ΑNAΣΚΟΠΗΣΗ
Υπερηχογραφικός έλεγχος
ουροποιητικού
και γαστρεντερικού συστήματος
Ε. Σεβαστοπούλου
Αλληλογραφία:
Ε. Σεβαστοπούλου
Κέντρο Ιατρικής Εμβρύου
Παύλου Μελά 10
Θεσ/νίκη 546 21
Τηλ. 2310 274800
Εγκρίθηκε: 27/05/2005
Κατατέθηκε: 16/06/2005
Περίληψη
Οι ανωμαλίες του ουροποιητικού συστήματος που ανιχνεύονται προγεννητικά είναι:
1) Αγενεσία νεφρών 2) Νεφρική δυσγενεσία (πολυκυστικοί νεφροί) 3) Αποφρακτικές
ουροπάθειες 4) Όγκοι νεφρών.
Η αγενεσία νεφρών είναι ασύμβατη με τη ζωή. Για τους πολυκυστικούς νεφρούς η
πρόγνωση ποικίλλει από νεογνικό θάνατο, υπέρταση μέχρι φυσιολογική ζωή. Οι αποφρακτικές
ουροπάθειες είναι σε μεγάλο βαθμό χειρουργικά διορθώσιμες. Οι όγκοι είναι σπάνιοι
(μεσοβλαστικό νέφρωμα) και καλοήθεις.
Όσον αφορά στο γαστρεντερικό σύστημα, εκδηλώνεται με υδράμνιο η ατρησία του
οισοφάγου, του δωδεκαδακτύλου, η εντερική απόφραξη, διάφορες κύστεις. Αν δεν
συνυπάρχει χρωμοσωμική ανωμαλία η χειρουργική αποκατάσταση είναι συνήθως καλή.
Όροι ευρετηρίου: Αγενεσία νεφρών, πολυκυστικοί νεφροί, αποφρακτική ουροπάθεια, ατρησία οισοφάγου, ατρησία δωδεκαδακτύλου, εντερική απόφραξη, κύστεις ωοθηκών.
ΤΟ ΟΥΡΟΠΟΙΗΤΙΚΟ
ΣΥΣΤΗΜΑ
Οι εμβρυικοί νεφροί μπορούν να απεικονισθούν υπερηχογραφικά ήδη από τις 9 εβδομάδες
της κύησης και σε όλες τις περιπτώσεις, από τις 12 εβδομάδες της κύησης.
Επιμήκεις και εγκάρσιες τομές μπορούν να χρησιμοποιηθούν για τη μελέτη των νεφρών
(εικόνα 1).
Στις 20 εβδομάδες, οι νεφροί εμφανίζουν μια υπερηχοϊκή κάψα και η περιοχή του
φλοιού είναι ελαφρά πιο ηχογενής από το μυελό. Στις 26-28 εβδομάδες, οι νεφρικές
πυραμίδες μπορούν να ανιχνευθούν. Το μήκος και η περίμετρος του νεφρού αυξάνουν
με την κύηση, αλλά η αναλογία περιμέτρου του νεφρού προς την περίμετρο της κοιλιάς
παραμένει περίπου 30% σε όλη τη διάρκεια της κύησης.
Η προσθιοπίσθια διάμετρος της νεφρικής πυέλου θα πρέπει να είναι <5mm στις
15-19 εβδομάδες, <6mm στις 20-29 εβδομάδες και <8mm στις 30-40 εβδομάδες.
Οι ουρητήρες φυσιολογικά δεν απεικονίζονται, εκτός εάν υπάρχει απόφραξη ή παλινδρόμηση.
Η ουροδόχος κύστη είναι ορατή από το πρώτο τρίμηνο της κύησης (σε περίπου 80%
των εμβρύων στις 11 εβδομάδες και σε περισσότερο από 90% των εμβρύων στις 13
εβδομάδες της κύησης).
| Εικόνα 1. Φυσιολογική απεικόνιση των νεφρών. | Εικόνα 2. Φυσιολογική
απεικόνιση νεφρικών αρτηριών. |
Εικόνα 3. Απουσία νεφρικών αρτηριών. |
ΑΝΩΜΑΛΙΕΣ ΟΥΡΟΠΟΙΗΤΙΚΟΥ
ΣΥΣΤΗΜΑΤΟΣ
Οι ανωμαλίες του ουροποιητικού συστήματος που ανιχνεύονται προγεννητικά είναι:
1. Αγενεσία νεφρών. 2. Νεφρική δυσγενεσία που περιλαμβάνει τους πολυκυστικούς
νεφρούς εμβρυικού και ενήλικα τύπου και την πλειοκυστική δυσπλασία. 3. Αποφρακτικές
ουροπάθειες. 4. Όγκοι νεφρών, όπως το μεσοβλαστικό νέφρωμα και ο όγκος του Wilm's
(νεφροβλάστωμα).
1. Αγενεσία
νεφρών
Αμφοτερόπλευρη αγενεσία νεφρών απαντάται σε 1 στις 5.000 γεννήσεις, ενώ μονόπλευρη
αγενεσία σε 1 στις 2.000 γεννήσεις. Η νεφρική αγενεσία είναι συνήθως σποραδική,
ενώ σε λίγες περιπτώσεις σχετίζεται με χρωματοσωμική ανωμαλία ή γενετικό σύνδρομο.
Υπερηχογραφικά, η κατάσταση αυτή γίνεται αντιληπτή με πλήρη απουσία αμνιακού
υγρού και μη ορατή ουροδόχο κύστη. Το έγχρωμο Doppler βοηθά στη διάγνωση -δεν
απεικονίζονται οι νεφρικές αρτηρίες και επιβεβαιώνεται η απουσία νεφρών (εικόνες
2, 3).
Το 15% των εμβρύων εμφανίζει συνοδές διαμαρτίες. Η διαφορική διάγνωση περιλαμβάνει
πρόωρη ρήξη υμένων και σοβαρή πλακουντιακή ανεπάρκεια.
Η προγεννητική διάγνωση της μονόπλευρης απουσίας νεφρού είναι δύσκολη, καθώς
δεν υπάρχουν μείζονα υπερηχογραφικά στοιχεία.
Η αμφοτερόπλευρη αγενεσία των νεφρών είναι κατάσταση ασύμβατη με τη ζωή, ενώ
η πρόγνωση στη μονήρη απουσία νεφρού είναι πολύ καλή.
2. Νεφρική δυσγενεσία
Πολυκυστικοί νεφροί εμβρυικού τύπου (Potter I)
Πρόκειται για κατάσταση που κληρονομείται με τον υπολειπόμενο αυτοσωματικό χαρακτήρα
και συναντάται σε 1 στις 30.000 γεννήσεις. Το υπεύθυνο γονίδιο ανιχνεύεται στο
χρωματόσωμα 6 και προγεννητική διάγνωση σε οικογένειες υψηλού κινδύνου είναι
δυνατή από το πρώτο τρίμηνο με βιοψία τροφοβλάστης.
Υπερηχογραφικά, οι δύο νεφροί εμφανίζονται διογκωμένοι και υπερηχογενείς με
αναρίθμητες κύστεις στο φλοιό, διαμέτρου <2mm. Η έντονη υπερηχογένεια αποδίδεται
στην ενίσχυση των υπερήχων από τις μικροσκοπικές κύστεις (εικόνες 4, 5). Η νόσος
είναι αμφοτερόπλευρη και συμμετρική, αλλά υπερηχογραφική απεικόνιση της νόσου
μπορεί να μην είναι δυνατή πριν τις 24 εβδομάδες, γι' αυτό, συνεχόμενα υπερηχογραφήματα
απαιτούνται για να αποκλεισθεί η διάγνωση. Άλλα διαγνωστικά κριτήρια είναι η
απουσία της ουροδόχου κύστης και το ολιγοάμνιο.
Η πολυκυστική νόσος των νεφρών διακρίνεται σε εμβρυική μορφή (η συχνότερη),
νεογνική, παιδική και εφηβική, ανάλογα με το χρόνο εμφάνισης. Η εμβρυική μορφή
καταλήγει σε θάνατο, εξαιτίας της πνευμονικής υποπλασίας και της νεφρικής ανεπάρκειας.
Ο νεογνικός τύπος έχει φτωχή πρόγνωση με νεφρική ανεπάρκεια στον 1ο χρόνο της
ζωής. Ο παιδικός και εφηβικός τύπος καταλήγουν σε χρόνια νεφρική ανεπάρκεια,
ηπατική ίνωση και πυλαία υπέρταση και συχνά απαιτείται μεταμόσχευση νεφρού.
| Εικόνα
4. Potter I, εγκάρσια διατομή. |
Εικόνα
5. Potter I, επιμήκης διατομή. |
Εικόνα 6. Potter II, εγκάρσια διατομή. |
| Εικόνα 7. Potter II, επιμήκης διατομή. | Εικόνα 8. Potter III. | Εικόνα 9. Potter III, εγκάρσια διατομή επιμήκης διατομή. |
Πλειοκυστική δυσπλασία
(Potter II)
Πρόκειται για ανωμαλία που συναντάται σε 1 στις 1.000 γεννήσεις, ενώ στις μισές
περιπτώσεις συνδέεται με χρωμοσωμικές ανωμαλίες, γενετικά σύνδρομα και άλλες
διαμαρτίες (κυρίως καρδιακές).
Υπερηχογραφικά, οι νεφροί απεικονίζονται με πολλαπλές κύστεις ποικίλου μεγέθους,
που δεν επικοινωνούν μεταξύ τους και υπερηχογενές στρώμα (εικόνες 6, 7).
Η διάμετρος των κύστεων καθορίζει και το τελικό μέγεθος των νεφρών, που μπορεί
να είναι μεγάλο, όπως στον τύπο ΙΙa, ή μικρό, όπως στον τύπο ΙΙb. Μπορεί να
είναι αμφοτερόπλευρη, ετερόπλευρη ή να αφορά σε ένα τμήμα του νεφρού. Στην αμφοτερόπευρη
νόσο, συνυπάρχει ανυδράμνιο και η ουροδόχος κύστη είναι απούσα.
Όταν πρόκειται για αμφοτερόπλευρη νόσο, η πρόγνωση είναι μοιραία, ενώ στη μονόπλευρη
νόσο, η πρόγνωση είναι καλή (αν και σε ένα μεγάλο ποσοστό συνυπάρχουν και άλλες
ουρογεννητικές ανωμαλίες). Υπάρχει διχογνωμία απόψεων σχετικά με τη προφυλακτική
νεφρεκτομή, ενώ η πλειοψηφία των ουρολόγων υιοθετεί τη συντηρητική αντιμετώπιση,
καθώς ο προσβεβλημένος νεφρός υποστρέφεται και μπορεί να εξαφανισθεί.
Πολυκυστικοί νεφροί ενήλικα
τύπου - Νεφρική δυσπλασία (Potter III)
Η νόσος κληρονομείται με τον αυτοσωματικό επικρατούντα χαρακτήρα και παραμένει
ασυμπτωματική μέχρι την 3η-5η δεκαετία της ζωής. Σε αντίθεση με τον εμβρυικό
τύπο, σπάνια διαγιγνώσκεται προγεννητικά. Προγεννητικά αναφέρεται διάγνωση σε
λίγες περιπτώσεις και αφορούσε σε έμβρυα με οικογενειακό ιστορικό και μορφές
που είχαν μοιραία κατάληξη στη νεογνική και σχολική ηλικία. Ένα στα 1.000 άτομα
φέρει τη μετάλλαξη του γονιδίου στο χρωμόσωμα 16. Η προγεννητική διάγνωση είναι
δυνατή με βιοψία τροφοβλάστης στο α΄ τρίμηνο, ενώ στους γονείς πρέπει να τονισθεί
ότι η φυσιολογική απεικόνιση των νεφρών προγεννητικά δεν αποκλείει την ανάπτυξη
νόσου στην ενήλικη ζωή.
Χαρακτηρίζεται από ιδιαίτερα διογκωμένους νεφρούς, με αναρίθμητες κύστεις διαφόρου
μεγέθους (εικόνες 8, 9). Το αμνιακό υγρό μπορεί να είναι φυσιολογικό ή ελαττωμένο.
Στο ένα τρίτο των περιπτώσεων παρατηρούνται κύστεις στο ήπαρ, το πάγκρεας και
το σπλήνα, ενώ στο ένα πέμπτο των περιπτώσεων συνυπάρχουν ανευρύσματα στον εγκέφαλο.
Η πρόγνωση ποικίλει, από νεογνικό θάνατο, υπέρταση (50-70%), ανευρύσματα Belly
(10-30%), μέχρι φυσιολογική ασυμπτωματική ζωή.
3. Αποφρακτικές
ουροπάθειες
Πρόκειται για παθολογικές καταστάσεις που χαρακτηρίζονται από διάταση της ουροφόρου
οδού. Όταν η απόφραξη είναι πλήρης και εμφανίζεται στην αρχή της εμβρυικής ζωής,
το αποτέλεσμα είναι νεφρική υποπλασία και δυσπλασία (Potter II). Αντίθετα, εάν
η απόφραξη είναι μερική ή εάν εμφανισθεί στο δεύτερο μισό της κύησης, τότε το
αποτέλεσμα είναι υδρονέφρωση και η σοβαρότητα της νεφρικής βλάβης εξαρτάται
από το βαθμό και τη διάρκεια της απόφραξης.
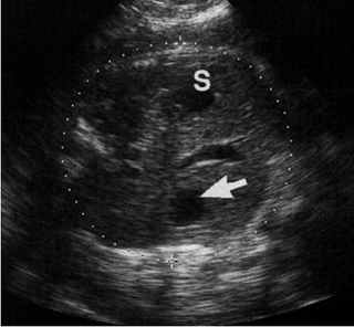
Υδρονέφρωση
Αφορά στο 1% όλων των εμβρύων και ορίζεται ως προσθιοπίσθια διάμετρος πυέλου
>4mm στις 15-19 εβδομάδες, >5mm στις 20-29 εβδομάδες και >7mm στις
30-40 εβδομάδες.
Παροδική υδρονέφρωση μπορεί να οφείλεται στη χαλάρωση των μυών του ουροποιητικού
σωλήνα από τα υψηλά επίπεδα των μητρικών ορμονών, ή σε μητρική - εμβρυική υπερενυδάτωση.
Η ήπια υδρονέφρωση (4-5mm) συνήθως παραμένει σταθερή ή υποχωρεί στη νεογνική
περίοδο στο 80% των περιπτώσεων, ενώ στο 20% των περιπτώσεων συνυπάρχει πυελοουρητηρική
απόφραξη ή παλινδρόμηση και απαιτείται παρακολούθηση μετά τη γέννηση και πιθανά
χειρουργική αποκατάσταση (εικόνα 10).
Η μέτρια υδρονέφρωση χαρακτηρίζεται από προσθιοπίσθια διάμετρο πυέλου >10mm
και διάταση των καλύκων και απαιτεί χειρουργική αποκατάσταση στο 50% των περιπτώσεων
στα δύο πρώτα χρόνια της ζωής. Στη σοβαρή υδρονέφρωση υπάρχει λέπτυνση του φλοιού
(εικόνα 11).
Απόφραξη πυελοουρητηρικής
συμβολής
Είναι συνήθως σποραδική και παρόλο που σε μερικές περιπτώσεις υπάρχει μια ανατομική
αιτία, όπως ουρητηρικές βαλβίδες, στις περισσότερες περιπτώσεις η υποκείμενη
αιτία θεωρείται λειτουργική. Στο 80% των περιπτώσεων είναι μονόπλευρη. Η προγεννητική
διάγνωση στηρίζεται στην απεικόνιση υδονέφρωσης, απουσία διάτασης ουρητήρων
και ουροδόχου κύστης. Ο βαθμός της διάτασης ποικίλει και περιστασιακά μπορεί
να υπάρξει περινεφρικό ουρίνωμα και ασκίτης.
Μετά τη γέννηση ελέγχεται η λειτουργία του νεφρού και εάν είναι επηρεασμένη,
γίνεται πυελοπλαστική. Πάντως, η πλειονότητα των νεογνών έχουν μέτρια ή καλή
νεφρική λειτουργία και μπορεί να αντιμετωπισθούν συντηρητικά (εικόνα 12).
| Εικόνα 10. Ήπια υδρονέφρωση. | Εικόνα 11. Μέτρια υδρονέφρωση. | Εικόνα 12. Απόφραξη πυελοουρητηρικής συμβολής. |
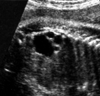
Απόφραξη κυστεουρητηρικής
συμβολής
Πρόκειται για σποραδική ανωμαλία που χαρακτηρίζεται από υδρονέφρωση και υδροουρητήρα,
ενώ η ουροδόχος κύστη είναι φυσιολογική. Ο διατεταμένος ουρητήρας έχει οφιοειδή
πορεία και σε εγκάρσια διατομή απεικονίζεται ως πολλαπλές κύστεις μέσα στην
εμβρυική πύελο (εικόνα 13).
Οφείλεται σε στένωση ουρητήρα, έκτοπη ουρητηρική εκβολή, ουρητηροκήλη, βαλβίδες
και παλινδρόμηση.
Οι ουρητηροκήλες απεικονίζονται ως μια μικρή κυκλική περιοχή μέσα στην ουροδόχο
κύστη, με λεπτό τοίχωμα και ορώδες περιεχόμενο και ανευρίσκονται συνήθως με
διπλό σύστημα νεφρού στη σύστοιχη πλευρά (εικόνες 14, 15).
| Εικόνα 13. Μεγαουρητήρας. | Εικόνα 14. Β: ουροδόχος κύστη. U: ουρητηροκήλη. | Εικόνα 15. Διπλό σύστημα νεφρού. |
Κυστεοουρητηρική παλινδρόμηση
Η σποραδική αυτή ανωμαλία γίνεται αντιληπτή από διακοπτόμενη διάταση του ανώτερου
ουροποιητικόυ σωλήνα, μέσα σε ένα βραχύ χρονικό διάστημα. Περιστασιακά, σε εκσεσημασμένη
κυστεοουρητηρική παλινδρόμηση χωρίς απόφραξη, η ουροδόχος κύστη φαίνεται μόνιμα
διατεταμένη, διότι αδειάζει, αλλά αμέσως ξαναγεμίζει με ούρα που παλινδρομούν.
Απόφραξη ουρήθρας
Mπορεί να οφείλεται σε αγενεσία ουρήθρας, παραμονή κλοάκης ή οπίσθιες βαλβίδες
ουρήθρας. Στις οπίσθιες βαλβίδες της ουρήθρας (1 σε 3.000 άρρενα έμβρυα), παρατηρείται
διατεταμένη, υπερτροφική ουροδόχος κύστη, με άλλοτε άλλου βαθμού υδροουρητήρες,
υδρονέφρωση, νεφρική δυσπλασία, ολιγάμνιο και πνευμονική υποπλασία (εικόνα 16).
Σε ορισμένες περιπτώσεις παρατηρείται ασκίτης λόγω ρήξης της ουροδόχου κύστης.
4. Όγκοι νεφρών
Οι όγκοι των νεφρών είναι ιδιαίτερα σπάνιοι και η πλειονότητά τους αφορά στο
μεσοβλαστικό νέφρωμα που εμφανίζεται ως μια συμπαγής μάζα, χωρίς κάψα στον ένα
νεφρό, ενώ ο άλλος νεφρός είναι φυσιολογικός και είναι καλοήθης. Συχνά συνοδεύεται
από υδράμνιο, του οποίου η αιτιολογία παραμένει αδιευκρίνιστη.
ΤΟ ΓΑΣΤΡΕΝΤΕΡΙΚΟ
ΣΥΣΤΗΜΑ
Υπερηχογραφικά, ο εμβρυικός στόμαχος είναι ορατός από τις 9 εβδομάδες της κύησης,
ως κυστικό μόρφωμα στο άνω αριστερό τεταρτημόριο της κοιλιάς.
Το έντερο έχει φυσιολογικά ομοιόμορφη ηχογένεια, μέχρι το τρίτο τρίμηνο της
κύησης, οπότε έλικες του παχέος εντέρου, γεμάτες με μηκώνιο, απεικονίζονται
συχνά.
Το ήπαρ καταλαμβάνει το μεγαλύτερο τμήμα της κοιλιάς, με τον αριστερό λοβό μεγαλύτερο
σε μέγεθος από το δεξιό.
Η χοληδόχος κύστη απεικονίζεται ως ωοειδής κύστη, δεξιά και κάτω από το ενδοηπατικό
τμήμα της ομφαλικής φλέβας.
Ο σπλήνας απεικονίζεται πίσω και αριστερά από το στομάχι, στην εγκάρσια διατομή.
Η περίμετρος της κοιλιάς θα πρέπει να μετράται σε μια εγκάρσια διατομή που απεικονίζει
το στομάχι και την πύλη του ήπατος (εικόνες 17, 18). Η θέση των σπλάχνων εκτιμάται
από την απεικόνιση της σχετικής θέσης του στομάχου, των ηπατικών αγγείων, της
κοιλιακής αορτής και της κάτω κοίλης φλέβας.
![]() |
|
| Εικόνα 16. Β: ουροδόχος κύστη, βέλος: διατεταμένη οπίσθια ουρήθρα. | Εικόνα 17, 18. Φυσιολογική κοιλιά. |
Ατρησία οισοφάγου
Ανευρίσκεται σε περίπου 1 ανά 3.000 γεννήσεις. Ατρησία οισοφάγου, σε συνδυασμό
με τραχειοοισοφαγικό συρίγγιο, υπάρχει στο 90% των περιπτώσεων και αποτελεί
σποραδική ανωμαλία, ενώ χρωματοσωμικές ανωμαλίες ανευρίσκονται στο 20% των περιπτώσεων.
Στις μισές περιπτώσεις συνυπάρχουν μείζονες διαμαρτίες (κυρίως καρδιακές), ενώ
η ατρησία οισοφάγου μπορεί να αποτελεί μέρος του συνδρόμου VATER (μεσοκοιλιακή
επικοινωνία, ατρησία ορθού, ανωμαλίες νεφρών, δυσπλασία κερκίδας και μονή ομφαλική
αρτηρία).
Προγεννητικά, παρατηρείται υδράμνιο (συνήθως μετά τις 25 εβδομάδες) και απουσία
της φυσαλίδας του στομάχου σε επαναλαμβανόμενα υπερηχογραφήματα (εικόνα 19).
Η ανίχνευση στομάχου δεν αποκλείει τη διάγνωση, για το λόγο ότι εκκρίσεις του
στομάχου μπορεί να είναι αρκετές να εκτείνουν το στόμαχο και να τον κάνουν ορατό
και ακόμη, εάν συνυπάρχει τραχειοοισοφαγικό συρίγγιο, μπορεί ο στόμαχος να απεικονίζεται
φυσιολογικός.
Η διαφορική διάγνωση για το συνδυασμό απουσίας στομάχου και υδραμνίου, περιλαμβάνει
καταστάσεις που προκαλούν ενδοθωρακική συμπίεση, όπως και μυοσκελετικές ανωμαλίες
που προκαλούν ανικανότητα του εμβρύου για κατάποση.
Η επιβίωση για το νεογνό εξαρτάται πρωτίστως από την ηλικία κύησης κατά τον
τοκετό και την παρουσία άλλων διαμαρτιών. Έτσι, για νεογνά με μεμονωμένο τραχειοοισοφαγικό
συρίγγιο, που γεννιούνται μετά τις 32 εβδομάδες, έχοντας γίνει η προγεννητική
διάγνωση, οπότε αποφεύγεται η πνευμονίτιδα από εισρρόφηση, η μετεγχειρητική
επιβίωση είναι πάνω από 95%.
| Εικόνα 19. Ατρησία οισοφάγου. |
Ατρησία δωδεκαδακτύλου
Αφορά σε 1 κάθε 5.000 γεννήσεις. Στα μισά έμβρυα παρατηρούνται και άλλες διαμαρτίες
(σκελετικές, γαστρεντερικές, καρδιακές, νεφρικές), ενώ χρωματοσωμικές ανωμαλίες
(τρισωμία 21) απαντούνται στο 40% των περιπτώσεων.
Υπερηχογραφικά, παρατηρείται χαρακτηριστικά το σημείο της διπλής φυσαλίδας,
που οφείλεται στο διατεταμένο στόμαχο και το εγγύς τμήμα του δωδεκαδακτύλου,
σε συνδυασμό με υδράμνιο (στο 17-53% των περιπτώσεων) (εικόνα 20). Παρόλο που
η χαρακτηριστική διπλή φυσαλίδα μπορεί να παρατηρηθεί από τις 20 εβδομάδες,
συνήθως δεν γίνεται εμφανής πριν τις 25 εβδομάδες της κύησης. Η επιβίωση μετά
από χειρουργική αποκατάσταση σε μεμονωμένη ατρησία 12δακτύλου είναι 95%, αλλά
δεν θα πρέπει να υποβαθμίζονται όψιμες επιπλοκές, όπως διαταραχές κινητικότητας,
μεγαδωδεκαδάκτυλο, παλινδρόμηση, γαστρίτιδα και σύνδρομο τυφλής έλικας, που
μπορεί να παρατηρηθούν μήνες ή χρόνια μετά τη νεογνική περίοδο.
Εντερική απόφραξη
Υπερηχογραφικά, φυσιολογικά ο αυλός του λεπτού και του παχέος εντέρου δεν ξεπερνούν
τα 7mm και 20mm αντίστοιχα.
Η απόφραξη μπορεί να είναι ενδογενής (ατρησία ή στένωση εντερικού αυλού), ή
εξωγενής (εγκολεασμός, ειλεός, απουσία γαγγλίων).
Παρατηρείται σε 1 κάθε 2.000 γεννήσεις. Στις μισές περιπτώσεις πρόκειται για
απόφραξη λεπτού εντέρου και στις άλλες μισές για ατρησία ορθού - πρωκτού. Η
πιο συχνή θέση απόφραξης είναι ο τελικός ειλεός (35%). Στο 5% των περιπτώσεων
υπάρχει απόφραξη σε πολλαπλά σημεία.
Η απόφραξη του λεπτού εντέρου είναι συνήθως σποραδική και χρωμοσωμικές ανωμαλίες
είναι σπάνιες. Η διάγνωση της απόφραξης λεπτού εντέρου γίνεται συνήθως μετά
τις 25 εβδομάδες, καθώς η διάταση του εντερικού αυλού είναι προοδευτική. Η κοιλία
είναι διατεταμένη, με πολλαπλές εντερικές έλικες γεμάτες υγρό (εικόνα 21). Υδράμνιο
συνοδεύει συνήθως τις υψηλές αποφράξεις. Εάν συμβεί διάτρηση του εντέρου, μπορεί
να παρατηρηθεί παροδικά ασκίτης, περιτονίτιδα από μηκώνιο, ή σχηματισμός κύστης
από μηκώνιο. Η διαφορική διάγνωση περιλαμβάνει ανωμαλίες ουροποιητικού συστήματος,
μεσεντερικές, ωοθηκικές και εντερικές κύστεις.
Η ορθοπρωκτική ατρησία συνδέεται στο 80% των περιπτώσεων με ανωμαλίες του γεννητικού,
του γαστρεντερικού συστήματος, του σκελετού και της καρδιάς και διαγιγνώσκεται
δύσκολα προγεννητικά, καθώς το παχύ έντερο μπορεί να μην παρουσιάζει αξιόλογη
διάταση, ενώ το αμνιακό υγρό είναι φυσιολογικό. Μερικές φορές παρατηρείται έντονος
περισταλτισμός ή ενδοαυλικές επασβεστώσεις από μηκώνιο.
Τα νεογνά με εντερική απόφραξη εμφανίζουν εμέτους και διάταση της κοιλίας τις
πρώτες ημέρες της ζωής. Η πρόγνωση εξαρτάται από την προωρότητα, την παρουσία
άλλων διαμαρτιών και τη θέση της απόφραξης. Σε γενικές γραμμές, όσο χαμηλότερη
είναι η απόφραξη, τόσο καλύτερη είναι η πρόγνωση. Εκτομή μεγάλων τμημάτων του
εντέρου μπορεί να οδηγήσει στο σύνδρομο βραχέος εντέρου, που αποτελεί θανατηφόρο
κατάσταση. Σε νεογνά μετά τις 32 εβδομάδες, η επιβίωση είναι >95% όταν πρόκειται
για μεμονωμένη, μη επιπεπλεγμένη απόφραξη.
| Εικόνα 20. Ατρησία 12δακτύλου. | Εικόνα 21. Ατρησία ειλεού. |
Νόσος Hirschsprung
Xαρακτηρίζεται από συγγενή απουσία των ενδοτοιχωματικών παρασυμπαθητικών γαγγλίων
σε ένα τμήμα του κόλου και αφορά σε 1 κάθε 3.000 γεννήσεις.
Είναι σποραδική, ενώ στο 5% των περιπτώσεων υπάρχει οικογενειακό ιστορικό. Σε
λίγες περιπτώσεις, η νόσος Hisrchsprung συνδέεται με τρισωμία 21. Το αγαγγλιακό
τμήμα του εντέρου δεν παρουσιάζει περισταλτισμό, με αποτέλεσμα τη συσσώρευση
μηκωνίου και τη διάταση του εντερικού αυλού. Υπάρχει υδράμνιο και διάταση των
εντερικών ελίκων, όταν το τμήμα που πάσχει είναι λεπτό έντερο (εικόνα 22), άλλως,
υπερηχογραφικά, η εικόνα είναι παρόμοια με της ορθοπρωκτικής ατρησίας.
Η χειρουργική αποκατάσταση γίνεται σε 2 στάδια, με προσωρινή κολοστομία. Η νεογνική
θνησιμότητα είναι περίπου 20%.
| Εικόνα 22. Νόσος Hirschsprung's. | Εικόνα 23. Περιτονίτιδα από μηκώνιο. |
Περιτονίτιδα από μηκώνιο
Η εντερική διάτρηση κατά την ενδομήτρια ζωή μπορεί να οδηγήσει σε άσηπτη, χημική
περιτονίτιδα, με ανάπτυξη ινώδους ιστού γύρω από το σημείο της διάτρησης.Ανευρίσκεται
σε 1 στις 3.000 γεννήσεις. Στο 65% των περιπτώσεων οφείλεται σε εντερική στένωση
ή ατρησία, ενώ άλλα αίτια είναι ο εγκολεασμός και το εκκόλπωμα Meckel. Υπερηχογραφικά,
παρατηρείται διάταση του εντέρου και ενδοκοιλιακή υπερηχογένεια (εικόνα 23).
Η πιθανότητα διάτρησης αυξάνεται εάν παρατηρείται και ασκίτης. Η διαφορική διάγνωση
του υπερηχογενούς εντέρου περιλαμβάνει ενδοαμνιοτική αιμορραγία, ασκίτη, εμβρυική
υποξία, περιτονίτιδα από μηκώνιο και κυστική ίνωση. Η περιτονίτιδα από μηκώνιο
εμφανίζει περιγεννητική θνησιμότητα της τάξης του 50%.
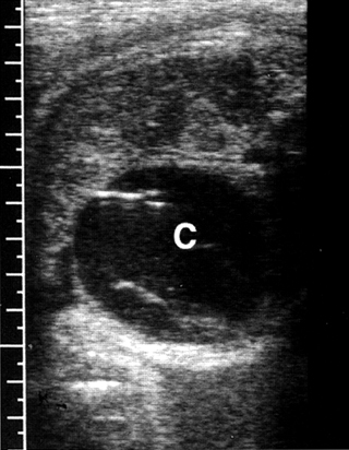
| Εικόνα 24. Κύστη χοληδόχου πόρου. |
Ηπατοσπληνομεγαλία
Αιτίες σπλνημομεγαλίας αποτελούν: ο ανοσολογικός και μη ανοσολογικός ύδρωπας,
οι συγγενείς λοιμώξεις, οι μεταβολικές διαταραχές και επίσης ανευρίσκεται στα
σύνδρομα Beckwith-Wiedemann και Zellweger (εικόνα 27). Διόγκωση του ήπατος μπορεί
επίσης να προκληθεί από αιμαγγείωμα, που είναι συνήθως υποηχοϊκό ή ηπατοβλάστωμα
(ο πιο συχνός κακοήθης όγκος στην εμβρυική ζωή), στο οποίο υπάρχουν περιοχές
με επασβεστώσεις.
Ηπατικές επασβεστώσεις
Οι ηπατικές επασβεστώσεις είναι υπερηχογενείς εστίες στην κάψα ή στο παρέγχυμα.
Ανευρίσκονται στο υπερηχογράφημα 2ου τριμήνου, σε περίπου 1 στα 2.000 έμβρυα.
Στην πλειονότητά τους είναι ιδιοπαθείς, αλλά σε ορισμένες περιπτώσεις συνδέονται
με συγγενείς λοιμώξεις και χρωμοσωμικές ανωμαλίες. Οι μεμονωμένες υπερηχογενείς
εστίες στερούνται κλινικής σημασίας.
![]() |
| Εικόνα 25. Κύστη ωοθήκης (C). C: κύστη. GB: χοληδόχος κύστη. |
Κοιλιακές κύστεις
Κοιλιακές κυστικές μάζες είναι συχνά υπερηχογραφικά ευρήματα. Ανωμαλίες των
νεφρών ή διάταση εντέρου είναι οι πιο συχνές εξηγήσεις, παρόλο που μπορεί να
εξορμούν από τα χοληφόρα, τις ωοθήκες, το μεσεντέριο ή τη μήτρα. Ακριβής διάγνωση
πιθανά να μην είναι δυνατή με την υπερηχογραφική εξέταση, αλλά η πιο πιθανή
διάγνωση πιθανολογείται από τη θέση της κύστης, σε σχέση με τη φυσιολογικότητα
των άλλων οργάνων.
Κύστεις χοληδόχου
Πρόκειται για κυστική διάταση του κοινού χοληδόχου πόρου (εικόνα 24). Σπάνιες,
αγνώστου αιτιολογίας.
Η διαφορική διάγνωση περιλαμβάνει εντερικές κύστεις διπλασιασμού, κύστεις ήπατος,
αναστροφή σπλάχνων ή ατρησία 12δακτύλου. Η απουσία υδράμνιου ή περισταλτισμού
μπορεί να διαφοροποιήσει την κατάσταση από ανωμαλίες του εντέρου.
Μετά τη γέννηση, πρώιμη διάγνωση και αφαίρεση μπορεί να αποτρέψει την ανάπτυξη
κίρρωσης, πυλαίας υπέρτασης, χολολιθίασης ή αδενοκαρκινώματος. Η διεγχειρητική
θνησιμότητα είναι περίπου 10%.
Κύστεις ωοθήκης
Είναι συχνές και ανευρίσκονται στο ένα τρίτο των νεογνών, παρόλο που είναι συνήθως
μικρές και ασυμπτωματικές. Οι εμβρυικές ωοθηκικές κύστεις είναι ορμονο-εξαρτώμενες
(από τη χοριακή γοναδοτροπίνη του πλακούντα) και έχουν την τάση να εμφανίζονται
μετά τις 25 εβδομάδες της κύησης (εικόνα 25). Είναι συχνές στις διαβητικές μητέρες
και στις μητέρες με Rhesus ευαισθητοποίηση, ως αποτέλεσμα της υπερπλασίας του
πλακούντα. Οι περισσότερες είναι καλοήθεις και υποχωρούν αυτόματα στη νεογνική
περίοδο.
Πιθανές επιπλοκές είναι: ασκίτης, συστροφή, έμφρακτα ή ρήξη. Συνήθως είναι ετερόπλευρες
και μονόχωρες. Μεγάλες ωοθηκικές κύστεις μπορεί να συνδυαστούν με υδράμνιο,
εξαιτίας της συμπίεσης του εντέρου και μόνο σε αυτές τις περιπτώσεις θα μπορούσε
να γίνει ενδομήτρια αναρρόφηση της κύστης.
Μια δύσκολη διαφορική διάγνωση είναι από τον αιματόκολπο σε θήλεα έμβρυα και
ο οποίος συχνά συνυπάρχει με άλλες ανωμαλίες του ουροποιητικού και γαστρεντερικού
συστήματος.
![]() |
![]() |
| Εικόνα
26. Κύστη ήπατος. S: στομάχι. |
Εικόνα 27. Ηπατομεγαλία. |
Μεσεντερικές κύστεις
Οι μεσεντερικές κύστεις μπορεί να αντιπροσωπεύουν απόφραξη στην παροχέτευση
της λέμφου ή λεμφατικό αμάρτωμα. Το περιεχόμενο μπορεί να είναι ορώδες, χυλώδες
ή αιμορραγικό.
Προγεννητικά, η διάγνωση πιθανολογείται από την ανεύρεση πολύχωρης ή μονόχωρης
κύστης, συνήθως σε κεντρική θέση και διαφόρου μεγέθους. Μπορεί να εμφανίζεται
συμπαγής, δευτεροπαθώς, μετά από αιμορραγία. Ενδομήτρια αναρρόφηση θα πρέπει
να συζητείται σε μεγάλες κύστεις, που οδηγούν σε συμπίεση του θώρακα.
Η αντιμετώπιση μετά τη γέννηση είναι συντηρητική και η αφαίρεση περιορίζεται
στις περιπτώσεις που υπάρχουν συμπτώματα από απόφραξη του εντέρου, ή οξύ κοιλιαίο
άλγος μετά από συστροφή ή αιμορραγία. Πλήρης εξαίρεση μπορεί να μην είναι δυνατή,
λόγω της γειτνίασης με τα μεγάλα αγγεία και στο 20% των περιπτώσεων υπάρχει
υποτροπή. Παρόλο που έχει περιγραφεί κακοήθης εξαλλαγή, αυτή είναι σπάνια.
Ηπατικές κύστεις
Είναι σπάνιες και προέρχονται από απόφραξη του ηπατικού χοληφόρου συστήματος.
Είναι μονόχωρες και ασυμπτωματικές, παρόλο που μπορεί να υπάρξουν επιπλοκές,
όπως φλεγμονή ή αιμορραγία (εικόνα 26).
Στο 30% των περιπτώσεων των πολυκυστικών νεφρών ενήλικα τύπου, συνυπάρχουν ηπατικές
κύστεις.
Εντερικές κύστεις διπλασιασμού
Είναι πολύ σπάνιες και μπορεί να εντοπίζονται σε οποιαδήποτε θέση του γαστρεντερικού
σωλήνα.
Σωληνώδεις ή κυστικοί σχηματισμοί, διαφόρου μεγέθους. Ανευρίσκονται μεμονωμένα
ή σε συνδυασμό με άλλες γαστρεντερικές ανωμαλίες.
Η διαφορική διάγνωση περιλαμβάνει άλλες ενδοκοιλιακές κύστεις και ακόμη βρογχογενείς
κύστεις, κυστικό αδενωματώδη σχηματισμό του πνεύμονα και εξωλοβώδες απόλυμα.
Το πάχος του τοιχώματος και η ύπαρξη περισταλτισμού οριστικοποιούν τη διάγνωση.
Χειρουργική εξαίρεση μετά τη γέννηση.
Summary
Sevastopoulou Ε.
Ultrasonographic examination of the kidneys and urinary tract and of the gastrointestinal
tract.
Hellen Obstet Gynecol 17(2): 152-159, 2005
Anomalies of the kidneys
and urinary tract that are seen prenatally are: 1) Renal agenesis 2) Polycyctic
kidney diseases 3) Obstructive uropathies 4) Renal tumors.
Renal agenesis is lethal. For polycystic kidneys the prognosis fluctuates from
neonatal death or hypertensive disease to normal life. In obstructive uropathies
the prognosis is good after surgery. Tumors are rare (mesoblastic nephroma)
and benign.
The anomalies concerning the gastrointestinal tract are polyhydramnios in esophageal
atresia, duodenal atresia, intestinal obstruction and a variety of cysts. If
there are no chromosomal abnormalities the prognosis after surgery is good.
Key words: Renal agenesis, polycystic kidney disease, obstructive uropathies, esophageal atresia, duodenal atresia, intestinal obstruction, ovarian cysts.
ΒΙΒΛΙΟΓΡΑΦΙΑ
1. Diagnosis of Fetal Abnormalities. The 18-23- week scan Gianluigi Pilu &
Kypros H. Nikolaides Parthenon Publishing, 1999.
2. Diagnostic Imaging of Fetal Anomalies. David A. Nyberg, John P. McGalan,
Dolores H. Pretorius, Gianluigi Pilu, Lippincott Williams &Wilkins, 2003.
3. Prenatal diagnosis of genetic renal diseases: breaking the code J. Rounne,
Y. Ville Ultrasound Obstet Gynecol 2004; 24:10-18.
4. Diagnostic accuracy of fetal renal pelvis anteroposterior diameter as a predictor
of uropathy: a prospective study. M.C.F. Bouzada, E.A.Oliveira, AKPereira. HV
Leite, AM Rodrigues, L.A. Fagundes, R. P. Goncalves, R.L Parreiras Ultrasound
Obstet Gynecol 2004; 24: 745-749.
5. Variability in dilatation of the fetal renal pelvis during a bladder filling
cycle H.A.M. Damen-Elias, RH Stigter, TPVM De Jong, GHA Visser Ultrasound Obstet
Gynecol 2004; 24: 750-755.
6. Concomitant anomalies in 100 children with unilateral multicystic kidney
HAM. Damen-Elias, PH Stoutenbeek, GHA Visser, PGJ Nikkels and TPVM de Jong,
Ultrasound Obstet Gynecol 2005; 25: 384-388.
7. Outcome of fetal renal pelvic dilatation diagnosed during the third trimester,
A.Wollenberg, TJ Neuhaus, UV Willi, J Wisser, Ultrasound Obstet Gynecol 2005;
25: 483-488.