ΕΠΙΚΑΙΡΑ ΘΕΜΑΤΑ I
ΣΥΝΤΟΝΙΣΤΡΙΑ: Φ. ΤΖΩΡΤΖΑΤΟΥ - ΣΤΑΘΟΠΟΥΛΟΥ
Βιολογικοί δείκτες
- Πρωτεϊνομική επιστήμη
Φ. ΤΖΩΡΤΖΑΤΟΥ - ΣΤΑΘΟΠΟΥΛΟΥ
Κλινική ετερογένεια μιτοχονδριακών νοσημάτων
Ε. ΔΡΟΓΚΑΡΗ
Κινητό τηλέφωνο
και παιδί
Λ. ΘΩΜΑΪΔΟΥ
Μετατραυματική
Συνδρομή Στρες στην παιδική και εφηβική ηλικία
Π. ΠΕΡΒΑΝΙΔΟΥ
ΒΙΟΛΟΓΙΚΟΙ ΔΕΙΚΤΕΣ -
ΠΡΩΤΕΪΝΟΜΙΚΗ ΕΠΙΣΤΗΜΗ
Φ.
Τζωρτζάτου - Σταθοπούλου: Η
διατύπωση του κεντρικού δόγματος της μοριακής βιολογίας ότι τα γονίδια απαρτίζονται
από αλληλουχίες νουκλεοτιδίων του DNA, που μεταγράφονται σε mRNA και στη συνέχεια
μεταφράζονται σε πρωτεΐνη και στη δημιουργία συγκεκριμένης πρωτεΐνης από το
γονίδιο, έδωσε νέα ώθηση στη Μοριακή Βιολογία (εικόνα 1).
Η ανακάλυψη των μοριακών αποτυπωμάτων των διαφόρων νοσημάτων, όπου νέες μοριακές
γνώσεις μεταφράζονται στην κλινική πράξη, θα συντελέσει στην έγκαιρη ανίχνευση
νοσημάτων, χρησιμοποιώντας τα ως βιολογικούς δείκτες.
Βιολογικοί δείκτες θεωρούνται τα μόρια ή οι δομές ή οι ειδικές επεξεργασίες
που μπορούν να προσδιοριστούν σε οιαδήποτε βιολογική κατάσταση. Οι βιολογικοί
δείκτες μπορούν να ανιχνευθούν κατά τη διάρκεια της έναρξης, της ανάπτυξης,
της πορείας της νόσου και κατά τη διάρκεια της θεραπείας. Σε ιδεατές καταστάσεις,
ένας βιολογικός δείκτης θα πρέπει να αναλύεται εύκολα, να είναι ικανός να αναγνωρίζει
τον πληθυσμό υψηλού κινδύνου, να μην είναι πολυδάπανος και ο προσδιορισμός του
να μην είναι χρονοβόρος.
Το λειτουργικό γονιδίωμα χρησιμοποιείται ως πηγή νέων βιολογικών δεικτών για
διάφορα νοσήματα.
Στη σημερινή ομιλία θα περιοριστώ μόνο σε ένα βασικό νόσημα όπως είναι ο καρκίνος
και θα συζητηθούν οι διάφορες κατηγορίες βιολογικών δεικτών (γονιδιωματικοί
- πρωτεϊνομικοί) και οι μελλοντικές προοπτικές. Οι ομάδες των βιολογικών καρκινικών
δεικτών φαίνονται στον πίνακα 1.
Γονιδιωματικοί
βιολογικοί δείκτες
Οι γονιδιωματικοί βιολογικοί δείκτες ταξινομούνται περαιτέρω σε:
- DNA του πλάσματος,
- απώλεια αλληλόμορφων γονιδίων,
- μεταλλάξεις στον πυρήνα ή στα μιτοχόνδρια,
- αστάθεια του γονιδιώματος.
DNA του πλάσματος
ως βιολογικός καρκινικός δείκτης
Η ανάλυση του κυκλοφορούντος DNA στο πλάσμα παρέχει την ευκαιρία για την ανίχνευση
του καρκίνου με λιγότερο επώδυνο τρόπο. Η συγκέντρωση του DNA του πλάσματος
σε φυσιολογικά δείγματα είναι 10-20ng/ml, ενώ στους καρκινοπαθείς αυξάνεται
σε 60-80ng/ml.
Τα επίπεδα του πλασματικού DNA χρησιμοποιούνται, επίσης, για την παρακολούθηση
της θεραπείας. Έτσι, το πλασματικό DNA μπορεί να χρησιμοποιηθεί ως διαγνωστικός
και προγνωστικός δείκτης.
Ο μηχανισμός προέλευσης του κυκλοφορούντος DNA δεν είναι κατανοητός. Πιθανόν
να είναι από: την κυτταρόλυση, την απόπτωση, τη νέκρωση και την απελευθέρωση
ενεργού DNA.

ΕΙΚΟΝΑ 1. Το Κεντρικό Δόγμα
της Μοριακής Βιολογίας.

ΕΙΚΟΝΑ 2. Μιτοχόνδριο, στο
στρώμα (matrix) βρίσκεται το DNA.
ΕΙΚΟΝΑ 3. Στοιχεία μιτοχονδρίου.

Απώλεια
αλληλόμορφων γονιδίων και αστάθεια του γονιδιώματος ως βιολογικοί δείκτες
Ο καρκίνος ενίοτε οδηγείται στην ανάπτυξή του από βλάβες γονιδίων ή και από
μεταβολές στην έκφρασή τους. Η βλάβη δημιουργείται κυρίως από παράγοντες όπως
είναι το κάπνισμα, η ακτινοβολία, από ιογενείς λοιμώξεις κ.λπ. Η απώλεια αλληλόμορφων
γονιδίων μπορεί να αποτελέσει συνεισφορά στην ανίχνευση του καρκίνου, χρησιμοποιώντας
τα ως βιολογικούς δείκτες. Συνηθισμένες γενετικές ανωμαλίες είναι οι απώλειες
ογκοκατασταλτικών γονιδίων που συμβάλλουν στην ανάπτυξη του καρκίνου.
Αστάθεια των μικροδορυφόρων (microsatellite) έχει χρησιμοποιηθεί ως βιολογικός
δείκτης στην ανίχνευση του καρκίνου με υψηλά επίπεδα ευαισθησίας και ειδικότητας.
Οι μικροδορυφόροι του DNA είναι περιοχές στο ανθρώπινο γονιδίωμα διάσπαρτα κατανεμημένες,
ως επαναλαμβανόμενες ακολουθίες μόνο- ή δι-νουκλεοτιδίων (και σπανιότερα περισσοτέρων
νουκλεοτιδίων), που συσχετίζονται με την ικανότητα επιδιόρθωσης επίκτητων βλαβών
που συσσωρεύονται στο DNA.
Ο αριθμός των επαναλήψεων των ακολουθιών διαφέρει ανάμεσα στα άτομα ενός πληθυσμού
ή ενός είδους και αυτές οι ειδικές ακολουθίες του DNA χρησιμοποιούνται ως βιολογικοί
δείκτες. Περίπου το 1% μόνο του DNA μας διαφέρει από αυτό οποιουδήποτε άλλου
ατόμου. Αυτή η μικρή διαφορά μπορεί να ασκήσει σημαντική επίδραση στην υγεία
μας, καθορίζοντας την ευαισθησία μας στις ασθένειες και την απάντησή μας στα
φάρμακα.
Γονιδιακές μεταλλάξεις
ως δείκτες
Στους περισσότερους τύπους
καρκίνου ανιχνεύονται μεταλλάξεις σε γονίδια που συνεισφέρουν στην ανάπτυξή
του, π.χ. μεταλλάξεις ανιχνεύονται στα mucins γονίδια (MUC1 thru MUC17) στον
καρκίνο του μαστού, του εντέρου, του στομάχου και του πνεύμονα.
Τα mucins κωδικοποιούν γλυκοπρωτεΐνες που προφυλάσσουν τα επιθήλια.
Μεταλλάξεις του γενετικού υλικού είναι χρήσιμες όχι μόνο στην ανίχνευση του
καρκίνου, αλλά και στην παρακολούθηση ή τη διασπορά της νόσου και την πρόγνωση.
Μεταλλάξεις έχουν ανευρεθεί:
- p53 και του K-ras στα κόπρανα ασθενών με καρκίνο του παχέος εντέρου.
- CDKN2A και p53 στον καρκίνο του οισοφάγου.
- BRCA1 και BRCA2 στον καρκίνο του μαστού.
- p53 και K-ras στον καρκίνο της χοληδόχου κύστης.
- p53 και K-ras και beta catenin στο λέμφωμα.
- Caveolin-1 στους καρκίνους του στόματος.
- p53 EGFR3 TP53 στον ουροεπιθηλιακό καρκίνο.
- Η kallikrein στον παγκρεατικό καρκίνο.

ΕΙΚΟΝΑ 4. Στην control region
αρχίζει η μεταγραφή (D-loop περιοχή).

ΕΙΚΟΝΑ 5. Συνεισφορά του μητρικού DNA στα νοσήματα.

ΕΙΚΟΝΑ 6. Διάφορες μεταλλάξεις.

ΕΙΚΟΝΑ 7. Απώλειες DNA.
ΕΙΚΟΝΑ 8. Μεταφραστικές τροποποιήσεις των πρωτεϊνών.
Μεταλλάξεις
του DNA των μιτοχονδρίων ως δείκτης έγκαιρης διάγνωσης του καρκίνου
Τα μιτοχόνδρια θεωρούνται
από τα πιο σημαντικά οργανίδια του κυττάρου και επιτελούν σπουδαίες λειτουργίες,
εκτός της παραγωγής του ΑΤΡ. Αυτή η ποικιλία των λειτουργιών ανταποκρίνεται
και στην ποικιλία των μιτοχονδριακών νοσημάτων. Μερικές μιτοχονδριακές λειτουργίες
επιτελούνται μόνο σε ειδικό τύπο μιτοχονδρίων.
Επίσης, συμμετέχουν και σε άλλες λειτουργίες όπως στην απόπτωση, στον κυτταρικό
πολλαπλασιασμό, στη σύνθεση της αίμης, στη σύνθεση στεροειδών κ.λπ.
Τα μιτοχόνδρια περιέχουν τα δικά τους ιδιαίτερα μόρια DNA, RNA και ένα πλήρες
σύστημα μεταγραφής και μετάφρασης που περιλαμβάνει και ριβοσώματα. Έτσι, έχουν
τη δυνατότητα να συνθέτουν ορισμένες από τις πρωτεΐνες τους. Το DNA του μιτοχονδρίου
κατά το πλείστον είναι μητρικό (εικόνες 2, 3, 4, 5).
Ένας αριθμός μεταλλάξεων, απωλειών και εισχωρήσεων (insertions) στο μιτοχονδριακό
DNA έχει συνδυαστεί με ορισμένα νοσήματα (εικόνες 6, 7).
Επειδή το μιτοχονδριακό DNA δεν μπορεί να προσδιοριστεί πάντα, έχει γίνει αποδεκτό
να ελέγχεται και να γίνεται ανάλυση των μεταλλάξεων στον καρκίνο, στην περιοχή
όπου αρχίζει η μεταγραφή.
Η περιοχή αυτή των μιτοχονδρίων έχει υψηλό κίνδυνο μεταλλάξεων σε σύγκριση με
τις μεταλλάξεις άλλων περιοχών του μιτοχονδριακού γονιδιώματος και έχει αναγνωριστεί
ως μια μεταλλαξιογόνος θερμή κηλίδα που μεταλλάσσεται σε πολύ πρώιμα στάδια
στον καρκίνο.
Περίπου το 61% των καρκίνων του μαστού έχουν μεταβολές στην αλληλουχία του μιτοχονδριακού
DNA.
Μερικές μεταλλαγμένες θερμές κηλίδες (hotspots) του μιτοχονδριακού DNA έχουν
παρατηρηθεί στο ηπατοκυτταρικό καρκίνωμα (HCC).
Το HCC αυξάνεται ταχέως σε όλο τον κόσμο και χρειάζεται να ανευρεθούν ευαίσθητοι
δείκτες ανίχνευσης, εκτός από την α-φετοπρωτεΐνη που χρησιμοποιείται σήμερα.
Επιγενετικοί
βιολογικοί δείκτες
Η μεθυλίωση του DNA θεωρείται
ένας από τους σπουδαιότερους επιγενετικούς βιολογικούς δείκτες στον καρκίνο.
Ως μεθυλίωση θεωρείται η διεργασία με την οποία προστίθενται μεθυλομάδες (CH3)
σε ορισμένα νουκλεοτίδια του γονιδιακού DNA. Αυτό επηρεάζει την έκφραση των
γονιδίων, επειδή το μεθυλιωμένο DNA δεν μεταγράφεται εύκολα.
Η μεθυλίωση του DNA θεωρείται ότι παίζει σημαντικό αναπτυξιακό ρόλο, περιορίζοντας
διαδοχικά τα γονίδια που είναι διαθέσιμα προς μεταγραφή.
Πιστεύεται ότι η ανώμαλη μεθυλίωση είναι ένας από τους κύριους μηχανισμούς αδρανοποίησης
των ογκοκατασταλτικών γονιδίων σε μια ποικιλία καρκίνων, όπου ο αριθμός των
μεθυλιωμένων γονιδίων υπολογίζεται υψηλός.
Το επίπεδο της μεθυλίωσης ενός γονιδίου αυξάνεται με την εξελικτική πορεία του
καρκίνου και η μεθυλίωση μεταβιβάζεται στους θυγατρικούς κλώνους κατά τη μίτωση.
Επειδή η υπερμεθυλίωση μπορεί να διατηρηθεί κατά τη διάρκεια της χημειοθεραπείας,
η εμπλοκή αυτών των δεικτών στον καρκίνο είναι κολοσσιαία.
Αν και η σπουδαιότητα της υπερμεθυλίωσης του προαγωγέα (που χάνουν τα γονίδια
την έκφρασή τους) είναι εμφανής, οι ακριβείς μηχανισμοί που εμπλέκονται παραμένουν
αδιευκρίνιστοι.
Επιπλέον, εάν η μεθυλίωση του προαγωγέα είναι το αρχικό ή το δευτεροπαθές γεγονός
στην εξελικτική πορεία του καρκίνου, δεν έχει ακόμη διευκρινισθεί.
Οι πανταχού παρούσες αλλαγές μεθυλίωσης του DNA έχουν ανοίξει το δρόμο για καινοτόμες
διαγνωστικές και θεραπευτικές στρατηγικές.
Τελευταίες πρόοδοι επιβεβαιώνουν τη μεγάλη υπόσχεση των δεικτών της DNA μεθυλίωσης
ως ένα ισχυρό μελλοντικό εργαλείο στην κλινική πράξη.
Η τρέχουσα τεχνολογία μπορεί να χρησιμοποιήσει πολύ λίγο έως 30pg DNA για την
ανάλυση της μεθυλίωσης και 1 μεθυλίωση από τις 1600 αμεθυλίωτες περιοχές μπορεί
να ανιχνευθεί εύκολα.

ΕΙΚΟΝΑ 9. Από τη γονιδιωματική
στην πρωτεϊνομική επιστήμη.

ΕΙΚΟΝΑ 10. Σύνθεση της πρωτεΐνης.

ΕΙΚΟΝΑ 11. Προσθήκη αμινοξέων για τη σύνθεση της πρωτεΐνης.

ΕΙΚΟΝΑ 12. Μιτοχόνδριο με δικά του ριβοσώματα.
Πρωτεϊνομική
Επιστήμη
Τι είναι τόσο σπουδαίο στη γονιδιακή έκφραση;
Η γνώση της λειτουργίας
των γονιδίων, γνωρίζοντας που, πότε και σε τι έκταση ένα γονίδιο εκφράζεται,
είναι σημαντική για την κατανόηση της δράσης και του βιολογικού ρόλου της πρωτεΐνης
που θα κωδικοποιήσει και οι πρωτεΐνες παρασκευάζονται όταν, όπου και σε ικανές
ποσότητες που χρειάζονται και δεν παράγονται όταν η παρουσία τους είναι βλαβερή.
Τα γονίδια -και μάλιστα όχι όλα- μεταφέρουν εντολές που συνθέτουν και ενεργοποιούν
τον πολύπλοκο ρόλο της σύνθεσης των πρωτεϊνών με τρόπο που ακόμη δεν έχει πλήρως
κατανοηθεί.
Υπάρχει λογική σχέση μεταξύ της λειτουργίας της πρωτεΐνης και της κατάστασης
του βιολογικού συστήματος, εξασφαλίζοντας ότι τα τελικά προϊόντα που είναι οι
πρωτεΐνες έχουν τις κατάλληλες μοριακές ιδιότητες (ενζυματική δραστικότητα,
δεσμευτική ικανότητα κ.λπ.).
Το 1838, ο Berzelius πρότεινε πρώτος τον όρο "πρωτεΐνη" από την ελληνική
λέξη, για την πολύπλοκη, οργανική, αζωτούχο ουσία που απαντά στα κύτταρα όλων
των ζώων και των φυτών. Πράγματι, ο πρωτεύον ρόλος ανήκει στις πρωτεΐνες.
Οι πρωτεΐνες αποτελούν το μεγαλύτερο μέρος της ξηρής μάζας ενός κυττάρου και
όταν εξετάζουμε ένα κύτταρο με το μικροσκόπιο ή όταν αναλύουμε την ηλεκτρική
ή τη βιοχημική δραστηριότητά του, στην ουσία παρατηρούμε τις πρωτεΐνες.
Οι πρωτεΐνες επιτελούν σχεδόν όλες τις κυτταρικές λειτουργίες.
Πρόσφατα, ένας νέος όρος έκανε την εμφάνισή του, το "proteome" (πρωτέωμα
ή πρωτεΐνωμα) που αναφέρεται στο σύνολο των πρωτεϊνών που μεταφράζονται από
το mRNA σε δεδομένη στιγμή και κατάσταση.
Το πρωτεΐνωμα είναι το πλέον σημαντικό στοιχείο του κυττάρου και διαφέρει από
το μεταγράφημα στο ότι είναι δυνατόν ένα μέρος μόνο από τα mRNAs τελικά να μεταφράζεται
σε πρωτεΐνες φυσιολογικές ή παθολογικές. Περίπου το 20% των γονιδίων εκφράζονται
σε ένα κύτταρο και πολλά γονίδια μπορεί να είναι ειδικά στη σύνθεση πολλαπλών
πρωτεϊνών κατά τη διάρκεια της μεταγραφής.
Κάθε γονίδιο μπορεί να καθορίσει 10 ή περισσότερους τύπους πρωτεϊνών. Μία πρωτεΐνη
και μόνο είναι δυνατόν να αλλάξει τον τύπο του κυττάρου.
Με λίγες εξαιρέσεις (germ - line cells, ερυθροκύτταρα και τα κύτταρα του όγκου),
σχεδόν οι 200 τύποι διαφορετικής ειδικότητος κυττάρων έχουν το ίδιο γενετικό
υλικό. Εν τούτοις διαφέρουν σημαντικά, ανάλογα με το ποια γονίδια εκφράζονται
σε πρωτεΐνες.
Το πρωτεΐνωμα είναι δυναμικό, λόγω των αλλαγών που υφίστανται οι πρωτεΐνες,
κάθε δεδομένη στιγμή και κατάσταση π.χ. τροποποιήσεις, αλληλεπιδράσεις κ.λπ.,
ανάλογα με τις φυσιολογικές ανάγκες του κάθε οργανισμού (σε αντίθεση με το γονιδίωμα
που είναι στατικό) (εικόνα 8).
Ως πρωτεϊνομική σήμερα ορίζεται η επιστήμη που μελετά τις ιδιότητες των πρωτεϊνών
(επίπεδα έκφρασης, μεταφραστικές τροποποιήσεις, αλληλεπιδράσεις κ.λπ.) σε ευρείας
κλίμακας αποτελέσματα, σε σφαιρική άποψη της πορείας της νόσου και των κυτταρικών
προγραμμάτων (εικόνα 9).
Σε ένα κύτταρο, η σύνθεση της πρωτεΐνης ποικίλει, εκσεσημασμένως εξαρτώμενη
από τον τύπο του κυττάρου, την ηλικία του, την υγεία του και από τις περιβαλλοντικές
καταστάσεις.
Τα περισσότερα νοσήματα που συνδέονται με την ηλικία παρουσιάζουν βλάβη των
πρωτεϊνών που εμπλέκονται στην κυτταρική ρύθμιση.
Αυτονόητη προϋπόθεση για την εκδήλωση ενός πρωτοπαθούς γενετικού νοσήματος είναι
η ύπαρξη γονιδιακής εκτροπής, εξαιτίας της οποίας διαταράσσεται ποιοτικά ή ποσοτικά
η σύνθεση των πρωτεϊνών, οι οποίες μετέχουν είτε άμεσα είτε μέσω ενζυμικής λειτουργίας,
στη σύνθεση των επιμέρους στοιχείων των αντιστοίχων ιστών.
Η σύνθεση όλων σχεδόν των πρωτεϊνών ενός κυττάρου αρχίζει στα ριβοσώματα του
κυτταροδιαλύματος. Εξαιρέσεις αποτελούν λίγες πρωτεΐνες των μιτοχονδρίων, που
συντίθενται στα ριβοσώματα που βρίσκονται στο εσωτερικό αυτών των οργανιδίων.
Οι περισσότερες, όμως, πρωτεΐνες συντίθενται στο κυτταροδιάλυμα και στη συνέχεια
εισάγονται στο μιτοχόνδριο (εικόνες 10, 11, 12).
Οι πρωτεΐνες είναι φτιαγμένες με τόση ακρίβεια, ώστε η μεταβολή και λίγων ατόμων
σε ένα αμινοξύ μπορεί να διαταράξει τη δομή της και να προκαλέσει καταστροφική
απώλεια της λειτουργίας της.
Η δυνατότητα των πρωτεϊνών να επιτελούν τόσες πολλές και διαφορετικές λειτουργίες
προκύπτει από τον τεράστιο αριθμό διαφορετικών τρισδιάστατων στερεοδομών που
μπορεί να προσλάβουν. Η λειτουργία ακολουθεί τη δομή. Οι πρωτεΐνες εμφανίζουν
τη μεγαλύτερη πολυπλοκότητα από όλα τα γνωστά μόρια. Τα πρωτεϊνικά μόρια είναι
"άσοι στις μεταμορφώσεις", αφού συστρέφονται σε διάφορες δομές που
καθορίζουν τις ιδιαίτερες λειτουργίες τους. Σε αυτό έγκειται και η δυσκολία
προσδιορισμού τους.
Ο προσδιορισμός των πρωτεϊνών γίνεται με πολλούς τρόπους, όπως ανοσοϊστοχημεία,
δύο διαστάσεων ηλεκτροφόρηση, σπεκτρομετρία μάζας, μικροσυστοιχίες πρωτεϊνών
(τσιπς πρωτεϊνών ) κ.λπ. (εικόνες 13, 14, 15).
Τι είναι η ανάλυση με μικροσυστοιχίες;
Η τεχνολογία των μικροσυστοιχιών είναι νέα ερευνητική τεχνική που επιτρέπει
την ανάλυση χιλιάδων γονιδίων ή πρωτεϊνών ταυτοχρόνως και προσδιορίζει την έκφρασή
τους. Μπορεί να παράγει ένα γρήγορο αποτέλεσμα για ποια γονίδια ή πρωτεΐνες
είναι ενεργά ή ανενεργά σε καρκίνο ή προ-καρκινικές καταστάσεις ή φυσιολογικά
και παρέχει σημαντικές πληροφορίες για τη μοριακή πορεία του καρκίνου. Επίσης,
μπορεί να χρησιμοποιηθούν και στη μελέτη της καρκινογένεσης (εικόνα 16).
Σκοποί της έρευνας του πρωτεϊνώματος:
1. Αναγνωριστικός στόχος για την ανακάλυψη και ανάπτυξη φαρμάκων. Τα περισσότερα
φαρμακευτικά ενεργά προϊόντα έχουν ως στόχο τις πρωτεΐνες.
2. Ιδανική διαδικασία για τη δημιουργία ανασυνδυασμένων πρωτεϊνών.
3. Για διαγνωστικούς σκοπούς, π.χ. βιολογικοί δείκτες.

ΕΙΚΟΝΑ 13. Πολυπλοκότητα
ελέγχου πρωτεϊνών.

ΕΙΚΟΝΑ 14. Ανοσοϊστοχημεία πρωτεϊνών.

ΕΙΚΟΝΑ 15. Μέθοδοι ελέγχου πρωτεϊνών (μικροσυστοιχίες - τσιπ).

ΕΙΚΟΝΑ 16. Μικροσυστοιχία.
Στόχοι
του πρωτεϊνώματος στον καρκίνο:
Η στοιχειώδης θέση με την
ανάπτυξη της βιοτεχνολογίας του 21ου αιώνα είναι να αναπτυχθούν τα πορτραίτα
της γονιδιακής έκφρασης και η τεχνολογία των πρωτεϊνών, για να μας επιτρέψουν
να ανιχνεύουμε τον καρκίνο ενωρίτερα. Η μοριακότητα θα σταδιοποιεί τον καρκίνο
και θα μας δίδει προγνωστικές πληροφορίες για το βαθμό κακοήθειας, εξατομικεύοντας
τις θεραπείες και ερευνώντας νέους μοριακούς στόχους για την ανάπτυξη νέων φαρμάκων.
Η πρωτεϊνομική τεχνολογία, συμπεριλαμβανομένου του προφίλ των πρωτεϊνών και
η τεχνολογία των μικροσυστοιχιών για τις πρωτεΐνες, θα χρησιμοποιηθούν για την
ανίχνευση, την εκτίμηση του κινδύνου, την πρόγνωση και την υποτροπή στον καρκίνο.
Το πρωτεΐνωμα των μιτοχονδρίων είναι πολλά υποσχόμενο στο πεδίο της ανίχνευσης
του καρκίνου.
Το πλάσμα αντιπροσωπεύει τη μεγαλύτερη πηγή του πρωτεϊνώματος και οι πρωτεΐνες
που εκφράζονται σε ένα κύτταρο είναι ένα βήμα πλησιέστερα προς τη λειτουργία,
σε αντίθεση με το γονιδίωμα.
Δεδομένου ότι οι περισσότερες μελέτες παράγουν νέα στοιχεία, οι γιατροί αρχίζουν
να χρησιμοποιούν το πρωτεΐνωμα ως νέα πηγή ενδείξεων που βοηθούν στην πρόληψη,
στην έγκαιρη διάγνωση του καρκίνου και στην πρόβλεψη της έκβασης. Στο μέλλον,
η ανάλυση ενός μόνο κυττάρου και η νανοτεχνολογία θα μας επιτρέπουν να μελετούμε
την ετερογένεια και τις πολύπλοκες αλληλεπιδράσεις με ακρίβεια.
Συμπερασματικά, τα τελευταία χρόνια, το γονιδίωμα χρησιμοποιείται για την αναγνώριση
βιολογικών δεικτών συνδεδεμένων με την έναρξη και την ανάπτυξη νοσημάτων. Βιολογικοί
δείκτες θεωρούνται τα μόρια, ή οι δομές, ή οι ειδικές επεξεργασίες που μπορούν
να προσδιοριστούν σε οιαδήποτε βιολογική κατάσταση.
Οι βιολογικοί δείκτες θα μπορούν να χρησιμοποιηθούν για την έγκαιρη διάγνωση
νοσημάτων, για την παρακολούθηση και την ανταπόκριση στη θεραπεία.
Οι σπουδαιότεροι βιολογικοί δείκτες προέρχονται από το γονιδίωμα και το πρωτέωμα
ή πρωτεΐνωμα (σύνολο πρωτεϊνών) και είναι κατάλληλοι για κλινική εφαρμογή.
Μερικοί από τους δείκτες αυτούς που χρησιμοποιούνται για τον καρκίνο είναι:
- DNA του πλάσματος,
- απώλεια αλληλόμορφων γονιδίων,
- μεταλλάξεις στον πυρήνα ή στα μιτοχόνδρια,
- αστάθεια του γονιδιώματος.
Μεταλλάξεις του DNA των μιτοχονδρίων θα έχουν μελλοντική σημαντική εφαρμογή
ως δείκτης έγκαιρης διάγνωσης διαφόρων νοσημάτων.
Η γνώση της λειτουργίας των γονιδίων, γνωρίζοντας που, πότε και σε τι έκταση
ένα γονίδιο εκφράζεται, είναι σημαντική για την κατανόηση της δράσης και του
βιολογικού ρόλου της πρωτεΐνης που θα κωδικοποιήσει. Οι πρωτεΐνες πρέπει να
παράγονται όταν, όπου και σε ικανές ποσότητες που χρειάζονται και δεν πρέπει
να παράγονται όταν η παρουσία τους είναι βλαβερή. Το πρωτεΐνωμα που αναφέρεται
στο σύνολο των πρωτεϊνών σε δεδομένη στιγμή και κατάσταση, είναι το πλέον σημαντικό
στοιχείο του κυττάρου.
Τα πορτραίτα της γονιδιακής έκφρασης και η πρωτεϊνομική επιστήμη θα επιτρέψουν
να ανιχνεύεται ο καρκίνος έγκαιρα, η μοριακότητα θα σταδιοποιεί τον καρκίνο
και θα δίδει προγνωστικές πληροφορίες για το βαθμό κακοήθειας, οπότε θα εξατομικεύονται
οι θεραπείες και θα ερευνώνται νέοι μοριακοί στόχοι για την ανάπτυξη νέων φαρμάκων.
Η πρωτεϊνομική τεχνολογία, χρησιμοποιώντας τα τσιπς πρωτεϊνών και μελετώντας
χιλιάδες πρωτεΐνες ταυτοχρόνως, θα χρησιμοποιηθεί στην πρόληψη του καρκίνου,
στην ανίχνευση - εκτίμηση του κινδύνου, έγκαιρη διάγνωση - πρόγνωση και πρόβλεψη
της έκβασης. Επίσης, το πρωτεΐνωμα θα μπορεί να χρησιμοποιηθεί και για τον έλεγχο
των καρκινογόνων ουσιών και των ευαίσθητων ατόμων σε καρκινογόνες ουσίες. Το
πρωτεΐνωμα των μιτοχονδρίων είναι πολλά υποσχόμενο στο πεδίο της μελλοντικής
έγκαιρης ανίχνευσης του καρκίνου.
ΚΛΙΝΙΚΗ ΕΤΕΡΟΓΕΝΕΙΑ ΜΙΤΟΧΟΝΔΡΙΑΚΩΝ
ΝΟΣΗΜΑΤΩΝ
Ε. Δρογκάρη:
Τα μιτοχονδριακά νοσήματα περιεγράφησαν για πρώτη φορά από τον Luft πριν από
43 χρόνια (1962). Υπολογίζεται ότι η συχνότητά τους είναι από 1:5.000-1:10.000
γεννήσεις. Εμπλέκονται περίπου 800 διαφορετικές πρωτεΐνες.
Τα μιτοχόνδρια περιέχουν πρωτεΐνες που κωδικοποιούνται τόσο από το πυρηνικό,
όσο και από το μιτοχονδριακό DNA. Το γονιδίωμα του μιτοχονδρίου (mtDNA) κληρονομείται
από τη μητέρα. Έχουν περιγραφεί ανωμαλίες στα σύμπλοκα Ι, ΙΙ, ΙΙΙ και IV, στο
κυτόχρωμα c, στη συνθάση της ΑΤΡ και στη βιοσύνθεση της ουμπικινόνης. Οι περισσότερες
μεταλλάξεις των μιτοχονδριακών πρωτεϊνών έχουν ως αποτέλεσμα τη συσσώρευση γαλακτικού
οξέος, ενός προϊόντος του αναερόβιου μεταβολισμού της γλυκόζης και τη μείωση
της παραγωγής ΑΤΡ, η οποία είναι δυνατό να οδηγήσει σε κυτταρικό θάνατο, ιδιαίτερα
στους σκελετικούς μυς, στο μυοκάρδιο και στο νευρικό ιστό, που είναι ιστοί με
κατεξοχήν αερόβιο μεταβολισμό. Έτσι, τα μιτοχονδριακά νοσήματα χαρακτηρίζονται
συχνά από μυοπάθεια, μυοκαρδιοπάθεια και εγκεφαλοπάθεια. Παρ' όλο που δεν υπάρχει
ομοφωνία, υπάρχουν μερικές ενδείξεις ότι η χορεία του Huntington, η νόσος του
Parkinson και η νόσος του Alzheimer, επίσης, είναι δυνατό να σχετίζονται με
νόσο των μιτοχονδρίων.

ΕΙΚΟΝΑ 1. Γενική δομή του
μιτοχονδρίου και συνοπτική παρουσίαση των κύριων οδών μετατροπής της ενέργειας.
Η οξείδωση των καύσιμων ενώσεων οδηγεί στην παραγωγή NADH και FADH2. H οξείδωση
των ανηγμένων ενζύμων, μέσω του συστήματος μεταφοράς ηλεκτρονίων, ανάγει το
οξυγόνο σε νερό και αντλεί τα πρωτόνια στο εξωτερικό της εσωτερικής μεμβράνης
του μιτοχονδρίου (στο διαμεμβρανικό χώρο). Η εισροή των πρωτονίων πίσω στη μήτρα
του μιτοχονδρίου παρέχει την ενέργεια που απαιτείται για τη σύνθεση ΑΤΡ από
τη συνθάση της ΑΤΡ.

ΕΙΚΟΝΑ 2. Ένα τμήμα του συστήματος
μεταφοράς ηλεκτρονίων στην εσωτερική μεμβράνη του μιτοχονδρίου.
Acyl CoA: ακυλοσυνένζυμο.
Α, cyt: κυτόχρωμα.
Μετατροπή ενέργειας
από τα ανηγμένα συνένζυμα σε φωσφορικές ενώσεις υψηλής ενέργειας
Η οξείδωση των ανηγμένων
νουκλεοτιδίων από το σύστημα μεταφοράς ηλεκτρονίων, έχει ως αποτέλεσμα την απελευθέρωση
μεγάλης ποσότητας ελεύθερης ενέργειας. Όταν η οξείδωση ενός γραμμομορίου NADH
είναι συζευγμένη με την αναγωγή ½ γραμμομορίου οξυγόνου με αποτέλεσμα το σχηματισμό
νερού, η ενέργεια που παράγεται είναι θεωρητικά αρκετή για τη σύνθεση επτά γραμμομορίων
ΑΤΡ:
NADH + H+ + ½O2 NAD+ + H2O
ΔGο' = 229 kJ/mol (-52,4kcal/mol)
και επομένως, εφόσον
η ΔGο' για την ΑΤΡ είναι -30,5 kJ/mol έχουμε:
-220 / -30,5 = 7,2 mol ΑΤΡ/mol NADH (θεωρητικά)
Όπως εξηγείται παρακάτω,
το πραγματικό ενεργειακό κέρδος είναι 3 γραμμομόρια ΑΤΡ ανά γραμμομόριο NADH
που οξειδώνεται.
Η ελεύθερη ενέργεια της οξείδωσης του NADH δημιουργεί στην ουσία ένα ηλεκτρικό
ρεύμα, που χρησιμοποιείται για την άντληση πρωτονίων στο εξωτερικό της εσωτερικής
μεμβράνης του μιτοχονδρίου από τρία σύμπλοκα μεταφοράς ηλεκτρονίων (βλέπε παρακάτω).
Αυτά τα πρωτόνια μπορούν να εισέλθουν πάλι στη μήτρα του μιτοχονδρίου μόνο μέσω
ενός συμπλόκου συνθάσης ΑΤΡ. Κατά τον ίδιο τρόπο που η πίεση του νερού πίσω
από έναν υδατοφράκτη χρησιμοποιείται για την παραγωγή ηλεκτρικής ενέργειας,
η κλίση της συγκέντρωσης των πρωτονίων εκατέρωθεν της εσωτερικής μεμβράνης του
μιτοχονδρίου αποτελεί την πηγή της ελεύθερης ενέργειας που απαιτείται για τη
σύνθεση της ΑΤΡ. Το σύμπλοκο της συνθάσης της ΑΤΡ θα μπορούσε να θεωρηθεί ένας
μοριακός κινητήρας - μια τουρμπίνα που κινείται από ένα ρεύμα πρωτονίων.


Το σύστημα μεταφοράς
ηλεκτρονίων του μιτοχονδρίου
Όλο το σύστημα μεταφοράς
ηλεκτρονίων, που είναι επίσης γνωστό ως αλυσίδα μεταφοράς ηλεκτρονίων ή αναπνευστική
αλυσίδα, βρίσκεται στην εσωτερική μεμβράνη του μιτοχονδρίου. Περιλαμβάνει μερικά
μεγάλα πρωτεϊνικά σύμπλοκα και δύο μικρά ανεξάρτητα συστατικά, την ουμπικινόνη
και το κυτόχρωμα c. Τα ηλεκτρόνια διοχετεύονται με καθορισμένη αλληλουχία από
τα ανηγμένα συνένζυμα μέσω αυτού του συστήματος στο οξυγόνο και οι μεταβολές
της ελεύθερης ενέργειας αυτών των αντιδράσεων μεταφοράς χρησιμοποιείται για
τη μεταφορά των πρωτονίων από τη μήτρα στο διαμεμβρανικό χώρο.
Υπάρχουν τέσσερα σημεία εισόδου των ηλεκτρονίων στο σύστημα μεταφοράς τους:
ένα για το NADH (σύμπλοκο Ι) και τρία για το FADH2 (σύμπλοκο ΙΙ). Αυτές οι οδοί
συναντώνται στο μικρό λιπόφιλο μόριο ουμπικινόνη (συνένζυμο Q10) στην αρχή της
κοινής οδού μεταφοράς των ηλεκτρονίων, στην οποία συμμετέχει το σύμπλοκο ΙΙΙ,
το κυτόχρωμα c και το σύμπλοκο IV. Τα πρωτόνια αντλούνται από τη μήτρα στο διαμεμβρανικό
χώρο από τρία μόνο από τα τέσσερα σύμπλοκα (τα Ι, ΙΙΙ και IV). Ο τελικός δέκτης
των ηλεκτρονίων στο τέλος της αλυσίδας είναι το μοριακό οξυγόνο, το οποίο ανάγεται
σε νερό. Για κάθε δύο γραμμομόρια που μεταφέρονται από τα σύμπλοκα Ι, ΙΙΙ και
IV, αντλείται επαρκής αριθμός πρωτονίων για τη σύνθεση περίπου ενός γραμμομορίου
ΑΤΡ. Αν η μεταφορά των ηλεκτρονίων αρχίσει με ένα ζεύγος ηλεκτρονίων από το
NADH, συντίθενται περίπου τρία γραμμομόρια ΑΤΡ, ενώ ένα ζεύγος ηλεκτρονίων από
το FADH2 αποδίδει περίπου δύο γραμμομόρια ΑΤΡ, επειδή η αντλητική λειτουργία
του συμπλόκου Ι παρακάμπτεται από εκείνη του συμπλόκου ΙΙ.
Η διαγνωστική προσπέλαση των ασθενών με μιτοχονδριακή βλάβη είναι δύσκολη και
χρονοβόρα, τόσο λόγω της μεγάλης κλινικής ετερογένειας, όσο και λόγω της πολυπλοκότητας
των μεθόδων διάγνωσης. Ως παράδειγμα, το ένζυμο NADH - CoQ oxidoreductase έχει
τα εξής χαρακτηριστικά:
NADH - CoQ oxidoreductase
- ~103 KDa ενζυμικό σύμπλοκο
- Ελάχιστη γνώση για τη στοιχειομετρία και ρύθμιση του συμπλόκου
- 45 υποομάδες 7 κωδικοποίηση από μιτο- χονδριακό γονιδίωμα
38 κωδικοποίηση από πυρηνικό γονιδίωμα
- Ελάχιστη γνώση για το ρόλο των υποομάδων
- 43 δομικά γονίδια -> απόδειξη γενετικής διαταραχής (μεταλλάξεις) μόνο σε
8 από 20 ασθενείς με ανεπάρκεια του ενζύμου (40%).
Υπολογίζεται ότι για την πλήρη διερεύνησή του, ένας έμπειρος εργαστηριακός πρέπει
να ασχοληθεί αποκλειστικά επί πολλές εβδομάδες!
Τα μιτοχονδριακά νοσήματα οφείλονται σε μεταλλάξεις ή ελλείμματα του μιτοχονδριακού
DNA (πίνακες 1, 2) ή διαταραχές του πυρήνα (πίνακας 3).
Ο κλινικός ιατρός πρέπει να συμβουλεύεται αυτούς τους πίνακες για να κατευθύνει
τη διαγνωστική του σκέψη ανάλογα με τα κλινικά, βιοχημικά ευρήματα και το οικογενειακό
ή ατομικό ιστορικό του ασθενούς.
Σε κάθε αδιευκρίνιστο οξύ, χρόνιο, προοδευτικό ή υποτροπιάζον νόσημα με πολυσυστηματική,
κυρίως, συμμετοχή (3 συστήματα τουλάχιστον), πρέπει να τίθεται η υποψία μιτοχονδριακής
διαταραχής. Φυσιολογικά επίπεδα γαλακτικού οξέος και φυσιολογική ιστοχημική
εξέταση μυός δεν αποτελούν αντένδειξη για περαιτέρω διερεύνηση.
ΚΙΝΗΤΟ ΤΗΛΕΦΩΝΟ ΚΑΙ ΠΑΙΔΙ
Λ. Θωμαΐδου:
Η δυνατότητα τηλεφωνικής
επικοινωνίας παντού και πάντα, στο σπίτι ή στο δρόμο, σε όλο τον κόσμο, με τον
ίδιο αριθμό τηλεφώνου, χωρίς περιορισμούς από καλώδια και με δυνατότητα ταυτόχρονης
χρήσης πολυμέσων, επιτυγχάνεται με την Κινητή Τηλεφωνία (ΚΤ).
Τα Κινητά Τηλέφωνα (ΚΤ) έχουν μπει για τα καλά στη ζωή μας και προβλέπεται ότι
η χρήση τους θα αυξηθεί ακόμη περισσότερο.
Επιδημιολογία
- Μέγεθος προβλήματος
Υπολογίζεται ότι σήμερα,
πάνω από 2 δισεκατομμύρια άνθρωποι παγκοσμίως χρησιμοποιούν κινητό τηλέφωνο,
ενώ κάθε ένα λεπτό αγοράζεται και μία καινούργια συσκευή.
Το ποσοστό συνδρομητών ΚΤ στην Ευρωπαϊκή Ένωση, από το 1999 έως το 2003, έχει
τριπλασιαστεί, με πρώτη την Ιταλία με 98 συνδρομητές ανά 100 κατοίκους. Στη
χώρα μας υπάρχουν περισσότεροι από 10 εκατομμύρια συνδρομητές κινητής τηλεφωνίας,
έχουν δοθεί 5.866 άδειες λειτουργίας σταθμών βάσης κινητής τηλεφωνίας, έχουν
δημιουργηθεί πάνω από 35.000 νέες θέσεις εργασίας και λειτουργούν 21 σταθμοί
μέτρησης ακτινοβολίας.
Τα παιδιά αποτελούν ένα ολοένα αυξανόμενο πληθυσμό χρηστών ΚΤ και μάλιστα συστηματικών
χρηστών.
Στη Βρετανία, κινητό τηλέφωνο έχει το 88% των παιδιών ηλικίας 11-15 ετών και
11% των παιδιών ηλικίας 5-9 ετών. Το 10% χρησιμοποιούσαν το κινητό περισσότερο
από 45 λεπτά κάθε ημέρα.
Από τα παιδιά που δεν έχουν κινητό, 100% το επιθυμούν διακαώς, 4 στις 10 φορές
το κινητό δίνεται από τους γονείς ΧΩΡΙΣ να το ζητήσει το παιδί.
Στην Ιταλία, 56% των παιδιών έχουν ΚΤ και δεν το κλείνουν ποτέ, ούτε στο σχολείο,
ούτε στην εκκλησία.
Πρόσφατα, μΙα ολλανδική εταιρεία κινητής τηλεφωνίας απέσυρε από την αγορά κινητό
τηλέφωνο που προοριζόταν αποκλειστικά για παιδιά ηλικίας 4 έως 8 ετών.
Οι έφηβοι αναφέρουν ότι χρησιμοποιούν κινητό από τα 5 τους χρόνια, λόγω κοινωνικής
πίεσης κυρίως από το σχολείο, ενώ σήμερα διαθέτουν μέχρι και 10 συσκευές!!!
Και στη χώρα μας φαίνεται ότι υπάρχει έξαρση στη χρήση ΚΤ στα παιδιά.
Από πρόσφατη έρευνα σε 917 μαθητές σχολείων από όλη τη χώρα, βρέθηκε ότι 80%
των μαθητών Γυμνασίου - Λυκείου, διαθέτουν ΚΤ, ενώ το ποσοστό στις τελευταίες
τάξεις του Δημοτικού είναι 12%.
Το 65% των μαθητών δηλώνει ότι χρησιμοποιεί το ΚΤ κατά τη διάρκεια του μαθήματος.
Πώς λειτουργεί
η κινητή τηλεφωνία
Τα κινητά τηλέφωνα είναι
συσκευές εκπομπής και λήψης ραδιοκυμάτων που φέρουν την κεραία ενσωματωμένη
μέσα στη συσκευή.
Όταν μιλάμε στο ΚΤ, στην πραγματικότητα κρατάμε μια κεραία στο χέρι μας, που
την ακουμπάμε στο κεφάλι μας και μετακινούμεθα όπου θέλουμε.
Τα πρώτα συστήματα κινητής τηλεφωνίας της δεκαετίας του ‘80 ήταν αναλογικά και
χρησιμοποιούσαν συχνότητες 450ΜΗz έως 900ΜΗz.
Τη δεκαετία του ‘90, τα αναλογικά κινητά αντικαταστάθηκαν σχεδόν πλήρως από
ψηφιακά συστήματα 2G ή GSM (είναι αυτά που χρησιμοποιούμε σήμερα), που λειτουργούν
σε υψηλότερες συχνότητες 1800-1900ΜΗz, τα οποία με τη σειρά τους έχουν ήδη αρχίσει
να αντικαθίστανται από την 3η γενιά κινητών (3G) που λειτουργούν σε ακόμη υψηλότερη
συχνότητα 1900-2200ΜΗz και που έχουν τη δυνατότητα ταυτόχρονης πρόσβασης σε
όλα τα πολυμέσα (εικόνα, video, internet, τηλεόραση).
Πέραν όμως από τις κεραίες που είναι ενσωματωμένες στις συσκευές, για να λειτουργήσει
το δίκτυο της κινητής τηλεφωνίας πρέπει να εγκατασταθούν και κεραίες σε σταθμούς
βάσης, που θα μεταφέρουν δια του αέρος τα ραδιοκύματα της ΚΤ στις συσκευές μας.
Οι σταθμοί βάσης εξυπηρετούν γεωγραφικές περιοχές που ονομάζονται κυψέλες. Είναι
εκτάσεως 25-30km η κάθε μία και αποτελούν το σύνδεσμο του χρήστη με το δίκτυο.
Αν κάποιο ΚΤ απομακρυνθεί από την κοντινή του κυψέλη, τότε η σύνδεση μεταβιβάζεται
αυτόματα στην επόμενη κυψέλη.
Όταν αυξάνεται ο αριθμός των χρηστών μιας περιοχής, τότε τοποθετούνται νέες
κεραίες στην κυψέλη για να εξυπηρετήσουν τις αυξημένες ανάγκες των χρηστών.
Ο άνθρωπος, συνεπώς, δέχεται ακτινοβολία όχι μόνο από την κεραία του ΚΤ, αλλά
και από τις κεραίες των σταθμών βάσης της ΚΤ.
Οι κεραίες των σταθμών βάσης έχουν μεγαλύτερη ισχύ από τις κεραίες των κινητών,
η επίπτωσή τους όμως στην υγεία είναι μικρότερη, γιατί βρίσκονται σε πολύ μεγαλύτερη
απόσταση από τις κεραίες των κινητών συσκευών που εφάπτονται με το σώμα μας
και η ένταση της ενέργειας της ακτινοβολίας μειώνεται ταχύτητα όταν κάποιος
απομακρύνεται από την κεραία εκπομπής τους.
Ηλεκτρομαγνητική
ακτινοβολία
Τόσο τα ΚΤ, όσο και οι κεραίες
βάσεων, εκπέμπουν και λαμβάνουν Ηλεκτρομαγνητική Ακτινοβολία (ΗΜΑ).
Η ΗΜΑ είναι ταλαντώσεις ηλεκτρομαγνητικών πεδίων, που κινούνται με την ταχύτητα
του φωτός και μεταφέρουν ενέργεια.
Ανάλογα με την προέλευσή της διακρίνεται σε φυσική (ηλιακές ακτίνες, κοσμική,
ραδιενεργά στοιχεία φλοιού γης) και τεχνητή (αυτή που προκαλείται από το ηλεκτρικό
ρεύμα, τις ηλεκτρικές συσκευές, τα ηλεκτρικά καλώδια) και ανάλογα με τη συχνότητά
της, διακρίνεται σε ιονίζουσα και μη-ιονίζουσα.
Η ιονίζουσα είναι ακτινοβολία υψηλής συχνότητας που μεταφέρει μεγάλη ενέργεια
και περιλαμβάνει τις ακτίνες Χ, τις ακτίνες γ (ραδιενέργεια) και την υπεριώδη
ακτινοβολία του ήλιου. Είναι ιδιαίτερα επικίνδυνη, γιατί η μεγάλη της ενέργεια
αποσπά ηλεκτρόνια από τους πυρήνες των κυττάρων και μπορεί να διασπάσει δεσμούς
DNA και να προκαλέσει αλλοιώσεις του γενετικού υλικού και καρκίνο.
Η μη-ιονίζουσα ακτινοβολία είναι χαμηλότερης συχνότητας και μικρότερης ενέργειας.
Είναι η ακτινοβολία στην οποία εκτιθέμεθα καθημερινά και πολλαπλώς. Δεν προκαλεί
ιονισμό και γιαυτό δεν θεωρείται τόσο επικίνδυνη.
Περιλαμβάνει το ορατό φως, την υπέρυθρη ακτινοβολία, τα μικροκύματα και τα ραδιοκύματα.
Η ακτινοβολία της κινητής τηλεφωνίας εντάσσεται στη μη-ιονίζουσα ακτινοβολία
μέσης συχνότητας, 800-1900ΜHZ, που είναι μικρότερη από αυτή των φούρνων μικροκυμάτων
και μεγαλύτερη των συνήθων οικιακών ηλεκτρικών συσκευών και ηλεκτροφόρων καλωδίων.
Τα ηλεκτρομαγνητικά πεδία διαπερνούν τα περισσότερα φυσικά εμπόδια, μειώνονται,
όμως, σημαντικά όταν αυξάνεται η απόσταση από την πηγή εκπομπής τους.
Το ερώτημα είναι
"Πόσο έντονα ακτινοβολούν τα ΚΤ και οι σταθμοί βάσης;"
Και τα δύο εκπέμπουν και λαμβάνουν ακτινοβολία της ίδιας ακριβώς συχνότητας.
Η ισχύς εκπομπής ενός ΚΤ είναι μεν σημαντικά χαμηλότερη από αυτή των σταθμών
βάσης, η επιβάρυνση, όμως, του ανθρώπου από το ΚΤ είναι πολύ μεγαλύτερη από
αυτή που δέχεται από το σταθμό βάσης. Αυτό οφείλεται στην ελάχιστη απόσταση
του ΚΤ από το κεφάλι μας, ενώ στην κεραία του σταθμού βάσης δεν πλησιάζει κανείς
περισσότερο από μερικά μέτρα.
Παράμετροι
έκθεσης
Με τη συσκευή του ΚΤ εκτίθεται
κατά κύριο λόγο το κεφάλι αυτού που τηλεφωνεί.
Η έκθεση του χρήστη στην ακτινοβολία από το ΚΤ εξαρτάται από:
- Την κατασκευή του κινητού και ιδιαίτερα τη θέση της ενσωματωμένης κεραίας
(π.χ. τα παλαιά αναλογικά ακτινοβολούν περισσότερο από τα σύγχρονα ψηφιακά,
τα σπαστά κινητά απομακρύνουν την κεραία από το κεφάλι όπως και τα hands free
και πρέπει να προτιμώνται).
- Από τον τρόπο χρήσης της συσκευής (έτη χρήσης, διάρκεια ομιλίας, sms, πλευρά
χρήσης, τόπος χρήσης). Στην ύπαιθρο ακτινοβολούμαστε περισσότερο από την πόλη.
- Τον αυτόματο έλεγχο ισχύος: Είναι χαρακτηριστικό της κάθε συσκευής και μπορεί
να αυξομειώνει την ενέργεια εκπομπής της μέχρι και 1000 φορές. Εξαρτάται από
την απόσταση που έχουμε από το σταθμό βάσης, τη συχνότητα μεταπομπής της κλήσης
(δηλαδή από κυψέλη σε κυψέλη), τις ώρες αιχμής των κλήσεων και τη διάρκεια χρήσης
της συσκευής.
Η εκπεμπόμενη ισχύς είναι υψηλότερη σε αγροτικές περιοχές και όταν ο χρήστης
κινείται (π.χ. αυτοκίνητο).
Η απορρόφηση της ακτινοβολίας είναι μεγίστη στην πλευρά που έρχεται σε επαφή
με το κινητό και μειώνεται στο 1/10 στην αντίθετη πλευρά της κεφαλής.
Η έκθεση στην ακτινοβολία που εκπέμπεται από τους σταθμούς βάσης εξαρτάται από
την ισχύ εκπομπής του σταθμού, την απόσταση από την κεραία εκπομπής (σε διπλάσια
απόσταση από την κεραία οι τιμές μειώνονται στο 1/4, ενώ ακριβώς κάτω από την
κεραία σχεδόν δεν υπάρχει ακτινοβολία), το διάγραμμα ακτινοβολίας και την ύπαρξη
φυσικών εμποδίων που εξασθενούν την ακτινοβολία.
SAR - Specific
Absorption Rate (Ειδικός Ρυθμός Απορρόφησης)
Η ακτινοβολία που δεχόμαστε
από την κινητή τηλεφωνία (κινητά και σταθμούς βάσης) κυμαίνεται ιδιαίτερα -ανάλογα
με τον τρόπο χρήσης της- και εάν προσθέσει κανείς σ' αυτό και την αθροιστική
της δράση διαχρονικά, κατανοεί πόσο δύσκολο είναι να υπολογιστεί με ακρίβεια
πόση ακτινοβολία δεχόμαστε σε κάθε τηλεφώνημα που κάνουμε.
Στις μελέτες που έχουν γίνει μέχρι σήμερα σε ανθρώπους για τη μέτρηση της ακτινοβολίας
έκθεσης, χρησιμοποιούνται παράμετροι όπως η διάρκεια και ο αριθμός κλήσεων ανά
ημέρα, η μάρκα του κινητού, πόσα χρόνια χρησιμοποιείται το κινητό, η έκθεση
σε επαγγελματικούς κινδύνους κ.λπ. Δηλαδή έμμεσοι δείκτες έκθεσης στην ακτινοβολία,
που προφανώς είναι ανεπαρκείς για τον ακριβή υπολογισμό της.
Προκειμένου να διασφαλισθεί αντικειμενικός τρόπος μέτρησης του ρυθμού απορρόφησης
της ακτινοβολίας από τον άνθρωπο, τα τελευταία 2 χρόνια καθιερώθηκε διεθνώς
η έννοια του συντελεστού SAR.
Ο SAR δείχνει την ακτινοβολία που απορροφά το σώμα μας, ή καλύτερα ο κάθε ιστός
του σώματός μας, από το συγκεκριμένο κινητό που χρησιμοποιούμε. Εκφράζεται σε
Watt ανά Kg και για είναι ασφαλές το κινητό που αγοράζουμε θα πρέπει ο SAR να
είναι όσο γίνεται μικρότερος από το όριο των 2W/Kg. Προσδιορίζεται χρησιμοποιώντας
μια ενεργοποιημένη συσκευή κοντά σε ένα μοντέλο κεφαλιού γεμάτο με υγρό που
φέρει ηλεκτρικές ιδιότητες ανθρωπίνων ιστών και ένας ανιχνευτής SAR μετρά την
ακτινοβολία στο εσωτερικό του μοντέλου.
Ήδη στις ΗΠΑ έγινε υποχρεωτική η αναγραφή του SAR σε κάθε συσκευή κινητού, ώστε
να ελέγχεται και να προστατεύεται ο αγοραστής. Αναμένεται ότι πολύ σύντομα θα
γίνει υποχρεωτική και η αναγραφή του σε κάθε συσκευή και στην Ευρώπη.
Και σήμερα, όμως, μπορείτε να ζητήσετε να σας πουν το SAR του κινητού που σκοπεύετε
να αγοράσετε, ή να τον υπολογίσετε μόνοι σας, ακολουθώντας τις οδηγίες στο διαδίκτυο.
Είναι όμως η
ακτινοβολία της ΚΤ επιβλαβής για την υγεία;
Η ακτινοβολία της ΚΤ είναι
χαμηλής έντασης και συχνότητας, μη-ιονίζουσα, συνεπώς δεν προκαλεί μεταλλάξεις,
τουλάχιστον με τους γνωστούς μηχανισμούς. Η μόνη αποδεδειγμένη μέχρι σήμερα
βιολογική της δράση είναι η αύξηση της θερμοκρασίας των ιστών.
Η ακτινοβολούμενη ενέργεια από τα κινητά μας απορροφάται από τους ιστούς και
μετατρέπεται σε θερμότητα. Αν η απορροφούμενη ισχύς είναι τόσο μεγάλη έτσι ώστε
να αυξηθεί η θερμοκρασία του σώματος πάνω από 1 βαθμό, προκύπτουν οι ίδιες επιδράσεις,
όπως στην περίπτωση πυρετού ή θερμοπληξίας όπως:
- Μείωση ικανότητας εκτέλεσης σύνθετων εργασιών.
- Διαταραχές αναπαραγωγής.
- Συγγενείς ανωμαλίες στα έμβρυα.
- Καρδιαγγειακή νοσηρότητα.
Θερμοευαίσθητα όργανα όπως ο εγκέφαλος , τα μάτια και οι όρχεις, θερμαίνονται
γρηγορότερα και κινδυνεύουν περισσότερο.
Το καλό είναι ότι θερμικές επιδράσεις δεν υφίστανται κάτω από κάποια ορισμένη
τιμή έντασης της ακτινοβολίας, γιαυτό και τα όρια ασφαλούς έκθεσης του κοινού
έχουν καθοριστεί έτσι ώστε να μην μπορεί να προκύψουν επιβλαβείς θερμικές επιδράσεις.
Τα τελευταία χρόνια, από μελέτες σε πειραματόζωα και σε in-vitro καλλιέργειες
κυττάρων, διατυπώνονται ανησυχίες ότι η υψίσυχνη ακτινοβολία χαμηλής έντασης,
όπως αυτή της ΚΤ, μπορεί να έχει και άλλες επιδράσεις εκτός των θερμικών που
προαναφέρθηκαν.
Έτσι, σε πειραματικές καλλιέργειες κυττάρων που εκτέθηκαν σε συνθήκες μη-ιονίζουσας
ακτινοβολίας παρατηρήθηκαν:
1. Διαταραχές της λειτουργίας των κυτταρικών μεμβρανών (αύξηση της διαπερατότητας).
2. Διαταραχές της λειτουργίας μικρού ποσοστού γονιδίων (20%).
3. Παραγωγή μεγαλύτερης ποσότητας πρωτεϊνών που πιθανόν προκαλούν δυσλειτουργίες
στα κύτταρα (Έρευνα Reflex).
Η αξιολόγηση των ευρημάτων αυτών απαιτεί περίσκεψη και προσοχή, γιατί η επανάληψη
των πειραμάτων σε άλλα εργαστήρια δεν τα επιβεβαίωσε.
Σε καθαρά πειραματικό επίπεδο σήμερα, ενοχοποιούνται και μελετώνται πιθανές
επιδράσεις της μη-ιονίζουσας ακτινοβολίας:
- Στους μηχανισμούς διακίνησης βιολογικών μηνυμάτων (ορμόνες, νευροδιαβιβαστές).
- Στην παραγωγή μελατονίνης (δράση στην επίφυση).
- Στη λειτουργία των κυτταρικών μεμβρανών.
- Στην επιβράδυνση του μηχανισμού επανασύνδεσης των ελευθέρων ριζών.
Εκτός από πειράματα σε κυτταρικό επίπεδο, κάποια πειράματα σε ζώα (ποντίκια
και αρουραίους) συνηγορούν στο ότι, παρότι οι συχνότητες της ΚΤ δεν φαίνεται
να προκαλούν καρκίνο και όγκους του εγκεφάλου στα ζώα, εντούτοις είναι πιθανό
να επιταχύνουν την ανάπτυξη ήδη εκδηλωμένων όγκων σε αυτά. Και πάλι, όμως, οι
μελέτες αυτές πρέπει να ερμηνευθούν με προσοχή, καθόσον η αύξηση του μεγέθους
των όγκων παρατηρήθηκε σε ζώα που είχαν ήδη εκτεθεί προηγούμενα σε γνωστά μεταλλαξιογόνα
φάρμακα πριν εκτεθούν στην ακτινοβολία της ΚΤ.
Επιπλέον, η έκθεση των ζώων στην ακτινοβολία ήταν συνεχής και πολύ μεγάλης διάρκειας,
της τάξεως των 22ωρών/ημέρα, έκθεση πολύ μεγαλύτερη αυτής που εκτίθενται οι
άνθρωποι.
Κατά πόσο αυτά τα ευρήματα είναι επικίνδυνα για τον άνθρωπο, επί του παρόντος,
δεν έχει αποδειχθεί, ούτε όμως μπορεί και να αποκλεισθεί.
Μελέτες
σε ανθρώπους
Μια απλή ανάλυση στο διαδίκτυο
δείχνει ότι υπάρχουν:
- 3 εκατομμύρια σχετικές ιστοσελίδες (Google).
- 28 χιλιάδες επιστημονικά άρθρα (Pub-med).
Οι επιδημιολογικές και πληθυσμιακές μελέτες μέχρι σήμερα έχουν κυρίως επικεντρωθεί
σε πιθανή συσχέτιση της ακτινοβολίας ΚΤ με:
- Όγκους εγκεφάλου (γλοίωμα, μηνιγγίωμα).
- Ακουστικά νευρινώματα.
- Όγκους τραχήλου.
- Λευχαιμία.
- Όγκους όρχεων.
Και σε χρόνια μη-ειδικά συμπτώματα, όπως:
- Κεφαλαλγίες - Ζάλη.
- Αίσθημα θερμότητας στο αυτί.
- Διαταραχές ύπνου.
- Διαταραχές όρασης.
- Αίσθημα κόπωσης.
- Απώλεια μνήμης - Alzheimer.
- Καρδιαγγειακά νοσήματα.
Ο σχεδιασμός επιδημιολογικών ερευνών στους ανθρώπους προσκρούει σε δύο βασικά
προβλήματα:
1. Τη μέθοδο υπολογισμού του ποσού της ακτινοβολίας που δέχονται οι χρήστες
από τα ΚΤ.
2. Το μεγάλο χρονικό διάστημα που απαιτείται προκειμένου να εκδηλωθούν τα υπό
μελέτη νοσήματα, όπως η ανάπτυξη όγκων εγκεφάλου που ξέρουμε ότι μπορεί να συμβεί
πολλά χρόνια (μέχρι και 10) από την έκθεση σε ογκογόνους παράγοντες.
Ενδεικτικά θα αναφερθώ στις κυριότερες πληθυσμιακές συγκριτικές μελέτες που
υπολογίζουν το σχετικό κίνδυνο για την εμφάνιση νεοπλασιών και ιδιαίτερα όγκων
εγκεφάλου.
- Ο Hardell et al στη Σουηδία (1999) δεν βρίσκει αυξημένο κίνδυνο για την ανάπτυξη
όγκων εγκεφάλου και ακουστικών νευρινωμάτων μετά από χρήση αναλογικών συσκευών
για χρονικό διάστημα 5 ετών. Η έκθεση στην ακτινοβολία βασίστηκε σε χρήση ερωτηματολογίων
και σε συνέντευξη από τους χρήστες. Ο αριθμός των ασθενών με όγκους εγκεφάλου
ήταν 209 και οι μάρτυρες 425.
- Παρόμοια αποτελέσματα (δηλαδή χαμηλό σχετικό κίνδυνο για όγκους) βρίσκουν
και οι περισσότερες μεταγενέστερες πληθυσμιακές μελέτες στις ΗΠΑ και στη Σκανδιναβία.
- Το 2003, ο Hardell, πάλι στη Σουηδία, ανακοινώνει νέα, παρόμοιου σχεδιασμού
μελέτη, με μεγαλύτερο όμως αριθμό περιστατικών και βρίσκει ότι, ενώ ο σχετικός
κίνδυνος για όλους τους όγκους μαζί είναι μικρός, η επιμέρους στατιστική ανάλυση
δείχνει αυξημένο κίνδυνο (RR >3.5) για την ανάπτυξη ακουστικών νευρινωμάτων
μόνο από τη χρήση κινητών αναλογικής τεχνολογίας και όχι ψηφιακών. Το εύρημα
όμως αυτό, δεν επιβεβαιώθηκε από παρόμοια μελέτη που έγινε το 2004 στη Δανία
και που επικεντρώθηκε στα ακουστικά νευρινώματα.
- Στη Σουηδία (2004), στα πλαίσια της πολυκεντρικής μελέτης Interphone του WHO,
παρατηρήθηκε αυξημένος κίνδυνος (διπλάσιος ) ανάπτυξης ακουστικού νευρινώματος
μόνο σε χρήστες που χρησιμοποιούσαν κινητό τηλέφωνο για περισσότερο από 10 χρόνια
και μάλιστα στην πλευρά του κεφαλιού που τοποθετείτο η συσκευή. Σ' αυτούς που
χρησιμοποιούσαν κινητό για λιγότερο από 10 χρόνια, δεν βρέθηκε αυξημένος κίνδυνος,
ούτε για ακουστικό νευρίνωμα, ούτε για άλλους όγκους εγκεφάλου.
- Μεγάλη πληθυσμιακή μελέτη πεδίου που έγινε στη Δανία και αφορούσε σε 420.000
συνδρομητές ΚΤ για το διάστημα 1982 έως 1995, με περίοδο παρακολούθησης έως
και 15 χρόνια (μέση διάρκεια 3,5 χρόνια) δεν βρέθηκε να υπάρχει αυξημένος κίνδυνος
για την ανάπτυξη όγκων εγκεφάλου, λευχαιμίας και όγκων τραχήλου, σε σχέση με
το γενικό πληθυσμό (RR=0.95, 0.97, 0.72).
Ιδιαιτερότητες
των παιδιών
Όσον αφορά στις έρευνες σε
παιδιά, υπάρχει μεγάλο κενό στη βιβλιογραφία. Καμία πληθυσμιακή μελέτη μέχρι
σήμερα δεν έχει συμπεριλάβει παιδιά. Όλοι συμφωνούν ότι τα παιδιά αποτελούν
μια ιδιαίτερη ομάδα, που αυξάνει ταχύτατα σε αριθμό και σε ένταση χρήσης.
Ταυτόχρονα, τα παιδιά είναι πολύ πιο ευαίσθητα στην απορρόφηση της ακτινοβολίας,
διότι:
- Το νευρικό τους σύστημα (εγκέφαλος) βρίσκεται σε ανάπτυξη και συνεπώς είναι
πιο ευάλωτο σε βλαπτικούς παράγοντες.
- Έχουν λεπτότερο κρανίο και ιστούς (οπότε η απορρόφηση της ακτινοβολίας είναι
μεγαλύτερη).
- Έχουν αυξημένη περιεκτικότητα ύδατος ιστών, άρα η ακτινοβολία μεταφέρεται
ευκολότερα.
- Η αθροιστική δράση της ακτινοβολίας είναι διαχρονικά μεγαλύτερη.
Για τα παιδιά υπάρχουν στη βιβλιογραφία πολύ λίγες και μικρές σε αριθμό μελέτες,
κυρίως περιγραφές περιπτώσεων που αφορούν στην ανάπτυξη λευχαιμίας και τις γνωστικές
τους ικανότητες.
Σχετικά με την παιδική λευχαιμία υπάρχουν λίγες μελέτες που αναφέρουν οριακά
αυξημένο σχετικό κίνδυνο (RR 1,6-2) σε παιδιά που ζουν σε περιοχές κοντά σε
κεραίες ραδιοφώνου και TV (όχι ΚΤ).
Οι υπολογισμοί, όμως, του RR βασίστηκαν σε 2 με 5 περιστατικά λευχαιμίας στην
κάθε μελέτη και δεν είναι δυνατόν να εξαχθούν ασφαλή συμπεράσματα.
Ο Lee, το 2002, σύγκρινε τις επιδόσεις εφήβων που χρησιμοποιούσαν ΚΤ και βρήκε
ότι αυτές υπερείχαν των συνομιλήκων τους που δεν χρησιμοποιούσαν ΚΤ ως προς
την ταχύτητα αντίδρασης. Βέβαια, λόγω του σχεδιασμού της μελέτης, ακόμα και
οι ίδιοι οι συγγραφείς ομολογούν ότι οι διαφορές μπορεί να προκλήθηκαν από παράγοντες
που δεν έχουν να κάνουν με τη χρήση του ΚΤ.
Οι Haarala, Preece και Koivisto μελέτησαν τις γνωστικές ικανότητες 58 παιδιών
ηλικίας 10-14 ετών, τόσο με το τηλέφωνο κλειστό, όσο και ανοικτό, σε επίπεδα
ήπιας και έντονης ακτινοβολίας. Οι επιδόσεις των παιδιών δεν επηρεάστηκαν από
την ακτινοβολία της συσκευής.
Οι Haarala et al υπέβαλαν 32 παιδιά σε 2 συνεδρίες έκθεσης σε χρήση ΚΤ περίπου
1 ώρας, για μέτρηση και καταγραφή των υποκειμενικών συμπτωμάτων (όπως πονοκέφαλο,
κούραση, ζαλάδα και ερεθισμούς δέρματος). Τα υποκειμενικά συμπτώματα δεν βρέθηκαν
να είναι στατιστικά σημαντικά στα παιδιά, ενώ η επίπτωση πολλών υποκειμενικών
συμπτωμάτων βρέθηκε να αυξάνει με την αύξηση του χρόνου ομιλίας, αλλά άσχετα
με τις συνθήκες έκθεσης.
Επειδή τα αποτελέσματα των επιδημιολογικών ερευνών είναι όχι μόνο ασαφή αλλά
και αντιφατικά, ανατέθηκε σε ανεξάρτητους οργανισμούς, όπως ο ΠΟΥ και ο FDA,
η συνολική αξιολόγησή τους, ούτως ώστε να διερευνηθούν οι πιθανοί κίνδυνοι για
την υγεία. Τα συμπεράσματα στα οποία κατέληξαν είναι ότι:
- Ο ΠΟΥ και ο FDA, από μια πρόσφατη διεξοδική αξιολόγηση της επιστημονικής βιβλιογραφίας,
κατέληξαν στο συμπέρασμα ότι: Τα παρόντα στοιχεία ΔΕΝ επιβεβαιώνουν ότι η έκθεση
σε χαμηλού επιπέδου ηλεκτρομαγνητικά πεδία της ΚΤ έχει οποιεσδήποτε επιπτώσεις
στην υγεία. Μακροπρόθεσμες επιδράσεις δεν μπορούν να αποκλεισθούν επί του παρόντος.
Ανάλογες έρευνες βρίσκονται σε εξέλιξη. Είναι φρόνιμο, για προληπτικούς λόγους,
να αποφεύγονται άσκοπες ή υπερβολικές επιβαρύνσεις από ακτινοβολίες ΚΤ, ιδιαίτερα
στα παιδιά και τους εφήβους.
Στη Βρετανία, η ανεξάρτητη Εθνική Επιτροπή Ραδιολογικής Προστασίας (NRPB) καταλήγει
ότι: Παρότι ο πολλαπλασιασμός των ΚΤ σε ολόκληρο τον πλανήτη δεν συνοδεύτηκε
από παράλληλη αύξηση των σχετιζομένων προβλημάτων υγείας, εξακολουθεί να υπάρχει
αβεβαιότητα όσον αφορά στους ενδεχομένους κινδύνους από τις δημοφιλείς αυτές
συσκευές στην υγεία για όλους, ιδιαίτερα δε στα παιδιά που είναι πιο ευάλωτα,
διότι εκτίθενται σε αυτά περισσότερο χρόνο και το νευρικό τους σύστημα βρίσκεται
σε ανάπτυξη. Επειδή η μαζική χρήση κινητών τηλεφώνων είναι πρόσφατο φαινόμενο,
εξελισσόμενο με ταχύτητα η οποία ξεπερνά τις βιολογικές μελέτες για τις τυχόν
επιπτώσεις τους στην υγεία, φρόνιμο είναι να υιοθετήσουμε προληπτική προσέγγιση,
ιδιαίτερα σε ότι αφορά στα παιδιά.
Προληπτικά μέτρα (για όλους)
- Χρησιμοποιείτε το κινητό μόνο για τις απαραίτητες κλήσεις (για τις άλλες το
σταθερό).
- Μειώστε το χρόνο ομιλίας.
- Μη χρησιμοποιείται το κινητό στο αυτοκίνητο.
- Πριν αγοράσετε ΚΤ ζητήστε να σας αναφέρουν το SAR του μοντέλου κινητού που
σκοπεύετε να πάρετε. Δεν πρέπει να είναι μεγαλύτερος από 2W/Kg. Σύντομα όλοι
οι κατασκευαστές θα το αναφέρουν σε κάθε συσκευή.
- Για πληροφορίες σχετικά με ακτινοβολία ΚΤ ενημερωθείτε από αρμόδια όργανα:
ΕΕΑΕ - Αγ. Παρασκευή, τηλ. κέντρο 210-6506700.
Μέτρα για παιδιά
- Να μη δίνετε - μην αγοράζετε, κινητά σε παιδιά μικρότερα των 8 ετών.
- Τα μεγαλύτερα παιδιά να μιλούν στο ΚΤ όσο το δυνατόν λιγότερο.
- Να προτιμούν: Μηνύματα SMS, σπαστό μοντέλο κινητού (απομάκρυνση κεραίας από
κεφαλή), συσκευές hands free, να χρησιμοποιεί το ΚΤ "οριζόντια" και
όχι όρθιο (κλασσικό μοντέλο), όχι το ΚΤ στην τσέπη ή στη ζώνη του (μόνο στην
τσάντα ή σε τσέπη του μηρού).
- Διδάξτε το παιδί ότι πρέπει να κλείνει το ΚΤ σε ώρες μαθημάτων ή παρακολούθησης
θεαμάτων.
Θυμηθείτε:
- Το κινητό εκπέμπει ακτινοβολία ακόμα και όταν δεν μιλάμε. ¶ρα ποτέ μην το
αφήνετε στο παιδικό δωμάτιο ή στο παιδικό καροτσάκι δίπλα στο βρέφος.
- Το κινητό το έχουμε για να επικοινωνούμε, ΟΧΙ για να το δίνουμε στα παιδιά
μας για να παίζουν, για να μας αφήσουν ήσυχους.
Σε τελική ανάλυση, το βάρος της ευθύνης είναι μεγάλο για τους γονείς.
Θα προτιμήσουν άραγε τα οφέλη της ΚΤ έναντι των πιθανών και ασαφών κινδύνων
για τη μελλοντική υγεία των παιδιών τους;
ΜΕΤΑΤΡΑΥΜΑΤΙΚΗ ΔΙΑΤΑΡΑΧΗ
ΣΤΡΕΣ ΣΤΗΝ ΠΑΙΔΙΚΗ ΚΑΙ ΕΦΗΒΙΚΗ ΗΛΙΚΙΑ
Π. Περβανίδου:
Η έκθεση των παιδιών σε διαφόρων μορφών τραυματική βία αποτελεί ένα παγκόσμιο
πρόβλημα υγείας. Μεγάλες επιδημιολογικές μελέτες αναφέρουν ότι ένα ποσοστό 40%
των παιδιών και εφήβων έχουν βιώσει ένα τουλάχιστον τραυματικό γεγονός στη ζωή
τους, ενώ το 5%-70% αυτών πληρεί τα διαγνωστικά κριτήρια Μετατραυματικής Διαταραχής.
Ο όρος Μετατραυματική Διαταραχή Στρες - ΜΤΔΣ (Posttraumatic Stress Disorder
- PTSD) περιγράφει ένα σύνδρομο που αναπτύσσεται συχνά μετά από έκθεση των παιδιών
σε τραυματικά γεγονότα, τα οποία τους προκάλεσαν έντονο φόβο και αίσθημα απελπισίας,
εγκατάλειψης ή τρόμου.
Το σύνδρομο ανήκει στις αγχώδεις διαταραχές και περιλαμβάνει συγκεκριμένα διαγνωστικά
κριτήρια (πίνακας 1) βάσει του DSM-IV (Diagnostic and Statistical Manual of
Mental Disorders, 1987). Aυτά είναι:
1. Αναβίωση του τραυματικού γεγονότος μέσω επίμονων αναμνήσεών του, ονείρων
και αισθήματος ότι αυτό συνεχίζει να συμβαίνει.
2. Αποφυγή της έκθεσης σε ερεθίσματα που συνδέονται με το γεγονός και "μούδιασμα"
της γενικής απαντητικότητας.
3. Συμπτώματα έντονης διεγερσιμότητας που περιλαμβάνουν αϋπνία, ευερεθιστότητα,
απάντηση στα ερεθίσματα με ξάφνιασμα και δυσκολία συγκέντρωσης.
Σε αντίθεση με την οξεία διαταραχή στρες (Acute Stress Disorder - ASD), όπου
τα συμπτώματα που προκαλεί η έκθεση στο τραυματικό γεγονός διαρκούν μέχρι τέσσερις
εβδομάδες, η μετατραυματική διαταραχή στρες αφορά σε συμπτωματολογία που διαρκεί
τουλάχιστον τέσσερις εβδομάδες μετά το τραυματικό γεγονός.

Ιστορική
αναδρομή: τραύμα και στρες
Ο S. Freud, τo 1920, περιέγραψε πρώτη φορά το ψυχικό τραύμα ως μια ενεργειακή
ανισορροπία, αποτέλεσμα ενός βίαιου κλονισμού, μιας "λύσης της συνέχειας"
του προστατευτικού φραγμού του οργανισμού. Όρισε ως τραυματική εμπειρία "ένα
βίωμα το οποίο επιφέρει μια τόσο μεγάλη αύξηση της διέγερσης στον ψυχικό κόσμο
ενός ατόμου, που η επεξεργασία του με τα συνήθη και φυσιολογικά μέσα αποτυγχάνει,
γεγονός που έχει ως συνέπεια μακροχρόνιες διαταραχές στο επίπεδο της ενεργειακής
λειτουργίας".
Την επόμενη δεκαετία, ο Η. Selye, δανείστηκε τον όρο "stress" από
τις φυσικές επιστήμες και τον έθεσε να ορίζει την κατάσταση απειλής της ομοιόστασης
του οργανισμού. Η υπόθεσή του ήταν ότι η έντονη και παρατεταμένη λειτουργία
των μηχανισμών προσαρμογής του ανθρώπου σε συνθήκες που απειλούν την ομοιόστασή
του, μπορούν να οδηγήσουν στην εγκατάσταση σοβαρών φυσιολογικών και ψυχολογικών
επιπτώσεων, ισοδύναμων με σοβαρή ασθένεια.
O Abram Kardiner, το 1941, ήταν ο πρώτος που περιέγραψε λεπτομερώς την "τραυματική
νεύρωση" στους επιζήσαντες στρατιώτες του Α΄ παγκοσμίου πολέμου. Αυτός
παρατήρησε ότι η υπερδιεγερσιμότητα, που παρουσίαζαν πολλοί από τους στρατιώτες
αυτούς, δεν συνέβαινε μόνο στο άκουσμα των ήχων της μάχης. Πολλοί παρουσίαζαν
αυξημένη ευερεθιστότητα σε κοινά ερεθίσματα, όπως οι μεταβολές της θερμοκρασίας
και ο πόνος. Ο Kardiner έγραφε: "Από την άποψη της φυσιολογίας φαίνεται
ότι υπάρχει μια ελάττωση στον ουδό της διέγερσης και από την άποψη της ψυχολογίας
μια κατάσταση διαρκούς ετοιμότητας για αντιδράσεις φόβου". Η σύγχρονη έρευνα
στη βιολογία της ΜΤΔΣ επιβεβαίωσε ότι υπάρχουν συχνά μόνιμες διαταραχές στη
φυσιολογική αντιδραστικότητα και στην έκκριση των ορμονών του στρες στα άτομα
που παρουσιάζουν το σύνδρομο.

Oρισμοί - Ταξινόμηση
Ο όρος "Μετατραυματική Διαταραχή Στρες" εμφανίστηκε επίσημα για πρώτη
φορά το 1980 στο DSM-III και μόλις το 1987 συμπεριλήφθηκε η διάγνωση του συνδρόμου
σε παιδιά και εφήβους (DSM-IV, American Psychiatric Association, 1987). To άλλο
μεγάλο σύστημα κατάταξης των ψυχιατρικών νόσων, το ICD-10 (World Health Organization,
1992), στην πρόσφατη αναθεώρησή του, αναγνωρίζει επίσης ότι τα παιδιά μπορεί
να πάσχουν από ΜΤΔΣ. Έχουν προταθεί από πολλούς συγγραφείς, για τα παιδιά, κριτήρια
ανάλογα με το αναπτυξιακό στάδιο, ενώ για τα μικρότερα των τεσσάρων χρόνων,
μια εναλλακτική ομάδα κριτηρίων (πίνακας 2). Η ΜΤΔΣ μπορεί να ταξινομηθεί ως
οξεία ή χρόνια, ανάλογα με το χρόνο διάρκειάς της: μικρότερος ή μεγαλύτερος
από 3 μήνες αντίστοιχα. Περιγράφεται, επίσης, ΜΤΔΣ όψιμης έναρξης, το λιγότερο
6 μήνες μετά το συμβάν. Σύμφωνα με την Τerr, πρέπει να διαφοροποιηθεί η ΜΤΔΣ
που προέρχεται από ένα μεμονωμένο τραυματικό γεγονός, όπως ένα τροχαίο ατύχημα,
από εκείνη που προκαλείται από επαναλαμβανόμενα τραυματικά συμβάντα, όπως συμβαίνει
κατά το σύνθετο φαινόμενο της φυσικής ή σεξουαλικής κακοποίησης. Στη δεύτερη
κατηγορία παρατηρούνται περισσότερα, πιο έντονα και ίσως διαφορετικά συμπτώματα.

Γνωστά αίτια
του συνδρόμου
Τα γεγονότα που έχει αποδειχθεί
ότι προκάλεσαν ΜΤΔΣ σε παιδιά είναι: α) Ο πόλεμος (σύμφωνα με τη UNICEF, το
80% των θυμάτων στρατιωτικών πράξεων είναι γυναίκες και παιδιά), με ποσοστά
εμφάνισης του συνδρόμου από 25 ως 80% στα παιδιά που μελετήθηκαν, ανεξάρτητα
του αν ήταν φυσικά θύματα ή μάρτυρες βίαιων πράξεων. β) Οι φυσικές καταστροφές
όπως οι σεισμοί, οι κατολισθήσεις και τα ακραία καιρικά φαινόμενα, σε ποσοστό
εμφάνισης 10-100%. γ) Τα ατυχήματα με έμφαση στα τροχαία, σε ποσοστό ανάπτυξης
του συνδρόμου από 15 ως 50%. δ) Βίαιες επιθέσεις, απαγωγές, φυσική και σεξουαλική
κακοποίηση έχουν επίσης αναδειχθεί ως σημαντικά αίτια ανάπτυξης ΜΤΔΣ, στα εξής
ποσοστά: 42-90% των ατόμων που εκτίθενται σε σεξουαλική κακοποίηση, 50-100%
αυτών που είναι μάρτυρες οικιακής βίας και 11-50% αυτών που κακοποιούνται φυσικά.
ε) Οι πολύ σοβαρές ασθένειες, καθώς και η αντιμετώπισή τους σε μονάδες και ειδικά
κέντρα θεραπειών, έχει φανεί ότι σε μεγάλο ποσοστό προκαλούν ΜΤΔΣ, όπως προκύπτει
από μελέτες σε παιδιά που επέζησαν του καρκίνου και των μονάδων εντατικής νοσηλείας.
Συμπτωματολογία
Πολλοί άνθρωποι που έχουν
βιώσει ένα τραυματικό γεγονός αισθάνονται ένα είδος ψυχολογικής πίεσης όταν
το θυμούνται, χωρίς αυτό να σημαίνει ότι εμφανίζουν το σύνδρομο. Οι Pitman και
συνεργάτες έδειξαν ότι το χαρακτηριστικό σημείο της ΜΤΔΣ είναι ότι τα ερεθίσματα
που προκαλούν έκλυση των συμπτωμάτων δεν είναι σταθερά. Μια ποικιλία εξωτερικών
ερεθισμάτων, όχι απαραίτητα συνδεόμενα με το συμβάν, πυροδοτούν υπερβολικές
αντιδράσεις από το άτομο. Οι επίμονες και διεισδυτικές σκέψεις και εικόνες θέτουν
ένα χρονίως διαταραγμένο "σχέδιο" επαγρύπνησης, κατά το οποίο οι ασθενείς
αντιδρούν στις "εισβολές" σκέψεων και εικόνων, με τέτοια ψυχολογική
και φυσιολογική ένταση, ως να πρόκειται να αντιμετωπίσουν μια εξωτερική απειλή,
ως να αναβιώνουν δηλαδή το τραυματικό γεγονός. Στην προσπάθειά τους να "αντισταθμίσουν"
τη χρόνια επαγρύπνησή τους, τα άτομα που πάσχουν προσπαθούν να "κατεβάσουν
το διακόπτη", κατά μια συμπεριφορική έννοια, αποφεύγοντας τα ερεθίσματα
που θυμίζουν το τραύμα. Εκδηλώνουν με τον τρόπο αυτό το σύμπτωμα του συναισθηματικού
"μουδιάσματος". Οι ασθενείς με χρόνια ΜΤΔΣ φαίνεται να υποφέρουν από
μια κατάσταση χρόνιας επαγρύπνησης και υπεραντιδραστικότητας σε ερεθίσματα σχετικά
ή άσχετα με το τραυματικό γεγονός και παράλληλα, ενδιάμεσα, από μια κατάσταση
"παγωμένης" ή "μουδιασμένης" απαντητικότητας, συμπεριφορικά,
στα ερεθίσματα του περιβάλλοντος. Οι αφύσικες, λοιπόν, ψυχοφυσιολογικές αντιδράσεις
στο ΜΤΔΣ συμβαίνουν σε δύο διαφορετικά επίπεδα: ως απάντηση σε συγκεκριμένα
ερεθίσματα που σχετίζονται με το τραύμα και ως απάντηση σε ουδέτερα κοινά ερεθίσματα,
όπως ο θόρυβος ή το κρύο. Αυτό υποδηλώνει ότι οι πάσχοντες από ΜΤΔΣ πάσχουν
επίσης από έλλειψη διάκρισης των ερεθισμάτων.
Στα παιδιά μπορεί να κυριαρχούν διαφορετικά συμπτώματα (πίνακας 3), ανάλογα
με το αναπτυξιακό στάδιο.
Ο ρόλος του παιδιάτρου είναι να αναγνωρίσει τα συμπτώματα (πίνακας 4) και συνθέτοντάς
τα, να υποψιαστεί το σύνδρομο, το οποίο, σε ένα μεγάλο επιπλέον ποσοστό, μπορεί
να μην είναι πλήρες. Λαμβάνοντας το ιστορικό, να ανιχνεύσει την ύπαρξη πιθανού
τραυματικού γεγονότος. Να ενημερώσει την οικογένεια για την ύπαρξη της διαταραχής
και να κρίνει αν και πότε θα χρειαστεί παραπομπή σε ειδικό, ο οποίος είναι ο
παιδοψυχολόγος ή ο παιδοψυχίατρος.
Η συμπτωματολογία της ΜΤΔΣ υποχωρεί συχνά αυτόματα με το πέρασμα του χρόνου.
Όταν τα συμπτώματα είναι έντονα και δυσλειτουργικά για το παιδί ή την οικογένεια,
χρειάζεται θεραπευτική παρέμβαση, ενώ συχνά, λόγω της κοινής έκθεσης σε τραύμα,
παρόμοια συμπτώματα εμφανίζουν και οι γονείς. Βασικά στοιχεία της αποτελεσματικής
θεραπείας αποτελούν: η εκπαίδευση της οικογένειας σχετικά με τις αντιδράσεις
στο τραύμα, η σταδιακή έκθεση σε εικόνες ή στοιχεία σχετικά με το γεγονός, η
ανάπτυξη ικανοτήτων χειρισμού του άγχους και η εκπαίδευση των γονέων για υποστήριξη
και διευκόλυνση της ανάρρωσης του παιδιού.

ΣΧΗΜΑ 1. Φυσιολογία του συστήματος
στρες.
Aπλουστευμένη αναπαράσταση των κεντρικών και των περιφερικών στοιχείων του "συστήματος
στρες", οι λειτουργικές τους αλληλεπιδράσεις και οι σχέσεις τους με άλλα
κεντρικά νευρικά συστήματα που εμπλέκονται στην αντίδραση στρες.
CRH: Υποθαλαμικός παράγοντας έκλυσης της κορτικοτροπίνης.
PVN: Παρακοιλιακός πυρήνας.
POMC: Προοπιομελανοκορτίνη.
LC/NE: Υπομέλας τόπος/Νορεπινεφρίνη - Συμπαθητικό Νευρικό Σύστημα.
AVP: Αργινίνη - Βαζοπρεσσίνη.
GABA: γ-αμινοβουτυρικό οξύ.
BZD: Βενζοδιαζεπίνη.
ACTH: Κορτικοτροπίνη.
(Προσαρμογή από Chrousos & Gold, JAMA 1992)
Αγχώδεις διαταραχές
και σύστημα στρες
Από την οπτική γωνία της
νευροενδοκρινολογίας, οι περισσότερες διαταραχές της ευρύτερης ομάδας του DSM-IV
που λέγονται "αγχώδεις διαταραχές" αποτελούν χρόνιες διαταραχές του
λεγόμενου "συστήματος στρες". Η κατηγορία νοσημάτων της ψυχιατρικής
που παλαιότερα λεγόταν νευρώσεις (λέξη που χρησιμοποιήθηκε για πρώτη φορά από
τον Cullen το 1796 και υπονοεί προέλευση των συμπτωμάτων από το αυτόνομο νευρικό
σύστημα) και σήμερα λέγεται αγχώδεις διαταραχές, περιλαμβάνει γνωστές κλινικές
οντότητες με αναγνωρισμένη προέκταση στην παιδική ηλικία, όπως τη "γενικευμένη
αγχώδη κατάσταση", τη "διαταραχή πανικού", την "αγοραφοβία"
και τις "ειδικές φοβίες", την "ψυχαναγκαστική διαταραχή",
την "οξεία διαταραχή στρες", τη "μετατραυματική διαταραχή στρες"
και άλλες, η ψυχοπαθολογία των οποίων, όλων, ερμηνεύεται ή αντανακλά στην παθοφυσιολογία
του "συστήματος στρες".

ΣΧΗΜΑ 2. Αριστερά: Φυσιολογική
οξεία αντίδραση στρες. Δεξιά: Υπεραντιδραστικό σύστημα στρες: υπερενεργοποιημένες
αμυγδαλές, υποενεργός ιππόκαμπος και/η υποενεργό μεσοφλοιομεταιχμιακό ντοπαμινεργικό
σύστημα μπορούν να καθιστούν το άτομο ευάλωτο στην ανάπτυξη αγχωδών και συναισθηματικών
διαταραχών, καθώς και να προδιαθέτουν στην ανάπτυξη σωματικών προβλημάτων.
Οι συνεχείς γραμμές δηλώνουν ενεργοποίηση και οι διακεκομμένες αναστολή.
ΔΣ: Δομαμινεργικό Σύστημα.
ΠΚΠ: Παρακοιλιακός πυρήνας.
CRH: Υποθαλαμικός παράγοντας έκλυσης της κορτικοτροπίνης.
LC/NE: Υπομέλας τόπος / Νορεπινεφρίνη - Συμπαθητικό Νευρικό Σύστημα .
AVP: Αργινίνη - Βαζοπρεσσίνη.
(Προσαρμογή από Chrousos and Gold, 1999)
Φυσιολογία του
συστήματος στρες
Τα δυο βασικά στοιχεία (σχήμα
1) που συμμετέχουν στην προσαρμοστική αντίδραση του οργανισμού, σε συνθήκες
που απειλούν την ομοιόστασή του, είναι: α) ο παράγοντας έκλυσης της κορτικοτροπίνης
(CRH) και ο άξονας Υποθάλαμος - Υπόφυση - Επινεφρίδια - ΥΥΕ (Hypothalamic -
Pituitary - Adrenal Axis, HPA axis) και β) ο υπομέλας τόπος και το συμπαθητικό
νευρικό σύστημα (Locus ceruleus/norepinephrine -LC/NE- sympathetic system).
Η CRH, ένα νευροπεπτίδιο με 41 αμινοξέα που απομονώθηκε το 1981, είναι ένας
μεσολαβητής της ενδοκρινικής, αυτονομικής και ανοσολογικής απάντησης στο στρες.
Υψηλές συγκεντρώσεις CRH - πεπτιδεργικών νευρώνων έχουν βρεθεί στον παρακοιλιακό
πυρήνα του υποθαλάμου (PVN), που είναι ο εγκεφαλικός τόπος μέγιστης συγκέντρωσης
της ορμόνης. Σε άλλες εξωυποθαλαμικές περιοχές του εγκεφάλου -στις αμυγδαλές,
τον ιππόκαμπο και αλλού- βρέθηκαν σε μικρότερες πυκνότητες CRH - πεπτιδεργικοί
νευρώνες. Όπως είναι γνωστό, η CRH απελευθερώνεται στο πυλαίο σύστημα της υπόφυσης
και είναι ο κύριος ρυθμιστής έκκρισης της αδρενοκορτικοτρόπου ορμόνης (ΑCTH).
Η Αργινίνη - Βασοπρεσσίνη (AVP) επίσης, συμμετέχει στη ρύθμιση αυτή. Ο φλοιός
των επινεφριδίων, ο κύριος τελικός αποδέκτης του άξονα αυτού, παράγει τα γλυκοκορτικοειδή
στη στηλιδωτή του ζώνη. Ο ρόλος των γλυκοκορτικοειδών συνίσταται στην κατάλληλη
προετοιμασία του οργανισμού για την ανάπτυξη των αναγκαίων ομοιοστατικών μηχανισμών,
στο βαθμό που απαιτείται ώστε να εξασφαλιστεί η επιβίωσή του.
Η ενεργοποίηση του υπομέλανος τόπου και του συμπαθητικού νευρικού συστήματος,
οδηγεί στην απελευθέρωση νοραδρεναλίνης, που έχει ως αποτέλεσμα αυξημένη εγρήγορση
και επαγρύπνηση. Το αυτόνομο νευρικό σύστημα, συμπαθητικό και παρασυμπαθητικό,
ανταποκρίνεται γρήγορα στα στρεσσογόνα ερεθίσματα και ρυθμίζει ένα πλήθος από
λειτουργίες που αφορούν σε όλα σχεδόν τα συστήματα, το καρδιαγγειακό, το αναπνευστικό,
το γαστρεντερικό και άλλα.
Τρία μείζονα εγκεφαλικά συστήματα ενεργοποιούνται από το στρες και επηρεάζουν
το μηχανισμό του. Αυτά είναι: α) Το μεσοφλοιώδες (mesocortical) και το μεσομεταιχμιακό
(mesolimbic) ντοπαμινεργικό σύστημα, που ενεργοποιούνται από τον υπομέλανα τόπο
και το συμπαθητικό νευρικό σύστημα. Το πρώτο νευρώνει την προμετωπιαία περιοχή,
η οποία θεωρείται ότι ενέχεται στις γνωστικές λειτουργίες. Το μεσομεταιχμιακό
έχει πρωταρχικό ρόλο σε φαινόμενα που σχετίζονται με τη δημιουργία κινήτρων
και με το αίσθημα της ανταμοιβής. β) Το σύμπλεγμα του αμυγδαλοειδούς πυρήνα
και του ιππόκαμπου (amygdala / hippocampus complex) ενεργοποιείται κατά το στρες
μέσω κατεχολαμινεργικών νευρώνων. Η ενεργοποίηση του αμυγδαλοειδούς πυρήνα είναι
σημαντική για την ανάσυρση των αποθηκευμένων πληροφοριών, προκειμένου να γίνει
η συναισθηματική ανάλυση της πληροφορίας. Ο ιππόκαμπος φαίνεται ότι ασκεί μείζονα
ανασταλτική επίδραση στη δραστηριότητα των αμυγδαλών, αλλά και στα PVN-CRH και
LC/NE - αυτόνομο νευρικό σύστημα. γ) Το τρίτο σύστημα που ενεργοποιείται κατά
το στρες είναι το προ-οπιομελανοκορτινικό νευρωνικό σύστημα του τοξοειδούς πυρήνα.
Αποτελείται από τους νευρώνες σύνθεσης και παραγωγής β-ενδορφίνης και α-MSH,
οι οποίοι αμοιβαία νευρώνουν και νευρώνονται από τους νευρώνες του PVN-CRH και
LC/NE αυτόνομου νευρικού συστήματος.
Παθοφυσιολογία του συστήματος
στρες
Στρεσσογόνες ή απειλητικές εμπειρίες αποτελούν προσαρμοστικές προκλήσεις για
τον οργανισμό και ο άξονας ΥΥΕ είναι ένα από τα συστήματα που εμπλέκονται στη
φυσική και συμπεριφορική προσαρμογή του οργανισμού στο στρες.
Το φαινόμενο του στρες, γενικά, συνδέεται με την ενεργοποίηση του άξονα ΥΥΕ.
Ωστόσο, υπάρχουν αποδείξεις ότι ο ΥΥΕ άξονας μπορεί να γίνει υποενεργός κάτω
από ορισμένες συνθήκες επαναλαμβανόμενου ή χρόνιου στρες, ως να πρόκειται για
μια φυσιολογική προσαρμογή του στο χρόνιο στρες. Σε μελέτες σε πειραματόζωα
-αρουραίους- έχει φανεί ότι η συνεχής ή επαναλαμβανόμενη έκθεση σε στρεσσογόνα
ερεθίσματα πάνω από 6 εβδομάδες (που θεωρείται ο μέγιστος χρόνος προσαρμογής)
έχει ως αποτέλεσμα ελαττωμένη έκκριση κορτιζόλης, κάτω από τα βασικά επίπεδα.
Μελέτες στον άνθρωπο, τη δεκαετία του 1960-70, έδειξαν ελαττωμένη έκκριση κορτιζόλης
στα ούρα, μετά από χρόνια έκθεση σε μάχες σε στρατιώτες του Βιετνάμ και σε γονείς
παιδιών με χρόνιες σοβαρές ασθένειες, χωρίς να έχει καταχωρηθεί ακόμη η διάγνωση
της ΜΤΔΣ στα βιβλία κατάταξης των ψυχιατρικών νοσημάτων.
Τόσο στις πειραματικές, όσο και στις κλινικές μελέτες, φαίνεται, ότι τα χαμηλά
γλυκοκορτικοειδή στην περιφέρεια αντανακλούν μια χρόνια προσαρμογή στην ενεργοποίηση
του άξονα ΥΥΕ λόγω στρες, με τη μορφή μιας ενισχυμένης αρνητικής παλίνδρομης
αλληλορύθμισης στο επίπεδο του ιππόκαμπου, του υποθαλάμου, ή της υπόφυσης, ίσως
ως αντισταθμιστικός μηχανισμός για να προστατέψει τον οργανισμό από τα χρονίως
αυξημένα επίπεδα γλυκοκορτικοειδών.
Μελέτες σε ενήλικες με μετατραυματική διαταραχή στρες έχουν δείξει:
¶ξονας ΥΥΕ κάτω από βασικές συνθήκες:
Α. Χαμηλά επίπεδα ελεύθερης κορτιζόλης ούρων συγκριτικά με υγιείς μάρτυρες.
Β. Μεγάλο αριθμό υποδοχέων των γλυκοκορτικοειδών στα λεμφοκύτταρα (η ρύθμιση
των υποδοχέων από τις ορμόνες θεωρείται ότι είναι προσαρμοστική).
Γ. Χαμηλή κορτιζόλη πλάσματος και σιέλου σε πρώτο πρωινό δείγμα.
Δ. Διαταραχή στον κιρκάδιο ρυθμό έκκρισης της κορτιζόλης.
Ε. Αυξημένη CRH στο εγκεφαλονωτιαίο υγρό μετά από απλή οσφυονωτιαία παρακέντηση,
αλλά και μετά από τοποθέτηση καθετήρα στην οσφυονωτιαία χώρα σε σειρά μετρήσεων.
ΣΤ. Μη ανιχνεύσιμες διαφορές στα επίπεδα της ACTH μεταξύ ασθενών με PTSD και
μαρτύρων.
Τα ευρήματα αυτά, οδήγησαν στην ανάγκη διενέργειας μελετών κάτω από συνθήκες
πρόκλησης:
Η απάντηση του άξονα ΥΥΕ στις δυναμικές δοκιμασίες:
Α. Φυσιολογική ή υπερ-καταστολή της κορτιζόλης στη δοκιμασία καταστολής με 1mg
δεξαμεθαζόνης.
Β. Ελαττωμένη απάντηση της ACTH στη δοκιμασία πρόκλησης με CRH.
Συμπερασματικά, ο συνδυασμός της αυξημένης συγκέντρωσης CRH στο εγκεφαλονωτιαίο
υγρό και της φυσιολογικής ή ελαττωμένης κορτιζόλης στην περιφέρεια, στους ασθενείς
με ΜΤΔΣ, φαίνεται να είναι ένα εύρημα μοναδικό στις διαταραχές που έχουν μελετηθεί
ως τώρα.
Ο άξονας του Συμπαθητικού Νευρικού Συστήματος:
Α. Υψηλά επίπεδα επινεφρίνης και νορεπινεφρίνης ούρων 24ωρου σχετικά με μάρτυρες,
υψηλότερα μάλιστα από όλες τις ομάδες ασθενών με διαταραχές του συστήματος στρες.
Β. Χαμηλά επίπεδα α-αδρενεργικών υποδοχέων στα αιμοπετάλια ασθενών με ΜΤΔΣ,
που υποδηλώνει αντισταθμιστική ρύθμιση των υποδοχέων στα αυξημένα επίπεδα νοραδρεναλίνης.
Γ. Υψηλότερα επίπεδα νοραδρεναλίνης στο εγκεφαλονωτιαίο υγρό ατόμων με ΜΤΔΣ
μετά από τοποθέτηση καθετήρα και λήψη πολλαπλών δειγμάτων συγκριτικά με φυσιολογικούς
μάρτυρες.

Το ορμονικό
κόστος της βίας στα παιδιά και τους εφήβους
Το τραύμα στα παιδιά έχει σημαντικές ιδιαιτερότητες σχετικά με τους ενήλικες:
Α. Η παιδική κακοποίηση, η οποία ορίζεται ως παραμέληση ή/και φυσική, σεξουαλική
και συναισθηματική κακοποίηση (η τελευταία αφορά σε λεκτικές απειλές στο παιδί
ή μαρτυρία οικιακής βίας), είναι ένα "προνόμιο" της παιδικής ηλικίας.
Η παιδική κακοποίηση είναι ταυτόχρονα αιτία και παράγοντας κινδύνου για την
ανάπτυξη ΜΤΔΣ.
Β. Η τραυματική εμπειρία στην παιδική ηλικία μπορεί να είναι καθοριστική, λόγω
της επίδρασής της στον αναπτυσσόμενο εγκέφαλο. Οι κατεχολαμινεργικές νευροδιαβιβαστές
και οι στεροειδείς ορμόνες όπως η κορτιζόλη και τα οιστρογόνα, είναι γνωστό
ότι ρυθμίζουν τη νευρωνική μετανάστευση, τη διαφοροποίηση, τον πολλαπλασιασμό
των συνάψεων και μπορεί να επηρεάσουν την ανάπτυξη του εγκεφάλου.
Αποτελέσματα από μετα-αναλύσεις, δείχνουν ότι τα παιδιά και οι έφηβοι είναι
περίπου 1,5 φορά πιο πιθανό να αναπτύξουν ΜΤΔΣ σχετικά με τους ενήλικες.
Μελέτες σε μεγάλο αριθμό κακοποιημένων παιδιών (πίνακας 5) έδειξαν ποικιλομορφία
στη δραστηριότητα του άξονα ΥΥΕ, ανάλογα με το είδος της κακοποίησης.
Σε παραμελημένα κακοποιημένα παιδιά έχουν βρεθεί:
- Χαμηλή νορεπινεφρίνη και κορτιζόλη στα ούρα 24 ώρου.
- Χαμηλά επίπεδα της β-υδροξυλάσης της ντοπαμίνης στο πλάσμα - ενζύμου που εμπλέκεται
στη σύνθεση της νορεπινεφρίνης.
- Χαμηλή συστολική και διαστολική πίεση αίματος, εύρημα που είναι συμβατό με
χαμηλή νοραδρενεργική λειτουργία.
Αντίθετα, σε σεξουαλικά κακοποιημένα παιδιά έχουν βρεθεί:
- Σημαντικά υψηλές συγκεντρώσεις βασικών επιπέδων κορτιζόλης και νορεπινεφρίνης
συγκριτικά με φυσιολογικούς μάρτυρες.
- Σε κορίτσια, μετά από διέγερση με CRH, βρέθηκαν ελαττωμένα απογευματινά βασικά
και μετά από διέγερση επίπεδα ACTH συγκριτικά με τους μάρτυρες, ενώ η ολική
και ελεύθερη κορτιζόλη στο πλάσμα και τα ούρα δεν διέφερε στις δυο ομάδες.
Σε φυσικά κακοποιημένα παιδιά με ΜΤΔΣ έχουν βρεθεί:
- Υψηλότερα μέσα επίπεδα κορτιζόλης σιέλου σε όλες τις ώρες που πραγματοποιήθηκαν
μετρήσεις και η διαφορά αυτή ήταν μεγαλύτερη κατά τις απογευματινές και βραδινές
ώρες.
Η παιδική κακοποίηση, όμως, είναι σπάνια ένα μεμονωμένο γεγονός. Τα παιδιά συχνά
βιώνουν επαναλαμβανόμενη και χρόνια βία, ενώ οι οικογενειακές δομές που ανέχονται
ή επιτρέπουν τα φαινόμενα αυτά, συνυπάρχουν συχνά με άλλους στρεσσογόνους παράγοντες,
όπως το χαμηλό κοινωνικοοικονομικό επίπεδο, η ανεργία και τα ψυχιατρικά προβλήματα
των γονέων.
Μελέτες σε παιδιά μετά από μεμονωμένα τραυματικά γεγονότα:
- Πέντε χρόνια μετά το σεισμό της Αρμενίας του 1988, οι έφηβοι με συμπτωματολογία
ΜΤΔΣ που ζούσαν κοντά στο επίκεντρο του σεισμού, παρουσίασαν αυξημένη καταστολή
της κορτιζόλης στη δεξαμεθαζόνη -χαμηλότερα επίπεδα κορτιζόλης- σχετικά με αυτούς
που έμεναν μακρύτερα και που είχαν μικρότερη συμπτωματολογία.
- Από τα παιδιά που προσκομίστηκαν σε τμήμα επειγόντων περιστατικών μετά από
διαφόρων ειδών ατυχήματα (τροχαία, πτώσεις, αθλητικά), η κορτιζόλη και οι κατεχολαμίνες
ούρων 12ωρου βρέθηκαν να είναι υψηλότερες στα παιδιά εκείνα που ανέπτυξαν στη
συνέχεια ΜΤΔΣ, εύρημα που έρχεται σε αντίθεση με τη χαμηλή κορτιζόλη ως προγνωστικό
δείκτη ΜΤΔΣ στους ενήλικες.

ΣΧΗΜΑ 3. α) Σχηματική αναπαράσταση
της γενετικής συνέχειας που ορίζει τη γενετική αντοχή / ευαισθησία ενός ατόμου
στα στρεσσογόνα ερεθίσματα. Τα κάθετα βέλη δείχνουν το μέγεθος των περιβαλλοντικών
στρεσσογόνων ερεθισμάτων που μπορεί να οδηγήσουν στη δημιουργία νόσων.
β) Πρώιμα στρεσσογόνα ερεθίσματα μπορεί να έχουν μια μόνιμη δράση στην ικανότητα
ενός ατόμου να ανταποκρίνεται αποτελεσματικά στο στρες, γεγονός που συνιστά
μια ιδιοσυστασιακή "υπερευαισθησία" ενός ατόμου στα στρεσσογόνα ερεθίσματα
Προσαρμογή από Chrousos G.P., 1997

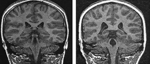
ΕΙΚΟΝΑ 1. Διευρυσμένες πλάγιες
κοιλίες σε ένα 11χρονο κακοποιημένο αγόρι με ΜΤΔΣ (Δεξιά), συγκριτικά με μάρτυρα
ίδιας ηλικίας και φύλου (Αριστερά).
Προσαρμογή από De Bellis, 1999
Η επίδραση του
τραυματικού στρες στον αναπτυσσόμενο εγκέφαλο
Κατά τον Jacobson, η νευρωνική τροποποίηση συμβαίνει μέσω της επιλεκτικής μείωσης.
Αυτό σημαίνει ότι η υπερπαραγωγή συνάψεων είναι γενετικά προγραμματισμένη και
ότι η τελική σχηματοποίηση των νευρικών κυκλωμάτων συμβαίνει με την εξάλειψη
κάποιων από αυτές, ώστε να επιταχυνθεί η εμφάνιση των επίκτητων ικανοτήτων και
να ελαττωθούν οι μεταβολικές ανάγκες του οργανισμού. Οι διακυμάνσεις των επιπέδων
των κορτικοστεροειδών παίζουν ένα σημαντικό ρόλο στην έναρξη και τον τερματισμό
αυτής της διαδικασίας. Στην πραγματικότητα, ο ανθρώπινος εγκέφαλος έχει σχεδιαστεί
να "πλάθεται" στην τελική του μορφή από την επίδραση της πρώιμης εμπειρίας.
Πριν από τη γέννηση, ο αναπτυσσόμενος εγκέφαλος περιλαμβάνει δύο με τρεις φορές
το σύνολο των νευρώνων του ενηλίκου. Η παραγωγή νέων νευρώνων σταματά στις περισσότερες
περιοχές του εγκεφάλου κατά τη γέννηση. Κατά την παιδική ηλικία συμβαίνει μια
σημαντική επέκταση των αξονικών και δενδριτικών απολήξεων και μια γρήγορη αύξηση
των συναπτικών δεσμών.
Για την κατανόηση της επίδρασης του πρώιμου στρες στον αναπτυσσόμενο εγκέφαλο
πρέπει να είναι γνωστά τα εξής:
Α. Πρώιμα στρεσσογόνα ερεθίσματα επηρεάζουν τη μοριακή σύνθεση του συμπλέγματος
γαμμα-αμινοβουτυρικό οξυ (GABA) - βενζοδιαζεπίνης και την ανάπτυξη των κεντρικών
υποδοχέων του στις αμυγδαλές του εγκεφάλου και τον υπομέλανα τόπο. Το αποτέλεσμα
είναι αίσθημα φόβου και άγχους που προκαλείται από την ελαττωμένη GABAεργική
αναστολή των αμυγδαλών που διαβιβάζεται μέσω των CRH προσεκβολών από τις αμυγδαλές
προς τον υπομέλανα τόπο και από αυτόν στις νοραδρενεργικές περιοχές του εγκεφάλου.
Συμπερασματικά, το πρώιμο στρες (σχήματα 2, 3) προγραμματίζει τον εγκέφαλο των
θηλαστικών ώστε να αντιδρά με περισσότερο φόβο και άγχος στα ερεθίσματα και
να έχει μια ενισχυμένη νοραδρενεργική και κορτικοστεροειδική απάντηση στο στρες.
Β. H έκθεση του αναπτυσσόμενου εγκεφάλου στις ορμόνες του στρες επηρεάζει τη
μυελινοποίηση, τη νευρωνική μορφολογία, τη νευρογένεση και τη συναπτογένεση.
Μελέτες σε πειραματόζωα έχουν δείξει ότι η έκθεση σε υψηλά επίπεδα γλυκοκορτικοειδών
στα πρώτα στάδια της ζωής, ελαττώνει μόνιμα το βάρος του εγκεφάλου και το περιεχόμενο
σε DNA και εμπλέκεται στη μυελινοποίηση. Τα γλυκοκορτικοειδή, επίσης, έχει φανεί
ότι επηρεάζουν τη νευρωνική μορφογένεση, ελαττώνοντας τον αριθμό των δενδριτών
σε πολλές εγκεφαλικές περιοχές.
Γ. Οι πιο ευάλωτες εγκεφαλικές περιοχές στο πρώιμο στρες είναι εκείνες που αναπτύσσονται
αργά μεταγεννητικά και που έχουν ένα μεγάλο αριθμό υποδοχέων των γλυκοκορτικοειδών.
Περιοχές του εγκεφάλου ευάλωτες στο στρες είναι:
Ο ιππόκαμπος: H περιοχή αυτή παίζει ένα σημαντικό ρόλο στην εναπόθεση και την
ανάκτηση της μνήμης. Αποτελεί, επίσης, ένα σημαντικό συστατικό του συστήματος
αναστολής της συμπεριφοράς όταν είναι περιβαλλοντικά μη αποδεκτή. Ο ιππόκαμπος
παρουσιάζει παρατεταμένη οντογένεση, έντονη μεταγεννητική νευρογένεση και υψηλή
πυκνότητα υποδοχέων των γλυκοκορτικοειδών.
Απεικόνιση με μαγνητικό συντονισμό (ΜRΙ) σε ενήλικες με ΜΤΔΣ έδειξαν μικρότερο
όγκο του ιππόκαμπου συγκριτικά με μάρτυρες, ενώ σε κακοποιημένα παιδιά με ΜΤΔΣ,
η ΜRI απέτυχε να δείξει σημαντικές διαφορές στο μέγεθος του ιππόκαμπου.
Οι αμυγδαλές του εγκεφάλου: εμπλέκονται στην κατάσταση του φόβου και στον έλεγχο
της επιθετικής προφορικής και σεξουαλικής συμπεριφοράς. Είναι, επίσης, πιθανό
ότι η περιοχή αυτή παίζει ρόλο στη δημιουργία και την ανάκληση της συναισθηματικής
μνήμης. Tέλος, παίζουν πολύ σημαντικό ρόλο στην fight or flight αντίδραση. To
πρώιμο στρες μετριάζει την ανάπτυξη του GABA-A υπερμοριακού συμπλέγματος στις
αμυγδαλές του εγκεφάλου, ελαττώνοντας την πυκνότητα των υποδοχέων του. Αρκετές
απεικονιστικές μελέτες σε ενήλικες με PTSD, μετά από κακοποίηση στην παιδική
ηλικία, δεν έδειξαν διαφορές στον όγκο των αμυγδαλών συγκριτικά με φυσιολογικούς
μάρτυρες. Μικρό μέγεθος της αριστερής αμυγδαλής έχει βρεθεί σε μελέτη σε νεαρούς
ενήλικες με ιστορικό κακοποίησης στην παιδική ηλικία, χωρίς όμως κλινική ΜΤΔΣ.
Το μεσολόβιο: Μελέτες σε πειραματόζωα, έδειξαν ότι το μέγεθος του μεσολοβίου
επηρεάζεται από το πρώιμο στρες και ότι η επίδραση αυτή είναι ανάλογη με το
φύλο. Μελέτες σε παιδιά μετά από κακοποίηση ή παραμέληση, έδειξαν εκσεσημασμένη
ελάττωση στο μέγεθος του μέσου μέρους του μεσολοβίου και αυτό φαίνεται σε μια
μελέτη ως το πιο κυρίαρχο ανατομικό εύρημα στη ΜΤΔΣ μετά από κακοποίηση. Βρέθηκε,
επίσης, ότι τα αγόρια είναι ευάλωτα κυρίως στην παραμέληση, ενώ τα κορίτσια
στη σεξουαλική κακοποίηση.
Στη μελέτη των De Bellis και συνεργατών βρέθηκε ότι κακοποιημένα παιδιά και
έφηβοι παρουσίαζαν μικρότερους ενδοκρανιακούς όγκους και περισσότερο διευρυμένες
πλάγιες κοιλίες (εικόνα 1) από ό,τι φυσιολογικοί μάρτυρες ίδιας ηλικίας και
φύλου.
Tελικά, φαίνεται απίθανη η εκδοχή ότι κατά τη διάρκεια της ανάπτυξης το στρες
δρα απλά καταστροφικά σε έναν εγκέφαλο ανίκανο να το διαχειριστεί. Φαίνεται
πιθανότερο ότι ο αναπτυσσόμενος εγκέφαλος διαμορφώνεται εκ φύσεως, προσαρμοστικά,
κατά την έκθεση στο πρώιμο στρες, ακολουθώντας αυτή την εξέλιξη ως ένα εναλλακτικό
αναπτυξιακό μονοπάτι. Συμπερασματικά, οι συνέπειες του τραυματικού βιώματος
μπορεί να είναι διηνεκείς και αμετάκλητες.
Tραύμα
και ΜΤΔΣ
Οι διαταραχές που συνδέονται με το πρώιμο στρες είναι η κατάθλιψη, η μετατραυματική
διαταραχή στρες, η διαταραχή ελλειμματικής προσοχής - υπερκινητικότητας, η οριακή
διαταραχή προσωπικότητας, η διαταραχή διχασμένης ταυτότητας και η κατάχρηση
ουσιών. To τραύμα κατά την παιδική ηλικία δεν οδηγεί απαραίτητα στην ανάπτυξη
ΜΤΔΣ. Οι Deblinger και συνεργάτες βρήκαν ότι μόνο το 6,9% των νοσηλευομένων
παιδιών με ιστορικό φυσικής κακοποίησης και το 20,7% με ιστορικό σεξουαλικής
κακοποίησης συμπλήρωναν τα διαγνωστικά κριτήρια για ΜΤΔΣ, ενώ οι Famularo και
συνεργάτες βρήκαν ότι μόνο το 35% των κακοποιημένων παιδιών πληρούν τα αυστηρά
κριτήρια για ΜΤΔΣ. Τα παραπάνω ευρήματα συνηγορούν υπέρ του ότι τα κριτήρια
της ΜΤΔΣ δεν αντανακλούν απαραίτητα τη συνολική νοσηρότητα μετά την έκθεση σε
τραύμα κατά την παιδική ηλικία.
Μετατραυματική
Διαταραχή Στρες και αλλοστατικό φορτίο
Οι φυσιολογικοί μεσολαβητές της προσαρμογής, όπως τα γλυκοκορτικοειδή, η αδρεναλίνη,
η νοραδρεναλίνη και οι κυτοκίνες δρουν στους υποδοχείς των ιστών και προκαλούν
δράσεις οι οποίες είναι προσαρμοστικές μετά από ένα στρεσσογόνο ερέθισμα, αλλά
μπορούν να είναι καταστροφικές αν συνεχίζουν να δρουν και μετά τη λήξη του ερεθίσματος,
χωρίς να χρειάζονται. Η κατάσταση κατά την οποία οι μεσολαβητές αυτοί συνεχίζουν
να δρουν, χρονίως, στον ίδιο βαθμό ακόμη και όταν δεν χρειάζεται, ή δεν απελευθερώνονται
στο βαθμό που πρέπει όταν χρειάζεται ή γίνεται υπερβολική χρήση τους λόγω μιας
υπέρμετρης πρόκλησης, αναφέρεται ως "αλλόσταση" (σχήμα 2). Οι μαζικές
αυτές αλλαγές οδηγούν σε μια κατάσταση φυσιολογικής φθοράς -wear and tear- για
τον εγκέφαλο και το σώμα.
Η χρόνια υπερκορτιζολαιμία αντανακλά μια παρατεταμένη απάντηση, που οφείλεται
στην ανικανότητα να τερματιστεί η αλλοστατική απάντηση μετά το τέλος της δράσης
ενός στρεσσογόνου ερεθίσματος. Η χρόνια υποκορτιζολαιμία, αντίθετα, αναφέρεται
στην ανεπάρκεια κορτιζόλης, η οποία εκδηλώνεται με πολλούς τρόπους: ως ελάττωση
στην έκκριση κορτικοειδών στη διάρκεια του κιρκάδιου κύκλου, ως ελαττωμένη κορτικοειδική
απαντητικότητα ή ως ενισχυμένη αρνητική παλίνδρομη αλληλορύθμιση του άξονα ΥΥΕ.
Η χρόνια δυσλειτουργία του άξονα ΥΥΕ, η υπερδραστηριότητα των αμυγδαλών του
εγκεφάλου και η ατροφία του ιππόκαμπου μπορεί να οδηγήσουν (όπως έχει αποδειχθεί
για την κατάθλιψη) σε επηρεασμένη ανοσία, αθηροσκλήρωση, παχυσαρκία, οστεοπόρωση
και σύνδρομα χρόνιας κόπωσης και πόνου.
Μετατραυματική ανάπτυξη
Από την οπτική γωνία της εξελικτικής ψυχολογίας, ένα ποσοστό των ανθρώπων που
εκτίθεται σε τραυματικό γεγονός αναπτύσσει μετατραυματική διαταραχή, ενώ η πλειοψηφία
θα βιώσει κάποιες προσαρμοστικές δράσεις του τύπου της μετατραυματικής ανάπτυξης,
Posttraumatic Growth - PTG.
Σύμφωνα με τον Teicher "o εγκέφαλος έχει σχεδιαστεί να σμιλεύεται από την
πρώιμη εμπειρία και το σοβαρό στρες συχνά είναι ένα κοινό στοιχείο της πρώιμης
ζωής μέσα από την ιστορία του ανθρώπινου είδους". Ενώ, όμως, οι βιολογικοί
μηχανισμοί που υπόκεινται κατά την απάντηση στο στρες είναι ενιαίοι, τα ειδικά
"δυναμικά" της απάντησης στρες είναι πάντα αποτέλεσμα ενός μοναδικού
κοινωνικού και πολιτισμικού περιβάλλοντος και μιας μοναδικής ψυχολογικής δομής
του ατόμου.
Τόσο η ψυχική υγεία των ατόμων, όσο και το προσαρμοστικό δυναμικό ανάπτυξης
του ανθρώπινου είδους, ως σύνολο, καθορίζονται βαθιά από την ανάπτυξη της λογικής,
που είναι ο περισσότερο εξελικτικός και περίπλοκος συμπεριφορικός μηχανισμός
ελάττωσης του στρες.
ΒΙΒΛΙΟΓΡΑΦΙΑ
Φ. ΤΖΩΡΤΖΑΤΟΥ - ΣΤΑΘΟΠΟΥΛΟΥ
Bertucci F, Salas S, Eysteries
S, et al. Gene expression profiling of colon cancer by DNA microarrays and correlation
with histoclinical parameters. Oncogene 2004; 23:1377-91.
Byrd JC, Bresalier RS. Mucins and mucin binding proteins in colorectal cancer.
Cancer Metastasis Rev 2004; 23:77-99.
Catto JW, Azzouzi AR, Amira N, et al. Distinct patterns of microsatellite instability
are seen in tumours of the urinary tract. Oncogene 2003; 22:8699-706.
Copeland WC, Wachsman JT, Johnson FM, Penta JS. Mitochondrial DNA alterations
in cancer. Cancer Invest 2002; 20:557-69.
Diamandis EP. Mass spectrometry as a diagnostic and a cancer biomarker discovery
tool: Opportunities and potential limitations. Mol Cell Proteomics 2004.
Han SE, Park KH, Lee G, Huh YJ, Min BM. Mutation and aberrant expression of
Caveolin-1 in human oral squamous cell carcinomas and oral cancer cell lines.
Int J Oncol 2004; 24:435-40.
Hanash S. Harnessing immunity for cancer marker discovery. Nat Biotechnol 2003;
21:37-8.
Jeronimo C, Nomoto S, Caballero OL, et al. Mitochondrial mutations in early
stage prostate cancer and bodily fluids. Oncogene 2001; 20:5195-8.
Kuroki T, Trapasso F, Yendamuri S, et al. Allelic loss on chromosome 3p21.3
and promoter hypermethylation of semaphorin 3B in non-small cell lung cancer.
Cancer Res 2003; 63:3352-5.
Laird PW. The power and the promise of DNA methylation markers. Nat Rev Cancer
2003; 3:253-66.
Madoz-Gurpide J, Wang H, Misek DE, Brichory F, Hanash SM. Protein based microarrays:
a tool for probing the proteome of cancer cells and tissues. Proteomics 2001;
1:1279-87.
Mariani SM. Clinical proteomics: new promises for early cancer detection. Med
Gen Med 2003; 5:23.
Mills GB, Bast RC, Srivastava S. Future of ovarian cancer screening: from emerging
technology of transcriptional profiling and proteomics. J Natl Cancer Inst 2001;
93:1437-9.
Muller P, Ostwald C, Puschel K, et al. Low frequency of p53 and ras mutations
in bile of patients with hepato-biliary disease: a prospective study in more
than 100 patients. Eur J Clin Invest 2001; 31:240-7.
Ohashi K, Tstsumi M, Nakajima Y, Nakano H, Konishi Y. Ki-ras point mutations
and proliferation activity in biliary tract carcinomas. Br J Cancer 1996; 74:930-5.
Penta JS, Johnson FM, Wachsman JT, Copeland WC. Mitochondrial DNA in human malignancy.
Mutat Res 2001; 488:119-33.
Polyak K, Li Y, Zhu H, et al. Somatic mutations of the mitochondrial genome
in human colorectal tumours. Nat Genet 1998; 20:291-3.
Sozzi G, Conte D, Leon M, et al. Quantification of free circulating DNA as a
diagnostic marker in lung cancer. J Clin Oncol 2003; 21:3902-8.
Sozzi G, Conte D, Mariani L, et al. Analysis of circulating tumor DNA in plasma
at diagnosis and during follow-up of lung cancer patients. Cancer Res 2001;
61:4675-8.
Srinivas PR, Verma M, Zhao Y, Srivastava S. Proteomics for cancer biomarker
discovery. Clin Chem 2002; 48:1160-9.
Srinivas P, Barker PE, Sirvastava S. Nanotechnology in early cancer detection.
Lab Invest 2002; 82:1-5.
Takahara M, Kishibe K, Bandoh N, Nonaka S, Harabuchi Y. P53, N- and K-Ras, and
beta-catenin gene mutations and prognostic factors in nasal NK/T-cell lymphoma
from Hokkaido, Japan. Hum Pathol 2004; 35:86-95.
Venkitaraman AR. Cancer susceptibility and the functions of BRCA1 and BRCA2.
Cell 2002; 108:171-82.
Verma M, Srivastava S. New cancer biomarkers deriving from NCI early detection
research. Recent Results Cancer Res 2003; 163:72-84.
Verma M, Kagan J, Sidransky D, Srivastava S. Proteomic analysis of cancer-cell
mitochondria. Nat Rev Cancer 2003; 3:789-95.
Wulfkuhle JD, Paweletz CP, Steeg PS, Petricoin EF, 3rd, Liotta L. Proteomic
approaches to the diagnosis, treatment, and monitoring of cancer. Adv Exp Med
Biol 2003; 532:59-68.
Yanagisawa K, Shyr Y, Xu BJ, et al. Proteomic patterns of tumour subsets in
non-small-cell lung cancer. Lancet 2003; 362:433-9.
Zheng Y, Xu Y, Ye B, et al. Prostate carcinoma tissue proteomics for biomarker
discovery. Cancer 2003; 98:2576-82.
Ε. ΔΡΟΓΚΑΡΗ
Baynes I, Dominiczak M. Ιατρική
Βιοχημεία. Επιμέλεια Α. Καλοφούτης. Εκδόσεις Παρισιάνου ΑΕ, 2002, Αθήνα.
Chinnery FP, Turnbull MD. Epidemiology and Treatment of Mitochondrial Disorders.
American Journal of Medical Genetics (Semin Med Genet) 2001; 106:94-101.
Dahl H-HM, Thorburn DR. Mitochondrial Diseases: Beyond the Magic Circle. American
Journal of Medical Genetics (Semin Med Genet) 2001; 106:1-3.
Dimauro S, Schon AE. Mitochondrial Mutations in Human Disease. American Journal
of Medical Genetics (Semin Med Genet) 2001; 106:18-26.
Munnich A, Rustin P. Clinical Spectrum and Diagnosis of Mitochondrial Disorders.
American Journal of Medical Genetics (Semin Med Genet) 2001; 106:4-17.
Orth M, Schapira AHV. Mitochondria and Degenerative Disorders. American Journal
of Medical Genetics (Semin Med Genet) 2001; 106:27-36.
Raha S, Robinson HB. Mitochondria, Oxygen Free Radicals, and Apoptosis. American
Journal of Medical Genetics (Semin Med Genet) 2001; 106:62-70.
Scaglia F, Towbin AJ, Craigen JW, Belmont WJ, E O'Brian Smith, Neish RS, Ware
MS, Hunter VJ, Fernbach DS, Vladutiu DG, Wong C Lee-Jun and Hannes Vogel. Pediatrics
2004; 114:925-931, DOI: 10.1542/peds. 2004-0717. "Clinical Spectrum, Morbidity,
and Mortality in 113 Pediatric Patients With Mitochondrial Disease".
Shoubridge AE. Cytochrome c Oxidase Deficiency. American Journal of Medical
Genetics (Semin Med Genet) 2001; 106: 46-52.
Smeitink JAM. Journal of Inherited Metabolic Disease. DOI: 10.1023/A: 1024489218004.
Issue: Volume 26, Number 2-3, January 2003, pages: 199-207. Mitochondrial disorders:
Clinical presentation and diagnostic dilemmas.
Suomalainen A, Kaukonen J. Diseases Caused by Nuclear Genes Affecting mtDNA
Stability. American Journal of Medical Genetics (Semin Med Genet) 2001; 106:53-61.
Triepels RH, Van Den Heuvel LP, Trijbels JM, Smeitink JA. Respiratory Chain
Complex I Deficiency. American Journal of Medical Genetics (Semin Med Genet)
2001; 106:37-45.
Wallace CD. Mouse Models for Mitochondrial Disease. American Journal of Medical
Genetics (Semin Med Genet) 2001; 106:71-93.
Λ. ΘΩΜΑΪΔΟΥ
Christensen HC, Schuz J,
Kosteljanetz M, Poulsen HS, Thomsen J, Johansen C. Cellular telephone use and
risk of acoustic neuroma. Am J Epidemiol 2004; 159:277-283.
COST 281 (European Cooperation in the Field of Scientific and Technical al Research)
2001. Mobile Telecommunication Base Stations - Exposure to Electromagnetic Fields.
Report of a Short Term Mission within COST 244bis. Available: http://www.cost
281.org/activities/Short term mission. pdf [accessed 27 October 2004].
Dreyer NA, Loughlin JE, Rothman KJ. Cause - specific mortality in cellular telephone
users. JAMA 1999; 282:1814-1816.
Hardell L, Mild KH, Carlberg M. Case control study on the use of cellular and
cordless phones and the risk for malignant brain tumours. Int J Radiat Biol
2002; 78:931-936.
Hardell L, Mild KH, Carlberg M. Further aspects on cellular and cordless telephones
and brain tumours. Int J Oncol 2003; 22:399-407.
Hardell L, Mild KH, Pahison A, Hallquist. A lonizing radiation, cellular telephones
and the risk for brain tumours. Eur J Cancer Prev 2001; 10:523-529.
Hardell L, Nasman A, Pahison A, Haliquist A, Hansson Mild K. Use of cellular
telephones and the risk for brain tumours: a case-control study. Int J Oncol
1999; 15:113-116.
Hayes RB, Brown LM, Pottern LM, Gomez M, Kardaun JW, Hoover RN, et al. Occupation
and risk for testicular cancer: a case-control study. Int J Epidemiol 1990;
19:825-831.
Hietanen M, Hδmδlδinen AM, Husman T. Hypersensitivity symptoms associated with
exposure to cellular telephones: no causal link. Bioelectromagnetics 2002; 23:264-270.
Hitchcock RT, Patterson RM. Radio - Frequency and ELF Electromagnetic Energies
A Hadbook for Health Professionals. New York: Van Nostrand Reinhold 1995.
IEGMP Mobile Phones and Health Chilton, Didcot, UK: Independent Expert.
Group on Mobile Phones 2000. Available:
http://www.iegmp.org.uk/report/text.htm [accessed 5 November 2004]
Royal Society of Canada. 1999. A Review of the Potential Health Risks of Radiofrequency
Fields from Wireless Telecommunication Devices. Ottawa, Ontario: Royal Society
of Canada. Available: http://www.rsc. ca/english/RFreport.pdf [accessed 4 November
2004]
Sandstrom M, Wilen J, Ofredal G, Hansson Mild K. Mobile phone use and subjective
symptoms. Comparison of symptoms experienced by users of analogue and digital
mobile phones. Occup Med (Lond) 2001; 51:25-35.
Santini R, Santini P, Danze JM, Le Ruz P, Seigne M. Investigation on the health
of people living near mobile telephone relay stations: 1/Incidence according
to distance and sex. Pathol Biol (Paris) 2002; 50:369-373.
Santini R, Santini P, Danze JM, Le Ruz P, Seigne M. Symptoms experienced by
people in vicinity of base stations: 2/Incidences of age, duration of exposure,
location of subjects in relation to the antennas and other electromagnetic factors.
Pathol Biol (Paris) 2003; 51:412-415.
ICNIRP (International Commission for Non - Ionizing Radiation Protection) Standing
Committee on Epidemiology: Ahlbom A, Green A, Kheiferts L, Savitz D, Swerdlow
A. Epidemiology of Health Effects of Radiofrequency Exposure. Environmental
Health Perspectives 2004; 112:1741-1754.
Koivisto M, Haarala C, Krause CM, Revonsuo A, Laine M, Hδmδlδinen H. GSM phone
signal does not produce subjective symptoms. Bioelectromagnetics 2001; 22:212-215.
Muscat JE, Malkin MG, Thompson S, Shore RE, Neugut Al, Stellman SD, et al. Handheld
cellular telephones and risk of acoustic neuroma. Neurology2002; 58:1304-1306.
Muscat JE, Malkin MG, Shore RE, Thompson S, Shore RE, Stellman SD, McRee D,
et al. Handheld cellular telephones use and risk of brain cancer. JAMA 2000;
284:3001-3007.
Navarro EA, Segura J, Portoles M Gemez - Perretta de Mateo C. The microwave
syndrome: a preliminary study in Spain. Electromagn Biol Med 2003; 22:161-169.
NRPB 2003. Health Effects from Radiofrequency Electromagnetic Fields. Report
of an Independent Advisory Group on Non-ionising Radiation Chilton, Didcot UK:
National Radiation Protection Board. Available: http://www.nrpd.org/publications/documents
of nrpd/pdfs/doc - 14-2. pdf [accessed 28 October 2004].
McKenzie DR, Yin Y, Morrell S. Childhood incidence of acute lymphoblastic leukaemia
and exposure to broadcast radiation in Sydney - a second look. Aust NZ J Public
Health 1998; 22:360-367.
Michelozzi P, Capon A, Kirchmayer U, Forastiere F, Biggen A, Barca A, et al.
Adult and childhood leukaemia near a high - power radio station in Rome. Italy.
Am J Epidem 2002; 155:1096-1103.
Π.
ΠΕΡΒΑΝΙΔΟΥ
American Psychiatric Association (1994). Diagnostic and statistical manual of
mental disorders-DSM-IV, 4TH ed. Washington DC.
Carrion VG, Weems CF, Ray RD, Glaser B, Hessl D, Reiss AL. Diurnal salivary
cortisol in pediatric posttraumatic stress disorder. Biol Psychiatry 2002; 51(7):575-82.
Christopher M. A broader view of trauma. A biopsychosocial-evolutionary view
of the role of the traumatic stress response in the emergence of pathology and/or
growth. Clinical Psychology, 2004; 24:75-98 Review.
Chrousos GP, Gold PW. The Concepts of Stress and Stress System Disorders. JAMA
March 4 1992; 267:1244-1252.
Chrousos GP. The Future of Pediatric and Adolescent Endocrinology. Ann New York
Acad Sci 1997; 816:4-8.
Chrousos GP and Gold PW 1999. The inhibited child "syndrome". Thoughts
on its Potential Pathogenesis and Sequelae. In: Extreme Fear, Shyness and Social
Phobia: Origins, Biological Mechanisms and Clinical Outcomes, (eds.) L. A. Schmidt,
J. Schulkin, Oxford Univ. Press, New York p. 193-200.
Ciccheti D, Rogosch FA. Diverse patterns of neuroendocrine activity in maltreated
children. Dev Psychopathol Summer 2001; 13(3):677-93.
De Bellis MD, Chrousos GP, Dorn LD, et al. Hypothalamic-pituitary-adrenal axis
dysregulation in sexually abused girls. Journal of Clinical Endocrinology and
Metabolism 1994; 78:249-255.
De Bellis MD, Lefter L, Trichet P, Putnam FW. Urinary Catecholamine Excretion
in Sexually Abused Girls. J Am Acad Child Adolesc Psychiatry 1994; 33(3):320-327.
De Bellis MD, Keshavan MS, Clark DB, Casey BJ, Giedd JN, Boring AM, Frustaci
K, Ryan ND. Developmental Traumatology Part II: Brain Development. Biological
Psychiatry 1999; 45:1271-1284.
De Bellis MD, Keshavan MS, Shifflett H, Iyengar S, Beers SR, Hall J, Moritz
G. Brain Structures in Pediatric Maltreatment Related Posttraumatic Stress Disorder:
A Sociodemographically Matched Study. Biological Psychiatry 2002; 52:1066-1078.
De Bellis MD, Thomas LA. Biological findings of posttraumatic stress disorder
and child maltreatment. Curr Psychiatry Rep 2003 Jun; 5(2):108-17 Review.
Delahanty DL, Nugent NR, Christopher NC, Walsh M. Initial urinary epinephrine
and cortisol levels predict acute PTSD symptoms in child trauma victims. Psychoneuroendocrinology
2005 Feb; 30(2):121-8.
Duval F, Crocq MA, Guillon MS, Mokrani MC, Montreal J, Bailey P, Macher JP.
Increased adrenocorticotropin suppression following dexamethasone administration
in sexually abused adolescents with posttraumatic stress disorder. Psychoneuroendocrinology
2004 Nov; 29(10):1281-9.
Heim C, Nemeroff CB. The Role of Childhood Trauma in the Neurobiology of Mood
and Anxiety Disorders: Preclinical and Clinical Studies. Biol Psychiatry 2001;
49:1023-1039.
Lemieux AM, Coe CL. Abuse related posttraumatic stress disorder: evidence for
chronic neuroendocrine activation in women. Psychosom Med 1995 Mar-Apr; 57(2):105-15.
Lipschitz DS, Rasmusson AM, Yehuda R, Wang S, Anyan W, Gueoguieva R, Grilo CM,
Fehon DC, Southwick SM. Salivary cortisol responses to dexamethasone in adolescents
with posttraumatic stress disorder. J Am Acad Child Adolesc Psychiatry 2003
Nov; 42(11):1310-7.
McEwen BS. Mood disorders and Allostatic Load. Biol Psychiatry 2003; 54:200-207.
Teicher MH, Andersen SL, Polcari A, Anderson CM, Navalta CP. Developmental neurobiology
of childhood stress and trauma. Psychiatr Clin North Am 2002 June; 25(2):397-426,
vii-viii. Review.
Terr LC. Childhood Traumas-an outline and overview. American Journal of Psychiatry
1991; 27:96-104.
Thomas LA, De Bellis MD. Pituitary volumes in pediatric maltreatment-related
posttraumatic stress disorder. Biol Psychiatry 2004 Apr 1; 55(7):752-8.
Yehuda R, Giller EL, Southwick SM, Lowy MT and Mason JW. Hypothalamic-Pituitary-Adrenal
Dysfunction in Posttraumatic Stress Disorder. Biological Psychiatry 1991; 30:1031-1048.
Yehuda R. Interactions of the hypothalamic-pituitary adrenal axis and the catecholaminergic
system in posttraumatic stress disorder. In: Giller EL, ed. Biological assessment
and treatment of PTSD. Washington, DC: American Psychiatric Press, 1990.
Yule W & Williams R. Posttraumatic stress reactions in children. Journal
of Traumatic Stress 1990; 3:279-295.