Aνασκόπηση
Η συμβολή της κλασικής
και έγχρωμης Doppler
υπερηχογραφίας στην Ιατρική της Aναπαραγωγής
Ι.Μ. Τζαφέττας
Β΄ Μαιευτική και Γυναικολογική Κλινική Α.Π.Θ.
Aλληλογραφία:
Ιπποκράτειο ΓΠΝΘ
Κωνσταντινουπόλεως 49
ΤΚ 54629, Θεσσαλονίκη
Κατατέθηκε: 20/5/05
Εγκρίθηκε: 22/8/05
Περίληψη
Η διακολπική υπερηχογραφία παρέσχε νέες πληροφορίες όσον αφορά στην ανατομία
και την παθοφυσιολογία των ενδοπυελικών οργάνων της γυναίκας. Η παλμική έγχρωμη
διακολπική υπερηχογραφική εξέταση αποτελεί την τελευταία εξέλιξη στo χώρο αυτό.
Με τη βοήθεια της ατραυματικής αυτής μεθόδου, είναι δυνατή η άμεση και επαναλαμβανόμενη
καταμέτρηση της αιματικής ροής σε αγγεία χιλιοστομετρικών διαστάσεων, όπως οι
τοξοειδείς, οι ακτινοειδείς και οι σπειροειδείς διακλαδώσεις της μητριαίας αρτηρίας
και της ωοθηκικής, ακόμα και στα νεόπλαστα τριχοειδή του τοιχώματος των ωοθυλακίων.
Η συστηματική εφαρμογή αυτής της τεχνολογίας μπορεί να χρησιμεύσει στην έρευνα
και αντιμετώπιση φυσιολογικών και υπογόνιμων ζευγαριών και στην επιλογή του
κατάλληλου πρωτοκόλλου διέγερσης. Η κολπική έγχρωμη Doppler υπερηχογραφία μπορεί
να συμβάλει επίσης στην αναγνώριση ασθενών με υψηλό κίνδυνο να αναπτύξουν σύνδρομο
υπερδιέγερσης των ωοθηκών, στην πρόβλεψη της βιωσιμότητας της αρχόμενης κύησης
και στην έγκαιρη διάγνωση της έκτοπης κύησης. Μπορεί, επίσης, να διευκολύνει
τη διαφορική διάγνωση μεταξύ καλοηθών και κακοηθών γυναικολογικών παθήσεων.
Όροι ευρετηρίου: Έγχρωμη κολπική Doppler υπερηχογραφία, αναπαραγωγή.
Εισαγωγή
Η ενσωμάτωση του έγχρωμου Doppler στις κολπικές κεφαλές των υπερήχων, πέρα από
την ανατομική απεικόνιση των οργάνων της αναπαραγωγής, συνέβαλε στην απόκτηση
πληροφοριών που αφορούν και στις λειτουργικές μεταβολές τους, κατά τη διάρκεια
του εμμηνορρυσιακού κύκλου. Οι μεταβολές αυτές που αναφέρονται στη ροή του αίματος
και είναι σημαντικές και εξειδικευμένες, είναι πρωταρχικής σημασίας για την
ανάπτυξη και την απελευθέρωση ενός ώριμου ωαρίου και τη δημιουργία ενός υποδεκτικού
ενδομητρίου.
Πρόσφατες in vivo και in vitro μελέτες, υποστηρίζουν το σημαντικό ρόλο της συνεχούς
υψηλής ή αυξανόμενης ροής αίματος στο ωοθυλάκιο, κατά τη διάρκεια της ωοθυλακιογενεσίας.(1)
Η αιματική αυτή ροή εξασφαλίζεται μέσω μικρών αγγείων, τα οποία πορεύονται κατά
μήκος της εσωτερικής επιφάνειας της θήκης του ωοθυλακίου(2) (εικόνες 1, 2).
Τα αγγεία αυτά συμμετέχουν στην περίπλοκη διαδικασία της στεροειδογένεσης, μεταφέροντας
θρεπτικά υλικά κατευθείαν στα κύτταρα της θήκης και με τη μέθοδο της διήθησης
στα κύτταρα της κοκκώδους στιβάδας. Έχει αποδειχθεί ότι η ωχρινοτρόπος ορμόνη
(LH) και η χοριακή γοναδοτροπίνη (β-HCG) προκαλούν την έκλυση αγγειοδιασταλτικών
ουσιών, όπως ισταμίνης και νιτρικού οξέος, επιφέροντας αγγειοδιαστολή και αύξηση
της αιματικής ροής στην ωοθήκη.(3)
Τα αγγεία που μπορούν να μελετηθούν με τη μέθοδο Doppler στα όργανα της αναπαραγωγής
είναι:
α. Η μητριαία αρτηρία και οι διακλαδώσεις της (τοξοειδείς, ακτινοειδείς, σπειροειδείς).
β. Η ωοθηκική αρτηρία και οι πολύ μικροί ενδοωοθηκικοί της κλάδοι.
γ. Τα μικρά αγγεία στο τοίχωμα του ωοθυλακίου.
Από τα αγγεία αυτά, εκείνα που προσφέρονται περισσότερο είναι η μητριαία αρτηρία,
έξω από τη μήτρα και οι τοξοειδείς αρτηρίες (εικόνα 3).

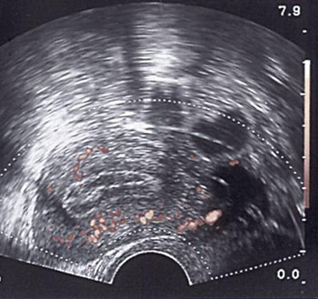
Εικόνα 1. Νεόπλαστα αγγεία
στο τοίχωμα ωοθυλακίου.

Εικόνα 2. Αριστερά: προβάλλεται
η σχέση της κολπικής κεφαλής υπερήχων με τα αγγεία των έσω γεννητικών οργάνων.
Δεξιά: σχηματική παράσταση των κυττάρων της θήκης και της κοκκώδους στιβάδας
με τα παρακείμενα τροφοφόρα αγγεία, τα οποία πορεύονται κατά μήκος της εσωτερικής
επιφάνειας της θήκης.

Εικόνα 3. Προωοθυλακιορρηκτικό
Doppler μητριαίας αρτηρίας: το διαστολικό κύμα καλύπτει ολόκληρη τη διαστολική
φάση χωρίς εγκοπή.
Η μητριαία
αρτηρία
Η μητριαία αρτηρία πορεύεται
στο παραμήτριο, στο ύψος του έσω τραχηλικού στομίου, το οποίο μπορεί να εντοπιστεί
ακολουθώντας τον τραχηλικό αυλό. Κατά τη διάρκεια του φυσιολογικού εμμηνορρυσιακού
κύκλου εκπέμπονται παλμικά κύματα που εύκολα καταγράφονται με τη μέθοδο Doppler.
Οι δείκτες ροής αίματος στις τοξοειδείς και ακτινοειδείς αρτηρίες στο σώμα της
μήτρας, όπως επίσης και στις σπειροειδείς αρτηρίες (υποβλεννογόνιες), προσδιορίζονται
καλύτερα με τον προσανατολισμό της κολπικής κεφαλής κατά τρόπο ώστε να παράγονται
τα υψηλότερα δυνατά συστολικά κύματα. Η αιματική ροή στις σπειροειδείς αρτηρίες
εκφράζεται υπό μορφή κυμάτων που εκπέμπονται από την περιοχή του μυομητρίου
κοντά στο ενδομήτριο, μέχρι και 3 χιλιοστά από τη βασική του μεμβράνη.(5)
Κατά τη διάρκεια της παραγωγικής φάσης, ο δείκτης αντίστασης (RI=Resistance
Index) μειώνεται παράλληλα με την άνοδο των οιστρογόνων και ανακάμπτει μόλις
πριν την ωοθυλακιορρηξία. Η ανάκαμψη αυτή συμπίπτει με την παροδική πτώση των
οιστρογόνων στη φάση αυτή, που είναι απόρροια της ανάλογης πορείας της FSH στην
όψιμη παραγωγική φάση. Την προ-ωοθυλακιορρηκτική αυτή παροδική αύξηση του RI
φυσιολογικά ακολουθεί αιφνίδια μείωση, με ανάλογη αύξηση της αιματικής ροής,
που σχετίζεται με την κατακόρυφη αύξηση της προγεστερόνης η οποία παράγεται
από το ωχρό σωμάτιο που προέκυψε από την ωοθυλακιορρηξία, η οποία μόλις προηγήθηκε.(4)
Σε μια πρωτοποριακή μελέτη, οι Goswamy και Steptoe(5) ανακοίνωσαν ότι μειωμένη
ανταπόκριση της μητριαίας αρτηρίας στο μέσο της εκκριτικής φάσης, εκδηλούμενη,
κατά την εξέταση Doppler, ως έλλειψη ή ποιοτική αλλοίωση του εύρους του διαστολικού
κύματος (diastolic flow velocity), είναι ενδεικτική περιορισμένης αιμάτωσης
της μήτρας και χαρακτηρίστηκε ως αιτία υπογονιμότητας. Η διαταραχή αυτή μπορεί
να αποκατασταθεί με μακροχρόνια χορήγηση οιστρογόνων.(6) Η σχέση αυτή μεταξύ
στεροειδών ορμονών και αιμάτωσης της μήτρας, όπως εκδηλώνεται στην εικόνα Doppler,
έχει επιβεβαιωθεί με την καταστολή των οιστρογόνων ύστερα από χορήγηση GnRH
ανάλογων, η οποία προκαλεί καταστολή της αιματικής ροής κατά τη διαστολική φάση.
Σε απουσία ωοθηκικής λειτουργίας, οι μητριαίες αρτηρίες εμφανίζουν υψηλή αγγειακή
αντίσταση, η οποία εκδηλώνεται με στενωμένα υψηλά συστολικά κύματα και υψηλό
PI (Pulsatility Index).
Το διακολπικό Doppler μπορεί να αποδειχθεί χρήσιμο στην εκτίμηση της βιοδραστικότητας
διαφόρων ορμονικών σκευασμάτων που χρησιμοποιούνται λ.χ. στη θεραπεία ορμονικής
υποκατάστασης και των επιπτώσεών τους στο ενδομήτριο, ή για την προετοιμασία
της μήτρας σε περιπτώσεις δανεισμού ωαρίων, επί ωοθηκικής ανεπάρκειας. Η προσθήκη
προγεστερόνης αποδείχθηκε ότι δεν επηρεάζει την αγγειοδιασταλτική επίδραση των
οιστρογόνων.(7)
Η τιμή του PI μπορεί να καθορίσει την κατάλληλη ημέρα χορήγησης της HCG, η οποία
μπορεί, ανάλογα με την περίπτωση, να καθυστερήσει μέχρι και τρεις ημέρες.(8)
Η ομάδα του Zaidi έδειξε ότι όταν το PI, την ημέρα χορήγησης της HCG, είναι
μικρότερο του 3, τα ποσοστά εμφύτευσης είναι αυξημένα. Τιμή μεγαλύτερη του 3
κατά κανόνα είναι ασυμβίβαστη με θετικό αποτέλεσμα.(9)
Το PI στις ακτινοειδείς αρτηρίες μετά από χορήγηση HCG ή ενδογενή έκλυση της
LH, διαπιστώθηκε ότι είναι χαμηλότερο από ό,τι στη μητριαία αρτηρία και ακόμα
χαμηλότερο στις σπειροειδείς,(4) λόγω των εντονότερων αγγειακών μεταβολών που
συμβαίνουν στο μυομήτριο και ιδιαίτερα στο αναπτυσσόμενο ενδομήτριο. Η διαφορά
αυτή, σύμφωνα με δικές μας παρατηρήσεις, είναι ακόμα περισσότερο εμφανής όταν
η σύγκριση γίνεται μεταξύ μητριαίας αρτηρίας και ενδο-ωοθηκικών αγγείων (στο
στρώμα ή στο τοίχωμα των ωοθυλακίων), λόγω της δημιουργίας νεόπλαστων αγγείων.

Εικόνα 4. Προωθυλακιορρηκτικό
ώριμο ενδομήτριο πρόσφορο για εμφύτευση. Η τριζωνική του δομή είναι ευκρινής,
ενώ το παρέγχυμα εμφανίζει μετρίου βαθμού ηχοϊκότητα ενδεικτική παρουσίας εκκρίματος,
που ήδη πληρεί τους αδένες. Η διάμετρος υπερβαίνει τα 7 χιλ.

Εικόνα 5. Επάνω: ώριμο προωοθυλακιορρηκτικό
ενδομήτριο.
Κάτω: υπερώριμο ενδομήτριο ασυμβίβαστο με εμφύτευση. Η τριζωνική του δομή έχει
απολεσθεί, ολόκληρο δε το παρέγχυμα εμφανίζεται έντονα υπερηχοϊκό.
Εικόνα 6. Η αιματική ροή
στους ενδομήτριους κλάδους της μητριαίας αρτηρίας (τοξοειδείς, ακτινοειδείς,
σπειροειδείς) είναι εμφανής με τη μέθοδο της Power Doppler υπερηχογραφίας. Εκφράζεται
υπό μορφή κυμάτων που εκπέμπονται από την περιοχή του μυομητρίου μέχρι και 3
χιλιοστά από τη βασική μεμβράνη του ενδομητρίου. Το ενδομήτριο εδώ εμφανίζεται
ανώριμο (τριζωνικό και υποηχοϊκό), ανέτοιμο για εμφύτευση.
Η
ωοθηκική αρτηρία
Εξαιτίας της διπλής αρτηριακής αιμάτωσης και φλεβικής παροχέτευσης των ωοθηκών,
αυτές δεν προσφέρονται για τον προσδιορισμό της ροής αίματος και των αιμοδυναμικών
σε αυτές μεταβολών. Κατά συνέπεια, η μελέτη της ροής αίματος στην ωοθήκη και
στα ωοθυλάκια μέχρι τώρα έγιναν σε πειραματόζωα, χρησιμοποιώντας επεμβατικές
μεθόδους όπως η άμεση καταμέτρηση της φλεβικής ροής, τα αρτηριακά ροόμετρα και
τα ραδιενεργά στοιχεία.(10)
Η ροή αίματος στην ωοθηκική αρτηρία σχετίζεται με τις μεταβολές στα επίπεδα
των οιστρογόνων και ακόμα περισσότερο με αυτά της προγεστερόνης, τα οποία αντανακλούν
τη λειτουργία του ωχρού σωματίου. Η αντίσταση στην αιματική ροή στα ενδοωοθηκικά
αγγεία (στο στρώμα ή στο τοίχωμα του ωοθυλακίου) τείνει να είναι χαμηλότερη
από ό,τι στην ωοθηκική αρτηρία, λόγω της ανάπτυξης των νεόπλαστων ενδοωοθηκικών
αγγείων. Για τον ίδιο λόγο, το PI είναι χαμηλότερο στην ωοθήκη που εμπεριέχει
το ωχρό σωμάτιο και ακόμα περισσότερο στην περιοχή γύρω από το ωχρό σωμάτιο
σε σχέση με την υπόλοιπη ωοθήκη (40%).
Όπως προέκυψε από διάφορες μελέτες σε υπογόνιμες γυναίκες, συγκεκριμένες μεταβολές
στην ενδοωοθηκική ροή αίματος είναι ενδεικτικές διαταραχών της ωοθυλακιορρηξίας.(11)
Η μελέτη της ενδοωοθηκικής ροής αίματος μπορεί να αποβεί χρήσιμη για την πρόβλεψη
της έκβασης των διαφόρων μεθόδων υποβοηθούμενης αναπαραγωγής. Το RI λ.χ. (δείκτης
αντίστασης), τη 10η ημέρα του κύκλου, είναι σαφώς χαμηλότερος σε γυναίκες που
καθίστανται έγκυες (<0,5) σε σχέση με εκείνες που δεν συλλαμβάνουν (RI>0,8
κατά κανόνα είναι ασυμβίβαστο με κύηση).(11) Σε φυσιολογικούς κύκλους, μείωση
της ενδοωοθηκικής αντίστασης της αιματικής ροής αποτελεί προϋπόθεση για την
επίτευξη εγκυμοσύνης.(12)

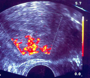
Εικόνα 7. Τα αγγεία πέραν
του μυομητρίου, διεισδύουν και στο ενδομήτριο, δημιουργώντας πρόσφορες συνθήκες
για εμφύτευση.

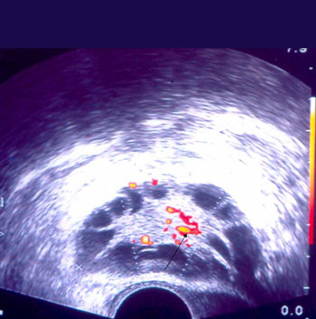
Εικόνα 8. Η ενδοωοθηκική
ροή αίματος την 6η, ή το πολύ την 7η ημέρα θεραπείας, είναι πλέον επαρκής, ώστε
να είναι δυνατή η καταγραφή της με τη μέθοδο Doppler, ενώ η απουσία της είναι
πρώιμος δείκτης πλημμελούς ανταπόκρισης. Αντίθετα, όπως εμφανίζεται στην εικόνα,
η πρώιμη εντόπιση των ενδοωοθηκικών νεόπλαστων αγγείων (πριν την 5η ημέρα θεραπείας),
με ιδιαίτερα χαμηλές αντιστάσεις (PI: 0,59 και RI:0,39), αποτελεί πρώιμο δείκτη
επικείμενης ωοθηκικής υπερδιέγερσης και ένδειξη για αναπροσαρμογή της θεραπείας.
To
ωοθυλακιο
Έχει υποστηριχτεί ότι το μέγεθος του ωοθυλακίου είναι αντιστρόφως ανάλογο με
το PI και το RI,(11) μια άποψη που δεν φαίνεται να επιβεβαιώνεται στην πράξη.
Χαρακτηριστικό παράδειγμα αποτελούν οι περιπτώσεις διέγερσης με κιτρική κλομιφαίνη,
όπου το μέγεθος των ωοθυλακίων τείνει να είναι μεγαλύτερο και με λιγότερη αιμάτωση,
το δε ενδομήτριο να υπολείπεται, σε σύγκριση με τη διέγερση με γοναδοτροπίνες.
Σε υπογόνιμες γυναίκες με φυσιολογικό εμμηνορρυσιακό κύκλο, οι οποίες όμως στη
συνέχεια εμφανίζουν μειωμένη ανταπόκριση στη διέγερση με γοναδοτροπίνες, διαπιστώθηκε
ότι η αντίσταση στη ροή αίματος (blood flow impedance) είναι παθολογική (αυξημένα
PI και RI) κι αυτό μπορεί να έχει ιδιαίτερη προγνωστική σημασία.(13,14) Είναι
πιθανό ότι οι γυναίκες αυτές εμφανίζουν σταθερό πρόβλημα πλημμελούς αιμάτωσης
του ωοθυλακίου. Ενδιαφέρουσα είναι η διαπίστωση με τη δοκιμασία της κλονιδίνης,
σύμφωνα με την οποία, γυναίκες με χαμηλή ανταπόκριση στην ωοθηκική διέγερση
εμφανίζουν μειωμένα επίπεδα αυξητικής ορμόνης, η οποία εμπλέκεται στη δημιουργία
νεόπλαστων αγγείων στο ωοθυλάκιο. Αυτό υποδεικνύει ότι, παρουσία φυσιολογικών
βασικών επιπέδων FSH, η πλημμελής ανταπόκριση στις γοναδοτροπίνες δεν οφείλεται
μόνο στην ηλικία και στην εξάντληση των ωοθυλακίων. Προφανώς υπάρχουν και άλλοι
παράγοντες που εμπλέκονται στη διαδικασία της ωοθυλακιογένεσης (π.χ. GH και
IGF-1) και που ευθύνονται για την παθολογική αντίσταση στη ροή του αίματος στο
ωοθυλάκιο.
Η χορήγηση HCG ή η ενδογενής έκλυση LH, επιφέρουν μια αιφνίδια εισροή αίματος
στο ωοθυλάκιο, χωρίς όμως να είναι απόλυτα κατανοητή η σημασία της.(15) Σε πρόσφατη
μελέτη, οι Brannstrom και συν. περιέγραψαν σημαντικές τοπικές μεταβολές στη
ροή αίματος του ωοθυλακίου πριν από την ωοθυλακιορρηξία μέχρι και 72 ώρες μετά.(16)
Οι μεταβολές αυτές που είναι χαρακτηριστικές για τη δημιουργία και την απελευθέρωση
ενός ώριμου ωαρίου, συνίστανται στην εκσεσημασμένη αύξηση της ροής αίματος στη
βάση του ωοθυλακίου στις τελευταίες 20 ώρες πριν την ωοθυλακιορρηξία και παράλληλη
εξασθένησή της στην κορυφή και στα πλάγια του τοιχώματός του. Παρακολουθώντας
τις μεταβολές αυτές, υποστήριξαν οι ερευνητές αυτοί, ότι είναι δυνατή η πρόβλεψη
της ωοθυλακκιορρηξίας με ακρίβεια. Μεταξύ των διαφόρων δεικτών που χρησιμοποιήθηκαν
για τον προσδιορισμό της ροής αίματος στο τοίχωμα το ωοθυλακίου (RI, PI, PSV=peak
systolic velocity), το PSV ήταν ο πλέον ευαίσθητος, ιδιαίτερα σε σύγκριση με
το RI, η αξία του οποίου αμφισβητήθηκε και από άλλους.(16) Στη μητριαία αρτηρία
δεν διαπιστώθηκαν ανάλογες αισθητές μεταβολές. Διαπιστώθηκε ότι όσο χαμηλότερο
το PSV, τόσο μεγαλύτερη η πιθανότητα για "κενό ωοθυλάκιο". Αντίθετα,
καλής ποιότητας ωάρια και έμβρυα (κατηγορίας Ι και ΙΙ) σχετίζονται με μεγαλύτερου
εύρους συστολικά κύματα.(17)

Εικόνα 9. Η Doppler υπερηχογραφία
αποκαλύπτει ορχική ατροφία (αριστερά) τρεις μήνες μετά από TESE. Μια ευρεία
ανάγγεια περιοχή (μεταξύ των βελών) είναι εμφανής στον όρχι αυτόν, ο οποίος
υπολείπεται εμφανώς σε μέγεθος και αιμάτωση. Η περαιτέρω προσπάθεια ανεύρεσης
σπερματοζωαρίων στον όρχι αυτόν, θα απέβαινε αναποτελεσματική. Δεξιά: φυσιολογική
εικόνα Doppler στον απέναντι υγιή όρχι.

Εικόνα 10. Η τρισδιάστατη
απεικόνιση των αγγείων του μυομητρίου και του συνολικού όγκου του ενδομητρίου
αναμένεται να συμβάλει στην καλύτερη εκτίμηση της υποδεκτικής του ικανότητας.
Το ωχρό σωμάτιο
Η επαρκής παραγωγή προγεστερόνης από το ωχρό σωμάτιο απαιτεί την επαρκή διάθεση
LDL (λιποπρωτεΐνη χαμηλής πυκνότητας) κι αυτό προϋποθέτει αντίστοιχα ικανοποιητική
δημιουργία νεόπλαστων αγγείων. Η περιορισμένη παρουσία αυτών των αγγείων έχει
ενοχοποιηθεί ως αιτία μειωμένης παραγωγής προγεστερόνης και κατά συνέπεια ανεπάρκειας
ωχρού σωματίου. Στην κατηγορία αυτή των γυναικών, το RI βρέθηκε σημαντικά μεγαλύτερο.(18)
Κατά συνέπεια, η ενδο-ωοθηκική ροή αίματος (RI ωχρού σωματίου) μπορεί να χρησιμεύσει
ως εναλλακτική παράμετρος, που αντανακλά τα επίπεδα προγεστερόνης και τη λειτουργία
του ωχρού σωματίου.
Η μείωση του RI στο μέσον της εκκριτικής φάσης που παρατηρείται στα φυσιολογικά
άτομα και η οποία συνοδεύεται από υψηλού εύρους συστολικά κύματα (high peak
velocity waveforms) καθ' όλη τη διάρκεια της εκκριτικής φάσης, είναι αποτέλεσμα
κυρίως της αύξησης της τελικής διαστολικής ροής, που οφείλεται στην εμφάνιση
των νεόπλαστων αγγείων στο ωχρό σωμάτιο. Σε περίπτωση ανεπάρκειας του ωχρού
σωματίου, οφειλόμενης στην πλημμελή ανάπτυξη των νεόπλαστων αυτών αγγείων, δεν
βελτιώνεται η τελική διαστολική ροή αίματος (end diastolic blood flow) και κατά
συνέπεια, το RI παραμένει υψηλό.(18)
Στην κλινική εκτίμηση της λειτουργίας του ωχρού σωματίου, το έγχρωμο παλμικό
Doppler μπορεί να χρησιμεύσει ως ατραυματική διαγνωστική μέθοδος.
Υπερηχογραφική
απεικoνιση και κινήσεις του ενδομητρίου
Ανάλογα με το
βαθμό ωριμότητας, υπάρχουν τρεις τύποι ενδομητρίου:
Τύπος Ι: Τριζωνικό υποηχοϊκό (ανώριμο).
Τύπος ΙΙ: Το ενδομήτριο εμφανίζει ηχογένεια, αποτέλεσμα της ανάπτυξης των αδένων
του που πληρούνται από έκκριμα, η τριζωνική όμως υφή του παραμένει σαφής μέχρι
και ημέρες μετά τη χορήγηση της HCG (ή την ενδογενή έκλυση της LH). Πρόκειται
περί ενός προ-ωοθυλακιορρηκτικού ώριμου ενδομητρίου (εικόνα 4).
Τύπος ΙΙΙ: Το ενδομήτριο εμφανίζεται υπερηχοϊκό σε όλη του την έκταση, με αποτέλεσμα
την απώλεια της τριζωνικής του υφής. Το υπερώριμο αυτό ενδομήτριο είναι, κατά
κανόνα, ασυμβίβαστο με εμφύτευση (εικόνα 5).
Το πάχος ενός καλά ανεπτυγμένου ώριμου ενδομητρίου πρέπει να κυμαίνεται μεταξύ
7 και 14 χιλ.
Η παρουσία εξ άλλου υπο- και ενδοβλεννογόνιων ακροτελεύτιων κλάδων στο ενδομήτριο,
σχετίζεται άμεσα με την υποδεκτικότητα του ενδομητρίου, παντελής έλλειψη των
οποίων είναι ενδεικτικά αρνητικής πρόγνωσης (εικόνες 6, 7).
Ένα άλλο σημαντικό χαρακτηριστικό, που ίσως είναι σημαντικό για τη μεταφορά
των γαμετών και των εμβρύων εντός του αναπαραγωγικού συστήματος, είναι οι κινήσεις
του ενδομητρίου που περιγράφονται τελευταία, οι οποίες καθίστανται εντονότερες
μετά τη χορήγηση της HCG και διαρκούν 4-5 ημέρες.(4)
Η μελέτη των οργάνων της αναπαραγωγής με τη μέθοδο Doppler, μπορεί να συμβάλλει
στην ανεύρεση του ιδανικού χρόνου για την εμβρυομεταφορά, έτσι ώστε να συμπέσει
με την περίοδο της εμφύτευσης (implantation window). Μέχρι τώρα, παρά τις θετικές
προοπτικές, δεν διατίθενται αξιόπιστοι δείκτες για την εντόπιση της φάσης που
συμπίπτει με τη μέγιστη υποδεκτικότητα του ενδομητρίου.
Σύμφωνα με σχετικές μελέτες, όσο μεγαλύτερη είναι η αντίσταση στη ροή αίματος
την ημέρα της εμβρυομεταφοράς, τόσο μικρότερη είναι η πιθανότητα να επακολουθήσει
επιτυχής εμφύτευση και κύηση. Όταν ο δείκτης PI υπερβαίνει το 3, αυτό είναι
κατά κανόνα ασυμβίβαστο με κύηση.(16) Κατά συνέπεια, οι μελέτες Doppler μπορεί
να καταστούν χρήσιμες προς την κατεύθυνση αυτή. Αυτό μπορεί να απαιτήσει την
αναβολή της χορήγησης της ΗCG ή και της εμβρυομεταφοράς (μέχρι και 3 ημέρες),
ή ακόμα και την κατάψυξη των εμβρύων με σκοπό την εξασφάλιση ευνοϊκότερων συνθηκών
σε έναν επόμενο κύκλο. Η βελτίωση των ποσοστών εμφύτευσης εξάλλου, μπορεί να
επιτρέψει τη μείωση του αριθμού των μεταφερόμενων εμβρύων, με σκοπό την αποτροπή
πολύδυμων κυήσεων, με τα γνωστά αρνητικά συνεπακόλουθα.
Η ανάλυση Doppler των ενδοωοθηκικών αγγείων, κυρίως του στρώματος, μπορεί να
χρησιμεύσει για την πρόγνωση της ικανοποιητικής ή μη ανταπόκρισης των ωοθηκών
στη διέγερση με γοναδοτροπίνες. Συγκεκριμένα, σύμφωνα με δικές μας παρατηρήσεις,
σε γυναίκες με ικανοποιητική ανταπόκριση, η ενδοωοθηκική ροή αίματος την 6η
ή το πολύ 7η ημέρα θεραπείας, είναι πλέον επαρκής, ώστε να είναι δυνατή η καταγραφή
της με τη μέθοδο Doppler. Αντίθετα, η αδυναμία καταγραφής κυμάτων ροής αίματος
μέχρι και την 7η ημέρα θεραπείας, κατά κανόνα συνοδεύεται από φτωχή τελική ανταπόκριση
και αποτελεί ένδειξη για αύξηση της δοσολογίας. Η εντόπιση εξάλλου με τη μέθοδο
Doppler, νεόπλαστων ενδοωοθηκικών αγγείων, με ιδιαίτερα χαμηλές αντιστάσεις
πριν από την 5η ημέρα θεραπείας, αποτελεί πρώιμο δείκτη επικείμενης ωοθηκικής
υπερδιέγερσης και ένδειξη για αναπροσαρμογή της θεραπείας (εικόνες 8, 9).
Αρχομενη
κυηση
Μετά την εγκατάσταση της κύησης και καθ' όλη τη διάρκεια του 1ου τριμήνου, παρατηρείται
μια αιφνίδια πτώση στη σχέση SD (συστολικό προς διαστολικό κύμα). Ο ρυθμός βελτίωσης
της ροής αίματος στην ωοθηκική αρτηρία, είναι μεγαλύτερος σε σχέση προς τη μητριαία,
πιθανότατα λόγω της συμμετοχής της πρώτης στη στεροειδογένεση που λαμβάνει χώρα
στην ωοθήκη και η οποία είναι απαραίτητη για τη διατήρηση της κύησης στα αρχικά
της στάδια.
Ανδρικη
υπογονιμοτητα
Η ομάδα του Battaglia(19) έδειξε ότι η Doppler υπερηχογραφία μπορεί να συμβάλει
στη διαφορική διάγνωση μεταξύ αποφρακτικής και μη αζωοσπερμίας, όπως επίσης
και λειτουργικών διαταραχών σχετιζόμενων με ανδρική υπογονιμότητα.(20,21) Επίσης,
η διαπίστωση ικανοποιητικής αιμάτωσης στην ενδιάμεση ορχική αρτηρία είναι αξιόπιστος
δείκτης για την ανεύρεση σπερματοζωαρίων σε περίπτωση TESA (testicular sperm
aspiration) ή TESΕ (testicular sperm extraction), ακόμα και παρουσία υψηλών
επιπέδων FSH και μικρού όγκου όρχεων(22) (εικόνα 10).
Πολυδιαστατη υπερηχογραφια
Η εισαγωγή τελευταία της πολυδιάστατης υπερηχογραφίας θα προσδώσει μεγαλύτερη
αξιοπιστία στην εκτίμηση των παραμέτρων που εμπλέκονται στην υπογονιμότητα,
συγκρίνοντας καλύτερα την ενδο- και υπο-ενδομήτρια αιματική ροή μεταξύ γόνιμων
και μη γόνιμων περιπτώσεων, όπως επίσης και το συνολικό όγκο του ενδομητρίου
πέραν της μέχρι πρόσφατα διατιθέμενης διπλής διάστασής του.(23)
Summary
Tzafettas JM.
The contribution of color Doppler ultrasonography
in reproductive medicine.
Ηellen Obstet Gynecol 17(3):251-257, 2005.
Transvaginal ultrasonography has provided new anatomic and pathophysiologic information about the female pelvis. Transvaginal pulsed color Doppler ultrasound is the latest development in transvaginal sonography. With the assistance of this non-invasive technology immediate and reproducible blood flow measurements of milimetric vessels are possible, such as arcuate, radial and spiral branches of the uterine arteries as well as the newly formed follicular wall vessels. Routine application of this technology can be used as part of the investigation and management of normal and infertile couples. Transvaginal color Doppler sonography aids also in the identification of cases at high risk for ovarian hyperstimulation syndrome, pregnancy viability and the early diagnosis of ectopic pregnancy. It can also facilitate the differential diagnosis of benign and malignant pathology.
Key words: Color Doppler ultrasonography, reproductive medicine.
Βιβλιογραφία
1. Zackrisson U, Mikuni M,
Makinoda S, Janson PO, Peterson CM, Brannstrom M. Ovulation rate in the rat
is decreased by acute ligation of the ovarian artery (Abstract). Biol Reprod
1996; 54(Suppl):68.
2. Macchiarelli G, Notolla SA, Vissa E, Familiari G, Kikuta A, Muramaki T. Microvasculature
of growing and atretic follicles in the rabbit ovary: a SEM study of corrosion
casts. Arch Histol Cytol 1993; 56:1-12.
3. Bonello N, McKie K, Ross N, Braybon E, Jasper M. Inhibition of nitric oxide:
effects on IL-1β-enhanced ovulation rate, steroid hormones and ovarian leucocyte
distribution at ovulation in the rat. Biol Reprod 1996; 54:436-45.
4. Bourne TH, Hagstrom HG, Granberg S, Josefsson B, Hahlin M, Hellberg P, Hamberger
L, Collins WE. Ultrasound changes of vascular and morphological changes in the
human uterus after a positive self-test for the urinary luteinizing hormone
surge. Hum Reprod 1996; 2:369-75.
5. Goswamy RK, Williams G, Steptoe PC. Decreaseduterine perfusion - a cause
of infertility. Hum Reprod 1988; 3:955-61.
6. Ziegler D, Bessis R, Frydman R. Vascular resistance of uterine arteries:
physiological effects of estradiol and progesterone. Fertil Steril 1991; 4:775-9.
7. Matta WHM, Stabile I, Shaw RW, Cambell S. Doppler assessment of blood flow
changes in patients with fibroids receiving the gonadotropins-releasing hormone
agonist buserelin. Fertil Steril 1988; 49:1083-7.
8. Obora I, Dostal J, Bresinova J, Svobodova M, Fingerova H. Sonographic evaluation
of endometrial preparation with oral estrogen - progesterone substitution before
cryogenic embryo transfer. Ceska Gynekol 2004; 69:461-6.
9. Zaidi J, Rudiger P, Shaker A, Kyei Mensah A, Stuart C, Lin Tan S. Assessment
of uterine artery blood flow on the day of HCG administration by transvaginal
color Doppler ultrasound in an in vitro fertilization program. Fertil Steril
1996; 2:377-81.
10. Janson PO. Methodological and functional aspects of ovarian blood flow.
In: Ichinoe K, Segal SJ, Mastroyianni L editors. Preservation of tubo-ovarian
function in gynecologic benign and malignant disease. New York: Raven Press,
1986; 163-76.
11. Pellicer A, Ballester MJ, Serrano MD, Mir A, Serra-Serra V, Remohi J, Bonilla-Musoles
FM. Aetiological factors involved in the low response to gonadotrophins in infertile
women with normal basal serum follicle stimulating hormone levels. Hum Reprod
1986; 5:806-11.
12. Nakagawa K, Ozawa N, Takamatsu K, Takahatsi Y, Irahara M, Yoshimura Y, Saito
H. A reduction in intra-ovarian arterial blood flow resistance after ovulation
is necessary to achieve pregnancy in natural cycles. J Assist Reprod Genet 2005;
22:9-14.
13. Thaler I, Manor D, Brandes J, Rottem S, Itskovits J. Basic principles and
clinical applications of the transvaginal Doppler Duplex System in reproductive
medicine. J of In Vitro Fertilization and Embryo Transfer 1990; 2:74-85.
14. Castello MF, Strestha SM, Sjoblom P, McNally G, Bennett MJ, Steigrad SJ,
Hughes GJ. Fertil Steril 2005; 83:945-54.
15. Balakier H, Stronell RD. Color Doppler assessment of folliculogenesis in
vitro fertilization patients. Fertil Steril 1994; 6:1211-16.
16. Brannstrom M, Zackrisson U, Hagstrom HG, Josefsson B, Hellberg P, Granberg
S, Collins WP, Bourne T. Preovulatory changes of blood flow in different regions
of the human follicle. Fertil Steril 1998; 3:435-42.
17. Yaron Y, Botchan A, Amit A, Peysen MR, David MP, Lessing JB. Endometrial
receptivity in the light of modern assisted reproductive technologies. Fertil
Steril 1994; 2:225-32.
18. Glock JL, Brumsted JR. Color flow pulsed Doppler ultrasound in diagnosing
luteal phase defect. Fertil Steril 1995; 64:500-4.
19. Battaglia J. The use of Doppler in male infertility. Fertil Steril 2001;
75:1089-94.
20. Guerrero S, Esnal V, Casamayor M. Radiological diagnosis: scrotal ultrasound
and Doppler ultrasound in the diagnosis of male infertility. Arch Esp Urol 2004;
57:905-20.
21. Mizuno I, Fuse H, Fujiuchi Y, Nagakawa O, Akashi T. Relationship between
penile hemodynamic parameters assessed by color Dopler ultrasonography and penile
rigidity recorded by the Rigi Scan Plus. Urol Int 2004; 73:310-2.
22. Tissue perfusion essential for spermatogenesis and outcome of testicular
sperm extraction (TESE) for assisted reproduction. J Assist Reprod Genet 2004;
21:175-80.
23. Ng EH, Chan CC, Tang OS, Yeung WS, Ho PC. Comparison of endometrial and
sub-endometrial blood flow measured by three dimentional power Doppler ultrasound
between stimulated and natural cycles in the same patient. Hum Reprod 2004;
19: 2385-90.