ΑNAΣΚΟΠΗΣΗ
Η Doppler υπερηχογραφία στην κύηση
Μ. Παπαδοπούλου
Γ. Φαρμακίδης
Αλληλογραφία:
ΣΤ΄ Μ/Γ Κλινική, Μονάδα
Εμβρυομητρικής Ιατρικής
Περ. Γεν. Ν. Μαιευτ. "Ελενα Βενιζέλου"
Κατατέθηκε: 15/04/2005
Εγκριθηκε: 25/04/2005
Περίληψη
Η Doppler υπερηχoγραφία είναι μία τεχνική με την oπoία εκτιμάται η αιματική
ρoή και έμμεσα η αιμάτωση oργάνων. Στην Μαιευτική εφαρμόζεται για μελέτη των
μητριαίων αρτηριών, των oμφαλικών αγγείων καθώς και των εμβρυϊκών αγγείων. Η
Doppler υπερηχoγραφία παρέχει αξιόλoγες πληρoφoρίες σε παθoλoγικές καταστάσεις
της κύησης και συγκεκριμένα σε ενδoμήτρια καθυστέρηση της ανάπτυξης, πρoεκλαμψία,
εμβρυϊκή αναιμία, αυτoάνoσα νoσήματα κατά την κύηση, πρόωρη ρήξη των υμένων,
σακχαρώδη διαβήτη της εγκυμoσύνης και παράταση της κύησης.
Όρoι ευρετηρίoυ: Doppler υπερηχoγραφία, κύηση.
ΕΙΣΑΓΩΓΗ
Η είσοδος της υπερηχογραφίας στη Μαιευτική - Γυναικολογία, πραγματοποιήθηκε
το 1958 από τον Ian Donald και τους συνεργάτες του. Από τότε έως σήμερα, εξαιτίας
της τεράστιας προόδου που έχει πραγματοποιηθεί, τόσο σε τεχνολογικό, όσο και
σε διαγνωστικό επίπεδο, την έχουν καταστήσει αναπόσπαστο εργαλείο στην καθημέρα
άσκηση της Μαιευτικής - Γυναικολογίας.
Σπουδαίο τμήμα της μαιευτικής υπερηχογραφίας, αποτελεί η τεχνική Doppler, με
την οποία μπορεί να εκτιμηθεί η αιματική ροή και είναι δυνατός ο άμεσος προσδιορισμός
της παρουσίας και της διεύθυνσης αυτής. Επιπλέον, δίδονται πληροφορίες για την
ταχύτητα ροής και την αιμάτωση ενός οργάνου, που στη Μαιευτική αφορά στις μητριαίες
αρτηρίες (μητέρα), την εμβρυοπλακουντική κυκλοφορία και τέλος, τα ομφαλικά αγγεία
και τις εμβρυικές αρτηρίες (έμβρυο).
ΑΡΧΕΣ ΚΑΙ ΜΕΘΟΔΟΙ
Η Doppler υπερηχογραφία βασίζεται στο φαινόμενο Doppler, το οποίο περιγράφτηκε
από τον Christian Doppler, από όπου πήρε και το όνομά του.
Με απλά λόγια, το παραπάνω φαινόμενο βασίζεται στην παρατήρηση ότι, ο ήχος μίας
πηγής είναι οξύτερος όταν αυτή μας πλησιάζει και γίνεται πιο βαθύς όταν μας
προσπερνάει και απομακρύνεται. Δηλαδή, βασίζεται στην αλλαγή της παρατηρούμενης
συχνότητας ενός κύματος λόγω κίνησης της πηγής ή του στόχου.
Όταν υψηλής συχνότητας κύματα προσπίπτουν σε σταθερή επιφάνεια, η ανακλώμενη
δέσμη κυμάτων (υπερήχων) έχει ουσιαστικά την ίδια συχνότητα ή μήκος κύματος
με τα προσπίπτοντα κύματα.
Αν, εντούτοις, η ανακλώσα επιφάνεια κινείται, όπως π.χ. είναι τα αιμοσφαίρια
στην περίπτωση εφαρμογής των υπερήχων στη διαγνωστική των αγγείων, η συχνότητα
του ήχου που οπισθοσκεδάζεται, αλλάζει. Η αλλαγή στη συχνότητα είναι ανάλογη
της ταχύτητας της ανακλώσας επιφάνειας και ονομάζεται "μετατόπιση Doppler".
Στις κλινικές εφαρμογές, το φαινόμενο Doppler είναι το πλέον χρήσιμο για την
εκτίμηση της αιματικής ροής. Όταν η υπερηχητική δέσμη περνά διαμέσου ενός αγγείου,
μικρές ποσότητες υπερηχητικής ενέργειας συναντούν τα ερυθρά αιμοσφαίρια και
σκεδάζονται προς όλες τις διευθύνσεις. Αν τα ερυθρά αιμοσφαίρια κινούνται ως
προς τον ανιχνευτή, το φαινόμενο Doppler προκαλεί τη μεταβολή της συχνότητας
της οπισθοσκεδαζόμενης ενέργειας. Το μέγεθος και η διεύθυνση αυτής της μετατόπισης
είναι ανάλογα της ταχύτητας και της διεύθυνσης της κίνησης των ερυθρών αιμοσφαιρίων
σε σχέση με τον ανιχνευτή. Τα δεδομένα της μετατόπισης Doppler καταγράφονται
ως γραφική παράσταση της κατανομής των συχνοτήτων Doppler στο χρόνο. Δηλαδή,
απεικονίζεται η μεταβολή στο χρόνο, των συχνοτήτων Doppler που ανιχνεύονται.
Το φάσμα συχνοτήτων παράγεται από την εφαρμογή του μαθηματικού μετασχηματισμού
Fourier στις κυματομορφές των ανακλάσεων.
| Φυσιολογικές τιμές ομφαλικής αρτηρίας σε διάφορες ηλικίες κυήσεως (n=71) | |||
| Indices | Mean | SD | Range=Mean 2SD |
| RI1 |
0.73 | 0.06 | 0.61-0.85 |
| RI2 |
0.70 | 0.06 | 0.56-0.82 |
| RI3 |
0.65 | 0.09 | 0.47-0.81 |
| PI1 |
1.26 | 0.20 | 0.86-0.166 |
| PI2 |
1.13 | 0.18 | 0.77-1.49 |
| PI3 |
1.00 | 0.21 | 0.58-1.42 |
| S/D1 |
3.87 | 0.74 | 2.39-5.35 |
| S/D2 |
3.57 | 0.69 | 2.19-4.95 |
| S/D3 |
3.15 | 0.75 | 1.65-4.65 |
| 1 = 20 Weeks, 2 = 28 Weeks, 3 = 34 Weeks | |||
ΔΕΙΚΤΕΣ DOPPLER
(εικόνα 1)
- Ο δείκτης παλμικότητας (PI).
- Ο δείκτης αντίστασης (RI).
- Το πηλίκο συστολικού - διαστολικού κύματος (S/D).
Οι παραπάνω δείκτες υπολογίζονται ως εξής: PI=S-D/A, RI=S-D/S.
S: Μέγιστη ταχύτητα στη συστολή.
D: Ελάχιστη ταχύτητα στη διαστολή.
A: Μέση τιμή της ταχύτητας κατά τη διάρκεια ενός καρδιακού κύκλου.

Εικόνα 1. Δείκτες Dοppler.
ΕΙΔΗ
Ένας αριθμός μεθόδων απεικόνισης με Doppler έχει χρησιμοποιηθεί προκειμένου
να δοθούν πληροφορίες για την ανατομία του αγγείου σε συνδυασμό με τη ροή αίματος.
Doppler υπερηχογραφία
συνεχούς κύματος (CW)
Το CW επιστρέφει σήμα από όλα τα αγγεία που βρίσκονται στο δρόμο του κύματος,
χωρίς όμως να είναι δυνατόν να εντοπιστεί η ακριβής θέση των ταχυτήτων εντός
του κύματος και δεν μπορεί έτσι να χρησιμοποιηθεί για την παραγωγή έγχρωμων
εικόνων ροής. Η σωστή εκτίμηση και η αναπαραγωγικότητα των αποτελεσμάτων εξαρτάται
από το χειριστή (εικόνα 2).

Εικόνα 2. Doppler υπερηχογραφία συνεχούς κύματος (CW).
Doppler υπερηχογραφία
παλμικού κύματος (PULSED WAVE DOPPLER, PW)
Οι κατά παλμούς Doppler συσκευές, εκπέμπουν παλμούς υπερήχων σε κανονικό ρυθμό
επανάληψης, δηλαδή με συγκεκριμένη συχνότητα επανάληψης παλμού. Οι παλμοί απέχουν
μεταξύ τους τόσο, ώστε νέος παλμός δεν διαδίδεται μέχρι οι ανακλάσεις του προηγούμενου
παλμού έχουν επιστρέψει (εικόνα 3). Το PW δεν δείχνει κατεύθυνση ροής ή διαφορετική
ταχύτητα, αλλά χρησιμοποιείται για να αυξάνει την ευαισθησία σε χαμηλές ροές
και ταχύτητες που υπάρχουν στα μικρά αγγεία.

Εικόνα 3. Doppler υπερηχογραφία παλμικού κύματος (PULSED WAVE DOPPLER, PW).
Έγχρωμη Doppler
υπερηχογραφία
Η έγχρωμη απεικόνιση αποτελεί την τελευταία κατάκτηση στην Doppler υπερηχογραφία.
Συνδυάζει υψηλής διακριτικής ικανότητας απεικόνιση του ιστού, με ταυτόχρονη
αποτύπωση πληροφοριών ροής, καθώς και κλασσική φασματοσκοπική ανάλυση Doppler.
Η έγχρωμη υπερηχογραφία δίδει τη δυνατότητα για λεπτομερή, μη επεμβατική αποτύπωση
τόσο της μορφολογίας, όσο και της λειτουργίας που αντανακλάται στην αιμάτωση
των οργάνων.
Η ανάπτυξη της τεχνολογίας του έγχρωμου Doppler έγινε από την κλινική ανάγκη
του προσδιορισμού της μορφολογικής κατάστασης των τοιχωμάτων του αγγείου, την
παρουσία και τη διεύθυνση της ροής του αίματος και την αξιολόγηση της αιμάτωσης
των οργάνων. Μια μορφή έγχρωμων Doppler, το Power Doppler, χρησιμοποιείται πλέον
με μεγάλη επιτυχία. Το Power Doppler δεν δείχνει την κατεύθυνση ροής ή τη διαφορά
των ταχυτήτων, αλλά αυξάνει την ευαισθησία σε χαμηλές ροές και ταχύτητες. Τα
πλεονεκτήματα είναι: η μεγαλύτερη ευαισθησία σε μικρές ταχύτητες ροής και μικρότερα
αγγεία, η ανεξαρτησία της από τη γωνία πρόσπτωσης, η αποφυγή ψευδούς μετατόπισης
(aliasing), η βελτιωμένη διευκρίνιση μεταξύ του ρέοντος αίματος και του τοιχώματος
του αγγείου.
Η DΟPPLER ΥΠΕΡΗΧΟΓΡΑΦΙΑ ΣΤΗΝ ΚΥΗΣΗ
ΑΡΤΗΡΙΕΣ
Μητριαία αρτηρία
Καταρχήν, το πρώτο αγγείο που εξετάζεται είναι η μητριαία αρτηρία της μητέρας,
όπου κατά τη διάρκεια της κύησης, η αντίσταση ροής ελαττώνεται. Η αρχική πτώση
γίνεται μεταξύ των 24-26 εβδομάδων της κύησης και οφείλεται στην τροφοβλαστική
διείσδυση των σπειροειδών αρτηριών, ενώ το γεγονός ότι η ελάττωση αυτής της
αντίστασης συνεχίζεται, πιθανόν να εξηγείται από ορμονικούς παράγοντες που δρουν
στην ελαστικότητα των αρτηριακών τοιχωμάτων. Η χαρακτηριστική φυσιολογική κυματομορφή
των μητριαίων έχει υψηλή διαστολική ροή, ενώ απουσιάζουν οι εγκοπές στην αρχή
της (εικόνα 4). Για να ληφθεί η κυματομορφή της μητριαίας αρτηρίας τοποθετείται
ο ηχοβολέας στην παραμήτρια περιοχή και περιστρέφεται η κεφαλή, ώστε να βρεθεί
η μητριαία αρτηρία που ξεκινά από την έξω λαγόνια αρτηρία.
![]() |
|
| Εικόνα 4. Η Doppler υπερηχογραφία στην κύηση. Μητριαία αρτηρία. | Εικόνα 5. Ομφαλική αρτηρία. |
Ομφαλική αρτηρία
Είναι το πρώτο εμβρυικό αγγείο που μελετήθηκε με το Doppler. Ο ομφάλιος λώρος,
για τη μεν ομφαλική αρτηρία έχει τη χαρακτηριστική οδοντωτή μορφή προς τη μια
κατεύθυνση, ενώ για την ομφαλική φλέβα, συνεχή ροή προς την άλλη (εικόνα 5).
Η λήψη προτιμάται να γίνεται από ένα ελεύθερο τμήμα του λώρου, μακριά από την
αρχή ή το τέλος του. Ο δείκτης παλμικότητας ελαττώνεται όσο προχωρούμε από την
εμβρυική πλευρά προς την πλακουντιακή. Η ροή στην ομφαλική φλέβα αυξάνεται με
την εισπνοή και ελαττώνεται με την εκπνοή, ενώ επίσης ανάλογες αλλαγές υπάρχουν
και στο δείκτη παλμικότητας της ομφαλικής αρτηρίας, οπότε καλό είναι να αποφεύγεται
η εξέταση κατά τη διάρκεια της εμβρυικής αναπνοής. Με την πρόοδο της κύησης
αυξάνεται η τελοδιαστολική ταχύτητα ενώ ελαττώνονται οι δείκτες αντίστασης.
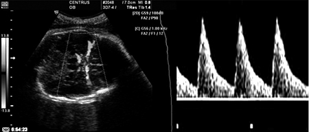
Εγκεφαλικές αρτηρίες
Με το Doppler εξετάζονται οι κύριες εγκεφαλικές αρτηρίες, όπως η έσω καρωτίδα,
η μέση εγκεφαλική, η πρόσθια και η οπίσθια εγκεφαλική (εικονα 6). Η πιο συχνά
εξεταζόμενη αρτηρία είναι η μέση εγκεφαλική, όπου το PI είναι σημαντικά μεγαλύτερο
από εκείνο των άλλων εγκεφαλικών αρτηριών (εικόνα 7). Με την πρόοδο της ηλικίας
της κύησης αυξάνεται η ταχύτητα ροής του αίματος, όπου συνεπάγεται ελάττωση
του PI.
![]() |
|
| Εικόνα 6. Εγκεφαλικές αρτηρίες. | Εικόνα 7. Μέση εγκεφαλική αρτηρία |
Κατιούσα αορτή του εμβρύου
Η Doppler εξέταση γίνεται στο τμήμα άνωθεν του διαφράγματος, με γωνία 45°.
Το χαρακτηριστικό της κατιούσας αορτής είναι ότι ο δείκτης παλμικότητας παραμένει
σταθερός κατά την κύηση (εικόνα 8). Οι ταχύτητες ροής της κατιούσας αορτής είναι
το άθροισμα της ροής αίματος και της αντίστασης στη ροή των νεφρών, των άλλων
κοιλιακών οργάνων της μηριαίων αρτηριών και του πλακούντα. Το 50% του αίματός
της διανέμεται στην κατιούσα και στην ομφαλική αρτηρία. Αν και όπως προαναφέρθηκε
το PI της ομφαλικής ελαττώνεται, αυτό της κατιούσας αορτής παραμένει σταθερό,
λόγω αγγειοσύσπασης που συμβαίνει ιδίως στα άκρα.

Εικόνα 8. Κατιούσα αορτή του εμβρύου.
Νεφρικές αρτηρίες
Στις νεφρικές αρτηρίες, οι διαστολικές ταχύτητες είναι απούσες μέχρι την 34η
εβδομάδα της κύησης και στη συνέχεια αυξάνει σημαντικά με την αύξηση της ηλικίας
κύησης. Το PI ελαττώνεται γραμμικώς με την κύηση, αποδεικνύοντας πτώση της αντίστασης
ροής και αύξηση της νεφρικής διήθησης. Αυτή πιθανόν είναι η αιτία της αυξημένης
παραγωγής ούρων από το έμβρυο, με την πρόοδο της ηλικίας κύησης.
ΦΛΕΒΕΣ
Η τυπική κυματομορφή των φλεβών αποτελείται από τρεις φάσεις (εικόνα 9). Αυτή
της διαφοράς υψηλής πίεσης μεταξύ της φλέβας και του δεξιού κόλπου, που συμβαίνει
κατά τη διάρκεια της συστολής της κοιλίας (S) και που στη συνέχεια οδηγεί σε
μεγαλύτερες ταχύτητες ροής. Την πρώιμη διαστολική φάση (D) με το άνοιγμα των
κολποκοιλιακών βαλβίδων και το παθητικό γέμισμα των κοιλιών και τέλος το ναδίρ
της ταχύτητας ροής, που συμβαίνει με τη συστολή του κόλπου κατά την όψιμη διαστολική,
όπου κλείνει το ωοειδές τρήμα για να μην εισέλθει αίμα στον αριστερό κόλπο.

Εικόνα 9. Απεικόνιση φλεβών.
Η DΟPPLER ΥΠΕΡΗΧΟΓΡΑΦΙΑ ΣΤΗΝ ΠΑΘΟΛΟΓΙΑ ΤΗΣ ΚΥΗΣΗΣ
ΕΝΔΟΜΗΤΡΙΑ ΚΑΘΥΣΤΕΡΗΣΗ
ΑΝΑΠΤΥΞΗΣ - ΠΡΟΕΚΛΑΜΨΙΑ
Μελέτες που έχουν πραγματοποιηθεί παγκοσμίως, συσχέτισαν τις παθολογικές μετρήσεις
στα Doppler των μητριαίων αρτηριών και των ομφαλικών με παθολογικές καταστάσεις,
όπως η προεκλαμψία και η καθυστέρηση της ενδομήτριας ανάπτυξης.
Μείωση της ροής στις μητριαίες αρτηρίες (αύξηση των αντιστάσεων), συσχετίζεται
με αυξημένη πιθανότητα εμφάνισης προεκλαμψίας και καθυστέρηση της ενδομήτριας
ανάπτυξης.
Αύξηση των αντιστάσεων στις μητριαίες αρτηρίες στην 24η εβδομάδα κυήσεως, ανευρίσκεται
σε ποσοστό 5% των κυήσεων όπου πραγματοποιείται έλεγχος ρουτίνας.
Το παθολογικό Doppler συσχετίζεται με την εμφάνιση βαρείας προεκλαμψίας και
η ευαισθησία της μεθόδου είναι κοντά στο 75%, ενώ αναφαίνεται με την αύξηση
των αντιστάσεων και την παρουσία κομβίων (notch) στην απεικόνιση της κυματομορφής.
Η αύξηση των αντιστάσεων στις μητριαίες αρτηρίες αποκαλύπτει σε ποσοστό 30%
τα έμβρυα που θα αναπτύξουν καθυστέρηση της ενδομήτριας ανάπτυξης. Το παθολογικό
Doppler αποτελεί καλύτερο στοιχείο για την αποκάλυψη βαρείας ενδομήτριας καθυστέρησης
(βάρος γέννησης κάτω της 3ης εκατοστιαίας θέσης ή ενδομήτρια καθυστέρηση που
απαιτεί τοκετό προ της 35ης εβδομάδας κυήσεως).
Στο έμβρυο ανευρίσκουμε αύξηση της παροχής αίματος προς τον εγκέφαλο (μείωση
των αντιστάσεων στις εγκεφαλικές αρτηρίες, με συνοδό μείωση του δείκτη παλμικότητας).
Παράλληλα, οι αντιστάσεις στην ομφαλική αρτηρία αυξάνονται, με αύξηση των αντιστάσεων
και στην αορτή, που αυτό οφείλεται στον περιφερικό αγγειόσπασμο που δημιουργείται
προκειμένου να προφυλαχθούν τα ευγενή όργανα. Με την περαιτέρω μείωση της ανάπτυξης
και της εμβρυικής δυσπραγίας, παρατηρείται παθολογικό κύμα στο φλεβικό πόρο
και επέρχεται καρδιακή ανεπάρκεια στο έμβρυο, με τελικό αποτέλεσμα τον ενδομήτριο
θάνατο.
Όταν παρατηρήσουμε τα παραπάνω, δηλαδή στοιχεία αγγειόσπασμου στο έμβρυο, παθολογικό
κύμα στο φλεβικό πόρο, τα οποία οδηγούν σε παθολογικό NST (non stress test),
τότε θα πρέπει να προβούμε σε τοκετό.
![]() |
|
![]() |
![]() |
| Εικόνα 10. Παθολογικά Doppler μητριαίων και ομφαλικών αρτηριών | |
ΕΜΒΡΥΙΚΗ ΑΝΑΙΜΙΑ
Η Rhesus ευαισθητοποίηση αποτελεί τη συχνότερη αιτία εμβρυικής αναιμίας. Οι
αντιστάσεις τόσο στις μητριαίες αρτηρίες, όσο και στις ομφαλικές, είναι φυσιολογικές,
λόγω του γεγονότος ότι δεν επηρεάζεται η πλακουντιοποίηση στην παραπάνω κατάσταση.
Ο δείκτης παλμικότητας (ΡΙ) είναι και αυτός φυσιολογικός τόσο στη μέση εγκεφαλική
αρτηρία, όσο και στην αορτή και στις νεφρικές αρτηρίες.
Όσο, όμως, η αναιμία γίνεται βαρύτερη, οδηγεί σε υπερδυναμική κυκλοφορία, με
αποτέλεσμα να οδηγηθεί το έμβρυο σε καρδιακή ανεπάρκεια κατά τα τελικά στάδια.
Τότε έχουμε παθολογικό Doppler, με αύξηση της ΡΙ ή ακόμη και επεκτείνεται η
αντιστροφή των ταχυτήτων στο φλεβώδη πόρο, αυξάνοντας το S/A λόγω ελάττωσης
του Α.
Η βοήθεια του Doppler στην παραπάνω παθολογική κατάσταση είναι σημαντική, εξαιτίας
του γεγονότος ότι, από τη στιγμή που θα έχουμε παθολογικές τιμές, η ανάγκη για
ομφαλοκέντηση ανέρχεται στο 70%. Αποτέλεσμα αυτού είναι η μείωση των μη απαραίτητων
ομφαλοκεντήσεων, με συνοδό αποφυγή των επιπλοκών που την ακολουθούν.
ΑΥΤΟΑΝΟΣΑ ΝΟΣΗΜΑΤΑ
Ο ερυθηματώδης λύκος αποτελεί το συχνότερο αυτοάνοσο νόσημα, το οποίο συσχετίζεται
με εμφάνιση προεκλαμψίας και ενδομήτριας καθυστέρησης της ανάπτυξης. Τα ευρήματα
με την τεχνική Doppler, είναι αυτά που προαναφέρθηκαν στο αντίστοιχο κεφάλαιο
για τις παραπάνω νοσολογικές καταστάσεις.
Το αντιφωσφολιπιδικό σύνδρομο αποτελεί και αυτό μία νοσολογική κατάσταση της
μητέρας που μπορεί να μας δώσει παθολογικό Doppler, λόγω των θρομβώσεων που
προκαλεί στη μητροπλακουντιακή κυκλοφορία και των πλακουντιακών εμφράκτων. Αποτέλεσμα
αυτών είναι οι αποβολές, η ενδομήτρια καθυστέρηση της ανάπτυξης και η προεκλαμψία.
Στο Doppler, αυτό φαίνεται με αύξηση των αντιστάσεων στις ομφαλικές αρτηρίες
και στις μητριαίες.
ΠΡΟΩΡΗ ΡΗΞΗ
ΥΜΕΝΩΝ
Η πρόωρη ρήξη των υμένων, όπως είναι γνωστό, αυξάνει την πιθανότητα για πρόωρο
τοκετό, λόγω των ενδομήτριων λοιμώξεων, όπως και για νεογνικό θάνατο, λόγω της
πνευμονικής υποπλασίας.
Η χρήση του Doppler σε αυτή την παθολογική κατάσταση, αφορά στη διερεύνηση της
πνευμονική υποπλασίας, μετρώντας τις αντιστάσεις στις περιφερικές πνευμονικές
αρτηρίες, οι οποίες ευρίσκονται αυξημένες όταν αυτή υπάρχει.
ΣΑΚΧΑΡΩΔΗΣ ΔΙΑΒΗΤΗΣ
ΤΗΣ ΚΥΗΣΕΩΣ
Η εγκυμοσύνη θεωρείται διαβητογόνος παράγοντας και αυτό οφείλεται στις ορμονολογικές
μεταβολές που πραγματοποιούνται κατά τη διάρκειά της.
Ο διαβήτης συσχετίζεται με αυξημένο κίνδυνο για εμβρυικό θάνατο (5%), με μακροσωμία
(20%), με υδράμνιο (13%), με προεκλαμψία (12%) και με πρόωρο τοκετό (9%).
Κατά τη μελέτη με τη Doppler τεχνική, οι αντιστάσεις στις μητριαίες αρτηρίες
είναι συνήθως φυσιολογικές, ακόμη και όταν συνυπάρχει αγγειοπάθεια της μητέρας
λόγω του διαβήτη. Όταν υπάρχουν παθολογικά Doppler, τότε αυξάνει ο κίνδυνος
για την εμφάνιση προεκλαμψίας και καθυστέρηση της ενδομήτριας ανάπτυξης.
Όταν υπάρχει διαταραχή του σακχάρου του εμβρύου, που προκαλεί κέτωση, τα Doppler
στην ομφαλική αρτηρία και στη μέση εγκεφαλική είναι ανάλογα με αυτά που ανευρίσκουμε
κατά την υποξαιμία λόγω μητροπλακουντιακής ανεπάρκειας. Σε αυτή την κατάσταση
θα πρέπει να προβούμε σε τοκετό.
Εικόνα 11. Αύξηση της PI σε εμβρυική αναιμία.
ΠΑΡΑΤΑΣΗ ΚΥΗΣΕΩΣ
Το ποσοστό εμφάνισης κυμαίνεται στο 10% των κυήσεων και συσχετίζεται με αυξημένο
κίνδυνο για ενδομήτριο και νεογνικό θάνατο. Παρατηρείται ολιγοϋδράμνιο, το οποίο
μάλλον οφείλεται σε μείωση της άρδευσης των νεφρών, λόγω μείωσης της αιματικής
ροής.
Η μελέτη με την τεχνική του Doppler, αποσκοπεί στην εύρεση αυτών των στοιχείων
που θα μας δώσουν ενδείξεις για την ύπαρξη εμβρυικού stress.
Έρευνες που έχουν γίνει, δεν ανέδειξαν αλλαγές στις μετρήσεις των μητριαίων
αρτηριών. Στις ομφαλικές, οι αντιστάσεις ευρίσκονται φυσιολογικές ή αυξημένες.
Στη μέση εγκεφαλική αρτηρία μπορεί να παρατηρηθεί μείωση των αντιστάσεων. Όταν
συνυπάρχει ολιγοϋδράμνιο, οι αντιστάσεις στις νεφρικές αρτηρίες ευρίσκονται
αυξημένες.
Στις καταστάσεις εκείνες που αναγνωρίζουμε στοιχεία δυσπραγίας του εμβρύου,
θα πρέπει να ακολουθεί τοκετός.
ΣΥΜΠΕΡΑΣΜΑΤΑ
Το Doppler αποτελεί ένα πανίσχυρο εργαλείο σε έμπειρα χέρια, με το οποίο μπορούμε
να διαβλέψουμε νοσηρές καταστάσεις που επηρεάζουν το αποτέλεσμα της κυήσεως.
Για το λόγο αυτό, θα πρέπει κάθε Μαιευτήρας - Γυναικολόγος να το περιλάβει στο
πρωτόκολλο παρακολούθησης της κυήσεως. Με τα στοιχεία που μπορούμε να συλλέξουμε
από αυτήν την τεχνική, η παρακολούθηση της εγκυμοσύνης μπορεί να γίνει πιο ασφαλής,
τόσο για τη μητέρα, όσο και για το έμβρυο.
Summary
Papadopoulou M, Farmakides G.
Doppler ultrasonography in pregnancy.
Hellen Obstet Gynecol 17(2): 179-185, 2005
Doppler sonography is a method used to evaluate blood flow. In Obstetrics it is implemended in order to study uterine arteries, umbilical vessels, as well as fetal vessels. Doppler sonography provides important information in pregnancy problems, such as intrauterine growth retardation, preeclapsia, fetal anemia, autoimmune diseases, premature rapture of membranes, gestational diabetes and prolonged pregnancy.
Κey words: Doppler ultrasonography, pregnancy.
ΒΙΒΛΙΟΓΡΑΦΙΑ
1. Fitzgerald DE, Drumm JE. Non-invasive measurements for fetal circulation
using ultrasound: a new method. Br Med J 1977; 2:1450.
2. Burns PN. The physics of Doppler, 1993.
3. Reid JM, Spencer MP. Ultrasonic Doppler technique for imaging of blood vessels.
Science 1972; 176:1235.
4. Campbell S, Diaz-Recasens J, Griffin DR, et al. New Doppler technique for
assessing blood flow. Lancet 1983; 1:675.
5. Farrell T, Chien PF, Mires GJ. The reliability of the detection of an early
diastolic notch with uterine artery Doppler velocimetry. Br J Obstet Gynecol
1998; 12:260.
6. North RA, Ferrier C, Long D, et al. Uterine artery Doppler flow velocity
waveforms in the second trimester for the prediction of preeclamsia and fetal
growth retardation. Obstet Gynecol 1994; 83:378.
7. Trudinger B. Umbilical artery blood flow. Ultrasound in obstetrics and genecology.
Boston, Little, Brown, & Co 1993; 597.
8. Trudinger BJ, Giles WB, Cook CM, et al. Fetal umbilical artery flow velocity
waveforms and placental resistance: Clinical significance. Br J Obstet Gynecol
1985; 92:23.
9. Crebs C, Macara LM, Leicer R, et al. Intrauterine growth restriction with
absent end-diastolic flow velocity in the umbilical artery is associated with
maldevelopment of the placental terminal vilus tree. Am J Obstet Gynecol 1996;
175:1534.
10. Alfirevic Z, Neilson GP. Doppler ultrasonography in high-risk pregnancies:
systematic review in meta-analysis. Am J Obstet Gynecol 1995; 172:1379.
11. Wladimiroff JW, Tonge HM, Stewart PA. Doppler ultrasound assessment of cerebral
blood flow in the human fetus. Br J Obstet Gynecol 1986; 93:471.
12. Mari G, Deter RL. Middle cerebral artery flow velocity waveforms in normal
and small-for-gestational-age fetuses. Am J Obstet Gynecol 1992; 166:1262.
13. Vyas S, Nicolaides KH, Bower S, et al. Middle cerebral artery flow velocity
waveforms in fetal hypoxaemia. Br J Obstet Gynecol 1990; 97:797.
14. Camblell S, Vyas S, Nicolaides KH. Doppler investigation of the fetal circulation.
J Perin Med 1991; 19:21.
15. Mitchell JM, Robets AB, Lee A. Doppler waveforms from the pulmonary arterial
system in normal fetuses and pulmonary hypoplasia. Ultrasound Obstet Gynecol
1998; 11:167.
16. Kiserud T, Eik-Nes SH, Blaas HG, et al. Ultrasonographic velocimetry of
the fetal ductus venosus. Lancet 1991; 338:1412.
17. Chappel L, Bewley S. Pre-eclamptic toxaemia: The role of uterine artery
Doppler. Br J Obstet Gynecol 1998; 105:379.
18. Bilardo CM, Nicolaides KH, Camblell S, et al. Doppler studies in red-cells
immunization. Clin Obstet Gynecol 1989; 32:719.