Aνασκόπηση
Ο ρόλος του υπερηχογραφήματος
στην έκτοπη κύηση
Α.
Σόρτσης
Γ. Πάντος
Ι. Μπόντης
Αλληλογραφία:
Α΄ Μαιευτική-Γυναικολογική Κλινική Α.Π.Θ.
Γ. Νοσοκομείο Παπαγεωργίου, Θεσσαλονίκης
Περιφερειακή Οδός Νέας Ευκαρπίας, Τ.Κ. 56403, Θεσσαλονίκη
Τηλ.: 2310 992921
Fax: 2310 992890
E-mail: asortsis@med.auth.gr
Kατατέθηκε: 22/2/05
Εγκρίθηκε: 17/8/05
Περίληψη
Η έκτοπη κύηση παραμένει σημαντικό κλινικό πρόβλημα. Με την ανάπτυξη των μεθόδων
υποβοηθούμενης αναπαραγωγής, την αύξηση της συχνότητας των σεξουαλικά μεταδιδόμενων
νοσημάτων, τις μικροχειρουργικές τεχνικές και την έγκαιρη διάγνωση, το ποσοστό
των έκτοπων κυήσεων έχει αυξηθεί. Το διακολπικό υπερηχογράφημα, σε συνδυασμό
με τον προσδιορισμό της ανθρώπινη χοριονικής γοναδοτροπίνης (β-HCG), αποτελεί
το χρυσό κανόνα για τη διάγνωση της έκτοπης κύησης. Ο υπερηχογραφικός έλεγχος
αποτελεί την καλύτερη απεικονιστική μέθοδο, ενώ η μαγνητική τομογραφία μπορεί
να αποβεί πολύ χρήσιμη για σπάνιες και πιο πολύπλοκες περιπτώσεις.
Όροι ευρετηρίου: Έκτοπη κύηση, β-HCG, υπερηχογράφημα.
ΕΙΣΑΓΩΓΗ
Η θέση του υπερηχογραφήματος στη γενική προσέγγιση της γυναίκας με υποψία έκτοπης
κύησης, έχει γνωρίσει σημαντική ανάπτυξη μετά την πρώτη περιγραφή της υπερηχογραφικής
διάγνωσης έκτοπης κύησης. Πρώτα, ο υπερηχογραφικός έλεγχος χρησιμοποιούνταν
για να απεικονίσει άμεσα εξωμήτριες μάζες.(1) Μετά, η αναγνώριση της ανακρίβειας
των υπερηχογραφικών ευρημάτων στα εξαρτήματα προκάλεσαν μια μεταβολή στη χρήση
του υπέρηχου, αρχικά για να αποκλείσουν την ενδομήτρια κύηση.(2-4) Σήμερα, ωστόσο,
με την υπερηχογραφική εκτίμηση αναμένεται όχι μόνο να αναγνωρισθεί η ίδια η
εξωμήτρια μάζα, αλλά και να σχεδιασθεί η θεραπευτική αντιμετώπισή της. Ο μεταβαλλόμενος
ρόλος του υπερηχογραφήματος στη διάγνωση της έκτοπης κύησης μπορεί να συσχετιστεί
τόσο με τη βελτιωμένη διαγνωστική ακρίβειά του, όσο και με τη διαθεσιμότητα
νέων θεραπευτικών μέσων.(5,6)
Η βελτιωμένη υπερηχογραφική ακρίβεια στην έκτοπη κύηση, σχετίζεται με δύο σημαντικούς
παράγοντες: 1) Την αυξημένη ανατομική ανάλυση της ενδομήτριας και εξωμήτριας
κύησης λόγω τεχνολογικών προόδων στην κατασκευή υπερηχογραφικών μέσων. H χρήση
του έγχρωμου Doppler έχει, επιπρόσθετα, αυξήσει περαιτέρω την υπερηχογραφική
ευαισθησία και ακρίβεια. 2) Το συσχετισμό των εικόνων των υπερηχογραφημάτων
με τη συγκεκριμένη, με μεγάλη ευαισθησία, μέτρηση β-HCG.
Η αυξημένη υπερηχογραφική ακρίβεια μπορεί να θέσει την οριστική διάγνωση έκτοπης
κύησης, στις περισσότερες περιπτώσεις, με υπερηχογράφημα, χωρίς να απαιτείται
η βοήθεια της λαπαροσκόπησης. Νέοι τρόποι αντιμετώπισης της έκτοπης κύησης μπορούν
να χρησιμοποιηθούν, καθώς η διάγνωσή της γίνεται τώρα έγκαιρα, πριν από τη ρήξη
της σάλπιγγας.
ΕΠΙΔΗΜΙΟΛΟΓΙΑ
Η έκτοπη κύηση, μέχρι πρόσφατα, αποτελούσε μια σημαντική αιτία θανάτου κατά
το 1ο τρίμηνο της εγκυμοσύνης, ενώ σήμερα έχει παρατηρηθεί μια ουσιαστική πτώση.
Το ποσοστό της έκτοπης κύησης κυμαίνεται από 0,5% έως 1% στο σύνολο των κυήσεων,
αν και οι αποκλίσεις σε διάφορους πληθυσμούς είναι μεγάλες, ενώ το 97,5% εμφανίζεται
στις σάλπιγγες, 0,7% στην ωοθήκη και το υπόλοιπο 1,8% παρατηρείται σε άλλα σημεία
της πυέλου (σχήμα 1).(7) Η έκτοπη κύηση παρατηρείται στο 2% περίπου όλων των
κυήσεων στις Ηνωμένες Πολιτείες.(8)
Περίπου 32.000 έκτοπες κυήσεις διαγιγνώσκονται κάθε χρόνο στη Μεγάλη Βρετανία.
Είναι σημαντικό το γεγονός ότι στη Μεγάλη Βρετανία, από το 1997 μέχρι το 1999,
καταγράφηκαν 13 θάνατοι από έκτοπη κύηση, ανεξάρτητα δε από τη μείωση του ποσοστού
θνησιμότητας, η έκτοπη κύηση ευθύνεται για το 80% των θανάτων στο 1ο τρίμηνο.
Η αυξημένη θνησιμότητα και οι επιπλοκές προέρχονται σχεδόν ομοιόμορφα από την
καθυστερημένη διάγνωση ή την πλήρη αποτυχία της διάγνωσης.(9,10)

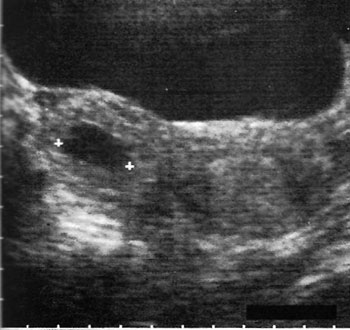
Εικόνα 1. Διακοιλιακός υπερηχογραφικός
έλεγχος έκτοπης κύησης.

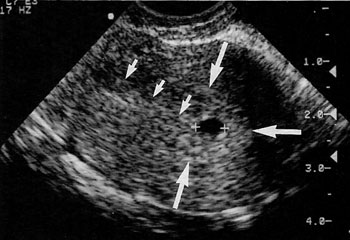
Εικόνα 2. Διακολπικός υπερηχογραφικός
έλεγχος έκτοπης κύησης.

Σχήμα 1. Πιθανές ανατομικές
θέσεις της έκτοπης κύησης: κώδωνας 1, λήκυθος 2, ισθμός 3, διάμεσο τμήμα της
σάλπιγγας 4, ωοθήκη 5, πύελος 6, τράχηλος 7.
ΔΙΑΚΟΛΠΙΚΟ
ΥΠΕΡΗΧΟΓΡΑΦΗΜΑ, ΔΙΑΚΟΙΛΙΑΚΟ ΥΠΕΡΗΧΟΓΡΑΦΗΜΑ Ή ΚΑΙ ΤΑ ΔΥΟ;
Το διακολπικό υπερηχογράφημα είναι ευρέως αποδεκτό ως η καλύτερη επιλογή, έναντι
του διακοιλιακού στη διάγνωση της έκτοπης κύησης.(11) Το διακοιλιακό υπερηχογράφημα
δεν είναι πρακτικό, εξαιτίας της καθυστέρησης πλήρωσης της κύστης και της μη
ικανοποιητικής ποιότητας της εικόνας, ειδικά σε παχύσαρκες γυναίκες. Μερικοί
έχουν καταλήξει ότι η χρήση μόνο του διακολπικού υπερηχογραφήματος αποτελεί
μια πλήρη εξέταση για έκτοπη κύηση, παρόλο που άλλοι έχουν προτείνει τη χρήση
και των δύο τεχνικών με στόχο την αλληλοσυμπλήρωσή τους, καθώς ο διακοιλιακός
υπερηχογραφικός έλεγχος προσδιορίζει μάζες που βρίσκονται ψηλά στην πυελική
κοιλότητα, έξω από την εμβέλεια της ενδοκολπικής κεφαλής.(8-11) Επίσης, το διακολπικό
υπερηχογράφημα απαιτεί λιγότερο χρόνο αναμονής πριν την εξέταση, ενώ παρέχει
μια εικόνα της πυέλου σε υψηλότερη ανάλυση, προσφέροντας πρόσθετες ανατομικές
πληροφορίες.(12-14)
Η υψηλής ανάλυσης εικόνα της διακολπικής κεφαλής προσφέρει καλύτερη εικόνα της
ενδομήτριας κοιλότητας, των εξαρτημάτων και των ωοθηκών. Το διακολπικό υπερηχογράφημα
αποκαλύπτει την ενδομήτρια κύηση μια εβδομάδα νωρίτερα, έναντι της διακοιλιακής
προσέγγισης. Πράγματι, μερικές μελέτες έχουν δείξει ότι το κύριο σημείο στο
οποίο υπερτερεί το διακολπικό υπερηχογράφημα έναντι του διακοιλιακού, είναι
ο πιο ακριβής προσδιορισμός των ενδομήτριων, παρά των έκτοπων ευρημάτων.
Οι εξαρτηματικές μάζες απεικονίζονται καλύτερα με το διακολπικό υπερηχογράφημα
σε σύγκριση με το διακοιλιακό, οδηγώντας στο συμπέρασμα ότι το διακολπικό υπερηχογράφημα
παρουσιάζει μεγαλύτερη ευαισθησία εντόπισης άμεσων σημείων στην έκτοπη κύηση
(εικόνες 1, 2). Επιπλέον, ακόμη και όταν η διαγνωστική ευαισθησία του διακολπικού
υπερηχογραφήματος δεν είναι ανώτερη από εκείνη του διακοιλιακού, βελτιώνει τον
ανατομικό χαρακτηρισμό των μαζών στα εξαρτήματα, κάτι που βελτιώνει τη διαγνωστική
ακρίβεια. Ο Dashefsky(15) περιέγραψε μια αύξηση στην υπερηχογραφική ανίχνευση
ζώντων εξωμήτριων εμβρύων, από 6% με το διακοιλιακό υπερηχογράφημα, σε 17 %
με το διακολπικό υπερηχογράφημα, παρά το γεγονός ότι και οι δύο μέθοδοι ανίχνευσαν
εξαρτηματικές μάζες με παρόμοια ευαισθησία (67%).
Η πιο έγκαιρη παρουσίαση των ασθενών και η βελτιωμένη ανάλυση του διακολπικού
υπερηχογραφήματος, πιθανόν να είναι υπεύθυνες για την ανίχνευση ακόμη μικρότερων
μαζών. Σήμερα, ωστόσο, μεταξύ 56% και 75% των εξωμήτριων μαζών που ανιχνεύθηκαν
με διακολπικό υπερηχογράφημα, έχουν διάμετρο κατά μέσο όρο λιγότερο από 2 εκ.
O Cacciatore(5) περιέγραψε μια μέση διάμετρο 1,6 εκ. (κλίμακα από 0,5 έως 3,5
εκ.) για δακτυλίους στα εξαρτήματα και μια μέση διάμετρο της τάξης των 2,7 εκ.
(κλίμακα από 1,0 έως 4,5 εκ.) για περίπλοκες μάζες. Ο Fleischer(16) ανέφερε
μια μέση κλίμακα διαμέτρου από 1,3 έως 4,0 εκ. σε 11 μη ερρηγμένους εμβρυϊκούς
σάκους στα εξαρτήματα.
ΕΛΕΓΧΟΣ ΥΠΕΡΗΧΟΓΡΑΦΙΚΩΝ
ΣΗΜΕΙΩΝ
Η υπερηχογραφική διάγνωση της έκτοπης κύησης περιλαμβάνει το λεπτομερή έλεγχο
του ενδομητρίου, εντοπίζοντας αρνητικά και θετικά υπερηχογραφικά σημεία:
Τα αρνητικά σημεία που αποκλείουν την έκτοπη κύηση είναι η εμφάνιση ενδομήτριας
κύησης με τα εξής χαρακτηριστικά: α) ζωντανό ενδομήτριο έμβρυο, β) εμβρυϊκός
σάκος με λεκιθικό ασκό και γ) σημείο διπλού φθαρτού σάκου.
Αντίθετα, στα ψευδή αρνητικά σημεία εμφανίζεται στην ενδομήτρια κοιλότητα σάκος
ψευδοκύησης.
Τα έμμεσα θετικά σημεία της έκτοπης κύησης απεικονίζουν: α) σημείο κενής μήτρας
και β) ελεύθερο υγρό στο δουγλάσειο χώρο.
Τα άμεσα θετικά χαρακτηριστικά της εξωμήτριας κύησης περιλαμβάνουν: α) ζωντανό
έμβρυο εκτός της ενδομήτριας κοιλότητας, β) σαλπιγγικό ή εξαρτηματικό δακτύλιο,
γ) περίπλοκη ή στερεή μάζα και δ) την παρουσία κοιλιακής κύησης.
Α.
Β.
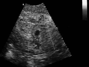
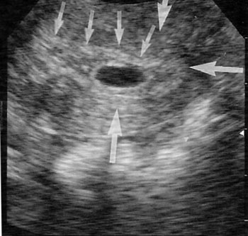
Εικόνα 3α. Αληθής εμβρυϊκός
σάκος. Ενδομήτριο (μικρά βέλη). Διπλή ηχητική απεικόνιση του περιγράμματος του
σάκου, που οφείλεται στον ηχητικό διαχωρισμό του αληθούς φθαρτού από το ανεστραμμένο
(μεγάλα βέλη). Ο σάκος εμφανίζεται σαν κάτι ξεχωριστό στο ενδομήτριο. β. Ψευδοσάκος.
Ενδομήτριο (μικρά βέλη), φθαρτοειδής αντίδραση (μεγάλα βέλη). Ο σάκος αποτελεί
συνέχεια του ενδομητρίου.

Εικόνα 4. Ζωντανό έμβρυο
και λεκιθυκός σάκος στο εξάρτημα.

Εικόνα 5. Ενδομήτριος σάκος
και παρουσία αιματικής ροής που αποκλείει ψευδοσάκο.

Εικόνα 6. Αυξημένη αιματική
ροή γύρω από την εξαρτηματική μάζα επιβεβαιώνει την εξωμήτριο κύηση.
ΑΡΝΗΤΙΚΑ
ΥΠΕΡΗΧΟΓΡΑΦΙΚΑ ΣΗΜΕΙΑ
Ενδομήτρια κύηση
Κατά την εξέταση για έκτοπη κύηση, η πρώτη παρατήρηση έγκειται στην ύπαρξη ή
όχι ενδομήτριας κύησης, επειδή ακριβώς μια ενδομήτρια κύηση, στην ουσία, αποκλείει
την πιθανότητα έκτοπης κύησης.
O πιο πρώιμος φυσιολογικός ενδομήτριος σάκος κύησης παρατηρείται στην 5η εβδομάδα
κύησης με διακοιλιακό και στην 4η εβδομάδα κύησης με διακολπικό υπερηχογράφημα.
Η ανεύρεση, ωστόσο, ενός ενδομήτριου σάκου με υγρό και με περιβάλλουσα φθαρτοειδή
αντίδραση, μπορεί να μην αποτελεί απαραίτητα διάγνωση ενδομήτριας κύησης, εξαιτίας
πιθανής σύγχυσης με ψευδή ενδομήτριο σάκο. Μια στρατηγική αντιμετώπισης αυτού
του προβλήματος είναι να μην επιβεβαιωθεί ενδομήτρια κύηση μέχρι να αποδειχθεί
η ύπαρξη εμβρύου με καρδιακή λειτουργία, παρόλο που αυτό μπορεί να καθυστερήσει
τη διάγνωση για 1 με 2 εβδομάδες. Στην πραγματικότητα, η εμβρυϊκή ανάπτυξη μπορεί
να επισημανθεί ακόμη νωρίτερα, πριν την εμφάνιση του ίδιου του εμβρύου, μέσα
από την εμφάνιση ενός λεκιθικού σάκου. Ο λεκιθικός σάκος εμφανίζεται σε κανονική
ενδομήτρια κύηση, μέσω διακοιλιακού υπερηχογραφήματος, σε ένα σάκο κύησης διαμέτρου
2εκ. και μέσω διακολπικού υπερηχογραφήματος, σε ένα σάκο κύησης διαμέτρου 0,6-0,8εκ.(17-20)
ΨΕΥΔΗ
ΑΡΝΗΤΙΚΑ ΥΠΕΡΗΧΟΓΡΑΦΙΚΑ ΣΗΜΕΙΑ
Σάκοι ψευδοκύησης
Ο σάκος ψευδοκύησης ορίζεται ως ένας σάκος με ενδομήτριο υγρό, που δεν περιβάλλεται
από διπλό φθαρτοειδή δακτύλιο ή δεν περιέχει λεκιθικό σάκο, ενώ ανευρίσκε σε
8% έως 29% των περιπτώσεων με εξωμήτρια κύηση (εικόνα 3). Η επισήμανση του σημείου
διπλού φθαρτοειδούς σάκου ή εμβρυϊκής ανάπτυξης, βοηθά συχνά στη διάκριση των
σάκων ψευδοκύησης από κανονικούς ενδομήτριους σάκους κύησης, αλλά μπορεί να
αποδειχθεί προβληματική στη διαφορική διάγνωση μεταξύ σάκων ψευδοκύησης και
παλίνδρομης κύησης, κατά τις πρώτες εβδομάδες.(22-23)
ΕΜΜΕΣΑ ΘΕΤΙΚΑ
ΣΗΜΕΙΑ
Σημείο κενής ενδομήτριας κοιλότητας και η ζώνη διάκρισης
Η παρουσία μιας μήτρας χωρίς εμβρυϊκό σάκο σε μια έγκυο γυναίκα, είναι ένα από
τα πιο παλιά και αξιόπιστα σημεία έκτοπης κύησης. Μετά την εισαγωγή του προσδιορισμού
της β-HCG, η ορμονική εξέταση εγκυμοσύνης γίνεται θετική δύο εβδομάδες πριν
την υπερηχογραφική εμφάνιση του ενδομήτριου εμβρυικού σάκου. Η παρουσία ενός
κενού εμβρυϊκού σάκου, σε συνδυασμό με ένα θετικό τεστ εγκυμοσύνης, κινδυνεύει
να διαγνώσει εσφαλμένα την κανονική ενδομήτρια κύηση ως έκτοπη πριν την εμφάνιση
του κανονικού σάκου. O Kadar καθιέρωσε το επίπεδο ανθρώπινης χοριονικής γοναδοτροπίνης
(hCG) πάνω από το οποίο όλες οι κανονικές ενδομήτριες κυήσεις θα γίνονταν ορατές
με την υπερηχογραφία. Εάν τα επίπεδα της β-HCG είναι πάνω από 6.500mIU/mL, η
πιθανότητα ενδομήτριας εγκυμοσύνης είναι μεγάλη, ιδίως όταν οι τιμές εμφανίζουν
ταχεία αύξηση (πίνακας 1).(17,18,24)
Η μη εμφάνιση ενός ενδομήτριου σάκου, μαζί με μια μέτρηση β-hCG πάνω από τη
ζώνη διάκρισης, είναι ενδεικτικά είτε μιας φυσιολογικής κύησης σε πολύ μικρή
ηλικία, είτε παλίνδρομης, είτε έκτοπης κύησης. Το σημείο του κενού σάκου ήταν
μη καθοριστικό σε γυναίκες με επίπεδα ορού β-hCG κάτω από τη ζώνη διάκρισης,
γεγονός που απαιτεί πρόσθετες δοκιμασίες ή επανεξετάσεις. Καθώς η ανάλυση των
υπερηχογραφημάτων έχει βελτιωθεί, η ζώνη διάκρισης συνεχίζει να πέφτει, με κριτικό
όριο 1.000mIU/mL.(18) Επειδή τα επίπεδα hCG στην έκτοπη κύηση τείνουν να είναι
χαμηλότερα από τις κανονικές ενδομήτριες κυήσεις και έτσι συχνά βρίσκονται κάτω
από την αρχική ζώνη διάκρισης, έχει γίνει πιο ευαίσθητη διαγνωστικά, η τελευταία.
Ωστόσο, ένα θετικό σημείο κενής μήτρας πάνω από τη ζώνη διάκρισης δεν είναι
καθοριστικό, καθώς υποδηλώνει όχι μόνο την έκτοπη κύηση, αλλά επίσης και τη
μη φυσιολογική ενδομήτρια κύηση. Έτσι, σήμερα, η ζώνη διάκρισης πληροφορεί το
χειριστή του υπερηχογράφου για το πότε ένας σάκος θα έπρεπε να είναι παρών αλλά
δεν είναι, υπαγορεύοντας μια πιο λεπτομερή εξέταση στα εξαρτήματα, για μάζες.

Πίνακας 1. Εκτίμηση της έκτοπης
κύησης με μέτρηση β-hCG και του υπερηχογραφήματος.
Ερμηνεία της
β-hCG σε υποψία έκτοπης κύησης
Ο προσδιορισμός της β-hCG έχει σημαντική αξία όταν συνδυάζεται με τον υπερηχογραφικό
έλεγχο. Η β-hCG εκκρίνεται από τη συγκυτιοτροφοβλάστη, με αποστολή τη στήριξη
του γονιμοποιημένου ωαρίου, πριν την εμφύτευση. Οι τιμές της β-hCG διπλασιάζονται
κάθε 1,2 ημέρες, αμέσως μετά την εμφύτευση. Η επιβράδυνση του χρόνου διπλασιασμού
παρατείνεται και η επιπέδωση ή η ελάττωση των επιπέδων της β-hCG πριν την 8η
εβδομάδα της εγκυμοσύνης αποτελούν ένδειξη μη βιώσιμης εγκυμοσύνης, χωρίς όμως
να παρέχουν πληροφορίες για την εντόπιση του κυήματος.
Όταν, λοιπόν, η β-hCG είναι αρνητική, αποκλείεται η έκτοπη κύηση. Εάν η β-hCG
εμφανίζεται θετική, τότε επιβάλλεται η διενέργεια κολπικού υπερηχογραφικού ελέγχου.
Τα κάτωθι ενδεχόμενα είναι πιθανά:
1. Φυσιολογική ενδομήτρια κύηση. Αποκλεισμός ετερότοπης κύησης.
2. Άδειος εμβρυϊκός σάκος (μέση διάμετρος σάκου <1.5cm): α) αποτυχία ενδομήτριας
κύησης (σάκος χωρίς εμβρυικό πόλο), επανάληψη του υπερηχογραφήματος σε μια εβδομάδα,
β) εγκυμοσύνη πολύ νωρίς για την απεικόνιση του λεκιθικού σάκου (<38 ημέρες)
και εμβρυϊκού πόλου με καρδιακή λειτουργία (<43 ημέρες), επανάληψη υπερηχογραφήματος.
3. Φυσιολογική πύελος: α) ψευδώς θετική β-hCG, επανάληψη ορμονικής εξέτασης,
β) φυσιολογική ή έκτοπη κύηση πολύ νωρίς για να απεικονισθεί υπερηχογραφικά,
συχνές μετρήσεις β-hCG.
4. Σύνθετη εξαρτηματική μάζα +/- ελεύθερο υγρό στο δουγλάσειο χώρο, πιθανή έκτοπη
κύηση.
Ελεύθερο υγρό
στο δουγλάσιο
Η παρουσία πυελικού υγρού μπορεί να βοηθήσει στη διάγνωση με υπερηχογράφημα:
ως ένα αρχικό, αν και έμμεσο, υπερηχογραφικό σημείο έκτοπης κύησης και ως ένα
υποστηρικτικό σημείο, αυξάνοντας την εξειδίκευση των άλλων ευρημάτων για τα
εξαρτήματα. Η εμφάνιση του πυελικού υγρού ως ένα σχετικά συγκεκριμένο σημείο
εξωμήτριας κύησης, αξιολογείται μόνο όταν ανευρίσκεται σε μεγάλη ποσότητα ή
όταν είναι ηχογενές. Ως ένα αρχικό σημείο, το ηχογενές υγρό (αντιπροσωπεύοντας
το αιμοπεριτόναιο) υποδηλώνει έκτοπη κύηση, με εξειδίκευση της τάξης του 96%
και με ευαισθησία 25%. Μια μεγάλη ποσότητα πυελικού υγρού υποδηλώνει έκτοπη
κύηση, με εξειδίκευση 69% και με ευαισθησία 29%. Και, ως υποστηρικτικό σημείο
έκτοπης κύησης, το ηχογενές υγρό αυξάνει τη διαγνωστική εξειδίκευση στερεών
και σύνθετων εξαρτηματικών μαζών από 94% σε 99%, αυξάνοντας με αυτόν τον τρόπο
την εμπιστοσύνη στη διάγνωση με υπερηχογράφημα.(25)
ΑΜΕΣΑ
ΘΕΤΙΚΑ ΣΗΜΕΙΑ
Ζωντανό εξωμήτριο έμβρυο
Η εμφάνιση ενός ζωντανού εμβρύου στα εξαρτήματα είναι το πιο συγκεκριμένο υπερηχογραφικό
σημείο (εικόνα 4). Η ευαισθησία αυτού του σημείου, ωστόσο, έχει αυξηθεί με την
πάροδο των χρόνων, πιθανώς εξαιτίας της ανώτερης ανάλυσης με το διακολπικό υπερηχογράφημα.
Ο Mahony επισήμανε ζώντα έμβρυα στα εξαρτήματα στο 11% των έκτοπων κυήσεων,
σε μια διακοιλιακή υπερηχογραφική μελέτη.(27) Πιο πρόσφατες μελέτες, με σημαντικά
χαμηλότερους δείκτες σαλπιγγικής ρήξης και με χρήση διακολπικού υπερηχογραφήματος,
αναφέρουν μεγαλύτερο ποσοστό υπερηχογραφικά ορατών ζώντων εξωμήτριων εμβρύων,
από 15% έως 23%.(26-28)
Σαλπιγγικός
ή εξαρτηματικός δακτύλιος
Ένα ζωντανό έμβρυο βρίσκεται πάντα μέσα σε σάκο κύησης. Ο σάκος, που ονομάζεται
εξαρτηματικός ή σαλπιγγικός δακτύλιος εξαιτίας της θέσης του, έχει μια χαρακτηριστική
εμφάνιση που είναι αναγνωρίσιμη ακόμη και όταν δεν υπάρχει ζωντανό έμβρυο ή
καθόλου έμβρυο. Όπως και στην περίπτωση του ενδομήτριου σάκου κύησης, ο πεπαχυμένος
σαλπιγγικός δακτύλιος αποτελείται από έναν ανηχογενή κεντρικό σάκο με υγρό και
μια ηχογενή στεφάνη. Οι σαλπιγγικοί δακτύλιοι χωρίς ζωντανά έμβρυα (με ή χωρίς
λεκιθικούς σάκους) ανευρίσκονται σε 28% έως 44% των εξωμήτριων κυήσεων με το
διακολπικό υπερηχογραφικό έλεγχο.
Πιθανότατα, όμως, παρόμοιες υπερηχογραφικές εικόνες να προκαλέσουν σύγχυση μεταξύ
σαλπιγγικών δακτυλίων και ωχρινικών κύστεων. Σε μια μελέτη, χρησιμοποιώντας
διακοιλιακό υπερηχογράφημα, το 17% όλων των υπερηχογραφικών διαγνώσεων εξωμήτριας
κύησης ήταν εσφαλμένα θετικά και τα τρία τέταρτα των εσφαλμένων θετικών οφείλονταν
στην παρερμήνευση αιμορραγικών ωχρινικών κύστεων.(29) Έχουν προταθεί μορφολογικά
χαρακτηριστικά, ειδικά με διακολπικό υπερηχογράφημα, ώστε να γίνεται καλύτερη
διαφοροποίηση μεταξύ ανεμβρυϊκών σάκων κύησης και ωχρινικών κύστεων και είναι
τα ακόλουθα:(30,31)
1. Το υγρό μέσα στις ομόπλευρες σάλπιγγες επιβεβαιώνει την ταυτότητα του σαλπιγγικού
σάκου κύησης.
2. Η μεγαλύτερη ηχογένεια της στεφάνης γύρω από το σαλπιγγικό σάκο κύησης, σε
σύγκριση με τον ωοθηκικό ιστό γύρω από την ωχρινική κύστη.
3. Η συμμετρική στεφάνη από ιστό γύρω από το σαλπιγγικό δακτύλιο, σε σύγκριση
με μια έκκεντρη στεφάνη από ιστό γύρω από την ωχρινική κύστη.
4. Η πίεση με τη διακολπική δοκιμασία μπορεί να επιδείξει ανεξάρτητη κίνηση
του εξωμήτριου σάκου κύησης και της παρακείμενης ωοθήκης.
5. Χαμηλού επιπέδου εσωτερικοί ήχοι εντός μιας εξαρτηματικής κύστης πεπαχυμένου
τοιχώματος, υποδεικνύουν μια ωχρινική κύστη (με εσωτερική αιμορραγία), παρά
ένα σαλπιγγικό δακτύλιο.
Σύνθετη ή στερεή
μάζα
Σύνθετες ή στέρεες
εξαρτηματικές μάζες ανευρίσκονται με διακολπικό υπερηχογράφημα σε 22% έως 45%
των περιπτώσεων έκτοπης κύησης. Ενώ οι υπερηχογραφικές τους εμφανίσεις είναι
λιγότερο δείκτες έκτοπης κύησης απ' ό,τι είναι οι σαλπιγγικοί δακτύλιοι, οι
σύνθετες ή στέρεες εξαρτηματικές μάζες φαίνονται να είναι ιδιαίτερα συγκεκριμένοι
δείκτες εξωμήτριας κύησης, ειδικά σε συνδυασμό με το σημείο κενής μήτρας πάνω
από τη ζώνη διάκρισης. Επιπλέον, η αυξημένη ανάλυση του διακολπικού υπερηχογραφήματος
θα πρέπει να βοηθά στην αναγνώριση πιθανών εσφαλμένα θετικών εξαρτηματικών μαζών,
όπως μισχωτά λειομυώματα, ωοθηκικά νεοπλάσματα και φλεγμονώδεις παθήσεις. Επιβάλλεται
στενή παρακολούθηση των ωοθηκών κατά την εκτίμηση όλων των εξαρτηματικών μαζών,
για πιθανή έκτοπη κύηση.(32)
Κοιλιακή
κύηση
Η υπερηχογραφική διάγνωση κοιλιακής κύησης προβάλλει ως μια πρόκληση. Η διάγνωση
μπορεί να αποτύχει σε ποσοστό 25% ή περισσότερο και συχνά διαγιγνώσκεται σε
προχωρημένη κύηση. Παρά τα όποια χαρακτηριστικά υπερηχογραφικά ευρήματα (διάκριση
μεταξύ μήτρας και εμβρύου, εξωμήτριου πλακούντα και ολιγοάμνιου), η διάγνωση
μπορεί να αποτύχει εξαιτίας παρερμήνευσης των ευρημάτων, όταν ο δείκτης υποψίας
του χειριστή του υπερηχογράφου δεν είναι επαρκώς υψηλός.(33-36)
ΕΓΧΡΩΜΗ
ΚΑΙ ΠΑΛΜΙΚΗ ΥΠΕΡΗΧΟΓΡΑΦΙΑ DOPPLER ΓΙΑ ΕΚΤΟΠΗ ΚΥΗΣΗ
Ο έγχρωμος και παλμικός υπέρηχος Doppler προσθέτει πληροφορίες φυσιολογίας στην
υπερηχογραφική αντιμετώπιση πιθανής έκτοπης κύησης, αυξάνοντας έτσι την ακτινογραφική
διαγνωστική ευαισθησία για έκτοπη κύηση, φυσιολογική πρώιμη ενδομήτρια κύηση
και μη φυσιολογική πρώιμη ενδομήτρια κύηση. Η διαγνωστική ευαισθησία αυξήθηκε
από 71% έως 87% για έκτοπη κύηση, από 24% έως 59% για μη φυσιολογική ενδομήτρια
κύηση και από 90% έως 99% για κανονική ενδομήτρια κύηση. Η συνδυασμένη χρήση
έγχρωμης παλμικής απεικόνισης Doppler και δισδιάστατης απεικόνισης επιλύει τα
ακόλουθα υπερηχογραφικά προβλήματα στην αντιμετώπιση της έκτοπης κύησης:(37-39)
1. Διάκριση μεταξύ σάκων ψευδοκύησης και αληθινών ενδομήτριων σάκων κύησης.
2. Διάκριση του "σημείου κενού εμβρυϊκού σάκου", είτε σε ενδομήτρια
κύηση είτε σε μη ύπαρξη ενδομήτριας κύησης (με μια ιδιαίτερα αυξημένη πιθανότητα
έκτοπης κύησης).
3. Προσδιορισμός της θέσης του ωχρού σωματίου.
4. Βοήθεια στην ανίχνευση και την επιβεβαίωση της φυσιολογίας των έκτοπων εξαρηματικών
μαζών.
Φαίνεται ότι η προσθήκη έγχρωμης και παλμικής υπερηχογράφησης Doppler θα αποφέρει
τα περισσότερα διαγνωστικά οφέλη σε ασθενείς με υψηλό κίνδυνο έκτοπης κύησης,
ύστερα από εκτίμηση με διακολπικό υπερηχογράφημα πολύ νωρίς στην κύηση.
ΕΤΕΡΟΤΟΠΙΚΗ
ΚΥΗΣΗ: ΜΙΑ ΕΙΔΙΚΗ ΠΕΡΙΠΤΩΣΗ
Ετεροτοπική κύηση είναι η συνδυασμένη εμφάνιση ενδομήτριας και έκτοπης κύησης.
Το ποσοστό στις φυσιολογικές συλλήψεις είχε εκτιμηθεί αρχικά σε 1 στις 30.000
κυήσεις, αλλά πιο πρόσφατες ενδείξεις δείχνουν ότι το φαινόμενο κυμαίνεται μεταξύ
1:4.000 έως 1:7.000 από όλες τις κυήσεις. Σε περιπτώσεις κυήσεων μετά από εξωσωματική
γονιμοποίηση είναι σημαντικά υψηλότερα τα ποσοστά, τα οποία κυμαίνονται από
1% έως 3%. Η αυξημένη συχνότητα αποδίδεται στη μεταφορά μεγάλου αριθμού εμβρύων.(40-42)
Μετά την πρώτη αναφορά με υπερηχογραφική παρουσίαση ετεροτοπικής κύησης το 1979,
η διάγνωση γίνεται νωρίτερα, καταφεύγοντας σε διακολπικό υπερηχογράφημα. Η διάγνωση
συχνά καθυστερεί, επειδή τα συμπτώματα ανάγονται σε επιπλοκές ενδομήτριας κύησης.
Τα επίπεδα β-hCG βρίσκονται συχνά σε κανονικά επίπεδα. Η πρώιμη διάγνωση, γι'
αυτό, βασίζεται στη διατήρηση υψηλού δείκτη υποψίας, ειδικότερα μετά από γυναικολογική
επέμβαση, πυελική χειρουργική επέμβαση ή μετά από ιστορικό πυελικής φλεγμονώδους
ασθένειας, αν και έχουν αναφερθεί περιπτώσεις γυναικών χωρίς παράγοντες κινδύνου.
Η ετερoτοπική κύηση παραμένει ένα δύσκολο διαγνωστικό και διαχειριστικό πρόβλημα
και δεν πρόκειται να διαγνωσθεί, εκτός αν αντιμετωπιστεί σε όλες τις νοσηλευόμενες
με την κλασική συμπτωματολογία της έκτοπης κύησης, ακόμη και όταν μια ενδομήτρια
κύηση έχει απεικονιστεί υπερηχογραφικά.
Φαίνεται ότι η μαγνητική τομογραφία υπερτερεί του υπερηχογραφήματος στη διάγνωση
της ετεροτοπικής κύησης, διότι είναι σε θέση να αναγνωρίσει σάκο και έμβρυο,
όταν αυτό απεικονισθεί.(43)
Αν και η διάγνωση γίνεται νωρίτερα με τη χρήση διακολπικού υπερηχογραφήματος,
συχνά η λαπαροσκόπηση βοηθά. Κατόπιν θα πρέπει να ακολουθηθεί η λιγότερο παρεμβατική
θεραπευτική αγωγή που είναι διαθέσιμη, προκειμένου να διασφαλιστεί η συνεχής
βιωσιμότητα της ενδομήτριας κύησης.(44)
ΣΥΜΠΕΡΑΣΜΑΤΑ
Ο υπερηχογραφικός έλεγχος χρησιμεύει για τον εντοπισμό της θέσης της εγκυμοσύνης
σε γυναίκες με θετική β-hCG, ενώ ο διακολπικός υπερηχογραφικός έλεγχος ελαττώνει
τον αριθμό των μη διαγνωσμένων γυναικών με θετική τη δοκιμασία εγκυμοσύνης.
Η εμφάνιση ενδομήτριας κύησης μπορεί να παρατηρηθεί μια εβδομάδα νωρίτερα με
κολπικό υπερηχογράφημα από ό,τι με κοιλιακό.
Η απευθείας υπερηχογραφική διάγνωση της έκτοπης κύησης είναι εφικτή μόνο στο
20% των περιπτώσεων. Παλίνδρομος κύηση μπορεί να διαφοροδιαγνωσθεί από την έκτοπη
κύηση με διακολπικό ή διακοιλιακό υπερηχογράφημα. Η αρνητική ή φυσιολογική διακολπική
υπερηχογραφική εξέταση δεν αποκλείει την παρουσία έκτοπης κύησης. Ωστόσο, η
πιθανότητα για ετεροτοπική κύηση παρατηρείται σε 1: 4.000-7.000 εγκυμοσύνες.
Στην ερμηνεία των υπερηχογραφικών και ορμονικών εξετάσεων πρέπει να λαμβάνονται
υπόψη η μέθοδος της σύλληψης και η κλινική εξέταση. Δεν υπάρχει σήμερα απλή
μέθοδος ή έλεγχος που να μπορεί να διαγνώσει με ακρίβεια ή να αποκλείσει την
έκτοπη κύηση, κάθε φορά που τίθεται η υποψία.
Summary
Sortsis A, Pantos G, Boutis I.
The role of ultrasound in ectopic pregnancy.
Hellen Obstet Gynecol 17(3): 258-265, 2005
Ectopic pregnancy is a major clinical problem. The frequency of ectopic pregnancy has increased due to the application of assisted reproduction and microsurgical techniques, substantial alteration in sexually transmitted diseases, and better early diagnosis. Transvaginal sonography along with β-human chοriοnic gonadotrophin monitoring are the standards for evaluation of suspected ectopic pregnancy. Ultrasound is the mainstay of diagnosis, but magnetic resonance imaging can be helpful in unusual or complicated cases.
Key words: Εctopic pregnancy, β-hCG, ultrasound.
Βιβλιογραφία
1. Kobayashi Μ, Hellman LM,
Fillisti LΡ. Ultrasound. Αn aid in the diagnosis οf ectopic pregnancy. Am J
Obstet Gynecol 1969; 103:1131-1140.
2. Lawson TL. Ectopic pregnancy: criteria and accuracy οf ultrasonic diagnosis.
AJR 1978; 131:153-156.
3. Pelosi ΜΑ. The value οf pelvic ultrasound in the diagnosis οf ectopic pregnancy.
Diagn Gynecol Obstet 1981; 3:337-346.
4. Bradley WG, Fiske CE, Fίlly RA. The double sac sign οf early intrauterine
pregnancy: use in exclusion οf ectopic pregnancy. Radiology 1982; 143: 223226.
5. Cacciatore Β. Can the status οf tubal pregnancy be predicted with transvaginal
sonography? Α prospective comparison οf sonographic, surgical, and serum hCG
findings. Radiology 1990; 177:481-484.
6. Stovall TG, Ling FW, Buster JΕ. Outpatient Chemotherapy οf Unruptured Ectopic
Pregnancy. Fertil Steril 1989; 51:435-438.
7. Dodson MG: Bleeding in pregnancy. In Aladiem S (ed) Obstetrical Practice.
CV Mosby, St. Louis, 1980.
8. Goldner ΤΕ, Lawson HW, Xia Ζ, et al. Surveillance for ectopic pregnancy in
United States, 1970-1989. MMWR CDC Surve Summ 1993; 42:73-85.
9. RCOG. Why mothers die 1997-1999. The Fifth Report of the Confidential Enquiries
into Maternal Deaths in the United Kingdom 1997-1999. London: RCOG, 2001.
10. Zane S, Kieke Β, Kendrick J, Bruce C. Surveillance in a time of changing
health care practices: estimating entopic pregnancy incidence in the United
States. Matern Child Health J 2002; 6:227-236.
11. Τimοr-Τritsch ΙΕ, Yeh ΜΝ, Peisner DB, et al. The use οf transvaginal ultrasonography
in the diagnosis οf ectopic pregnancy. Am J Obstet Gynecol 1989; 161:157-161.
12. Dashefsky S, Lyons Ε, Levi C, et al. suspected Ectopic Pregnancy: Endovagina1
and Transvesical US. Radiology 1988; 169:181.
13. Thorsen ΜΚ, Lawson TL, Aiman ΕJ, et al. Diagnosis οf ectopic pregnancy:
endovaginal vs transabdominal sonography. AJR 1990; 155:307-310.
14. Bohm-Velez Μ, MendeIson ΕΒ, Freimanis MG. Transvaginal sonography in evaluating
ectopic pregnancy. Semin Ultrasound CT MR 1990; 11:44-58.
15. Valenzano Μ, Anserini Ρ, Remorgida V, et al. Transabdominal and transvaginal
ultrasonographic diagnosis οf ectopic pregnancy: Clinical implications. Gynecol
Obstet Invest 1991; 31:8-11.
16. Fleischer AC, Pennell RG, McKee MS, et al. Ectopic pregnancy: Features at
transvagina1 sonography. Radiology 1990; 174:375-378.
17. Romero R, Kadar Ν, Jeanty Ρ, et al. Diagnosis of ectopic pregnancy: value
of the discriminatory human chorionic gonadotropin zone. Obstet Gynecol 1985;
66:357-60.
18. Bree RL, Edwards Μ, Bohm VΜ, et al. Transvaginal sonography in the evaluation
οf normal early pregnancy: Correlation with HCG level. AJR 1989; 153:75-79.
19. Levi C, Lyons Ε, Lindsay D. Early diagnosis of nonviable pregnancy with
endovaginal US. Radiology 1988; 167:383-385.
20. Nyberg DA, Mack LA, Harvey D, et al. Value of the yolk sac in evaluating
early pregnances. J Ultrasound Μed 1988; 7:129-135.
21. Nyberg DA, Laing FC, Filly RA, et al. Ultrasonographic differentiation οf
the gestational sac οf early intrauterine pregnancy from the pseudogestational
sac of ectopic pregnancy. Radiology 1983; 146:755-9.
22. Mueller CE. lntrauterine pseudogestational sac in ectopic pregnancy. J Clin
Ultrasound 1979; 7:133-136.
23. Ahmed Α. Ahmed, Brian DΜ, Tom and Peter Calabrese. Ectopic pregnancy diagnosis
and the pseudosac. Fertil & Steril Μay 2004; 81(5).
24. Κadar Ν, DeVore G, Romero R. Discriminatory hCG zone: Its use in the sonographic
evaluation for ectopic pregnancy. Obstet Gynecol 1981; 58:156-161.
25. Nyberg DA, Hughes ΜΡ, Mack LA, et al. Extrauterine findings οf ectopic pregnancy
of transvaginal US: importance οf echogenic fluid. Radiology 1991; 178:823-826.
26. Marin C, Sowter and Cindy Μ. Farquhar. Ectopic pregnancy: an update Curent
Οpiniοn in Obstetrics and Gynecology 2004; 16:289-293.
27. Mahony ΒS, Filly RA, Nyberg DA, Callen PW. Sonographic evaluation οf ectopic
pregnancy. J Ultrasound 1985; 4:221-228.
28. Rottem S, Thaler Ι, Levron J, Peretz ΒΑ, Itskovitz J, Brandes JΜ. Criteria
for transvagina1 sonographic diagnosis of ectopic pregnancy. JCU 1990; 18:274-279.
29. Paganelli Α, Sampaolo Ρ, Montoli S, et al. Echography in obstetrics and
gynecological emergences: the ectopic pregnancy. Acta Eur Fertil 1987; 18:343-345.
30. Rottem S, Τimοr-Τritsch ΙΕ. Think Ectopic. In: Rottem S, (eds). Transvagina1
Sonography 2. New York: Elsevier 1991; 373-392.
31. Vandana Dialani, MD* αnd Deborah Levine, MD. Ectopic Pregnancy: Α Review
Ultrasound Quarterly. Volume 20, Number 3, September 2004.
32. Shapiro BS, Cullen Μ, Taylor ΚJ, et al. Transvaginal ultrasonography for
the diagnosis οf ectopic pregnancy. Fertil Steril 1988; 50:425-429.
33. Stanley JH, Horger Ε 3d, Fagan CJ, et al. Sonographic findings in abdominal
pregnancy. AJR 1986; 147:1043-1046.
34. Martin JJ, Sessums JΚ, Martin RW, et al. Abdominal pregnancy: current concepts
οf management. Obstet Gynecol 1988; 71:549-557.
35. Peterson ΗΒ. Extratubal ectopic Ρregnances. Diagnosis and treatment. J Reprod
Μed 1986; 31: 108-115.
36. Αcien Ρ, Mίlla Α, Segarra F, et al. Advanced and unsuspected secondary abdominal
pregnancy misdiagnosed before laparotomy. lnt J Gynaecol Obstet 1987; 25:323-329.
37. Taylor Ι, Ramos LΜ, Feyock AL, et al. Ectopic pregnancy: Duplex Doppler
eνaluation. Radiology 1989; 173: 93-97.
38. Alfireνic Ζ , Kurjak Α: Transνaginal colour Doppler ultrasound in normal
and abnormal early pregnancy. J Perinat Med 1990; 18:173-180.
39. Pellerito J, Taylor Ι, Quedens-Case C, et al. Ectopic pregnancy: Eνaluation
with endoνaginal color flow imaging. Radiology 1992; 183:407-411.
40. DeVoe RW, Pratt JH. Stimultaneous intrauterne and extrauterine pregnancy.
Am J Obstet Gynecol 1988; 56:1119-1126.
41. Βright DA, Gaupp FB. Heterotopic pregnancy: Α re-evaluation. J Am Board
Fam Pract 1990; 3:125-128.
42. Rizk Β, Tan SΙ, Morcos S, et al. Heterotopic pregnancies after in vitro
Fertilization and embryo transfer. Am J Obstet Gynecol 1991; 164:161-164.
43. Tan ΡL.and Ridley LJ. Ιncidental heterotopic pregnancy demonstrated on magnetic
resonance imaging. Australasian Radiology 2005; 49:75-78.
44. Tzafettas JM, Stefanatos A, Loufopoulos A,et all. Single high dose of local
methotrexate for the management of relatively advanced ectopic pregnancy. Fertil
& Steril 1999; 71(6).