ΑNAΣΚΟΠΗΣΗ
Η υπερηχογραφική απεικόνιση
των ανατομικών ανωμαλιών του πλακούντα
Δ. Μπότσης
Κ. Κολιοπούλου
Αλληλογραφία:
Κ. Κολιοπούλου
Βασ. Σοφίας 35, 10675 Αθήνα
E-mail: koliopoulou@teledomenet.gr
Κατατέθηκε: 20/05/2005
Εγκρίθηκε: 30/05/2005
Περίληψη
Ο πλακούντας κατά την εξέλιξη της εγκυμοσύνης παρουσιάζει μορφολογικές μεταβολές
που χαρακτηρίζουν την ωρίμανσή του. Σε ορισμένες παθολογικές καταστάσεις, όπως
σακχαρώδης διαβήτης της κύησης, ύδρωπας, εμβρυϊκές λοιμώξεις, μύλη κύηση κλπ.
εμφανίζονται ανατομικές ανωμαλίες στον πλακούντα. Η αναγνώριση και αξιολόγηση
των ανωμαλιών αυτών με την χρησιμοποίηση της υπερηχογραφίας βοηθά στην διάγνωση
και στην εκτίμηση της βαρύτητας των παθολογικών αυτών καταστάσεων.
Όροι ευρετηρίου: Υπερηχογραφία, πλακούντας, ανατομικές ανωμαλίες.
ΕΙΣΑΓΩΓΗ
Ο πλακούντας απεικονίζεται από την έκτη εβδομάδα της κύησης με το διακολπικό
και από τη δέκατη εβδομάδα με το διακοιλιακό υπερηχογράφημα. Παρουσιάζεται ως
υπερηχογενής επιμήκης περιοχή στην περιφέρεια του σάκου και διακρίνεται από
το γειτονικό μυομήτριο, καθώς είναι περισσότερο ηχογενής. Το μέγεθος του πλακούντα
αυξάνεται με την πρόοδο της εγκυμοσύνης, ενώ τo πάχος του σπάνια ξεπερνά τα
4εκ. Αυξημένο μέγεθος του πλακούντα συσχετίζεται με σακχαρώδη διαβήτη, ύδρωπα,
εμβρυικές λοιμώξεις, μύλη κύηση και ανευπλοειδία.(1) Το μικρό μέγεθος του πλακούντα
συσχετίζεται συνήθως με ενδομήτρια υπολειπόμενη ανάπτυξη του εμβρύου.
ΜΕΤΑΒΟΛΕΣ ΤΟΥ
ΠΑΡΕΓΧΥΜΑΤΟΣ ΤΟΥ ΠΛΑΚΟΥΝΤΑ
Με την πρόοδο της εγκυμοσύνης επισυμβαίνει φυσιολογική εναπόθεση ασβεστίου στο
πλακουντιακό παρέγχυμα, η οποία απεικονίζεται υπερηχογραφικώς ως λευκά στίγματα
(εικόνα 1). Για τη σταδιοποίηση της έκτασης των αποτιτανώσεων και της ωρίμανσης
του πλακούντα χρησιμοποιούνται οι βαθμοί 0, Ι, ΙΙ, ΙΙΙ, οι οποίοι έχουν τελικά
μικρή κλινική σημασία (πίνακας 1). Το κάπνισμα έχει συσχετισθεί με εκτεταμένες
αποτιτανώσεις του πλακούντα.(2)
Στο παρέγχυμα του πλακούντα πολλές φορές παρατηρούνται ανηχογενείς περιοχές,
οι φλεβώδεις λίμνες, στις οποίες δεν παρατηρείται αιματική ροή με το έγχρωμο
Doppler.
Οι περιοχές εκφύλισης του πλακουντιακού παρεγχύματος εντοπίζονται στο κέντρο
μερικών κοτυλιδόνων και έχουν διάμετρο από κάποια χιλιοστά μέχρι μερικά εκατοστά.
Είναι ανηχογενείς, με ανώμαλο περίγραμμα, σαν γεωγραφικός χάρτης. Πολλές φορές,
το περιεχόμενό τους γίνεται τελικά ηχογενές, με αιματική ροή χαμηλών ταχυτήτων
και πιο σπάνια με την παρουσία αρτηριακής ροής.
Οι υποχοριακές λίμνες αίματος απεικονίζονται ως ταινιοειδείς ή τριγωνικές ανηχογενείς
περιοχές κάτω από τη χοριακή πλάκα. Το μέγεθός τους συχνά είναι μεγάλο και με
το έγχρωμο Doppler παρατηρείται αιματική ροή χαμηλών ταχυτήτων.
Περιοχές εκφύλισης με εναπόθεση ινικής μπορεί να απεικονισθούν σε οποιοδήποτε
σημείο του πλακούντα. Πρόκειται, επίσης, για ανηχογενείς περιοχές χωρίς αιματική
ροή, που σπάνια μπορεί να σχετίζονται με κάποια αγγειακή παθολογία.
Έμφρακτα παρατηρούνται στο 25% των πλακούντων σε τελειόμηνες κυήσεις. Είναι
πιο συχνά σε περιπτώσεις υπέρτασης και προεκλαμψίας. Υπερηχογραφικώς παρουσιάζουν
την ίδια ηχογένεια με το παρέγχυμα, αλλά αργότερα γίνονται ανηχογενείς. Σχηματίζουν
λίμνες, συχνότερα κοντά στη μητρική επιφάνεια του πλακούντα, που πολλές φορές
περιστοιχίζονται από αποτιτανώσεις.
Θρομβώσεις εντός του πλακουντιακού παρεγχύματος απεικονίζονται αρχικά ως ανομοιογενείς
και αργότερα ως ανηχογενείς περιοχές με υπερηχογενή περιφέρεια και μερικές φορές
με την παρουσία διαφραγμάτων εντός αυτών. Είναι δυνατόν να απορροφηθούν και
να απομείνει απλή λίμνη αίματος.

Εικόνα 1. Στάδια ωρίμανσης
του πλακούντα.
| Πίνακας 1. Στάδια ωρίμανσης του πλακούντα. | ||||||||||
| ΣΤΑΔΙΟ
0 |
Στα τέλη του πρώτου έως αρχές δευτέρου τριμήνου, ομαλή εμβρυική επιφάνεια και ομοιογενούς υφής πλακουντιακό παρέγχυμα, χωρίς εισολκές. | |||||||||
| ΣΤΑΔΙΟ
Ι |
Περίπου στις 18-29 εβδομάδες κύησης, ελαφρές εισολκές της εμβρυικής πλακουντιακής επιφάνειας και διάσπαρτες μικρές υπερηχογενείς αποτιτανώσεις στο πλακουντιακό παρέγχυμα. | |||||||||
| ΣΤΑΔΙΟ
ΙΙ |
Περίπου από στις 30 έως 40 εβδομάδες κύησης, πιο έντονες εισολκές της πλακουντιακής επιφάνειας και πιο έντονες αποτιτανώσεις που ξεκινούν από τη μητρική επιφάνεια του πλακούντα και επεκτείνονται στην περιφέρεια των κοτυληδόνων. | |||||||||
| ΣΤΑΔΙΟ
ΙΙΙ |
Συνήθως στο τέλος της κύησης και στην παράταση, παρατηρείται στο 15% των κυήσεων μετά τις 36 εβδομάδες. Βαθιές εισολκές της πλακουντιακής επιφάνειας και έντονες αποτιτανώσεις, που ξεκινούν από τη μητρική επιφάνεια του πλακούντα και καταλήγουν στην εμβρυική επιφάνεια του πλακούντα, διαχωρίζοντας τελείως τις κοτυληδόνες. Επίσης, μπορεί να παρατηρηθούν και υποηχογενείς λίμνες στο κέντρο των κοτυληδόνων. | |||||||||
ΑΝΩΜΑΛΙΕΣ ΤΟΥ
ΣΧΗΜΑΤΟΣ ΤΟΥ ΠΛΑΚΟΥΝΤΑ
Ο υμενώδης πλακούντας παρατηρείται σε συχνότητα 1:3000 γεννήσεις. Σε αυτή την
περίπτωση, ολόκληρη η επιφάνεια των εμβρυικών υμένων καλύπτεται από λειτουργικές
λάχνες. Συσχετίζεται με αιμορραγίες της κύησης και της λοχείας. Υπερηχογραφικώς,
ο πλακούντας είναι λεπτός και μεμβρανώδης και καταλαμβάνει σχεδόν όλη την επιφάνεια
της μήτρας.
Ο παραπλακούντας είναι η παρουσία ενός ή περισσότερων μικρότερων λοβών από πλακουντιακό
παρέγχυμα σε απόσταση από τον κυρίως πλακούντα, με τον οποίο συνδέεται με τα
αγγεία από τα οποία τροφοδοτείται. Έχει μεγάλη κλινική σημασία, γιατί η παραμονή
του στη μήτρα μετά την υστεροτοκία έχει ως επακόλουθο αιμορραγία και επιμόλυνση.
Η ύπαρξη του παραπλακούντα συσχετίζεται επίσης με υμενώδη έκφυση του ομφάλιου
λώρου και προδρομικά αγγεία και υπερηχογραφικώς απεικονίζεται πλακουντιακό παρέγχυμα
σε απόσταση από τον κυρίως πλακούντα.
Ο διμερής πλακούντας αποτελείται από δύο λοβούς, ο ένας στο πρόσθιο και ο άλλος
στο οπίσθιο τοίχωμα της μήτρας συνήθως. Ο ομφάλιος λώρος εκφύεται από το χόριο
που υπάρχει μεταξύ των δύο τμημάτων. Σε αντίθεση με το διμερή, ο δίλοβος πλακούντας
αναφέρεται στην περίπτωση που ο ομφάλιος λώρος εκφύεται από τον ένα ή τον άλλο
λοβό.
Ο περιχαρακωμένος πλακούντας παρατηρείται όταν οι υμένες εισέρχονται μακριά
από το χείλος του πλακούντα, προς το κέντρο του, όπου μια παχιά χοριοαμνιοτική
μεμβράνη που δημιουργεί ένα χείλος, χαρακτηρίζει το σημείο αυτό (εικόνα 2).
Ο πλήρως περιχαρακωμένος πλακούντας έχει συσχετισθεί με δυσμενές περιγεννητικό
αποτέλεσμα. Η ακρίβεια της υπερηχογραφικής διάγνωσης παραμένει χαμηλή. Η απεικόνιση
ενός ανώμαλου ή υπερυψωμένου πλακουντιακού χείλους θέτει την υποψία της διάγνωσης.(2)
Εικόνα 2. Περιχαρακωμένος
πλακούντας.
ΑΝΩΜΑΛΙΕΣ ΤΗΣ
ΘΕΣΗΣ ΤΟΥ ΠΛΑΚΟΥΝΤΑ
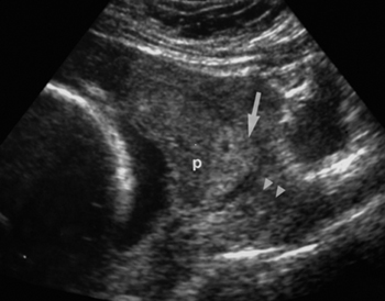
Η χαμηλή πρόσφυση του πλακούντα παρουσιάζεται σε 1:250-300 κυήσεις. Κατατάσσεται
σε προδρομικό, επιχείλιο και παραχείλιο πλακούντα (εικόνα 3). Παράγοντες κινδύνου
για την εμφάνισή του αποτελούν η μεγάλη ηλικία, οι προηγούμενες καισαρικές τομές
ή άλλες ουλές στη μήτρα, οι πολύδυμες κυήσεις και το ιστορικό τεχνητών εκτρώσεων.(3)
Χαμηλή πρόσφυση μπορεί να παρατηρείται έως και στο 25% των υπερηχογραφημάτων
που γίνονται στις 18 εβδομάδες της κύησης. Η απουσία του υπερηχογραφικού αυτού
ευρήματος σε μεταγενέστερο στάδιο της κύησης οφείλεται ίσως στη διάταση του
κατώτερου τμήματος της μήτρας. Το υπερηχογραφικό εύρημα του προδρομικού πλακούντα
κατά το δεύτερο τρίμηνο, είναι πιο πιθανό να ανταποκρίνεται στην πραγματική
θέση του πλακούντα που διαπιστώνεται κατά το τέλος της κύησης.(4) Ο κίνδυνος
επανεμφάνισης σε επόμενη κύηση μπορεί να είναι δεκαπλάσιος από ό,τι σε πληθυσμό
μαρτύρων. Το διακοιλιακό υπερηχογράφημα πρέπει να γίνεται με μέτρια διάταση
της ουροδόχου κύστης.(5) Η υπερβολική διάταση της κύστης μπορεί να προκαλέσει
μετατόπιση του πρόσθιου και οπίσθιου τοιχώματος της μήτρας, με αποτέλεσμα να
απεικονίζεται πιο ψηλά το έσω τραχηλικό στόμιο και να μην είναι σαφές το ύψος
της πρόσφυσης του πλακούντα. Το διακολπικό υπερηχογράφημα έχει μεγαλύτερη ακρίβεια
και εκτελείται όταν η διακοιλιακή εξέταση δεν είναι ικανοποιητική.(5)
Ο διηθητικός πλακούντας είναι η μερική ή ολική απουσία του βασικού φθαρτού και
του στρώματος του Nutabuch, έτσι ώστε να διηθείται το μυομήτριο από τις λάχνες.
Η διήθηση μπορεί να επεκταθεί σε όλο το βάθος του μυομητρίου, αλλά και στον
ορογόνο και στα γειτονικά όργανα της μήτρας.(6) Οκτώ στις δέκα φορές, ο διηθητικός
πλακούντας συνυπάρχει με χαμηλή πρόσφυση. Παράγοντες κινδύνου είναι η μεγάλη
ηλικία της μητέρας και το ιστορικό χειρουργείων της μήτρας. Ο κίνδυνος μπορεί
να φθάνει το 67% σε γυναίκες που έχουν υποβληθεί σε τέσσερις ή παραπάνω καισαρικές
τομές. Τα υπερηχογραφικά χαρακτηριστικά του διηθητικού πλακούντα αναφέρονται
στον πίνακα 2.(6)
Εικόνα 3. Χαμηλή πρόσφυση
του πλακούντα και θρόμβος (p= χείλος του πλακούντα, μεγάλο βέλος= θρόμβος, μικρά
βέλη= ενδοτράχηλος).
| Πίνακας 2. Υπερηχογραφικά χαρακτηριστικά του διηθητικού πλακούντα. |
| -
Απουσία του φυσιολογικού υποηχογενούς χώρου μεταξύ του πλακούντα και του
μυομητρίου. - Διακοπή της υπερηχογενούς γραμμής που εντοπίζεται στη μητρική επιφάνεια του πλακούντα και παρουσία πλακουντιακού ιστού εντός του μυομητρίου. - Διατεταμένες ανηχογενείς περιοχές (λίμνες). - Αυξημένη αγγείωση. - Εικόνα του "ελβετικού τυριού". |
ΠΡΟΩΡΗ ΑΠΟΚΟΛΛΗΣΗ
ΤΟΥ ΠΛΑΚΟΥΝΤΑ
Η πρόωρη αποκόλληση του πλακούντα επιπλέκει περίπου το 1% των κυήσεων. Μπορεί
να συνοδεύεται από κλινική συμπτωματολογία όπως κοιλιακό άλγος, κολπική αιμόρροια
και ευαισθησία της μήτρας (εικόνα 4). Παράγοντες κινδύνου είναι η υπέρταση,
το κάπνισμα, η χρήση κοκαΐνης, ο τραυματισμός, η πρόωρη ρήξη υμένων και οι ανωμαλίες
της μήτρας.(3) Η δυσμενής πρόγνωση οφείλεται σε αιμορραγία που περιλαμβάνει
το 30-40% του πλακούντα και μπορεί να οδηγήσει σε ενδομήτρια υπολειπόμενη ανάπτυξη
του εμβρύου, ολιγάμνιο και πρόωρο τοκετό.(7) Η ευαισθησία των υπερήχων στην
απεικόνιση του οπισθοπλακουντιακού αιματώματος είναι μόνο 50%, επειδή παρουσιάζει
ποικίλη μορφολογία ανάλογα με το σημείο, την έκταση και το χρόνο που έχει περάσει
από το επεισόδιο. Τα υπερηχογραφικά χαρακτηριστικά της πρόωρης αποκόλλησης του
πλακούντα αναφέρονται στον πίνακα 3.(8)
Εικόνα 4. Αιμάτωμα πλακούντα.
| Πίνακας 3. Υπερηχογραφικά χαρακτηριστικά πρόωρης αποκόλλησης του πλακούντα. |
| -
Σε οξεία φάση το αιμάτωμα μπορεί να απεικονίζεται υπερηχογενές, ενώ μετά
από 1-2 εβδομάδες, η περιοχή της αιμορραγίας εμφανίζεται υποηχογενής. - Η υπερηχογραφική απεικόνιση μιας πεπαχυσμένης οπισθοπλακουντιακής περιοχής εγείρει την υποψία οπισθοπλακουντιακού αιματώματος, αλλά πρέπει να γίνει η διαφορική διάγνωση από μυομητρική σύσπαση, οπισθοχοριακή κύστη ή ινομύωμα. - Στην περιφερική αποκόλληση παρατηρείται συλλογή αίματος μεταξύ του άμνιου και του χόριου στην περιφέρεια του πλακούντα, που μπορεί να επεκτείνεται μέχρι τον τράχηλο. - Με έγχρωμο Doppler επιβεβαιώνεται η απουσία αγγείωσης όταν πρόκειται για αιμάτωμα. |
ΥΠΟΧΟΡΙΑΚΗ ΘΡΟΜΒΩΣΗ
Η υποχοριακή θρόμβωση αποτελείται από ευμεγέθεις θρόμβους αίματος που ανασηκώνουν
τη χοριακή πλάκα, σε έκταση μεγαλύτερη από το μισό της πλακουντιακής επιφάνειας.
Μπορεί να οδηγήσει σε εμβρυική δυσχέρεια, υπολειπόμενη ανάπτυξη και ενδομήτριο
θάνατο. Υπερηχογραφικώς, απεικονίζεται πεπαχυσμένος και οιδηματώδης πλακούντας
(8-10εκ) και παρατηρείται υπερηχογενής υποχοριακή ζώνη.(4)
ΟΓΚΟΙ ΤΟΥ ΠΛΑΚΟΥΝΤΑ
Οι όγκοι του πλακούντα είναι συνήθως καλοήθεις. Σπάνια, όμως, έχουν παρατηρηθεί
αιματογενείς μεταστάσεις από κακοήθεις νόσους, όπως το μελάνωμα. Το έγχρωμο
Doppler βοηθά στη διαφορική διάγνωση μορφωμάτων με ή χωρίς αγγείωση. Το χοριοαιμαγγείωμα
είναι ο πιο συχνός όγκος του πλακούντα (εικόνα 5).(9) Μικρά χοριοαγγειώματα
έχουν παρατηρηθεί κατά την ιστολογική εξέταση του 1% των πλακούντων. Τα μεγάλα
χοριοαιμαγγειώματα με διάμετρο πάνω από 5εκ, έχουν κλινική σημασία, αλλά είναι
σπάνια και μπορεί να οδηγήσουν σε ύδρωπα, ενδομήτρια υπολειπόμενη ανάπτυξη,
ενδομήτριο θάνατο, προεκλαμψία, υδράμνιο και αυξημένη α-εμβρυική πρωτεΐνη.(9)
Στα χοριαμαγγειώματα υπάρχει αρτηριοφλεβώδης επικοινωνία και γι' αυτό, ιδιαίτερα
όταν έχουν διάμετρο πάνω από 5εκ, απαιτείται συστηματική παρακολούθηση του εμβρύου
για σημεία καρδιακής υπερφόρτωσης και ανεπάρκειας. Με το έγχρωμο Doppler απεικονίζεται
έντονη αγγείωση, που συμβάλλει στη διαφορική διάγνωση από μορφώματα χωρίς αγγείωση,
όπως αιματώματα και υποχοριακή εναπόθεση ινικής. Τα υπερηχογραφικά χαρακτηριστικά
του χοριοαιμαγγειώματος αναφέρονται στον πίνακα 4. Τα τερατώματα του πλακούντα
εντοπίζονται στην εμβρυική επιφάνεια του πλακούντα και παρουσιάζουν μεικτή υπερηχογραφική
υφή, με κυστικά και συμπαγή στοιχεία.(4)
Εικόνα 5. Χοριοαιμαγγείωμα
πλακούντα.
| Πίνακας 4. Υπερηχογραφικά χαρακτηριστικά χοριοαιμαγγειώματος του πλακούντα. |
| -
Απεικονίζονται στην εμβρυική επιφάνεια του πλακούντα, κάτω από τη χοριακή
πλάκα και συχνά κοντά στην πρόσφυση του ομφάλιου λώρου. - Είναι συμπαγείς, στρογγυλοί ή ωοειδείς και σαφώς περιγεγραμμένοι. - Το περιεχόμενο είναι ανομοιογενές και μικρότερης ηχογένειας από την αντίστοιχη του πλακούντα. - Με το έγχρωμο Doppler απεικονίζεται η έντονη αγγείωση του όγκου, συμβάλλοντας στη διαφορική διάγνωση από ινομυώμα, αιμάτωμα και οπισθοχοριακής εναπόθεσης ινικής. - Μπορεί να συνυπάρχει υδράμνιο, εμβρυικός ασκίτης ή οίδημα ανά σάρκα. |
ΚΥΣΤΕΙΣ ΧΟΡΙΑΚΗΣ
ΠΛΑΚΑΣ
Οφείλονται σε αιματική αποκόλληση του άμνιου και δεν έχουν κλινική σημασία.
Υπερηχογραφικώς, παρατηρείται κυστικό μόρφωμα που εξορμάται από τον πλακούντα,
με λεπτό τοίχωμα που επιπλέει στο αμνιακό υγρό και μπορεί να έχει διάμετρο έως
και 10 εκ. Περιέχει διάσπαρτα ηχογενή στοιχεία και συχνά ένα μικρό θρόμβο προσκολλημένο
στην επιφάνεια του πλακούντα.(4)
ΤΡΟΦΟΒΛΑΣΤΙΚΗ
ΝΟΣΟΣ
Η πλήρης υδατική μύλη χαρακτηρίζεται από υδρωπικές και οιδηματώδης χοριακές
λάχνες. Στη μερική μύλη συνυπάρχει έμβρυο στο οποίο μπορεί να παρατηρηθεί σοβαρή
υπολειπόμενη ανάπτυξη ή διάφορες ανωμαλίες. Τα υπερηχογραφικά χαρακτηριστικά
της τροφοβλαστικής νόσου αναφέρονται στον πίνακα 5(10,11).
| Πίνακας 5. Υπερηχογραφικά χαρακτηριστικά τροφοβλαστικής νόσου. |
| -
Παρατηρείται πεπαχυσμένος πλακούντας με πολλαπλές κυστικές περιοχές ποικίλων
μεγεθών με λεπτό τοίχωμα, σε συνδυασμό με υπερηχογενείς περιοχές (δίκην
χιονοστιβάδας). - Με το έγχρωμο Doppler δεν απεικονίζεται αιματική ροή στο πλακουντιακό παρέγχυμα. - Στην πλήρη μύλη δεν απεικονίζεται έμβρυο, ούτε αμνιακό υγρό. - Στη μερική μύλη συνυπάρχει έμβρυο. - Στο 50% των περιπτώσεων συνυπάρχουν αμφοτερόπλευρες ωχρινικές κύστεις. - Στη διηθητική μύλη παρατηρούνται εντός του μυομητρίου, λίμνες με περιφερική αγγείωση χαμηλών αντιστάσεων. - Στο χοριοκαρκίνωμα απεικονίζονται ένας ή περισσότεροι όγκοι εντός του μυομητρίου. |
Summary
Botsis D, Koliopoulou K.
Ultrasound abnormalities of the placenta
Hellen Obstet Gynec 17(2): 160-164, 2005
Placenta, during pregnancy evolution, displays a series of morphological changes signifying its maturity. In some complicated pregnancies, such as gestational diabetes, perinatal infections etc, anatomical abnormalities of placenta are observed. Identification and evaluation of these abnormalities with the aid of ultrasonography helps in the diagnosis and estimation of their severity.
Key words: Ultrasonography, placenta, anatomical abnormalities.
ΒΙΒΛΙΟΓΡΑΦIΑ
1. Kuhlmann RS, Warsof S. Ultrasound of the placenta. Clin Obstet Gynecol 1996;
39:519-534.
2. Pinette MG, Loftus-Brault K, Nard DA. Maternal smoking and accelerated placental
maturation. Obstet Gynecol 1989; 73:379-382.
3. Cunningham FG, MacDonald PC, Gant NF, Leveno KJ, Gilstrap LC, Hankins GV,
et al. Obstetrical hemorrhage. Williams obstetrics. (21st edition) New York:
Appleton and Lange 2001; 619-669.
4. Teressa Marino. Ultrasound abnormalities of the amniotic fluid, membranes,
umbilical cord and placenta. Clin Obstet Gynecol N Am 2004; 31:177-200.
5. Farine D, Peisner DB, Timor-Trisch IE. Placenta previa: is the traditional
diagnostic approach satisfactory? J Clin Ultrasound 1990; 18:328-330.
6. Cox SM, Carpenter RJ, Cotton DB. Placenta percreta: ultrasound diagnosis
and conservative surgical management. Obstet Gynecol 1988; 71:454-456.
7. Nyberg DA, Mack LA, Benedetti TJ, Cyr DR, Schuman WP. Placental abruption
and placental hemorrhage: correlation of sonographic findings with fetal outcome.
Radiology 1987; 164:357-361.
8. Nyberg DA, Cyr DR, Mack LA, Wilson DA, Schuman WP. Sonographic spectrum of
placental abruption. AJR Am J Roentgenol 1987; 148:161-164.
9. Shalev E. Prenatal diagnosis of placental hemangioma and clinical implications;
a case report. Int J Gynecol Obstet 1984; 22:291-293.
10. Wagner BJ, Woodward PJ, Dickey GE. From the archives of the AFIP. Gestational
trophoblastic disease: radiologic-pathologic correlation. Radiographics 1996;
16:131-148.
11. Lazarus E, Hulka C, Siewert B, Levine D. Sonographic appearance of early
complete molar pregnancies. J Ultrasound Med 1999; 18:589-594.