<<< Προηγούμενη σελίδα

KΛΙΝΙΚΕΣ ΕΡΓΑΣΙΕΣ

ΑΝΩΜΑΛΗ ΚΟΛΠΙΚΗ ΑΙΜΟΡΡΟIΑ
EΙΣ ΑΣΘΕΝΗ 42 ΕΤΩΝ


Αναγνωστόπουλος Σ.[1], Παπαδοπούλου Χ.[2],
Δημητριάδης Κ.[1], Παπαδημάτος Π.1, Ροσόλυμος Χ.[1]

ΠΕΡΙΛΗΨΗ
Η παρούσα περίπτωση της ανώμαλης κολπικής αιμόρροιας συνδέεται με περιστατικό τραχηλικής κύησης που διέλαθε αρχικώς της ακριβούς διαγνώσεως, ενώ συζητούνται τα διαφοροδιαγνωστικά προβλήματα. Η τραχηλική κύηση είναι σπάνια μορφή έκτοπης κύησης, η οποία είναι απειλητική τόσο για τη γονιμότητα της μητέρας, όσο και για την ίδια τη ζωή της. Είναι σημαντικότατη επομένως η έγκαιρη διάγνωση, κάτι το οποίο δεν είναι πάντα εφικτό. H διάγνωση σε προχωρημένη έγκυμοσύνη συνδέεται με αύξηση των κινδύνων για τη γυναίκα.

ΠΑΡΟΥΣΙΑΣΗ ΠΕΡΙΣΤΑΤΙΚΟΥ-ΕΙΣΑΓΩΓΗ
Η τραχηλική κύηση χαρακτηρίζεται από την εμφύτευση της βλαστοκύστης στον ενδοτράχηλο. Είναι μια σπάνια μορφή εξωμήτριας κύησης. Η συχνότητα εμφάνισής της είναι περίπου 1/18000 κυήσεις, ενώ δεν ξεπερνάει το 1% των έκτοπων κυήσεων και σπανιότατα προχωρεί πέρα από την 20η εβδομάδα. Οφείλεται στην υπερπολυτοκία, σε πολλαπλές εκτρώσεις, σε ενδομητρικές συμφύσεις, ανεπάρκεια του έσω τραχηλικού στομίου, ανώμαλο τόνο μυομητρίου ή σε καθυστέρηση ανάπτυξης των πρωτεολυτικών ενζύμων της βλαστοκύστης. Η αυξημένη επίπτωση που παρατηρείται τα τελευταία χρόνια, πιθανά οφείλεται στις καλύτερες διαγνωστικές μεθόδους πρώιμης διάγνωσης, καθώς και στις νέες τεχνικές που χρησιμοποιούνται στη μαιευτική-γυναικολογία (in vitro γονιμοποίηση, τεχνικές εμβρυομεταφοράς, μικροχειρουργικές μέθοδοι κτλ). Η διάγνωση γίνεται με τη μέτρηση της β-χοριακής γοναδοτροπίνης σε συνδυασμό με τη χρήση διακολπικού και διακοιλιακού υπερηχογραφήματος, ενώ σημαντική αξία αποκτά τα τελευταία χρόνια και η μαγνητική τομογραφία. Κλινικά χαρακτηρίζεται συνήθως από συχνές ανώδυνες αιμορραγίες και από δυσανάλογη διάταση του τραχήλου σε σχέση προς το σώμα της μήτρας.
Η θεραπεία της τραχηλικής κύησης εξατομικεύεται ανάλογα με την εβδομάδα της κύησης, την κλινική κατάσταση της γυναίκας και την επιθυμία της να διατηρήσει τη γονιμότητά της, ενώ ταυτόχρονα αναφέρονται βιβλιογραφικά διάφορα σχήματα θεραπείας. Χαρακτηριστικά αναφέρουμε τη συστηματική χρήση μεθοτρεξάτης μαζί με δόση εφόδου φυλλικού οξέος, την αφαίρεση του κυήματος και την ενδοτραχηλική απόξεση μαζί με την τοποθέτηση ενδοτραχηλικού επιπωματισμού ή και τον εμβολισμό των μητριαίων αγγείων επί ενεργού αιμορραγίας και την υστερεκτομή επί μεγαλύτερων κυήσεων ή καταστάσεων απειλητικών για τη ζωή της γυναίκας.

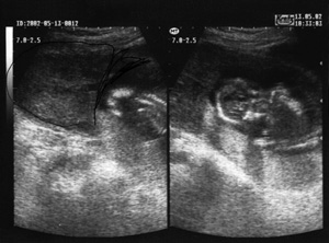
Εικόνα 1: Υπερπλασία ενδομητρίου. Εικόνα 2: Κύηση 13 εβδoμάδος. Αποκόλληση πλακούντα.

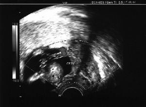
Εικόνα 3: Κύημα στο κατώτερο τμήμα της μήτρας Εικόνα 4: Αυξημένη διάταση μητριαίων αγγείων.

ΙΣΤΟΡΙΚΟ
Πρόκειται περί ασθενούς ηλικίας 42 ετών και τεταρτοτόκου (2 ΦΤ, 1 ΚΤ). Η προηγούμενη κύηση συνοδεύονταν με ενδομήτρια καθυστέρηση ανάπτυξης του εμβρύου, το οποίο γεννήθηκε με καισαρική τομή στη 36η εβδομάδα και είχε βάρος 1700 γρ. Στο ιστορικό της ασθενούς αναφέρονται 5 τεχνητές εκτρώσεις και 1 αυτόματη και χρήση καπνού 30 τσιγάρα ημερησίως. Η ασθενής απευθύνθηκε σε γυναικολόγο αιτιόμενη διαταραχές της περιόδου (σταγονοειδής αιμόρροια, μεγάλα διαστήματα αμηνόρροιας, εξάψεις, καταβολή δυνάμεων και ανησυχία). Η τελευταία κανονική περίοδος ήταν στις 10/01/02. Υποβλήθηκε δε σε πολλούς υπερηχογραφικούς ελέγχους της ελάσσονος πυέλου από τους οποίους ο πρώτος -κολπικός- υπέρηχος ( 07/03/02) έδειξε ευρήματα συμβατά με υπερπλασία του ενδομητρίου. Επίσης διαπιστώθηκε κύστη του δεξιού εξαρτήματος διαμέτρου 3 εκ. , καθώς και πεπαχυσμένο ενδομήτριο πάχους 13 χιλ. (εικ. 1).
Για το λόγο αυτό συνεστήθη διαγνωστική απόξεση την οποία και αρνήθηκε. Η κατάστασή της αποδόθηκε σε προκλιμακτηριακά αίτια, υπερπλασία ή κακοήθεια ενδομητρίου. Η ασθενής προσήλθε στο Μαιευτήριο Ε. Βενιζέλου με τα ανωτέρω συμπτώματα, όπου κατά τη γυναικολογική εξέταση ανευρίσκεται τράχηλος οιδηματώδης και ιώδους χροιάς, ενώ κατά την αμφίχειρη εξέταση ψηλαφάται μήτρα αντιστοιχούσα σε κύηση τρίτου μηνός.
Κατά τον κολπικό υπερηχογραφικό έλεγχο ανευρίσκεται κύηση ζώντος εμβρύου χωρίς εμφανείς ανωμαλίες με υπερηχογραφική ηλικία κύησης περίπου 13 εβδομάδων και μικρή αποκόλληση του πλακούντα (εικ. 2).
Η ασθενής αντιμετωπίζεται ως επαπειλούμενη αυτόματη αποβολή και εισάγεται για παρακολούθηση. Ο εργαστηριακός της έλεγχος είχε ως εξής: Ht 30, 1%, Hb 9, 6, WBC 11200, PLT 238000, APTT 28.7, χρόνος προθρομβίνης ασθ. 11.2-μαρτ.11.2, 100%, INR 1, 0, Ινωδογόνο 465, ουρία 28, σάκχαρο 87, κρεατινίνη 0, 7, ουρικό οξύ 3, 1, γGT 25, SGOT 31, SGPT 18, Na 139, K 3, 9, Γεν. ούρων 3-5 πυοσφαίρια κ.ο.π., 25-30 ερυθρά κ.ο.π., λοιπά κ.φ. Ακολουθεί σειρά υπερηχογραφημάτων και μετά πενθήμερου κατά τη διενέργεια κοιλιακού υπερηχογραφήματος, ανευρίσκεται εγκύμων μήτρα κενή περιεχομένου στον άνω πόλο με το κύημα στο κατώτερο τμήμα της. Τίθεται η υποψία έκτοπης κύησης (εικ. 3).
Ο συνδυασμός κοιλιακών και κολπικών υπερηχογραφημάτων που ακολούθησε, έθεσε τη διάγνωση της τραχηλικής κύησης. Η πρωιμότερη διάγνωση διέλαθε λόγω της μη συνδυασμένης εξέτασης κολπικού και κοιλιακού U/S. Επιθυμία της γυναίκας ήταν να συνεχίσει την κύηση και κατόπιν συνεννοήσεως και με άλλους συναδέλφους αποφασίστηκε η διατήρηση της κύησης υπό παρακολήθηση μέχρι του σημείου που θα ήταν δυνατή η γέννηση βιώσιμου εμβρύου. Ο έλεγχος ήταν κλινικοεργαστηριακός και προγεννητικός, υπερηχογραφικός καθώς και έλεγχος των μεγάλων αγγείων με Doppler με συμμετοχή και του τμήματος προγεννητικού ελέγχου του Νοσοκομείου "ΑΛΕΞΑΝΔΡΑ". Μετά πέντε έβδομάδες αποφασίστηκε ο τερματισμός της κύησης λόγω της μεγάλης διάτασης των μητριαίων αγγείων, την αύξηση της ροής τους, καθώς και την διάβρωσή τους από τον πλακούντα (εικ. 4).
Ο προεγχειρητικός εργαστηριακός έλεγχος ήταν: Ηt 28.9%, Hb 8.5, WBC 8590, PLT 232000, APTT 32, Χρ. προθρομβίνης ασθ.12.8 - μαρτ. 11, 2, 86, 2%, INR 1, 11, ινωδογόνο 449, ουρία 16, κρεατινίνη 0.7, σάκχαρο 106, ουρικό οξύ 3.6, γGT 19, SGOT 23, SGPT 22, LDH 252, ολικές πρωτείνες 4.5, αλβουμίνη 2.2, Na 138, K 3.22, Ca 7.8. Υπεβλήθη σε μαιευτική υστερεκτομή μαζί με το κύημα άνευ των εξαρτημάτων.

Εικόνα 5: Παρασκεύασμα μήτρας με κενό πυθμένα άνευ εμβρύου. Εικόνα 6: Χειρουργική παρασκευή του τραχήλου.


Εικόνα 7: Τροφοβλαστική διήθηση στο ενδοτραχηλικό στρώμα (χρώση πανκερατίνης). Εικόνα 8: Έμβρυο 20 εβδομάδων.

ΧΕΙΡΟΥΡΓΙΚΑ ΕΥΡΗΜΑΤΑ
Ανευρίσκεται μήτρα εγκύμων 20 εβδομάδων με εμφανώς κενό πυθμένα και τεράστια διάταση του κατωτέρου τμήματος και του τραχήλου (εικ. 5, εικ. 6).

ΙΣΤΟΛΟΓΙΚΑ ΕΥΡΗΜΑΤΑ
Διήθηση του ενδοτραχηλικού στρώματος από τροφοβλαστικά στοιχεία (εικ. 7). Αρρεν κύημα 20 εβδομάδων βάρους 192 γρ, αντιστοιχών σωματομετρικά χωρίς εμφανείς συγγενείς διαμαρτίες της διάπλασης (εικ. 8).

ΣΥΜΠΕΡΑΣΜΑ
Η τραχηλική κύηση είναι σπάνια μορφή έκτοπης κύησης υψηλού κινδύνου τόσο για τη γονιμότητα της μητέρας όσο και για την ίδια τη ζωή της. Η διάγνωσή της αρκετές φορές μπορεί να διαλάθει με ολέθριες συνέπειες. Η έγκαιρη διάγνωση και αξιολόγησή της μπορεί να αποβεί σωτήρια και πρέπει να γίνεται με λεπτομερή και ενδελεχή κλινική και υπερηχογραφική εξέταση - με συνδυασμένη δηλαδή χρήση κολπικής και κοιλιακής υπερηχογραφίας κατά τον ίδιο χρόνο - από έμπειρο προσωπικό. Το όφελος είναι σημαντικότατο για τη γυναίκα καθώς με την έγκαιρη διάγνωση μπορεί να αποφύγει την υστερεκτομή και να αντιμετωπιστεί είτε μόνο με συντηρητική θεραπεία είτε με εκκενωτική απόξεση.

SUMMARY
The present case of irregular vaginal bleeding was associated with a cervical pregnancy. We discuss the diagnostic problems and the difficulties that presented for the final diagnosis. Cervical pregnancy is a rare form of extrauterine pregnancy. It is threatening for the woman's fertility and furthermore for her own life. Early diagnosis is without any doubt crucial but it is not always feasible. Late diagnosis is connected with increased maternal risk.

ΒΙΒΛΙΟΓΡΑΦΙΑ
1. Αραβαντινός Δ.: Μαιευτική 1989
2. Μιχαλάς Σ.: Επίτομη Μαιευτική και Γυναικολογία 2000.
3. Chen D, Kligman I, Rosenwaks Z: Heterotopic cervical pregnancy successefully treated with transvaginal ultrasound-guided aspiration and cervical-stay sutures Fertil Steril 2001 May ;75 (5):1030-3.
4. Eblen AC, Pridham DD, Tatum CM Jr: Conservative management of an 11-week cervical pregnancy. A case report.
5. Has R, Ermis H, Ibrahimoglu L, Yildirim A: A 22 -week cervical pregnancy. Gynecol Obstet Invest 2000;50 (2):139-41.
6. Pastorelli G, Steiner R, Haller U.: Cervical pregnancy. A gynecologic-obstetric emergency situation.

 

ΗΟΜΕPAGE