Μηνιγγίωμα εγκεφάλου και εγκυμοσύνη


Γ. Στρατουδάκης1, Α. Παπαγεωργίου1, Σ. Σηφάκης1,
Α. Γιαννόπουλος2, Ε. Κουμαντάκης1

1Μαιευτική και Γυναικολογική Κλινική και
2Νευροχειρουργική Κλινική Πανεπιστημίου Κρήτης, Ηράκλειο Κρήτης
Κατατέθηκε: 5/7/2002 Εγκρίθηκε: 17/7/2002
Αλληλογραφία: Σταύρος Σηφάκης Μαιευτική και Γυναικολογική Κλινική Παν/μίου Κρήτης, ΠΑΓΝΗ Βούτες, Ηράκλειο
Τηλ: 2810 392609 Fax: 2810 392759 e-mail: sifakis@excite.com

Περίληψη
Η διάγνωση ενδοκρανιακών όγκων είναι σπάνια κατά τη διάρκεια της εγκυμοσύνης. Παρουσιάζεται η περίπτωση 31χρονης γυναίκας η οποία κατά τη διάρκεια του ελέγχου στην 38η εβδομάδα της κύησης αναφέρει από μηνός επεισόδια διπλωπίας, τρόμο (δ) άνω άκρου, περιοδική απώλεια μνήμης, διαταραχές συμπεριφοράς και υπερέμεση. Η ασθενής υποβάλλεται σε αναλυτικό κλινικοεργαστηριακό έλεγχο. H βυθοσκόπηση δείχνει οίδημα και ασαφή όρια των οπτικών θηλών. Στη μαγνητική τομογραφία εγκεφάλου ανευρίσκεται ευμεγέθης χωροκατακτητική εξεργασία αριστερά μετωποβρεγματικά, με σαφή όρια και διαστάσεις 8,5x7x5εκ. και με χαρακτήρες μηνιγγιώματος. Εκτελείται επείγουσα καισαρική τομή λόγω της επιδείνωσης της συμπτωματολογίας. Την 8η μετεγχειρητική ημέρα υποβάλλεται σε χειρουργική εξαίρεση του όγκου. Η ιστολογική εξέταση επιβεβαιώνει ότι πρόκειται για μηνιγγίωμα. Η μετεγχειρητική πορεία ήταν ομαλή. Μετά από σύντομη ανασκόπηση της βιβλιογραφίας, συζητείται η παρουσία των ενδοκρανιακών όγκων στην εγκυμοσύνη, οι ορμονικές επιδράσεις στην ανάπτυξή τους, οι δυσκολίες της διάγνωσης, οι πιθανές επιπλοκές και οι θεραπευτικές δυνατότητες και επιλογές στη διάρκεια της εγκυμοσύνης.

Όροι ευρετηρίου: Κύηση, όγκοι εγκεφάλου, μηνιγγίωμα.

ΕΙΣΑΓΩΓΗ
Σχετικά συνήθεις νευροχειρουργικές παθήσεις κατά την εγκυμοσύνη είναι η οσφυοϊσχιαλγία, η δυσλειτουργία μιας προϋπάρχουσας βαλβίδας υδροκεφαλίας, η ενδοκρανιακή αιμορραγία από ρήξη ανευρύσματος και η αύξηση του μεγέθους του προλακτινώματος.(1) Οι ενδοκρανιακοί όγκοι στην εγκυμοσύνη είναι σπάνιοι. Οι Cushing και Eisenhardt, το 1938, περιγράφουν για πρώτη φορά έγκυο γυναίκα με μηνιγγίωμα εγκεφάλου και τονίζουν την επιδείνωση της νευρολογικής συμπτωματολογίας κατά τη διάρκεια της κύησης.(2) Οι περιπτώσεις των ενδοκρανιακών όγκων που έχουν αναφερθεί στην εγκυμοσύνη και περιγράφονται στη διεθνή βιβλιογραφία είναι περιορισμένες.

Πίνακας 1. Αίτια που προκαλούν έμετο στην εγκυμοσύνη.
Αιτίες σχετιζόμενες με την εγκυμοσύνη
Υπερέμεση εγκυμοσύνης
Υδατιδώδης μύλη
Πολύδυμη κύηση
Υδράμνιο με εμβρυϊκό ύδρωπα
Κύηση που προκαλεί υπέρταση
Αποκόλληση πλακούντα
Αιτίες που δεν σχετίζονται με την εγκυμοσύνη
Από το γαστρεντερικό και το ήπαρ - χοληφόρα

Στομαχικές διαταραχές
Διαφραγματοκήλη
Ηπατίτιδα
Νοσήματα των χοληφόρων
Παγκρεατίτιδα
Σκωληκοειδίτιδα
Φλεγμονώδεις νόσοι του εντέρου
Αποφρακτικές νόσοι του εντέρου
Από το ουρογεννητικό
Πυελονεφρίτιδα
Oυραιμία
Συστροφή κύστεως ωοθήκης
Νεκρωτική εκφύλιση λειομυώματος
Διάφορα άλλα αίτια
Λήψη φαρμάκων
Μεταβολικά νοσήματα
Υπερθυρεοειδισμός
Βλάβες κεντρικού νευρικού συστήματος
Ενδοκράνια υπέρταση και νεοεξεργασίες εγκεφάλου
Αιθουσαίες διαταραχές

 

ΠΕΡΙΓΡΑΦΗ ΠΕΡΙΠΤΩΣΕΩΣ
Ασθενής 31 ετών, δευτεροτόκος, στην 38η εβδομάδα κύησης, προσέρχεται στο Τμήμα Επειγόντων Περιστατικών της Μαιευτικής Κλινικής αναφέροντας ότι τον τελευταίο μήνα παρουσιάζει επεισόδια διπλωπίας, τρόμο (δ) άνω άκρου, περιοδική απώλεια μνήμης, διαταραχές συμπεριφοράς και υπερέμεση. Στο μαιευτικό της ιστορικό αναφέρεται ένας φυσιολογικός τοκετός προ διετίας, χωρίς καμιά παθολογία κύησης και ομαλή έκβαση, ενώ το ατομικό και οικογενειακό ιστορικό της ασθενούς είναι ελεύθερο. Η ασθενής εισάγεται στη Μαιευτική & Γυναικολογική Κλινική και υποβάλλεται σε πλήρη κλινική εξέταση. Ιδιαίτερη έμφαση δόθηκε στον έλεγχο της αρτηριακής πίεσης, στη βυθοσκόπηση, στον έλεγχο της κοιλίας και στη νευρολογική εκτίμηση. Η γενική αίματος, οι ηλεκτρολύτες, οι δοκιμασίες ήπατος και νεφρών, οι θυρεοειδικές ορμόνες, η γενική και μικροσκοπική εξέταση ούρων, το ίζημα και η καλλιέργεια των ούρων καθώς και η καλλιέργεια του κολπικού υγρού απέβησαν φυσιολογικές.
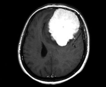
Ο υπερηχογραφικός έλεγχος του εμβρύου δείχνει μονήρη κύηση με φυσιολογική ανάπτυξη του εμβρύου και με αυτόν αποκλείονται παθολογικές καταστάσεις όπως υδράμνιο, εμβρυϊκός ύδρωπας και αποκόλληση του πλακούντα. Το υπερηχογράφημα της άνω κοιλίας και των νεφρών Π ουρητήρων - κύστης είναι χωρίς παθολογικά ευρήματα. H βυθοσκόπηση δείχνει οίδημα και ασαφή όρια των οπτικών θηλών. Στη μαγνητική τομογραφία εγκεφάλου ανευρίσκεται ευμεγέθης χωροκατακτητική εξεργασία στη μετωποβρεγματική περιοχή αριστερά, με σαφή όρια και διαστάσεις 8,5x7x5 εκ. (εικόνα 1). Ο όγκος προκαλεί παρεκτόπιση της μέσης γραμμής ετερόπλευρα, συμπίεση και παραμόρφωση της αριστερής πλάγιας κοιλίας, εγκολεασμό του αριστερού μετωπιαίου λοβού υπό το δρέπανο και περιεστιακό οίδημα - ευρήματα συμβατά με μηνιγγίωμα.
Αποφασίζεται και εκτελείται επείγουσα καισαρική τομή υπό γενική αναισθησία. Πριν τη διασωλήνωση της ασθενούς γίνεται ενδοφλέβια έγχυση μαννιτόλης και δεξαμεθαζόνης, ενώ μετά την καισαρική τομή χορηγείται βαλπροϊκό νάτριο. Η μετεγχειρητική πορεία είναι ομαλή. Την 8η μετεγχειρητική ημέρα η ασθενής υποβάλλεται σε χειρουργική επέμβαση με αριστερή μετωπιαία κρανιοτομία, διάνοιξη της σκληρής μήνιγγας και εξαίρεση του όγκου. Η ιστολογική εξέταση επιβεβαιώνει ότι πρόκειται για μηνιγγίωμα. Δεν κρίνεται απαραίτητη και δεν πραγματοποιείται συμπληρωματική θεραπεία.

Εικόνα 1

Εικόνα 1. Μαγνητική τομογραφία εγκεφάλου που απεικονίζει ευμεγέθη χωροκατακτητική εξεργασία η οποία προκαλεί παρεκτόπιση της μέσης γραμμής με συμπίεση και παραμόρφωση της αριστερής πλάγιας κοιλίας.

ΣΥΖΗΤΗΣΗ
Oι ενδοκρανιακοί όγκοι στην εγκυμοσύνη είναι σπάνιοι. Αναφέρεται ότι στις γυναίκες αναπαραγωγικής ηλικίας (15-44 ετών) ο αριθμός των νεοπλασιών εγκεφάλου που διαγνώσθηκαν κατά τη διάρκεια της εγκυμοσύνης ήταν πολύ μικρότερος από εκείνον του γενικού πληθυσμού.(3) Αυτό το χαμηλό ποσοστό αποδόθηκε στο γεγονός ότι οι γυναίκες με υποκλινικές μορφές όγκων του εγκεφάλου επιτύγχαναν κύηση λιγότερο συχνά, είτε λόγω μειωμένης libido, είτε λόγω αυτόματης διακοπής της κύησης σε πρώιμο στάδιο.(3) Ο αριθμός των αυτόματων αποβολών σε γυναίκες με ενδοκρανιακούς όγκους βρέθηκε ότι είναι υψηλότερος όταν ο όγκος δεν έχει δώσει ακόμα κλινικά σημεία, πιθανόν λόγω της πίεσης που ασκείται στον υποθάλαμο από τον ίδιο τον όγκο ή και λόγω ορμονικών παραγόντων.(4)
O ρόλος των ορμονικών παραγόντων είναι αδιαμφισβήτητος στην εμφάνιση ορισμένων τύπων όγκων και ιδιαίτερα των μηνιγγιωμάτων.(3) Oι Schoenberg et al διαπίστωσαν αυξημένη συχνότητα μηνιγγιωμάτων στις γυναίκες με καρκίνο του μαστού και κατέληξαν ότι οι ορμονικές μεταβολές που συνοδεύουν την εγκυμοσύνη ευνοούν την ανάπτυξη ορισμένων νεοπλασιών.(5) Η επιμελής λήψη ιστορικού και η προσεκτική κλινική εξέταση απέδειξε ότι η συμπτωματολογία του όγκου γίνεται πιο εμφανής την περίοδο μετά την ωοθυλακιορρηξία, καθώς επίσης και κατά τη διάρκεια της εγκυμοσύνης.(6) Αναφέρονται περιπτώσεις γυναικών με μηνιγγίωμα στις οποίες παρατηρήθηκε έξαρση κατά τη διάρκεια της κύησης και κατόπιν πλήρης ύφεση της συμπτωματολογίας στη λοχεία και στο μεσοδιάστημα μεταξύ των κυήσεων.(7)
Η ευαισθησία των μηνιγγιωμάτων στις ορμονικές αλλαγές που συνοδεύουν την εγκυμοσύνη μπορεί να οφείλεται στους υποδοχείς οιστρογόνων και προγεστερόνης, οι οποίοι είναι ανεξάρτητοι από την ηλικία των ασθενών, την εντόπιση και τα ιστολογικά χαρακτηριστικά των μηνιγγιωμάτων.(8) Oι υποδοχείς των οιστρογόνων είναι λιγότεροι σε σχέση με αυτούς της προγεστερόνης, που βρίσκονται συνήθως σε μεγάλο αριθμό.(9) Η παρουσία υποδοχέων οιστρογόνων και προγεστερόνης κατατάσσει τα μηνιγγιώματα στους ορμονοεξαρτώμενους όγκους. Αν και τα επίπεδα της προγεστερόνης μπορεί να σχετίζονται με τους όγκους του κεντρικού νευρικού συστήματος, η εντονότερη εμφάνιση των κλινικών συμπτωμάτων σε προχωρημένο στάδιο της εγκυμοσύνης αποδεικνύει ότι εμπλέκονται και άλλοι μηχανισμοί εκτός της προγεστερόνης.(6) Oι Michelsen et al πρότειναν ότι η κατακράτηση υγρών από το σώμα και κατά συνέπεια η αύξηση της περιεκτικότητας της νεοπλασίας σε υγρά, ευνοεί την ανάπτυξη και την εμφάνισή της.(10) Οι Weyand et al υποστηρίζουν ότι οι ορμονικές διακυμάνσεις οδηγούν σε ενδοκυτταρική κατακράτηση υγρών και κατά συνέπεια η αύξηση της νεοπλασίας και η εμφάνιση των συμπτωμάτων οφείλεται στη διόγκωση των κυττάρων.(11)
Η διάγνωση γίνεται δυσκολότερη στην εγκυμοσύνη, ιδιαίτερα όταν το μηνιγγίωμα εμφανίζεται με ήπια συμπτωματολογία, όπως ναυτία και έμετο. Η ναυτία και ο έμετος αποτελούν τα συνήθη συμπτώματα του πρώτου τριμήνου της εγκυμοσύνης, κυρίως μεταξύ της 8ης και της 12ης εβδομάδας, και παρατηρούνται περίπου στο 50% όλων των κυήσεων.(12) Σε ορισμένες περιπτώσεις η συμπτωματολογία είναι πιο σοβαρή ή παρατείνεται και μετά το πρώτο τρίμηνο. Γίνεται, λοιπόν, αναγκαία η διαφορική διάγνωση μεταξύ πλήθους αιτιών που προκαλούν ναυτία και έμετο. Oι αιτίες μπορούν να διακριθούν σε εκείνες που σχετίζονται και σε εκείνες που δεν σχετίζονται με την κύηση (πίνακας 1). Συνιστάται προσεκτικός κλινικός και εργαστηριακός έλεγχος για τη διαφοροδιαγνωστική προσέγγιση πριν την τελική διάγνωση της απλής υπερέμεσης της κύησης. Η διάγνωση του ενδοκρανιακού όγκου στην κύηση μπορεί να επιβεβαιωθεί εύκολα με την αξονική τομογραφία (CT) ή ακόμη ασφαλέστερα με τη μαγνητική τομογραφία (MRI). Οι ιωδιούχες σκιαγραφικές ουσίες είναι φυσιολογικά αδρανείς και έχουν ελάχιστο κίνδυνο για το έμβρυο. Πρέπει να υπάρχει επαρκής μητρική ενυδάτωση κατά τη διάρκεια χορήγησης του σκιαγραφικού για την αποφυγή της εμβρυϊκής αφυδάτωσης.(13)
Η αιμορραγία αποτελεί μια σοβαρή επιπλοκή που επιδεινώνει την πρόγνωση των ασθενών. O κίνδυνος εγκεφαλικής αιμορραγίας στις ασθενείς με ανεύρυσμα του εγκεφάλου, αρτηριοφλεβώδεις δυσπλασίες και μηνιγγιώματα αυξάνεται, καθώς προχωρά η εγκυμοσύνη, και αυτό οφείλεται στις αιμοδυναμικές αλλαγές που επιφέρει η κύηση.(14) Σημειώνεται ότι η κεφαλαλγία, οι διαταραχές του επιπέδου συνείδησης και η εμφάνιση τονικών και κλονικών σπασμών είναι συνήθεις εκδηλώσεις της προεκλαμψίας / εκλαμψίας και συνεπώς είναι δύσκολη η διαφορική διάγνωση από έναν ενδοκρανιακό όγκο που έχει αιμορραγήσει και δίδει παρόμοια συμπτωματολογία. Τα γλοιώματα εμφανίζονται συνήθως στο πρώτο και το δεύτερο τρίμηνο της κύησης, ενώ τα μηνιγγιώματα μπορεί να αυξήσουν τον όγκο τους κατά τη διάρκεια της εγκυμοσύνης και να υποχωρήσουν στη λοχεία. Οι αγγειοβριθείς όγκοι παρουσιάζουν σαφή βελτίωση μετά τον τοκετό.(6)
Η συντηρητική αντιμετώπιση των εγκύων με όγκο του εγκεφάλου μπορεί να γίνει με κορτικοστεροειδή και αντιεπιληπτικά φάρμακα. Η παρατεταμένη χρήση κορτικοστεροειδών για την ύφεση της συμπτωματολογίας, ιδίως στο τρίτο τρίμηνο της εγκυμοσύνης, μπορεί να προκαλέσει υποπλασία των επινεφριδίων και εμβρυϊκή επινεφριδιακή ανεπάρκεια.(13) Παράλληλα όμως, τα κορτικοειδή μπορούν να επιταχύνουν την εμβρυϊκή ωριμότητα και να μετακινήσουν πρόωρα τον δείκτη λεκιθίνης-σφιγγομυελίνης, έναν δείκτη ωρίμανσης των πνευμόνων του εμβρύου.(14) Τα επιβλαβή αποτελέσματα από τη χρήση των αντιεπιληπτικών είναι σπάνια. Ο κίνδυνος της επιληπτικής κρίσης, με τη δυνατότητα πρόκλησης μητρικής και εμβρυϊκής υποξίας και οξέωσης, ξεπερνά τον κίνδυνο της εμβρυοτοξικότητας από τη χρήση των αντιεπιληπτικών. Για αυτούς τους λόγους, η προφύλαξη και η θεραπεία με αντιεπιληπτιτικά πρέπει να χορηγείται σε όλες τις εγκύους ασθενείς με ενδοκράνιο όγκο, συμπεριλαμβανομένων και εκείνων με ενδοκρανιακή υπέρταση, οι οποίες διατρέχουν τον ουσιαστικό κίνδυνο επιληπτικής κρίσης.(15) Η πιθανότητα τερατογένεσης από τα αντιεπιληπτικά είναι ουσιαστικά η ίδια σε όλα τα σκευάσματα και γιΥ αυτό δεν συνιστάται η χρήση ιδιαίτερα κάποιου σκευάσματος συγκριτικά με τα υπόλοιπα. Τα επίπεδα της αντιεπιληπτικής ουσίας πρέπει να ελέγχονται με προσοχή σε όλη την εγκυμοσύνη και τη λοχεία και η δόση να ρυθμίζεται ανάλογα, δεδομένου ότι οι αλλαγές στις δεσμευτικές πρωτεΐνες ή στη λευκωματίνη του ορού μπορούν να αυξήσουν το αδέσμευτο μέρος του αντιεπιληπτικού.(15)
Στις εγκύους με ενδοκρανιακό όγκο που πρέπει να υποβληθούν σε θεραπεία με κοβάλτιο-60 είναι δύσκολο να καθοριστεί η ποσότητα της ακτινοβολίας που λαμβάνεται από το έμβρυο. Η έκθεση του εμβρύου στον ιονισμό εξαρτάται από την εσωτερική διασπορά του κατευθυντήρα και τους φραγμούς, καθώς επίσης και από τα άλλα αντικείμενα που χρησιμοποιούνται.(16) Η εσωτερική διασπορά σχετίζεται με την πηγή της ακτινοβολίας, το μέγεθος των τομών επεξεργασίας και την εγγύτητά τους στο έμβρυο. Οι μετρήσεις με στρώσεις μολύβδου πάνω από το έμβρυο απέδειξε ότι το προστατευτικό κάλυμμα μείωσε ουσιαστικά την έκθεση στις εξωτερικές πηγές.(16) Η υπολογιζόμενη δόση ακτινοβολίας του εμβρύου ήταν 0,0294Gy. Η δόση 0,1Gy (10rads) αναφέρεται συχνά ως το ανώτερο επιτρεπτό όριο, επάνω από το οποίο το ενδεχόμενο μιας θεραπευτικής άμβλωσης πρέπει να εξεταστεί σοβαρά, ιδιαίτερα αν το αναπτυσσόμενο έμβρυο λάβει αυτή τη δόση κατά τη διάρκεια της ευαίσθητης ηλικίας κύησης, οπότε μπορούν να προκληθούν συγγενείς ανωμαλίες (ηλικία κύησης 10 ημερών μέχρι 26 εβδομάδων).(17) Από τα αποτελέσματα των Isla et al σε σειρά εγκύων ασθενών με όγκους του εγκεφάλου που αντιμετωπίστηκαν με το κοβάλτιο-60, μετά από τη 26η εβδομάδα της κύησης, φαίνεται ότι ο κίνδυνος για το έμβρυο είναι ελάχιστος και, εκτός από μια περίπτωση ενδομητρίου θανάτου, όλα τα νεογνά ήταν φυσιολογικά.(18)
Επιγραμματικά, η αντιμετώπιση των όγκων του εγκεφάλου και ιδιαίτερα των μηνιγγιωμάτων στην εγκυμοσύνη εξαρτάται κυρίως από την εβδομάδα κύησης που γίνεται η εμφάνισή τους. Αν η διάγνωση τεθεί κατά τη διάρκεια του πρώτου ημίσεως της κύησης, αν στην αξονική ή τη μαγνητική τομογραφία παρουσιάζεται ένας μικρός όγκος και δεν υπάρχουν νευρολογικά σημεία, η χειρουργική επέμβαση μπορεί να αναβληθεί μέχρι το τέλος της εγκυμοσύνης. Αν η κλινική κατάσταση της ασθενούς επιδεινώνεται, ο όγκος πρέπει να αφαιρεθεί. Στο δεύτερο ήμισυ της κύησης, η εμβρυϊκή ωρίμανση μπορεί να επιταχυνθεί με τα κορτικοειδή και η χειρουργική επέμβαση στον εγκέφαλο μπορεί να εκτελεσθεί αμέσως μετά από την καισαρική τομή.

Summary
Stratoudakis G, Papageorghiou A, Sifakis A, Giannopoulos A, Koumantakis E.
Brain meningioma and pregnancy.
Hellen Obstet Gynecol 15(1):53-57, 2003
Brain tumors infrequently are diagnosed during pregnancy. We present a case of a 31 years old second gravida woman, who presented at 38th week of gestation with symptoms of diplopia, tremor of the right arm, memory and behavior disturbances and hyperemesis. The patient was hospitalized and was undergone clinical and laboratory examinations. Fundoscopy showed poorly defined optic discs suggesting papilloedema. The magnetic resonance imaging showed a large left frontobregmatic lesion (8.5x7x5cm). An emergency cesarean section was carried out because of the deterioration of the clinical symptoms. At the 8th postoperative day the patient was undergone neurosurgical operation where the tumor was totally removed via a left frontal craniotomy. Microsopic examination of the tumor revealed meningioma. We reviewed the literature and present briefly the rarity of brain tumors in pregnancy, the gestational hormonal influences on the tumors, the difficulty in diagnosis, the possible complications, and the therapeutical options that may be conservative, chirurgical or supplementary, during or after pregnancy.
Key words: Pregnancy, brain tumors, meningioma

ΒΙΒΛΙOΓΡΑΦΙΑ
1. Donaldson JO. Neurologic emergencies in pregnancy. Crit Care Obstet 1991; 18:199-212.
2. Cushing Η, Eisenhardt L. Meningiomas: Their classification, regional behaviour, life history, and surgical end result. Springfield, Illinois: Charles C. Thomas, 1938.
3. Haas JF, JŠnisch W, Staneczek W. Newly diagnosed primary intracranial neoplasms in pregnant wοmen: Α populatiοn-based assessment. J Neurol Neurosurg Psychiatry 1986; 49:874-80.
4. Roelvink CA, Kamphorst W, νan Alphen ΗΑΜ, Rao BR. Pregnancy - related primary brain and spinal tumours. Arch Neurol 1987; 209-15.
5. Schoenberg BS, Christine ΒW, Whisnant JΡ. Νervοus system neoplasms and primary malignancies of other sites. The unique associatiοn between meningiomas and breast cancer. Neurology 1975; 25:705-12.
6. Stedman ΚΕ, Moore GE, Μοrgan RΤ. Estrogen receptor proteins in diverse human tumours. Arch Surg 1980; 115:224-48.
7. Bickerstaff ER, Small JM, Guest JM. The relapsing course of certain meningiomas in relatiοn of pregnancy and menstruation. J Neurol Neurosurg Psychiatry 1958; 21:89-91.
8. Lesch ΚΡ, Gross S. Estrogen receptor immunoreactivity in meningiomas. Comparison with the binding activity of estrogen, progesterone, and androgen receptors. J Neurosurg 1987; 67:237-43.
9. Lee LS, Chi CW, Chang TJ, Chou MD, Liu HC, Liu ΤΗ. Steroid hormone receptors in meningiomas of Chinese patients. Neurosurgery 1989; 25:541-5.
10. Michelsen JJ, New PF. Brain tumour and pregnancy. J Neurol Neurosurg Ρsychiatry 1969; 32:305-7.
11. Weyand RD, MacCarty CS, Wilson RB. The effect οf pregnancy οn intracranial meningiomas occurring about the οptic chiasm. Surg Clin North Am 1951; 31:1225-33.
12. Hod M, Orvietto R, Kaplan B, Friedman S, Ovidia J. Hyperemesis gravidarum, a review. J Reprod Med 1994; 39:605-12.
13. Biggs JSG, Αllan JA. Medication and pregnancy. Drugs 1981; 21: 69-75.
14. Dias MS, Sekhar L. Intracranial haemorrhage from aneurysms and arteriovenous malformations during pregnancy and the puerperium. Neurosurgery 1990; 27:855-66.
15. Κοchenοur Ν, Emery ΜG, Sawchuk RJ. Phenytoin metabolism in pregnancy. Obstet Gynecol 1980; 56:577-82.
16. Sneed PK, Albright NW, Wara WN, Prados MD, Wilson CB. Fetal dose estimates for radiotherapy of brain tumors during pregnancy. Int J Radiat Oncol Biol Phys 1995; 32:823-30.
17. Hall EJ. Radiobiology for the radiologist. 4th ed. Philadelphia: Lippincott, 1994.
18. Isla A, Alvarez F, Gonzalez A, Garcia-Grande A, Perez-Alvarez M, Garcia-Blazquez M. Brain tumor and pregnancy. Obstet Gynecol 1997; 89:19-23.

 




ΗΟΜΕPAGE


<<< Προηγούμενη σελίδα