Ε. Ασημακόπουλος[1]
Μ. Ζαφράκας[1]
Α. Αθανασιάδης[1]
Ε. Μπίλη[1]
Δ. Ζαφειρίου[2]
Ι. Μπόντης[1]
[1]Α΄ Μαιευτική-Γυναικολογική
Κλινική Α.Π.Θ., Ιπποκράτειο Γ.Π.Ν.Θ.
[2]A΄ Παιδιατρική Κλινική Α.Π.Θ.,
Ιπποκράτειο Γ.Π.Ν.Θ.
Αλληλογραφία:
Ε. Ασημακόπουλος
Αναπληρωτής Καθηγητής Μαιευτικής-Γυναικολογίας
Α' Μαιευτική-Γυναικολογική Κλινική Α.Π.Θ.
Ιπποκράτειο Γ.Π.Ν.Θ.
Κωνσταντινουπόλεως 49
54642 Θεσσαλονίκη
Τηλ.: 2310-892114
Fax: +30-2310-992890.
Κατατέθηκε: 1/9/2003
Εγκρίθηκε: 27/11/2003
Περίληψη
Το μεσολόβιο ή τυλώδες σώμα αποτελεί τη μεγαλύτερη δέσμη νευρικών ινών που συνδέει
μεταξύ τους τα δύο ημισφαίρια του εγκεφάλου. Η αγενεσία του μεσολοβίου είναι
μία σχετικά σπάνια ανωμαλία, η οποία μπορεί να ανευρεθεί είτε ως μεμονωμένη
βλάβη, είτε να συνυπάρχει με άλλες συγγενείς ανωμαλίες, πολλές φορές στα πλαίσια
κάποιου συνδρόμου. Η διάγνωση της αγενεσίας του μεσολοβίου τίθεται συνήθως με
το υπερηχογράφημα δευτέρου επιπέδου στο δεύτερο τρίμηνο της εγκυμοσύνης (18-23
εβδομάδες). Το πρόσθιο μέρος του μεσολοβίου γίνεται ορατό στους υπερήχους από
την 16η εβδομάδα της εγκυμοσύνης σε στεφανιαία ή οβελιαία διατομή, ενώ αργότερα
το μεσολόβιο καθίσταται ορατό σε όλο το μήκος του σε οβελιαία διατομή. Στην
κλασική εγκάρσια διατομή του εγκεφάλου, στην οποία απεικονίζονται οι πλάγιες
κοιλίες και γίνεται η μέτρηση των BPD, OFD και HC δεν είναι ορατό το μεσολόβιο,
αλλά την απουσία του υποδηλώνουν έμμεσα υπερηχογραφικά στοιχεία. Παρουσιάζονται
δύο περιπτώσεις προγεννητικής υπερηχογραφικής διάγνωσης της αγενεσίας του μεσολοβίου
και γίνεται ανασκόπηση της σχετικής βιβλιογραφίας.
ΕΙΣΑΓΩΓΗ
Το μεσολόβιο ή τυλώδες σώμα (corpus callosum) αποτελεί τη μεγαλύτερη δέσμη νευρικών
ινών που συνδέει μεταξύ τους τα δύο ημισφαίρια του εγκεφάλου. Η αγενεσία του
μεσολοβίου συχνά συνυπάρχει με άλλες συγγενείς ανωμαλίες, πολλές φορές στα πλαίσια
κάποιου συνδρόμου. Ωστόσο, μπορεί να ανευρεθεί και ως μεμονωμένη βλάβη, οπότε
έχει σχετικά καλύτερη πρόγνωση.(1,2)
Η συχνότητα της αγενεσίας ή της δυσπλασίας του μεσολοβίου ποικίλλει ανάλογα
με την πληθυσμιακή ομάδα, στην οποία πραγματοποιήθηκαν οι αντίστοιχες πληθυσμιακές
μελέτες. Στο γενικό πληθυσμό υπολογίζεται ότι είναι γύρω στο 0,3%,(3) ενώ σε
άτομα με νοητική υστέρηση 2-3%.(4) Η αγενεσία του μεσολοβίου σχετίζεται επίσης
με τρισωμίες ή διαταραχές των χρωμοσωμάτων 8, 13 και 18.(5)
Το μεσολόβιο αρχίζει να σχηματίζεται από την 39η ημέρα μετά τη σύλληψη,(6) λαμβάνει
το τελικό του σχήμα στις 115 ημέρες(7) και συνεχίζει να επιμηκύνεται σε όλη
τη διάρκεια της κύησης. Αποτελείται από τρία τμήματα: το πρόσθιο ή γόνυ, το
μεσαίο ή στέλεχος και το οπίσθιο, το οποίο ονομάζεται και σπληνίο.
Το πρόσθιο μέρος του μεσολοβίου ή γόνυ μπορεί να διακριθεί στο υπερηχογράφημα
από την 16η εβδομάδα της εγκυμοσύνης σε στεφανιαία ή οβελιαία διατομή, ως μία
υποηχοϊκή ταινία κατά μήκος της μέσης γραμμής, με υπερηχογενή όρια προς τα πάνω
και προς τα κάτω. Αργότερα καθίσταται ορατό σε όλο το μήκος του σε οβελιαία
διατομή και πάλι με υπερηχογενή όρια προς τα επάνω και προς τα κάτω. Στην εικόνα
1 παρουσιάζεται απεικόνιση φυσιολογικού μεσολοβίου σε έμβρυο 25 εβδομάδων σε
οβελιαία διατομή. Αργότερα, μετά τις 29-30 εβδομάδες γίνεται ορατό σε οβελιαία
διατομή και το προσαγωγίο, μία τοξοειδής δέσμη λευκής ουσίας με πορεία παράλληλη
με το μεσολόβιο. Επιπρόσθετα, στην ίδια διατομή είναι ορατή και η περιμεσολοβιακή
αρτηρία, στο άνω τμήμα και σε όλο το μήκος του μεσολοβίου.
Παρουσιάζουμε δύο περιπτώσεις προγεννητικής υπερηχογραφικής διάγνωσης αγενεσίας
του μεσολοβίου. Στην πρώτη περίπτωση επρόκειτο για μεμονωμένη βλάβη, ενώ στη
δεύτερη συνυπήρχαν και άλλες ανατομικές ανωμαλίες.
1.
2.
Eικόνα
1. Aπεικόνιση φυσιολογικού μεσολοβίου σε έμβρυο 25 εβδομάδων σε οβελιαία
διατομή.
Εικόνα
2. Απεικόνιση της απουσίας του μεσολοβίου στην περίπτωση 1, σε οβελιαία
διατομή (σύγκρινε με εικόνα 1).
3.
4.
Εικόνα
3. Στην περίπτωση 1 διακρίνεται το έμμεσο υπερηχογραφικό εύρημα σχήματος
σταγόνας δακρύου (tear drop shape) από τη διάταση των πλαγίων κοιλιών, στην
κλασική εγκάρσια διατομή απεικόνισης των πλαγίων κοιλιών και μέτρησης των BPD,
OFD και HC.
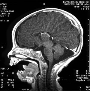
Εικόνα
4. Μαγνητική τομογραφία στην περίπτωση 1, που διακρίνεται η απουσία
του μεσολοβίου σε οβελιαία διατομή.
ΠΕΡΙΠΤΩΣΗ
1
Έγκυος ηλικίας 31 ετών, πρωτοτόκος, προσήλθε για υπερηχογράφημα δευτέρου επιπέδου
στις 22 εβδομάδες της κύησης. Η βιομετρία του εμβρύου ήταν φυσιολογική. Φυσιολογική
ήταν επίσης και η ανατομία του εμβρύου από όλα τα συστήματα, με εξαίρεση την
ανατομία του εγκεφάλου που παρατηρήθηκε απουσία του μεσολοβίου. Στην εικόνα
2 διακρίνεται η απουσία του μεσολοβίου σε οβελιαία διατομή (σύγκρινε με εικόνα
1), ενώ στην εικόνα 3 διακρίνεται το έμμεσο υπερηχογραφικό εύρημα σχήματος σταγόνας
δακρύου (tear drop shape) από τη διάταση των πλαγίων κοιλιών, σε εγκάρσια διατομή.
Ακολούθησε αμνιοπαρακέντηση, και από την εξέταση του αμνιακού υγρού διαπιστώθηκε
ότι το έμβρυο είχε φυσιολογικό καρυότυπο άρρενος (46ΧΥ). Στη μετέπειτα παρακολούθηση
διαπιστώθηκε σταθερά διάταση των οπισθίων κεράτων. Η εγκυμοσύνη συνεχίστηκε
ως την 38η εβδομάδα, οπότε η κύηση περατώθηκε με φυσιολογικό τοκετό, άρρενος,
ζώντος τέκνου, Β.Σ. 3410g. Μετά τον τοκετό η προγεννητική διάγνωση της αγενεσίας
του μεσολοβίου επιβεβαιώθηκε με μαγνητική τομογραφία του εγκεφάλου. Στις εικόνες
4 και 5 παρουσιάζεται η απουσία του μεσολοβίου στη μαγνητική τομογραφία σε οβελιαία
και εγκάρσια διατομή αντίστοιχα. Από την παιδιατρική παρακολούθηση, η ψυχοκινητική
ανάπτυξη του παιδιού είναι ικανοποιητική, το ηλεκτροεγκεφαλογράφημα φυσιολογικό,
όπως και τα οπτικά και ακουστικά προκλητά δυναμικά, ενώ και τα αποτελέσματα
της οφθαλμολογικής εξέτασης κινούνταν στα πλαίσια του φυσιολογικού.
ΠΕΡΙΠΤΩΣΗ
2
Έγκυος 29 ετών, δευτεροτόκος, προσήλθε για υπερηχογράφημα δευτέρου επιπέδου
στις 21 εβδομάδες της κύησης. Αν και η βιομετρία του εμβρύου ήταν φυσιολογική,
παρατηρήθηκαν οι εξής ανατομικές ανωμαλίες: α) απουσία του μεσολοβίου, β) λυκόστομα-λαγόχειλο,
και γ) έλλειψη της παρεγκεφαλίδας με διάταση της μεγάλης δεξαμενής (cisterna
magna). Λόγω του ασύμβατου με τη ζωή ακολούθησε διακοπή της εγκυμοσύνης. Τα
προγεννητικά υπερηχογραφικά ευρήματα επιβεβαιώθηκαν με τη νεκροτομή του εμβρύου.
Στην εικόνα 6 διακρίνεται, όπως και στην εικόνα 3 (της περίπτωσης 1), το έμμεσο
υπερηχογραφικό εύρημα σχήματος σταγόνας δακρύου (tear drop shape) από τη διάταση
των πλαγίων κοιλιών, σε εγκάρσια διατομή. Στην εικόνα 7 διακρίνεται το λυκόστομα-λαγόχειλο,
ενώ στην εικόνα 8 απεικονίζεται ο οπίσθιος κρανιακός βόθρος με την έλλειψη της
παρεγκεφαλίδας και τη διάταση της μεγάλης δεξαμενής.
5.
6.
Εικόνα
5. Μαγνητική τομογραφία στην περίπτωση 1, που διακρίνεται η απουσία
του μεσολοβίου σε εγκάρσια διατομή.
Εικόνα
6. Στην περίπτωση 2 διακρίνεται το έμμεσο υπερηχογραφικό εύρημα σχήματος
σταγόνας δακρύου (tear drop shape) από τη διάταση των πλαγίων κοιλιών, όπως
και στην περίπτωση 1, εικόνα 3.
7.
8.
Εικόνα
7. Στην περίπτωση 2, απεικόνιση της άνω γνάθου με έλλειμα στο μέσον
αυτής. Το στικτό περίγραμμα δείχνει το πως θα ήταν φυσιολογικά η άνω γνάθος.
Εικόνα
8. Στην περίπτωση 2 απεικόνιση του οπίσθιου κρανιακού βόθρου με την
έλλειψη της παρεγκεφαλίδας και τη διάταση της μεγάλης δεξαμενής (cisterna magna).
ΣΥΖΗΤΗΣΗ
Όπως αναφέρθηκε, το γόνυ, δηλαδή το πρόσθιο μέρος του μεσολοβίου, γίνεται ορατό
στους υπερήχους από την 16 εβδομάδα της εγκυμοσύνης σε στεφανιαία ή οβελιαία
διατομή, ως μία υποηχοϊκή ταινία κατά μήκος της μέσης γραμμής, με υπερηχογενή
όρια προς τα επάνω και προς τα κάτω. Αργότερα καθίσταται ορατό σε όλο το μήκος
του σε οβελιαία διατομή και πάλι με υπερηχογενή όρια προς τα επάνω και προς
τα κάτω. Στην εγκάρσια διατομή ωστόσο, το μεσολόβιο δεν είναι ορατό, αλλά σε
αυτήν τη διατομή μπορούμε να υποπτευθούμε την απουσία του. Οι ανατομικές δομές
που μπορούμε να διακρίνουμε σε αυτήν τη διατομή είναι το διαφανές διάφραγμα
(septum pellucidum), τα έσω τοιχώματα των προσθίων κεράτων και οι κόλποι των
πλαγίων κοιλιών.
Ένα σημείο στο υπερηχογράφημα δευτέρου επιπέδου που υποδηλώνει την αγενεσία
του μεσολοβίου σε εγκάρσια διατομή είναι η απουσία του διαφανούς διαφράγματος.
Είναι πολύ σπάνιο το να συνυπάρχει ακέραιο διαφανές διάφραγμα με πλήρη ή μερική
απουσία του μεσολοβίου. Σε μία αναδρομική μελέτη των υπερηχογραφικών ευρημάτων
από 35 έμβρυα με μετέπειτα επιβεβαιωμένη αγενεσία του μεσολοβίου(8) δεν υπήρχε
διαφανές διάφραγμα στις 34 περιπτώσεις, ενώ στην 35η περίπτωση ήταν εμφανές
ότι το διαφανές διάφραγμα δεν ήταν φυσιολογικό. Απουσία του διαφανούς διαφράγματος
υπάρχει στην ολοπροσεγκεφαλία, αλλά η αγενεσία του μεσολοβίου μπορεί να διαφοροδιαγνωστεί
από αυτή την παθολογική οντότητα, καθώς στην αγενεσία του μεσολοβίου δεν υπάρχουν
άλλες διαταραχές στη μέση γραμμή του εγκεφάλου.
Το δεύτερο σημείο-κλειδί, στην εγκάρσια διατομή, στο υπερηχογράφημα δευτέρου
επιπέδου που υποδηλώνει την αγενεσία του μεσολοβίου είναι το λεγόμενο σημείο
της σιδηροδρομικής γραμμής (railroad track sign). Πρόκειται για δύο ζεύγη γραμμών
που βρίσκονται πολύ κοντά η μία στην άλλη, εκατέρωθεν της μέσης γραμμής. Αυτό
το εύρημα μαζί με τη συχνά παρατηρούμενη διάταση των κόλπων των πλαγίων κοιλιών
δίνει στις πλάγιες κοιλίες το χαρακτηριστικό σχήμα σταγόνας δακρύου (tear drop
shape) (εικόνες 3,6).
Υποβοηθητικά υπερηχογραφικά στοιχεία είναι η μετατόπιση της τρίτης κοιλίας προς
τα επάνω στο 35% των περιπτώσεων,(8) η διάταση του οπισθίου κέρατος και των
κόλπων των πλαγίων κοιλιών (κολποκεφαλία), καθώς και η επικοινωνία της τρίτης
κοιλίας με την αύλακα μεταξύ των δύο ημισφαιρίων σε εγκάρσια διατομή.8-11 Επίσης,
στις περισσότερες περιπτώσεις αγενεσίας του μεσολοβίου, τόσο της πλήρους όσο
και της μερικής, παρατηρούνται ανωμαλίες του προσαγωγίου και των άλλων τμημάτων
του λιβιδινικού συστήματος. Αυτές οι ανωμαλίες διακρίνονται στην οβελιαία διατομή
στο τέλος του τρίτου τρίμηνου της εγκυμοσύνης.
Σε ορισμένες περιπτώσεις τα ευρήματα από το υπερηχογράφημα στις 18-20 εβδομάδες
μπορεί να είναι αμφίβολα. Σε αυτές τις περιπτώσεις η επανάληψη του υπερηχογραφήματος
σε 1-2 εβδομάδες μπορεί να επιβεβαιώσει τη διάγνωση. Επίσης, αν υπάρχει αμφιβολία
στη διάγνωση και το έμβρυο βρίσκεται σε κεφαλική προβολή, η διακολπική υπερηχογραφία
μπορεί να βοηθήσει σημαντικά στην καλύτερη απεικόνιση της μέσης γραμμής.
Η διάκριση μεταξύ πλήρους και μερικής αγενεσίας του μεσολοβίου είναι θεωρητικά
δυνατή σε εγκάρσια διατομή, κατά την οποία το πλάγιο τμήμα των προσθίων κεράτων
είναι κυρτό στη μερική και κοίλο στην πλήρη αγενεσία του μεσολοβίου.(12) Η διάκριση
αυτή δεν έχει ωστόσο κλινική σημασία, αφού δεν συμβάλλει στην πρόβλεψη τού ποιο
έμβρυο θα είναι λειτουργικά φυσιολογικό και ποιο όχι.
Όταν υπάρχει υποψία αγενεσίας του μεσολοβίου θα πρέπει να γίνεται και προσεκτική
εκτίμηση του εμβρύου για την πιθανότητα ύπαρξης και άλλων ανωμαλιών. Ιδιαίτερη
προσοχή χρειάζεται στην εκτίμηση του εγκεφάλου, της καρδιάς, του προσώπου και
της σπονδυλικής στήλης. Η πιο συχνή συνυπάρχουσα ανωμαλία είναι το σύνδρομο
Aicardi, το οποίο προσβάλλει θήλεα έμβρυα. Μετά τον τοκετό τα προσβεβλημένα
παιδιά εμφανίζουν κρίσεις σπασμών και σοβαρή υστέρηση της ανάπτυξης. Στο 40%
υπάρχουν ανωμαλίες από τις πλευρές και τους σπονδύλους, όπως ημισπόνδυλοι, σκολίωση
της σπονδυλικής στήλης και απουσία ή δυσπλασία πλευρών. Στις περιπτώσεις αυτές
θα πρέπει να γίνεται και εκτίμηση των οφθαλμικών κόγχων, αφού στο 25% των περιπτώσεων
εμφανίζεται μικροφθαλμία.(13) Άλλες ανωμαλίες που σχετίζονται με την αγενεσία
του μεσολοβίου είναι οι τρισωμίες 8, 13 και 18, καθώς και μια σειρά από σύνδρομα,
όπως το σύνδρομο Rubinstein-Taybi, το σύνδρομο Shapiro, το σύνδρομο Andermann
και το σύνδρομο Zellweger. Επίσης, η αγενεσία του μεσολοβίου μπορεί να σχετίζεται
με ανωμαλίες του κεντρικού νευρικού συστήματος, οι οποίες είτε δεν εντάσσονται
στα πλαίσια κάποιου συνδρόμου, όπως στη δεύτερη περίπτωση που παρουσιάζουμε,
είτε εντάσσονται στο σύνδρομο Dandy-Walker σε 14-25%.(12)
Όταν η αγενεσία του μεσολοβίου αποτελεί μεμονωμένη διαταραχή, η σωματική και
διανοητική ανάπτυξη του παιδιού είναι φυσιολογική στο 90%.(2) Ωστόσο, η απουσία
άλλων παθολογικών υπερηχογραφικών ευρημάτων δεν αποκλείει τη μετέπειτα εμφάνιση
νοητικής υστέρησης και άλλων σοβαρών διαταραχών, ιδιαίτερα του συνδρόμου Aicardi.
Summary
Αssimakopoulos Ε, Ζafrakas Μ, Αthanasiadis Α, Bili Ε, Ζafeiriou D, Bontis J.
Prenatal diagnosis of agenesis of the corpus callosum: Report of two cases and
review of the literature.
Hellen Obstet 16(1):92-96, 2004
The corpus callosum is the largest set of fibers connecting the cerebral hemispheres. Agenesis of the corpus callosum is a relatively rare anomaly, which can be found as an isolated anomaly or it can co-exist with other congenital anomalies, very often in the context of a congenital syndrome. The diagnosis of the agenesis of the corpus callosum is usually made during the routine second level ultrasound examination, in the second trimester (18-23 weeks). The anterior part of the corpus callosum can be seen on ultrasound as early as the 16th week in the coronal or sagittal view, while later it can be seen in its entire length on the sagittal view. The corpus callosum cannot be visualized in the classical transverse view of the brain, in which the lateral ventricles are visualized, and BPD, OFD and HC are measured, but indirect ultrasonographic signs imply its absence. Two cases of prenatal ultrasonographic diagnosis of agenesis of the corpus callosum are presented, and the relevant literature is reviewed.
ΒΙΒΛΙΟΓΡΑΦΙΑ
1. Gupta J, Lilford RJ. Assessment and management of fetal agenesis of the corpus
callosum (review). Prenat Diagn 1995; 15:301-312.
2. Pilu G, Nicolaides KH. Central nervous system. In: Pilu G, Nicolaides KH,
Diagnosis of fetal abnorma-lities - The 18-23 week scan. The Parthenon Publishing
Group, New York, London, 1999, p. 9-10.
3. Grogono JL. Children with agenesis of the corpus callosum. Dev Med Child
Neurol 1968; 10:613-620.
4. Jeret JS, Serur D, Wisniewski K, Fisch C. Frequency of agenesis of the corpus
callosum in the developmentally disabled population as determined by computerized
Tomography. Pediatr Neurosci 1986; 12:101-105.
5. Serur D, Jeret JS, Wisniewski K. Agenesis of the corpus callosum: Clinical,
neuroradiological and cytogenetic studies. Neuropediatrics 1988; 19:87-91.
6. Sarnat ΗΒ. Developmental disorders of the nervous system. In: Bradley SG,
Daroff RΒ, Fenichel GM, Marsden CD, eds. Neurology in Clinical Practice, Vol.
II. Boston: Butterworth-Heinemann, 1991:1258-1259.
7. Loser JD, Alvord EC. Agenesis of the corpus callosum. Brain 1968; 91:553-570.
8. Pilu G, Sandro F, Perolo A. Sonography of fetal agenesis of the corpus callosum:
a survey of 35 cases. Ultrasound Obstet Gynecol 1993; 3:318-329.
9. Rakic P, Yakovlev PI. Development of the corpus callosum and cavum septi
in man. J Comp Neurol 1968; 132:45-72.
10. Sawar M, Virapongese C, Bhimoni S. Interhe-mispheric fissure-dign of dysgenesis
of the corpus callosum. J Computer Assisted Radiol 1984; 8:637.
11. Georgy B, Hesseling JR, Jernigan TL. MR imaging of the corpus callosum.
Am J Roentgenol 1993; 160:949-955.
12. Comstock CH. Agenesis of the corpus callosum in the fetus. Ultrasound Rev
Obstet Gynecol 2001; 1:38-44.
13. Bromley B, Krishnamoorthy KS, Benacerraf BR. Aicardi syndrome: prenatal
sonographic findings. A report of two cases. Prenat Diagn 2000; 20:322-346