Πνευμοθώρακας κατά τη διάρκεια
της εγκυμοσύνης

Γ. Πάντος1, Π. Θεοδοσιάδης2, Δ. Τσολακίδης1
Π. Πιρπιρή2, Β. Γροσομανίδης3, Κ. Μουσαφίρης4, Κ. Ράμμος5

1Μαιευτικό -Γυναικολογικό τμήμα,
2Αναισθησιολογικό Τμήμα,
3Αναισθησιολογικό Τμήμα Γ.Π.Ν.Θ. ΑΧΕΠΑ
4Μονάδα Εντατικής Θεραπείας Νεογνών,
5Καρδιοχειρουργικό Τμήμα, Ιατρικό Διαβαλκανικό Κέντρο
Κατατέθηκε: 5/12/2002 Εγκρίθηκε: 18/12/2002
Αλληλογραφία: Γεώργιος Πάντος Μητροπόλεως 40 54623 Θεσσαλονίκη
Τηλ.: 2310263212 Fax: 2310241133 e-mail: padosgyn@hol.gr

Περίληψη
Περιγράφεται η περίπτωση πρωτοτόκου εγκύου 38 εβδομάδων χωρίς άλλες συνοδές παθήσεις, η οποία προσήλθε στο νοσοκομειακό ίδρυμα με δύσπνοια, πλευροδυνία και έντονη ανησυχία. Μετά τη διάγνωση του πνευμοθώρακα τοποθετήθηκε παροχέτευση στο δεξιό ημιθωράκιο και την επομένη διενεργήθηκε καισαρική τομή. Μετά την αφαίρεση της θωρακικής παροχέτευσης παρατηρήθηκαν δύο υποτροπές. Η θωρακική τομή και η ακόλουθη πλευροδεσία αποτέλεσε τη χειρουργική λύση επιλογής, η δε ασθενής εξήλθε από το νοσοκομείο την 18η ημέρα.
O πνευμοθώρακας υπό τάση κατά τη διάρκεια της εγκυμοσύνης αποτελεί μια σπάνια νοσολογική οντότητα, με ελάχιστες αναφορές στη βιβλιογραφία τόσο της αναισθησιολογικής όσο και της μαιευτικής ειδικότητας.(1,3,4) Συνήθως έχει σχέση με κάποια άλλη προϋπάρχουσα νόσο όπως τον καρκίνο ή την πνευμονοπάθεια.
Πρόκειται για μια περίπτωση νεαρής γυναίκας σε εγκυμοσύνη, χωρίς προβλήματα υγείας, η οποία εμφανίζει πνευμοθώρακα υπό τάση 11 ημέρες πριν την αναμενόμενη ημερομηνία τοκετού.

Όροι ευρετηρίου: Αυτόματος πνευμοθώρακας, κύηση, επιπλοκές κύησης.

ΠΕΡΙΓΡΑΦΗ ΠΕΡΙΠΤΩΣΕΩΣ
Πρόκειται για μια γυναίκα 27 ετών, στην 38η εβδομάδα της κυήσεώς της, πρωτότοκο, χωρίς άλλες συνοδές παθήσεις (μη καπνίστρια), 11 ημέρες πριν την αναμενόμενη ημερομηνία τοκετού. Η έγκυος παρουσιάστηκε στο νοσηλευτικό ίδρυμα με δύσπνοια, με πλευροδυνία δεξιά και με έντονη ανησυχία. Από τον καρδιοτοκογραφικό έλεγχο του εμβρύου, που έγινε στο τμήμα επειγόντων, δεν βρέθηκε κάτι το παθολογικό.
Από την κλινική εξέταση της εγκύου:
– Επισκοπικώς: προπέτεια του δεξιού ημιθωρακίου με εμφανή μείωση της κινητικότητάς του.
– Ακρόαση πνευμόνων: απουσία αναπνευστικού ψιθυρίσματος σε όλο το δεξιό ημιθωράκιο (σιγή). Ακρόαση αριστερού ημιθωρακίου φυσιολογική.
– Ζωτικά σημεία: ΑΠ = 125/75mmHg, Καρδιακή συχνότητα (ΚΣ) = 127/λεπτό, Θ = 370C, αριθμός αναπνοών = 20Π25/λεπτό, SpO2 = 99%.
– ΗΚΓ: φλεβοκομβική ταχυκαρδία (ΚΣ = 127/λεπτό) και μη ειδικές αλλοιώσεις, όπως στροφή του άξονα κατά +1700, αρνητικά επάρματα «Τ» στην απαγωγή ΙΙΙ και σχετικά υψηλά επάρματα «R» στις II και V5 απαγωγές (εικόνα 1).

Εικόνα 1

Εικόνα 1. Ηλεκτροκαρδιογράφημα της ασθενούς κατά την αρχική εξέταση.

Εικόνα 2

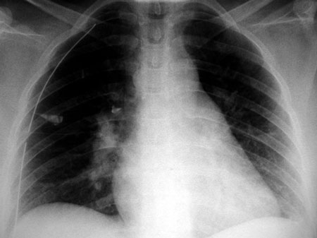
Εικόνα 2. Ακτινογραφία θώρακος κατά την προσέλευση της ασθενούς.

Εικόνα 3

Εικόνα 3. Ακτινογραφία θώρακος μετά την τοποθέτηση της θωρακικής παροχέτευσης.


Αμέσως τέθηκε η υποψία του δεξιού πνευμοθώρακα και πραγματοποιήθηκε ακτινογραφία σε ημικαθιστή θέση, με το φορητό ακτινολογικό μηχάνημα (εικόνα 2). Η τελευταία επιβεβαίωσε την υποψία και αποκάλυψε δεξιό πνευμοθώρακα, ο οποίος όμως δεν παρεκτόπιζε τις δομές προς την αντίθετη πλευρά (απουσία πνευμοθώρακα υπό τάση). Αμέσως η έγκυος οδηγήθηκε στο χειρουργείο, όπου και τοποθετήθηκε παροχέτευση (από ειδικό θωρακοχειρουργό) στο πάσχον ημιθωράκιο υπό τοπική αναισθησία και καρδιοτοκογραφικό έλεγχο του εμβρύου. Κατά την τοποθέτηση της παροχέτευσης διαπιστώθηκε έξοδος αέρα, αποδεικνύοντας έτσι την παρουσία του πνευμοθώρακα (εικόνα 3). Λίγα λεπτά μετά την τοποθέτηση της παροχέτευσης η κλινική εικόνα της εγκύου βελτιώθηκε σημαντικά, με υποχώρηση σχεδόν όλων των συμπτωμάτων. Παρέμεινε μόνο ένα μικρό άλγος στο ημιθωράκιο, το οποίο όμως ήταν καλά ανεκτό από την ασθενή.
Την επόμενη ημέρα πραγματοποιήθηκε καισαρική τομή υπό γενική αναισθησία. Το νεογνό κατά τη γέννησή του (ApgarΥs score 8 στο 1Υ και 9 στα 5Υ, βάρος σώματος 3420gr) εμφάνισε αναπνευστική δυσχέρεια (ταχύπνοια), οδηγήθηκε στη Μονάδα Εντατικής Θεραπείας Νεογνών, και του χορηγήθηκε επιφανειοδραστικός παράγοντας. Κατά τη διάρκεια της νοσηλείας (2η ημέρα) εμφάνισε σταφυλοκοκκική σηψαιμία, για την οποία του χoρηγήθηκε τριπλό αντιβιοτικό σχήμα (Gentamicin + Vancomycin + Amikacin) και τέθηκε σε μηχανικό αερισμό. Βελτίωση της κλινικής εικόνας παρατηρήθηκε μέσα σε 48 ώρες, όπως και σταδιακή αποδέσμευσή του από τον αναπνευστήρα.
Μετά από δύο ημέρες αποφασίστηκε η αφαίρεση της θωρακικής παροχέτευσης από τον ειδικό θωρακοχειρουργό. Όμως, κατά τον κλινικό και ακτινολογικό έλεγχο της επομένης ημέρας εμφανίστηκε υποτροπή του πνευμοθώρακα και έτσι επανατοποθετήθηκε η θωρακική παροχέτευση. Μετά από δύο ημέρες επιχειρήθηκε εκ νέου η αφαίρεση της παροχέτευσης, η οποία όμως δεν ήταν εφικτή, γιατί ο πνευμοθώρακας υποτροπίασε. Στον καρδιολογικό έλεγχο (με τη θωρακική παροχέτευση σε λειτουργία) το ΗΚΓ παρουσίαζε σαφή μεταβολή: ΚΣ=60/λεπτό, τα αρνητικά «Τ» δεν υπήρχαν, ενώ τα επάρματα «R» στις απαγωγές ΙΙΙ και V5 είχαν μικρύνει (εικόνα 3), στοιχεία που είναι συμβατά με τη μείωση του πνευμοθώρακα σε σύγκριση με αυτόν της εισόδου.
Λόγω της μη ικανοποιητικής βελτίωσης της ακτινολογικής και της κλινικής εικόνας αποφασίστηκε η χειρουργική πλέον αντιμετώπιση. Την 10η ημέρα μετά την καισαρική τομή η ασθενής οδηγήθηκε στο χειρουργείο και υποβλήθηκε σε θωρακοτομή και πλευροδεσία. Κατά την επέμβαση βρέθηκαν πολλαπλές φυσαλίδες στον δεξιό πνεύμονα, οι οποίες και αφαιρέθηκαν. Η μετεγχειρητική πορεία ήταν ομαλή και η ασθενής εξήλθε από το νοσοκομείο την 18η ημέρα.

Εικόνα 4

Εικόνα 4. Ηλεκτροκαρδιογράφημα την 4η μετεγχειρητική ημέρα Π εντός των φυσιολογικών ορίων.

ΣΥΖΗΤΗΣΗ
O αυτόματος πνευμοθώρακας μπορεί να εμφανιστεί σε οποιαδήποτε ηλικία,(5) συνηθέστερα όμως σε νέους 15-35 ετών και σε αναλογία άνδρα:γυναίκα 10:1. Από πλευράς συχνότητας και τα δύο ημιθωράκια προσβάλλονται το ίδιο.
Τα αίτια του πνευμοθώρακα είναι:
– Εξωτερικά αίτια: τυφλά ή διαμπερή τραύματα του θώρακα.
– Παθολογικά αίτια: χρόνια αποφρακτική πνευμονοπάθεια (ποσοστό μέχρι και 30%, συνήθως πρόκειται για εμφύσημα ή χρόνια βρογχίτιδα), AIDS, σταφυλοκοκκική πνευμονία, πνευμονικό απόστημα, σαρκοείδωση και βρογχογενές καρκίνωμα.
– Ιατρικές πράξεις: καθετηριασμός της έσω σφαγίτιδας ή της υποκλειδίου φλέβας, μετά από ακτινοβολία.
– Από εστίες ενδομητρίωσης στο πνευμονικό παρέγχυμα μπορεί να προκληθεί πνευμοθώρακας κατά την έμμηνο ρύση.
– Μικρό ποσοστό δεν έχει συγκεκριμένη αιτία.
Συνήθως υπάρχει ιστορικό καπνίσματος, πνευμονίας, πρόσφατης λοίμωξης του ανωτέρου αναπνευστικού ή βρογχικού άσθματος. Η εμφάνιση αυτόματου πνευμοθώρακα κατά τη διάρκεια της εγκυμοσύνης είναι εξαιρετικά σπάνια. Στη διεθνή βιβλιογραφία, κατά το διάστημα 1957-1997, έχουν αναφερθεί μόνο 23 περιστατικά. Στα περισσότερα περιστατικά ο πνευμοθώρακας είχε κλασική συμπτωματολογία και κανένας δεν εξελίχθηκε σε πνευμοθώρακα υπό τάση. O κίνδυνος από έναν μη διαγνωσμένο πνευμοθώρακα κατά την εγκυμοσύνη είναι πολύ μεγάλος. Είναι γνωστό πως κατά τον τοκετό η κατανάλωση O2 μπορεί να αυξηθεί μέχρι και 20%, δηλαδή μία επίτοκος με πνευμοθώρακα μπορεί να εμφανίσει σοβαρή υποξυγοναιμία λόγω του μεγάλου shunt, με άσχημες επιπτώσεις τόσο για την ίδια όσο και για το έμβρυο. Η μήτρα πιέζει το διάφραγμα στο υγιές ημιθωράκιο, επιβαρύνοντας επιπλέον την λειτουργία του υγιούς πνεύμονα. Όταν η επίτοκος ασκήσει πίεση για να εξωθήσει το κύημα, ένας μικρός πνευμοθώρακας μπορεί να μετατραπεί σε υπό τάση. O υπό τάση πνευμοθώρακας μπορεί να προκαλέσει οξεία κάμψη της δεξιάς καρδίας, αιμοδυναμική κατάρρευση και δυσμενή έκβαση τόσο για την επίτοκο όσο και για το κύημα (μείωση της μητροπλακουντιακής ροής αίματος, υποξυγοναιμία, εγκεφαλικές αλλοιώσεις, θάνατος).
Κάθε αύξηση της ενδοκοιλιακής πίεσης μεταδίδεται και στον θώρακα, με αποτέλεσμα την αύξηση της ενδοθωρακικής πίεσης και την πιθανή ρήξη των πνευμονικών φυσαλίδων που ενδεχομένως να υπάρχουν. Με αυτό τον μηχανισμό και μία εγκυμονούσα μήτρα μπορεί να αποτελέσει η ίδια προδιαθεσικό παράγοντα για τη δημιουργία πνευμοθώρακα. Στη διαφορική διάγνωση θα πρέπει να συμπεριληφθούν η πνευμονική εμβολή, η εμβολή από αμνιακό υγρό, ο καρδιακός επιπωματισμός και η οξεία συμφορητική ανεπάρκεια.
Στη συγκεκριμένη έγκυο, η έγκαιρη διάγνωση του πνευμοθώρακα τέθηκε αρχικά από την κλινική εικόνα και την ακρόαση των πνευμόνων. Η ταχυκαρδία και οι υπόλοιπες αλλοιώσεις του ΗΚΓ(2) (ως αποτέλεσμα της στροφής του άξονα της καρδιάς) συνηγορούσαν στη σοβαρότητα της κατάστασης, δηλαδή δεν επρόκειτο για μια απλή πλευροδυνία. Η ακτινογραφία, που διεξήχθη άμεσα, πιστοποίησε τον πνευμοθώρακα και τοποθετήθηκε θωρακική παροχέτευση. Η άμεση ανακούφιση της εγκύου μετά την τοποθέτηση της παροχέτευσης επιβεβαίωσε την αρχική διάγνωση και απέκλεισε τα άλλα διαφοροδιαγνωστικά προβλήματα. Η προγραμματισμένη καισαρική τομή την επόμενη ημέρα με τη θωρακική παροχέτευση σε λειτουργία διασφάλισαν την ομαλή εξέλιξη της καισαρικής τομής.
Η πιθανή παρουσία πνευμοθώρακα θα πρέπει να υπάρχει πάντα στη διαφορική διάγνωση, κάθε φορά που μία έγκυος αναφέρει δύσπνοια, πλευροδυνία και εμφανίζει ταχυκαρδία. Oι ενέργειες του ιατρικού προσωπικού θα πρέπει να είναι άμεσες και αποτελεσματικές. Πολλές φορές δε,(5) ιδιαίτερα εάν υπάρχουν στοιχεία πνευμοθώρακα υπό τάση, και μόνο με την κλινική διάγνωση επιβάλλεται η άμεση τοποθέτηση βελόνας (abbocath) μεγάλης διαμέτρου (16-14G) στο θωρακικό τοίχωμα (ακόμη και στα εξωτερικά ιατρεία). Έτσι επιτυγχάνεται η εκτόνωση του πνευμοθώρακα και η αποφυγή της μετατροπής του σε υπό τάση, πριν ακόμη τεθεί η διάγνωση του πνευμοθώρακα ακτινολογικά.

Summary
Pados G, Theodosiadis P, Tsolakidis D, Pirpiri P, Grosomanidis V, Mousafiris K, Rammos K.
Tension pneumothorax during pregnancy.
Hellen Obstet Gynecol 15(1):49-52, 2003
A case report of a tension pneumothorax in a primigravid woman, without any history, during the 38th week of gestation is described. The pregnant came to the hospital with dyspnea, acute chest pain and discomfort. After the diagnosis of pneumothorax was made, a right thoracocentesis was applied and during the next day an elective cesarean section was performed. After the removal of the drainage recurrence of the pneumothorax was noticed twice. Finally thoracoplasty was the surgical approach of choice and after this the patient was discharged at the 18th day in a good health.

ΒΙΒΛΙOΓΡΑΦΙΑ
1. Harris EA. Tension pneumothorax in a parturient undergoing cesarean delivery. Case report. Anesth Analg 2000; 90:1173-4.
2. Paige, Glain B, Spalding K. Electrocardiographic changes as the first indicator of a right pneumothorax in a Anesthetized child. Anesthesiology 1996; 85:1200-2.
3. Ishikawa N, Kyobu G. A case of spontaneous pneumothorax in pregnancy. Japanes Journal of Thoracic Surgery 2000; 53(1):83-5.
4. Nakamura H, Konishiike J, Sugamura A, Takeno Y. Epidemiology of spontaneous pneumothorax in women. Chest 1986; 89(3):378-82.
5. Turley K. Thoracic wall, pleura, medistinum & lung. In: Way L (ed.) Current Surgery Diagnosis and Treatment. 9th edition, Appleton & Lange, London, 1991:323-4.

 




ΗΟΜΕPAGE


<<< Προηγούμενη σελίδα