ΑNAΣΚΟΠΗΣΗ

 

Υπερηχογραφικός έλεγχος KNΣ, κρανίου,
προσώπου και αυχένα του εμβρύου

 

Ν. Πράπας


 

Αλληλογραφία:
Dr. Νικόλαος Μ. Πράπας
Δ΄ Μαιευτική - Γυναικολογική Κλινική
Ιπποκράτειο Νοσοκομείο Θεσ/νίκης
Αν. Καθηγητής Α.Π.Θ.
Τηλ.: 2310 325525
Fax: 2310 325765
E-mail: iakentro@otenet.gr
Kατατέθηκε: 55/04/2005
Εγκρίθηκε: 10/05/2005

 

Περίληψη
Η διάγνωση ανωμαλιών του ΚΝΣ και του προσώπου είναι δύσκολη, καθώς πολλές οντότητες είναι σπάνιες (π.χ. σ. Dandy-Walker) ή δεν έχουν χαρακτηριστικά ευρήματα (π.χ. μικροκεφαλία). Ο μαιευτήρας πρέπει να είναι υποψιασμένος, κυρίως όταν υπάρχει μαιευτικό ιστορικό και να αναγνωρίζει πάντα τις δομές του εγκεφάλου, της ΣΣ και του προσώπου για τον αποκλεισμό ανεγκεφαλίας, υδροκέφαλου, δισχιδούς ράχης, σχιστιών χειλέων και γνάθου. Οι περισσότερες παθήσεις συνδέονται με γεννετικά σύνδρομα και χρωμοσωμικές ανωμαλίες (π.χ. υπερτελορισμός), γι' αυτό και σε διάγνωσή τους, πρέπει να αναζητούνται συνοδές αλλοιώσεις και άλλων οργάνων. Επιπλέον, οι γονείς έχουν τη δυνατότητα επιλογής τερματισμού της κύησης, όταν η διάγνωση για παθολογικό έμβρυο γίνεται έγκαιρα.

Όρoι ευρετηρίoυ: Υπερηχoγραφία, κεντρικό νευρικό σύστημα, πρόσωπo, αυχένας, υδρoκέφαλoς, διάταση πλάγιων κoιλιών, δισχιδής ράχη.

EIΣΑΓΩΓΗ
Η εξέταση του εμβρύου με τη χρήση υπερήχων δίνει τη δυνατότητα διαγνωστικού ελέγχου της πορείας της κύησης με τρόπο μη επεμβατικό και ανώδυνο. Στις διάφορες μελέτες εμφανίζει ειδικότητα 100% και ευαισθησία 40-85% στον έλεγχο ανατομικών δομών και διαγνωστική ακρίβεια περίπου 85% στον έμμεσο προσδιορισμό χρωμοσωμικών ανωμαλιών του εμβρύου.(6,13,23,41) Αυτό βέβαια επιτυγχάνεται υπό ορισμένες προϋποθέσεις, όπως η εξειδίκευση του εξεταστή, η εμπειρία του και η χρήση συσκευών υπερηχογραφίας υψηλών προδιαγραφών. Σε κάθε περίπτωση, πρόκειται για μέθοδο απαραίτητη και παγιωμένη στην εκτίμηση των φυσιολογικών και παθολογικών χαρακτηριστικών του εμβρύου.


Εικόνα 1. Απεικόνιση τομών στα τρία κύρια επίπεδα.

ΦΥΣΙΟΛΟΓΙΚΟ ΕΜΒΡΥΟ
Στην 20η εβδομάδα, η οργανογένεση του εμβρύου έχει ολοκληρωθεί και ακολουθεί η ωρίμανση των δομών του που διαγράφονται με ευκρίνεια. Αυτό, σε συνδυασμό με το μέγεθος του εμβρύου, που του επιτρέπει να αλλάζει συχνά θέσεις, καθιστούν την εξέταση του 2ου τριμήνου (18-24εβδ.) τη σημαντικότερη για την επιβεβαίωση της αρτιμέλειας του εμβρύου, της ανακάλυψης τυχόν δομικών ανωμαλιών και την ανίχνευση υπερηχογραφικών δεικτών σχετικών με χρωμοσωμικές ανωμαλίες. Ο μαιευτήρας, κατά την εξέταση, θα πρέπει να είναι συγκεντρωμένος και να ακολουθεί συγκεκριμένο πρωτόκολλο, ώστε να μην του διαφύγουν σημαντικές παρατηρήσεις.

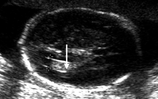
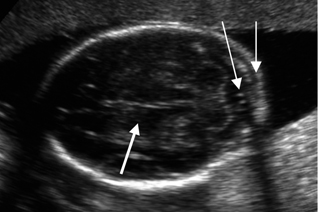
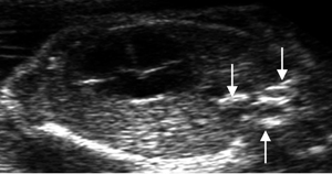
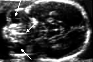
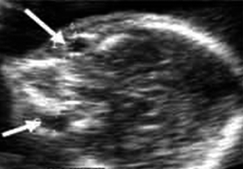
Εικόνα 2. Διαθαλαμική απεικόνιση κρανίου. Μέτρηση BPD (γραμμή), δρέπανο (μακρύ βέλος), οπτικοί θάλαμοι (λεπτό βέλος) και διαφανές διάφραγμα (κοντό βέλος). Εικόνα 3. Διαπαρεγκεφαλιδική απεικόνιση. Εμφανής η παρεγκεφαλίδα, η μεγάλη δεξαμενή (μακρύ βέλος), οι οπτικοί θάλαμοι (παχύ βέλος) και η αυχενική πτυχή (κοντό βέλος). Εικόνα 4. Διακοιλιακή απεικόνιση με μέτρηση της διαμέτρου της πλάγιας κοιλίας. Παρουσία χοριοειδούς πλέγματος εντός (βέλος).
     
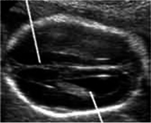
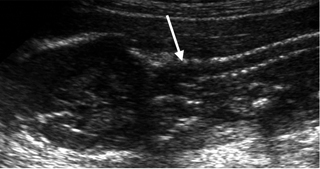
Εικόνα 5. Επιμήκης τομή ΣΣ από το ινίο έως τον κόκκυγα όπου συγκλίνει, με το δέρμα να την καλύπτει χωρίς ασυνέχειες σε ολόκληρο το μήκος της. Διακρίνονται τα φυσιολογικά κυρτώματα ΘΜΣΣ/ΟΜΣΣ. Εικόνα 6. Στεφανιαία τομή στο ύψος της ΑΜΣΣ και του ινίου. Παράλληλα οστικά εντυπώματα, χωρίς ασυνέχειες. Αποκλεισμός μηνιγγομυελοκήλης (βέλος). Εικόνα 7. Εγκάρσια τομή ΘΜΣΣ. Εμφανής οι τρεις πυρήνες οστέωση (βέλη) και μία πλευρά.

ΚΡΑΝΙΟ - ΕΓΚΕΦΑΛΟΣ
Η εντόπιση του κρανίου είναι σχετικά εύκολη και επιτυγχάνεται με μια αρχική υπερηχογραφική σάρωση της εγκυμονούσας μήτρας, από το επίπεδο της ηβικής σύμφυσης της μητέρας προς τον πυθμένα της μήτρας.
Οι βασικές απεικονίσεις του εγκεφάλου:(1,2,6,19)
- Διαθαλαμικό επίπεδο (1).
- Διακοιλιακό επίπεδο (2).
- Διαπαρεγκεφαλιδικό επίπεδο (3).

Α. Διαθαλαμική απεικόνιση
1. Υπολογισμός της ηλικίας κύησης:
- Μέτρηση αμφιβρεγματικής διαμέτρου (BPD).
- Μέτρηση περιμέτρου κεφαλής (HC).
Η απόκλιση της μέτρησης σε διάφορες μελέτες είναι ± 1-2 εβδομάδες, που είναι μέσα στα αποδεκτά όρια του σφάλματος. Εκτιμώντας σωστά την ηλικία κύησης, είμαστε σε θέση να ελέγχουμε την εμβρυική ανάπτυξη, να προγραμματίζουμε τον τοκετό και να αποκλείουμε ιατρογενή προωρότητα ή παράταση κύησης.(6,9,12)
2. Απεικόνιση του διαφανούς διαφράγματος και του δρεπάνου στη μέση γραμμή.
3. Απεικόνιση των θαλαμικών πυρήνων ως ανηχοϊκά τρίγωνα εκατέρωθεν της τρίτης κοιλίας.

Εικόνα 8. Κατ'εφαπτόμενη στο πρόσωπο τομή. Διακρίνονται κόγχοι, στόμα, μύτη, βλέφαρα, φακός Εικόνα 9. Μέση οβελιαία τομή σπλαγχνικού κρανίου και τραχήλου. Διακρίνονται μύτη, άνω-κάτω γνάθος, γλώσσα και στοματοφάρυγγας (βέλος). Εικόνα 10. Εγκάρσια τομή κρανίου στο ύψος των οφθαλμικών κόγχων. Εμφανές το ρινικό οστό.
     








Εικόνα 11. Αυτί σε κατ' εφαπτόμενη στο κρανίο τομή. Διακρίνεται: πτερύγιο, τράγος, έλικα, αντίτραγος. Εικόνα 12. Κατ' εφαπτόμενη στο μέτωπο τομή. Εκτίμηση άνω - κάτω χείλους, μύτης με δύο ρώθωνες. Εμφανείς καταποτικές κινήσεις. Εικόνα 13. Έμβρυο με οστικό έλλειμμα κρανίου και απουσία εγκεφαλικού ιστού (βέλος).

Β. Διαπαρεγκεφαλιδική απεικόνιση
1. Υπολογισμός της ηλικίας κύησης: Η διάμετρος (σε mm) της παρεγκεφαλίδας έως την 24η εβδ. αντιστοιχεί στην ηλικία της κύησης.(1,6,8)
2. Απεικόνιση θαλάμων, διαφανούς διαφράγματος, τρίτης κοιλίας, δρπάνου εγκεφάλου, παρεγκεφαλο- νωτιαίας δεξαμενής.
3. Μέτρηση παρεγκεφαλονωτιαίας δεξαμενής (φ.τ. <10mm): Αύξηση της διαμέτρου με συνοδό υποπλασία της παρεγκεφαλίδας σχετίζεται με υδροκεφαλία και σ. Dandy-Walker. Αντίθετα, εξαφάνιση της δεξαμενής συμβαίνει στη δισχιδή ράχη, όπου συνυπάρχει παραμόρφωση της παρεγκεφαλίδας (banana shape) και των μετωπιαίων οστών του κρανίου (lemon shape).(38)
4. Μέτρηση αυχενικής πτυχής: Συγκέντρωση λέμφου στο υποδόριο της ινιακής περιοχής που εμφανίζει θετική συσχέτιση έως και 70% με σ. Down εάν βρίσκεται (>6mm).(15,31,39)

Γ. Διακοιλιακή απεικόνιση
1. Μέτρηση διαμέτρου πλαγίων κοιλιών (φ.τ. <10mm): Διάταση βρίσκεται σε υδροκεφαλία, σε γενετικά σύνδρομα και σε τρισωμία 21.(10,15,23)
2. Απεικόνιση χοριοειδούς πλέγματος εντός των πλαγίων κοιλιών. Αναδύεται από το έσω τοίχωμα της κοιλίας.
3. Εντόπιση κύστεων στα χοριοειδή πλέγματα ετερο/αμφοτερόπλευρα. Υπάρχει μικρή συσχέτιση με τρισωμία 18.(15,42)







Εικόνα 14. Ανεγκέφαλο έμβρυο (frog eyes). Εικόνα 15. Εγκάρσια τομή εγκεφάλου στο ύψος των οπτικών θαλάμων με οστικό έλλειμα και κηλικό σάκο. Εικόνα 16. Επιμήκης τομή ΙΜΣΣ, με εμφανές το οστικό έλλειμμα και την προβολή του νωτιαίου μυελού και της μήνιγγας εντός κηλικού σάκου.
     
Εικόνα 17. Διακοιλιακή τομή κρανίου με σχήμα lemon sign, λόγω παραμόρφωσης μετωπιαίων οστών. Εικόνα 18. Διαπαραγκεφαλιδική απεικόνιση κρανίου με banana sign παρεγκεφαλίδα (βέλος). Εικόνα 19. Υπερδιάταση πλαγίων κοιλιών, ατροφία του εγκεφαλικού παρεγχύματος λόγω πίεσης (βέλος).

ΣΠΟΝΔΥΛΙΚΗ ΣΤΗΛΗ
Απεικόνιση σε επιμήκεις τομές δύο σειρών οστικών εντυπωμάτων που φέρονται παράλληλα από το ινίο έως τον κόκκυγα, όπου και συγκλίνουν. Απεικόνιση του δέρματος να καλύπτει τη ΣΣ σε ολόκληρο το μήκος της, ακέραιο και συνεχές. Αποκλεισμός μηνιγγομυελοκήλης, εγκεφαλοκήλης στο ινίο ή δισχιδούς ράχης στην οσφυοϊερά μοίρα, όπου εμφανίζονται οστικές ασυνέχειες και κηλικοί σάκοι με περιεχόμενο μήνιγγες και μυελό.(1,4)

ΠΡΟΣΩΠΟ - ΤΡΑΧΗΛΟΣ
Απεικόνιση οφθαλμικών κόγχων. Έλεγχος της διακογχικής απόστασης και της διαμέτρου του κόγχου. Η παρουσία φακού του οφθαλμού ως στεφάνου φωτός εντός του κόγχου, αποκλείει την ύπαρξη συγγενούς καταρράκτη και τύφλωσης.
Απεικόνιση ρινός με δύο ρώθωνες, άνω - κάτω χείλους και σκληράς υπερώας, για τον αποκλεισμό λαγώχειλου και λυκοστόματος.
Απεικόνιση κάτω γνάθου και γλώσσας για τον αποκλεισμό αντίστοιχα μικρογναθίας και μακρογλωσσίας.
Απεικόνιση πρόσθιας επιφάνειας τραχήλου για τον αποκλεισμό τερατωμάτων και βρογχοκήλης. Απεικόνιση επίσης του φάρυγγα, του λάρυγγα και της τραχείας.
Η απεικόνιση των αυτιών είναι χρονοβόρα, αλλά επιτυγχάνεται σε παραοβελιαίες τομές, κατ' εφαπτόμενες του κρανίου.

ΠΑΘΟΛΟΓΙΚΟ ΕΜΒΡΥΟ
Η έγκαιρη και σωστή διάγνωση ανωμαλιών του ΚΝΣ, του κρανίου και του προσώπου συνιστούν απόλυτη αναγκαιότητα, καθώς συνδέονται συνήθως με γενετικά σύνδρομα και χρωμοσωμικές ανωμαλίες που επιδεινώνουν την πρόγνωση της κύησης, ή οδηγούν σε τερματισμό της. Κυρίως θα αναφερθούμε στις οντότητες που συναντούμε συχνότερα, παραλείποντας ορισμένες. Η εξάντληση, βέβαια, του θέματος, λόγω της περιορισμένης έκτασης του κειμένου, είναι φύσει αδύνατη.

ΑΝΩΜΑΛΙΕΣ ΚΝΣ ΚΑΙ ΚΡΑΝΙΟΥ

Ανεγκεφαλία
Γενικά: Αποτυχία σύγκλεισης του κεφαλικού νευροπόρου την 38η ημέρα με αποτέλεσμα τη μερική ανάπτυξη εγκεφαλικών ημισφαιρίων.
Συχνότητα: 1/1500 γεννήσεις.(6,23)
Αίτια:
- Ιδιοπαθής στο 90% των περιπτώσεων.
- Χρωμοσωμικές ανωμαλίες (σ. Meckel-Gruben) 10%.
- Σακχαρώδης διαβήτης της εγκύου.
- Σύνδρομο αμνιακών ταινιών.
- Τερατογόνα, έλλειψη φυλλικού οξέος.
ECHO-ευρήματα στο 2ο τρίμηνο:(31,37,39)
- Απουσία οστών θόλου κρανίου και εγκεφαλικών ημισφαιρίων άνωθεν των οφθαλμικών κόγχων.
- Προέχων οφθαλμοί λόγω απουσίας μετωπιαίου οστού (frog-eye).
- Εμβρυικός εγκέφαλος και μήνιγγες αιωρούνται στην αμνιακή κοιλότητα (εξεγκεφαλία) κατά το 1ο τρίμηνο, ενώ στο 2ο έχει επέλθει ήδη ρευστοποίηση και δεν ανευρίσκονται.
- Ύπαρξη μεσεγκεφάλου και βάσης κρανίου.
- Υδράμνιο στο 50%, λόγω μειωμένης κατάποσης.
- Σπαστικές κινήσεις εμβρύου λόγω έκθεσης μηνίγγων και εγκεφάλου στο αμνιακό υγρό.
Πρόγνωση: Θάνατος του εμβρύου αμέσως ή λίγες ώρες μετά τη γέννηση. Συνιστάται ο τερματισμός της κύησης για ιατρικούς λόγους. Η λήψη φυλλικού οξέος τρείς μήνες πρίν και μετά τη σύλληψη φαίνεται να μειώνει σε ποσοστό 70% την επίπτωση της ανωμαλίας σε γυναίκες με βεβαρημένο μαιευτικό ιστορικό.(6)

Εικόνα 20. Διάταση κοιλιών σε στεφανιαία τομή. Εικόνα 21. Οπίσθια κέρατα κοιλιών δίκην (teardrops) και απουσία διαφανούς διαφράγματος (μεγάλο βέλος).
   
Εικόνα 22. Σύνδρομο Dandy-Walker. Έλλειψη σκώληκα και διεύρυνση μεγάλης δεξαμενής. Εικόνα 23. Ημιλοβιδιακή ολοπροσεγκεφαλία.

Εγκεφαλοκήλη
Γενικά: Συγγενής ασυνέχεια του κρανίου με πρόπτωση κηλικού σάκου, που μπορεί να περιέχει παρεγκεφαλίδα, μήνιγγες ή εγκεφαλικό παρέγχυμα.
Εντόπιση:
- Ινιακή χώρα, συχνότερα στη μέση γραμμή.
- Μετωπιαία, βρεγματική χώρα, ηθμοειδές οστό.
Συχνότητα: 1/5.000-10.000 γεννήσεις.(6,23)
Συνυπάρχουν συχνά:
- Υδροκεφαλία, δισχιδής ράχη.
- Σύνδρομο Dandy-Walker.
- Σύνδρομο Meckel-Gruber.
ECHO - ευρήματα στο 2ο τρίμηνο:(26,27)
- Έλλειμμα οστών κρανίου.
- Σχηματισμός σάκου που περιέχει υγρό ή εγκεφαλική ουσία.
- Υπερδιάταση πλάγιων κοιλιών.
Διαφορική διάγνωση: ανεγκεφαλία, κυστικό ύγρωμα, τεράτωμα, αιμαγγείωμα.
Πρόγνωση:(6,39) Εξαρτάται από το είδος και την ποσότητα του ιστού εντός της κήλης. Θνητότητα 11% σε μηνιγγοκήλη και 71% σε εγκεφαλοκήλη.

Δισχιδής ράχη
Γενικά: Ανοιχτή ΣΣ με συνοδό έλλειμμα υπερκείμενου δέρματος
Συχνότητα: 1/2.500 γεννήσεις περίπου.(6,23)
ECHO - ευρήματα στο 2ο τρίμηνο:
- Η ΣΣ εμφανίζει σε εγκάρσιες τομές εικόνα (U), με κηλικό σάκο να προβάλει από το οστικό έλλειμμα και ποικίλο περιεχόμενο.
- Παραμόρφωση μετωπιαίων οστών, συνεπάγεται κρανίο σε σχήμα λεμονιού.(38)
- Παρεγκεφαλίδα σε σχήμα μπανάνας λόγω εξαφάνισης της παρεγκεφαλονωτιαίας δεξαμενής.(36)
- Διεύρυνση των πλαγίων κοιλιών (70%).(28)
- Οι κινήσεις των άκρων μπορεί να είναι φυσιολογικές, ακόμα και σε μεγάλα ελλείμματα του σπονδυλικού σωλήνα.
- Το κρανίο σε σχήμα λεμονιού βρίσκεται σε ποσοστό 45% πριν τις 24εβδ., σε 50% μεταξύ 24-35εβδ. και 0% μετά την 35εβδ. Εάν η βλάβη εντοπίζεται στην ιερά μοίρα, το σημείο ανευρίσκεται στο 100%.(19,38)
- Η παρεγκεφαλίδα σε σχήμα μπανάνας ανευρίσκεται σε ποσοστό 99% πριν την 24 εβδ. Αργότερα παρατηρείται απουσία ή σμίκρυνση του μεγέθους της.(19)
Συνυπάρχουν συχνά:
- Μικροκεφαλία.
- Υδροκεφαλία (75%-90%).
- Στρεβλοποδία, που συνιστά κακό προγνωστικό σημείο.
Διαφορική διάγνωση: Ιεροκοκκυγικά τερατώματα.
Πρόγνωση: Ανάλογα με τη θέση, την έκταση της βλάβης και την ύπαρξη άλλων ανωμαλιών, κυρίως του εγκεφάλου.

Υδροκεφαλία
Γενικά: Συχνότητα 0,3-2/1.000 γεννήσεις.(6,23)
Αίτια:(10)
- Χρωμοσωμικές ανωμαλίες (τρισωμίες).
- Γενετικά σύνδρομα (αλλοάνοση θρομβοπενία).
- Συγγενείς λοιμώξεις.
- Εγκεφαλική αιμορραγία.
- Ιδιοπαθής.
- Απόφραξη υδραγωγού Sylvious (αποφρακτική υδροκεφαλία).
ECHO - ευρήματα στο 2ο τρίμηνο:
- Εγκάρσια τομή του εγκεφάλου στο διακοιλιακό επίπεδο, όπου απεικονίζονται τα όρια των προσθίων και οπισθίων κεράτων των πλάγιων κοιλιών, τα χοριοειδή πλέγματα, η τρίτη κοιλία και το διαφανές διάφραγμα.
- Διάταση πλάγιων κοιλιών εγκεφάλου, με τα χοριοειδή πλέγματα να αιωρούνται χαρακτηριστικά εντός τους.
- Περίμετρος κεφαλής συνήθως μικρότερη ή φυσιολογική σε σχέση με την ηλικία κύησης πριν την 24ηεβδ. Αντίθετα, είναι μεγαλύτερη όταν το αίτιο αφορά απόφραξη.
- Το πηλίκο των πρόσθιων ή και των οπίσθιων κεράτων των πλάγιων κοιλιών προς το αντίστοιχο ημισφαίριο είναι >95ης θέσης των φυσιολογικών τιμών.(19,23)
- Το ύψος της απόφραξης υπολογίζεται ανάλογα με την ύπαρξη διάτασης στο επίπεδο της 3ης, της 4ης κοιλίας και του υδραγωγού του Sylvious.(10)
Συνυπάρχουν συχνά: Μηνιγγομυελοκήλη (50%).
Πρόγνωση:
- Ενδομήτρια ύφεση της νόσου σε ελαφριές περιπτώσεις, φυσιολογικό νεογνό.
- Νεογνό με σοβαρού βαθμού πνευματική υστέρηση.
- Ενδομήτριος θάνατος λόγω συνύπαρξης και άλλων ανωμαλιών.

Αγενεσία μεσολόβιου
Γενικά: Το μεσολόβιο αποτελείται από ίνες νευρικού ιστού που διασταυρώνονται στη μέση γραμμή και ενώνουν τα εγκεφαλικά ημισφαίρια, σχηματίζοντας ταυτόχρονα την οροφή της 3ης κοιλίας. Η ολική απουσία του σώματος και του σπληνίου του μεσολοβίου ονομάζεται αγενεσία, ενώ η μερική έλλειψή του καλείται δυσγενεσία.(11)
Συχνότητα: 3-5/1.000 γεννήσεις.(23)
Αίτια:(11)
- Σποραδική εμφάνιση (40%).
- Τρισωμίες 8, 13, 18.
- Στο πλαίσιο γενετικών συνδρόμων (Dandy-Walker, Arnold-Chiari II, Aicardi's κ.ά.).
- Κληρονομούμενη, με κυρίαρχο ή υποτελή αυτοσωμικό τρόπο.
ECHO - ευρήματα στο 2ο τρίμηνο:(20,23)
Το μεσολόβιο αναπτύσσεται μεταξύ 12ης-18ης εβδ. Η αναγνώριση της πάθησης είναι εξαιρετικά δύσκολη , ενώ θεωρείται αδύνατη πριν την 18η εβδ.
- Απουσία μεσολοβίου και διαφανούς διαφράγματος (μέση οβελιαία τομή).
- Διάταση οπίσθιων κεράτων πλαγίων κοιλιών (teardrops shape) στο 90%. Η εικόνα αυτή δε συναντάται σε καμία άλλη ανωμαλία.
- Πρόσθια κέρατα πλαγίων κοιλιών λεπτύνονται και απομακρύνονται μεταξύ τους.
- Άνοδος και διάταση της 3ης κοιλίας.
- Εικόνα κυστικού μορφώματος στη θέση του διαφανούς διαφράγματος.(35)
- Ανώμαλη πορεία διακλάδωσης της άνω εγκεφαλικής αρτηρίας (απεικόνιση με Doppler).
Πρόγνωση:(14)
- Σε μεμονωμένο εύρημα αγενεσίας του μεσολοβίου, το 85% των παιδιών αναπτύσσονται φυσιολογικά.
- Σε συνυπάρχουσες ανωμαλίες, μόνο το 18% αναπτύσσονται φυσιολογικά.







Εικόνα 24. Αλοβιδιακή ολοπροσεγκεφαλία. Εικόνα 25. Τομή προσώπου προφίλ, με εμφανή τη δυσαναλογία προσώπου και οστικού κρανίου.

Σύνδρομo Dandy-Walker
Αίτια:
- Χρωμοσωμικές ανωμαλίες.
- Γενετικά σύνδρομα.
- Συγγενείς λοιμώξεις.
- Λήψη τερατογόνων ουσιών.
Συχνότητα: 1/30.000 γεννήσεις.(6)
ECHO - ευρήματα στο 2ο τρίμηνο:(17,34,40)
- Έλλειψη ή υποπλασία του μίσχου της παρεγκεφαλίδας, με ταυτόχρονη απομάκρυνση των ημισφαιρίων της.
- Κύστη οπισθίου βόθρου.
- Διάταση 4ης κοιλίας που καταλαμβάνει και διατείνει τον οπίσθιο βόθρο.
- Διεύρυνση μεγάλης δεξαμενής εγκεφάλου.
Συνυπάρχουν συχνά (50-70%):(6,23)
- Πολυδακτυλία.
- Ανωμαλίες προσώπου.
- Ανωμαλίες καρδιαγγειακού.
- Ανωμαλίες ουροποιητικού.
- Υδροκεφαλία (50%).
- Ατρησία τρήματος Magendie, Luschka.
Πρόγνωση: Πτωχή, με αυξημένη θνησιμότητα τους πρώτους μήνες της ζωής. Πνευματική υστέρηση στην πλειοψηφία των επιζώντων.

Ολοπροσεγκεφαλία
Γενικά: Πλήρης ή μερική αποτυχία διαίρεσης του πρόσθιου εγκεφαλικού κυστιδίου για το σχηματισμό των εγκεφαλικών ημισφαιρίων και κοιλιών.
Συχνότητα: 6-10/10.000 γεννήσεις.(6,20)
Αίτια:
- Σποραδική εμφάνιση (68%).
- Χρωμοσωμικές ανωμαλίες (τρισωμία 13/21, 50%).
- Γενετικά σύνδρομα.
Βαθμοί διαίρεσης πρόσθιου εγκεφαλικού κυστιδίου:(6,23)
Αλοβιδιακή: Ύπαρξη μίας κοιλίας και συνένωση των οπτικών θαλάμων.
Ημιλοβιδιακή: Μερικός διαχωρισμός των κοιλιών και των εγκεφαλικών ημισφαιρίων και ατελής συνένωση οπτικών θαλάμων.
Λοβιδιακή: Πλάγιες κοιλίες και θάλαμοι χωρίζονται φυσιολογικά, ενώ απουσιάζει η κοιλότητα του διαφανούς διαφράγματος.
ECHO - ευρήματα στο 2ο τρίμηνο:(6,29)
- Μονή κοιλία που αντικαθιστά τις δύο πλάγιες ή ατελής διαχωρισμός πλάγιων κοιλιών.
- Απουσία μεσολόβιου.
- Απουσία διαφανούς διαφράγματος.
- Επιπέδωση πρόσθιων κεράτων πλαγίων κοιλιών.
- Παραμονή μέσου εγκεφάλου.
Συνυπάρχουν συχνά:
- Κυκλωπία.
- Υποτελορισμός.

Μικροκεφαλία
Συχνότητα: 1/10.000 γεννήσεις.(6,20,39)
Αίτια:
- Εμβρυική υποξία.
- Ενδομήτρια λοίμωξη.
- Έκθεση μητέρας σε ακτινοβολία ή τερατογόνα (παράγωγα κουμαρίνης).
ECHO - ευρήματα στο 2ο τρίμηνο:
- Μικρή περίμετρος κεφαλής για την ηλικία κύησης, τουλάχιστον δύο σταθερές απόκλισης από το μέσο όρο. Αναγνωρίζεται δύσκολα, καθώς υπάρχουν πολλές παραλλαγές ανάπτυξης σε αυτή την ηλικία.(30)
- Μικρό πηλίκο της περιμέτρου κεφαλής (HC) με την περίμετρο κοιλιάς (AC).(12,13,19)
- Περίμετρος κοιλίας και μήκος μηριαίου (FL) που αντιστοιχούν στην ηλικία κύησης.
Συνυπάρχουν συχνά:(6)
- Εγκεφαλοκήλη.
- Ολοπροσεγκεφαλία.
- Χρωμοσωμικές βλάβες και γενετικά σύνδρομα.
Διαφορική διάγνωση: Ενδομήτρια καθυστέρηση ανάπτυξης.
Πρόγνωση: Πνευματική υστέρηση στο 90% των νεογνών που επιζούν.(6,23)

Εικόνα 26. Αραχνοειδής κύστη σε διακοιλιακή τομή του εγκεφάλου. Εικόνα 27. Κύστη χοριοειδούς πλέγματος.

Αραχνοειδείς κύστεις
Συγγενείς:
- Πολύ σπάνιες.
- Επικοινωνούν με τον υπαραχνοειδή χώρο.
- Σχηματίζονται από παθολογική ανάπτυξη της αραχνοειδούς μήνιγγας.
Επίκτητες:
- Αποτέλεσμα τραυματισμών ή εγκεφαλικής αιμορραγίας.
ECHO - ευρήματα στο 2ο τρίμηνο:
- Κυστική μάζα γεμάτη υγρό που παρεκτοπίζει το φυσιολογικό εγκεφαλικό ιστό.(9,23)
- Υδροκεφαλία, κάποιες φορές.
Πρόγνωση: Άριστη, εάν χειρουργηθούν μετά τον τοκετό.

Κύστεις χοριοειδούς πλέγματος
Γενικά: Συνήθως αμφοτερόπλευρες.
Συχνότητα (2%) στο 2ο τρίμηνο:
- Μέχρι την 26η εβδομάδα εξαφανίζονται σε ποσοστό 90%.(23)
- Όσες παραμένουν δεν είναι επιβλαβείς, αλλά θεωρούνται παραλλαγές του φυσιολογικού.(6)
- Αυξάνουν κατά 1,5 φορές τον κίνδυνο τρισωμίας 18 για τη δεδομένη ηλικία της εγκύου, αλλά όχι και για τρισωμία 21.

ΑΝΩΜΑΛΙΕΣ ΠΡΟΣΩΠΟΥ, ΤΡΑΧΗΛΟΥ

Κυστικό ύγρωμα
Γενικά: Αποτυχία σύγκλεισης των λεμφικών αγγείων συνήθως της οπίσθιας τραχηλικής χώρας συνεπάγεται τη διάταση και το σχηματισμό κύστης. Εντοπίζεται συνήθως στην οπίσθια ή πλάγια τραχηλική επιφάνεια, ετερόπλευρα ή αμφοτερόπλευρα, καθώς και στην πρόσθια επιφάνεια με επέκταση στο μεσοθωράκιο ή στη μασχαλιαία κοιλότητα.(23,39)
Συχνότητα: 1/6.000 κυήσεις.(6)
Αίτια: Σύνδρομο Turner (75%).
ECHO - ευρήματα στο 2ο τρίμηνο:
- Κυστική τραχηλική μάζα με πολλαπλά διαφραγμάτια.
- Απώλεια κινητικότητας τραχήλου.
- Εμβρυικός ύδρωπας.
- Ολιγάμνιο (60%).
- Φυσιολογικός εγκέφαλος, κρανίο και σπονδυλική στήλη.(6,19,23)
Διαφορική διάγνωση:
- Μηνιγγοκήλη.
- Ινιακή εγκεφαλοκήλη.
Πρόγνωση: Η θνησιμότητα των εμβρύων ανέρχεται στο 90%.




Εικόνα 28. Υπερμεγέθες κυστικό ύγρωμα. Εικόνα 29. Τεράτωμα στην πρόσθια τραχηλική χώρα μεικτής σύστασης. Τομή κατ' εφαπτομένη στο πρόσωπο.

Αιμαγγείωμα τραχήλου
Γενικά: Σπάνιος όγκος κατά την ενδομήτριο ζωή, που εξορμάται από τον αυχένα.(6,39)
ECHO - ευρήματα στο 2ο τρίμηνο:
- Μάζα ομοιογενής, δίκην πλακούντα ή με κυστικές περιοχές.
- Ανώμαλη αγγείωση στην απεικόνιση με Doppler.
Πρόγνωση: Πτωχή, λόγω αυξημένης ενδομήτριας θνησιμότητας.

Συγγενής βρογχοκήλη
Γενικά: Σπάνια κατάσταση.(3) Κυρίως εντοπίζεται σε έμβρυα γυναικών που λαμβάνουν αντιθυρεοειδικά φάρμακα.
ECHO - ευρήματα στο 2ο τρίμηνο:(6,23)
- Δίλοβη μάζα, συμπαγής ή κυστική στο πρόσθιο τμήμα του τραχήλου.
- Μετατόπιση καρωτίδων προς τα πίσω και πλάγια (Doppler).
- Πολυάμνιο λόγω συμπίεσης του οισοφάγου.
- Ταχυκαρδία.
- Εμβρυικός ύδρωπας, σε βαριές καταστάσεις.
Πρόγνωση: Καλή, καθώς γίνεται ενδοαμνιακή έγχυση Τ3/Τ4.

Τεράτωμα τραχήλου
Γενικά: Όγκοι σπάνιοι, συνήθως καλοήθεις, ετερόπλευροι στο προσθιοπλάγιο τμήμα του τραχήλου. Αποτελούνται από νευρικό ιστό, ενώ στο 30% των περιπτώσεων συνυπάρχει και θυρεοειδικός ιστός.(25)
ECHO - ευρήματα στο 2ο τρίμηνο της κύησης:
- Μάζα μεικτή, ετερόπλευρη στο πρόσθιο ή πλάγιο τμήμα του τραχήλου.
- Ασβέστωση στο 50% των περιπτώσεων.
- Πολυάμνιο στο 30% των περιπτώσεων.(6)
Διαφορική διάγνωση:
- Κυστικό ύγρωμα.
- Συγγενής βρογχοκήλη.
- Σαρκώματα.
Πρόγνωση: Εάν χειρουργηθεί έγκαιρα, η θνησιμότητα είναι μικρότερη από 20%. Σε κάθε περίπτωση, η πρόγνωση εξαρτάται από το μέγεθος του όγκου και το βαθμό προωρότητας του εμβρύου.

Εικόνα 30. Υποτελορισμός και σύγκριση με το φυσιολογικό, σε εγκάρσιες τομές του κρανίου στο ύψος των οφθαλμικών κόγχων. Εικόνα 31. Υπερτελορισμός, σε σύγκριση με το φυσιολογικό σε εγκάρσιες τομές.

Υποτελορισμός
Γενικά: Μειωμένη διακογχική απόσταση, κυρίως ορατή στο υπερηχογράφημα 2ου τριμήνου. Συνήθως συνυπάρχει ολοπροσεγκεφαλία.(27,32)
Αίτια:
- Μεμονωμένα περιστατικά.
- Στο πλαίσιο γενετικού συνδρόμου (π.χ. τρισωμία 21, Meckel-Gruber).
ECHO - ευρήματα στο 2ο τρίμηνο:
- Μειωμένη διακογχική απόσταση (μέτρηση έσω με έσω κανθό).
Συνυπάρχουσες πιθανές ανωμαλίες:(6,23)
- Προβοσκίδα.
- Σχιστίες προσώπου.
- Μικρογναθία.
- Ολοπροσεγκεφαλία.
- Μικροκεφαλία, τριγωνοκεφαλία.
- Σύνδρομο Meckel.
Πρόγνωση: Πτωχή, ιδιαίτερα σε συνυπάρχουσες ανωμαλίες.

Υπερτελορισμός
Γενικά: Ατελής μετακίνηση των οφθαλμών από τα πλάγια του προσώπου, όπου σχηματίζονται προς τη σωστή τους θέση κοντά στη μέση γραμμή, με αποτέλεσμα αυξημένη διακογχική απόσταση.(6)
Αίτια:
- Σπάνια πρωτοπαθής.
- Συνήθως δευτεροπαθής, ως αποτέλεσμα πρόσθιας εγκεφαλοκήλης ή άλλων ανωμαλιών του προσώπου.
ECHO - ευρήματα στο 2ο τρίμηνο:
- Αυξημένη διακογχική απόσταση.
- Πρόσθια εγκεφαλοκήλη.(27,32)

Μικροφθαλμία
Γενικά: μειωμένη διάμετρος οφθαλμικού κόγχου.(6)
ECHO - ευρήματα στο 2ο τρίμηνο:
- Μειωμένη διάμετρος οφθαλμικού κόγχου.(21)
Συνδυάζεται συχνά:(13,21)
- Σχιστίες μέσης γραμμής χειλέων.
- Αγενεσία μεσολοβίου.
- Εγκεφαλοκήλη.
- Κρανιοσυνόστωση (σ. Apert, σ. Crouzon, σ. Carpeder).

Εικόνα 32. Μικροφθαλμία σε κατ' εφαπτόμενη μετωπιαία τομή.
Εικόνα 33. Η γλώσσα γεμίζει τη στοματική κοιλότητα και προβάλλει μεταξύ των χειλέων. Εικόνα 34. Μικρογναθισμός.
     
Εικόνα 35. Ετερόπλευρο λαγώχειλο. Εικόνα 36. Αμφοτερόπλευρη σχιστία με προέχουσα ιστική μάζα στο κέντρο. Εικόνα 37. Ετερόπλευρη σχιστία.

 

Ανοφθαλμία
Γενικά: Αποτυχία σχηματισμού οφθαλμικού κυστιδίου.(13,16)
Αίτια:
- Γενετικά σύνδρομα.
- Χρωμοσωμικές ανωμαλίες.
ECHO - ευρήματα: Απουσία φακού οφθαλμού.(21)

Μακρογλωσσία
Γενικά: Η γλώσσα του εμβρύου προβάλει διαρκώς εκτός στοματικής κοιλότητας. Η διάγνωση είναι δύσκολη και επιτυγχάνεται κυρίως στο 3ο τρίμηνο και σε 20% στο 2ο τρίμηνο.(6,23)
Αίτια: Σύνδρομο Beckwith-Wiedemann.
ECHO - ευρήματα στο 2ο τρίμηνο:(6,23)
- Μεγάλη προβάλλουσα γλώσσα εμβρύου.
- Έμβρυο μεγάλο για την ηλικία κύησης.
- Ομφαλοκήλη.
- Αυξημένο αμνιακό υγρό.
- Διόγκωση κοιλιακών σπλάγχνων.

Μικρογναθία
Γενικά: Υποπλαστική κάτω γνάθος.
Συχνότητα: 1/30.000 γεννήσεις.(6)
Αίτια:
- Χρωμοσωμικές ανωμαλίες (τριπλοειδία, τρισωμία 18).
- Γενετικά σύνδρομα (σ. Robin, σ. Robert, σ. Treacher-Collins).
- Τερατογόνα (μεθοτρεξάτη).
ECHO - ευρήματα στο 2ο τρίμηνο:(5,33)
- Υποπλασία κάτω γνάθου.
- Πρόδηλο άνω χείλος.
- Πολυάμνιο λόγω ανεπαρκούς κατάποσης στο 70%.

Σχιστίες προσώπου

Γενικά: Το λυκόστομα και ο λαγώχειλος είναι οι συχνότερες ανωμαλίες και συνυπάρχουν σε ποσοστό 70%. Συνήθως εντοπίζονται δεξιά ή αριστερά της μέσης γραμμής και σε ποσοστό 1% στη μέση γραμμή.(6,7)
Αιτίες:
- Ιδιοπαθείς σε ποσοστό 95%.
- Χρωμοσωμικές ανωμαλίες (τρισωμία 13 ή 18).
- Σύνδρομο αμνιακών ταινιών.
- Τερατογόνες ουσίες (αλκοόλ, μεθοτρεξάτη, αντιεπιληπτικά).
Συχνότητα: 1/1.000 για λαγώχειλο και λυκόστομα, 5/1.000 για μεμονωμένο λυκόστομα. Επίπτωση που εξαρτάται από τη φυλή και την εθνικότητα.(19,23)
ECHO - ευρήματα στο 2ο τρίμηνο:
- Ετερόπλευρη σχιστία που επεκτείνεται έως τη μύτη, η οποία εμφανίζεται γαμψή.(18)
- Αμφοτερόπλευρη σχιστία, με κεντρική ιστική μάζα να προέχει κάτω από τη μύτη και ύπαρξη οστικού χάσματος στην υπερώα.(22)
- Κεντρική σχιστία με παραμόρφωση της μύτης, η οποία μπορεί και να λείπει ή να αντικαθίσταται από προβοσκίδα.(24,32)
- Αμνιακό υγρό συνήθως φυσιολογικό ή και μειωμένο, λόγω ελαττωματικής κατάποσης.
- Οι κεντρικές σχιστίες συνδυάζονται με ολοπροσεγκεφαλία, υποτελορισμό, κυκλωπία, τρισωμία 13.(6,23)
- Ελέγχουμε πάντα για συγγενείς καρδιοπάθειες, ενδοκράνιες ανωμαλίες και δείκτες τρισωμίας.(6,23)
Πρόγνωση: Εξαιρετική για μεμονωμένες περιπτώσεις. Εξαρτάται πάντως από το μέγεθος της βλάβης και τις συνυπάρχουσες ανωμαλίες.

Summary
Prapas N.
Ultrasonographic examination of the CNS, face and neck.
Hellen Obstet Gynecol 17(2): 134-144, 2005

The prenatal diagnosis of central nervous system and face abnormalities is difficult. Some are very rare and do not show findings till very late (microcephaly). Hydrocephalus and ventriculomegaly, anencephaly and spina bifida are easily seen. Some are associated with chromosomal abnormalities or genetic syndromes. Parents after the correct diagnosis have the choice of pregnancy termination.

Key words: Ultrasonography, central nervous system, face, neck, hydrocephalus, ventriculomegaly, spina bifida, cleft lip.

ΒΙΒΛΙΟΓΡΑΦΙΑ
1. ACOG Committee on Practice Bulletins: ACOG Practice Bulletin No.58. Ultrasonography in pregnancy. Obstet Gynecol 2004 Dec; 104(6):1449-58.
2. American Institute of Ultrasound in Medicine: Guidelines for the Performance of the Antepartum Obststrical Ultrasound Examination. J Ultrasound Med 1996.
3. Barone CM, Van Natta FC, Kourides IA, et al. Sonographic detection of fetal goiter, an unusual cause of hydramnios. J Ultrasound Med 1985; 4:625.
4. Budorick NE, Pretorius DH, Nelson TR. Sonography of the fetal spine: technique, imaging, findings and clinical implications. AJR 1995; 164: 421-8.
5. Bromley B, Benacerraf BR. Fetal micrognathia: Associated anomalies and outcome. J Ultrasound Med 1994; 13:529.
6. Callen PW. Ultrasonography in obstetrics and gynecology, 4th edition. WB Sauders, Philadelphia 2000.
7. Cash C, Set P, Coleman N. The accuracy of antenatal ultrasound in the detection of facial clefts in a low-risk screening population. Ultrasound Obstet Gynecol 2001 Nov; 18(5):432-6.
8. Chavez MR, Ananth CV, Smulian JC, Yeo L, Oyelese Y, Vintzileos AM. Fetal transcerebellar diameter measurement with particular emphasis in the third trimester: a reliable predictor of gestational age. Am J Obstet Gynecol 2004 Sep; 191(3): 979-84.
9. Chervenak FA, Kurjak A, Comstock CH. Ultrasound and fetal brain. Carnforth, England, Parthenon Press, 1995.
10. D'Addario V. The role of ultrasonography in recognizing the cause of fetal cerebral ventriculomegaly. J Perinat Med 2004; 32(1):5-12. Review.
11. Davila-Gutierrez G. Agenesis and dysgenesis of the corpus callosum. Semin Pediatr Neurol 2002 Dec; 9(4):292-301. Review.
12. Dewbury KC, Meire HB, Cosgrove DO, Farrant P. Clinical Ultrasound. Ultrasound in obstetrics and gynecology. Vol 3, 2nd edition. Churchill Livingstone. London 2000.
13. Ghi T, Perolo A, Banzi C, Contratti G, Valeri B, Savelli L, Morselli GP, Bovicelli L, Pilu G. Two-dimensional ultrasound is accurate in the diagnosis of fetal craniofacial malformation. Ultrasound Obstet Gynecol 2002 Jun; 19(6):543-51.
14. Goodyear PW, Bannister CM, Russell S, Rimmer S. Outcome in prenatally diagnosed fetal agenesis of the corpus callosum. Fetal Diagn Ther 2001 May-Jun; 16(3):139-45.
15. Gross SJ, Bombard AT. Screening for the aneuploid fetus. Obstet Gynecol Clin North Am 1998; 25:573.
16. Hafner E, Sterniste W, Scholler J, et al. Prenatal diagnosis of facial malformations. Prenat Diagn 1997; 17:51.
17. Has R, Ermis H, Yuksel A, Ibrahimoglu L, Yildirim A. Sezer HD, Basaran S. Dandy-Walker malformation: a review of 78 cases diagnosed by prenatal sonography. Fetal Diagn Ther 2004 Jul-Aug; 19(4):342-7. Review.
18. Johnson N, R Sandy J. Prenatal diagnosis of cleft lip and palate. Cleft Palate Craniofac J 2003 Mar; 40(2):186-9. Review.
19. Μακρυδήμας Γ, Λώλης Δ, Νικολαϊδης Κ. Προγεννητική διάγνωση και θεραπεία. Επιστ.εκδόσεις Παρισιάνος Γρ. Αθήνα 1999.
20. Malone FD, D'Alton ME. Congenital Anomalies. Clin in Perinatol 2000; 27(4).
21. Martinelli P, Russo R, Agangi A, Paladini D. Prenatal ultrasound diagnosis of frontonasal dysplasia. Prenat Diagn 2002 May; 22(5):375-9.
22. Mittermayer C, Blaicher W, Brugger PC, Bernaschek G, Lee A. Foetal facial clefts: prenatal evaluation of lip and primary palate by 2D and 3D ultrasound. Ultraschall Med 2004 Apr; 25(2):120.
23. Nicolaides K, Pilu G, Ximenes R, Jeanty P. Diploma in Fetal Medicine. ISUOG Educational Series 2002.
24. Nyberg DA, Silckler GK, Hegge FN, et al. Fetal cleft lip with and without cleft palate: US classification and correlation with outcome. Radiology 1995; 195:677.
25. Okafor CI, Okafor CO, Odike MA. Congenital teratoma of the face. J Obstet Gynaecol 2004 Oct; 24(7):828-9.
26. Paidas MJ, Cohen A. Disorders of the CNS. Semin Perinatol 1994; 18:266.
27. Paladini D, D'Armiento M, Ardovino I, Martinelli P. Prenatal diagnosis of the cerebro-oculo-facio-skeletal (COFS) syndrome. Ultrasound Obstet Gynecol 2000 Jul; 16(1):91-3.
28. Patel TR, Bannister CM, Thorne J. A study of prenatal ultrasound and postnatal magnetic imaging in the diagnosis of central nervous system abnormalities. Eur J Pediatr Surg 2003 Dec; 13(1): S18-22.
29. Peebles DM. Holoprosencephaly. Prenat Diagn 1998; 18:477.
30. Pilu G, Falco P, Milano V, et al. Pranatal diagnosis of microcephaly assisted by vaginal sonography and power Doppler. Ultrasound Obstet Gynecol 1998; 11:357.
31. Pilu G, Nicolaides KH. Diagnosis of fetal abnormalities. The 18-24 week scan. The Parthenon Publishing Group, New York 1999.
32. Rotten D, Levaillant JM. Two- and three-dimensional sonographic assessment of the fetal face. 2. Analysis of cleft lip, alveolus and palate. Ultrasound Obstet Gynecol 2004 Sep; 24(4):402-11.
33. Rotten D, Levaillant JM, Martinez H, Ducou le Pointe H, Vicaut E. The fetal mandible: a 2D and 3D sonographic approach to the diagnosis of retrognathia and micrognathia. Ultrasound Obstet Gynecol 2002 Feb; 19(2):122-30.
34. Sherer DM, Sokolovski M, Dalloul M, Santoso P, Zigalo A, Abulafia O. Fetal Dandy-Walker malformation complicated by late third-trimester unilateral intraventricular hemorrhage. J Ultrasound Med 2004 Jun; 23(6):873-6.
35. Smith AS, Levine D. Appearance of an interhemispheric cyst associated with agenesis of the corpus callosum. AJNR Am J Neuroradiol 2004 Jun-Jul; 25(6):1037-40.
36. Strigini FA, Carmignani A, Genazzani AR. Second trimester sonography and fetal spina bifida screening. Int J Gynaecol Obstet 2003Apr; 81(1): 59-60.
37. Timor-Tritsch IE, Greenebaum E, Monteagudo A, et al. Exencephaly-anencephaly sequence: Proof by ultrasound imaging and amniotic fluid cytology. J Maternal-Fetal Med 1996; 5:182.
38. Thomas M. The lemon sign Radiology 2003 Jul; 228(1):206-7.
39. Twining P, McHugo JM, Pilling DW. Textbook of fetal abnormalities. Churchill Livingstone, London 2000.
40. Ulm B, Ulm Mr, Deutinger j, et al. Dandy-Walker malformation diagnosed before 21 weeks of gestation: Associated malformations and chromosomal abnormalities. Ultrasound Obstet Gynecol 1997; 10:167.
41. Wald M, Lawrenz K, Deutinger J, Weninger M. Verification of anomalies of the central nervous system detected by prenatal ultrasound. Ultraschall Med 2004 Jun; 25(3):214-7.
42. Yoder PR, Sabbagha RE, Gross SJ, Zelop CM. The second trimester fetus with isolated choroids plexus cysts: a meta-analysis of risk of trisomies 18 and 21. Obstst.Gynecol 1999; 93:869-872.

 

HOMEPAGE


<<< Προηγούμενη σελίδα