πρώτο μονοκλωνικό αντίσωμα από ποντικό, ιστορικής σχεδόν
σήμερα σημασίας, πήρε έγκριση από το FDA το 1986. Μέχρι σήμερα έχουν εγκριθεί
από τον ίδιο οργανισμό για θεραπευτική χορήγηση περίπου 20 μονοκλωνικά αντισώματα
(πίνακας 1). Τουλάχιστον άλλα 30 βρίσκονται σε τελικό στάδιο κλινικής δοκιμής.
Οι βιολογικοί παράγοντες που χρησιμοποιούνται στην καθημερινή κλινική πράξη
για τη θεραπεία αυτοάνοσων νοσημάτων είναι οι αντι-ΤΝF παράγοντες, ο ανταγωνιστής
του υποδοχέα της ιντερλευκίνης-1 (anakinra - Κineret) και το CD-20 χιμαιρικό
μονοκλωνικό αντίσωμα (rituximab - Rituxan, Mabthera).
Στη χώρα μας κυκλοφορούν τρεις αντι-ΤΝF παράγοντες (etanercept - Enbrel, infliximab
- Remicade και adalimumab - Humira). To etanercept (εικόνα 6) απαρτίζεται από
δύο μόρια του εξωκυττάριου τμήματος του υποδοχέα p75 του TNF, συνδεδεμένα με
σταθερή περιοχή ανθρώπινης IgG1 ανοσοσφαιρίνης. Συνδέεται (εικόνα 7) με τον
κυκλοφορούντα και το διαμεμβρανικό ΤΝF-α, αλλά και τη LTa3, παλιότερα γνωστή
ως ΤΝF-β. Το infliximab και το adalimumab είναι μονοκλωνικά ΤΝF-α αντισώματα,
το infliximab χιμαιρικό και το adalimumab ανθρώπινο. Συνδέουν (εικόνα 8) επίσης
τον ελεύθερο ΤΝF-α, καλύτερα από το etanercept, το διαμεμβρανικό ΤΝF-α, όχι
όμως τη LTa3 . Oι αντι-TNF παράγοντες είναι όλοι ενέσιμοι, το etanercept και
το adalimumab ενίενται υποδόρια, το infliximab χορηγείται ενδοφλέβια. Καίτοι
όλοι δεσμεύουν τον ΤΝF δεν είναι το ίδιο φάρμακο. Έχουν διαφορετική δομή και
φαρμακοκινητική, διαφορετικό μηχανισμό δράσης και θεραπευτικό αποτέλεσμα (πίνακας
2). Βασικής σημασίας είναι η ιδιότητα του infliximab και όπως φαίνεται και του
adalimumab, που κυκλοφόρησε σχετικά πρόσφατα, να συνδέει, μετά την ένωσή του
με το διαμεμβρανικό ΤΝF, το συμπλήρωμα και να προκαλεί λύση των κυττάρων στα
οποία επικάθεται (εικόνα 8). Μέσω του μηχανισμού αυτού εξηγείται, τουλάχιστον
εν μέρει, η επιτυχία του, σε αντίθεση με το etanercept, στην αντιμετώπιση της
νόσου Crohn's.
Στον πίνακα 3 αναφέρονται οι ανεπιθύμητες ενέργειες των αντι-TNF παραγόντων.
Συχνότερες είναι οι αντιδράσεις κατά την ένεση και οι λοιμώξεις, συνήθως ιογενείς.
Οι λοιμώξεις από ενδοκυττάρια μικρόβια και κυρίως από το μυκοβακτηρίδιο της
φυματίωσης, είναι συχνότερες με τα μονοκλωνικά αντισώματα από ό,τι με το etanercept
και η παραγωγή αντισωμάτων έναντι του βιολογικού παράγοντα αφορά κυρίως στο
infliximab. Tα αντισώματα αυτά αυξάνουν τη συχνότητα αντιδράσεων κατά τη χορήγηση
και μειώνουν την αποτελεσματικότητα του φαρμάκου. Για την προστασία, συνεπώς,
του infliximab και ενδεχόμενα του adalimumab είναι απαραίτητη η συγχορήγηση
και δεύτερου ανοσοκατασταλτικού φαρμάκου, μεθοτρεξάτης ή αζαθειοπρίνης.
Το anakinra είναι ανταγωνιστής του υποδοχέα της IL-1 (εικόνα 9). Έχει ήμισυ
χρόνο ζωής 4-6 ώρες. Χορηγείται SC σε δόση 1-5mg/kgΒΣ/24ωρο. Έχει εγκριθεί για
την αντιμετώπιση της ρευματοειδούς αρθρίτιδας των ενηλίκων, μόνο ή σε συνδυασμό
με μεθοτρεξάτη. Φαίνεται ότι θα αποτελέσει πολύ καλή λύση για τη συστηματική
μορφή ιδιοπαθούς νεανικής αρθρίτιδας, που δεν απαντά στην κλασική αγωγή. Συχνότερη
ανεπιθύμητη ενέργεια είναι οι δερματικές αντιδράσεις στην περιοχή της ένεσης.

ΕΙΚΟΝΑ 4. Παρασκευή ανθρώπινων μονοκλωνικών αντισωμάτων με διαγονιδιακά ποντίκια.

ΕΙΚΟΝΑ 5. Εξέλιξη μονοκλωνικών αντισωμάτων.

Το αντι-CD-20 είναι χιμαιρικό αντίσωμα. Προκαλεί, μέσω κυτταροτοξικής δράσης
του συμπληρώματος, αντισωματοεξερτώμενης κυτταροτοξικότητας και επαγωγής της
απόπτωσης, λύση και εξάλειψη των Β-λεμφοκυττάρων για χρονικό διάστημα 3-6, μερικές
φορές μέχρι και 12 μηνών. Χορηγείται IV σε δόση 375mg/m2/εβδομάδα επί 2-4 εβδομάδες.
Χρησιμοποιείται στη θεραπεία των non-Hodgkin's λεμφωμάτων. Φαίνεται ότι θα αποτελέσει
λύση για τις μορφές του συστηματικού ερυθηματώδη λύκου και της ρευματοειδούς
αρθρίτιδας που είναι ανθεκτικές στην κλασική αγωγή. Ήδη βρίσκεται στο στάδιο
της κλινικής δοκιμής αντίστοιχο ανθρώπινο αντίσωμα, χωρίς τις έντονες αντιδράσεις
που παρατηρούνται μερικές φορές κατά την έγχυση του χιμαιρικού αυτού αντισώματος.
Ενδεχόμενα να διερωτηθεί κανείς, ποιος ο λόγος χρησιμοποίησης βιολογικών παραγόντων
στην αντιμετώπιση των αυτοάνοσων νοσημάτων της παιδικής ηλικίας. Η πρόγνωση
της ιδιοπαθούς νεανικής αρθρίτιδας, του συχνότερου αυτοάνοσου νοσήματος του
συνδετικού ιστού στα παιδιά, είναι λιγότερο ευοίωνη από την επικρατούσα άποψη.
Πέντε χρόνια από την έναρξη της νόσου οστικές διαβρώσεις εμφανίζουν 1 στα 3
παιδιά με συστηματική και 2 στα 3 παιδιά με πολυαρθρική ιδιοπαθή νεανική αρθρίτιδα.
Στα 10 χρόνια από την έναρξη, ύφεση έχει επιτευχθεί μόνον σε 1/3 των παιδιών
με ιδιοπαθή νεανική αρθρίτιδα, ενώ άλλο 1/3 εμφανίζει σοβαρούς λειτουργικούς
περιορισμούς. Ένα στα 3 παιδιά με ιδιοπαθή νεανική αρθρίτιδα εμφανίζουν αντοχή
ή σοβαρές ανεπιθύμητες ενέργειες με τη μεθοτρεξάτη, το κύριο τροποποιητικό φάρμακο
της νόσου.
Οι κύριες κυτταροκίνες που απομονώνονται στην ιδιοπαθή νεανική αρθρίτιδα στην
περιοχή της φλεγμαίνουσας άρθρωσης και θα μπορούσαν να αποτελέσουν στόχους,
είναι ο ΤΝF-α και η IL1, δύο ισχυρότατες προφλεγμονώδεις κυτταροκίνες. Στον
πίνακα 4 φαίνεται ο μηχανισμός δράσης τους.
Έγκριση για την ιδιοπαθή νεανική αρθρίτιδα και μόνο για την πολυαρθρική μορφή,
έχει το etanercept. To etanercept μπορεί να χορηγηθεί και ως μονοθεραπεία. Η
εμπειρία, όμως, από την αντιμετώπιση ενηλίκων με ρευματοειδή αρθρίτιδα έχει
δείξει ότι ο συνδυασμός με μεθοτρεξάτη βελτιώνει σημαντικά το θεραπευτικό αποτέλεσμα.
Η εμπειρία από τη χρήση του etanercept στην πολυαρθρική ιδιοπαθή νεανική αρθρίτιδα
είναι πολύ θετική. Ένα χρόνο μετά την έναρξη της αγωγής (0,4mg/kgΒΣ/δόση και
μέχρι 25mg δύο φορές την εβδομάδα SC) 69% των παιδιών που δεν απάντησαν στη
μεθοτρεξάτη παρουσίασαν σημαντική βελτίωση.


ΕΙΚΟΝΑ 6. Δομή etanercept.

ΕΙΚΟΝΑ 7. Μηχανισμός δράσης etanercept.

ΕΙΚΟΝΑ 8. Μηχανισμός δράσης infliximab, adalimumab.
Η ψωρίαση αλλά και η ψωριασική
αρθρίτιδα είναι συχνά νοσήματα. Από ψωρίαση πάσχει 2-3% του γενικού πληθυσμού.
Ψωριασική αρθρίτιδα έχουν 2-15% των παιδιών με χρόνια αρθρίτιδα και 0,5% των
ψωριασικών ηλικίας <16 χρόνων. Η πρόγνωση της ψωριασικής αρθρίτιδας είναι
κακή. Μετά πάροδο 5 χρόνων από την έναρξη της νόσου, 70% των ασθενών εξακολουθούν
να έχουν ενεργό αρθρίτιδα, 30% περιορισμένη δραστηριότητα και 10% βαριά αναπηρία.
Στον αρθρικό υμένα και το αρθρικό υγρό ψωριασικών απομονώνεται ΤΝF, ο οποίος
και αποτελεί έναν από τους στόχους της σύγχρονης βιολογικής θεραπείας για την
ψωρίαση. Έγκριση για την αντιμετώπιση της ψωρίασης έχει το etanercept και της
ψωριασικής αρθρίτιδας των ενηλίκων έχει το etanercept και το infliximab. H εμπειρία
από τη χρήση του, αλλά και τα αποτελέσματα των κλινικών δοκιμών των ΤΝF-α μονοκλωνικών
αντισωμάτων, είναι εξαιρετικά θετική.
Συχνή στα παιδιά είναι και η αγκυλωτική σπονδυλίτιδα (ΑΣ). Η επίπτωση στον παιδικό
πληθυσμό υπολογίζεται σε 0,01-0,08%, σε 8,6-11% των ασθενών με ΑΣ η νόσος αρχίζει
στην παιδική ηλικία.
Η αξονική προσβολή της ΑΣ δεν απαντά στα κλασικά ανοσοτροποποιητικά φάρμακα.
Οι αντι-ΤNF παράγοντες έχουν τροποποιήσει θεαματικά την πορεία της αξονικής
νόσου και την πρόγνωση των πασχόντων από ΑΣ με βαριά προσβολή. Έγκριση για την
αντιμετώπιση της αγκυλωτικής σπονδυλίτιδας των ενηλίκων έχουν το etanercept
και τo infliximab.
Η νόσος Crohn's είναι συχνή στα παιδιά. H έναρξή της γίνεται σε 20% ασθενών
στην παιδική ηλικία, κατά την οποία μάλιστα έχει βαρύτερη διαδρομή. 83% των
ασθενών ηλικίας <14 χρόνων έχουν σημαντική ενεργότητα νόσου κατά τη διάγνωση.
Ένας στους τέσσερις ασθενείς με νόσο Crohn's δεν απαντά στην κλασική αγωγή και
περίπου 1/3 αυτών στους οποίους έχει επιτευχθεί κλινική ύφεση με μεγάλη δόση
αζαθειοπρίνης, δεν έχουν ενδοσκοπική ύφεση. Οι υποτροπές είναι συχνές (85-90%
σε 5 χρόνια) και 1/3 των ασθενών εμφανίζει σημαντική καθυστέρηση ύψους λόγω
της νόσου και της θεραπείας με κορτικοειδή. Ο TNF φαίνεται να παίζει σημαντικό
ρόλο στην παθογένεια της νόσου Crohn's. Έγκριση για την αντιμετώπιση της νόσου
των ενηλίκων έχει το ιnfliximab, το οποίο έχει αποδειχθεί αποτελεσματικό και
στην παιδική ηλικία. To etanercept έχει αποτύχει.
Η νόσος Crohn's και η ρευματοειδής αρθρίτιδα των ενηλίκων είναι τα πρώτα δύο
νοσήματα στα οποία οι αντι-ΤΝF παράγοντες δοκιμάσθηκαν και αποδείχθηκαν αποτελεσματικοί.
Σήμερα, οι παράγοντες αυτοί, το CD-20 αντίσωμα αλλά και νεότεροι βιολογικοί
παράγοντες δοκιμάζονται με σημαντική επιτυχία σε πλειάδα αυτοάνοσων νοσημάτων,
προοιωνίζοντας καλύτερη πρόγνωση σε βαρύτατα νοσήματα με σημαντική θνητότητα.


ΕΙΚΟΝΑ 9. Μηχανισμός δράσης anakinra (IL-1Ra).

ΕΙΚΟΝΑ 10. Παρασκευή Fab.
Ονοματολογία
Βιολογική θεραπεία:
Θεραπεία με πρωτεϊνικό σκεύασμα, προϊόν βιοτεχνολογίας.
Η κατάληξη mab στο όνομα του δραστικού περιεχομένου σκευάσματος σημαίνει ότι
πρόκειται για μονοκλωνικό αντίσωμα.
Η κατάληξη fab στο όνομα του δραστικού περιεχομένου σκευάσματος σημαίνει ότι
πρόκειται για μονοδύναμο τμήμα αντισώματος παρασκευασμένο πρωτεολυτικά (εικόνα
10).
Η κατάληξη cept στο όνομα του δραστικού περιεχομένου σκευάσματος σημαίνει ότι
είναι υποδοχέας.
ΠΑΡΑΚΟΛΟΥΘΗΣΗ
ΤΟΥ ΠΡΟΩΡΟΥ
ΝΕΟΓΝΟΥ ΜΕΤΑ ΤΟ ΝΟΣΟΚΟΜΕΙΟ
Τ. Σιαχανίδου:
Περισσότερα από 10% των νεογνών γεννιούνται πρόωρα μετά από διάρκεια κύησης
24-37 εβδομάδων. Τα πρόωρα νεογνά έχουν συνήθως χαμηλό βάρος γέννησης (<2,5Κg)
και ένα σημαντικό ποσοστό από αυτά (15%) έχει πολύ χαμηλό βάρος γέννησης (<1500g).
Μετά την έξοδό τους από το τμήμα νεογνών, ο παιδίατρος καλείται να αναλάβει
τη φροντίδα τους και να αντιμετωπίσει προβλήματα και ιδιαιτερότητες που συνήθως
αφορούν στη σίτιση, την αύξηση, τη νευροαναπτυξιακή εξέλιξη, την όραση, την
ακοή και τους εμβολιασμούς.
Η σίτιση του μικρού προώρου συχνά παρουσιάζει δυσκολίες. Γενικευμένη υποτονία,
υποτονία των μυών του στόματος, απουσία καλού συγχρονισμού θηλασμού - κατάποσης
- αναπνοής και μειωμένα αποθέματα ενέργειας, οδηγούν σε εύκολη κόπωση του προώρου
κατά τη σίτιση, ταχύπνοια, περιστοματική ή και γενικευμένη κυάνωση. Ο χρόνος
σίτισης είναι συνήθως παρατεταμένος. Επί πλέον, τα πρόωρα είναι συχνά διασωληνωμένα
για μεγάλο χρονικό διάστημα και σιτίζονται με ρινογαστρικό καθετήρα. Αυτά αποτελούν
επώδυνες εμπειρίες στην περιοχή του στοματοφάρυγγα που οδηγούν σε αποστροφή
του προώρου στη σίτιση. Τέλος, διαταραχές όπως η γαστροοισοφαγική παλινδρόμηση,
νευρολογικά ή νευρομυϊκά προβλήματα, καθώς και ψυχολογικοί παράγοντες από τη
μητέρα επιδεινώνουν το πρόβλημα.
Η αντιμετώπιση των προβλημάτων σίτισης των προώρων δεν είναι πάντα εύκολη. Καθοριστικό
ρόλο στην αντιμετώπιση του προβλήματος παίζει η μεγάλη υπομονή της μητέρας κατά
τη σίτιση. Η ίδια συχνά χρειάζεται ψυχολογική υποστήριξη και ενίσχυση της σχέσης
της με το παιδί. Η αντιμετώπιση των παθολογικών καταστάσεων είναι ευνόητο ότι
επιβάλλεται.
Όσον αφορά στα προβλήματα και τις ιδιαιτερότητες της αύξησης, είναι γνωστό ότι
το βάρος, το μήκος σώματος και η περίμετρος κεφαλής των προώρων ακολουθούν διαφορετική
καμπύλη από αυτή των τελειομήνων. Η μεγαλύτερη διαφορά παρατηρείται στην καμπύλη
του σωματικού βάρους, η οποία είναι σε χαμηλότερα επίπεδα από την καμπύλη βάρους
των τελειομήνων, ακόμη και στα 3 χρόνια διορθωμένης ηλικίας. Η καμπύλη του μήκους
σώματος διαφέρει λιγότερο και σχεδόν φτάνει στα επίπεδα της καμπύλης μήκους
των τελειομήνων στα 2-3 χρόνια διορθωμένης ηλικίας στα αγόρια, νωρίτερα δε στα
κορίτσια. Όσον αφορά στην περίμετρο κεφαλής των προώρων, ο ρυθμός αύξησης είναι
καλύτερος συγκριτικά με το βάρος και το μήκος και η καμπύλη της περιμέτρου κεφαλής
φτάνει στα επίπεδα της καμπύλης των τελειομήνων στους 6-12 μήνες διορθωμένης
ηλικίας. Στην κλινική πράξη, κατά τα πρώτα 2-3 χρόνια ζωής, η εκτίμηση της αύξησης
των προώρων συνιστάται να γίνεται σύμφωνα με τη διορθωμένη τους ηλικία και όχι
με την πραγματική.
Ιδιαίτερο πρόβλημα εμφανίζει η αύξηση προώρων πολύ χαμηλού βάρους γέννησης (<1500g).
Τα παιδιά αυτά, όταν φτάσουν στην ηλικία που θα γεννιόταν (δηλαδή σε διορθωμένη
ηλικία 40 εβδομάδων), είναι κάτω από την 3η εκατοστιαία θέση (ΕΘ) ως προς το
βάρος, το μήκος σώματος ή/και την περίμετρο κεφαλής, σε πολύ υψηλό ποσοστό (>50%).
Το ποσοστό αυτό ελαττώνεται προοδευτικά, ακόμη και μετά τα 2-3 χρόνια διορθωμένης
ηλικίας, μέχρι τα 8 χρόνια ή και αργότερα. Ωστόσο, σημαντικά υψηλότερο ποσοστό
από αυτό που παρατηρείται σε τελειόμηνα, παραμένει τελικά <3η ΕΘ ως προς
το βάρος, το ύψος σώματος ή/και την περίμετρο κεφαλής. Τούτο, κυρίως, αποδίδεται
στο γεγονός ότι πολύ υψηλό ποσοστό των πολύ χαμηλού βάρους γέννησης προώρων
(20-25%) γεννιούνται με βάρος ή/και μήκος σώματος <3η ΕΘ, δηλαδή γεννιούνται
λιποβαρή για τη διάρκεια κύησης. Είναι γνωστό ότι τα λιποβαρή για τη διάρκεια
κύησης νεογνά έχουν αυξημένο κίνδυνο να παραμείνουν <3η ΕΘ κατά την ενήλικο
ζωή.
Πότε ανησυχούμε για την αύξηση των προώρων; Ανησυχούμε αν η περίμετρος κεφαλής
παραμένει <3η ΕΘ μετά τον 1ο χρόνο διορθωμένης ηλικίας, διότι τούτο συνδέεται
με αυξημένο κίνδυνο για μειονεκτική νευροαναπτυξιακή εξέλιξη. Είναι, επίσης,
ανησυχητικό αν το ύψος τους παραμένει <3η ΕΘ μετά τα 3 χρόνια διορθωμένης
ηλικίας, διότι υπάρχει κίνδυνος χαμηλού αναστήματος στην ενήλικο ζωή. Ιδιαίτερη
ομάδα πιθανής παρέμβασης αποτελούν τα λιποβαρή για τη διάρκεια κύησης πρόωρα,
που το ύψος τους παραμένει κάτω από την 3η ΕΘ μετά τα 3 χρόνια διορθωμένης ηλικίας
και ο ρυθμός αύξησης του ύψους τους δεν επιταχύνεται. Τα παιδιά αυτά χρειάζεται
να παραπεμφθούν σε ενδοκρινολόγο για ενδεχόμενη χορήγηση αυξητικής ορμόνης.
Τέλος, όσον αφορά στο βάρος σώματος, είναι ανησυχητικό αν ο ρυθμός αύξησης του
βάρους επιβραδύνεται και η καμπύλη βάρους παρουσιάζει πτώση. Στην περίπτωση
αυτή ελέγχουμε αν η προσφορά θερμίδων είναι επαρκής ή αν υπάρχει υποκείμενο
νόσημα. Όμως, ούτε η απότομη και μεγάλη αύξηση του βάρους είναι επιθυμητή, διότι
συνδέεται με αυξημένο κίνδυνο μεταβολικού συνδρόμου. Είναι γνωστό ότι άτομα
με χαμηλό βάρος γέννησης έχουν αυξημένο κίνδυνο να εμφανίσουν κατά την ενήλικο
ζωή καρδιαγγειακά νοσήματα και μεταβολικό σύνδρομο (υπέρταση, υπερτριγλυκεριδαιμία,
αντοχή στην ινσουλίνη και διαβήτη τύπου 2). Ο κίνδυνος αυξάνει ακόμη περισσότερο
αν το βάρος τους αυξηθεί απότομα κατά την παιδική ηλικία, την εφηβεία ή την
ενήλικο ζωή και ιδιαίτερα αν η αύξηση του βάρους δεν συνοδεύεται από ανάλογη
αύξηση ύψους.
Στο ερώτημα, με ποιο γάλα θα σιτίσουμε το πρόωρο νεογνό, η απάντηση είναι ότι
το μητρικό γάλα είναι το καταλληλότερο και έχει αναμφισβήτητα πολλά οφέλη. Πρόωρα
που σιτίστηκαν με μητρικό γάλα είχαν καλύτερη νευροαναπτυξιακή εξέλιξη από αυτά
που σιτίστηκαν με τροποποιημένο γάλα και δεν υστερούσαν στη σωματική ανάπτυξή
τους σε διορθωμένη ηλικία 18 μηνών. Εάν είναι απαραίτητο να χορηγηθεί τροποποιημένο
γάλα, οι περισσότεροι συνιστούν υπερθερμιδικό γάλα για πρόωρα μέχρις ότου το
βάρος τους φτάσει τα 1800g και στη συνέχεια, δηλαδή πρακτικά περί την έξοδό
τους από το τμήμα νεογνών, κοινό τροποποιημένο γάλα. Κατά το 1ο τρίμηνο διορθωμένης
ηλικίας, απαιτούνται 100-130 θερμίδες/KgΒΣ/24ωρο, προκειμένου ο ρυθμός αύξησης
των προώρων να είναι φυσιολογικός, δηλαδή το βάρος τους να αυξάνεται κατά 20-30g
ημερησίως, το μήκος σώματος κατά 0,7-1 εκατοστό/εβδομάδα και η περίμετρος κεφαλής
κατά 0,5-1 εκατοστό/εβδομάδα.
Επίσης, τα πρόωρα έχουν αυξημένες ανάγκες συγκριτικά με τα τελειόμηνα, σε βιταμίνες
και σίδηρο. Μετά την έξοδό τους από το τμήμα νεογνών και μέχρι τη διορθωμένη
ηλικία του 1 έτους, οι ανάγκες τους σε βιταμίνη D είναι 400 μονάδες ημερησίως
και οι ανάγκες τους σε σίδηρο είναι 2-4mg/ΚgΒΣ/24ωρο. Για τα πρόωρα που σιτίζονται
με κοινό τροποποιημένο γάλα, συνιστάται η χορήγηση βιταμίνης D συμπληρωματικά,
400IU ημερησίως, μόνο μέχρι οι ανάγκες τους σε βιταμίνη D καλυφθούν από το γάλα,
δηλαδή μέχρι να καταναλώσουν περίπου 1 λίτρο γάλακτος ημερησίως (πρακτικά μέχρι
τον 6ο μήνα διορθωμένης ηλικίας). Σίδηρος χορηγείται ως συμπλήρωμα του σιδήρου
που περιέχεται στο τροποποιημένο γάλα (πρακτικά 1-2mg/ΚgΒΣ/24ωρο, μέχρι το 12ο
μήνα διορθωμένης ηλικίας). Επίσης, βιταμίνη D και σίδηρος χορηγούνται συμπληρωματικά
και στα πρόωρα που θηλάζουν. Στερεές τροφές εισάγονται στο διαιτολόγιο του προώρου
κατά τον 4ο-6ο μήνα διορθωμένης ηλικίας (όχι πριν τον 4ο μήνα διορθωμένης ηλικίας).
Τα νευροαναπτυξιακά προβλήματα είναι συχνά στα πρόωρα και είναι σοβαρά κυρίως
σε πρόωρα πολύ χαμηλού βάρους γέννησης (<1500g). Όσο μικρότερο το βάρος γέννησης
και όσο μεγαλύτερη η νοσηρότητα των προώρων, τόσο είναι συχνότερη η εμφάνιση
σοβαρών νευροαναπτυξιακών προβλημάτων. Από τα πολύ χαμηλού βάρους γέννησης πρόωρα,
ποσοστό 6% εμφανίζει εγκεφαλική παράλυση και 7% εκδηλώνει σοβαρή νοητική υστέρηση
(IQ<70). Τα πρόωρα που έχουν βάρος γέννησης >1500g συνήθως δεν εμφανίζουν
σοβαρά νευροαναπτυξιακά προβλήματα, όμως έχουν αυξημένη συχνότητα ήπιων αναπτυξιακών
διαταραχών. Το νοητικό τους πηλίκο, αν και είναι χαμηλότερο από αυτό των τελειομήνων
κατά 3-5 μονάδες, δεν προβληματίζει ιδιαίτερα, αλλά έχουν συχνότερα από τα τελειόμηνα
μαθησιακά προβλήματα, ιδιαίτερα στα μαθηματικά, διαταραχές του λόγου, προβλήματα
μνήμης, αντίληψης χώρου, συγκέντρωσης και συμπεριφοράς. Τονίζεται ότι η νευροαναπτυξιακή
εξέλιξη των προώρων εκτιμάται σύμφωνα με τη διορθωμένη τους ηλικία. Προσοχή,
ακόμη και οι σοβαρές διαταραχές, όπως η εγκεφαλική παράλυση, συνήθως δεν εκδηλώνονται
πριν από τον 4ο-6ο μήνα διορθωμένης ηλικίας.
Μέλημα, επίσης, του παιδιάτρου είναι η έγκαιρη αναγνώριση διαταραχών όρασης
και ακοής που συχνά εμφανίζουν τα παιδιά που γεννιούνται πρόωρα. Προβλήματα
όρασης εμφανίζουν κυρίως τα πρόωρα ηλικίας κύησης <_32 εβδομάδων ή/και βάρους
γέννησης <1500g. Η αμφιβληστροειδοπάθεια είναι το κύριο πρόβλημα κατά τη
νεογνική περίοδο και παρατηρείται στο 50% των παιδιών αυτών. Διαθλαστικές ανωμαλίες
και στραβισμός εμφανίζονται αργότερα στο 30% και 13% των παιδιών αυτών, αντίστοιχα.
Γι αυτό συνιστάται οφθαλμολογικός έλεγχος σε όλα τα πρόωρα ηλικίας κύησης <_32
εβδομάδων ή/και βάρους γέννησης <1500g, όχι μόνο στη νεογνική ηλικία αλλά
και αργότερα, σε διορθωμένη ηλικία 12 μηνών, 2-2,5 χρόνων και στα 4-6 χρόνια
ζωής (πριν το σχολείο). Επί πλέον, οφθαλμολογικός έλεγχος συνιστάται και για
τα πρόωρα βάρους γέννησης 1500-2000g εάν εμφάνισαν προβλήματα κατά τη νεογνική
περίοδο (αναπνευστική δυσχέρεια, λοίμωξη, κ.λπ.).
Κώφωση εμφανίζει 1-2% των πολύ χαμηλού βάρους γέννησης προώρων, συχνότητα η
οποία είναι 100 φορές τουλάχιστον μεγαλύτερη από αυτή που παρατηρείται στο γενικό
πληθυσμό. Γι αυτό, στα πολύ χαμηλού βάρους γέννησης πρόωρα, αλλά και σε όλα
τα πρόωρα ανεξαρτήτως ηλικίας κύησης, συνιστάται έλεγχος ακοής. Στόχος είναι
η έγκαιρη διάγνωση διαταραχών της ακοής και η κατάλληλη παρέμβαση πριν τον 6ο
μήνα διορθωμένης ηλικίας. Πρόωρα με επιβαρυντικούς παράγοντες για όψιμη εμφάνιση
κώφωσης, π.χ. λοίμωξη κεντρικού νευρικού συστήματος, συγγενή λοίμωξη κ.ά., συνιστάται
να επανελέγχονται κάθε 6 μήνες μέχρι τα 3 χρόνια διορθωμένης ηλικίας τουλάχιστον.
Όσον αφορά στον εμβολιασμό των προώρων, τονίζεται ότι αποτελεί τη μόνη εξαίρεση
στην οποία δεν διορθώνουμε την ηλικία των προώρων. Τα πρόωρα εμβολιάζονται σύμφωνα
με τη χρονολογική τους ηλικία, το δε σχήμα και οι δόσεις των εμβολίων που προτείνονται
είναι ίδια με αυτά των τελειομήνων, με ελάχιστες διαφορές.
Το εμβόλιο της ηπατίτιδας Β συνιστάται να μη χορηγείται στη γέννηση και πριν
την 30η ημέρα ζωής σε πρόωρα βάρους γέννησης <2Κg, λόγω μη καλής αντισωματικής
απάντησης. Σε περίπτωση που το εμβόλιο είναι απαραίτητο να χορηγηθεί στη γέννηση
(π.χ. αν η μητέρα είναι φορέας ηπατίτιδας Β) και το βάρος γέννησης του προώρου
είναι μικρότερο από 2 κιλά, το εμβόλιο χορηγείται, αλλά η δόση επαναλαμβάνεται
μετά 1 μήνα και συνολικά χορηγούνται, όχι 3, αλλά 4 δόσεις εμβολίου, στη γέννηση,
τον 1ο μήνα, 2ο-3ο και 6ο-7ο μήνα ζωής.
Προφύλαξη για τον αναπνευστικό συγκυτιακό ιό με Palivizumab (Synagis) κατά την
περίοδο έξαρσης του ιού (Νοέμβριο έως Απρίλιο), συνιστάται κυρίως για δύο ομάδες
προώρων: 1) πρόωρα χρονολογικής ηλικίας <2 χρόνων με βρογχοπνευμονική δυσπλασία
για την οποία έλαβαν θεραπεία τους τελευταίους 6 μήνες πριν την περίοδο έξαρσης
του ιού, και 2) πρόωρα ηλικίας κύησης <_32 εβδομάδων και χρονολογικής ηλικίας
<6 μηνών κατά τους μήνες έξαρσης του ιού. Σύμφωνα με τις συστάσεις της Αμερικανικής
Ακαδημίας Παιδιατρικής, η προφύλαξη για τον αναπνευστικό συγκυτιακό ιό θα ωφελούσε
ενδεχομένως και άλλες ομάδες προώρων. Ωστόσο, πρέπει να λαμβάνεται υπ' όψιν
το υψηλό της κόστος (7.500 τουλάχιστον για κάθε παιδί) και να γίνεται προσεκτική
επιλογή των παιδιών που θα χορηγηθεί.
Τέλος, εμβόλιο γρίπης συνιστάται για πρόωρα χρονολογικής ηλικίας >6 μηνών
με βρογχοπνευμονική δυσπλασία, όπως και για τα τελειόμηνα με χρόνια πνευμονοπάθεια.
Στη φροντίδα του προώρου, επί πλέον με τα ανωτέρω, είναι πολύ σημαντικός ο ρόλος
του παιδιάτρου να συμβουλεύσει και να κατευθύνει τους γονείς και να υποστηρίξει
ψυχολογικά τους γονείς προώρων με αναπηρία. Ευτυχώς, αν και τα πρόωρα μπορεί
να έχουν προβλήματα, τελικά, με τη σωστή φροντίδα, τα περισσότερα πρόωρα εξελίσσονται
καλά.
ΣΥΓΧΡΟΝΗ
ΔΙΑΓΝΩΣΤΙΚΗ ΠΡΟΣΠΕΛΑΣΗ ΝΟΣΗΜΑΤΩΝ ΠΕΠΤΙΚΟΥ
Ι. Παναγιώτου - Αγγελακοπούλου:
O τομέας της Παιδιατρικής Γαστρεντερολογίας αναπτύχθηκε σημαντικά τα τελευταία
χρόνια. Οι επιστήμονες που τον υπηρετούν, οικειοποιήθηκαν και αξιοποίησαν επεμβατικές
μεθόδους από το χώρο των ενηλίκων και τις προσάρμοσαν με σεβασμό στα ιδιαίτερα
χαρακτηριστικά της παιδικής ηλικίας.
Με τις μεθόδους αυτές ελέγχονται η κινητική, η ανατομία, η μορφολογία και η
λειτουργία του πεπτικού, με στόχο τη διάγνωση, την έρευνα και τη θεραπευτική
παρέμβαση (εικόνα 1).
Α. Οισοφάγος
Ι. Η 24ωρη pHμετρία, παρά την "ωριμότητα" της ηλικίας της, παραμένει
πάντα στην επικαιρότητα. Καμιά άλλη μέθοδος έως σήμερα δεν τεκμηριώνει τη γαστροοισοφαγική
παλινδρόμηση με την άτυπη κλινική προβολή της, δεν συμβάλλει τόσο αποφασιστικά
στην παρακολούθηση των ασθενών με γαστροοισοφαγική παλινδρόμηση και δεν ελέγχει
τόσο ικανοποιητικά την αποτελεσματικότητα της θεραπείας (συντηρητική ή χειρουργική)
(εικόνα 2).
ΙΙ. Για την κλινική χρησιμότητα και τη διαγνωστική ακρίβεια της μανομετρίας
του οισοφάγου, υπάρχει μεγάλη αντιπαράθεση μεταξύ των ερευνητών. Πρώτος στόχος
της μανομετρίας φαίνεται να είναι η κατανόηση της φαρμακοφυσιολογίας του οισοφάγου,
τόσο σε υγιή άτομα όσο και σε ασθενείς (εικόνα 3).
Η μανομετρία του οισοφάγου:
1. Τεκμηριώνει την αχαλασία σε πρακτικό επίπεδο στα παιδιά.
2. Είναι τυπική στη σκληροδερμία, σε τέτοιο βαθμό ώστε η διάγνωση της νόσου
να προκύπτει από το μανομετρικοδιάγραμμα.
3. Επιβάλλεται σε παιδιά με δυσφαγία και θωρακικό πόνο ή στην προεγχειρητική
εκτίμηση των ασθενών πριν την αντιπαλινδρομική επέμβαση.
Αδιάγνωστη αχαλασία ή άλλη κινητική διαταραχή του οισοφάγου μπορεί να είναι
το παθογενετικό υπόστρωμα ασθενών με νευρογενή ανορεξία. Σκόπιμο είναι σε ασθενείς
αυτής της ομάδας να γίνεται μανομετρία του οισοφάγου.
ΙΙΙ. Ο σπινθηρογραφικός έλεγχος σε άτομα με επεισόδια εισρόφησης στους πνεύμονες
και υποψία ΓΟΠ δεν θα πρέπει να παραλείπεται. Με το σπινθηρογράφημα μπορούμε
να ανιχνεύσουμε όξινα και αλκαλικά επεισόδια, επεισόδια παλινδρόμησης και να
μελετήσουμε την ικανότητα για γαστρική κένωση και στερεών και υγρών γευμάτων
(εικόνα 4).
ΙV. Είναι αναμφισβήτητη η διαγνωστική και επεμβατική αξία της οισοφαγοσκόπησης.
Από τις πλέον συνήθεις θεραπευτικές ενδοσκοπικές παρεμβάσεις θεωρείται η έγχυση
σκληρυντικών ουσιών σε ασθενείς με κιρσούς οισοφάγου. Σε ασθενείς με στένωση
οισοφάγου, συγγενής ή και επίκτητη μετά από οισοφαγίτιδα, γίνεται διαστολή.
Επιπλέον, η οισοφαγοσκόπηση αποκαλύπτει "εικόνες" όπως διαβρωτικής
οισοφαγίτιδας ή εγκαύματος από κατάποση καυστικών ουσιών (εικόνα 5).

ΕΙΚΟΝΑ 1. Στόχοι διαγνωστικής
προσπέλασης νοσημάτων πεπτικού.
2α. 
2β. 
2γ.
ΕΙΚΟΝΑ 2. α. 24ωρη pHμετρία.
Γραφική απεικόνιση παλινδρομικού κύματος, β. Φυσιολ. 24ωρη pHμετρία, γ. Παθολογική
pHμετρία.
3α. 
3β. 
3γ. 
ΕΙΚΟΝΑ 3. α. Μανομετρία οισοφάγου (Φυσιολ.) β. Μανομετρία οισοφάγου επί αχαλασίας
(προ και μετά διαστολή) γ. Μανομετρία οισοφάγου επί σκληροδερμίας.

ΕΙΚΟΝΑ 4. Σπινθηρογραφική
απεικόνιση γαστροοισοφαγικής παλινδρόμησης.


EIKONA 5. Διαγνωστική και
θεραπευτική ενδοσκόπηση. α. Διαβρωτική οισοφαγίτις. β. Διαστολή στενώσεως οισοφάγου
με μπαλόνια. γ. Έγχυση σκληρυντικής ουσίας σε κιρσούς.

Β. Στόμαχος
Ι. Δοκιμασία ουρίας (13C-UBT) ή δοκιμασία αναπνοής για τον έλεγχο της λοίμωξης
από ελικοβακτηρίδιο του πυλωρού (ΗΡ): Παρά την ακρίβεια και την αξιοπιστία της,
σε περίπτωση που το αποτέλεσμα είναι θετικό δεν μπορεί να αποφευχθεί η γαστροσκόπηση
στα παιδιά. Είναι γεγονός ότι στα παιδιά, γαστροσκοπούμε, κάνουμε βιοψία, καλλιέργεια
ιστού και θεραπεύουμε βάσει αντιβιογράμματος. Η δοκιμασία ουρίας είναι και παραμένει
μια εξαιρετική μέθοδος για την παρακολούθηση και τον έλεγχο της εκρίζωσης του
ελικοβακτηριδίου του πυλωρού (πίνακας ΙΙ).
ΙΙ. Ηλεκτρογαστρογραφία: Όπως και σε άλλα όργανα, έτσι και στο στομάχι υπάρχει
βηματοδότης που εντοπίζεται στο μείζον τόξο του. Ο ρόλος του έγκειται στο συντονισμό
του περισταλτισμού του στομάχου με συχνότητα 3 περιστ/λεπτό. Με την τοποθέτηση
ηλεκτροδίων στο επιγάστριο μπορούμε να ελέγξουμε τη θέση του βηματοδότη, καθώς
και τη λειτουργία του. Με την ηλεκτρογαστρογραφία μελετώνται ασθενείς με ανεξήγητη
ναυτία και εμέτους, που τα συμπτώματά τους οφείλονται σε γαστρικές δυσρυθμίες
(ταχυγαστρία, βραδυγαστρία, ταχυαρρυθμία). Δεν είναι, λοιπόν, περίεργο ότι στους
θεραπευτικούς χειρισμούς για δυσρυθμίες περιλαμβάνονται γαστροκινητικά φάρμακα
(π.χ. δομπεριδίνη), αντιαρρυθμικά φάρμακα και υφολική γαστρεκτομή για εκτομή
του βηματοδότη. Ενδιαφέρουσα προοπτική αποτελεί η χειρουργική τοποθέτηση ηλεκτροδίων
και η τεχνητή βηματοδότηση του στομάχου (εικόνα 6).
ΙΙΙ. Έλεγχος εντερογαστρικής παλινδρόμησης: Η σπινθηρογραφική αυτή μέθοδος (μέθοδος
HIDA-BRIDA) χρησιμοποιείται για τον έλεγχο της εντερογαστρικής παλινδρόμησης,
δηλαδή της εισόδου δωδεκαδακτυλικού υγρού στο στομάχι, που παρατηρείται σε ενήλικες
με γαστροεντεροαναστομώσεις, σε βρέφη και νεογνά μετά από πολλαπλές επεμβάσεις
στο έντερο και σε βρέφη με συνδρομή βραχέος εντέρου. Η αλκαλική γαστρίτιδα είναι
διαβρωτική, ύπουλη, στην πλειονότητα ασυμπτωματική γαστρίτιδα, που οφείλεται
στη χρόνια επίδραση ενζύμων του 12δακτύλου (πεψίνη, θρυψίνη) στο βλεννογόνο
του στομάχου και του οισοφάγου.

ΕIKONA 6. Γαστρικές δυσρυθμίες.
Έλεγχος με ηλεκτρογαστρογραφία (ECG).
Γ.
Πάγκρεας
Το πάγκρεας, λόγω της θέσεώς του αλλά και της σύστασής του, είναι ένα δύσκολο
όργανο, τόσο στη διαγνωστική όσο και στη θεραπευτική του προσπέλαση.
Το υπερηχογράφημα και η αξονική τομογραφία παίζουν σημαντικό ρόλο στη διάγνωση
παθήσεων του παγκρέατος. Η ακριβής απεικόνιση του παγκρέατος παρεμποδίζεται
από την αεροπλήθεια του εντέρου. Η αξονική τομογραφία επιβάλλεται στη διερεύνηση
παθήσεων του παγκρέατος, όταν υπάρχει διαγνωστική αβεβαιότητα ή ενδεχόμενο επιπλοκών
ή νεκρώσεων.
Η MRCP απεικονίζει με αρκετή ακρίβεια το χοληφόρο και παγκρεατικό δένδρο και
είναι εξέταση που προτιμάται σε παιδιά. Η ERCP είναι επεμβατική μέθοδος, προϋποθέτει
μεγάλη εμπειρία, ιδίως στην εφαρμογή της στα παιδιά και έχει αυξημένες πιθανότητες
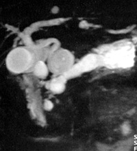
επιπλοκών (αιμορραγίας ή παγκρεατίτιδας) (εικόνα 7).


EIKONA 7.
Πάγκρεας. MRCP. Κύστεις χοληδόχου και παγκρεατικού πόρου.
Πάγκρεας MRCP. Διάταση παγκρεατικού πόρου.



Πάγκρεας ERCP
Δ.
Λεπτό - Παχύ έντερο
Ι. Όπως και στον οισοφάγο, η μανομετρία μπορεί να εφαρμοστεί τόσο στο λεπτό,
όσο και στο παχύ έντερο.
Ενδείξεις για την εφαρμογή της μανομετρίας του λεπτού εντέρου μπορεί να θεωρηθούν:
α) Ασθενείς με έντονα λειτουργικά συμπτώματα, με ανεξήγητη ναυτία ή εμέτους,
β) ασθενείς με καθυστέρηση της γαστρικής κίνησης (δυσπεψία, έμετοι που δεν ανταποκρίνονται
στη θεραπεία με γαστροκινητικά φάρμακα) και σπανιότατα, γ) ασθενείς με κλινική
εικόνα ιδιοπαθούς ψευδοαπόφραξης, δηλαδή ασθενείς με εντονότατο κοιλιακό πόνο,
μετεωρισμό της κοιλίας, ναυτία ή εμέτους, με εικόνα ατελούς απόφραξης (ειλεού)
που δεν αποδίδεται σε μηχανικά αίτια (εικόνα 8).
8α. 
8β. 
ΕΙΚΟΝΑ 8. ΜανομετρΙα λεπτού εντέρου.
Α. Διάγραμμα νηστείας και μεταγευματικό
Β. Μανομετρία λεπτού εντέρου. Χρόνια ιδιοπαθής ψευδοαπόφραξη μυοπαθητικού τύπου.
9α.
9β.
ΕIKONA 9. Απεικόνιση εντερικού συριγγίου με α: συμβατική εντερόκλυση, β: μαγνητική
εντερόκλυση.
10. 
ΕIKONA 10. Ενδοσκόπηση παχέος
εντέρου: Διαγνωστική (N. Crohn).
10. 
ΕIKONA 10. Ενδοσκόπηση παχέος
εντέρου: Επεμβατική πολυπεκτομή.
11. 
ΕIKONA 11. Μεγεθυντική ενδοσκόπηση
και χρωμοενδοσκόπηση. Φυσιολογικό δωδεκαδάκτυλο.
11. 
ΕIKONA 11. Μεγεθυντική ενδοσκόπηση + χρωμοενδοσκόπηση. Δωδεκαδάκτυλο επί κοιλιοκάκης.
12 α.
12 β.
ΕIKONA 12 α-β. Εντεροσκόπηση
(Λεπτό έντερο).

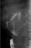
ΙΙ. Ορθοπρωκτική μανομετρία:
Πρόκειται για μέθοδο που διαφοροδιαγιγνώσκει με αρκετή ακρίβεια το αγαγγλιονικό
μεγάκολο (ν. Hirsprung) ή και είναι δυνατόν να διαφοροδιαγιγνώσκει σε καταστάσεις
όπως το λειτουργικό μεγάκολο ή η ιδιοπαθής δυσκοιλιότητα.
ΙΙΙ. Η μέθοδος της εντερόκλυσης είναι μία ουσιαστική κατάκτηση που ενισχύει
το απεικονιστικό οπλοστάσιο. Η φιλοσοφία της εξέτασης έγκειται στη γρήγορη έγχυση
σκιαγραφικού π.χ. βαρίου ή μεθυλκυτταρίνης απ' ευθείας στο σύνδεσμο του TREITZ
μέσω ενός ακτινοσκιερού καθετήρα (πίνακας ΙΙΙ).
Η μαγνητική εντερόκλυση είναι μία πολλά υποσχόμενη μέθοδος για την απεικόνιση
των παθήσεων του λεπτού εντέρου. Από τη μέχρι τώρα κλινική εμπειρία προκύπτει
η μεγάλη διαγνωστική της αξία στη νόσο του Crohn, τα νεοπλάσματα του λεπτού
εντέρου και στην εντερική απόφραξη. Η μέθοδος είναι χρήσιμη για την παρακολούθηση
ασθενών με νόσο Crohn, απεικονίζει με εξαιρετική ευκρίνεια σημεία απόφραξης
και αποτυπώνει μικρά συρίγγια ή συριγγώδεις πόρους που δεν μπορούν να ανιχνευθούν
με ακρίβεια στη συμβατική εντερόκλυση (εικόνα 9).
ΙV. Εικονική κολονοσκόπηση (Virtual colonoscopy, T-colography): Είναι μία νέα
τεχνική εξέταση του ορθού και του παχέος εντέρου, που χρησιμοποιεί τα δεδομένα
της ελικοειδούς αξονικής τομογραφίας μετά τη λήψη πολλαπλών εικόνων στην άνω
και κάτω κοιλία, αφού το έντερο διαταθεί με αέρα. Οι εικόνες μεταφέρονται σε
σταθμό εργασίας (work station) που διαθέτει ειδικό πρόγραμμα για την επεξεργασία
και ανάλυσή τους.
Είναι γνωστό ότι ο καρκίνος του παχέος εντέρου αναπτύσσεται σε έδαφος προϋπάρχοντος
αδενοματώδους πολύποδα. Η έγκαιρη διάγνωση και θεραπεία αυτών των αδενωμάτων
αποδεικνύεται εξαιρετικά σημαντική. Η εικονική κολονοσκόπηση επιτρέπει την εξέταση
όλου του εντέρου, ακόμη και σε περιπτώσεις που η συμβατική κολονοσκόπηση δεν
έχει αποτέλεσμα λόγω έλλειψης συνεργασίας από την πλευρά του ασθενούς, είναι
γρήγορη, μη επεμβατική, εύκολα ανεκτή και αποδεκτή από τον άρρωστο. Είναι πλήρης,
γιατί επιτρέπει κατάταξη της νόσου σε στάδιο και ανιχνεύει μεταστάσεις, ιδίως
στο ήπαρ. Μειονέκτημά της αποτελεί η μη δυνατότητα βιοψιών ή πολυπεκτομής και
το ιδιαίτερα μεγάλο κόστος (εικόνα 10).
V. Ενδοσκόπηση υψηλής ευκρίνειας - Χρωμοενδοσκόπηση: Η δυνατότητα απεικόνισης
με τα ενδοσκόπια νέας γενιάς είναι εντυπωσιακή. Το μέγεθος της δυνατότητας αυτής
μπορεί να επισημανθεί με το εξής παράδειγμα: η διακριτική ικανότητα ενός συμβατικού
ενδοσκοπίου είναι 0.1cm, ενώ της τελευταίας γενιάς ενδοσκοπίων (FGSML, GIF-HM)
είναι 0.01mm!
Έτσι, με αυτά τα νέα όργανα μπορεί να διαφοροδιαγνωσθεί αγγειοδυσπλασία από
διάβρωση, να εκτιμηθεί ο τρόπος επούλωσης ενός έλκους, που μπορεί να προοιωνίζει
ή όχι υποτροπή του, να διακριθεί ένας πολύποδας από ένα θηλωματώδες καρκίνωμα.
Η μέθοδος μπορεί να συνδυασθεί με χρωμοενδοσκόπηση, δηλαδή χρώση του βλεννογόνου
με ειδικά διαλύματα, προκειμένου να αναδειχθούν λεπτομέρειες μη ορατές με τις
συνήθεις ενδοσκοπικές τεχνικές. Χρωστική ουσία είναι το κυανούν του μεθυλενίου
(methylene blue), διάλυμα lugol και indigocarnine. Οι χρωστικές ψεκάζονται στην
επιφάνεια του βλεννογόνου με καθετήρα μέσω του ενδοσκοπίου. Οι χρωστικές αυτές
έχουν την ιδιότητα να απορροφώνται ή να οριοθετούν τη βλάβη (εικόνα 11).
Είναι γεγονός ότι στα άδυτα του λεπτού εντέρου δεν είναι εύκολο να εισχωρήσει
κανείς και πολλές φορές ο γαστρεντερολόγος καλείται να απαντήσει σε δύσκολα
ερωτήματα.
Τα ερωτήματα αυτά μπορούν ενδεχομένως να απαντηθούν με τη χρήση άλλων μεθόδων,
παλαιότερων ή και πολύ πρόσφατων, που στοχεύουν στη λεπτομερειακή απεικόνιση
και τη διερεύνηση του λεπτού εντέρου:
Ι. Σπινθηρογραφικός έλεγχος (Bleeding scan - μέθοδος με σεσημασμένα ερυθρά):
Η μέχρι τώρα χρήση του δεν μας έχει δώσει τα προσδοκώμενα αποτελέσματα. Θεωρείται
ένα διαγνωστικό βήμα. Ωστόσο, οι περιορισμοί για την εφαρμογή του υπερισχύουν
των αναμενόμενων αποτελεσμάτων (πίνακας IV).
ΙΙ. Εντεροσκόπηση: Η εντεροσκόπηση είναι μέθοδος εξαιρετικά δύσκολη και απαιτεί
υπομονή και εμπειρία από τον ενδοσκόπο, αλλά και υπομονή και ανοχή από τον ασθενή.
Δεν συνοδεύεται από ιδιαίτερη επιτυχία, μια που σπάνια φθάνει στο στόχο της,
δηλαδή στην αρχή του παχέος εντέρου. Στο μεγαλύτερο ποσοστό φθάνει στη μεσότητα
της νήστιδος.
Ο κρυφός κόσμος του λεπτού εντέρου και τα προβλήματα που απορρέουν απ' αυτόν
ήρθαν στο φως με τη χρήση της εντεροσκόπησης με κάμερα. Η μέθοδος αυτή μπορεί
να χρησιμοποιηθεί και σε παιδιά μεγαλύτερα των επτά ετών (εικόνα 12).
Μια μικρή κάψουλα (κάμερα) έχει διαστάσεις 11x27mm και ζυγίζει 3.5γρ. Έχει την
ικανότητα φωτογραφικής απεικόνισης του τοιχώματος του λεπτού εντέρου με συχνότητα
δύο εικόνες ανά δευτερόλεπτο. Η συνολική διάρκεια καταγραφής είναι 6-8 ώρες.
Οι κυριότερες ενδείξεις για τη χρήση της μεθόδου είναι η διερεύνηση χρόνιας
ή διαλείπουσας αιμορραγίας, η διάγνωση νόσου Crohn, συνδρόμων δυσαπορρόφησης
(κοιλιοκάκη), ο εντοπισμός καλοήθων ή κακοήθων όγκων, η διάγνωση των βλαβών
του λεπτού εντέρου σε ασθενείς με HIV λοίμωξη.
Απόλυτες αντενδείξεις αποτελούν ο ειλεός, η κύηση, οι διαταραχές της κατάποσης
παρουσία βηματοδότη, η απόφραξη παχέος εντέρου, η μικρή ηλικία (<7 ετών)
και το ιστορικό πολλαπλής ή εκτεταμένης χειρουργικής επέμβασης στην κοιλία.
Η διαγνωστική της ακρίβεια υπερβαίνει το 75%, η ευαισθησία και η θετική προγνωστική
αξία το 96% και το 92% αντίστοιχα. Φαίνεται ότι με τη μέθοδο αυτή, όλο και λιγότεροι
ασθενείς με παθήσεις του λεπτού εντέρου θα μένουν αδιάγνωστοι (εικόνες 13, 14).
Η επιθυμία του ανθρώπου να υπερνικήσει το σκοτάδι και η περιέργεια για την ανακάλυψη
των λειτουργιών του σώματός του υπήρξαν αφορμή για την ενδοσκόπηση. Το πρώτο
ενδοσκόπιο, πριν διακόσια χρόνια, είχε ως φωτεινή λυχνία ένα κερί. Η εποχή μας
είναι η εποχή των νέων τεχνικών, των ενδοσκοπήσεων με όργανα υψηλής ευκρίνειας
ή και με τη βοήθεια της τηλεϊατρικής (εικόνα 15).
Για τη χρήση των παραπάνω τεχνικών απαιτείται στέρεη, εμπεδωμένη γνώση αυτών.
Οι νέες τεχνικές και μέθοδοι είναι αναμφισβήτητα πολύτιμες και αξιοθαύμαστες.
Καμιά, όμως, δεν έχει αυτονόητα και a priori εγγυημένα αποτελέσματα, ούτε μπορεί
να εφαρμοστεί καθολικά. Είναι στη διακριτική ευχέρεια του γιατρού - επιστήμονα
να επιλέξει από το πλήθος αυτών των τεχνικών και μεθόδων ποια θα εφαρμόσει,
ανάλογα με τα ιδιαίτερα χαρακτηριστικά κάθε ασθενούς. Σε καμιά περίπτωση, λοιπόν,
δεν πρέπει να υποτιμάται ο ρόλος του ίδιου του γιατρού - επιστήμονα, ο οποίος,
όταν διαθέτει πλούσια κλινική εμπειρία, ολοκληρωμένη γνώση, επιστημονική ωριμότητα,
ευαισθησία και σεβασμό για τον ασθενή, μπορεί ενδεχομένως να κάνει ασφαλή διάγνωση
και να προτείνει αποτελεσματική θεραπεία με έναν απλό ακτινολογικό έλεγχο.
Οι νέες τεχνικές δεν είναι αυτοσκοπός. Είναι μέσα που θα τεθούν στην υπηρεσία
του Ανθρώπου από επιστήμονες που έχουν το ιερό προνόμιο και καθήκον να τον θεραπεύουν.

ΕIKONA 13. Εντεροσκόπηση με μικροκάμερα.

ΕIKONA 14. Χαρακτηριστικές εικόνες μετά από εντεροσκόπηση με μικροκάμερα.

ΕIKONA 15. Ενδοσκόπηση και Τηλεϊατρική.
Ο ΡΟΛΟΣ ΤΗΣ ΔΙΑΤΡΟΦΗΣ ΤΩΝ ΠΡΩΤΩΝ ΗΜΕΡΩΝ ΤΗΣ ΖΩΗΣ ΚΑΙ ΤΟ ΑΝΟΣΟΠΟΙΗΤΙΚΟ
ΣΥΣΤΗΜΑ
Μ. Α. Μαλλιαρού:
Το ανοσοποιητικό σύστημα του εντέρου είναι εκτεταμένο και πολύπλοκο. Όχι μόνον
αντιμετωπίζει τα περισσότερα αντιγόνα από οποιοδήποτε άλλο μέρος του οργανισμού,
αλλά πρέπει να κάνει το διαχωρισμό μεταξύ των βλαπτικών αντιγόνων και των φιλικών
αντιγόνων, όπως είναι οι πρωτεΐνες των τροφών και τα ωφέλιμα βακτηρίδια.
Τα περισσότερα παθογόνα εισέρχονται στο ανθρώπινο σώμα μέσω του βλεννογόνου
του πεπτικού. Κατά την εισβολή κάποιου παθογόνου κινητοποιείται ισχυρή ανοσολογική
απάντηση, ώστε να προστατευθεί τοπικά το όργανο και επιπρόσθετα να αναχαιτισθεί
η περαιτέρω διασπορά του παθογόνου. Από την άλλη μεριά, η φυσιολογική ανοσολογική
απάντηση στα μη παθογόνα (όπως είναι οι πρωτεΐνες των τροφών και τα ωφέλιμα
βακτηρίδια) είναι η ανοσολογική ανοχή, η οποία όσον αφορά στο πεπτικό σύστημα,
είναι γνωστή ως εντερική ανοχή (oral tolerance).
Το ανοσολογικό, λοιπόν, σύστημα του εντέρου είναι καθοριστικό για την ανοσολογική
απάντηση ολόκληρου του οργανισμού και το ζητούμενο για την υγιή λειτουργία του
οργανισμού είναι η ισορροπία των υποπληθυσμών των Τ-βοηθητικών κυττάρων Th1-Th2
(ισορροπία Th1-Th2).
Ως γνωστό, η υπερβολική Th2 ανοσοαπάντηση μπορεί να οδηγήσει σε ατοπία, ενώ
η επικράτηση της Th1 ανοσολογικής απάντησης σε καταστάσεις χρόνιας φλεγμονής,
όπως είναι η νόσος του Crohn.
Την 11η-20η εβδομάδα κύησης γίνεται η μετανάστευση των ανοσοκυττάρων στις επιφάνειες
των βλεννογόνων του εμβρύου και δημιουργείται ο λεμφικός ιστός που σχετίζεται
με το πεπτικό σύστημα, το λεγόμενο GULT, από τα αρχικά των λέξεων Gut-associated
Lymphoid Tissue και το οποίο περιλαμβάνει τα λεμφοειδικά θυλάκια, τις Παϋέριες
πλάκες και τις αμυγδαλές. Ο ιστός αυτός είναι κρίσιμης σημασίας για την αναγνώριση
των διαφόρων αντιγόνων -μικροβιακών και μη- και την επιλογή μεταξύ ανοσολογικής
απάντησης ή ανοσολογικής ανοχής.
Ο λεμφικός ιστός του εντέρου ενεργοποιείται μετά τον τοκετό, όταν αρχίζει ο
οργανισμός να έρχεται σε επαφή με τα διάφορα αντιγόνα. Ως γνωστόν, η εγκυμοσύνη
συνδέεται με ισχυρή Th2 ανοσολογική απόκλιση, διότι με αυτόν τον τρόπο διατηρείται
και δεν αποβάλλεται το έμβρυο. Το νεογνό γεννιέται με την ίδια απόκλιση και
από πολλούς συγγραφείς χαρακτηρίζεται ως "ανοσοκατασταλμένο".
Το ανώριμο, λοιπόν, ανοσολογικό σύστημα του νεογνού πρέπει να ωριμάσει. Σύμφωνα
με τις πειραματικές και επιδημιολογικές έρευνες των τελευταίων ετών, σημαντικός
παράγοντας στη φυσιολογική ωρίμανση του ανοσολογικού συστήματος και στην επίτευξη
της Th1-Th2 ισορροπίας (Th1-Th2 balance) είναι η μικροβιακή χλωρίδα του εντέρου.
Η μικροβιακή χλωρίδα του εντέρου, η οποία στη διεθνή βιβλιογραφία αναφέρεται
ως microflora ή microbiota, φαίνεται ότι είναι "το σχολείο" που εκπαιδεύει
το ανοσολογικό σύστημα ("Ιntestine: Classroom of immunological education").
Η εκπαίδευση αυτή αρχίζει αμέσως μετά τη γέννηση και ο πρώτος χρόνος της ζωής
είναι καθοριστικός. Κατά συνέπεια, το ποια χλωρίδα αναπτύσσεται στο ανώριμο
ανοσολογικά νεογνό, ενδιαφέρει σημαντικά.
Το έντερο είναι ένα πολύπλοκο οικοσύστημα που στον ενήλικα περιλαμβάνει περίπου
400 διαφορετικά είδη μικροβίων, τα περισσότερα βακτηρίδια, τα οποία βρίσκονται
κυρίως στον τελικό ειλεό και το παχύ έντερο. Υπολογίζεται ότι τα μικρόβια του
εντέρου είναι 10 φορές περισσότερα από τον ολικό αριθμό των κυττάρων του σώματος
και αποτελούν το 35-50% του συνολικού όγκου του περιεχομένου του παχέος εντέρου.
Ζυγίζουν περίπου 1 κιλό και στον υγιή οργανισμό περιλαμβάνουν 85% ωφέλιμα και
15% παθογόνα στελέχη.
Το έμβρυο είναι στείρο από μικρόβια μέσα στη μήτρα. Το έντερό του είναι γεμάτο
από αμνιακό υγρό, που το έμβρυο καταπίνει κατά τη διάρκεια της κύησης. Με την
έναρξη του τοκετού εκτίθεται σε μικρόβια που προέρχονται από τη μητέρα και τον
περιβάλλοντα χώρο. Ο αποικισμός γίνεται σταδιακά.
Το είδος της μικροβιακής χλωρίδας που θα εγκατασταθεί εξαρτάται από:
- Τον τρόπο μαίευσης.
- Τη διατροφή των πρώτων ημερών.
- Τη χορήγηση φαρμακευτικής αγωγής ή παρεντερικής διατροφής σε μονάδες εντατικής
θεραπείας.
- Το κοινωνικοοικονομικό περιβάλλον: βιομηχανική ή υπό ανάπτυξη χώρα.
Ο τρόπος μαίευσης φαίνεται ότι είναι σημαντικός παράγοντας. Υπό φυσιολογικές
συνθήκες, η μικροβιακή χλωρίδα (intestinal microflora) που εγκαθίσταται στο
έντερο του νεογνού οφείλεται στην κατάποση υγρών από τον κόλπο της μητέρας κατά
το φυσιολογικό τοκετό. Όμως, η χλωρίδα αυτή δεν παραμένει και μετά την 1η ημέρα
αρχίζει να εγκαθίσταται η χλωρίδα από το έντερο της μητέρας και τον περιβάλλοντα
χώρο. Φαίνεται ότι τα βρέφη που γεννιούνται με καισαρική τομή, αποικίζονται,
κατά κύριο λόγο, από τα μικρόβια του νοσοκομειακού περιβάλλοντος και η χλωρίδα
που αναπτύσσεται διαφέρει κατά πολύ από τη χλωρίδα της μητέρας. Το βακτηρίδιο,
το οποίο απομονώνεται συνήθως στις καλλιέργειες μετά από καισαρική τομή, είναι
το Clostridium perfringens.
Όμως, μεγάλης σημασίας για το πώς θα εξελιχθεί η εντερική χλωρίδα είναι και
η διατροφή του βρέφους τις πρώτες ημέρες της ζωής. Τα θηλάζοντα έχουν ένα εντερικό
οικοσύστημα που χαρακτηρίζεται κυρίως από την επικράτηση των δισχιδών βακτηριδίων
και των γαλακτοβακίλλων. Η ειδική σύσταση του μητρικού γάλακτος (χαμηλή πρωτεΐνη
και παρουσία αντισηπτικών ουσιών όπως λακτοφερίνη, εκκριτικής ανοσοσφαιρίνης
Α, λυσοζύμης), η παρουσία των ολιγοσακχαριτών και η παραγωγή γαλακτικού οξέος,
δημιουργούν ένα όξινο περιβάλλον (milieu) κατάλληλο για την ανάπτυξη των οξύφιλων
δισχιδών βακτηριδίων. Αντίθετα, στα νεογνά που τρέφονται με ξένο γάλα (formula),
το περιβάλλον του εντέρου είναι αλκαλικό, με αποτέλεσμα να δημιουργούνται εντεροβακτηριοειδή
και gram αρνητικά βακτηρίδια.
Σε όλα τα αλλεργικά παιδιά είναι κοινό εύρημα η καθυστέρηση στην ανάπτυξη γαλακτοβακίλλων
και δισχιδών βακτηριδίων στη microflora του εντέρου.
Ο μαζικός αδένας της μητέρας και το έντερο του νεογνού περιγράφονται ως ανοσολογική
δυάδα (Immunologic dyad). Μέσω του μητρικού γάλακτος μεταφέρονται στο πεπτικό
σύστημα του βρέφους μεγάλες ποσότητες ειδικών IgA εκκριτικών αντισωμάτων (Secretory
IgA antibodies). Τα αντισώματα αυτά παράγονται από λεμφοκύτταρα που έχουν μεταναστεύσει
από το έντερο της μητέρας στους μαζικούς αδένες της. Λόγω της προέλευσής τους,
κατευθύνονται κυρίως εναντίον των μικροβίων που αποτελούν τη μικροβιακή χλωρίδα
του εντέρου της μητέρας, τα οποία τείνουν να αποικίσουν και το έντερο του βρέφους.
Έτσι, το μητρικό γάλα τροποποιεί την πρώιμη έκθεση του εντερικού βλεννογόνου
του νεογνού σε μικρόβια και περιορίζει τη μεταφορά τους, μέσω του βλεννογόνου,
στον οργανισμό. Αυτό φαίνεται να είναι η κύρια αιτία που ο μητρικός θηλασμός
προστατεύει αποτελεσματικά από τη νεογνική σηψαιμία και άλλες λοιμώξεις.
Στο μητρικό γάλα περιέχονται εκτός από τα ειδικά IgA εκκριτικά αντισώματα και
άλλοι προστατευτικοί παράγοντες, όπως μεγάλος αριθμός μακροφάγων και ενεργοποιημένων
Τ λεμφοκυττάρων, λακτοφερίνη, ένα μεγάλο φάσμα ορμονών, όπως θυροξίνη, ινσουλίνη,
κορτικοστεροειδή, αυξητικοί παράγοντες και κυτοκίνες όπως η λεπτίνη, οι οποίοι
προάγουν την ανάπτυξη του εντέρου και του ανοσοποιητικού συστήματος.
Ένα από τα κύρια συστατικά του ανθρωπίνου γάλακτος, από άποψη αναλογιών, είναι
οι ολιγοσακχαρίτες, οι οποίοι έχουν πρόσφατα χαρακτηρισθεί ότι αντιπροσωπεύουν
το πρώτο πρεβιοτικό στο ανθρώπινο είδος.
Ως γνωστό, χαρακτηρίζονται ως πρεβιοτικά (prebiotics) "μη πεπτόμενα συστατικά
τροφών τα οποία χορηγούμενα στα ζώα ή τον άνθρωπο, τροποποιούν τη σύνθεση της
εντερικής χλωρίδας του παχέος εντέρου, μέσω της εκλεκτικής ενεργοποίησης ή ανάπτυξης
φιλικών βακτηριδίων, με αποτέλεσμα την προαγωγή της υγείας του ξενιστή".
Τα πρεβιοτικά έχουν ως βασικές ιδιότητες ότι δεν πέπτονται στο στομάχι και το
λεπτό έντερο και φθάνουν στο παχύ έντερο χωρίς να έχουν τροποποιηθεί. Στο παχύ
έντερο τα πρεβιοτικά ευοδώνουν κυρίως την ανάπτυξη δισχιδών βακτηριδίων και
γαλακτοβακίλλων και αναστέλλουν την ανάπτυξη παθογόνων στελεχών όπως τα Κλωστηρίδια
και η Escherichia Coli.
Πρεβιοτικά θεωρούνται κυρίως μη πεπτόμενοι υδατάνθρακες και κυρίως οι ολιγοσακχαρίτες,
όπως οι φρουκτο-ολιγοσακχαρίτες (FOS) και οι γαλακτο-ολιγοσακχαρίτες (GOS).
Εκτός από τα πρεβιοτικά, την εντερική χλωρίδα τροποποιεί και η χορήγηση προβιοτικών
(probiotics), δηλαδή έτοιμων καλλιεργειών δισχιδών βακτηριδίων και γαλακτοβακίλλων.
Τα βακτηρίδια αυτά χρησιμοποιούνται για την παραγωγή γιαουρτιού, στη ζύμωση
γαλακτοκομικών προϊόντων και ως συμπληρώματα διατροφής. Τέλος, υπάρχουν και
τα συμβιοτικά (symbiotics), τα οποία είναι μίγματα πρεβιοτικών και προβιοτικών.
Οι γαλακτοβάκιλλοι και τα δισχιδή βακτηρίδια είναι gram θετικοί μικροοργανισμοί,
οι οποίοι παράγουν γαλακτικό οξύ και αποτελούν κομμάτι της φυσιολογικής εντερικής
χλωρίδας ανθρώπων και ζώων. Αυτά τα φιλικά βακτηρίδια επιτελούν ρόλο - κλειδί
στην ενίσχυση της αντίστασης στον αποικισμό από εξωγενή παθογόνα βακτηρίδια
και μύκητες, όπως Clostridia, Escherichia Coli, Salmonella, Shigella, Candida
albicans.
Οι μηχανισμοί, με τους οποίους επιτυγχάνεται η ανάπτυξη φιλικής για τον οργανισμό
χλωρίδας, μέσω των πρε- και προβιοτικών, είναι:
- Παραγωγή ανασταλτικών ουσιών: Τα βακτήριδια που αναπτύσσονται με τα πρεβιοτικά
παράγουν ουσίες που δρουν ανασταλτικά, όχι μόνον στον αριθμό των gram αρνητικών
και gram θετικών παθογόνων βακτηριδίων, αλλά και στις τοξίνες που παράγουν.
Αυτό επιτυγχάνεται με την πτώση του pH στο έντερο (όξινο pH). Η πτώση του pH
προκαλείται από το γαλακτικό οξύ και τα λιπαρά οξέα βραχείας αλύσου που παράγουν
τα φιλικά βακτηρίδια.
- Απόφραξη των περιοχών προσκόλλησης των βακτηριδίων στο εντερικό επιθήλιο.
- Ανταγωνισμός θρεπτικών ουσιών, που επί απουσίας των ωφέλιμων βακτηριδίων θα
τις κατανάλωναν τα παθογόνα για να αυξηθούν.
- Ενίσχυση της ανοσίας.
Η έρευνα για τη χρήση των πρε- και προβιοτικών στη θεραπεία νοσημάτων του πεπτικού
βρίσκεται σε εξέλιξη. Στην παιδιατρική δε, αφορά σε πρόωρα βρέφη, σε τελειόμηνα
βρέφη και σε παιδιά.
Οι ολιγοσακχαρίτες είναι ένα από τα κύρια συστατικά του μητρικού γάλακτος. Σε
1 λίτρο μητρικού γάλακτος περιέχονται κατά μέσον όρο 10 γραμμάρια ουδέτεροι
ολιγοσακχαρίτες και 1 γραμμάριο όξινοι ολιγοσακχαρίτες. Η συγκέντρωσή τους μεταβάλλεται
στις διάφορες φάσεις γαλακτοφορίας. Είναι σε μεγαλύτερη αναλογία στο πρωτόγαλα
ή πύαρ από ό,τι στο ώριμο γάλα. Η σύνθεσή τους στο μητρικό γάλα είναι πολύπλοκη
και είναι γνωστά πάνω από 100 διαφορετικά είδη. Οι ολιγοσακχαρίτες του μητρικού
γάλακτος πέπτονται μερικώς μόνον στο λεπτό έντερο, φθάνουν αναλλοίωτοι στο παχύ
έντερο, όπου ενεργοποιούν σημαντικά την ανάπτυξη των δισχιδών βακτηριδίων, ενώ
αναστέλλουν την ανάπτυξη των παθογόνων βακτηριδίων, τόσο στα τελειόμηνα όσο
και στα πρόωρα. Έχουν, δηλαδή, όλα τα στοιχεία των πρεβιοτικών.
Όπως αποδείχθηκε με νέες τεχνικές, το ίδιο αποτέλεσμα παρατηρήθηκε και σε βρέφη
που δεν θήλαζαν, όταν χρησιμοποιήθηκαν πειραματικά οι ολιγοσακχαρίτες, ως συμπλήρωμα
στο ξένο γάλα.
Στη χλωρίδα των θηλαζόντων τελειόμηνων νεογνών, τα δισχιδή βακτηρίδια εμφανίζονται
την 4η ημέρα ζωής και επικρατούν την 7η ημέρα. Τον 1ο μήνα ζωής, τα αποκλειστικώς
θηλάζοντα έχουν καταπιεσμένα όλα τα άλλα είδη βακτηριδίων και στη χλωρίδα κυριαρχούν
τα δισχιδή βακτηρίδια. Το ίδιο συμβαίνει και σε βρέφη αποκλειστικώς θηλάζοντα
που γεννήθηκαν με καισαρική τομή.
Η χορήγηση στο μαιευτήριο έστω και μικρών ποσοτήτων ξένου γάλακτος (formula),
μπορεί να τροποποιήσει τη σύνθεση της εντερικής χλωρίδας του βρέφους και να
γίνει πρόξενος αλλεργικών καταστάσεων ή χρόνιων φλεγμονών στη μετέπειτα ζωή.
Δανείζομαι τον τίτλο από ένα άρθρο από τη σχετική βιβλιογραφία με τίτλο: "Αν
δώσουμε ένα μόνο μπουκάλι ξένο γάλα στο μωρό μπορεί να του προκαλέσει πρόβλημα;"
("Just One Bottle Won' t Hurt" - or Will it?). Φαίνεται πως ναι. Όταν
χορηγηθεί ξένο γάλα στο νεογέννητο τις πρώτες 7 ημέρες της ζωής του, καθυστερεί
σημαντικά η παραγωγή όξινου περιβάλλοντος στο έντερο και σε ορισμένες περιπτώσεις,
δεν μπορεί να επιτευχθεί ποτέ στη συνέχεια.
Τα βρέφη που λαμβάνουν μικτή διατροφή αναπτύσσουν την εντερική χλωρίδα των βρεφών
που τρέφονται με ξένο γάλα. Ακόμα και ένα γεύμα την ημέρα ξένο γάλα μπορεί να
τροποποιήσει τη χλωρίδα του βρέφους και μάλιστα πολύ σύντομα, μέσα στο 1ο 24ωρο
από τη χορήγηση.
Το νεογέννητο με ιστορικό ατοπίας, ευαισθητοποιείται στις πρωτεΐνες του γάλακτος
αγελάδος, αν του δοθεί γάλα αγελάδας τις τρεις πρώτες ημέρες ζωής.
Η χορήγηση ξένου γάλακτος τις πρώτες ημέρες της ζωής είναι σύνηθες φαινόμενο
στα ελληνικά μαιευτήρια. Το γάλα της μητέρας κρίνεται ανεπαρκές και δίνεται
στο νεογέννητο γάλα αγελάδας. Αυτή η λάθος τακτική πρέπει να σταματήσει. Το
γάλα που παράγεται τις πρώτες ημέρες μετά τον τοκετό, δηλαδή το πρωτόγαλα (πύαρ),
είναι αναντικατάστατο και κανένα βρέφος δεν πρέπει να το στερείται. Η ποσότητα
του γάλακτος, που η φύση έχει προνοήσει για τη διατροφή τις 3 πρώτες ημέρες
της ζωής, είναι αρκετή και δεν πρέπει να δίνεται συμπλήρωμα με ξένο γάλα (formula),
διότι με τον τρόπο αυτό παρεμβαίνουμε στη φυσιολογική γαλακτοφορία της μητέρας
και εκθέτουμε το νεογνό σε σοβαρούς κινδύνους.
Για να επαρκέσει το πρωτόγαλα στις ανάγκες του βρέφους, είναι απαραίτητο το
νεογέννητο να τοποθετείται την πρώτη ώρα μετά τον τοκετό στο στήθος της μητέρας
και η μητέρα να είναι συνεχώς μαζί με το νεογέννητο στο μαιευτήριο, να υπάρχει
δηλαδή rooming in, ώστε το μωρό να θηλάζει όποτε θέλει.
Ο αποκλειστικός μητρικός θηλασμός τους πρώτους 6 μήνες της ζωής και η συνέχισή
του και μετά την προσθήκη των στερεών, μέχρι τουλάχιστον τον 1ο χρόνο της ζωής,
είναι η απαραίτητη προϋπόθεση για ένα ισορροπημένο ανοσολογικό σύστημα και για
την προστασία από αλλεργικά και χρόνια φλεγμονώδη νοσήματα.
BIBΛΙΟΓΡΑΦΙΑ
Φ. ΨΥΧΟΥ
Baert F, Noman M, Vermeire S, Van Assche G, D'Haens G, Carbonez A, et al. Influence
of immunogenicity on the long-term efficacy of infliximab in Crohn's disease.
N Engl J Med 2003; 348:601-8.
Braun J, Brandt J, Listing J, Rudwaleit M, Sieper J. Biologic therapies in the
spondyloarthritis: New opportunities, new challenges. Curr Opin Rheumatol 2003;
15:394-407.
Choy EHS, Panayi GS. Cytokine pathways and joint inflammation in rheumatoid
arthritis. N Engl J Med 2001; 344:907-16.
Cush JJ. Safety of new biologic therapies in rheumatoid arthritis. Bull Rheum
Dis 2003; 52:8.
D'Haens G. Mucosal healing in pediatric Crohn's disease: the goal of medical
treatment. Inflamm Bowel Dis 2004; 10:479-80.
Edwards JCW, Szczepanski L, Szechinski J, Filipowicz - Sosnowska A, Emery P,
Close DR, et al. Efficacy of B-cell-targeted therapy with rituximab in patients
with rheumatoid arthritis. N Engl J Med 2004; 350:2572-81.
Ehlers S. Role of tumour necrosis factor (TNF) in host defence against tuberculosis:
implications for immunotherapies targeting TNF. Ann Rheum Dis 2003; 62:37-42.
Franklin JP, Symmons DPM, Silman AJ. Risk of lymphoma in patients with RA treated
with anti-TNF-α agents. Ann Rheum Dis 2005; 64:657-8.
Furst DE, Breedveld FC, Kalden JR, Smolen JS, Burmester GR, Bilsma JW, et al.
Updated consensus statement on biological agents, specifically tumour necrosis
factor α blocking agents (ΤΝF-α) and IL-1 receptor antagonist (IL-1 ra), for
the treatment of rheumatic diseases, 2004. Ann Rheum Dis 200; 63(SII): 2-12.
Geborek P, Bladstrφm A, Turesson C, Gulfe A, Petersson AF, Saxne T, et al. Tumour
necrosis factor blockers do not increase overall tumour risk in patients with
rheumatoid arthritis, but may be associated with an increased risk of lymphoma.
Ann Rheum Dis 2005; 64:699-703.
Hamilton CD. Infectious Complications of treatment with biologic agents. Curr
Opin Rheumatol 2004; 16:393-8.
Hanauer SB. Efficacy and safety of tumor necrosis factor antagonists in Crohn's
disease. Overview of randomized clinical studies. Rev Gastroenterol Disord 2004;
4 (S3):18-24.
Haslag S, Roberts CC. Safety of infliximab treatment in pediatric patients with
inflammatory bowel disease. J Pediatr Gastroenterol Nutr 2004; 39:265-9.
Hudson PJ, Souriau C. Engineered antibodies. Nature Medicine 2003; 9:129-33.
Jacobstein DA, Markowitz JE, Kirschner BS, Ferry G, Cohen SA, Gold BD et al.
Premedication and infusion reactions with infliximab: results from a pediatric
inflammatory bowel disease consortium. Inflamm Bowel Dis 2005; 11:442-6.
Kooros K, Katz AJ. Infliximab therapy in pediatric Crohn's pouchitis. Inflamm
Bowel Dis 2004; 10:417-20.
Krueger JG, Bowkock A. Psoriasis pathophysiology: Current concepts of pathogenesis.
Ann Rheum Dis 2005; 64:30-6.
Kruithof E, Baeten D, Van Den Bosch F, Mielants H, Veys EM, de Keyser F. Histological
evidence that infliximab treatment leads to downregulation of inflammation and
tissue remodeling of the synovial membrane in spondyloarthropathy. Ann Rheum
Dis 2005; 64: 529-36.
Lamireau T, Cezard JP, Dabadie A, Goulet O, Lachaux A, Turck D, et al. French-Speaking
Group for Pediatric Gastroenterology Nutrition. Efficacy and tolerance of infliximab
in children and adolescents with Crohn's disease. Inflamm Bowel Dis 2004; 10:745-50.
Looney RJ, Anolik J, Sanz I. B Cells as therapeutic targets for rheumatic diseases.
Curr Opin Rheumatol 2004; 16:180-5.
Lovell DJ, Giannini EH, Reiff A, Cawkwell G, Silverman ED, Nocton JJ, et al.
Etanercept in children with polyarticular juvenile rheumatoid arthritis. N Engl
J Med 2000; 342:763-9.
O'Shea JJ, Lipsky P. Cytokines and autoimmunity. Nature Reviews 2002; 2:37-45.
Mease PJ. Recent advances in the management of psoriatic arthritis. Curr Opin
Rheumatol 2004; 16:366-70.
Sandborn W. New concepts in anti-tumor necrosis factor therapy for inflammatory
bowel disease. Rev Gastroenterol Disord 2005; 5:10-8.
Quartier P, Brethon B, Phillippet P, Landman-Parker J, Le Deist F, Fischer A.
Treatment of childhood autoimmune haemolytic anaemia with rituximab. Lancet
2001; 358:1511-3.
Stacy KM. Therapeutic MAbs: Saving lives and making billions. The Scientist
2005; 19:1-6.
Wargula JC, Lovell DJ. Use of etanercept in children. Bull Rheum Dis 2000; 49:1-4.
Weinberg JM, Bucholz R, Scheinfeld N. Evidence-based review of biologic therapy
for psoriasis: Infliximab, etanercept, adalimumab, efalizumab and alefacept.
Adv Stud Med 2005; 5:195-206.
Zecca M, Nobili B, Ramenghi U, Perrotta S, Amendola G, Rosito P et al. Rituximab
for the treatment of refractory autoimmune hemolytic anemia in children. Blood
2003; 101:3857-61.
Τ. ΣΙΑΧΑΝΙΔΟΥ
American Academy of Pediatrics. Nutritional needs of preterm infants In: Kleinman
RE eds. Pediatric Nutrition Handbook. 4th ed. Elk Grove Village, IL. American
Academy of Pediatrics 1998; 55-87.
Casey PH, Kraemer HC, Bernbaum J, Yogman MW, Sells JC. Growth status and growth
rates of a varied sample of low birth weight, preterm infants: a longitudinal
cohort from birth to three years of age. J Pediatr 1991; 119:599-605.
Cooke RWI, Foulder-Hughes L, Newsham D, Clarke D. Ophthalmic impairment at 7
years of age in children born very preterm. Arch Dis Child Fetal Neonatal Ed
2004; 89:F249-F253.
Eriksson JG, Forsen T, Tuomilehto J, Winter PD, Osmond C, Barker DJP. Catch-up
growth in childhood and death from coronary heart disease: longitudinal study.
BMJ 1999; 318:427-431.
Guo SS, Roche AF, Chumlea WC, Casey PH, Moore WM. Growth in weight, recumbent
length, and head circumference for preterm low-birthweight infants during the
first three years of life using gestation-adjusted ages. Early Hum Dev 1997;
47:305-325.
Hack M, Flannery DJ, Schluchter M, Cartar L, Borawski E, Klein N. Outcomes in
young adulthood for very-low-birth-weight infants. N Engl J Med 2002; 346:149-157.
Hack M, Schluchter M, Cartar L, Rahman M, Cuttler L, Borawski E. Growth of very
low birth weight infants to age 20 years. Pediatrics 2003; 112: e30-e38.
Hack M, Weissman B, Borawski-Clark E. Catch-up growth during childhood among
very low-birth-weight children. Arch Pediatr Adolesc Med 1996; 150:1122-1129.
Hawdon JM, Beauregard N, Slattery J, Kennedy G. Identification of neonates at
risk of developing feeding problems in infancy. Dev Med Child Neurol 2000; 42:235-239.
Kennedy C, McCann D. Universal neonatal hearing screening moving from evidence
to practice. Arch Dis Child Fetal Neonatal Ed 2004; 89:F378-F383.
Kerschner JE. Neonatal hearing screening: to do or not to do. Pediatr Clin N
Am 2004; 51:725-736.
Lucas A, Morley R, Cole TJ, Gore SM. A randomized multicentre study of human
milk versus formula and later development in preterm infants. Arch Dis Child
Fetal Neonatal Ed 1994; 70:F141-F146.
Meissner HC, Long SS, and American Academy of Pediatrics, Committee on Infectious
Diseases and Committee on Fetus and Newborn. Technical report: revised indications
for the use of palivizumab and Respiratory Syncytial Virus Immune Globulin Intravenous
for the prevention of respiratory syncytial virus infections. Pediatrics 2003;
112:1447-1452.
Ong KKL, Ahmed ML, Emmett PM, Preece MA, Dunger DB, and the Avon Longitudinal
Study of Pregnancy and Childhood Study Team. Association between postnatal catch-up
growth and obesity in childhood: prospective cohort study. BMJ 2000; 320:967-971.
Pietz J, Peter J, Graf R, Rauterberg-Ruland I, Rupp A, Sontheimer D, Linderkamp
O. Physical growth and neurodevelopmental outcome of non handicapped low-risk
children born preterm. Early Hum Dev 2004; 79:131-143.
Saari TN, and the Committee on Infectious Diseases. Immunization of preterm
and low birth weight infants. Pediatrics 2003; 112:193-198.
Sherry B, Mei Z, Grummer-Strawn L, Dietz W. Evaluation of and recommendations
for growth references for very low birth weight (<_1500 grams) infants in
the United States. Pediatrics 2003; 111:750-758.
Ι. ΠΑΝΑΓΙΩΤΟΥ
- ΑΓΓΕΛΑΚΟΠΟΥΛΟΥ
Αppleman M. Wireless capsule endoscopy for recurrent small bowel bleeding. NEJM
2002; 344:32.
Castell Donald, Toel Richke, Christine Boag Dalron. Esophageal moti testing:
Elsevier Science Publishing 1987.
Dacosta R, Wilson B, Marcon N. New optical technologies for earlier endoscopic
diagnosis of premalignant gastrointestinal lesions. Journal of Gastroenterology
and Hepatology 2002; 17(sup):S85-S904.
Dinvu Ribecio, Da Costa Perero. Magnification chromoendoscopy for the diagnosis
of gastric intestinal metaplasia and dysplasia gastrointestinal. Endos 2003;
57:495-504.
Ekberg O. Double contrast examination of the small bowel. Gastrointestinal Rad
1977; 349:355.
Gong Mills Swain. Wireless Endoscopy. Gastrointestinal Endosc 2000; 51:725.
Kida M, Kobayash K. routine chromoendoscopy for gastrointestinal diseases: Indications
reviewed. Endoscopy 2003; 35:590-6.
Mαυρίδου Α. Μανομετρία στομάχου -λεπτού εντέρου. Σεμινάριο Μανομετρίας. 10ο
Πανελλήνιο Συνέδριο Γαστρεντερολογίας, Αθήνα 1989; 98-134.
Νorth American Society for Pediatric Gastroenterology and Nutrition. Guidelines
for evaluation and treatment of gastroesophageal reflux in infants and children.
J Ped Gastr Nutr 2001; 32(S12).
Oso A. Virtual endoscopy. Eur J Radiology 2002; 42:231-9.
Unshaden HW, Szorar D, Gassu J. Small bowel disease. Comparison of MR enteroclysis
with conventional enteroclysis and surgical finding. Radiology 2000; 215:717-725.
Μ.
Α. ΜΑΛΛΙΑΡΟΥ
Bjorksten B. Effects of intestinal microflora and the environment on the development
of asthma and allergy. Springer Semin Immunopathol 2004; 25(3-4):257-270.
Bjorksten B, Sepp E, Julge K, Voor T, Mikelsaar M. Allergy development and the
intestinal microflora during the first year of life. Allergy Clin Immunol 2001;
108(4):516-520.
Boehm G, Jelinek J, Knol J, Stahl B, Vos P, Garssen J. Prebiotics and immune
responses. Journal of Ped Gastroenterology and Nutrition 2004; 39:S772-S773.
Brandtzaeg P. Mucosal immunity: integration between mother and the breast-fed
infant. Vaccine 2003; 21(24):3382-3388.
Coppa GV, Bruni S, Morelli L, Soldi S, Gabrielli O. The first prebiotics in
humans: human milk oligosaccharides. J Clin Gastroenterol 2004; 38(6 Suppl):S80-S83.
Edwards CA, Parrett AM. Intestinal flora during the first months of life: new
perspectives. Br J Nutr 2002; 88(S1):S11-S18.
Fanaro S, Chierici R, Guerrini P, Vigi V. Intestinal microflora in early infancy:
composition and development. Acta Paediatr Suppl 2003; 441:48-55.
Hanson LA, Ceafalau L, Lagerberg M, Ashraf R, Zaman S, Jalil F. The mammary
gland - infant intestine immunologic dyad. Adv Exp Med Biol 2000; 478:65-76.
Hanson LA, Korotkova M. The role of breastfeeding in prevention of neonatal
infection. Semin Neonatol 2002; 7(4):275-281.
Kalliomaki M, Isolauri E. Role of intestinal flora in the development of allergy.
Curr Opin Allergy Clin Immunol 2003; 3(1):15-20.
Kero M, Gissler M, Gronlund MM, Kero P, Koskinen P, Hemminki E, Isolauri E.
Mode of delivery and asthma: Is there a connection? Pediatric Research 2002;
52:6-11.
Prescott SL. Early origins of allergic disease: a review of processes and influences
during early immune development. Curr Opin Allergy Clin Immunol 2003; 3(2):125-132.
Shi HN, Walker A. Bacterial colonization and the development of intestinal defences.
Can J Gastroenterol 2004; 18(8):493-500.
Strobel S. Immunity induced after a feed of antigen during early life: oral
tolerance v. sensitization. Proceedings of the Nutrition Society 2001; 60:437-442.
Walker WA. The dynamic effects of breastfeeding on intestinal development and
host defence. Adv Exp Med Biol 2004; 554:155-170.
Work Group on Breastfeeding, American Academy of Pediatrics. Breastfeeding and
the use of human milk (RE9729). Pediatrics 1997; 100(6):1035-1039.