Σύνδρομο
Klippel-Trenaunay-Weber
μιμούμενοεικόνα εντερικής απόφραξης
στο υπερηχογράφημα δευτέρου τριμήνου
E. Ασημακόπουλος1
M. Zαφράκας1
A. Aθανασιάδης1
Β. Περιστέρη2
Π. Tαμπακούδης1
Ι. Μπόντης1
1A΄ Μαιευτική-Γυναικολογική
Κλινική Α.Π.Θ., Ιπποκράτειο Γ.Π.Ν.Θ.
2Mονάδα Εντατικής Νοσηλείας Νεογνών ΕΣΥ, Ιπποκράτειο Γ.Π.Ν.Θ.
Διεύθυνση αλληλογραφίας:Ε. Ασημακόπουλος Αναπληρωτής Καθηγητής Μαιευτικής-Γυναικολογίας
Α' Μαιευτική-Γυναικολογική Κλινική Α.Π.Θ. Ιπποκράτειο Γ.Π.Ν.Θ. Κωνσταντινουπόλεως
49 54642 Θεσσαλονίκη Τηλ.: 2310-892114 Fax: +30-2310-992890.
Περίληψη
Το σύνδρομο Klippel-Trenaunay-Weber είναι μια σπάνια συγγενής ανωμαλία, η οποία
χαρακτηρίζεται από δερματικές κηλίδες χρώματος ερυθρού οίνου, από κιρσούς φλεβών
και αιμαγγειώματα, καθώς και από υπερτροφία ενός άκρου. Aναφέρουμε μια σπάνια
περίπτωση του συνδρόμου με ενδοκοιλιακά αιμαγγειώματα και με εικόνα εντερικής
απόφραξης στο υπερηχογράφημα στις 22 εβδομάδες της κύησης. Η εμφάνιση πολλαπλών
διατεταμένων εντερικών ελίκων μπορεί εκτός από τη νόσο του Hirschsprung και
την κυστική ίνωση να οφείλεται και σε κοιλιακά αιμαγγειώματα του συνδρόμου Klippel-Trenaunay-Weber.
Όροι ευρετηρίου: σύνδρομο Klippel-Trenaunay-Weber, ενδοκοιλιακά αιμαγγειώματα, εντερική απόφραξη.
ΕΙΣΑΓΩΓΗ
Το σύνδρομο Klippel-Trenaunay-Weber είναι μια σπάνια συγγενής ανωμαλία που χαρακτηρίζεται
από την τριάδα: δερματικές κηλίδες χρώματος ερυθρού οίνου, κιρσούς φλεβών και
αιμαγγειώματα, καθώς και οστική υπερτροφία και υπερτροφία των μαλακών μορίων
ενός άκρου.(1) Οι περισσότεροι, αλλά όχι όλοι, ασθενείς εμφανίζουν όλα τα χαρακτηριστικά
της τριάδας,(2,3) και στην πλειοψηφία των δημοσιευμένων σειρών σχεδόν το 100%
των ασθενών είχαν αιμαγγειώματα.(4-6) Συχνότερα προσβάλλονται τα κάτω άκρα και
ακολουθούν τα άνω άκρα, ο κορμός και σπάνια η κεφαλή και ο τράχηλος.(7-9) Η
υπερτροφία ενός ή σπανιότερα περισσότερων άκρων αφορά τόσο τα οστά όσο και τους
μαλακούς ιστούς. Η υπερτροφία κάποιες φορές είναι εμφανής από τη γέννηση, αλλά
συνήθως επιδεινώνεται στα πρώτα χρόνια της ζωής.(1) Τα τελευταία χρόνια έχουν
περιγραφεί διάφορες προγεννητικές υπερηχογραφικές εικόνες του συνδρόμου ανάλογα
με την ηλικία της κύησης, την έκταση και την εντόπιση των βλαβών,(10-28) ενώ
έχουν περιγραφεί και εικόνες στο τρισδιάστατο υπερηχογράφημα.(29,30) Μόνο μία
από αυτές τις περιπτώσεις αφορούσε το έντερο του εμβρύου, αλλά αυτό δεν ήταν
παρά ένα δευτερεύον εύρημα του υπερηχογραφήματος, καθώς η υπερτροφία του αριστερού
εμβρυϊκού κάτω άκρου ήταν η κύρια εμφανής ανωμαλία στο υπερηχογράφημα.(13)
Αναφέρουμε μία περίπτωση του συνδρόμου Klippel-Trenaunay-Weber με αιμαγγειώματα
στο έντερο του εμβρύου. Το αρχικό προγεννητικό υπερηχογραφικό εύρημα ήταν η
βλάβη του εντέρου, ενώ δεν παρατηρήθηκαν ανωμαλίες στα άκρα του εμβρύου. Αυτή
η υπερηχογραφική εμφάνιση έθεσε πρόβλημα στην προγεννητική διαφορική διάγνωση,
καθώς ήταν πανομοιότυπη με την εικόνα της εντερικής απόφραξης.

Εικόνα 1. Εκτεταμένη διάταση
του εντέρου του εμβρύου, με πολλαπλές εντερικές έλικες γεμάτες με υγρό στο υπερηχογράφημα
στις 22 εβδομάδες της κύησης.

Εικόνα 2. Παρόμοια εικόνα
διάτασης του εντέρου του εμβρύου, από άλλη τομή, στις 22 εβδομάδες της κύησης
(εικόνα 1).
ΠΕΡΙΓΡΑΦΗ ΠΕΡΙΠΤΩΣΕΩΣ
Έγκυος ηλικίας 36 ετών, δευτεροτόκος, προσήλθε στη 12η εβδομάδα της κύησης για
εξέταση ρουτίνας υπερηχογραφήματος πρώτου τριμήνου (υπερηχογράφημα 11-14 εβδομάδων).
Η γυναίκα δεν λάμβανε φάρμακα, δεν είχε συγγένεια εξ αίματος με το σύντροφό
της και το ιατρικό ιστορικό των δύο γονέων, του προηγούμενου θήλεος τέκνου του
ζεύγους, καθώς και το οικογενειακό ιστορικό και από τις δύο πλευρές ήταν ελεύθερο.
Στο υπερηχογράφημα διαπιστώθηκε η ύπαρξη μονήρους, ζώσας ενδομήτριας κύησης,
με φυσιολογική ανάπτυξη και ανατομία του εμβρύου για την ηλικία της κύησης.
Λόγω της προχωρημένης ηλικίας της γυναίκας έγινε αμνιοπαρακέντηση στις 18 εβδομάδες
και βρέθηκε φυσιολογικός καρυότυπος θήλεος εμβρύου (46ΧΧ). Στις 22 εβδομάδες
στην εξέταση ρουτίνας του δευτέρου τριμήνου για εμβρυϊκές ανωμαλίες (υπερηχογράφημα
18-23 εβδομάδων) διαπιστώθηκε εκτεταμένη διάταση του εντέρου, με πολλαπλές εντερικές
έλικες γεμάτες υγρό στην κοιλιακή χώρα (εικόνες 1,2). Δεν σημειώθηκαν παθολογικά
ευρήματα από άλλα όργανα, ειδικά στην καρδιά και τα μεγάλα αγγεία, το ήπαρ τα
νεφρά και τα άκρα, ενώ η βιομετρία του εμβρύου ήταν φυσιολογική για την ηλικία
της κύησης. Η εμφάνιση της ενδοκοιλιακής βλάβης στο υπερηχογράφημα ήταν παρόμοια
με αυτήν της εντερικής απόφραξης. Η λεπτομερής εξέταση της βλάβης με έγχρωμο
Doppler με κεφαλή υπερήχων υψηλής ανάλυσης δεν ανέδειξε ροή αίματος μέσα στη
βλάβη. Ακολούθησε ενημέρωση των γονέων, η οποία εστιάστηκε στην πιθανότητα εντερικής
απόφραξης και στα πιθανά αίτια αυτής και ειδικότερα στη νόσο του Hirschsprung
και στην κυστική ίνωση, και συστήθηκε υπερηχογραφική επανεξέταση του εμβρύου.
Και οι δύο γονείς υποβλήθηκαν σε γενετικό τεστ για κυστική ίνωση, το οποίο απέβη
αρνητικό. Στις 35 εβδομάδες της κύησης παρατηρήθηκε μείωση του μεγέθους της
βλάβης, ενώ δεν παρατηρήθηκαν άλλες ανωμαλίες σε σειρά επανεξετάσεων.
Η οριστική διάγνωση τέθηκε μετά τον τοκετό. Η κύηση περατώθηκε στις 38 εβδομάδες
με φυσιολογικό τοκετό ενός ζώντος, θήλεος τέκνου, βάρους 3.200g, με Apgar scores
8 στο 1 min και 9 στα 5 min. Κατά τον τοκετό υπήρχε εμφανής διάταση της κοιλίας
του εμβρύου (εικόνα 3), με πολλαπλά δερματικά αιμαγγειώματα χρώματος ερυθρού
οίνου στη δεξιά πλευρά της κοιλίας και του θώρακα (εικόνα 4) και στον αριστερό
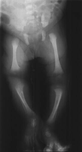
γλουτό και στο αριστερό κάτω άκρο. Η λεπτομερής κλινική εξέταση και η απλή ακτινογραφία
αποκάλυψαν ελαφρά ανισομέλεια (εικόνα 5), χωρίς δομικές ανωμαλίες των οστών.
Το μήκος του δεξιού ποδιού ήταν 22εκ και του αριστερού 20εκ (ο δεξιός μηρός
ήταν 2εκ μακρύτερος από τον αριστερό, 11εκ και 9εκ αντίστοιχα). Η εξέταση με
κοιλιακό υπερηχογράφημα, Doppler, CT και MRI έδειξαν ότι η ενδοκοιλιακή βλάβη
ήταν ένα μεγάλο αιμαγγείωμα του λεπτού εντέρου με αιμάτωση από την άνω μεσεντέριο
αρτηρία. Δεν βρέθηκαν άλλες σπλαγχνικές βλάβες. Η διάγνωση του συνδρόμου Klippel-Trenaunay-Weber
τέθηκε με βάση την ύπαρξη της τυπικής τριάδας ευρημάτων που χαρακτηρίζουν το
σύνδρομο: δερματικές κηλίδες χρώματος ερυθρού οίνου, αιμαγγειώματα και υπερτροφία
άκρου. Το παιδί είναι τώρα 18 μηνών, αναπτύσσεται καλά, το μέγεθος της κοιλιακής
βλάβης έχει μειωθεί, δεν υποβάλλεται σε καμία ειδική θεραπεία παρά μόνο σε τακτικό
επανέλεγχο.

Εικόνα 3. Το νεογνό με κοιλιακή
διάταση λόγω αιμαγγειωμάτων εμφανών κατά τον τοκετό.

Εικόνα 4. Το νεογνό με πολλαπλά
δερματικά αιμαγγειώματα στο δεξιό πλάγιο του θώρακα και της κοιλίας.

Εικόνα 5. Απλή ακτινογραφία
που δείχνει ελαφρά ανισομέλεια, χωρίς δομικές ανωμαλίες των οστών.
ΣΥΖΗΤΗΣΗ
Το σύνδρομο Klippel-Trenaunay-Weber είναι μία σαφώς καθορισμένη παθολογική οντότητα,
με πολυάριθμες αναφορές στην παιδιατρική βιβλιογραφία. Η διάγνωση τίθεται συνήθως
μετά τον τοκετό και συνήθως το αιμαγγείωμα είναι η πρώτη ανωμαλία που γίνεται
αντιληπτή. Τα τελευταία χρόνια ανακοινώθηκαν ορισμένες περιπτώσεις προγεννητικής
διάγνωσης του συνδρόμου, καθώς και περιπτώσεις στις οποίες η οριστική διάγνωση
τέθηκε μετά τον τοκετό και στις οποίες η προγεννητική εμφάνιση του συνδρόμου
περιγράφηκε εκ των υστέρων.(10-30) Σε όλες αυτές τις περιπτώσεις υπήρχε εκσεσημασμένη
υπερτροφία ενός άκρου του εμβρύου, η οποία αποτελούσε συνήθως το κύριο προγεννητικό
υπερηχογραφικό εύρημα, ακολουθούμενο από τη διαπίστωση της συμμετοχής κάποιου
σπλάγχνου. Μόνο στην περίπτωση που ανακοίνωσαν οι Paladini και συν.(13) ανακαλύφθηκε
πρώτα μία "κύστη" στον θώρακα, για να διαπιστωθεί στη συνέχεια η υπερτροφία
ενός άκρου. Στην ίδια εργασία περιγράφηκε και μία περίπτωση προγεννητικής διάγνωσης
του συνδρόμου, στην οποία πρώτα διαπιστώθηκε η υπερτροφία ενός άκρου και στη
συνέχεια αιμαγγειώματα του εντέρου, του ήπατος και των νεφρών, και αυτή είναι
η μοναδική δημοσιευθείσα περίπτωση με συμμετοχή του εντέρου. Ωστόσο, στην περίπτωση
που παρουσιάζουμε δεν υπήρχε σημαντική υπερτροφία των άκρων και το μοναδικό
υπερηχογραφικό εύρημα ήταν η εντερική βλάβη.
Με την υπερηχογραφική εξέταση κατά τη διάρκεια της εγκυμοσύνης, τα αιμαγγειώματα
και η υπερτροφία ενός άκρου είναι τα μόνα από τα τρία χαρακτηριστικά του συνδρόμου
που μπορεί να γίνουν αντιληπτά. Ωστόσο, από την παιδιατρική βιβλιογραφία είναι
γνωστό ότι η υπερτροφία του άκρου δεν είναι πάντοτε εμφανής κατά τον τοκετό,
με αποτέλεσμα στις περιπτώσεις αυτές να είναι αδύνατο να τεθεί διάγνωση προγεννητικά.
Μόνο οι σημαντικές διαφορές στο μήκος και στη διάμετρο δύο άκρων έχουν κλινική
σημασία, ενώ οι μικρές διαφορές, ειδικά στο τρίτο τρίμηνο, δεν αξιολογούνται.
Σε όλες τις περιπτώσεις το σύνδρομο θα πρέπει να μπαίνει στη διαφορική διάγνωση,
εάν προγεννητικά παρατηρηθεί κάποιο από τα χαρακτηριστικά του.
Το σύνδρομο Klippel-Trenaunay-Weber έχει γενικά καλοήθη πορεία. Στις περισσότερες
περιπτώσεις τα αιμαγγειώματα έχουν την τάση να υποστρέφονται κατά τη νεογνική
περίοδο.(17,22) Ωστόσο, η τελική πρόγνωση εξαρτάται από την έκταση και την εντόπιση
των βλαβών. Αν τα αιμαγγειώματα είναι πολύ εκτεταμένα, μπορεί να επέλθει καρδιακή
ανεπάρκεια ενδομητρίως με σοβαρά επακόλουθα πριν ή μετά τον τοκετό,(10,14) ενώ
αν υπάρχει προσβολή εσωτερικών οργάνων, η νοσηρότητα είναι αυξημένη λόγω εσωτερικής
αιμορραγίας. Η ενημέρωση και η καθοδήγηση των γονέων κατά τη διάρκεια της κύησης
θα πρέπει να γίνεται με ιδιαίτερη προσοχή. Όταν ο καρυότυπος είναι φυσιολογικός,
δεν θα πρέπει να προτείνεται διακοπή της εγκυμοσύνης, παρά μόνο αν υπάρχουν
εκτεταμένες βλάβες, αιμοδυναμικά προβλήματα ή άλλες μείζονες ανωμαλίες.
Εντερική απόφραξη εμφανίζεται σε περίπου 1 στις 2.000 γεννήσεις. Στο ήμισυ αυτών
των περιπτώσεων υπάρχει απόφραξη του λεπτού εντέρου, ενώ στο άλλο μισό ατρησία
του πρωκτού.(32) Οι αποφράξεις του εντέρου είναι είτε ενδογενείς (από την απουσία
ή από τον μερικό μόνο σχηματισμό εντερικού αυλού) είτε εξωγενείς (από εγκολεασμό
του κόλου, ταινίες του περιτοναίου, ειλεό εκ μηκωνίου στα πλαίσια της κυστικής
ίνωσης και από τη νόσο του Hirschsprung). Οι αποφράξεις της νήστιδας και του
ειλεού διακρίνονται ως πολλαπλές, διατεταμένες έλικες εντέρου γεμάτες υγρό εντός
της κοιλίας.(32) Αυτήν ακριβώς την εμφάνιση είχε και το αιμαγγείωμα στην παρούσα
περίπτωση (εικόνα 1).
Συμπερασματικά, η διάγνωση του συνδρόμου Klippel-Trenaunay-Weber δεν μπορεί
να πραγματοποιηθεί πάντοτε κατά τη διάρκεια της κύησης, αφού τα χαρακτηριστικά
του, τα οποία μπορεί να ανιχνευθούν υπερηχογραφικά, δεν εμφανίζονται πάντοτε
κατά την ενδομήτρια ζωή. Χρειάζεται προσοχή στην ενημέρωση και την καθοδήγηση
των γονέων, καθώς στις περισσότερες περιπτώσεις δεν απαιτείται διακοπή της εγκυμοσύνης.
Αν στην υπερηχογραφική εξέταση παρατηρηθεί εικόνα πολλαπλών, διατεταμένων, γεμάτων
υγρό εντερικών ελίκων, τότε η διαφορική διάγνωση πέρα από τη νόσο του Hirschsprung,
την κυστική ίνωση και τις άλλες λιγότερο συχνές αιτίες εντερικής απόφραξης θα
πρέπει να περιλαμβάνει και την πιθανότητα του συνδρόμου Klippel-Trenaunay-Weber
με συμμετοχή του εντέρου ή γενικότερα την πιθανότητα αιμαγγειωμάτων του εντέρου.
Summary
Assimakopoulos E, Zafrakas
M, Athanasiades A, Peristeri V, Tampakoudis P, Bontis J.
Klippel-Trenaunay-Weber syndrome mimicking intestinal obstruction on second
trimester ultrasound.
Hellen Obstet Gynecol 16(3):255-259, 2003
Klippel-Trenaunay-Weber syndrome is a rare congenital anomaly, characterized by port-wine stain, varicose veins and hemangiomata, and hypertrophy of an extremity. We report a rare case of the syndrome with abdominal hemangiomata appearing as intestinal obstruction on ultrasound examination at 22 weeks' gestation. The appearance of multiple dilated intestinal loops, besides Hirschsprung's disease and cystic fibrosis could be due to abdominal hemangiomata of the Klippel-Trenaunay-Weber syndrome.
Key words: Klippel-Trenaunay-Weber syndrome, abdominal hemangiomata, intestinal obstruction.
ΒΙΒΛΙΟΓΡΑΦΙΑ
1. Meine JG, Schwartz RA, Janniger CK. Klippel-Trenaunay-Weber syndrome. Cutis
1997; 60(3):127-132.
2. Gloviczki P, Hollier LH, Telander RL, Kaufman B, Bianco AJ, Stickler GB.
Surgical implications of Klippel-Trenaunay syndrome. Ann Surg 1983; 197(3):353-362.
3. Lamar LM, Farber GA, O'Quinn SE. Klippel-Trenaunay-Weber syndrome. Arch Dermatol
1965; 91:58-59.
4. Viljoen D, Saxe N, Pearn J, Beighton P. The cutaneous manifestations of the
Klippel-Trenaunay-Weber syndrome. Clin Exp Dermatol 1987; 12(1):12-17.
5. Samuel M, Spitz L. Klippel-Trenaunay syndrome: clinical features, complications
and management in children. Br J Surg 1995; 82(6):757-761.
6. Baskerville PA, Ackroyd JS, Lea Thomas M, Browse NL. The Klippel-Trenaunay
syndrome: clinical, radiological, and haemodynamic features and management.
Br J Surg 1985; 72(3):232-236.
7. Lindenauer SM. congenital arteriovenous fistula and the Klippel-Trenaunay
syndrome. Ann Surg 1971; 174(2):248-263.
8. Castro-Magana M, Hernandez-Perez E. Klippel-Trenaunay-Weber syndrome: a case
occuring in the ear and associated with arteriovenous fistula. Cutis 1980; 25(5):501-502.
9. Servelle M. Klippel and Trenaunay's syndrome, 768 operated cases. Ann Surg
1985; 201(3):365-373.
10. Zoppi MA, Ibba RM, Floris M, Putzolu M, Crisponi G, Monni G. Prenatal sonographic
diagnosis of Klippel-Trenaunay-Weber syndrome with cardiac failure. J Clin Ultrasound
2001; 29(7):422-426.
11. Goncalves LF, Rojas MV, Vitorello D, Pereira ET, Pereima M, Saab Neto JA.
Klippel-Trenaunay-Weber syndrome presenting as massive lymphangiohemangioma
of the thigh: prenatal diagnosis. Ultrasound Obstet Gynecol 2000; 15(6):537-541.
12. Roberts RV, Dickinson JE, Hugo PJ, Barker A. Prenatal sonographic appearances
of Klippel-Trenaunay-Weber syndrome. Prenat Diagn 1999; 19(4):369-371.
13. Paladini D, Lamberti A, Teodoro A, Liguori M, D'Armiento M, Capuano P, Martinelli
P. Prenatal diagnosis and hemodynamic evaluation of Klippel-Trenaunay-Weber
syndrome. Ultrasound Obstet Gynecol 1998; 12(3):215-217.
14. Christenson L, Yankowitz J, Robinson R. Prenatal diagnosis of Klippel-Trenaunay-Weber
syndrome as a cause for in utero heart failure and severe postnatal sequelae.
Prenat Diagn 1997; 17(12):1176-1180.
15. Jorgenson RJ, Darby B, Patterson R, Trimmer KJ. Prenatal diagnosis of the
Klippel-Trenaunay-Weber syndrome. Prenat Diagn 1994; 14(10):989-992.
16. Yankowitz J, Slagel DD, Williamson R. Prenatal diagnosis of Klippel-Trenaunay-Weber
syndrome by ultrasound. Prenat Diagn 1994; 14(8):745-749.
17. Meizner I, Rosenak D, Nadjari M, Maor E. Sonographic diagnosis of Klippel-Trenaunay-Weber
syndrome presenting as a sacrococcygeal mass at 14 to 15 weeks' gestation. J
Ultrasound Med 1994; 13(11):901-904.
18. Hayashi M, Kurishita M, Sodemodo T, Kozu H, Kumasaka T, Saiki S. Prenatal
ultrasonic appearance of the Klippel-Trenaunay-Weber syndrome mimicking sacrococcygeal
teratoma with an elevated level of maternal serum hCG. Prenat Diagn 1993; 13(12):1162-1163.
19. Yancey MK, Lasley D, Richards DS. An unusual neck mass in a fetus with Klippel-Trenaunay-Weber
syndrome. J Ultrasound Med 1993; 12(12):779-782.
20. Drose JA, Thickman D, Wiggins J, Haverkamp AB. Fetal echocardiographic findings
in the Klippel-Trenaunay-Weber syndrome. J Ultrasound Med 1991; 10(9):525-527.
21. Meholic AJ, Freimanis AK, Stucka J, LoPiccolo ML. Sonographic in utero diagnosis
of Klippel-Trenaunay-Weber syndrome. J Ultrasound Med 1991; 10(2):111-114.
22. Shalev E, Romano S, Nseir T, Zuckerman H. Klippel-Trenaunay syndrome: ultrasonic
prenatal diagnosis. J Clin Ultrasound 1988; 16(4):268-270.
23. Mor Z, Schreyer P, Wainraub Z, Hayman E, Caspi E. Non-immune hydrops fetalis
associated with angioosteohypertrophy (Klippel-Trenaunay) syndrome. Am J Obstet
Gynecol 1988; 159(5):1185-1186.
24. Gotze S, Weitzel H. Pranatale Diagnose und geburtshilfliches Management
bei einem Fall von Klippel-Trenaunay-Weber-Syndrom. Z Geburtshilfe Perinatol
1987; 191(1):43-45.
25. Lewis BD, Doubilet PM, Heller VL, Bierre A, Bieber FR. Cutaneous and visceral
hemangioma in the Klippel-Trenaunay-Weber syndrome: antenatal sonographic detection.
Am J Roentgenol 1986; 147(3):598-600.
26. Seoud M, Santos-Ramos R, Friedman JM. Early prenatal ultrasonic findings
in Klippel-Trenaunay-Weber syndrome. Prenat Diagn 1984; 4(3):227-230.
27. Warhit JM, Goldman MA, Sachs L, Weiss LM, Pek H. Klippel-Trenaunay-Weber
syndrome: appearance in utero. J Ultrasound Med 1983; 2(11):515-518.
28. Hatjis CG, Philip AG, Anderson CG, Mann LI. The in utero ultrasonographic
appearance of Klippel-Trenaunay-Weber syndrome. Am J Obstet Gynecol 1981; 139(8):972-974.
29. Shih JC, Shyu MK, Chang CY, Lee CN, Lin GJ, Chen WH, Fan YT, Hsieh FJ. Application
of the surface rendering technique of three-dimensional ultrasound in prenatal
diagnosis and counselling of Klippel-Trenaunay-Weber syndrome. Prenat Diagn
1998; 18(3):298-302.
30. Trapanotto V, Hamper UM, DeJong MR, Sheth S. Klippel-Trenaunay-Weber syndrome:
three-dimensional sonographic imaging. Am J Roentgenol 1996; 166(2):472.
31. Servelle M, Bastin R, Loygue J, Montagnani A, Bacour F, Soulie J, Andrieux
JB. Hematuria and rectal bleeding in a child with Klippel-Trenaunay syndrome.
Ann Surg 1976; 183(4):418-428.
32. Pilu G, Nicolaides KH. Gastrointestinal tract. In: Pilu G, Nicolaides KH,
Diagnosis of fetal abnormalities - The 18-23 week scan. The Parthenon Publishing
Group, New York, London, 1999:69-72.