<<< Προηγούμενη σελίδα

Aνασκoπήσεις
ΧΕΙΡΟΥΡΓΙΚΗ ΤΟΥ ΕΜΒΡΥΟΥ

I.M. Tζαφέττας, Μ. Μαμόπουλος

Περίληψη
Η διάγνωση και αντιμετώπιση των συγγενών διαμαρτιών του εμβρύου προγεννητικά, ήταν και παραμένει μια σοβαρή πρόκληση στην Περιγεννητική και Αναπαραγωγική ιατρική. Οι τεχνολογικές εξελίξεις στη Μαιευτική και Νεογνολογία, ιδιαίτερα οι νεότερες απεικονιστικές μέθοδοι και η πειραματική χειρουργική του εμβρύου, συνέβαλαν σημαντικά στην καλύτερη κατανόηση της παθοφυσιολογίας και την αντιμετώπιση αυτών των καταστάσεων. Ωστόσο αρκετή αντιπαράθεση συνεχίζει να υφίσταται. Παρά το γεγονός ότι η εμβρυική χειρουργική υπόσχεται πολλά στην αντιμετώπιση παθήσεων που είναι απειλητικές για τη ζωή του εμβρύου, στις υπόλοιπες παθήσεις ο ρόλος της παραμένει αμφιλεγόμενος. Η εκδήλωση πρόωρου τοκετού μετεγχειρητικά, παραμένει ο πλέον ανασχετικός παράγων που μπορεί ίσως να παρακαμφθεί με την εφαρμογή εναλλακτικών και ελάχιστα επεμβατικών ενδοσκοπικών μεθόδων που βρίσκονται ήδη σε εξέλιξη. Η εισαγωγή και προώθηση της μικρο και τηλε-χειρουργικής, υποστηριζόμενης από computers, τρισδιάστατη απεικόνιση και χειρουργικά robots, δημιουργεί ένα νέο χειρουργικό περιβάλλον για τον 21ο αιώνα. Είναι πολύ πιθανό ότι θα βοηθήσουν τους εμβρυο-χειρουργούς σε δύσκολες επεμβάσεις και θα προσφέρουν την καλύτερη δυνατή βοήθεια στα έμβρυα που πάσχουν από παθήσεις, μέχρι τώρα ανίατες.
Λέξεις κλειδιά: Εμβρυική Χειρουργική

Εισαγωγή
Οι δυνατότητες διάγνωσης διαφόρων παθήσεων και ανατομικών ανωμαλιών του εμβρύου έχουν αυξηθεί εντυπωσιακά στα τελευταία χρόνια. Σέ αυτό ιδιαίτερα συνέβαλαν η καλύτερη κατανόηση της παθοφυσιολογίας ωρισμένων παθήσεων του εμβρύου, ύστερα από πειραματικές μελέτες σε πειραματόζωα και οι τεχνολογικές εξελίξεις οι οποίες επέτρεψαν την κατά πολύ καλύτερη απεικόνιση του εμβρύου σε πρώιμα στάδια της κύησης (1).
Η συνολική περιγεννητική αντιμετώπιση των συγγενών παθήσεων και διαμαρτιών του εμβρύου, απαιτεί τη συνεργασία πολλών ειδικοτήτων όπως μαιευτήρων, υπερηχολόγων, γενετιστών, παιδοχειρουργών, παιδιάτρων κ.ά.

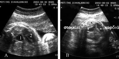
Εικόνα 1. Φυσιολογική τοπογραφική αλληλοσυσχέτιση καρδιάς-στομάχου σε έμβρυο ηλικίας 17 εβδομάδων (αριστερά) και 34 εβδομάδων (δεξιά) σε επιμήκη τομή. Είναι εμφανής η διαφορά επιπέδου των δύο οργάνων σε αντίθεση με αυτό που συμβαίνει σε περίπτωση διαφραγματοκήλης όπου συμπίπτουν και προβάλονται στο ίδιο επίπεδο (Εικ. 2).


Από αρκετά χρόνια τώρα, έχει καταβληθεί προσπάθεια θεραπευτικής αντιμετώπισης μιάς ποικιλίας εμβρυικών παθήσεων που διαγνώστηκαν προγεννητικά. Από τις πρώτες και πλέον επιτυχείς υπήρξαν οι περιπτώσεις «στερητικών καταστάσεων» του εμβρύου. Κλασσικό παράδειγμα αποτελεί η αντιμετώπιση της αναιμίας του εμβρύου από Rhesus ασυμβατότητα, με την ενδοπεριτοναική ή ενδοαγγειακή μετάγγιση αίματος. Άλλες περιπτώσεις είναι η εμβρυική αρρυθμία η οποία μπορεί να αποκατασταθεί με τη χορήγηση των κατάλληλων σκευασμάτων στη μητέρα και η ανάλογη αντιμετώπιση υποβιταμινικών καταστάσεων. Η φαρμακευτική θεραπεία του εμβρύου μπορεί να επιχειρηθεί επίσης με την έγχυση φαρμάκων στον αμνιακό χώρο, από όπου μπορεί να απορροφηθούν ή να καταποθούν από το έμβρυο, όπως συμβαίνει στην περίπτωση του υποθυρεοειδισμού και ορισμένων μορφών ανεπάρκειας ηπατικών ενζύμων. Σε περιπτώσεις προγεννητικής διάγνωσης συγγενών διαμαρτιών του εμβρύου, ο κύριος προβληματισμός, μέχρι και το πρόσφατο παρελθόν, συνίστατο στη λήψη απόφασης για διακοπή ή όχι της κύησης. Μια τέτοια επιλογή συνεχίζει ωστόσο να αποτελεί την πλέον ενδεδειγμένη λύση σε περιπτώσεις σοβαρών ανατομικών και χρωματοσωμικών ανωμαλιών που κρίνονται ως ασυμβίβαστες με την μετέπειτα επιβίωση του εμβρύου (Πίνακας 1).

Πίνακας 1. Συγγενείς διαμαρτίες του εμβρύου οι οποίες αποτελούν ένδειξη για διακοπή της κύησης
Ανεγκεφαλία
Σοβαρές χρωματοσωμικές ανωμαλίες π.χ. τρισωμίες 13, 18
Αμφοτερόπλευρη νεφρική αγενεσία
Πολυκυστικοί νεφροί
Μη επανορθώσιμη σοβαρή μεταβολική διαταραχή π.χ. νόσος Tay-Sachs


Για αρκετές όμως άλλες παθήσεις, διατίθεται μια ποικιλία θεραπευτικών παρεμβάσεων που είναι πλέον δυνατόν να επιχειρηθούν στο νεογνό αμέσως μετά τη γέννησή του ή κατά τη διάρκεια της ενδομήτριας ζωής του.
Στην πρώτη περίπτωση, οι περισσότερες από τις αποκαταστάσιμες παθήσεις, αντιμετωπίζονται, συντηρητικά ή χειρουργικά, καλύτερα μετά από διακομιδή της επιτόκου σε οργανωμένο ειδικό κέντρο και προγραμματισμένο τοκετό. Τέτοιες περιπτώσεις είναι λ.χ. οι αποφρακτικές παθήσεις του εντέρου, περιορισμένες ομφαλοκήλες και μηνιγγοκήλες, παραμορφωτικές ανωμαλίες των άκρων και του κρανίου, ενδοκοιλιακές κύστεις και ετερόπλευρες δυσπλασίες των νεφρών.
Η προγεννητική διάγνωση της πάθησης επηρεάζει, όπως είναι αναμενόμενο, την όλη αντιμετώπιση. Συχνά προκαθορίζει τη μέθοδο του τοκετού και τον χρόνο εξόδου του εμβρύου, είτε με διακοπή της κύησης στα αρχικά της στάδια, ή με πρόκληση πρόωρου τοκετού (Πίνακας 2).

Σε αρκετές περιπτώσεις, οι οποίες αναμένεται να αυξηθούν στο μέλλον, εφαρμόζεται ήδη η ανοικτή χειρουργική αντιμετώπιση συγγενών ανωμαλιών του εμβρύου, κατά τη διάρκεια της ενδομήτριας ζωής του, με ελπιδοφόρα αποτελέσματα (Πίνακας 3).

Πίνακας 2. Συγγενείς διαμαρτίες του εμβρύου οι οποίες μπορεί να αποτελέσουν ένδειξη πρόωρης πρόκλησης τοκετού
Αποφρακτική υδρονέφρωση
Γαστρόσχιση ή ραγείσα ομφαλοκήλη
Ισχαιμία και νέκρωση του εντέρου αποτέλεσμα λ.χ. εγκολεασμού, ή ειλεού από μηκώνιο.

Πίνακας 3. Συγγενείς διαμαρτίες που αποτελούν ένδειξη προγεννητικής χειρουργικής αποκατάστασης

Απόφραξη κατώτερου ουροποιητικού συστήματος (ουρήθρας)
Συγγενής διαφραγματοκήλη

Χυλοθώραξ
Ιεροκοκκυγικό τεράτωμα


Ένας αριθμός προγεννητικά διαγιγνωσκόμενων ανωμαλιών, έχει καθιερωθεί να αντιμετωπίζονται με «αποσυμφορητική παροχέτευση». Τυπικά παραδείγματα αποτελούν ο υδροθώρακας, η υδροκεφαλία και η αποφρακτική νεφροπάθεια. Σε άλλες περιπτώσεις όμως συγγενών ανωμαλιών, η ανοιχτή χειρουργική επέμβαση στο έμβρυο, αποτελεί τη μόνη λύση. Στις περιπτώσεις αυτές, όπως καθίσταται αυτονόητο, η επαρκής γνώση της παθοφυσιολογίας της νόσου και η ακριβής κατά το δυνατόν μετεγχειρητική πρόγνωση, σε συνδυασμό με χαμηλή μητρική νοσηρότητα και επιβάρυνση, αποτελούν βασικές προυποθέσεις για την εφαρμογή της χειρουργικής επέμβασης. Εμβρυικές ανωμαλίες που εμπίπτουν σΥαυτήν την κατηγορία και για τις οποίες υπάρχει εμπειρία αρκετών ετών, είναι η συγγενής υδρονέφρωση, η συγγενής διαφραγματοκήλη, το ιεροκοκκυγικό τεράτωμα, ο χυλοθώρακας, το λαγώχειλο και το λυκόστομα και διάφορες, σχετικά απλές μορφές, συγγενών καρδιοπαθειών.
Η εμπειρία στην ανοιχτή χειρουργική του εμβρύου, προέρχεται κυρίως από πειραματόζωα, όπως πρόβατα και ποντίκια , τα οποία εμφανίζουν πολύ λιγότερο κίνδυνο εκδήλωσης πρόωρου τοκετού μετά την απαιτούμενη, στις περιπτώσεις αυτές, υστεροτομία. Επειδή στον άνθρωπο, όπου η κύηση είναι πολύ μεγαλύτερης διάρκειας, το μυομήτριο διεγείρεται ευκολότερα και ο κίνδυνος πρόωρου τοκετού είναι μεγαλύτερος, ήταν επιτακτική η ανάγκη απόκτησης της απαραίτητης εμπειρίας σε πειραματόζωα, για τους λόγους που αναφέραμε. Έτσι κατέστη δυνατή η επινόηση μεθόδων ικανοποιητικής συνεχούς παρακολούθησης του εμβρύου και της μητέρας, κατά τη διάρκεια της επέμβασης, όπως και μεθόδων καταστολής του πρόωρου τοκετού που μπορεί να προκληθεί απ' την ίδια την επέμβαση. Παράλληλα δόθηκε η ευκαιρία να αναπτυχθούν ασφαλείς και αποτελεσματικές τεχνικές υστεροτομίας και σύγκλεισης των τοιχωμάτων της μήτρας, με την ελάχιστη δυνατή νοσηρότητα (Σχ.1). Η ενδοσκοπική ενδομήτρια χειρουργική του εμβρύου, κλασσική ή με τηλεχειρισμό τελευταία, φαίνεται να εξελίσσεται ικανοποιητικά, τουλάχιστον σε πειραματικό επίπεδο. O κίνδυνος πρόκλησης πρόωρου τοκετού μειώνεται σημαντικά, σε σύγκριση με τη μέθοδο της ενδομήτριας επέμβασης κατόπιν υστεροτομίας (2,3,4)
Ήδη επιχειρείται η ανάπτυξη νέων μεθόδων παρακολούθησης της λειτουργίας των διαφόρων συστημάτων του εμβρύου κατά τη διάρκεια της επέμβασης, με τη μέθοδο της ραδιοτηλεμετρίας και νέων τεχνικών πρόσβασης στο αγγειακό σύστημα 5.

Καταστάσεις που προσφέρονται για προγεννητική ανοικτή επέμβαση στο έμβρυο
Συγγενής υδρονέφρωση
Η παθολογική αυτή κατάσταση διαγιγνώσκεται εύκολα υπερηχογραφικά, επειδή η διατεταμένη, σε τέτοιες περιπτώσεις, ουροδόχος κύστη προσφέρεται ιδιαίτερα, όπως και η νεφρική πύελος του εμβρύου, παρά το συχνά συνυπάρχον ολιγάμνιο. Η υδρονέφρωση που οφείλεται σε απόφραξη της ουρήθρας, αποτελεί μεμονωμένη ανατομική βλάβη, όμως μπορεί να έχει καταστρεπτικές επιπτώσεις λόγω της σοβαρής επιβάρυνσης της νεφρικής λειτουργίας. Το συνυπάρχον ολιγάμνιο, μπορεί να οδηγήσει σε υποπλασία των πνευμόνων. Αποτελεί μία από τις καταστάσεις που μπορεί και συχνά επιβάλλεται να αποκατασταθεί προγεννητικά 6,7. Βέβαια το έμβρυο δεν μπορεί να διασωθεί όταν εμφανίζει σοβαρού βαθμού μη αναστρέψιμη νεφρική ανεπάρκεια. Η κατάσταση αυτή εκδηλώνεται με ολιγάμνιο πριν την 20η εβδομάδα και εμφανή νεφρική δυσπλασία. Αντίθετα, όταν το πρόβλημα εκδηλωθεί μετά την 20η εβδομάδα, μπορεί να βοηθηθεί με έγκαιρη ανακουφιστική επέμβαση αποσυμφόρησης, με σκοπό να ανακοπεί η επιδείνωση της βλάβης στους νεφρούς και τους αναπτυσσόμενους πνεύμονες. Η προγεννητική επέμβαση είναι περιττή, όταν η βλάβη εκδηλωθεί μετά την 32η εβδομάδα. Σε τέτοια περίπτωση ενδείκνυται πρόωρος τοκετός και αντιμετώπιση της βλάβης στη συνέχεια. Η επιλογή της κατάλληλης μεθόδου αντιμετώπισης του εμβρύου με αποφρακτική νεφροπάθεια, απαιτεί ακριβή εκτίμηση της σοβαρότητας της νεφρικής βλάβης και της δυνατότητας μετεγχειρητικής επανάκτησης της νεφρικής λειτουργίας 8.
Οι διάφορες κλινικές μέθοδοι εκτίμησης της νεφρικής λειτουργίας, που στηρίζονται στην εκτίμηση της δυνατότητας επανεμφάνισης ούρων μετά από εκκενωτική παρακέντηση της ουροδόχου κύστεως, ή στην εμφάνιση ούρων στην ουροδόχο κύστη του εμβρύου μετά από διέγερση με φρουσεμίδη, έχουν αποδειχθεί αναξιόπιστες. Η κατάσταση του αμνιακού υγρού έχει προγνωστική αξία μόνο σε ακραίες περιπτώσεις. Η παρουσία ικανοποιητικής ποσότητας αμνιακού υγρού λ.χ. σε προχωρημένο στάδιο της κύησης υποδηλοί ικανοποιητική νεφρική λειτουργία, σε αντίθεση με το ολιγάμνιο όταν εμφανίζεται νωρίς στην κύηση.
Η ανάλυση των ούρων του εμβρύου αποτελεί μία κατά πολύ πλέον αξιόπιστη μέθοδο εκτίμησης της νεφρικής λειτουργίας. Το έμβρυο παράγει σταθερά ούρα από την 13η εβδομάδα της κύησης. Είναι το απόκριμμα του ορού το εμβρυικού αίματος, που καθίσταται υποτονικό ύστερα από σωληναριακή επαναρρόφηση Να και Cl. H σύσταση των ούρων παραμένει σταθερή μέχρι το πέρας της κύησης. Έχει αποδειχθεί επομένως ότι, η συγκέντρωση των ηλεκτρολυτών, σε συνδυασμό με την ωσμωτική πίεση των ούρων και την ωριαία παραγωγή των, είναι ενδεικτικά του μεγέθους της νεφρικής βλάβης. Το ανθρώπινο έμβρυο με αποφρακτική νεφροπάθεια, έχει αποδειχθεί ότι παράγει μικρές ποσότητες ισοτονικών ούρων. Αυτά σε συνδυασμό με το βαθμό ολιγάμνιου και την υπερηχογραφική εμφάνιση των νεφρών, σχετίστηκαν άμεσα με το τελικό μετεγχειρητικό αποτέλεσμα. Η ανάπτυξη αξιόπιστων κριτηρίων για την πρόγνωση του τελικού αποτελέσματος (Να ούρων<100mEq/L, Cl<90mEq/L, Osm<210mOsm, φυσιολογική υπερηχογραφική απεικόνιση των νεφρών) διευκόλυνε τα μέγιστα στην καθοδήγηση των γονέων και απλοποίησε τη διαδικασία λήψης αποφάσεων.
Αρχικά, για την αντιμετώπιση αυτών των καταστάσεων, εφαρμόστηκε ο μόνιμος καθετηριασμός και η συνεχής αποσυμφόρηση των νεφρών και των πνευμόνων, με την εφαρμογή υποδόριων καθετήρων και κυστεο-αμνιακών αναστομώσεων (fetal shants). Τα τεχνικά όμως προβλήματα που σχετίστηκαν με τη μέθοδο αυτή, όπως είναι η συχνή απόφραξη και η μετακίνηση των καθετήρων, ωδήγησαν πολλούς στην εφαρμογή της ανοικτής χειρουγικής επέμβασης, ύστερα από εξωτερίκευση του ουροποιητικού συστήματος του εμβρύου, με ικανοποιητικά αποτελέσματα. Αυτό καθίσταται περισσότερο επιτακτικό όταν η διάρκεια της αποσυμφορητικής παροχέτευσης, με σκοπό την πνευμονική ωρίμανση του εμβρύου, αναμένεται να υπερβεί τις 2-3 εβδομάδες (Εικ. 2).
Όσον αφορά την περαιτέρω αναπαραγωγική ικανότητα των γυναικών ύστερα από ενδομήτρια χειρουργική επέμβαση, σύμφωνα με τις υπάρχουσες ενδείξεις, δεν φαίνεται να επηρεάζεται αρνητικά 9.



Εικόνα 2. Διαφραγματοκήλη εμβρύου. Τα δύο όργανα, καρδιά και στόμαχος του εμβρύου, σε εγκάρσια τομή του θώρακα, προβάλλονται στο ίδιο επίπεδο. Η απώθηση της καρδιάς στο θωρακικό τοίχωμα σε συνδυασμό με την σαφώς περιορισμένη έκταση του πνευμονικού παρεγχύματος αποτέλεσαν, προγεννητικά, δυσμενή προγνωστικό δείκτη. Το νεογνό, παρά την εντατική προσπάθεια ανάνηψης κατέληξε εντός του πρώτου 24ώρου. Διαπιστώθηκε παντελής έλλειψη έκπτυξης των πνευμόνων.



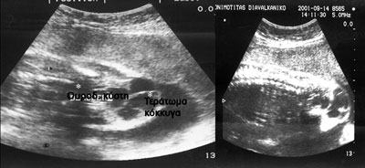
Εικόνα 3. Καλόηθες πολύχωρο τεράτωμα κόκκυγος σε έμβρυο ηλικίας 20 εβδομάδων με χαρακτηριστική εικόνα ωοθήκης ύστερα από διέγερση (σε επιμήκη και εγκάρσια τομή).

Συγγενής διαφραγματοκήλη
Η συγγενής διαφραγματοκήλη, ως μεμονωμένη ανατομική ανωμαλία, δεν αποτελεί η ίδια άμεση απειλή για το έμβρυο. Όμως 50 έως 80% των τελειόμηνων νεογνών αποθνήσκουν λόγω της πνευμονικής υποπλασίας την οποία προκαλεί. Επειδή η υποπλασία αυτή είναι δευτερογενής, λόγω συμπίεσης των πνευμόνων από την χωροκατακτητική παρουσία των σπλάχνων που προβάλλουν στη θωρακική κοιλότητα, η χειρουργική αντιμετώπισή της κατά την ενδομήτρια ζωή μπορεί να επιτρέψει την φυσιολογική ανάπτυξη και λειτουργία των πνευμόνων, σε επίπεδο που να μπορούν να ανταποκριθούν στις μετά τον τοκετό συνθήκες 6,10.
Η προγεννητική διάγνωση της πάθησης έχει ιδιαίτερη σημασία αφού έχει διαπιστωθεί ότι σχετίζεται με σημαντικά χαμηλότερα ποσοστά θνησιμότητας των νεογνών. Συγκεκριμένοι υπερηχογραφικοί δείκτες έχουν επίσης καθιερωθεί για την μετεγχειρητική πρόγνωση των νεογνών όπως, η πρώιμη διάγνωση της διαφραγματοκήλης πριν την 25η εβδομάδα, η συνύπαρξη πολυάμνιου και άλλων ανωμαλιών και η προβολή του ήπατος στη θωρακική κοιλότητα. Στις περιπτώσεις αυτές η πρόγνωση θεωρείται δυσμενής.
Παρά τις τεχνικές δυσκολίες της ανοικτής χειρουργικής επέμβασης, ιδιαίτερα κατά τη διάρκεια των χειρισμών των διαφόρων σπλάχνων που προβάλλουν εντός της θωρακικής κοιλότητας και περισσότερο του ήπατος, η συγγενής διαφραγματοκήλη αποτελεί μία απΥτις πλέον χαρακτηριστικές περιπτώσεις στις οποίες η προγεννητική χειρουργική της αντιμετώπιση, κατά τη διάρκεια της ενδομήτριας ζωής, είναι κατά κανόνα επιτακτική, για τους λόγους που ήδη εκθέσαμε.



Εικόνα 4. Καλόηθες τεράτωμα κόκκυγος νεογνού στο πρώτο 24ωρο της ζωής του, εξωρμόμενο από της εξωτερική επιφάνεια του κόκκυγα..

Ιεροκοκκυγικό τεράτωμα
Το ιεροκοκκυγικό τεράτωμα αποτελεί τη συχνότερη νεοπλασία στα νεογνά. Όταν ο όγκος εκδηλωθεί σχετικά αργά, μετά την 30η εβδομάδα, η πρόγνωση είναι καλή αφού χαρακτηρίζεται από χαμηλό δυναμικό κακοήθειας και μπορεί να αφαιρεθεί μετά τον τοκετό. Αντίθετα, όταν διαπιστωθεί νωρίτερα, σχετίζεται με πολύ υψηλό ποσοστό ενδομήτριου θανάτου. Κατά κανόνα, στην περίπτωση αυτή, αποκτά μεγάλο μέγεθος και συνοδεύεται από εμβρυικό ύδρωπα και πλακουντομεγαλία, σε συνδυασμό με σοβαρού βαθμού τοξιναιμία. Τελευταία έχει διευκρινιστεί αρκετά η παθοφυσιολογία αυτής της πάθησης. Ο όγκος συμπεριφέρεται ως μία ευμεγέθης αρτηριοφλεβική αναστόμωση, με αυξημένη ροή αίματος στην περιφερική αορτή και εκτροπή της κυκλοφορίας, απΥ τον πλακούντα προς τον όγκο. Ο ενδομήτριος θάνατος των εμβρύων αυτών αποδίδεται σε καρδιακή κάμψη εξ αιτίας του αυξημένου καρδιακού έργου. Η προεκλαμψία πιθανολογείται ότι οφείλεται στην απελευθέρωση χοριακής γοναδοτροπίνης ή αγγειοσυσπαστικών ουσιών, από τον πλακούντα. Στις περιπτώσεις όψιμης εκδήλωσης του όγκου, μετά την 30η εβδομάδα, η κατάσταση μπορεί να αντιμετωπιστεί ύστερα από προγραμματισμένο πρόωρο τοκετό.
Όταν το μέγεθος του όγκου υπερβαίνει τα 5 εκ., λόγω του κινδύνου δυστοκίας, επιβάλλεται η Καισαρική τομή. Σε περίπτωση που εκδηλωθεί σε πρωιμότερα στάδια της κύησης, ενδείκνυται η ανοικτή ενδομήτρια χειρουργική αποκατάσταση, πριν τον τοκετό. Παρά τα όχι εντυπωσιακά αποτελέσματα μιάς τέτοιας επέμβασης, αυτή έχει ένδειξη, ιδιαίτερα όταν η κατάσταση του υδρωπικού κατά κανόνα εμβρύου, επηρεάζει τη γενική κατάσταση της μητέρας η οποία, όπως ήδη αναφέραμε, μπορεί αντιρροπιστικά να αναπτύξει σοβαρού βαθμού προεκλαμψία.



Εικόνα 5. Καλόηθες τεράτωμα τρείς μήνες μετά τη χειρουργική του αποκατάσταση η οποία έλαβε χώρα την 2η εβδομάδα μετά τη γέννηση (η ίδια περίπτωση με την εικ. 4).

Συγγενής Χυλοθώραξ
Συγγενής πλευριτική συλλογή, συχνά οφείλεται σε εμβρυικό χυλοθώρακα και μπορεί να διαγνωστεί πριν την 20η εβδομάδα της κύησης. Όταν η συλλογή είναι εκτεταμένη, μπορεί να οδηγήσει σε συμπίεση του πνευμονικού παρεγχύματος, πνευμονική υποπλασία και ύδρωπα. Η νεογνική θνησιμότητα υπερβαίνει το 50%.
ΤΌταν η ποσότητα του πλευριτικού υγρού είναι περιορισμένη, η κύηση μπορεί να παραταθεί μέχρι σταδίου ωριμότητας, υπό συχνή υπερηχογραφική παρακολούθηση των πνευμόνων. Σε περιπτώσεις όμως μεγάλης υπεζωκοτικής συλλογής που οδηγεί στην εμφάνιση ύδρωπα, η ενδομήτρια ανακουφιστική παρακέντηση αποτελεί επιτακτική ανάγκη. Όταν αυτή αποτύχει, μπορεί να επιχειρηθεί θωρακο-αμνιακή συνεχής παροχέτευση, με θετικά αποτελέσματα.

Λαγώχειλος και Λυκόστομα
Αποτελούν τις συχνότερες συγγενείς διαμαρτίες του προσώπου, σε μία συχνότητα 1 στα 800 τελειόμηνα νεογνά και έχουν κληρονομικό και περιβαλλοντολογικό υπόστρωμα.
Μελέτες σε πειραματόζωα έδειξαν ότι, η επούλωση ενός τραύματος κατά την ενδομήτρια ζωή εμφανίζει θεμελιώδεις διαφορές από τους ενήλικες. Δεν συνοδεύεται από τη δημιουργία ουλής 11. Κατά συνέπεια η επιδιόρθωση του λαγώχειλου, προγεννητικά, μπορεί να έχει κατά πολύ καλύτερο αισθητικό αποτέλεσμα, χωρίς παράλληλα να επηρεάσει τη φυσιολογική ανάπτυξη του προσώπου 6. Η ιδιαιτερότητα όμως αυτή του εμβρύου, να μη δημιουργεί μετατραυματική ουλή, δεν διατηρείται στο 3ο τρίμηνο της κύησης. Γι' αυτό η ανοικτή ενδομήτρια χειρουργική αποκατάσταση του λαγώχειλου, πρέπει να επιχειρείται περί την 24η εβδομάδα της κύησης. Η υπερηχογραφική διάγνωση του λαγώχειλου και του λυκοστόματος, είναι δυνατόν να τεθεί με αξιοπιστία μεταξύ 16ης και 20ης εβδομάδας.
Η χειρουργική όμως αντιμετώπιση με «ενδομήτρια» ανοικτή επέμβαση, συγγενών διαμαρτιών του εμβρύου, όπως το λαγώχειλος και το λυκόστομα, που δεν είναι ασυμβίβαστες με την επιβίωση του, αποτελεί θέμα συνεχιζόμενης αντιπαράθεσης, τουλάχιστον όσον αφορά την αιτιολόγησή της.

Συγγενής καρδιοπάθεια του εμβρύου.
Ένας ικανός αριθμός καρδιοπαθειών του εμβρύου διαγιγνώσκονται πλέον προγεννητικά, με υψηλό βαθμό ακρίβειας 12. Η ακριβής παθοφυσιολογία τους δεν έχει διευκρινιστεί επαρκώς. Υποστηρίζεται όμως ότι πλημμελής αιμάτωση κατά τη διάρκεια της ενδομήτριας ζωής, μπορεί να οδηγήσει σε δευτερογενή υποπλασία των μεγάλων αγγείων και των διαφόρων διαμερισμάτων της καρδιάς του εμβρύου. Η στένωση λ.χ. της βαλβίδας της πνευμονικής αρτηρίας, μπορεί να οδηγήσει, όπως συχνά συμβαίνει, στην υποπλασία των πνευμονικών αρτηριών. Η έγκαιρη χειρουργική αποκατάσταση της στένωσης αυτής, μπορεί να επιτρέψει την φυσιολογική ανάπτυξη των εν λόγω αρτηριών, με εντυπωσιακή βελτίωση της πρόγνωσης μετά τον τοκετό. Ήδη έχουν περιγραφεί διάφορες τεχνικές για προγεννητική χειρουργική επέμβαση στην καρδιά του εμβρύου. Η καλύτερη κατανόηση της παθοφυσιολογίας των συγγενών καρδιακών ανωμαλιών του εμβρύου και η περαιτέρω βελτίωση των προς χρήση τεχνικών, φαίνεται ότι θα καθιερώσουν την ανοικτή καρδιοχειρουργική στο έμβρυο 13.

Συμπέρασμα
Οι εντυπωσιακές εξελίξεις στην προγεννητική διάγνωση, προσφέρουν σημαντικές δυνατότητες για την αντιμετώπιση ορισμένων τουλάχιστον από τις συγγενείς διαμαρτίες του εμβρύου. Ωστόσο, οι ιδιαίτερα επεμβατικές αυτές μέθοδοι, διαγνωστικές ή θεραπευτικές, συνοδεύονται από σημαντικούς κινδύνους για το έμβρυο αλλά και για τη μητέρα και η επιλογή τους επιβάλλεται να είναι ιδιαίτερα προσεκτική. Συγχρόνως θέτουν νέα ηθικά και ιατρικά διλήμματα γα τους κινδύνους και τα οφέλη, για τα δικαιώματα της μητέρας και του εμβρύου, αλλά και για τα επιτρεπόμενα όρια ιατρικής παρέμβασης, ιδιαίτερα όταν δεν θεωρούνται ασυμβίβαστες με τη ζωή του εμβρύου. Δεν υπάρχει αμφιβολία ότι οι ενδείξεις για ανοικτή καρδιοχειρουργική επέμβαση στο έμβρυο, όπως και πολλών άλλων συγγενών διαμαρτιών του εμβρύου, θα συνεχίσουν να αυξάνουν παράλληλα με τις συνεχιζόμενες ερευνητικές προσπάθειες και τη βελτίωση της κλινικής εμπειρίας.

Summury
Fetal Surgery. J.M.Tzafettas, Μ. Μamopoulos
The diagnosis and management of fetal abnormalities before birth, was and remains a formidable challenge. Advances in obstetric and neonatal technology, have provided better means for understanding the pathophysiology of these conditions. Fetal imaging and experimental fetal surgery has contributed significantly. A lot of controversy though, still exists. Although, fetal surgery has become a promising treatment modality for life-threatening conditions, its role in the non life-threatening congenital anomalies, remains a source of much debate. Postoperative premature labor remains the foremost limiting factor and may be reduced by minimally invasive new endoscopic techniques. Computer Aided micro and tele-Surgery, using three-dimentional medical images and surgical robots, are creating a new surgical environment for the new century. They are likely to assist fetal surgeons in difficult procedures and offer the best possible help to fetuses with incurable, so far, conditions.
Key words: Fetal surgery

ΒΙΒΛΙOΓPΑΦΙΑ
1.Flake AW, Crobleholme TM, Adzick NS (1999) The current status and future potential of fetal intervention:image is everything. Comput Med Imaging Graph 23:51-7
2.Calvano CJ, Moran ME, Tackett LD, Reddy PP, Boyle KE, and Pankratov MM (1998) New visualizasion techniches for in utero surgery: amnioscopy with a three-dimentional head-mounted display and a computer-controlled endoscope. J.Endourol 12:407-10
3.Oberg KC, Robles AE, Ducsay CA, Rasi CR, Rouse GA, Childers BJ, Evans ML, Kirsch WM and Hardesty RA (1999) Endoscopic intrauterine surgery in primates:overcoming critical obstacles. Surg Endosc 13:420-6
4.Bruner JP, Richards WO, Tyllipan NB, and Arney TL (1999) Endoscopic coverage of fetal myelomeningocele. Am J Obstet Gynecol 180: 153-8
5.Albanese C, Harrison (1998) Surgical treatment for fetal disease. The state of the art. Ann N Y Acad Sci 847: 74-85
6. Μahieu D.- Caputo et al., Fetal lung volume measurement by magnetic resonance imaging in congenital diaphragmatic hernia, BJOG: an International Journal of Obstetrics and Gynaecology 108 (8) (2001) pp 863- 868.
7.Manning FA, Harrison MR, Rodeck C. (1986) Catheter shunts for fetal hydronephrosis and hydrocephalus. N Engl J Med, 315:336
8.Coplen DE (1997) Prenatal intervention for hydronephrosis. J Urol 157:2270-7
9.Farrell JA, Albanese CT, Jennings RW, Kilpatrick SJ, Bratton BJ, and Harrison MD (1999) Maternal fertility is not affected by fetal surgery Fetal Diagn Ther 14:190-2
10.Langer JC (1988) Congenital diaphragmatic hernia. Chest surg 8:295-314
11.Weizweig J, Panter KE, Pantaloni M, Spangerberger A, Harper JS, Lui F, and Edstrom LE (1999) The fetal cleft palate. Scarless healing after in utero repair of a congenital model. Plast Reconstr Surg 104:1356-64.
12.Kilby MD, Whittle MJ (1996) Benefits of fetal surgery must be carefully avaluated (letter; comment). BMJ 312: 780


 

ΗΟΜΕPAGE